Cavernomas: análisis de 13 casos pediátricos
Alejandro Saravia Toledo, Giuliana Agras Menghi, Adrián Fernández, Mario Sergio Jaikin
División Neurocirugía, Hospital de Niños Ricardo Gutiérrez, Ciudad de Buenos Aires, Argentina
Recibido:10/01/2025 Aceptado:22/05/2025
Mario Jaikin
mserjai13@gmail.com
DOI: 10.59156/revista.v0i0.682
ORCID
Alejandro Saravia Toledo: 0009-0006-6517-4820
Giuliana Agras Menghi: 0009-0008-0065-2902
Adrián Fernández: 0009-0007-5156-3590
Mario Sergio Jaikin: 0009-0008-3430-659X
EMAILS
Alejandro Saravia Toledo: alejandrosaravia5@gmail.com
Giuliana Agras Menghi: giulianaagrasmenghi@gmail.com
Adrián Fernández: acfernand@intramed.net.ar
Los autores no declaran conflicto de interés
Los autores no declaran financiamiento.
Este es un artículo de acceso abierto bajo la licencia CC BY-NC https://creativecommons.org/licenses/by-nc/4.0/
RESUMEN
Introducción: las malformaciones cavernosas (MC) o cavernomas (C) son malformaciones vasculares de bajo flujo, angiográficamente ocultas y con características por imágenes de resonancia magnética que pueden definir el tiempo de degradación de la hemoglobina e incluso pequeños niveles líquidos. Corresponden a una de las principales causas de sangrado cerebral en pediatría, y pueden ser esporádicas, o de tipo familiar y con lesiones múltiples. La remoción microquirúrgica se recomienda en casos sintomáticos y accesibles anatómicamente.
Objetivos: reportar nuestra serie de casos de cavernomas y comparar la información con la literatura publicada.
Material y métodos: estudio descriptivo retrospectivo de serie de casos de pacientes con diagnóstico de cavernomas entre abril de 2016 y abril de 2022, con revisión de historias clínicas, neuroimágenes, partes quirúrgicos y anatomopatológicos. Se recopilaron datos filiatorios, presentación clínica, localización, tipo de tratamiento, evolución y hallazgos por imágenes.
Resultados: se incluyeron 13 pacientes, 8 varones y 5 mujeres. Rango etario de 7 meses a 16 años (media 8.7 años); 3 pacientes (23%) con diagnóstico de cavernomatosis múltiple familiar; 6 supratentoriales corticales, 2 supratentoriales profundas, 3 en tronco encefálico, 1 cerebeloso y 1 medular. Doce casos (92%) debutaron con sangrado sintomático. Once (85%) requirieron cirugía, todos sintomáticos: 9 (82%) por primer sangrado y 2 (18%) en resangrado. El 100% resección total. Mejoría clínica postquirúrgica en el 91%. La media de seguimiento fue de 2.5 años. Se destacan 7 casos para su mayor análisis.
Conclusión: los cavernomas son entidades dinámicas que requieren seguimiento y debe considerarse la oportunidad quirúrgica, sobre todo en pacientes pediátricos con larga expectativa de vida. En lesiones sintomáticas y anatómicamente accesibles se logran resultados satisfactorios con resección quirúrgica completa.
Palabras clave: Cavernoma. Hemorragia intracraneal. Malformación cavernosa. Neurocirugía pediátrica
Cavernomas: analysis of 13 pediatrics cases
ABSTRACT
Background: cavernous malformations (CM) or cavernomas (C) are low-flow vascular malformations, angiographically occult and with magnetic resonance imaging characteristics that can define the time of haemoglobin degradation and even small fluid levels. They correspond to one of the main causes of cerebral bleeding in paediatrics and can be sporadic or familial and with multiple lesions. Microsurgical removal is recommended in symptomatic and anatomically accessible cases.
Objectives: to report our case series of cavernomas and to compare it with the published literature.
Methods: descriptive retrospective case series including patients diagnosed with CM between April 2016 and April 2022, via review of clinical records, neuroimages, operative and pathology reports. We focused on demographic data, clinical presentation, localization, treatment, outcome and neuroimaging findings.
Results: 13 children were included, 8 males and 5 females, with an age range from 7 months to 16 years (average age of 8.7 years). Three patients (23%) have a familial form with multiple lesions. Location was cortical supratentorial in 6 patients, deep supratentorial in 2, brainstem in 3, cerebellar in 1 and spinal in 1 child. Twelve cases (92%) presented with symptomatic haemorrhage. Eleven (85%) required surgery, all of them symptomatic: 9 (82%) due to a first haemorrhage and 2 (18%) due to rebleeding. Two patients remain in control due a deep location of the lesions. The 100% have a gross total resection, and 91% have postoperative neurological improvement. Mean time of follow-up was 2.5 years. Seven cases are remarked for further analysis.
Conclusion: cavernomas are dynamic lesions that require surveillance; surgical opportunity must be considered, especially in paediatric population due to its long-life expectancy. Symptomatic and surgically accessible lesions were completely resected with favourable outcomes.
Keywords: Cavernoma. Cavernous malformation. Intracranial haemorrhage. Paediatric neurosurgery
INTRODUCCIÓN
Las malformaciones cavernosas, hemangiomas cavernosos o cavernomas (C) son malformaciones vasculares de bajo flujo, angiográficamente ocultas, caracterizadas por cavidades capilares agrandadas, con una simple capa de endotelio, sin capa muscular, con restos hemáticos y macroscópicamente con forma de mora.1-3 Si bien se utilizan muchos términos para estas lesiones, según la clasificación de la International Society for the Study of Vascular Anomalies (ISSVA), son malformaciones venosas de bajo flujo.4 Pueden localizarse en todo el sistema nervioso central, ya sea cerebro o médula espinal.
La prevalencia es de 0.4-0.8% en la población general y 0.4-0.53% en la población pediátrica,1,5,6 la edad media en esta población va de los 8.5 a los 10.2 años,7-9 con una aparición bimodal a los 4 y 12 años.1,8 Los cavernomas están reportados como una de las principales causas de sangrado cerebral en pediatría.3,8
Desde el punto de vista estrictamente quirúrgico son lesiones “extracerebrales”, a menudo disecadas por los propios sangrados, lo que facilita su identificación y separación del tejido circundante. Las dificultades mayores se presentan primero en diseñar el trayecto más corto y menos dañino para el tejido sano interpuesto, y luego en la disección que debe apegarse al plano de la lesión, utilizando al mínimo la coagulación bipolar para liberar algunas adherencias glióticas que puedan retener al cavernoma en su lecho.
El estudio inicial, en un episodio agudo, suele ser la tomografía computada (TC), donde se va a evidenciar una lesión circunscripta hiper o isodensa, con hemorragia ventricular, o sin esta, según la localización. Dicha lesión es una entidad bien definida en imágenes por resonancia magnética (RM), y es característica la imagen en “palomitas de maíz” o “mora” con anillo de pérdida de señal debido a la hemosiderina. En el T1 la imagen va a depender del estadio de los productos de degradación de la sangre, lo mismo en cuanto al T2, además de evidenciarse un anillo hipointenso. La secuencia más sensible para identificar dichas lesiones es el GRE-T2 o las imágenes por susceptibilidad magnética (SWI), donde se evidencia un fuerte resalto hipointenso (imagen de floración), incluso en lesiones muy pequeñas.10,11
Se han identificado dos formas: 1) esporádica, caracterizada por lesiones solitarias y 2) familiar autosómica dominante, caracterizada por presentar mutaciones genéticas específicas y múltiples lesiones.12
Las series de pacientes pediátricos con malformaciones cavernosas son escasas.
OBJETIVOS
Presentar nuestra serie de casos, las características clínicas y la localización anatómica, el manejo quirúrgico en los casos operados y la evolución, comparando nuestros resultados con la literatura publicada.
MATERIALES Y MÉTODOS
Realizamos un estudio observacional de serie de casos de pacientes con diagnóstico de cavernomas en nuestra Institución, donde se efectuó un análisis retrospectivo de datos que incluyó: revisión de historias clínicas, partes quirúrgicos, estudios de imágenes e informes anatomopatológicos, en el período comprendido entre el 01/04/2016 y el 01/04/2022.
Se consignaron edad, sexo, síntomas de presentación que llevaron a la consulta, presencia de sangrado, diagnóstico de cavernomatosis múltiple, indicación de cirugía, tipo de resección, evolución y tiempo de seguimiento. Su localización fue clasificada en 5 tipos: 1) supratentorial cortical, 2) supratentorial profunda, 3) infratentorial en tronco del encéfalo, 4) infratentorial fuera del tronco del encéfalo y 5) medular.
Todos los pacientes fueron estudiados mediante tomografía computada cerebral (TC), resonancia magnética (RM) de cerebro o columna con contraste endovenoso (EV) y sin este, siendo las secuencias spin-eco (T1 y T2), gradient echo (GRE) y las secuencias de susceptibilidad magnética (SWI) las más utilizadas. En casos seleccionados se realizó DTI-tractografía.
RESULTADOS
Fueron analizados 13 pacientes, con rango etario entre 7 meses y 16 años, la media de edad fue de 8.7 años. Ocho varones (61%) y cinco mujeres (39%). De la serie, 11 pacientes fueron operados (85%) y 2 (15%) se encuentran en seguimiento. Tres (23%) tuvieron diagnóstico de síndrome de malformaciones cavernosas cerebrales familiar (SMCCF), de los cuales uno requirió 3 cirugías, ya que los síntomas fueron debidos a diferentes lesiones. En cuanto a la localización, 8 fueron supratentoriales (61%), 4 infratentoriales (30%) y 1 medular (9%). En cuanto a la ubicación específica: 6 se localizaron en la supratentorial cortical, 2 en la supratentorial profunda, 3 en la infratentorial en tronco del encéfalo, 1 en la infratentorial cerebeloso y 1 medular. Se halló anomalía del drenaje venoso en 2 casos (15%). Doce pacientes (92%) presentaron sangrado sintomático. Las manifestaciones clínicas fueron crisis epilépticas en 6 casos (46%), aparición de déficit focal neurológico en 4 (30%), síndrome cerebeloso en 1 (8%), síntomas por hipertensión endocraneana secundaria a hematoma en 1 (8%), y 1 caso fue diagnóstico incidental (8%).
La indicación quirúrgica fue para pacientes sintomáticos en todos los casos, en el primer sangrado para 9 (82%) y en el segundo sangrado en 2 (18%). La resección fue total en todos los casos.
Se presentaron 2 complicaciones postquirúrgicas (18%): 1 con aparición de estatus convulsivo que requirió recirugía y 1 necrosis del colgajo craneal en paciente portadora de morfea. La mejoría clínica en el postquirúrgico fue favorable en el 91% de los casos, evaluada mediante el control de las crisis convulsivas en los pacientes que las presentaron, la desaparición de síntomas por hipertensión endocraneana, y la recuperación parcial o total de los déficits neurológicos. En solo 1 caso (9%) no se observó mejoría tras la cirugía, con persistencia del déficit neurológico prequirúrgico. De los 6 pacientes con crisis convulsivas, 5 la controlaron luego de la cirugía (Engel tipo 1), mientras que un paciente se encontraba inicialmente libre de crisis, actualmente con crisis ocasionales controladas con medicación (Engel 2 A). El tiempo de seguimiento fue de 1 mes a 6 años (media de 2.6 años). Se destacan 7 casos para mayor análisis.
Se resumen los resultados en la Tabla 1.
TABLA 1. DESCRIPCIÓN DE LA SERIE DE CASOS OPERADOS
Paciente |
Sexo |
Edad |
SMCCF* |
Localización |
Clínica |
Cirugía |
Eventos adversos postq. |
Mejoría clínica postq. |
Tiempo de seguimiento |
1 (Fig. 1C) |
M |
12 a |
Sí |
Supratentorial superficial fronto-opercular derecha |
Convulsiones |
Crisis parciales motoras: sí |
Mejoría, algunas crisis ocasionales. Engel 2 A |
6 años |
|
2 (Fig. 7) |
M |
1 a |
Sí |
Supratentorial superficial frontal derecha |
Convulsiones |
Estatus convulsivo, crisis parciales que generalizaron: sí |
Controla crisis. Engel 1 |
2 años |
|
3 (Fig. 1A) |
F |
16 a |
No |
Convulsiones |
Crisis de ausencia: sí |
Controla crisis. Engel 1 |
3 años |
||
4 |
F |
7 a |
No |
Convulsiones |
Crisis parciales motoras + ausencias: sí |
Controla crisis. Engel 1 |
1 año |
||
5 |
F |
7 m |
Sí |
Convulsiones |
Crisis parciales motoras: sí |
Nuevas crisis que requirieron recirugía |
Controla crisis. Engel 1 |
4 meses |
|
6 (Fig. 1B) |
M |
2 a |
No |
Supratentorial superficial parieto temporal derecha |
Convulsiones |
Estatus convulsivo, crisis tónico-clónico generalizadas: sí |
Controla crisis. Engel 1 |
2 años |
|
7 |
M |
9 a |
No |
Hallazgo |
Hiperactividad, retraso madurativo: no |
1 año |
|||
8 (Fig. 2) |
F |
10 a |
No |
SHTE† + foco neurológico |
Deterioro del sensorio, vómitos, hemiparesia crural derecho: sí |
Necrosis colgajo craneal |
Recupera función motora |
2 años |
|
9 |
M |
10 a |
No |
Infratentorial TE‡ bulbomedular |
Déficit neurológico |
Hemiparesia braquiocrural izquierda: no |
1 año y medio |
||
10 (Fig. 3) |
M |
5 a |
No |
Infratentorial TE protuberancia |
Deficit neurológico + síndrome cerebeloso |
Cefalea, vómitos, ataxia y dismetría, inestabilidad, VII izq., paresia crural izq.: sí |
Mejoría síndrome cerebeloso, persiste foco |
1 año |
|
11 (Fig. 4) |
M |
11 a |
No |
Infratentorial TE bulboprotuberancial |
Déficit neurológico + apneas |
Hemiparesia braquiocrural der. + VI y VII par izq., apneas: sí |
Mejoría de función respiratoria, leve mejoría déficit neurológico |
6 años |
|
12 (Fig. 5) |
F |
15 a |
No |
Infratentorial no TE vermis, hemisferio cerebeloso izquierdo y pedúnculo cereb. superior |
Síndrome cerebeloso |
Cefalea, vómitos, ataxia y dismetría: sí |
Recuperación ad integrum |
2 años y medio |
|
13 (Fig. 6) |
M |
15 a |
No |
Medular T10 + hemisferio cerebeloso derecho |
Foco neurológico |
Paraplejia con nivel sensitivo T11, alteración de esfínteres anal y vesical: sí |
Recuperación parcial de función motora |
1 mes |
*SMCCF: Síndrome de malformaciones cavernosas familiar, †SHTE: Síndrome de hipertensión endocraneana, ‡TE: tronco del encéfalo.

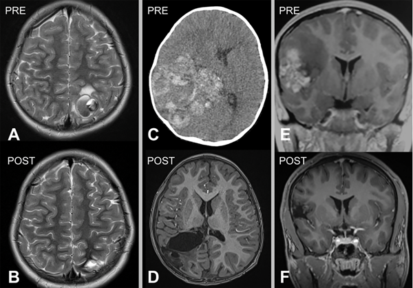
Figura 1. Tres casos de cavernomas cerebrales supratentoriales superficiales operados. A) y B) Imágenes prequirúrgicas y postquirúrgicas del paciente número 3: femenina de 7 años, que consulta por crisis parcial motora en miembro inferior derecho y crisis de ausencias. Secuencia SWI hipointensa correspondiente a restos hemáticos, secuencia T1 con contraste EV libre de lesión. C) y D) Imágenes pre y postquirúrgicas del paciente número 6: masculino de 2 años que es derivado por estatus convulsivo. TC de cerebro sin contraste que muestra extensa lesión parietotemporal derecha espontáneamente hiperdensa, con desvío de línea media y adelgazamiento de calota craneana homolateral. RM de cerebro con contraste EV, se observa cavidad porencefálica postoperatoria, recuperación de anatomía ventricular. E) y F) Imágenes pre y postquirúrgicas del paciente número 1: masculino de 12 años que consulta por crisis parciales simples motoras, que posteriormente generalizan. RM de cerebro con contraste EV que muestra lesión hiperintensa en región frontoopercular derecha. RM de cerebro con contraste EV postoperatoria, exéresis completa.

Figura 2. Cavernoma cerebral supratentorial profundo, ubicado en la cabeza del núcleo caudado izquierdo. Paciente femenina de 10 años que ingresa por síndrome de hipertensión endocraneana y primer episodio de sangrado con volcado intraventricular A) requiriendo colocación de drenaje ventricular externo. Evolucionó favorablemente. B) RM cerebral secuencia T2, paciente reingresa a los 2 meses por nuevo sangrado, agregando hemiparesia crural derecha, se decide cirugía programada. C) RM secuencia DTI-tractografía, realizada para planificación quirúrgica. D) RM cerebral, planificación quirúrgica mediante neuronavegación, eligiendo un abordaje transcalloso contralateral. E) y F) RM secuencias T2 y T1 en el postoperatorio, muestran la resección completa. G) y H) Imágenes microquirúrgicas. Se observa la hoz del cerebro y el cavernoma disecado (flecha blanca), en la línea de puntos blanca se observa el lecho quirúrgico con restos de hemosiderina.

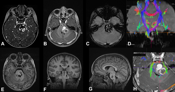
Figura 3. MC cerebral infratentorial del tronco del encéfalo. Paciente masculino de 5 años que ingresa por síndrome cerebeloso, asociado a hemiparesia faciobraquiocrural izquierda. Evoluciona favorablemente, egreso hospitalario. A los 2 meses reingresa por un episodio de resangrado. Se decide cirugía programada. A) RM T2 FIESTA que muestra lesión protuberancial, heterogénea, con halo hipointenso. B) RM T1 con contraste EV que muestra sangrado en distintos estadios. C) RM SWI imagen típica. D) y H) RM DTI-tractografía que muestra tractos pontinos transversos en rojo y pedúnculo cerebeloso medio en verde, en este caso se eligió un abordaje supracerebeloso infratentorial lateral y se accedió al cavernoma a través del surco mesencefálico lateral. E-G) RM postquirúrgica de cerebro secuencia T1 en los 3 planos, se evidencia la resección completa de la lesión.

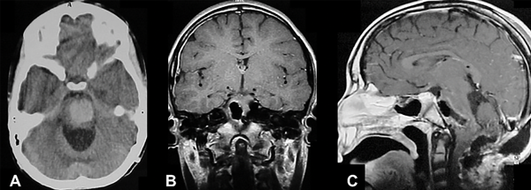
Figura 4. Cavernoma del tronco del encéfalo. Paciente masculino de 11 años, antecedentes de cirugía de resección parcial del cavernoma en dos oportunidades e hidrocefalia que requirió sistema de derivación ventriculoperitoneal. Ingresó por déficit neurológico focal progresivo que agregó trastornos deglutorios, episodios de apneas y paro cardiorrespiratorio, por lo que se realizó la revisión valvular, sin mejoría, para luego efectuar cirugía de resección del cavernoma. Resección completa. Paciente evoluciona favorablemente recuperando función respiratoria y parcial del déficit motor. A) TC de cerebro de urgencia sin contraste que muestra sangrado bulboprotuberancial extenso. B) RM postoperatoria de cerebro con contraste EV, corte coronal, lecho quirúrgico libre de lesión. C) Corte sagital del mismo estudio, nótese el trayecto de disección, generando imagen de tronco “atravesado”.

Figura 5. MC cerebral infratentorial cerebelosa. Paciente femenino de 15 años, consulta por síndrome cerebeloso. A) TC de cerebro que muestra imagen espontáneamente hiperdensa en región vermiana y pedúnculo cerebeloso medio izquierdo. B) RM secuencia T2 que muestra lesión heterogénea con edema perilesional. C) RM secuencia T1 con contraste EV en plano coronal que muestra la relación de la MC con el receso superolateral. D) RM-SWI que muestra lesión con componentes hemáticos. E-F) RM postquirúrgica cerebral, secuencia T1 con contraste EV, se muestra resección completa de la malformación cavernosa.

Figura 6. MC medular a nivel T10. Paciente masculino de 15 años que ingresa por paraplejía progresiva de varios días de evolución y compromiso de esfínteres. A) RM de columna dorsolumbar corte sagital T2-STIR que evidencia lesión heterogénea, compatible con MC. B) RM corte axial T2-STIR. C-D) RM de cerebro secuencias SWI y T2 que muestra otra lesión en hemisferio cerebeloso derecho. Por la severidad del cuadro clínico se realizó cirugía de urgencia. E-F) RM de columna dorsolumbar postquirúrgica, secuencias T1 y T2-STIR donde se observa el lecho quirúrgico libre de lesión. Se observa laminectomía del nivel T10. El paciente tuvo una recuperación parcial del foco neurológico. Actualmente en rehabilitación.

Figura 7. SMCCF. Paciente masculino de 12 meses que ingresa por cuadro de estatus convulsivo. Ingresa a cirugía de urgencia para resección de lesión temporal. Por persistir con crisis se realiza reexploración y exéresis de lesión frontal, tras lo cual controla las adecuadamente. A-C) TC cerebral con contraste EV que muestra dos lesiones hemorrágicas extensas en distintos estadios. Lesión temporal derecha subaguda, frontal derecha quística en reabsorción. D) y E) RM de cerebro secuencia SWI que pone de manifiesto múltiples lesiones, efecto “blooming” de distintos tamaños corticosubcorticales y profundas. F) Lesiones negativas en la secuencia T2.
DISCUSIÓN
Si bien hay un aumento en las publicaciones pediátricas, la mayor parte de la bibliografía y los datos estadísticos se basan en series de pacientes adultos.12-16 Utilizando dichas series pediátricas como comparación, en nuestra casuística hubo una distribución por sexo de 61% masculino y 39% femenino, sin ser estadísticamente significativa, similar a Aslan y cols.1,3,17-19 La edad media de presentación mostró dos picos, a los 6 y a los 12 años en la serie de 317 pacientes de Ascarri y cols., mientras que otros artículos muestran una edad de 10 ± 5 años; en nuestra serie la media fue de 8.7 años.3,20-22 Los síntomas más frecuentes en nuestra serie fueron las crisis epilépticas en un 46%, similar a las series publicadas,1,3,22,23 seguidas de la aparición de déficit focal neurológico en un 30%, mayor que lo descripto por Aslan y cols. (13.7%) pero similar a otros autores,1,3,7,9 y por último, síntomas de hipertensión endocraneana.
Las MC se localizan en el compartimento supratentorial entre el 60-90 %,1,3,9,17,24 y en nuestra serie fue del 61% (ver Figura 1). Acciarri y cols. encontraron predominio por el lado izquierdo en casos sintomáticos, mientras que nosotros no tuvimos predisposición por ningún lado.3 De nuestra serie, el 8% tuvo diagnóstico incidental, un porcentaje bajo e incluso menor a lo reportado por Bigi y cols. con un 14.2%.9
Sangrado
En pacientes que no han presentado sangrado, la tasa de sangrado anual se ubica en el 0.6%, mientras que en pacientes con un primer sangrado aumenta hasta un 4.5-11.7% anual.14,21 En diversas series la tasa de resangrado se ubica entre un 3.3-7% anual,20,25-27 lo cual puede parecer un riesgo bajo, pero debemos tener en cuenta los efectos devastadores que puede producir y, en el caso de los pacientes en edad pediátrica, arrastrar una secuela permanente. Flemming y cols. encontraron una media de tiempo de 8 meses entre el primer y el segundo sangrado.26
Zhang y cols. encontraron asociación entre MC y anomalía del drenaje venoso como factor de riesgo para sangrado en lesiones mayores a 1 cm, infratentoriales, y con drenaje venoso anómalo en cabeza de medusa, similar a lo hallado por Gross y cols. junto a una hemorragia previa.16,20
Se debe tener en cuenta que, una vez producido el primer sangrado sintomático, la tasa de resangrado aumenta. Santos y cols. describieron un 15.9% de riesgo de resangrado a los 5 años en su cohorte de 129 pacientes. La presencia de productos de degradación en período agudo y subagudo sería uno de los principales factores de riesgo para resangrado, así Nikoubashman y cols. obtuvieron una tasa de resangrados de 23.4% en pacientes con evidencia de productos de degradación, y de 3.4% para los casos que no evidenciaron dichos elementos.27,28
Manejo de lesiones cerebrales
Para un adecuado manejo hay que tener en cuenta la evolución natural de las MC antes mencionada y el riesgo quirúrgico.29-32 Además, considerar factores como la edad, sexo, localización, síndromes asociados, presencia de crisis convulsivas y su respuesta al tratamiento médico para definir la mejor opción para los pacientes.2,24
Según las guías de manejo de cavernomas basadas en una revisión sistemática de 1270 artículos,33 no se recomienda cirugía para pacientes asintomáticos, especialmente si las lesiones están localizadas en áreas elocuentes, profundas o en tronco del encéfalo. Para estos pacientes se recomienda seguimiento clínico y con neuroimágenes, mediante RM con secuencias SWI y de spin-eco con contraste endovenoso. Una vez acaecido un evento hemorrágico agudo, o la aparición de déficit neurológico focal, distintos autores abogan por la opción quirúrgica.1,3,19,24,34,35
Considerando la expectativa de vida actual y los posibles déficits neurológicos que afecten la maduración de estos pacientes es aconsejable tomar una conducta activa en los casos anatómicamente factibles.
Cuando los cavernomas se asocian con epilepsia, la cirugía va a tener un rol primordial, sin embargo, cada caso tiene que ser evaluado de forma independiente, mediante todos los estudios disponibles para confirmar la epilepsia secundaria. Para la resección quirúrgica existen dos posturas, quienes resecan el tejido gliótico, con restos de hemosiderina, ya que lo consideran como foco irritativo epileptógeno,36 mientras que otros autores prefieren realizar una exéresis del cavernoma sin el tejido circundante, ya que puede inducir edema vasogénico, lo cual puede provocar la persistencia de las crisis.24,25 Nos inclinamos por esta última postura, ya que generalmente la propia lesión ha delimitado el campo quirúrgico e intentar resecar un “margen de seguridad” puede producir nuevas lesiones.
Manejo de lesiones en tronco encefálico
De acuerdo con la bibliografía, entre el 10 y el 23% de las MC se encuentra a nivel de la fosa posterior, predominantemente en la región de la protuberancia, pudiendo encontrarse en hemisferios cerebelosos o en el resto del tronco del encéfalo. En nuestra serie obtuvimos resultados similares, con 30% de las lesiones de ubicación infratentorial, siendo dos tercios de ellas a nivel del tronco cerebral (ver Figuras 3 y 4).3,5,18,24,25,34
A diferencia de otras localizaciones, las MC del tronco encefálico presentan mayor riesgo de sangrado, con una incidencia anual de 2.7% y de resangrado de 21%, con un intervalo de resangrado de aproximadamente 13.8 meses.9,14,24,25,34 Estas lesiones suelen presentarse como hemorragias intraparenquimatosas sintomáticas agudas, con déficit motor y de pares craneales. Debido a que son lesiones de bajo flujo, que suelen desplazar en lugar de infiltrar los tejidos circundantes, aproximadamente un tercio de los pacientes tiene recuperación completa de los síntomas y hasta un tercio, recuperación parcial. Sin embargo, debido a que se encuentran en una zona elocuente con funciones vitales, un sangrado de mayor volumen o sangrados recurrentes con aumento del tamaño de la malformación pueden ocasionar déficits permanentes o incluso la muerte.25,34,37 Los tres casos que presentamos con cavernomas de tronco presentaron déficit focal debido a desplazamiento del haz corticoespinal y uno de ellos, a nivel protuberancial, con gran efecto de masa, evolucionó con parálisis facial periférica y síndrome cerebeloso.
El tratamiento de estos pacientes plantea un desafío, debido a la mayor expectativa de vida en pediatría, el riesgo de sangrado previamente mencionado y los riesgos inherentes a la cirugía al encontrarnos en un área crítica, antiguamente considerada inaccesible. El abordaje conservador, con control clínico y por imágenes de tipo evolutivo, puede ser planteado en aquellos pacientes asintomáticos o con primer episodio de sangrado sintomático con mejoría clínica.25,34 Sin embargo, algunos autores plantean la necesidad de cirugía, incluso en estos últimos pacientes, debido al riesgo de resangrado.24
La indicación quirúrgica debe ser considerada en aquellos pacientes con MC que presentan reiterados sangrados con deterioro neurológico progresivo, hemorragia aguda por fuera de la cápsula glial, efecto de masa significativo de la lesión, o que esta abulte la superficie pial o ependimaria (cuya resección no requiere atravesar tejido sano), incluso en aquellos pacientes asintomáticos que en controles evidencien por imágenes un aumento significativo del tamaño de la MC.3,24,34
Para planificar la exéresis de las MC de tronco encefálico debe tenerse presente el principio de utilizar el camino más corto hacia la lesión, sin resecar tejido sano elocuente. Para ello es necesario seleccionar el abordaje según la ubicación de la lesión y las zonas de entrada seguras al tronco del encéfalo.25,34,37,38 El objetivo es obtener una resección total de la lesión para evitar riesgo de resangrado y lograr un resultado favorable a largo plazo. La mayoría de los pacientes presenta mejoría sintomática postquirúrgica. Debe tenerse presente que las secuelas neurológicas suelen encontrarse desde el prequirúrgico (aproximadamente 72% de los pacientes con déficit de pares craneales, de los cuales solo 13.8% tiene recuperación clínica) y no necesariamente son consecuencia de la intervención quirúrgica.25,34
Dos de los tres casos que presentamos requirieron tratamiento quirúrgico (ver Figuras 3 a 5) debido al déficit neurológico progresivo que interfería con la calidad de vida y al efecto de masa con desplazamiento de las estructuras bulboprotuberanciales circundantes. Ambos casos presentaron mejoría sintomática postquirúrgica, con recuperación parcial del foco neurológico, sin nuevos déficits asociados al procedimiento.
Manejo de lesiones espinales
Los cavernomas espinales corresponden al 5-12% de todas las anomalías vasculares en esta localización24,39 y representan el 6.5% de las MC del SNC.3 En la mayoría de los casos son lesiones intramedulares (55%),3,39 y pueden encontrarse con menor frecuencia de manera intradural extramedular (15%), epidural (20%) o vertebral (10%).3 Predominantemente se ubican a nivel torácico.3,9 Suelen ser lesiones esporádicas, pero se han descripto lesiones intracraneales asintomáticas con MC espinales sintomáticas. En la serie de Cohen Gadol y cols. de MC espinales, 42% presentó al menos una lesión intracraneal adicional.39 Por ello, a pesar de no poseer antecedentes familiares, se sugiere en estos casos realizar imagen completa del neuroeje.
El riesgo anual de sangrado se estima en 1.6%.3,39 Las MC espinales se manifiestan clínicamente alrededor de la tercera o cuarta década de la vida; su presentación y crecimiento durante la infancia son raros.28 En su curso clínico pueden presentarse como cuadros agudos mielopáticos (26-30%), con paraparesia/paraplejia y radiculopatía, como deterioro neurológico progresivo (41-54%), o como un deterioro neurológico escalonado (16-30% debido a los microsangrados reiterados).3,6,9
En las MC espinales sintomáticas, el tratamiento de elección es la exéresis completa con técnica microquirúrgica, de manera temprana, para lograr preservar la función neurológica.3,6,39 La cirugía puede tener morbilidad per se y la exéresis incompleta trae aparejado riesgo de resangrado, por lo cual no se recomienda de manera profiláctica. En casos donde la lesión no muestra expresión en la superficie medular puede ser de utilidad usar neuronavegador o ecografía intraoperatoria.3
En la serie de Gross y cols. se evidencia una mejoría de 61% de los pacientes luego de la resección quirúrgica, mientras que 27% permaneció igual y 12% tuvo deterioro en el seguimiento.20 En la serie de Sawarkar y cols., 67% mostró mejoría del déficit motor, sobre todo aquellos pacientes con instalación temprana del tratamiento; 17% no mejoró el déficit previo debido a sintomatología de largo tiempo de evolución y 17% presentó paraplejia postquirúrgica.6 Un 33% de los pacientes con déficit sensitivo y esfinteriano mejoró dichos síntomas. El dolor neuropático posterior a la hemorragia suele ser refractario al tratamiento quirúrgico.39
En nuestra serie presentamos un único caso de lesión espinal sintomática, con lesión intracraneal concomitante asintomática (ver Figura 6). El paciente se presentó con cuadro motor de más de 72 horas de evolución, llegando a la consulta con paraplejia, nivel sensitivo y alteraciones esfinterianas. Se instauró tratamiento de exéresis total de urgencia, en concordancia con la bibliografía. Se obtuvo una recuperación motora parcial, requiere de ayuda para las actividades de la vida cotidiana, sin recuperación de sensibilidad ni esfínteres.
Radiocirugía
La indicación de radiocirugía para el tratamiento de MC en pediatría presenta opiniones dispares: autores como Mottolese y cols. desaconsejan su utilización, mientras que series más recientes,22,24 con la utilización de Gamma-Knife, han demostrado ser seguras, con baja tasa de complicaciones y disminuyendo el grado de sangrado anual al 0.46-1.11%. Para las guías de recomendación del manejo de MC de la Angioma Alliance,33 la radiocirugía está recomendada solo para lesiones solitarias con sangrados previos si la MC se encuentra en áreas elocuentes con un riesgo quirúrgico muy elevado. Esta no está recomendada para lesiones asintomáticas o MC quirúrgicamente accesibles, ni en formas familiares de MC, por el riesgo de nuevas lesiones radioinducidas.13,33
Síndrome de malformaciones cavernosas cerebrales familiar
El diagnóstico del síndrome de malformaciones cavernosas cerebrales familiar (SMCCF), antiguamente llamado cavernomatosis múltiple, se da en pacientes con al menos 5 o más MC, o una MC y al menos un familiar con una MC. Se asocia con mutaciones de los genes KRIT1 (CCM1), CCM2, PDCD10.40 Recientemente se han añadido los genes NOTCH3 y PTEN.41 Se presenta de forma autosómica dominante con penetrancia incompleta.12,40,41 Estos casos deben ser evaluados de forma multidisciplinaria para llegar al diagnóstico de certeza y realizar un asesoramiento genético adecuado a la familia.
Geraldo y cols. demostraron en su serie de 41 casos que el riesgo de sangrado anual en pacientes con SNCCF es igual al de pacientes pediátricos y adultos con MC esporádicas.42 La incidencia de SMCCF en las series fue del 3.5 al 11%,3,24 siendo del 26% en otras,43 esto último similar a nuestra serie con un 23% de pacientes con SMCCF. En los pacientes que presentan lesiones múltiples, deben ser tratadas quirúrgicamente las que sean sintomáticas y accesibles, y debe realizarse una exéresis completa para evitar resangrados, como nuestro caso descripto.24,33
En nuestra serie, uno de los pacientes con SMCCF (ver Figura 7) ingresó por estatus convulsivo, por lo que fue intervenido de urgencia resecando una lesión temporal. Sin embargo, al persistir las crisis en el postoperatorio, se lograron controlar tras resección de lesión frontal.
CONCLUSIÓN
Las malformaciones cavernosas son entidades dinámicas con múltiples eventos hemorrágicos en su futuro que, en pacientes pediátricos, obliga a extremar el seguimiento y considerar la oportunidad quirúrgica. Nuestra serie muestra que en casos sintomáticos y en localizaciones anatómicamente accesibles se pueden lograr resultados satisfactorios con la resección microquirúrgica completa.
Si bien se requiere de un mayor número de publicaciones, con más cantidad de pacientes, y de estudios prospectivos, de momento, la microcirugía sigue siendo la primera opción de tratamiento.
Contribuciones de autoría
Conceptualización, Administración del proyecto y Redacción - revisión y edición: Mario Sergio Jaikin. Curación de datos: Giuliana Agras Menghi, Alejandro Saravia Toledo, Adrián Fernández. Análisis formal: Mario Sergio Jaikin, Adrián Fernández. Adquisición de fondos, Investigación, Metodología, Recursos, Software, Supervisión, Validación y Visualización: Alejandro Saravia Toledo, Giuliana Agras Menghi, Adrián Fernández, Mario Sergio Jaikin. Redacción - borrador original: Alejandro Saravia Toledo.
BIBLIOGRAFÍA
COMENTARIO
En este artículo, los autores muestran esta interesante revisión de malformaciones cavernosas en pediatría mediante una detallada descripción de pacientes muy bien documentados, a través de un estudio descriptivo retrospectivo de casos entre abril de 2016 y abril de 2022.
Se incluyeron 13 pacientes, 3 de ellos con diagnóstico de cavernomatosis múltiple familiar. Doce casos debutaron con sangrado sintomático; once requirieron cirugía, todos sintomáticos: 9 por primer sangrado y 2 en resangrado. Presentaron mejoría clínica postquirúrgica en el 88%. De aquí se desprende la importancia del diagnóstico diferencial de un cavernoma en un paciente pediátrico que debuta con un sangrado cerebral.
Una pregunta que se plantea frecuentemente en la práctica diaria es cuándo deben ser operados estos pacientes. ¿Es el primer sangrado indicación suficiente para la cirugía? Para responder esta pregunta, los autores han hecho una diferenciación en el manejo entre las que se encuentran en el tronco cerebral y las lesiones espinales, tomando en consideración su propia experiencia y lo aportado por la bibliografía consultada. De acuerdo con la literatura internacional, y como bien concluyen los autores, la exéresis quirúrgica completa es factible, siempre que sean casos sintomáticos y de localizaciones anatómicamente accesibles.
Dada la prevalencia de este tipo de patología, este trabajo resulta sumamente atractivo por su claridad descriptiva y por su ordenamiento anatómico funcional, constituyendo una herramienta de consulta para nuestra comunidad neuroquirúrgica.
Felicito a los autores del presente artículo.
Javier González Ramos
Hospital Nacional de Pediatría “Dr. Juan P. Garrahan”, Ciudad de Buenos Aires, Argentina
COMENTARIO
Los autores del trabajo describen detalladamente una serie de casos de 13 pacientes pediátricos portadores de cavernomas en un período de 6 años. La gran mayoría debió ser intervenido quirúrgicamente por presentar sangrado o resangrado. Por otro lado, se constató que la localización más frecuente fue supratentorial.
Estos trabajos que reportan serie de casos son de suma utilidad ya que los cavernomas son causa frecuente de hemorragia intraparenquimatoso en pediatría. Debo destacar que para el tratamiento quirúrgico de todo cavernoma, y en particular de aquellos profundos e infratentoriales, es de imperiosa necesidad conocer la anatomía microquirúrgica. Este conocimiento permite acceder a sitios con mayor seguridad y con elevada tasa de resección completa. Particularmente, esto último cobra mayor relevancia en este tipo de patología vascular ya que un remanente de angioma puede significar un resangrado futuro.
Felicito a los autores por el excelente trabajo realizado.
Pablo Rubino
Neurocirugía, Hospital Alemán, Ciudad de Buenos Aires, Argentina