Este caso me desorientó
Miguel Villaescusa, Emily Guerra, Pedro Plou, Ezequiel Jungberg, Pablo Ajler
Servicio de Neurocirugía. Hospital Italiano de Buenos Aires.
Caso Clínico
Paciente de 44 años, sin antecedentes de relevancia, que consultó por cuadro de dolor facial intenso, de tipo urente en territorio V1, V2 y V3 lado derecho. Se realizó Resonancia Magnética Nuclear (RMN) de cerebro en la que se observó lesión nodular extraaxial, con base de implantación en cara lateral del seno cavernoso derecho con intenso realce postcontraste; compatible en primera instancia con un meningioma con extensión a fosa temporal y cavum de Meckel (Figura 1). Realizó tratamiento farmacológico con Carbamazepina a dosis máxima y Gabapentin, sin mejoría de los síntomas. Posteriormente intercurrió con farmacodermia secundaria.
El cuadro se interpretó como una neuralgia atípica secundaria a la compresión del ganglio de gasser por el tumor, refractaria a tratamiento farmacológico, por lo cual se indicó la resección quirúrgica.

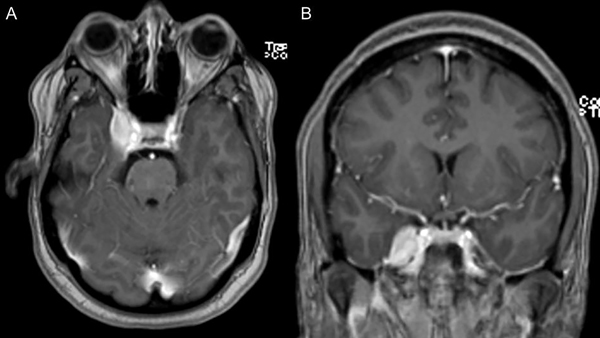
Figura 1. RMN de cerebro en secuencia T1 con contraste (preoperatoria) corte axial y coronal (A y B) que revela una lesión de masa bien delimitada que afecta al seno cavernoso y cávum trigeminal del lado derecho, que realza fuertemente a la administración de contraste con gadolinio.
Se realizó mediante abordaje transcigomático, disección (peeling) de fosa media exponiendo cara lateral del seno cavernoso sin evidencia de lesión. Se realizó apertura dural en búsqueda de una lesión intradural sin resultado. Se toma muestra de la cara lateral del cavum de Meckel para anatomía patológica por congelación la cual informó abundante células inflamatorias. La paciente tuvo muy buena evolución postoperatoria. Comenzó tratamiento con corticoides el mismo día de la cirugía y se otorgó el alta hospitalaria a los 4 días, sin complicaciones asociadas.
La anatomía patológica informó lesión compatible con pseudotumor inflamatorio. Realizó un mes de tratamiento con corticoides. Se realizó RMN de control a los 2 meses en la que se evidenció importante reducción del volumen de la lesión (Figura 2 y 3).

Figura 2. RMN de cerebro en secuencia T1 con contraste; cortes axial y coronal (A y B). Control a los 2 meses posterior a la cirugía y corticoterapia.

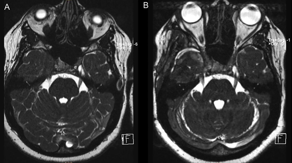
Figura 3. RMN secuencia CISS preoperatoria (A) y control a los 2 meses (B).
Discusión
El pseudotumor inflamatorio (PI) es un proceso no neoplásico de etiología desconocida, caracterizado por una proliferación de tejido conectivo con infiltrado inflamatorio.1,2,3
Histológicamente se caracteriza por una población linfocítica mixta de células T y B, específicas de la inflamación crónica, en conjunto con macrófagos, histiocitos y eosinófilos.4,5
Se cree que esta patología se debe a una respuesta inmune exagerada, relacionada con procesos inmunológicos e infecciosos. El PI se ha asociado con la enfermedad de Sjögren, enfermedad relacionada con Igg4, polimiositis idiopática o incluso con enfermedades infecciosas como por ejemplo Epstein- Barr virus.3,4,6,7 El examen histopatológico es sumamente importante para diferenciar un pseudotumor inflamatorio relacionado con Igg4 de un proceso monoclonal como Linfoma o plasmocitoma.4,8
Suele implicar con mayor frecuencia los pulmones, el hígado y la órbita; si bien también hay reportes en estómago, páncreas, corazón, riñón, vejiga y piel.1,9,10,11
La localización intracraneana primaria es rara; dentro de éstas la mayoría surgen de las estructuras meníngeas de la base del cráneo, dándoles una apariencia radiológica similar a varias lesiones extraaxiales como meningiomas, schwannomas o cordomas, con los cuales se puede confundir.1,4,8,12
En general, no tienen hallazgos neurorradiológicos específicos. Pueden ser iso o hipointensos en secuencias T1 de RMN, hipointensos en T2 y realzan homogéneamente tras la administración de contraste. Pueden también presentar hipercelularidad y, por lo tanto, la espectroscopia por RMN no permite distinguirla con seguridad de otras lesiones neoplásicas.1
A nivel intracraneano se han documentado casos que afectan meninges, hueso esfenoides, hueso temporal, órbita, seno esfenoidal y maxilar, clivus, vasos intracraneanos, conducto auditivo interno, nervio trigémino, parénquima cerebral, seno cavernoso, fosa infratemporal, fosa psteriofopalatina y región supraselar. 13,14 Incluso se han reportado casos con localización espinal epidural.13,15
La localización en la base del cráneo suele estar asociada con un comportamiento agresivo, mostrando erosión ósea, altas tasas de recidivas, respuesta pobre al manejo farmacológico y la radioterapia.4
El PI intracraneal con compromiso del seno cavernoso, asociado con oftalmoplejía dolorosa, fue descripto por Tolosa y Hunt et al (Sindorme de Tolosa-Hunt)16,17, caracterizado por un proceso inflamatorio no específico que implicaba el seno cavernoso con infiltración de adventicia de la carótida. Estos pacientes mejoraron notablemente con la corticoterapia.
La estenosis de la porción intracavernosa de la carótida interna puede causar accidentes isquémicos transitorios. En raras instancias también se ha reportado hipopituitarismo por pseudotumores con extensión intraselar.1,18 Asimismo la extensión al cavum de Meckel puede generar dolor facial, o la lesiones con ubicación el en clivus parálisis del 6to par craneal por compresión en el canal de Dorello.1,19
En cuanto al tratamiento las opciones terapéuticas incluyen corticoterapia, radioterapia, inmunomoduladores y la cirugía.20,21 El PI suele tener buena respuesta a los corticoides (aproximadamente 80% de respuesta),2 los cuales continúan siendo el tratamiento principal en esta patología, especialmente en los casos que no son plausibles de resección quirúrgica.4
La dosis óptima y el tiempo de duración no está claro (excepto para el síndrome de Tolosa-Hunt)1 Esto depende generalmente de la ubicación y del grado de componente fibrótico que presenta la lesión (el cual es indicador de la cronicidad del proceso), lo cual reduce la efectividad de dicho tratamiento.1 Los casos que afectan a la base del cráneo suelen tener menor respuesta a la corticoterapia que el resto.4
La resección quirúrgica debe ser considerada cuando los tratamientos no invasivos han fracasado, si el diagnóstico no está establecido y se requiere de una biopsia para el mismo,o bien si el tumor puede ser resecado con mínima morbilidad asociada.2
La radioterapia en dosis bajas puede considerarse en los casos recurrentes o en pacientes sin respuesta a los corticoides en quienes la cirugía sin riesgo no es una opción. Para los casos que tampoco responden a esto, los inmunomoduladores o quimioterapia pueden ser otra alternativa.1,2,4
Presentamos un caso de una paciente en la cual se asumió inicialmente el cuadro como un meningioma sobre la pared lateral del seno cavernoso con dolor trigeminal refractario asociado, por lo que se decide la conducta quirúrgica. Los estudios imagenológicos previos coincidían con el diagnóstico inicial. Durante el acto quirúrgico no se logra evidenciar una lesión tumoral que estuviera generando un efecto de masa sobre estructuras adyacentes, por lo que nos limitamos a realizar la biopsia de las estructuras fibróticas observadas y del nervio trigémino. La congelación informó la presencia de tejido inflamatorio con abundantes linfocitos.
La paciente posteriormente inició corticoides con lo cual mejoraron posteriormente los síntomas. En la RMN postoperatorio (a los 2 meses) se evidenció una marcada reducción de la lesión, objetivando una clara respuesta al tratamiento farmacológico.
Conclusión
El pseudotumor inflamatorio es una proliferación no neoplásica con infiltrado inflamatorio que puede ocurrir también a nivel intracraneano. Esta patología debe considerarse como parte del diagnóstico diferencial cuando se trata de una lesión en íntima relación con las meninges en la región selar o paraselar y que realza homogéneamente tras la administración de contraste, ya que puede confundirse con otras lesiones neoplásicas.
El tratamiento principal es la corticoterapia, si bien la cirugía puede considerarse frente a la necesidad de una biopsia o en los casos refractarios a dicha terapia, cuya localización permite una exéresis segura.
BIBLIOGRAFÍA