Malformaciones arteriovenosas incidentales grados I, II y III en mi consultorio.
Dr. Olivero, Marcelo; Gavira, Marcelo; Cañas Sebastián; Montivero Nicolás.
Innc (Instituto de Neurología, Neurocirugía y Columna) Villa María, Córdoba, Argentina
Esta situación es cada vez más frecuente, pacientes sin síntomas que concurren a la consulta por un hallazgo. Lo que nos surge más allá de lo técnico, que es importante recordar y plantearnos sobre todo para los jóvenes, es analizar ciertas conductas ante esta situación:
- NO estamos frente a una situación en la que tengamos que definir conducta en forma inminente, por lo que nos da tiempo a analizar, profundizar en los estudios, hacer consultas con colegas de cada grupo de trabajo e interconsultas. La conducta terapéutica podemos definirla y comunicarla luego de varias consultas, habiendo construido una relación médico- paciente que nos permita interactuar explicando riesgos/beneficios de la decisión, y ésta puede variar en el tiempo.
- Analizar bien la situación clínica y asegurarnos que estamos frente a un paciente con MAV INCIDENTAL, a modo de ejemplo podemos mencionar casos en donde crisis convulsivas del lóbulo temporal provocadas por una MAV venían tratadas por crisis de pánico. En esta situación ya NO es una MAV incidental sino que es una sintomática, cuya expresión clínica es a través de estas crisis. Recordemos certificar esto, por problemas médicos legales, con los estudios que sean necesarios como en este caso un EEG o una video telemetría. Es bien aceptado que las MAV SINTOMÁTICAS que NO sangraron tiene un mayor índice de sangrado que las INCIDENTALES1,6.
- Analizar el contexto Clínico del paciente (edad, antecedentes, expectativa de vida, etc.) que se debe relacionar con la historia natural de la enfermedad. Una MAV incidental tiene 2-4 % de riesgo anual de sangrado ACUMULATIVO1,2. Hay que recordar que una MAV que sangró tiene un riesgo mayor que ésta, según las distintas series, entre y 6 -17% anual6. Cada episodio de hemorragia acarrea en sí mismo un 25-50% de morbilidad y un 10-20% de mortalidad.8
También es necesario analizar el riesgo de sangrado por vida restante. Se intentaron diferentes fórmulas pero una de las más utilizadas es:
Riesgo durante la vida (%) = 105 – edad del paciente7
- Estudiar y clasificar correctamente la MAV. En la práctica utilizamos la clasificación de Spetzler -Martin5,6 con la modificación que incluyó el Dr. Evandro de Oliveira en las Grado III en A y B, según esté fuera o dentro del cuadrilátero de los ganglios basales. Esto que parece simple NO siempre lo es, sobre todo en las malformaciones complejas. No es motivo de esta comunicación la presentación de clasificaciones, sí remarcar que muchas veces nos encontramos ante malformaciones mal clasificadas y esto puede modificar la conducta.
- Estudiar la hemodinamia y angio-arquitectura de la MAV, recordar que no son estáticas y que ésta puede variar en el tiempo1,2,6.
- Evaluar si la MAV tiene factores Hemodinámicos que aumenten el riesgo de sangrado como, por ejemplo, alto flujo por aferencias y escaso drenaje venoso, estenosis en el drenaje venoso o drenaje venoso único, aneurismas venosos, etc.
- Factores Clínicos que puedan provocar alteración de la Historia natural de la MAV, como EPOC, asma, Tabaquismo severo, HTA de difícil manejo, diátesis hemorrágicas, etc.
Clasificaciones alternativas o complementarias se han propuesto tratando de aportar predicciones a la clasificación clásica de Spetzler-Martin, una de ellas es la escala suplementaria de Lawton8, donde valoramos un aporte significativo principalmente en las grado III de Spetzler-Martin.

Figura 1
Podríamos inferir que personalizar la conducta terapéutica es lo correcto. Teniendo en cuenta lo que expresamos, la primera conducta que pensamos en consultorio ante una MAV INCIDENTAL es:
Grado I: si el paciente tiene una expectativa de vida mayor a 10 años y está en condiciones clínicas favorables, la conducta quirúrgica sería nuestra primera opción.
Si el paciente tiene una expectativa de vida menor a 10 años puede uno plantearse el control evolutivo vs. la cirugía.
La problemática también es saber desde cuándo el paciente tiene la MAV, ya que el porcentaje de sangrado en una incidental es acumulativo y en la mayoría de los casos no podemos certificar ese dato salvo que exista un estudio previo.
En general NO es una conducta en nuestro grupo la radiocirugía, terapia endovascular en este grado de MAV.

Figura 2: A: MAV grado I en angiografía; B- micro disección e identificación de los pedículos de la MAV, obsérvese la arterialización del drenaje venoso único.; C: Micro disección del surco, con resección del ovillo y el shunt AV interrumpido con la restauración del flujo venoso normal y preservación de los vasos pasantes.
Grado II: la conducta es similar a las Grado I, pero sí tenemos en cuenta la terapia endovascular para algún pedículo de difícil acceso para que nos facilite la cirugía, disminuya los riesgos y volumen de sangrado intraoperatorio (si se produjese).
Grado III: si estamos en presencia de una: MAV grado III A, INCIDENTAL, nuestra primera conducta es analizar la expectativa de vida, como lo planteamos en las Grado I y II, tratamiento endovascular seguido de resección quirúrgica, pidiendo al equipo endovascular reducir el flujo en las aferencias, embolización de algún pedículo poco accesible desde el inicio de la microdisección, sin ningún gesto heroico endovascular, es decir, no buscamos la exclusión endovascular para llegar a la cirugía, sino transformar una MAV grado III en un grado menor.

Figura 3: A: MAV Fronto-silviana derecha Grado IIIA ; B: Angiografía y pack de embolización (Gentileza Dres. Matías Quaglia y la Dra. Danaes Prieto quienes realizaron la embolización prequirúrgica); C: abordaje y posicionamiento; D: exposición opercular con MAV en Valle Silviano ; E: Lodge quirúrgica con la resección completa de la MAV y preservación de la vasculatura normal; F: MAV resecada
MAV grado III B INCIDENTAL, nuestra primera conducta es la observación y control imagenológicos. Podemos agregar propranolol en bajas dosis para favorecer la compliance venosa.

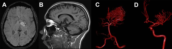
Figura 4: A) MAV Tálamo-capsular izquierda Grado III B. B) Corte sagital de RMN donde se ve el nido intratalámico. C) Aferencias dependientes del sistema tálamo-geniculadas posteriores. D)Aferencias dependientes del sistema lentículo estriado anterior.
BIBLIOGRAFÍA
- Scielo, Neurocirugía vol 20n0.1 feb 2009.Recomendation for the manangement f the brain arteriovenous malformations,E. Spagnuolo; L Lemme-Plagos: F Revilla; L.Quintana y J.Antico.
- Brown, R., Flemming, K., Meyer, F. et al.: Natural History, Evaluation and management of Intracranial Vascular Malformations. Mayo Clin Proc 2005; 80: 269-281.
- Ogilvy, C., Stieg, P., Awad, I., Brown, R.: Recommendation for the management of Intracranial AVM's. A Statement for Healthcare Professionals from a special Writing group of the Stroke Council, American Stroke Association. Stroke 2001; 32: 1458-1471.
- Quintana, L., Revilla, F., Pedroza, A., Antelo, G., Giocoli, H.: Recomendaciones para el manejo de las Malformaciones Arteriovenosas 2003. Pag.Web Flanc. www.eflanc.com.
- Spetzler, R., Martin, N.: A proposed grading system for AVM J.Neurosurg. 1986; 65: 476-483.
- Crawford, P., West, C., Chadwick, C., et al.: Arteriovenous malformations of the brain: natural history in unoperated patients. J. Neurol. Neurosurg Psychiatry 1986; 49: 1-10.
- Graf, C., Perret, G., Torner, J.: Bleeding from cerebral arteriovenous malformations as part of their natural history J.Neurosurg 1983; 58: 331-337
- Federico Gallardo, Clara Martin, Leonardo Chang, Juan Francisco Diaz, Jorge Bustamante, Pablo Rubino. Hospital Alta Complejidad en Red El Cruce S.A.M.I.C., Buenos Aires, ArgentinaUtilidad de las escalas de gradación en el tratamiento quirúrgico de malformaciones arteriovenosas cerebrales, REV ARGENT NEUROC | VOL. 33, N° 1: 26-38 | 2019