Clipado de aneurisma grande de bifurcación silviana parcialmente trombosado con abordaje minipterional (videoartículo)
Silvina Martínez,1 Clara Martin,1 María Guevara,1 Carla Costa,1 Diana Carolina Álvarez Caicedo,1 Pablo Rubino1,2
1. Servicio de Neurocirugía, Hospital de Alta Complejidad en Red “El Cruce”, Buenos Aires, Argentina
2. Servicio de Neurocirugía, Hospital Alemán, Ciudad de Buenos Aires, Argentina


Recibido: 05/02/25 Aceptado: 20/05/25
Silvina Martínez
silvii_cb@hotmail.com
DOI: 10.59156/revista.v39i02.721


ORCID
Silvina Martínez: 0000-0001-6624-2908
Clara Martin: 0009-0007-4453-5129
María Guevara: 0009-0004-7178-7063
Carla Costa: 0009-0005-2623-7684
Diana Carolina Álvarez Caicedo: 0009-0002-5228-2903
Pablo Rubino: 0000-0002-2621-8441


EMAILS
Clara Martin: cla.martinb@gmail.com
María Guevara: mariaguevara.na@gmail.com
Carla Costa: carlu.costa@hotmail.com
Diana Carolina Álvarez Caicedo: dalvarez76@unab.edu.co
Pablo Rubino: parubino@hotmail.com


Los autores no declaran conflicto de interés
Los autores no declaran financiamiento.


Este es un artículo de acceso abierto bajo la licencia CC BY-NC https://creativecommons.org/licenses/by-nc/4.0/


RESUMEN
Introducción: el abordaje minipterional se considera una opción mínimamente invasiva como alternativa al pterional. Ambos se centran en la fisura silviana.
Objetivos: demostrar el alcance del abordaje minipterional para el clipado microquirúrgico de un aneurisma grande de bifurcación silviana parcialmente trombosado.
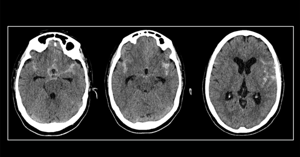
Presentación del caso: paciente masculino de 53 años, con antecedente de accidente cerebrovascular 4 años previo a la consulta en nuestro centro. En contexto de estudio, diagnosticamos un aneurisma grande de bifurcación silviana izquierda, parcialmente trombosado.
Intervención: se realizó un abordaje minipterional, apertura del valle silviano y clipado microquirúrgico del aneurisma. Se logró la exclusión del aneurisma. El paciente evolucionó sin déficit neurológico agregado y se otorgó el alta hospitalaria al tercer día postoperatorio.
Conclusión: el abordaje minipterional brindó un acceso cómodo y satisfactorio para la resolución del caso.

Palabras clave: Abordaje minipterional. Aneurismas grandes. Aneurisma trombosado. Bifurcación silviana

Clipping of large partially thrombosed sylvian bifurcation aneurysm with a minipterional approach

ABSTRACT
Background: the minipterional approach is considered a minimally invasive alternative to the classical pterional approach. These approaches focus on the Sylvian fissure.
Objectives: to demonstrate the scope of the minipterional approach for the microsurgical clipping of a partially thrombosed large sylvian bifurcation aneurysm.
Case presentation: a 53-years old male patient presented to our hospital with a history of stroke that occurred 4 years prior to the consultation. A large partially thrombosed sylvian left bifurcation aneurysm was diagnosed.
Surgery: a minipterional approach was performed, with the surgical dissection of the sylvian fissure and subsequent micro-clipping of the aneurysm. Successful aneurysm exclusion was achieved. The patient had no new neurological deficits and was discharged from the hospital on the third postoperative day.
Conclusion: the minipterional approach provided a comfortable and satisfactory access for the resolution of the case. 

Keywords: Large aneurysm. Minipterional approach. Sylvian bifurcation. Thrombosed aneurysm.


Contribuciones de autoría
Conceptualización y Supervisión: Pablo Rubino. Curación de datos y Visualización: Carla Costa. Análisis formal, Adquisición de fondos, Recursos, Software y Redacción - borrador original: Silvina Martínez. Investigación: Diana Carolina Álvarez Caicedo. Metodología: María Guevara. Administración del proyecto y Validación: Clara Martin. Redacción - revisión y edición: Pablo Rubino, Clara Martin.


BIBLIOGRAFÍA

  1. Wen HT, De Oliveira E, Tedeschi H, Andrade FC, Rhoton AL. The pterional approach: surgical anatomy, operative technique, and rationale. Operative Techniques in Neurosurgery, 2001; 4(2): 60-72.
  2. Welling LC, Figueiredo EG, Wen HT, Gomes MQT, Bor-Seng-Shu E, Casarolli C, et al. Prospective randomized study comparing clinical, functional, and aesthetic results of minipterional and classic pterional craniotomies. J Neurosurg, 2015; 122(5): 1012-9.
  3. Nathal E, Gomez-Amador JL. Anatomic and surgical basis of the sphenoid ridge keyhole approach for cerebral aneurysms. Neurosurgery, 2005; 56(1 Suppl): 178-85.
  4. Chiarullo MD, Voscoboinik DS, Vallejos Taccone W, Lafata JM, Rubino P, Lambre J. Abordaje pterional: alcances y revisión de la técnica quirúrgica. Rev Argent Neuroc, 2014; 28(4): 156-61.
  5. Figueiredo EG, Deshmukh P, Nakaji P, Crusius MU, Crawford N, Spetzler RF, et al. The minipterional craniotomy: technical description and anatomic assessment. operative neurosurgery. Neurosurgery, 2007; 61(5 Suppl 2): 256-64.

COMENTARIO
El abordaje frontotemporal, también conocido como abordaje pterional, fue descripto por el Prof. Yasargil durante la década del 70 en el siglo pasado.1 Nathal.2 en el 2005, y Figuereido,3 en el 2007, reportan variantes del abordaje pterional, conocidas como abordaje minipterional miocutáneo y abordaje minipterional con disección interfascial, respectivamente. La característica de dichas variantes es que la craniotomía se ubica completamente debajo del músculo temporal y no se extiende al hueso frontal como se hace en el abordaje pterional clásico, con lo cual la osteotomía se efectúa a lo largo de la línea temporal superior.3
En este video, los autores muestran la resolución quirúrgica de un aneurisma complejo de la arteria cerebral media. El abordaje minipterional no limitó el acceso quirúrgico para la resolución de este caso clínico.
Si bien el abordaje minipterional se ha descripto para variedad de lesiones, incluidas patologías vasculares y tumorales, es fundamental poder seleccionar qué casos podrían beneficiarse con esta vía de abordaje, y qué casos podrían presentar alguna limitación, por ejemplo, para HSA con aneurismas silvianos con hematomas parenquimatosos es quizá preferible la realización de un abordaje pterional clásico.4 Sin embargo, entre las ventajas del minipterional con respecto al pterional clásico podemos mencionar la reducción en el tiempo quirúrgico, el evitar la apertura no intencionada del seno frontal, e incluso el obtener mejores resultados estéticos.

 Francisco A. Mannará
Hospital General de Agudos “Dr. Juan A. Fernández”, Ciudad de Buenos Aires, Argentina


Bibliografía

  1. Yasargil MG, Fox JL. The microsurgical approach to intracranial aneurysms. Surg Neurol, 1975; 3(1): 7-14.
  2. Nathal E, Gómez-Amador JL. Anatomic and surgical basis of the sphenoid ridge keyhole approach for cerebral aneurysms. Neurosurgery, 2005; 56: 178-85.
  3. Figueiredo E, Deshmukh P, Nakaji P, Crusius M, Crawford N, Spetzler R, Preul M. The minipterional craniotomy: technical description and anatomic assessment. J Neurosurg, 2007; 61: 256-65.
  4. Cabezas I. Acceso minipterional interfascial simple y combinado, con peeling de fosa media y clinoidectomía anterior extradural. Serie clínica. Rev Chilena de Neurocirugía, 2019; 45: 122-30.