“Este caso me desorientó”
Martínez Juan Pablo, Robledo Esteban, Uranga Vega Martín, Fuertes Francisco, Rojas Matías, Mandolesi Jorge
Servicio de Neurocirugía. Hospital Universitario Fundación Favaloro. Buenos Aires, Argentina
Caso clínico
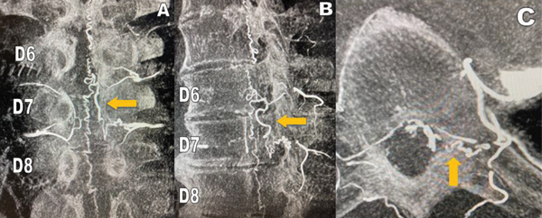
Paciente masculino de 75 años de edad, con antecedente de insuficiencia renal y canal estrecho lumbar, presentado clínicamente como lumbociatalgia bilateral con claudicación de la marcha a menos de 100 mts. Se realizó cirugía descompresiva con artrodesis L4-L5 a principios del 2021 en otra institución. El procedimiento se realizó sin complicaciones inmediatas y posterior alta institucional a los 5 días posquirúrgicos. A los 12 meses, el paciente nuevamente presentó cuadro progresivo de dolor lumbar similar al anterior, con predominio del componente ciático, más alteración de la marcha. Ante tal evolución, se decidió realizar una Resonancia Magnética Nuclear (RMN) dorsolumbar, donde se observó una hiperintensidad medular central en secuencia T2, que se extendía desde los últimos segmentos dorsales a los primeros lumbares (Figura 1). El cuadro se interpretó en ese momento como siringomielia, con exploración de la zona comprometida sin hallazgos relevantes y con muestra de anatomía patológica con posterior informe de edema medular.

Figura 1: RMN columna dorsal en secuencia T2 corte sagital y axial (A-B), revela hiperintensidad central (flecha)
Por los antecedentes anteriormente mencionados y con el requerimiento de un centro de mayor complejidad, se decide la derivación a nuestra institución para su estudio. Al interrogatorio el paciente relata dolor lumbar y ciatalgia bilateral de más de 18 meses de evolución, con dificultades en la marcha, que progresaron hasta necesitar asistencia en silla de ruedas, agregando afectación esfinteriana en el último tiempo. Al examen físico, presentó paraparesia flácida severa, hiporreflexia tendinosa y nivel sensitivo desde T10. Se interpretó en un primer momento, por imágenes previas, como Mielomalacia en estudio. Por la evolución del cuadro clínico, se realizó en primera instancia una RMN dorsal con contraste endovenoso donde se observó realce vascular intracanal a nivel de D7 en secuencia T1 y un vaso serpinginoso en secuencia STIR (Figura 2). Se completó el estudio con Angiografía Vertebromedular donde se observó fístula arteriovenosa dural espinal (FAVd), que se origina a nivel de D7 izquierda, con gran congestión venosa a lo largo del canal (Figura 3). La Arteria Radicular Magna de Adamckievicz se localizó en L1 derecha. Se decidió realizar tratamiento quirúrgico por ser paciente con bajas comorbilidades, presencia de FAVd a nivel dorsal y reportes de alta tasa de éxito de la patología por microcirugía. Se realizó hemilaminectomia izquierda a nivel D7, localización de trayecto fistuloso a nivel foraminal, colocación de clip transitorio, coagulación con pinza bipolar y resección de fístula con microtijera (Figura 4). El paciente evolucionó con peoría de su patología renal de base e infección del tracto urinario lo que imposibilitó su control por imágenes posoperatorios.

Figura 2: RMN columna dorsal con contraste que muestra vaso serpinginoso a nivel D7 (flecha): A) Estudio en secuencia T1. B) Estudio en secuencia STIR.

Figura 3: Angiografía vertebromedular en 3 vistas sucesivas que demuestran el origen y el trayecto recorrido por la FAVd originado a nivel del foramen izquierdo de D7 (flecha naranja): A) corte frontal, B) corte sagital, C) corte axial.

Figura 4: Pasos mediante hemilaminectomia uniliateral izquierda: A) apertura de duramadre. B) Localización del trayecto fistuloso (flechas) y posterior clipado a nivel foraminal. C) coagulación mediante bipolar. D) Corte mediante microtijera.
Discusión
Las lesiones vasculares espinales son patologías poco frecuentes, representado solamente el 1-2 % 1-4. Las fistulas arteriovenosas durales (FAVd) constituyen el 70-80% dentro de este grupo, siendo las más frecuentes.3 Presentan una incidencia relativamente baja entre 5-10 casos por millón de habitantes.5 Se presentan generalmente luego de la quinta-sexta década de la vida, con predominancia en el sexo masculino6. Nuestro caso presentado no escapa a las características antes mencionadas.
A lo largo de la historia se desarrollaron diferentes clasificaciones para las malformaciones vasculares espinales. Actualmente es conocida la clasificación propuesta por Kim-Spetzler, la cual diferencia claramente las fístulas de las malformaciones vasculares propiamente dichas. En los últimos años, debido a la variedad de clasificaciones, Takai ha propuesto una nueva clasificación reuniendo características históricas de manera concisa y práctica. Clasificando a las fístulas arteriovenosas durales en tipo I, las malformaciones arteriovenosas intramedulares Glomus tipo II, las malformaciones arteriovenosas juveniles tipo III, las fístulas perimedulares tipo IV y las extradurales tipo V, cada una de estas últimas con sus variantes, alimentadores y drenajes venosos.7 Nuestro paciente al presentar un trayecto fistuloso a nivel dural se encuentra dentro del tipo I, según la clasificación antes mencionada. Las FAVd se forman a partir de una rama de una arteria radicular8, que drena de manera retrógrada al flujo venoso normal a través de una vena medular en el plexo venoso coronal. Debido a la arquitectura arteriovenosa aberrante, el sistema venoso recibe sangre arterial. Esto lleva a la congestión del sistema desarrollando cambios en el tejido medular. Aunque falta evidencia directa, un fenotipo vascular modificado puede ser el resultado de hiperplasia vascular desorganizada (VEGFA, PI3K-AKT), malformación del diámetro de los vasos y/o crecimiento aberrante de células endoteliales (MEKK3-KLF2/4)5. A medida que aumenta la presión venosa, va disminuyendo la perfusión tisular, produciendo robo vascular, hipoxia, edema, isquemia y finalmente necrosis9-13. Por lo general el proceso patológico se lleva a cabo en niveles comprendidos entre D6-L2, afectándose en primer término el cono medular14. A nivel clínico puede ser simulador de cuadros agudos como crónicos, comenzando generalmente con paresia leve de un miembro inferior, evolucionando a trastornos del sistema sensitivo, dolor, como en el caso aquí mencionado, y en última instancia afectación de esfínteres. A medida que pasa el tiempo, la afectación avanza de forma craneal, llegando a cuadros de tetraplejia y daño medular irreverisble15-17. El intervalo desde el inicio de los síntomas hasta el diagnóstico puede variar de días en los casos agudos o puede ser de meses o incluso años en las FAVd de bajo flujo y no agresivas18-20. En nuestro caso, si bien se sospechó desde el ingreso a nuestra institución, habían pasado más de 18 meses desde su cuadro inicial.
El estudio diagnóstico inicial es la resonancia magnética nuclear espinal. Los principales diagnósticos fueron enfermedad degenerativa de la columna (50 % de casos), mielitis, enfermedad prostática (5 %) y enfermedad intramedular-tumor (4,5%)20. La presencia de una FAVd se caracteriza por una tríada de hallazgos en la resonancia magnética de rutina18,19,20,21. Primero una señal de hiperintensidad central medular en secuencia T2 es sugestivo de edema, presente en el 90% de los casos19,20,22. El edema puede ser focal o abarcar múltiples segmentos continuos; rara vez se encuentra en todo el cordón. Segundo, hallazgos en T2 de vacíos de flujo alrededor de la médula, especialmente dorsal, representan venas congestionadas18,19, presentes en el 80% de los casos20. Tercero, la presencia de realce dentro del cordón en secuencia T1 posteriores al contraste30. Hallazgos compatibles con los estudios por imágenes presentados en la descripción de este caso y realizada en primera instancia para descartar otras patologías.
El método de elección para confirmar la presencia de FAVd es la angiografía digital vertebromedular por su aporte en las características anatómicas y en la definición de la conducta terapéutica23. El tratamiento está dirigido a detener la progresión de los síntomas e incluso revertirlos19,24,1. Las opciones pueden ser por vía endovascular y/o quirúrgicas. La correcta embolización a través de microcoils, material adhesivo nBCA (nbutil cianoacrilato) o no adhesivo EVOH (alcohol etilen-vinilico) es fundamental para evitar la recanalización y el reclutamiento de nuevos vasos, cuando esto no es posible puede utilizarse el recurso quirúrgico8.
La oclusión quirúrgica de la FAVd es simple y segura. Se realiza mediante hemilaminectomía o laminectomía, abriendo la duramadre para identificar la vena radicular, siguiendo su unión dural y el punto de entrada de la fístula25,20,26 con posterior coagulación con bipolar y corte con microtijera. La oclusión efectiva se indica por un cambio en el color con tono azul del trayecto fistuloso. Un metanálisis realizado por Steinmetz (2004) encontró que la tasa de éxito de la cirugía abierta era del 98%27 y de embolización endovascular del 46%. Sin embargo, con la introducción de mejoras tecnológicas en angio suites, microcatéteres y la creciente experiencia técnica, las tasas informadas de cirugía endovascular exitosa aumentaron al 70–80%28,26,29. Aun con estas mejoras en la terapia endovascular, el procedimiento de elección es quirúrgico, utilizando el recurso endovascular para paciente con múltiples comorbilidades y alto riesgo quirúrgico31. En nuestro paciente se pudo realizar el procedimiento sin complicaciones, con buena recuperación posquirúrgica, desaparición del dolor y estabilidad del cuadro clínico sin progresión.
Conclusión
Las FAVd representan una patología infrecuente. Es importante tenerla siempre como diagnóstico diferencial en un paciente con síndrome neurológico que afecta los miembros inferiores y signos radiológicos de mielopatía, evitando retrasos en el diagnóstico y potenciales daños irreversibles.
Anexo

Clasificación propuesta por Takai (2016) de las malformaciones arteriovenosas espinales, luego de una revisión de las clasificaciones históricas mencionadas en este apartado.
Bibliografía