Aneurisma cerebral micótico recurrente en un paciente pediátrico. Reporte de un caso
Samantha Tandazo,1 Melisa Nievas,2 Carlos Rugilo,2 Flavio Requejo2
1. Hospital Municipal de Trauma y Emergencias “Dr. F. Abete”, Provincia de Buenos Aires, Argentina
2. Hospital de Pediatría “Juan P. Garrahan”, Ciudad de Buenos Aires, Argentina
Recibido: 12/05/2025 Aceptado: 25/08/2025
Samantha Tandazo
sammi.tandazo@gmail.com
ORCID
Samantha Tandazo: 0009-0002-2056-2476
Melisa Nievas: 0009-0001-2224-3295
Carlos Rugilo: 0000-0001-9822-7956
Flavio Requejo: 0000-0001-5070-0329
EMAILS
Melisa Nievas: melinievas@hotmail.com
Carlos Rugilo: rugilocarlos@gmail.com
Flavio Requejo: frequejo@intramed.net
Los autores no declaran conflicto de interés
Los autores no declaran financiamiento.
RESUMEN
Introducción: los aneurismas cerebrales en pediatría representan menos del 1% en pacientes menores de 15 años. Los aneurismas “micóticos” se producen por deterioro de la pared arterial, generando una “saculación” ciega contigua a su lumen por el accionar de un agente infeccioso, predominantemente bacterias, a punto de partida de endocarditis infecciosas (EI).
Objetivos: describir la presentación alejada de un segundo aneurisma micótico en un paciente portador de leucemia, con antecedente de infección fúngica invasiva por Aspergillus.
Descripción del caso: paciente masculino de 16 años con antecedentes de leucemia linfocítica aguda, que presentó absceso cerebeloso derecho, con posterior sangrado en el lecho quirúrgico secundario a aneurisma micótico de la arteria cerebral posterior, con rescate de galactomananos en sangre y tomografía de tórax compatible con infección respiratoria asociada. Inició tratamiento para infección invasiva por Aspergillus.
Intervención: se realizó tratamiento endovascular del aneurisma. En la resonancia magnética (RM) de control se evidenció una dilatación fusiforme de la arteria comunicante anterior con compromiso del segmento A2 izquierdo, asociada a irregularidad en el segmento M1 derecho, colocación de diversor de flujo mediante terapéutica endovascular más plastia con balón y fijación de “coils”.
Conclusión: el tratamiento endovascular, complementado con terapia antimicrobiana, requiere seguimiento prolongado con angioRM cerebral a fin de detectar recurrencias y reducir el riesgo de hemorragias fatales.
Palabras clave: Aneurisma. Endovascular. Micótico. Pseudoaneurisma
Recurrent mycotic cerebral aneurysm in a pediatric patient. Case report
ABSTRACT
Background: cerebral aneurysms in pediatrics represent less than 1% of patients under 15 years of age. "Mycotic" aneurysms occur due to deterioration of the arterial wall, generating a blind "saculation" adjacent to its lumen due to the action of an infectious agent, predominantly bacteria, leading to infective endocarditis.
Objectives: to describe the distant presentation of a second mycotic aneurysm in a patient with leukemia and a history of invasive fungal infection due to Aspergillus.
Case description: a16-year-old male patient with a history of acute lymphocytic leukemia presented with a right cerebellar abscess, with subsequent bleeding in the surgical bed secondary to a mycotic aneurysm of the posterior cerebral artery. With galactomannan rescue in the blood and a chest CT scan consistent with associated respiratory infection, treatment for invasive Aspergillus infection was initiated.
Surgery: endovascular treatment of the aneurysm was performed. Follow-up magnetic resonance imaging (MRI) revealed a fusiform dilation of the anterior communicating artery with involvement of the left A2 segment, associated with irregularity in the right M1 segment. A flow diverter was placed using endovascular therapy plus balloon plasty and coil placement.
Conclusion: endovascular treatment, complemented by antimicrobial therapy, requires prolonged follow-up with cerebral MRI to detect recurrence and reduce the risk of fatal bleeding.
Keywords: Aneurysm. Endovascular. Mycotic. Pseudoaneurysm
INTRODUCCIÓN
La dilatación arterial igual o mayor a 1.5 veces su diámetro normal se denomina aneurisma; si en el saco aneurismático encontramos las tres capas de la pared arterial se llamará verdadero, y si solo cuenta con una capa de tejido fibroso se denominará falso o pseudoaneurisma.(1)
Los aneurismas cerebrales en pediatría representan menos del 1% en pacientes menores de 15 años. Presentan una mortalidad entre un 10 a 23% en caso de rotura.
En la emergencia, el estudio inicial suele ser la tomografía de cerebro sin contraste, requiriendo, además, de una fase arterial de contraste para objetivar anomalías vasculares; asimismo, mediante angioRM se logra su correcta visualización en pacientes estables. En la actualidad continúa siendo de elección la angiografía digital diagnóstica, que además es terapéutica en la mayoría de los casos mejorando, así, el pronóstico de estos pacientes.(2)
En 1885, William Osler usó por primera vez el término “pseudoaneurisma micótico” en un caso asociado a vegetaciones de la válvula aórtica en un paciente de 30 años. Actualmente, se mantiene su uso, sin considerar el microorganismo causante, los más frecuentes son: Staphylococcus, Salmonella y Streptococcus; solo el 2% de los agentes infecciosos son hongos, entre estos: Aspergillus y Candida albicans.(3,4)
Los aneurismas cerebrales micóticos se producen por deterioro de la pared arterial formando una saculación ciega contigua a su luz, secundaria a infecciones, traumatismos craneoencefálicos, anemia de células falciformes, enfermedades cardiovasculares, autoinmunes, inmunodeficiencias y enfermedades del tejido conectivo. Su presentación clínica clásica es cefalea intensa, crisis convulsivas, déficit motor o sensitivo, incluso la muerte por la hemorragia subaracnoidea y/o intraparenquimatosa.(3)
OBJETIVOS
Describir la presentación alejada de un segundo aneurisma micótico en un paciente portador de leucemia, con antecedente de infección fúngica invasiva por Aspergillus.
DESCRIPCIÓN DEL CASO
Paciente masculino de 16 años con antecedente de leucemia linfoblástica aguda diagnosticada en septiembre de 2021, actualmente fuera de tratamiento. En seguimiento por Infectología por lesión compatible con absceso cerebeloso derecho, presentó rescate de galactomananos en sangre y tomografía de tórax compatible con infección respiratoria. Se inició tratamiento antifúngico dirigido a infección invasiva por Aspergillus.
INTERVENCIÓN
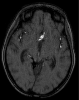
Se efectuó una craneotomía suboccipital lateral con evacuación del absceso cerebeloso. En la evolución, el paciente presentó un hematoma espontáneo secundario a la rotura de un aneurisma fusiforme del segmento P3 de la arteria cerebral posterior, confirmado por angiografía digital. El hallazgo fue interpretado como un aneurisma micótico, por lo que se realizó tratamiento endovascular. La resonancia magnética posterior a la embolización no evidenció aneurisma residual (Figuras 1 y 2).

Figura 1. Angiografía digital diagnóstica de vasos intracraneales. Se evidencia dilatación aneurismática del segmento P3 de arteria cerebral posterior derecha.

Figura 2. AngioRM de vasos intracraneales. Control posterior a la embolización aneurismática, sin evidencia de aneurismas residuales.
Durante el seguimiento intercurrió con osteonecrosis de rodilla y osteoartritis crónica de tobillo por Escherichiacoli, las que requirieron múltiples limpiezas quirúrgicas, además de crisis de hiperglucemia secundaria a corticoterapia y trastornos hidroelectrolíticos.
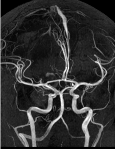
Dos años más tarde, en control por Infectología, refirió cefalea holocraneana pulsátil de moderada intensidad, asociada a mareos, náuseas y vómitos esporádicos. Se solicitó una nueva angioRM, la que arrojó un aneurisma fusiforme de la arteria comunicante anterior con compromiso del segmento A2 izquierdo e irregularidad asociada de M1 derecho (Figuras 3 y 4). Ante estos hallazgos se efectuó angiografía cerebral con colocación de un diversor de flujo, angioplastia con balón y embolización con “coils”.


Figura 3. RM cerebral, secuencia blackblood: dilatación aneurismática de 8.1 x 5.9 mm en el segmento comunicante anterior e irregularidad con reducción de calibre en M1 derecho. La técnica suprime la señal de la sangre en movimiento, haciendo que la luz vascular se observe negra y permitiendo resaltar la pared arterial.

Figura 4. Angiografía digital cerebral, reconstrucción 3D: se observa dominancia de la ACA derecha con pasaje a través de la ACoA hacia la ACA izquierda. A nivel de la ACoA se identifica un aneurisma fusiforme que compromete toda su longitud y se extiende hasta el extremo proximal del segmento A2 izquierdo. Del domo aneurismático emerge una rama arterial.
DISCUSIÓN
Los aneurismas cerebrales son más frecuentes en adultos, especialmente en pacientes de edad avanzada con antecedentes de aterosclerosis. En la población pediátrica son poco comunes y suelen ser secundarios a diversas etiologías; la más habitual es la endocarditis infecciosa.(5) En este contexto, el desprendimiento de vegetaciones desde una válvula afectada –en particular si son grandes y móviles– puede provocar la oclusión de distintos territorios vasculares y, en consecuencia, una amplia variedad de manifestaciones clínicas. El tránsito constante de microorganismos a la sangre desde una válvula mitral o aórtica infectada puede llevar a la colonización y destrucción de la pared del vaso, con la formación de un pseudoaneurisma que, incluso, puede ser sincrónico al curso de la endocarditis infecciosa.(6,7)
Tradicionalmente, esta patología se ha denominado “aneurisma micótico”, aunque ambos términos resultan imprecisos. No se trata de un aneurisma verdadero, ya que no existe dilatación de todas las capas de la arteria, sino destrucción de ellas y formación de una cavidad delimitada por el tejido circundante.(8) Además, su etiología no siempre es fúngica, sino más frecuentemente bacteriana; de hecho, la infección micótica es excepcional.(7)
Un estudio realizado en Chile en 2021 por Merthens y Kramer describió que los aneurismas micóticos intracraneanos se localizan con mayor frecuencia en ramas de la arteria cerebral media, hallazgo que coincide con el presente caso clínico.(8) Por su parte, un reporte de casos publicado por Dafne y Ayala señaló que estos aneurismas predominan en pacientes inmunocomprometidos, lo que se corresponde con el paciente en cuestión.(3)
El tratamiento de los aneurismas micóticos, ya sea microquirúrgico o endovascular, parece tener mayor tasa de éxito en la población pediátrica que en la adulta. Se postula que ello se debe a que la circulación leptomeníngea en los niños es lo suficientemente eficaz como para contrarrestar el vasoespasmo secundario a la hemorragia subaracnoidea.(5)
CONCLUSIÓN
Aunque infrecuentes, los aneurismas micóticos deben considerarse en pacientes con infecciones graves que desarrollan síntomas neurológicos súbitos o insidiosos, siendo la cefalea persistente un signo cardinal.
El diagnóstico oportuno permite instaurar un tratamiento antimicrobiano adecuado y planificar la estrategia neuroquirúrgica en forma precoz. Tras el tratamiento endovascular, no hemos encontrado en la bibliografía la descripción de recurrencia en un sitio diferente, como ocurrió en este caso.
Estos hallazgos refuerzan la necesidad de un seguimiento prolongado mediante angioRM, particularmente en pacientes inmunodeprimidos con infecciones crónicas recurrentes, a fin de reducir la mortalidad asociada a nuevos eventos.
Contribuciones de autoría
Conceptualización: Samantha Tandazo. Curación de datos: Melisa Nievas. Análisis formal: Carlos Rugilo. Adquisición de fondos: Flavio Requejo. Investigación y Administración del proyecto: Samantha Tandazo, Melisa Nievas. Metodología y Recursos: Carlos Rugilo, Flavio Requejo. Software y Validación: Melisa Nievas, Carlos Rugilo. Supervisión, Visualización, Redacción - borrador original y Redacción - revisión y edición: Samantha Tandazo, Flavio Requejo.
BIBLIOGRAFÍA
COMENTARIO
Los autores presentan un caso clínico de un paciente, de sexo masculino, de 16 años con antecedente de una leucemia linfoblástica aguda diagnosticada 4 años antes. Primero, se operó de un absceso cerebeloso derecho a Aspergillus confirmado con marcadores en sangre y TAC de tórax compatible. En el postoperatorio inmediato presentó una hemorragia en fosa posterior y se confirmó un aneurisma fusiforme de P3 derecho al que se realizó tratamiento endovascular. A los 2 años, se diagnosticó un aneurisma no roto de comunicante anterior y segmento proximal de A2 izquierdo + una irregularidad de M1 derecho. Finalmente, se efectuó nuevo tratamiento endovascular con diversor de flujo y coils.
El término “aneurisma cerebral infeccioso” (ACI) es ampliamente aceptado desde que Ojemann lo acuñó en 1984.(1) Huang y col. publicaron una serie de 706 casos de ACI pediátricos entre 1939 y 2005, solo el 2% fueron atribuidos a aneurismas infecciosos.(2) Otro autor señala que los aneurismas infecciosos representan el 15% de todos los aneurismas en pediatría.(3)
Al hablar de localización, son más frecuentes en el circuito anterior, con una prevalencia estimada de 75 a 93%,(4) y una revisión sistemática demostró que los ACI son más frecuentes en la arteria silviana en un 57.4% contra un 17.6% en el circuito posterior.(5) El estreptococo viridans y el estafilococo (áureos y epidermidis) desde una endocarditis representan un 57 a 91% de los casos;(6) entre los hongos, Aspergillus se lleva el 50% seguido de la Candida albicans.(7) Dada la historia natural y la alta morbimortalidad en la ruptura es fundamental la sospecha clínica-diagnóstica y el correcto tratamiento con los antibióticos adecuados. El análisis interdisciplinario determinará la mejor conducta.(8)
Quisiera felicitar a los autores por compartir este caso interesante y sumamente infrecuente, y solo remarcar 2 puntos: aconsejo mejorar la explicación de la presentación del caso y cuadro clínico; segundo, hubiera sido más ilustrativo conocer la evolución postoperatoria y, también, contar con la angiografía digital cerebral posterior al segundo tratamiento endovascular.