Melanocitoma espinal primario intradural intramedular
Stefania Esther Almagro Allende, Matías Berra, Javier Sánchez, Zamira Farah
Servicio de Neurocirugía, Hospital Córdoba de Alta Complejidad, Córdoba, Argentina
Recibido: 03/02/25 Aceptado: 20/05/25
Stefania Esther Almagro Allende
almagrostefi@gmail.com
DOI: 10.59156/revista.v39i02.706
ORCID
Stefania Esther Almagro Allende: 0009-0002-0339-8547
Matías Berra: 0009-0005-4995-7270
Javier Sánchez: 0009-0007-1624-1975F
Zamira Farah: 0009-0004-3577-5153
EMAILS
Matías Berra: drberra@hotmail.com
Javier Sánchez: Jass80@hotmail.com
Zamira Farah: farahzamira111@gmail.com
Los autores no declaran conflicto de interés
Los autores no declaran financiamiento.
Este es un artículo de acceso abierto bajo la licencia CC BY-NC https://creativecommons.org/licenses/by-nc/4.0/
RESUMEN
Introducción: el melanocitoma meníngeo es un tumor benigno cuyo origen son los melanocitos leptomeníngeos derivados de la cresta neural. Tiene una incidencia menor al 1% y su localización más frecuente es en la fosa posterior y, en menor medida, la ubicación espinal, donde suelen comportarse como extramedulares; la presentación intramedular es muy infrecuente. Se caracterizan por tener crecimiento lento junto con probabilidades de recidiva local y transformación maligna. La principal opción terapéutica es la quirúrgica con mejores resultados con la exéresis total.
Objetivos: reportar un caso de melanocitoma espinal primario intradural intramedular y analizar la bibliografía sobre el tema.
Descripción del caso: paciente de 54 años con resonancia magnética cervical compatible con lesión ocupante de espacio intradural intramedular con extensión desde C3 a C7 de 12.2 mm x 9.7 mm x 20.7 mm, con efecto de masa sobre el tejido medular espinal, hiperintensa en T1 y en T2 con captación tras la inyección del medio de contraste.
Intervencion: mediante un abordaje cervical posterior se realizó laminoplastia desde C3 a T1, apertura dural longitudinal, mielotomía dorsal longitudinal desde C3 a T1 con evidencia de lesión intramedular antes descripta de color marrón; esta se resecó mediante monitoreo intraoperatorio.
Conclusión: la indicación quirúrgica debe considerarse el tratamiento de elección, incluso en escenarios de resección parcial, donde la radioterapia puede constituir una herramienta terapéutica complementaria útil.
Palabras clave: Melanocitoma espinal. Melanocitoma meníngeo. Tumores intramedulares cervicales. Tumores melanocíticos
Primary intradural intramedular spinal melanocytoma
ABSTRACT
Background: meningeal melanocytoma is a benign tumor originating from leptomeningeal melanocytes derived from the neural crest. Its incidence is less than 1%. Its most common location is the posterior fossa and, to a lesser extent, the spinal cord, where it tends to behave extramedullary. Intramedullary presentation is very rare. It is characterized by slow growth and a risk of local recurrence and malignant transformation. The main therapeutic option is surgery, with the best results following total excision.
Objectives: to report a case of primary intradural spinal melanocytoma and analyze the literature on the subject.
Case description: a 54-year-old patient with a cervical MRI consistent with an intradural space-occupying lesion extending from C3 to C7, measuring 12.2 mm x 9.7 mm x 20.7 mm, with a mass effect on the spinal cord tissue, hyperintense on T1 and T2 weights, and with uptake after contrast injection.
Surgery: a posterior cervical approach was used to perform laminoplasty from C3 to T1, longitudinal dural opening, and longitudinal dorsal myelotomy from C3 to T1, with evidence of the aforementioned brown intramedullary lesion; the lesion was resected using intraoperative monitoring.
Conclusion: surgery should be considered the treatment of choice, even in partial resection settings, where radiotherapy may be a useful complementary therapeutic tool.
Keywords: Cervical intramedullary tumors. Melanocytic tumors. Meningeal melanocytoma. Spinal melanocytoma
INTRODUCCIÓN
Según la clasificación de la OMS, los tumores melanocíticos primarios del sistema nervioso central se agrupan en dos grandes categorías: formas difusas (como la melanocitosis y la melanomatosis leptomeníngea) y formas localizadas. Dentro de estas últimas se incluyen el melanocitoma y el melanoma maligno. El caso que presentamos se corresponde con el primer subtipo.1
El melanocitoma primario deriva de los melanocitos de las leptomeninges y sus precursores inmaduros son los melanoblastos. Estos provienen de las crestas neurales que durante el desarrollo embrionario migran hacia piel, mucosas, úvea, retina y leptomeninges.2
El melanocitoma meníngeo es un tumor poco frecuente, con una incidencia del 0.06 al 0.1% de los tumores cerebrales, y los espinales son aún más raros. Más frecuentes en el sexo femenino y a una edad media de 50 años, corresponden a tumores benignos, de crecimiento lento con posibilidades de recurrencia local, tanto posterior a la exéresis completa como incompleta, y de transformación maligna, aunque en raras ocasiones. Se comporta como una lesión ocupante de espacio, pigmentada, de color negro/marrón, adherida a la duramadre y a veces de tipo invasivo. Con respecto a la ubicación, en primer lugar, encontramos la localización intracraneal en fosa posterior (más precisamente en el ángulo pontocerebeloso y el cavum de Meckel) y, en menor proporción, la localización espinal (torácica y cervical) donde por lo general se comporta como intradural extramedular, mientras que la disposición intramedular es la menos habitual.3 Estas localizaciones coinciden con la mayor concentración de melanocitos en las regiones antes mencionadas.
En imágenes se describe en tomografía computada (TC) como iso o hipodensa con captación de contraste y en resonancia magnética (RM) como hiperintensa en T1 (a consecuencia de la concentración de melanina) e iso o hipointensa en imágenes ponderadas en T2.4
Los diagnósticos diferenciales principales incluyen el meningioma melanótico, schwannoma melanótico y melanoma primario o metastásico.5
Con respecto al tratamiento a seguir, la principal indicación es quirúrgica, con exéresis de la lesión, preferentemente, total. Al ser una patología poco habitual, no hay parámetros sólidos que establezcan qué pacientes se beneficiarán con técnicas de radio o quimioterapia.
Objetivos
Reportar un caso de melanocitoma espinal primario intradural intramedular y analizar la bibliografía sobre el tema.
DESCRIPCIÓN DEL CASO
Paciente de sexo masculino de 54 años, sin comorbilidades asociadas, que presenta dos episodios de crisis de ausencias típicas por lo que consulta con médico de cabecera quien le indica RM de encéfalo y cervical, con la subsiguiente derivación al servicio de neurocirugía.
Al examen de ingreso paciente vigil, orientado en tiempo, espacio y persona, obedece órdenes, lenguaje fluente, mirada primaria conjugada central, pupilas isocóricas intermedias reactivas, movilización espontánea de los cuatro miembros, sin déficit motor ni sensitivo objetivados al examen, sin alteración a la inspección de los reflejos osteotendinosos, con presencia de esfínteres continentes.
En el estudio de RM de encéfalo con contraste se describe atrofia del parénquima cerebral de forma generalizada asociado a hidrocefalia ex vacuo, sin otra aclaración a destacar. A nivel de la RM cervical con contraste se observa lesión ocupante de espacio intradural intramedular con extensión desde C3 a C7 de 12.2 mm x 9.7 mm x 20.7 mm, con efecto de masa sobre el tejido medular espinal en dichos niveles, comportándose como hiperintensa tanto en T1 como en T2, con captación tras la inyección del medio de contraste, sin evidencia de edema perilesional (Figura 1).

Figura 1. RM de columna cervical. A) Secuencia T1. Corte sagital. B) Secuencia T2. Corte sagital. C) Secuencia T2. Corte axial. D) Secuencia T1 con contraste. Corte sagital.
Intervención
Se coloca al paciente en decúbito prono, con inmovilización cefálica en posición neutra en ligera flexión por medio del uso de cabezal de tres puntos de fijación. Se realiza incisión longitudinal desde inion hasta apófisis espinosa de T1. Se avanza por planos siguiendo el ligamento nucal a nivel de la línea media con disección subperióstica y exposición de apófisis espinosas, láminas y articulaciones facetarias desde C1 a T1. Se identifica región entre láminas y facetas articulares desde C3 hasta T1 donde se efectúa el drillado y exposición de C3-T1. Luego se remueve el ligamento amarillo a nivel de la unión entre C2-C3 y C7-T1 para elevar el conjunto oseoligamentario desde C3 a T1 en bloque (Figura 2).

Figura 2. Vista de campo operatorio previo a la durotomía.
Se realiza apertura dural longitudinal, mielotomía dorsal medial en dichos niveles con evidencia de lesión ocupante de espacio intramedular de color marrón oscuro. Se ejecuta disección y exéresis total mediante uso de microscopio quirúrgico (Figuras 3, 4 y 5). Luego se inicia el cierre dural hermético. Para la laminoplastia se hacen orificios a nivel de las láminas de dichos segmentos de forma bilateral y fijación con seda 2.0 (Figura 6). Por último, se procede al cierre por planos según técnica habitual.

Figura 3. Vista de campo operatorio posterior a la durotomía.

Figura 4. Pieza quirúrgica de tejido tumoral.

Figura 5. Vista de lecho quirúrgico con presencia de material hemostático.

Figura 6. Vista de campo operatorio posterior a la laminoplastia.
Durante el acto quirúrgico se realizó electromiografía continua de músculos tributarios de raíces cervicodorsales y lumbosacras bilaterales, potenciales evocados motores (MEP) por estimulación eléctrica transcraneal, potenciales evocados somatosensitivos (PESS) de cuatro miembros y electroencefalografía continua (EEG) con registros basales, intraoperatorios y postresección; se concluye que el monitoreo basal neurofisiológico evidencia leve compromiso de vías ascendentes y caída en la amplitud de PESS a nivel de miembros inferiores durante el procedimiento con posterior recuperación que podrían relacionarse con un déficit transitorio postquirúrgico de buen pronóstico de recuperación e indemnidad del resto de vías ascendentes y descendentes exploradas.
En el postoperatorio inmediato el paciente no presenta cambios al examen físico previo, con movilización espontánea de los cuatro miembros, normoreflexia osteotendinosa y presencia de esfínteres continentes (Figura 7).

Figura 7. Imagen postquirúrgica del paciente.
El estudio anatomopatológico del material reveló la presencia de un tumor intramedular compatible con melanocitoma primario con ki67 del 3%, con técnicas de inmunohistoquímica con marcación positiva para S100, HMB45 (metilbromuro de homatropina 45) y negativas para GFAP (proteína ácida fibrilar glial) y pankeratina.
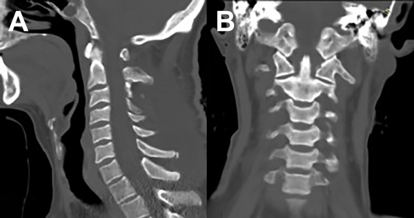
Se comprueba el grado de resección tumoral con RM de columna cervical confirmando la exéresis total macroscópica. Además, se realiza TC de columna cervical de control (Figuras 8 y 9).

Figura 8. RM de columna cervical. A) Secuencia T1. Corte sagital. B) Secuencia T2. Corte sagital. C) Secuencia T1 con contraste. Corte sagital.

Figura 9. TC de columna cervical. A) Corte sagital. B) Corte coronal.
DISCUSIÓN
El melanocitoma primario del SNC es un tumor poco frecuente con una incidencia de 1 cada 10 millones de habitantes, con predominio de localización craneal sobre la espinal. En el caso del melanocitoma primario espinal prevalece la ubicación intradural extramedular con escasa descripción de los casos intramedulares.
Los primeros hallazgos publicados sobre el melanocitoma meníngeo espinal primario datan de 1972. Descriptos primero por Catherine Limas y Fermin Tio, reportaron el caso de un paciente de sexo masculino de 71 años que acude por presentar cefalea asociada a déficits neurológicos motores y sensitivos que fueron empeorando de forma progresiva en el transcurso de 5.5 años, aproximadamente. Refirieron una lesión ocupante de espacio localizada a nivel del foramen magno con extensión hacia C1-C2, de color negruzco, sin evidencia de necrosis ni hemorragia a nivel del estudio microscópico con la característica de la presencia de melanocitos, premelanosomas en diferentes estadios de su desarrollo y melanosomas.6
Lo que es indudable es que la elección de la conducta quirúrgica con exéresis total es lo que le brinda al paciente el mejor pronóstico. En términos de radioterapia y quimioterapia postexéresis aún no existen bases sólidas que guíen dicha indicación teniendo en cuenta la incidencia de recurrencia local. En el estudio de 2004 publicado por la American Cancer Society se analiza el control local y la supervivencia en relación a cuatro tipos de tratamiento: exéresis completa (EC), exéresis completa más radioterapia (EC-RT), exéresis incompleta (EI) y exéresis incompleta más radioterapia (EI-RT). Se analizaron en total 89 pacientes (46 ET, 3 ET-RT, 23 EI y 17 EI-RT). Los porcentajes de control local a los 5 años fueron de 80%, 100% (teniendo en cuenta el escaso número de pacientes en esta categoría), 18% y 72%, respectivamente.
La tasa de supervivencia a los 5 años fue del 100% para los casos de ET, ET-RT y EI-RT frente al 46% para los casos de RI solamente.7 Deducimos que en casos de resección completa la indicación de RT posterior tiene resultados similares en términos de supervivencia y que la mayor diferencia se logra con la indicación de RT en casos de exéresis incompleta.
Quedan por definir directrices más claras a la hora de la elección del tratamiento a seguir (ya sea radio o quimioterapia), siendo necesario para ello un mayor recuento de casos para su análisis.
CONCLUSIÓN
Destacamos la presentación del caso por su importancia en términos de difusión debido a su poca frecuencia, tanto como tumor melanocítico primario como por su ubicación espinal, además de la particular localización intramedular.
Enfatizamos que el estudio anatomopatológico, cumpliendo los requisitos pertinentes de caracterización, han otorgado el beneficio de lograr una mejor distinción con respecto a los diagnósticos diferenciales, además de explicitar su origen a partir de los melanocitos derivados de la cresta neural, evitando, así, errores de diagnóstico ocurridos en el pasado.
Finalizamos remarcando que el melanocitoma meníngeo primario es un tumor benigno cuyo tratamiento quirúrgico de exéresis completa puede significar la curación del paciente. Hay que señalar que también se obtienen buenos resultados pronósticos aun en casos de exéresis incompleta acompañados de radioterapia, siempre teniendo en cuenta sus posibilidades de recurrencia local, por lo que requiere controles por imágenes de forma extendida en el tiempo.
Contribuciones de autoría
Conceptualización, Adquisición de fondos, Investigación, Recursos, Visualización, Redacción - borrador original: Stefania Esther Almagro Allende. Curación de datos y Software: Zamira Farah. Análisis formal, Supervisión, Redacción - revisión y edición: Matías Berra. Metodología, Administración del proyecto y Validación: Javier Sánchez.
BIBLIOGRAFÍA
COMENTARIO
Interesante artículo sobre una patología infrecuente pero que hay que conocerla, tanto por su crecimiento lento, su alto grado de recidiva como por su potencial de malignización.
En este caso (extensivo a la mayoría de los tumores intramedulares) hay que tener en cuenta los cambios mecánicos que se producen como consecuencia de la cirugía: el potencial de deformación cifótica de la columna cervical con el paso de los años (“cuello de cisne”). Además del control postquirúrgico tumoral habitual y obligatorio, es indispensable realizar controles a mediano y largo plazo de la curvatura cervical. Cuando las cifosis cervicales son severas, las cirugías de corrección son complejas y con alta morbilidad.
Por último, como detalle técnico, la realización de una laminoplastia cervical nunca debe superar el nivel C7. Hay que evitar invadir el complejo músculo/ligamentario/óseo C7. El anclaje o “rienda” inferior en la laminoplastia depende del complejo posterior C7. Su invasión y/o manipulación puede afectar seriamente la estabilidad cervical luego del procedimiento.
Felicito a los autores por la publicación.
Ramiro Gutiérrez
Servicio de Neurocirugía y Cirugía de Columna, Clínica Güemes, Luján, Provincia de Buenos Aires, Argentina