Ependimoma Mixopapilar Multifocal asociado a hidrocefalia comunicante en un paciente pediátrico. Reporte de un caso y revisión de la literatura.
Hugo Andres De Moya Jaramillo, Jose Maria Behaine Montes, Cesar Morales Sanabria, Diego Alejandro Quintero Rueda
Servicio de Neurocirugía, Clínica IMAT Oncomédica Auna, Montería, Córdoba, Colombia.
Recibido: Abril 2024. Aceptado: Mayo 2024.
Hugo Andres De Moya Jaramillo
demojara1989@gmail.com
DOI: 10.59156/revista.v38i02.590
ORCID
Hugo Andres De Moya Jaramillo: 0009-0007-8642-3301
Jose Maria Behaine Montes: 0009-0005-5071-9827
Cesar Morales Sanabria: 0009-0005-3963-0346
Diego Alejandro Quintero Rue: 0000-0002-3824-6749
RESUMEN
Introducción: Los Ependimomas Mixopapilares son neoplasias intramedulares infrecuentes en la población pediátrica. La hidrocefalia comunicante constituye una rara asociación. El tratamiento definitivo es la reseccion total de la misma sin daño de las raíces espinales adyacentes.
Objetivo: Describir la asociación entre el ependimoma mixopapilar multifocal y la hidrocefalia comunicante en un paciente pediátrico y realizar una revisión bibliográfica.
Descripcion del caso: Paciente de 15 años con clínica de dolor lumbar asociado a radiculopatia en miembros inferiores y posterior desarrollo de hidrocefalia comunicante con síndrome de hipertensión intracraneana.
Intervencion: Resección del tumor intramedular toraco-lumbo-sacro. Por deterioro neurológico postquirúrgico se realiza resonancia magnética que evidencia hidrocefalia comunicante e hipertensión endocraneana, por lo cual fue llevado a cirugía para derivación ventrículo-peritoneal. El reporte histopatológico confirma diagnóstico de ependimoma mixopapilar. El paciente evoluciona satisfactoriamente.
Conclusión. El ependimoma mixopapilar asociado a hidrocefalia comunicante es una condición poco frecuente. Su diagnóstico representa un reto por lo inespecífico de la clínica e imágenes, convirtiendo la intervención temprana y radical en el pilar fundamental de tratamiento para evitar secuelas a largo plazo.
Palabras clave: Derivación ventriculoperitoneal. Ependimoma. Hidrocefalia. Neoplasia intramedular.
Multifocal myxopapillary ependymoma associated with communicating hydrocephalus in a pediatric patient. Case report and literature review.
ABSTRACT
Background. Myxopapillary ependymomas are rare intramedullary neoplasms in the pediatric population. Communicating hydrocephalus is a rare association in this kind of tumors. The treatment is the total resection without damage of the adjacent spinal roots.
Objectives. To describe the association between multifocal myxopapillary ependymoma and communicating hydrocephalus in a pediatric patient ans to review the literature.
Case description. We present the case of a 15-year-old patient with clinical symptoms of low back pain associated with radiculopathy in the lower limbs and subsequent development of communicating hydrocephalus with intracranial hypertension syndrome.
Surgery. At first, resection of the thoracolumbar and sacral intramedullary tumor was performed. Due to post-surgical neurological deterioration, magnetic resonance was performed, which showed communicating hydrocephalus and intracranial hypertension; in a second surgical stage a ventriculoperitoneal shunt was performed. The histopathological report confirms the diagnosis of myxopapillary ependymoma. The patient progresses satisfactorily after surgery.
Conclusion. Myxopapillary ependymoma associated with communicating hydrocephalus is a rare condition, its diagnosis represents a challenge due to the non-specific nature of the symptoms and images, making early and a radical intervention are the fundamental pillar of treatment to avoid long-term sequelae.
Keywords: Ependymoma. Hydrocephalus. Intramedullary Neoplasia. Ventriculoperitoneal shunt.
INTRODUCCIÓN
Los ependimomas en pediatría representan el segundo tipo histológico de tumores primarios del sistema nervioso central más frecuente, los cuales se encuentran principalmente en el espacio infratentorial, seguido del espacio supratentorial y muy raramente en la medula espinal.1,2 Este tipo de neoplasias se originan en las células ependimarias que recubren los ventrículos cerebrales y el canal ependimario de la médula espinal.5
Aunque el subtipo de ependimoma mixopapilar es más frecuente en la población adulta, ubicado en los segmentos toracolumbares, cono medular y cauda equina, también se pueden presentar en población pediátrica y solo aproximadamente el 1% presentan hidrocefalia.1,2
Desde la primera descripción dada por Kyrieleis y col.en 1931 de hidrocefalia asociada a tumores de la médula espinal se ha intentado dilucidar la fisiopatología de esta infrecuente asociación.2
Los síntomas iniciales como el dolor lumbar asociado a radiculopatía en miembros inferiores, alteraciones en la marcha, disfunción en los esfínteres, aunque inespecíficos, son los más usuales en su presentación clínica; y la asociación a síntomas como cefalea, vómitos en chorro y deterioro del estado de consciencia con posterior desarrollo de síndrome de hipertensión endocraneana constituye una rara presentación clínica secundaria a hidrocefalia comunicante concomitante con una neoplasia primaria de la médula espinal.6
Como método diagnóstico de elección tenemos la resonancia magnética de cerebro para identificar tempranamente los hallazgos sugestivos de hidrocefalia y orientar un manejo adecuado, evitando complicaciones como el síndrome de hipertensión intracraneal. La tomografía de cerebro simple continúa siendo una herramienta valiosa para evaluar esta condición clínica, principalmente en la valoración inicial de urgencias.11
OBJETIVOS
Describir la asociación entre el ependimoma mixopapilar multifocal asociado a hidrocefalia comunicante en un paciente pediátrico, siendo una presentación infrecuente de esta patología, y realizar una revisión actualizada de la literatura.
DESCRIPCION DEL CASO
Paciente masculino de 15 años de edad sin antecedentes personales de importancia quien inicia cuadro clínico de 2 meses de evolución caracterizado por dolor lumbar por el cual consultó en varias ocasiones al primer nivel de atención sin mejoría de los síntomas; posteriormente es remitido y valorado por nuestro servicio de neurocirugía oncológica y oncología pediátrica, con empeoramiento de su cuadro clínico por dolor lumbar severo asociado a cefalea intensa y episodios de emesis; al examen físico neurológico encontramos paciente orientado en las 3 esferas, con lenguaje fluente y coherente, pupilas isocoricas y reactivas, pares craneales conservados, con disminución de la fuerza 3/5 e hipoestesia en miembros inferiores (dermatoma de L5 -S1) y rigidez de nuca.
Se realizan imágenes de Resonancia Magnética (RM) de cerebro simple en donde se evidencia ligera dilatación supra e infratentorial, sin signos de paso de líquido transependimario. RM de columna total evidencia lesión nodular, expansiva, en el cono medular entre T12-L1 (18 x 20 x 53 mm) (Figura 1) que comprime las raíces de cola de caballo y el cono medular. En la region lumbosacra se evidencia una segunda imagen nodular que se localiza en la región central y distal del canal lumbar y sacro (20 x 26 x 55.5 mm) (Figura 2).

Figura 1. RM secuencia T2: Tumor intradural intramedular en cono medular T12–L1

Figura 2. RMN secuencia T2: Tumor intradural intramedular L5-S1
Dadas las características clínicas, por imágenes y la localización de las lesiones, el primer diagnóstico presuntivo es ependimoma mixopapilar multifocal, con compromiso metastásico leptomeníngeo asociado. Se solicitan marcadores tumorales (alfa-feto-proteína y sub-unidad beta de la Gonadotrofina Coriónica Humana) con resultados negativos, descartando la estirpe germinal.
INTERVENCIÓN
El paciente es llevado a cirugía para reseccion del tumor intramedular de T12 a L1, el cual es resecado en un 90 % y sin complicaciones intraoperatorias. Durante su estancia en la Unidad de Cuidados Intensivos Pediátrica su evolución es tórpida debido a que el paciente manifiesta diplopía con un hallazgo al examen neurológico de paresia del VI par craneal derecho y cefalea intensa asociada a episodios eméticos, por lo cual se solicitan nuevos estudios de imágenes.
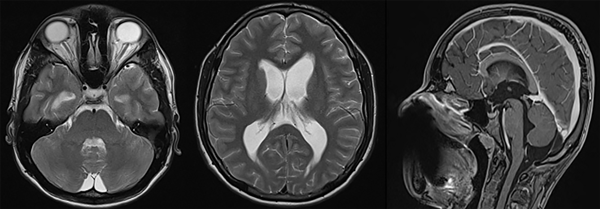
Se evalúan la TAC y la RM de cerebro simple y con contraste sin evidencia de lesiones que condicionen una obstrucción del paso del líquido cefalorraquídeo a través del sistema ventricular; se realizan mediciones con índice de Evans con resultado mayor a 0.3, el diámetro de la vaina del nervio óptico es mayor a 5 mm y presenta edema transependimario (Figura 3), concluyéndo que se trata de una hidrocefalia comunicante con alto riesgo de desarrollo de hipertensión intracraneana, por lo cual el paciente es motivado a cirugía de urgencia para colocación de un sistema de derivación ventriculoperitoneal (Figura 4).

Figura 3. RM de encéfalo, secuencia T2 y con contraste (izquierda a derecha): diámetro de la vaina del nervio óptico mayor a 5 mm, edema transependimario e hidrocefalia.

Figura 4. RM de encéfalo, secuencia T2 Y TC de cerebro: punta de catéter de derivación ventriculoperitoneal en asta frontal izquierda de ventrículo lateral y sin signos de hidrocefalia.
Posterior a la intervención quirúrgica, el paciente mejora significativamente de la diplopía, la cefalea y la paresia del VI par craneal derecho. Se recibe reporte de patología e inmunohistoquimica observando células cuboidales de tamaño intermedio, monótonas, de núcleos redondos, dispuestas alrededor de tallos fibrovasculares en una configuración papilar, con positividad para la proteína acida fibrilar glial confirmando el diagnóstico de Ependimoma Mixopapilar (grado 2 OMS).
En las lesiones ubicadas en L5- S1 se evidenció intraoperatoriamente que estaban firmemente adheridas a las raíces nerviosas de la cola de caballo, por lo cual no pudo ser resecado en su totalidad para evitar secuelas neurológicas irreversibles. El paciente evolucionó satisfactoriamente con mejoría de la paraparesia, con fuerza 5/5 en miembros inferiores, sin déficit sensitivo, sin diplopía, sin cefalea, y con mejoría significativa del dolor lumbar. Es dado de alta con seguimiento ambulatorio.
El paciente es valorado por consulta externa mensualmente sin evidencia de deterioro neurológico focal en miembros inferiores, sin episodios de dolor lumbar y con una recuperación satisfactoria de su cuadro clínico.
DISCUSIÓN
La hidrocefalia asociada a tumores intramedulares ha sido muy poco estudiada debido a su baja prevalencia en la población pediátrica, la cual es de aproximadamente el 1%.2,4 Desde la patogénesis de la hidrocefalia la cual puede ocurrir por la existencia de dificultad en la absorción de lìquido céfalo-raquídeo (LCR) por parte de las vellosidades aracnoideas, los tumores intramedulares tipo ependimomas mixopapilares pueden predisponer la aparición de hidrocefalia comunicante, presentada clínicamente con signos clínicos y por imágenes de hipertensión endocraneana.
La fisiopatología de la hidrocefalia comunicante en este tipo de tumores de la médula espinal presenta varias teorías que soportan su aparición con las subsecuentes manifestaciones clínicas.1,2,3,4,5. Según Lampros y col. entre estas teorías se encuentra el aumento del fibrinógeno en el líquido cefalorraquídeo, el aumento de la viscosidad del líquido cefalorraquídeo con aumento de sustancias pro-inflamatorias secretadas por el tumor y la diseminación leptomeníngea de las células tumorales que podrían ocasionar una obstrucción en la absorción de líquido cefalorraquídeo en la superficie de las vellosidades aracnoideas.1,4 Se ha descrito la aparición de hidrocefalia comunicante secundaria a una hemorragia subaracnoidea repetitiva concomitante con tumores malignos de la médula espinal, en la que el diagnóstico se hace con el análisis del LCR en el cual se objetiva xantocromía, elevación de proteínas e hipercoagulabilidad, configurando el síndrome de Froin. 3 La resolución de la hidrocefalia comunicante se puede dar posterior a la reseccion de la lesión tumoral de la médula espinal o en la mayoría de los casos con la colocación de un sistema de derivación de LCR como fue el caso de nuestro paciente con mejoría clínica significativa.1,2
Los ependimomas mixopapilares son tumores raros en la edad pediátrica, constituyendo un 13% de este tipo de neoplasias espinales,7 con un curso de la enfermedad más agresivo que en la población adulta,6 altas tasas de recurrencia y de diseminación leptomeningea, mayormente en presentaciones multifocales. El tratamiento quirúrgico con una reseccion máxima de las lesiones es el tratamiento de elección con altas tasas de supervivencia, siendo mayores al 90% a los 10 años.10 La radioterapia adyuvante en población pediátrica aún es controversial debido a la alta morbilidad que conlleva este tipo de terapias, como lo son deformidades post radioterapia, lo cual se ha demostrado en varios estudios que evalúan eficacia de la terapia adyuvante en varios escenarios como la reseccion completa e incompleta de los ependimoma mixopapilares.7,8,9 En el estudio de Bandopadhayay y col. en su cohorte de 18 pacientes, 3 pacientes con reseccion subtotal recibieron radioterapia adyuvante, solo 1 paciente presentaba diseminación leptomeníngea con seguimiento a 9,4 años y sobrevida del 100%, sin secuelas.6 En nuestro paciente, se realizó seguimiento mensual, con RM de columna lumbosacra cada 6 meses, para evaluar progresión clínica y por imágenes.
CONCLUSIÓN
La presentación inusual de este tipo de tumores intramedulares en la población pediátrica, asociado a hidrocefalia comunicante, es un gran reto diagnóstico, donde una oportuna intervención quirúrgica repercute en altas tasas de recuperación y sobrevida para el paciente. El presente reporte de caso ha evidenciado que un manejo multidisciplinario adecuado, con resección tumoral de las lesiones, preservando las estructuras de la médula espinal, como el cono medular y las raíces, sumado a la oportuna implantación de una válvula de derivación ventrículo peritoneal para el tratamiento de la hidrocefalia comunicante permitió el control de la dinámica del flujo de LCR a través del sistema ventricular, previniendo un nuevo deterioro neurológico y el posterior desarrollo del síndrome de hipertensión endocraneana.
Los autores no declaran conflicto de interés
Los autores no declaran financiamiento.
Este es un artículo de acceso abierto bajo la licencia CC BY-NC https://creativecommons.org/licenses/by-nc/4.0/
BIBLIOGRAFÍA