Resultados de la cirugía endoscópica endonasal y predictores de evolución en la enfermedad de Cushing. Análisis de una serie de 40 casos.
Ana Melgarejo1,2, Mirtha Guitelman3, Gloria Tubert4, Silvina Figurelli5, Sebastian Lescano6, Martín Guevara1,2
1. División Neurocirugía, Hospital Juan A. Fernández.
2. Sección Neurocirugía, Hospital Universitario CEMIC.
3. División Endocrinología, Hospital Carlos Durand.
4. Servicio de Endocrinología, Hospital Juan A. Fernández.
5. División Anatomía Patológica, Hospital Juan A. Fernández.
6. Servicio de Resonancia Magnética Argus, Hospital Juan A. Fernández.


RESUMEN
Objetivo: Evaluar los resultados quirúrgicos y predictores de remisión en una serie de 40 pacientes con enfermedad de Cushing (EC) sometidos a cirugía endoscópica endonasal (CEE) y compararlos con la literatura.
Introducción: La EC esta causada por un adenoma corticotropo y presenta una elevada morbimortalidad. El tratamiento de elección es la resección transeptoesfenoidal, demostrando en los últimos años la CEE ser un alternativa segura y efectiva.
Material y métodos: Se analizó retrospectivamente la base de datos de pacientes con EC operados entre enero de 2010 y diciembre de 2021. Se evaluaron las características clínicas, endocrinológicas, radiológicas, quirúrgicas, histopatológicas y la evolución de los pacientes, y se compararon dos etapas (primeras 20 cirugías vs 20 restantes).
Resultados: Se operaron 32 mujeres y 8 varones, promedio de edad de 38,9 años. Se intervinieron 21 microadenomas y 19 macroadenomas. Se obtuvo remisión postquirúrgica en el 82,5% de los casos encontrándose asociación estadísticamente significativa (p=0,00) con el cortisol postoperatorio ≤ 1,8 µg/dl y con los tumores no invasores de la clasificación de Knosp. En la segunda etapa se obtuvo mayor porcentaje de cortisol postoperatorio ≤ 1,8 µg/dl (73,7% vs 26,3%) y mayor porcentaje de remisión (95% vs 70%). La tasa de complicaciones fue del 20%, sin mortalidad. Presentaron recurrencia 5 (15%) pacientes. Con tratamiento adyuvante se encuentran en remisión bioquímica 37 (92,5%) pacientes.
Conclusión: La CEE es el tratamiento de elección para la EC ofreciendo altas tasas de remisión con baja morbilidad. Los factores predictores de remisión fueron la hipocortisolemia postoperatoria, los adenomas no invasores y la experiencia del equipo quirúrgico.

Palabras clave: Enfermedad de Cushing. Síndrome de Cushing. Cirugía endoscópica endonasal. Adenoma corticotropo. Hiperplasia corticotropa.

ABSTRACT
Objective: To evaluate the surgical results and predictors of remission in a series of 40 patients with Cushing's disease (CD) undergoing endonasal endoscopic surgery (EEC) and compare them with the literature.
Introduction: CD is caused by a corticotropic adenoma and has a high morbidity and mortality. The treatment of choice is transsphenoidal resection, with CEE proving in recent years to be a safe and effective alternative.
Methods: The database of patients with CD operated on between January 2010 and December 2021 was retrospectively analyzed. The clinical, endocrinological, radiological, surgical, histopathological features and the outcomes of the patients were evaluated on, and two stages were compared. (first 20 surgeries vs last 20).
Results: 32 women and 8 men underwent surgery, mean age 38.9 years. 21 microadenomas and 19 macroadenomas were operated on. Postoperative remission was obtained in 82.5% of the cases, finding a statistically significant association (p=0.00) with postoperative cortisol ≤ 1.8 µg/dl and with non-invasive tumors of the Knosp classification. In the second stage, a higher percentage of postoperative cortisol ≤ 1.8 µg/dl (73.7% vs 26.3%) and a higher percentage of remission (95% vs 70%) were obtained. The complication rate was 20%, with no mortality. 5 (15%) patients presented recurrence. With adjuvant treatment, 37 (92.5%) patients are in biochemical remission.
Conclusion: CEE is the treatment of choice for CD, offering high remission rates with low morbidity. Predictive factors for remission were postoperative hypocortisolemia, noninvasive adenomas, and the experience of the surgical team.

Keywords: Cushing's disease. Cushing's syndrome. endonasal endoscopic surgery. corticotropic adenoma. corticotropic hyperplasia.



INTRODUCCIÓN
La enfermedad de Cushing (EC) es la causa más frecuente de hipercortisolismo endógeno y tiene su origen en un adenoma hipofisario secretor de adrenocorticotrofina (ACTH). Esta rara enfermedad fue descripta por primera vez en 1932 y nombrada en honor al Dr Harvey Cushing1. Presenta una incidencia de 1,2 a 1,7 casos/millón/año, afectando típicamente a personas en la 4ta década de la vida, siendo más frecuentes los microadenomas y en mujeres2,3. Las consecuencias del hipercortisolismo pueden ser catastróficas, observándose síntomas como obesidad, hipertensión arterial (HTA), diabetes mellitus tipo 2 (DM2) y osteoporosis1,4. LA EC no tratada se asocia a una mortalidad 1,7 a 4,8 veces mayor que en la población general5,6. El diagnóstico precoz y el tratamiento adecuado son fundamentales para disminuir los daños psicofísicos causados por esta patología. El tratamiento ideal es aquel que consigue normalizar los niveles de cortisol, mejorar los síntomas y las comorbilidades reversibles asociadas, evitar complicaciones, como así también preservar la función hipofisaria normal y disminuir el riesgo de recurrencia3. El tratamiento quirúrgico de elección desde 1960 fue la cirugía transeptoesfenoidal (CTSE) microscópica, inicialmente introducida por Jules Hardy7, incorporándose en los años 90 la cirugía endoscópica endonasal (CEE) de la mano de Jho y col8. Las tasas de remisión postquirúrgicas que han sido reportadas más recientemente están entre el 70 al 90% de los casos y las tasas de recurrencia varían del 5 al 35%, según las series y dependiendo del tiempo de seguimiento9-13. La remisión postoperatoria ha sido asociada al tamaño tumoral, imagen visible en resonancia magnética (RM) preoperatoria, invasión del seno cavernoso, visualización intraoperatoria de tumor, anatomía patológica (AP) positiva y valores de cortisol postquirúrgicos9,14-16. En los casos de persistencia o recurrencia las opciones de tratamiento incluyen recirugía, tratamiento farmacológico, radioterapia y eventualmente adrenalectomía bilateral17. El objetivo de nuestro trabajo es analizar los resultados quirúrgicos de los pacientes con adenomas corticotropos sometidos a CEE, identificar posibles predictores de remisión y compararlos con la literatura publicada.

MATERIAL Y MÉTODOS
Se analizó de manera retrospectiva una base de datos mantenida en forma prospectiva en la mitad de los casos (20/40). Se evaluaron 40 pacientes intervenidos quirúrgicamente por el mismo equipo neuroquirúrgico en dos hospitales, uno público y uno privado, de la Ciudad de Buenos Aires, en un periodo comprendido entre enero de 2010 a diciembre de 2021. Criterios de inclusión: 1) síndrome de Cushing (SC), 2) RM positiva para tumor hipofisario o cateterismo de senos petrosos inferiores (CSPI) positivo, 3) CEE realizada por el mismo equipo neuroquirúrgico y 4) AP confirmatoria de adenoma productor de ACTH o hiperplasia corticotropa. Criterios de exclusión: 1) pacientes con antecedentes de cirugía previa, 2) pacientes operados por vía transcraneal o CTSE microscópica, 3) síndrome de Nelson y 4) pacientes con seguimiento menor a 6 meses.
Diagnóstico. (Figura 1)

Figura 1. Algoritmo para el diagnóstico de Enfermedad de Cushing (EC). CLU (cortisol libre urinario). CSN (cortisol salival nocturno). ACTH (adrenocorticotrofina). RM (resonancia magnética). CTSE (cirugía transeptoesfenoidal). CSPI (cateterismo de senos petrosos inferiores).


En primera instancia ante la sospecha clínica de SC se constató el hipercortisolismo endógeno por medio de la demostración de resultados patológicos en por lo menos 2 de los siguientes test:

  1. cortisol libre urinario (CLU): elevado en dos mediciones, teniendo en cuenta que se pueden observar valores normales en 8-15% de los pacientes con SC18.
  2. test de Nugent: se administra 1 mg de dexametasona oral a las 23 horas y se dosa el cortisol plasmático (CP) a las 8 horas del día siguiente. Un valor < 1,8 µg/dl excluye el SC con alta sensibilidad (95%) pero con baja especificidad19.
  3. cortisol salival nocturno (CSN) a las 23 horas: un valor elevado tiene una sensibilidad del 100% y especificidad del 96% para el SC20,21 La segunda instancia se basa en la demostración de la hipercortisolemia ACTH dependiente mediante los siguientes estudios:
  1. ACTH normal o elevada: ≥ 20 pg/ml.
  2. prueba de supresión con alta dosis de dexametasona: se administran 8 mg de dexametasona oral a las 23 horas y se mide el CP a las 8 horas de la mañana siguiente. Una disminución de ≥ 50% del valor basal es altamente sugestiva de tumor hipofisario secretor de ACTH.
  3. diagnóstico por imágenes: (RM 3 Tesla de elección) la sensibilidad de la RM en la EC es del 60-70% y especificidad cercana al 85%.
  4. CSPI: en casos de RM negativa para tumor hipofisario o con imagen < 6 mm (hasta el 10 % de la población general puede presentar imágenes hipofisarias incidentales de menos de 5 mm22). Se realiza dosaje de ACTH y prolactina en sangre periférica y en ambos senos petrosos inferiores en condiciones basales y luego del estímulo con hormona antidiurética. Se considera significativo un gradiente central/periférico > 2 en condiciones basales o > 3 tras el estímulo. Un gradiente intersinusal ≥ 1,4 sugiere lateralización del tumor23-25. (Figura 2)

Figura 2. Cateterismo de senos potrosos inferiores. A. Imagen radiológica sin sustracción donde se visualizan ambos catéteres en posición simultáneamente. B. Imagen con sustracción donde se constata correcto posicionamiento de catéteres y tinción de ambos senos petrosos inferiores.

A todos los pacientes se les realizó además de la RM de hipófisis con gadolinio y con secuencia dinámica, tomografía computada (TC) de cerebro y senos paranasales para evaluación y planificación prequirúrgica. Se clasificaron los tumores según el tamaño en microadenoma (<10 mm) y macroadenoma (≥ a 10 mm) y según la escala de Knosp en no invasores (Grados 0, 1 y 2) y en invasores (Grados 3 y 4)26 (Figura 3). Fueron evaluados el resto de los ejes hipofisarios. Se consideraron las complicaciones clínicas más importantes del hipercortisolismo: HTA, DM2, obesidad, osteoporosis , trombosis venosa profunda (TVP) y trastornos psiquiátricos. Se evaluó el tratamiento farmacológico específico previo. Dividimos la serie en dos etapas comparando los primeros 20 pacientes operados con los últimos 20 pacientes (datos prospectivos) para evaluar la curva de aprendizaje.

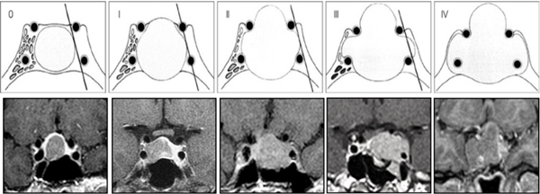
Figura 3. Clasificación de Knosp. Invasión tumoral del seno cavernoso. Grado 0: Sin invasión del seno cavernoso. Grado 1: Sobrepasa la tangente medial (definida como la tangente que une los bordes mediales de la carótida supra e intracavernosa) pero no sobrepasa la línea tangencial que une los dos centros de la de la carótida intra-supracavernosa. Grado 2: Extensión por fuera de la línea intercarotídea, sin sobrepasar la tangente lateral. Grado 3: Extensión lateral a la línea tangencial lateral que une la porción carotídea supracavernosa con la intracavernosa. Grado 4: La carótida intracavernosa está totalmente englobada por el tumor.

Técnica quirúrgica. (Figuras 4 y 5)

Figura 4. A. Posición quirúrgica, observándose torre de endoscopía y consola de neuronavegación.
B. Vista lateral de la posición quirúrgica de la paciente. C. Posición de los cirujanos.

Figura 5. Técnica quirúrgica CEE. A. Lateralización de cornete inferior derecho, visualizando piso de la cavidad nasal y coana. B. Cornete medio derecho. C. Fosa nasal derecha post turbinectomía media. D. Corte inferior de flap nasoseptal. E. Corte superior de flap NS y disección del septum. F. Septum y flap disecados. G. Unión septum cartilaginoso-vómer, septectomía posterior. H. Rostro esfenoidal, ostiums esfenoidales. I. Pared posterior del seno esfenoidal post esfenoidotomía anterior. J. Control de localización carotidea con microdoppler post apertura selar, visualizando duramadre. K. Apertura dural con microtijera. L y M. Resección tumoral con pinza de tumor y cureta. N y O. Cavidad selar post resección tumoral visualizando diafragma selar (DS), seno cavernoso (SC) y glándula hipofisaria (GH). P. Reconstrucción con flap nasoseptal (FNS).


Preparación: bajo anestesia general e intubación orotraqueal se coloca pack orofaríngeo y se efectúa profilaxis antibiótica con clindamicina 600 mg intravenosa. Se introducen algodones embebidos en adrenalina diluída 1:100.000 en solución fisiológica en ambas fosas nasales con el objetivo de lograr vasoconstricción de la mucosa para disminuir el sangrado durante el abordaje. Se posiciona al paciente en decúbito dorsal, con el tórax elevado 20° y la cabeza apoyada sobre un cabezal en herradura, rotada 15° a derecha y ligeramente extendida. Previa protección ocular, se realiza antisepsia con iodopovidona y se colocan campos estériles dejando al descubierto solo la nariz, abdomen y muslo derecho (para eventual obtención de injerto de grasa y/o fascia lata para ulterior reconstrucción). Fase nasal: se realiza una inspección inicial de ambas fosas nasales con óptica de 0°, 4 mm de diámetro y 18 cm de largo. En primer lugar se reclinan lateralmente los cornetes medio e inferior de ambos lados. Por lo general se realiza turbinectomía media derecha, etmoidectomía anterior y posterior derechas, lo cual permite ampliar el corredor nasosinusal derecho. A través del mismo, ingresan la óptica y la cánula de aspiración. Según cada caso, realizamos un flap nasoseptal de rescate (rescue flap)27 o completo (flap nasoseptal de Hadad
-Bassagaisteguy)28. Posteriormente se efectúa la septectomía posterior hasta la esquindelesis esfenovomeriana y el corte de la mucosa septal posterior izquierda para continuar con el abordaje binarinal. Se realiza turbinectomía superior parcial bilateral y se reconoce el ostium esfenoidal izquierdo, completando la exposición completa del rostro esfenoidal. Fase esfenoidal: con técnica bimanual se efectúa esfenoidotomía amplia, se realiza el fresado de los septos esfenoidales y se reseca la mucosa del seno esfenoidal en forma parcial o total de acuerdo al caso. Fase selar: se realiza la apertura amplia de la silla turca entre ambos senos cavernosos y desde el tubérculo selar hasta el piso de la silla. Se constata el posicionamiento y la trayectoria carotídea con Doppler transnasal. Se incide la duramadre con bisturí, inicialmente en el sector inferior con descargas laterales con microtijera, evitando los senos cavernosos e intercavernosos superior e inferior, que particularmente en casos de microadenomas pueden resultar muy prominentes y desarrollados, lo cual puede complicar la apertura dural por el sangrado venoso, profuso y dificultar la visualización de la glándula normal y la resección tumoral. En casos de microadenomas se incide la glándula en forma vertical hasta identificar la pseudocápsula tumoral y se continua la disección en la interfaz entre la glándula y el tumor, una vez aislado se lo extrae con pinza de biopsia (adenomectomía selectiva), preservando la glándula normal (Video 1. Caso 1). En los macroadenomas, dependiendo de la consistencia y tamaño tumoral, se opta por disección extracapsular en aquellos de menor tamaño con consistencia más firme, resección mediante técnica de doble aspiración en los casos de tumores blandos y vaciamiento intratumoral con curetas, disectores y aspiración con posterior resección de la cápsula en casos de tumores de mayor tamaño con consistencia mixta. La resección del adenoma se inicia en el sector inferior para evitar la caída precoz del diafragma selar, continúa por los laterales y finalmente por el sector superior. Idealmente se debe lograr reconocer la duramadre del piso y del dorso selar, la pared medial de ambos senos cavernosos (según el grado de Knosp) y el diafragma selar libres de tumor (Video 2. Caso 2). En casos de RM preoperatoria negativa se realiza la exploración de la glándula inicialmente guiada por el resultado del CSPI (en los casos que hubiera lateralización) realizando incisiones verticales hasta reconocer el tejido tumoral. Se envía una muestra del tumor para anatomía patológica intraoperatoria. Todas las lesiones son remitidas para análisis histopatológico diferido e inmunohistoquímico, PAS y citoqueratina. Con ópticas de 30° y 45° se revisan los recesos intraselares para evitar remanente tumoral en sitios ocultos para la visión central. Se realiza una rigurosa hemostasia con celulosa oxidada regenerada reabsorbible, matriz hemostática con trombina y coagulador bipolar en caso de ser necesario. Cierre: en los casos que no presentan fístula de líquido cefalorraquídeo (LCR) intraoperatoria, se recubre el piso selar con mucosa del cornete medio (injerto libre). En aquellos casos con fístula de LCR, se utiliza sustituto dural (matriz colágena reabsorbible) o injerto de fascia lata intradural y se cubre el defecto selar con el flap nasoseptal, que debe estar en contacto con superficie ósea en todo su perímetro. Se realiza taponaje bilateral con tapones de carboximetilcelulosa con gel hidrocoloide con balón, los cuales se dejan durante 3 días en los casos en los que no hubo fístula de LCR y 5 días en los que sí la hubo. No colocamos drenaje lumbar de rutina. El paciente cursa las primeras 24 horas en UTI (Unidad de Terapia Intensiva) y luego en sala general según evolución.

Caso 1. Video 1. Paciente de 30 años que consulta por dolor lumbar invalidante, aumento de peso y debilidad muscular. A. RM de columna dorsolumbar que evidencia múltiples fracturas vertebrales secundarias a osteoporosis severa. B Paciente con estigmas físicos de EC y microadenoma hipofisario centro lateral derecho. C. Postoperatorio: mejoría clínica y RM control sin remanente tumoral.

Caso 2. Video 2. Mujer de 54 años, antecedentes de obesidad, HTA, intolerancia a la glucosa y alteraciones visuales. A. Preoperatorio: RM de hipófisis que evidencia macroadenoma selar supraselar con compromiso de la vía óptica. CVC con cuadrantopsia bitemporal superior. B. Postoperatorio: RM sin lesion residual y CVC normal. C, D y E. AP: hematoxilina eosina (x100), técnica de retículo (x100) e inmunomarcación con ACTH (x100) compatibles con hiperplasia corticotropa


Evaluación postoperatoria
Se realizó profilaxis de insuficiencia suprarrenal (ISR) aguda con protocolo de dexametasona 6 dosis de 0,5 mg cada 6 horas iniciando la primera dosis en la inducción anestésica, con el fin de poder valorar la hipercortisolemia en el postoperatorio29. Se midió el cortisol matinal sérico entre el tercer y cuarto día post cirugía. Se clasificaron los pacientes según tuvieron cortisol ≤ 1,8 µg/dl, 1,9 a 5 µg/dl y > 5 µg/dl. Se utilizaron estos puntos de corte debido a que existen estudios que definen la remisión bioquímica postoperatoria con un cortisol matinal sérico < 5 µg/dl dentro de los 7 días postoperatorios17,30, mientras que otros autores utilizan un punto de corte más estricto de 1,8 µg/dl al 2º día postoperatorio31-33. Los pacientes fueron evaluados al 1, 3, 6 y 12 meses postoperatorio y luego anualmente o según necesidad. La remisión fue definida en base a la normalización del CLU, CSN o ISR y consiguiente requerimiento de hidrocortisona como terapia de reemplazo. La persistencia fue definida como la hipercortisolemia sostenida postoperatoria. La recurrencia se definió por la reaparición de síntomas de EC junto con hipercortisolemia luego de un periodo inicial de remisión clínica y bioquímica. Fueron evaluados el resto de los ejes hipofisarios. Se analizaron las complicaciones, la evolución de los pacientes y el tipo de tratamiento adyuvante en aquellos casos en los que hubo persistencia de la enfermedad.

Caso 3. Paciente varón de 31 años que consulta por HTA de difícil manejo y obesidad. A. Preoperatorio: Al examen físico se constata obesidad central, estrías violáceas y cara de luna llena. RM de hipófisis: microadenoma en sector inferior de la hemiglándula izquierda. B. Postoperatorio: mejoría clínica y RM sin lesión.

Caso 4. A. Paciente de 18 años con antecedente de HTA, que consultó por amenorrea secundaria, aumento de 15 kg de peso en los últimos 2 años y astenia. Al examen físico presentaba obesidad central, facie de luna llena, piel fina, estrías violáceas abdominales e hirsutismo. Lesión por traumatismo en miembro inferior izquierdo de difícil cicatrización. RM de hipófisis: microadenoma paramediano derecho de 4,6 mm que presenta defecto de tinción post contraste EV. B. Fue intervenida quirúrgicamente lográndose la resección completa del adenoma y la mejoría de todos los síntomas. AP: adenoma corticotropo Ki 67 4%.

Análisis estadístico
Los datos fueron volcados en una base de datos (tipo Excel) y luego analizados con el statistical package for the social science SPSS 26.0. Se realizaron análisis descriptivos, de frecuencia y de tendencia central. Para analizar la asociación entre variables cualitativas se utilizó la prueba del Chi cuadrado. Para analizar las diferencias de medias se utilizó la prueba t de Student para muestras independientes. Un valor de p < 0,05 fue considerado estadísticamente significativo.

RESULTADOS
Se incluyeron 40 pacientes que cumplieron con los criterios de inclusión, a los cuales se les realizaron 43 CEE. Representaron el 21% (40/189) de pacientes con adenomas operados mediante CEE en el periodo de estudio. Se intervinieron 32 (80%) mujeres y 8 (20%) varones. La edad promedio fue 38,9±16,9 años (rango 13-77). Poco más de la mitad de los pacientes (57,5% n=23) se atendió en el ámbito privado, mientras que el 42,5% restante (n=17) en el público. La media de evolución de la enfermedad fue de 3,2 (±2,7) años (rango 0,1-10 años). Las comorbilidades de EC más frecuentes fueron: obesidad=23, HTA=22, DBT=10, osteoporosis=6, alteraciones psiquiátricas=5, TVP=3 (Tabla 1). Se presentaron con hipopituitarismo 22 (55%) pacientes, 5 (12,5%) casos con alteración de más de un eje (hipotiroidismo=9, hipertiroidismo=2, hipogonadismo=14, hiperprolactinemia=1). Veintidós (55%) pacientes recibieron tratamiento farmacológico previo con el fin de lograr una estabilización clínica preoperatoria, en 5 casos con dos drogas (ketoconazol=9, cabergolina=8, combinado=5). Seis (15%) pacientes presentaron alteraciones en el CVC, 4 de los cuales tuvieron normalización postoperatoria y 2 mejoría parcial.

Tabla 1.Comorbilidades más frecuentemente presentadas.


Tres (7,5%) presentaron oftalmoparesia del III par, 2 de los cuales tuvieron recuperación completa y 1 parcial.
De los 40 pacientes, en 39 (97,5%) se halló lesión hipofisaria en la RM, 20 (50%) fueron microadenomas, 19 (47,5%) macroadenomas y 1 (2,5%) caso con RM negativa para tumor hipofisario. El tamaño promedio fue de 14,2 mm (rango 2-42 mm). En 7 pacientes con microadenoma < a 6 mm y en el único sin imagen visible en RM se realizó CSPI, obteniéndose gradiente central/periférico positivo en todos los casos, en 6 de ellos con lateralización, la cual fue congruente con la imagen y el hallazgo intraoperatorio. Siete (17,5%) adenomas presentaron invasión del seno cavernoso (Knosp 3 y 4). En el paciente con RM negativa se encontró un microadenoma en la cirugía. (Tabla 2)

Tabla 2. Características demográficas, clínicas y radiológicas prequirúrgicas

Número de pacientes operados 40
Número de cirugías 43
Edad
38,9 ±16,9 (13-77)
Genero F/M 32/8
Tiempo de evolución de EC 3,2 (±2,7) ()
Tamaño tumoral
Microadenoma 20 (50%)
Macroadenoma 19 (47,5%)
No visible 1 (2,5%)
Knosp
No invasor (0, 1 y 2) 33 (82,5%)
Invasor (3 y 4) 7 (17,5%)
CSPI 7 (17,5%)
Tratamiento médico
Ketoconazol 9 (22,5%)
Cabergolina 8 (20 %)
Combinado 5 (12,5%)
Alteraciones visuales
Hemianopsia 3 (7,5%)
Cuadrantopsia 3 (7,5%)
Oftalmoplejía (III par) 3 (7,5%)
Alteraciones endocrinológicas
Hipopituitarismo 22 (55%)
Panhipopituitarismo 1 (2,5%)
Datos expresados en promedio (rango) y número (porcentaje)


La duración de la cirugía fue de 160 (±37,3) minutos promedio (80-240 minutos). La anatomía patológica intraoperatoria fue positiva en todos los pacientes. Se confirmó adenoma corticotropo en la biopsia diferida en 39 casos e hiperplasia corticotropa en 1. El índice de proliferación Ki 67 fue ≤ 3 en 27 (67,5%) casos y > a 3 en 12 (30%) casos. Tuvimos 5 (12,5%) pacientes con adenoma de células de Crooke (ACC).
Se obtuvo cortisol postoperatorio ≤ 1,8µg/dl en 19 (47,5%) casos, de 1,9 a 5µg/dl en 12 (30%) y > 5 µg/dl en 9 (22,5%) (Tabla 3). Una paciente presentó panhipopituitarismo postoperatorio mientras que el resto no agregó un nuevo déficit adenohipofisario.

Tabla 3. Resultados según cortisol postoperatorio

<1,8 µg/dl 1,9 a 5 µg/dl > 5 µg/dl
Total 19 (47,5%) 12 (30%) 9 (22,5%)
Etapas
1ra etapa (n=20) 5 (26,3%) 8 (66,7%) 7 (77,8%)
2da etapa (n=20) 14 (73,7%) 4 (33,3%) 2 (22,2%)
Remisión post primer cirugía 19 (100%) 11 (91,7%) 3 (33,3%)
Persistencia 0 (0,0%) 1 (8,3%) 6 (66,7%)
Recurrencia 0 (0,0%) 3 (25%) 2 (22,2%)
Datos expresados número (porcentaje)

Datos expresados número (porcentaje)


Las complicaciones relacionadas con la cirugía (20%) fueron: 3 (7,5%) diabetes insípida (DI) transitoria; 2 (5%) epistaxis al octavo y al décimo día postoperatorio, 1 se resolvió con cirugía y coagulación de una rama de la arteria nasal posterior y otro con embolización de la arteria maxilar interna y taponaje; 2 (5%) sinusitis tratadas con cirugía rinosinusal endoscópica; 1 (2,5%) tromboembolismo pulmonar (TEP) al quinto día postoperatorio con requerimiento de anticoagulación con buena evolución. Las complicaciones no mostraron asociación estadísticamente significativa con el tamaño e invasividad tumoral, comorbilidades, institución ni etapa de realización.
El tiempo promedio de internación fue 6,4 días (±5,5). Los días de internación se asociaron al tipo de institución (p 0,00) ya que ésta fue significativamente mayor en hospital público (9,8 días) que en el privado (3,4 días).
Se obtuvo la remisión postquirúrgica en 33 (82,5%) pacientes, encontrándose una asociación estadísticamente significativa (p=0,00) con el cortisol postoperatorio (el 47,5% tuvo ˂1,8µg/dl) y con la clasificación Knosp (el 93,9% de los pacientes con remisión presentó tumores no invasores).
En microadenomas tuvimos una remisión de 95,2% (20/21) y en macroadenomas la fue del 68,4% (13/19) (Tabla 4).

Tabla 4. Resultados post primer CEE de acuerdo a las características radiológicas

Remisión Persistencia
Total (n=40) 33 (82,5%) 7 (17,5%)
Microadenoma
(n=20)
19 (95%) 1 (5%)
Macroadenoma
(n=19)
13 (68,4%) 6 (31,6%)
No visible
(n=1)
1 (100%) 0 (0,0%)
No invasor (Knosp 0,1 y 2)
(n=33)
31 (93,9%) 2 (6,1%)
Invasor (Knosp 3 y 4)
(n=7)
2 (28,6%) 5 (71,4%)

Datos expresados número (porcentaje)


Siete (17,5%) pacientes presentaron persistencia de la EC luego de la CEE; 6 de estos fueron sometidos a radiocirugía, 1 además requirió suprarrenalectomía y 1 quimioterapia para lograr la remisión bioquímica. La restante paciente con persistencia corresponde a un adenoma invasor Knosp 4 que se encuentra con enfermedad activa a pesar del tratamiento farmacológico. De los casos con enfermedad persistente 6 (85,7%) tuvieron cortisol postoperatorio > a 5µg/dl y 1 caso entre 1,9 a 5µg/dl. El seguimiento promedio global fue de 76 (±53,4) meses (rango 6-148), en la primera etapa fue de 124 y en la segunda de 27.
Presentaron recurrencia de la EC 5 (15%) de 33 pacientes y se manifestaron a los 10, 8, 4, 3 y 1 año post cirugía (promedio 5,2 años). Al analizar el comportamiento de las variables se encontró que la totalidad de los casos con recurrencia corresponden a la primera etapa, 2 tuvieron cortisol postoperatorio > 5µg/dl, 3 entre 1,9-5µg/dl y ninguno ≤ a 1,8µg/dl. Se reoperaron 3 pacientes, todos con lesión visible en la RM (2 micro y 1 macro). Luego de la segunda CEE se logró la remisión bioquímica en 1 solo caso, las dos pacientes restantes se encuentran con enfermedad activa. En los otros 2 casos de recurrencia (ambos microadenomas) se optó por la radiocirugía por elección de las pacientes.
En cuanto a las etapas estudiadas (primeras 20 vs las últimas 20 cirugías) no se encontraron diferencias con respecto a las comorbilidades, tiempo operatorio, tamaño de la lesión, invasión ni AP. Se encontró asociación estadísticamente significativa entre las etapas y los valores de cortisol postoperatorio (p=0,01), los valores ˂ 1.8µg/dl en su gran mayoría (73,7%) correspondieron a la segunda etapa. (Tabla 5).

Tabla 5. Resultados según etapas (Primeras 20 cirugías vs 20 restantes)

1ra etapa (n=20)
2da etapa (n=20)
Cortisol postoperatorio
<1,8 µg/dl 5 (25%) 14 (70%)
1,9 a 5 µg/dl 8 (40%) 4 (20%)
> 5 µg/dl 7 (35%) 2 (10%)
Post primer cirugía
Remisión 14 (70%) 19 (95%)
Persistencia 6 (30%) 1 (5%)
Complicaciones 4 (20%) 4 (20%)
Recurrencia 3 (15%) 0 (0,0%)
Remisión final con tratamiento adyuvante 17 (85%) 20 (100%)
Tiempo de seguimiento (meses) 124 ±25,3 27 ±17,2


Al final del periodo de estudio, con todas las modalidades terapéuticas empleadas, se encuentran con remisión bioquímica 37 (92,5%) pacientes, de los cuales 26 (70,3%) recuperaron la función del eje adrenal, mientras que 11 (29,7%) requieren hidrocortisona de reemplazo. Tres (7,5%) pacientes se encuentran con enfermedad activa con tratamiento farmacológico y en plan de radiocirugía (Figura 6). La evolución final de los pacientes no se relacionó con el tamaño tumoral, anatomía patológica ni Ki 67. Si se encontró una asociación estadísticamente significativa (p=0,00) con la clasificación de Knosp ya que el 93,3% de los pacientes en remisión presentaron tumores no invasores. También se encontró asociación con los valores de cortisol postoperatorio (p=0,00) dado que el 63,3% de los pacientes en remisión presentó valores ˂1.8 µg/dl.

Figura 6. Resultados quirúrgicos y alternativas terapéuticas utilizadas. CEE (Cirugía endoscópica endonasal). Pop (Postoperatorio).

DISCUSIÓN
En este estudio reportamos nuestra experiencia y resultados en 40 pacientes con EC operados mediante CEE. Las características epidemiológicas de la serie fueron similares a las reportadas en otros trabajos: proporción mujer/varón 4:1, edad de diagnóstico promedio de 38,9 años y tiempo promedio de evolución de EC hasta el diagnóstico de 3,2 años2,34,35. La obesidad (57%) fue la comorbilidad más frecuentemente hallada, seguida por HTA (55%) y DM2 (25%), en menor frecuencia encontramos osteoporosis (15%), alteraciones psiquiátricas (12,5%) y TVP (7,5%). La obesidad es el signo más frecuente y la distribución anormal de la grasa se considera el signo más sensible4,35. La evidencia de pérdida de proteínas (osteoporosis, miopatía) es el signo más específico. La conjunción de ambos debe teóricamente permitir distinguir entre hipercortisolismo y obesidad simple1. Una vez hecho el diagnóstico de EC es mandatoria la intervención inmediata. Sin embargo, algunas situaciones pueden requerir el uso de un tratamiento médico primario, como en pacientes con hipercortisolismo grave potencialmente mortal, una situación que puede ser manejada con inhibidores de la esteroidogénesis de acción rápida36. En nuestra serie 22 (55%) pacientes recibieron tratamiento farmacológico previo, de los cuales 13 fueron tratados con ketoconazol. Por otro lado se sabe que los adenomas corticotropos expresan receptores de dopamina, por lo cual los agonistas dopaminérgicos, en particular la cabergolina, se utilizan actualmente como tratamiento off-label (no aprobado) para la EC, obteniéndose mejora del cuadro clínico con buen perfil de seguridad37. Fueron tratados con cabergolina 13 pacientes (sola o en combinación con ketoconazol), la mayoría por un periodo de tiempo corto previo a la cirugía.
La EC se debe con frecuencia a microadenomas monoclonales benignos y de crecimiento lento38. A diferencia de lo reportado39,40 en esta serie tuvimos un número bastante similar de microadenomas 50% y madroadenomas 47,5%, y 1 (2,5%) solo paciente no presentó tumor visible en RM. Valassi y col.reportaron 60% de microadenomas, 21% macroadenomas y 19% sin lesión visible en RM en su serie de 296 casos41.
La resección vía transeptoesfenoidal del adenoma corticotropo es el tratamiento de elección en la EC; estudios previos han reportado un rango de remisión bioquímica postquirúrgica que va desde 59-98%9,10,12,42,43. En los últimos 20 años la CEE ha demostrado desempeñar un rol principal en el tratamiento de esta patología, presentando similar rango de curación con respecto a la CTSE microscópica con la ventaja de permitir una visión más cercana y panorámica del campo quirúrgico, mejor iluminación y mejores ángulos de trabajo dentro de la silla turca gracias a las ópticas de 30° y 45°, lo cual es de vital importancia para detectar tumor remanente44,45. A nivel mundial diversos grupos presentaron tasas de remisión bioquímica post CEE entre el 60 y 87%,46-50. La tasa de remisión postquirúrgica general de nuestra serie fue del 82,5% (33/40). Si se tienen en cuenta los microadenomas, los mejores índices de remisión van de 88 a 90% [9,51], en nuestro caso tuvimos una remisión de 95,2% (20/21). En los macroadenomas la tasa de remisión es menor y ha sido reportada entre el 17 y 68%9,52; en nuestra serie fue del 68,4% (13/19). La dificultad en la resección quirúrgica completa podría deberse en microadenomas a sangrado de senos intercavernosos, imposibilidad de reconocer la lesión y sus márgenes; y en macroadenomas fundamentalmente al grado de invasividad53,54.
A pesar de la remisión clínica y bioquímica, la recurrencia de la EC han sido reportada en el 2-35% de los pacientes, dependiendo de los criterios de curación y el tiempo de seguimiento31,55. En la presente serie tuvimos una tasa de recurrencia del 15% (5/40), la totalidad fue en la primera etapa, en pacientes que presentaron mayor tiempo de seguimiento (124 vs 27 meses promedio). Se ha visto que la recurrencia generalmente se encuentra en el mismo sitio o adyacente al de origen inicial del adenoma, y en estos casos juega un rol importante un remanente microscópico de la lesión.
Fueron reportados como predictores de remisión: niveles de cortisol postoperatorio, tamaño e invasividad tumoral, RM positiva, confirmación histológica y experiencia de los cirujanos. Algunos estudios sugieren que valores menores a 5 µg/dl dentro de los 7 días postoperatorios son indicativos de remisión17,56. Otros han definido valores más estrictos, <1,8µg/dl al tercer día postoperatorio como indicador precoz de remisión, asociado a una baja tasa de recurrencia (aproximadamente 10% a los 10 años)5,30,57. Ninguno de nuestros pacientes de la primera etapa con cortisol postoperatorio menor a 1,8µg/dl mostró persistencia ni recurrencia, tampoco los de la segunda etapa aunque el seguimiento es menor. De los 13 pacientes con cortisol postoperatorio de entre 1,9-5 µg/ dl 12 presentaron remisión y 1 persistencia; el 23% (3/13) tuvo recurrencia a largo plazo. De los 9 pacientes con cortisol mayor a 5 µg/dl, 6 tuvieron persistencia de EC, 3 remisión y 2 recurrencia luego de remisión inicial. Si bien la mayoría de los estudios describen menor remisión en pacientes con RM negativa56,58,59, algunos reportan similares resultados en pacientes con RM positiva y negativa 49,60. En esta serie no pudimos obtener conclusiones debido a que tuvimos un solo paciente con RM negativa, el cual tuvo CSPI positivo y hallazgo intraoperatorio de microadenoma, con histología confirmatoria y remisión de la enfermedad. Las tasas de remisión en adenomas invasores en EC al igual que en otros subtipos de adenomas son menores61. La confirmación intraoperatoria de invasividad fue reportada como predictor negativo de remisión53,54,56. En nuestra serie tuvimos 7 (17,5%) pacientes con adenomas invasores y solo en 2 se obtuvo la remisión bioquímica.
En todos los casos tuvimos confirmación histopatológica intraoperatoria y diferida (39 adenomas corticotropos y 1 hiperplasia corticotropa). Según la bibliografía, el riesgo de persistencia de EC aumenta cuando no se encuentra el adenoma durante la cirugía y cuando la histología es negativa61,62. El Ki 67 fue > 3 en 12 (30,7%) casos, no evidenciándose diferente evolución en este subgrupo de pacientes. La literatura recomienda un seguimiento más estricto en aquellos pacientes con un índice de proliferación Ki 67 ≥ 363. En cuanto a los ACC, estos tienen una prevalencia del 0-8% y representan un subtipo raro de adenomas corticotropos que tienen como característica que la mayoría de las células (>50 %) exhiben depósito citoplasmático en forma de anillo de citoqueratina, conocido como cambio hialino de Crooke64. Según la clasificación de la Organización Mundial de la Salud (OMS) de los tumores de los órganos endócrinos de 2017, existe un subtipo de adenomas hipofisarios que muestran un comportamiento más agresivo, entre los cuales están incluidos los adenomas de células de Crooke65. En nuestra serie representaron el 12,5% (5/40) de los casos, algo mayor a lo reportado en la literatura, y en su mayoría fueron mujeres (4/5), macroadenomas (4/5), casi todos en la segunda etapa luego de la clasificación de la OMS; no encontramos características especiales diferenciales en cuanto a la evolución final en estos pacientes. Tuvimos un caso en el que la AP diferida informó hiperplasia corticotropa (mujer con macroadenoma con remisión postoperatoria), aun se encuentra en debate si esta entidad es o no un paso inicial previo a la génesis de un adenoma corticotropo o si es consecuencia de secreción de hormona liberadora de corticotrofina (CRH) hipotalámica elevada o receptores de CRH corticotropos hipersensibles66.
De los 6 pacientes con alteraciones en el CVC, todos presentaron mejoría y ninguno empeoró en el postoperatorio. La recuperación fue completa en 4 y parcial en 2. Las gravedad de las alteraciones visuales relacionadas a los macroadenomas en general se asocia al tamaño tumoral, edad del paciente, estado preexistente y tiempo de evolución del déficit. En la literatura se ha publicado normalización de la visión en el 27% a 50% de los casos, mejoría en el 39% a 88,7% y empeoramiento en el 0,86 a 1,9%67-71.
Según estudios, la probabilidad de recuperar la función del eje adrenal es de alrededor del 50-60% de los pacientes con EC, con un tiempo promedio de 13 a 25 meses y se relacionó la demora en la recuperación con menor edad y mayor tiempo de hipercortisolemia72,73. En nuestra experiencia, 73% de los pacientes recuperaron la función adrenal y el 27% continuan con terapia de reemplazo. La tasa de complicaciones de la CTSE en adenomas hipofisarios en general oscilan entre el 3,3% al 9,3%, pero tienden a ser mayores en los pacientes con EC (rango de 9 a 15%)74. La mayoría de los investigadores sugieren que las complicaciones están asociadas con múltiples factores siendo los más importantes el tamaño tumoral, la invasión local, la extensión de la resección quirúrgica, la biología tumoral y la adecuada preservación de las estructuras anatómicas normales75. Smith y col. reportaron una tasa global de complicaciones menores en EC del 35,4% y complicaciones mayores del 8,5%74; en nuestra serie tuvimos un 20% global, en su mayoría menores y todas resueltas sin secuelas. No hubo casos de fístula de LCR, una de las complicaciones mas mencionadas en este tipo de cirugía junto con el riesgo de meningitis que conlleva; las publicaciones reportan incidencia de fístula y meningitis del 0-7,2% y 0-7,9% respectivamente76-78. Tampoco tuvimos casos de lesión carotídea, una de las complicaciones mas temidas y que en algunos estudios esta reportada con mayor incidencia en la CEE que en la técnica microscópica79. La DI ha sido transitoria en los 5 (7,5%) casos de nuestra serie. Según Laws y col. la incidencia de DI luego de la CTSE varía entre 0,4 y 17% [80]; otros trabajos reportan 10-30% de DI transitoria y 2-7% definitiva81,82. La DI permanente representa la injuria del tallo hipofisario durante la cirugía y en nuestra serie no ocurrió en ningún caso. Smith y col. en su reporte de complicaciones en CEE en EC reportaron que toda la morbilidad permanente se asoció con DI (6,1%), en el 23,5% se desarrolló DI transitoria, la cual fue más probable en una segunda operación (37,9 %) que en aquellos que habían sido sometidos a una sola operación (12,8 %)74. El riesgo de DI permanente es mayor en jóvenes, varones, tumores grandes, reoperaciones y con fístula de LCR postoperatoria12,13,81,83,84. Las complicaciones rinosinusales que tuvimos fueron 2 epistaxis y 2 sinusitis con requerimiento de debridamiento y limpieza quirúrgica. La epistaxis, potencialmente grave, puede ser inmediata o tardía (10 días promedio)11,86. Ha sido asociada con lesión de la arteria etmoidal anterior o sangrado de la rama septal posterior de la arteria esfenopalatina y anticoagulación postoperatoria. El tratamiento depende de la gravedad y puede variar desde taponaje nasal hasta embolización endovascular y/o exploración quirúrgica. Smith y col. reportaron una incidencia del 1,3% en 68 pacientes con EC74. La incidencia global reportada en CEE va del 0,6 al 3%78,87,88. Para evitar esta complicación consideramos importante realizar una hemostasia meticulosa en el tiempo nasal y esfenoidal del abordaje y controlar la misma en el momento del cierre elevando las cifras de tensión arterial, como así también la utilización de tapones nasales con balón por 72 horas. El trabajo multidisciplinario con el otorrinolaringólogo es importante para minimizar la morbilidad rinosinusal89. Por último, una paciente desarrolló TEP al quinto día postoperatorio debiendo ser anticoagulada y evolucionó favorablemente. Si bien existe un riesgo bajo de desarrollar trombosis venosa profunda post CEE (2,5%) en general, en pacientes con EC es más alto (rango 5,5 %–5,9 %)86. Se cree que el estado de hipercoagulabilidad en estos pacientes está asociado con una mayor producción de procoagulantes, activación de la cascada de coagulación y deterioro de la capacidad fibrinolítica. La profilaxis tromboembólica precoz juega un rol determinante para evitar este tipo de complicaciones.
Para el fracaso quirúrgico inmediato y para la recurrencia tardía, existen varias modalidades terapéuticas: segunda cirugía hipofisaria, tratamiento médico, radioterapia o suprarrenalectomía bilateral, las cuales han demostrado distintos grados de eficacia y efectos adversos90-92(Figura 7). Una segunda cirugía debe ser considerada en casos de lesión hipofisaria accesible y visible en RM, teniendo en cuenta que la eficacia reportada es menor que en la primer cirugía (22-75%) y frecuentemente se asocia a un aumento del riesgo de hipopituitarismo, DI y fístula de LCR56,93-95. La recirugía representa un desafío mayor debido a la pérdida de reparos anatómicos y a la formación de tejido cicatrizal, de ahí la importancia que estos pacientes sean tratados en centros con especialistas en patología hipofisaria61. En ningún paciente de nuestra serie con persistencia de EC se optó por repetir cirugía en el periodo precoz. Un estudio reciente reportó la posibilidad de remisión tardía luego de la cirugía en alrededor del 5,6% de casos, esto estaría a favor de un retraso en la reoperación inmediata96. De los 3 pacientes reintervenidos quirúrgicamente (todas recurrencias), solo uno mostró remisión postoperatoria. La resección extracapsular se asocia a un descenso rápido del cortisol postoperatorio y mayores índices de remisión97,98. En ningún caso de recurrencia se consideró la hipofisectomía debido a las complicaciones que dicha cirugía conlleva. Algunos autores sugieren realizar adenomectomía + resección del parénquima circundante o incluso hemihipofisectomía85,99. En nuestra cohorte la radiocirugía fue el tratamiento secundario más utilizado 20% (8/40) logrando remisión en el 75% (6/8) de los casos irradiados. Se demostró una eficacia inicial tanto con la radioterapia multifraccionada como con la radiocirugía estereotáctica (SRS) de sesión única para la EC, siendo la más establecida la radiocirugía con Gamma Knife100,101. La radiocirugía es una alternativa efectiva, segura y bien tolerada, que incluso podría ser considerarada en pacientes con contraindicación para la cirugía. Las desventajas de la radioterapia son el lento inicio de la acción terapéutica y el alto riesgo de hipopituitarismo. Dado que las recurrencias pueden ocurrir muchos años después de la normalización de la secreción de cortisol, el seguimiento longitudinal es fundamental para evaluar estas opciones terapéuticas102.

Figura 7. Algoritmo terapéutico para enfermedad de Cushing persistente. CTSE (Cirugía transeptoesfenoidal).

Si comparamos las 2 etapas de nuestro trabajo, teniendo en cuenta la similar composición de ambos grupos en cuanto a tamaño e invasividad tumoral, podemos apreciar el impacto de la curva de aprendizaje evidenciado por el aumento de la tasa de remisión (70% en la primera etapa contra 95% en la segunda etapa). El tiempo quirúrgico, la estadía hospitalaria y las complicaciones fueron similares en ambos grupos. Existen varios estudios que respaldan la importancia de la experiencia quirúrgica en este tipo de patología103-105.
Los pacientes con EC deben ser evaluados por un equipo multidisciplinario compuesto por un endocrinólogo especialista, neurocirujano experimentado, neuropatólogo, neurorradiólogo y radioterapeuta, con el objetivo de maximizar las chances de diagnóstico precoz, tratamiento adecuado y curación.

CONCLUSIONES
La CEE es el tratamiento de elección para la EC ofreciendo excelentes tasas de remisión con baja morbimortalidad. Los factores predictores de evolución favorable fueron la hipocortisolemia postoperatoria, los adenomas no invasores y la experiencia del equipo quirúrgico. Es necesario un seguimiento a largo plazo, teniendo en cuenta que se puede presentar recurrencia incluso varios años después de la remisión, independientemente del tumor y las características del paciente.

Limitaciones
Si bien es un estudio retrospectivo con todas las debilidades y el sesgo que dicha metodología presenta, los últimos 20 pacientes fueron cargados prospectivamente en la base de datos. Todos los pacientes fueron operados con la misma técnica y equipo neuroquirúrgico. La limitación principal radica en el reducido número de casos de nuestra serie y el corto periodo de seguimiento para los pacientes de la segunda etapa teniendo en cuenta la posibilidad de recurrencia alejada que tiene esta patología. Por esto debemos ser cautos y no hablar de curación sino de remisión y control de la enfermedad.

Conflictos de interés
Los autores declaran no tener conflictos de interés que puedan perjudicar la imparcialidad de este trabajo científico. Tampoco existen intereses personales, comerciales ni financieros con drogas, materiales e instrumental que se describen en el presente estudio.


BIBLIOGRAFÍA

  1. Castinetti F, Morange I, Conte-Devolx B, Brue T. Cushing's disease. Orphanet J Rare Dis. 2012; Jun 18:7-41.
  2. Lindhom J, Juul S, Jorgensen JOL, Bjerre AP, Feldt-Rasmussen U, Hagen C, Jorgensen J, Kosteljanetz M, Kristensen LO, Laurberg P, Schmidt K & Weeke J. Incidence and late prognosis of Cushing’s syndrome: a population-based study. Journal of Clinical Endocrinology and Metabolism 2001;86:117–123.
  3. Lonser RR, Nieman L, Oldfield EH. Cushing's disease: pathobiology, diagnosis, and management. Journal of Neurosurgery. 2017;126(2):404-417.
  4. Martínez Ortega AJ, Venegas-Moreno E, Dios E, Remón Ruíz PJ, Márquez Rivas FJ, Valdepeñas EC, Kaen AM, Cano DA, Soto-Moreno A. Surgical Outcomes and Comorbidities in Cushing Disease: 30 Years of Experience in a Referral Center. World Neurosurg. 2019;122:e436-e442.
  5. Biller BM, Grossman AB, Stewart PM, Melmed S, Bertagna X, Bertherat J, Buchfelder M, Colao A, Hermus AR, Hofland LJ, Klibanski A, Lacroix A, Lindsay JR, Newell-Price J, Nieman LK, Petersenn S, Sonino N, Stalla GK, Swearingen B, Vance ML, Wass JA, Boscaro M. Treatment of adrenocorticotropin-dependent Cushing's syndrome: a consensus statement. J Clin Endocrinol Metab. 2008;93(7):2454-62.
  6. Nieman LK. Cushing's syndrome: update on signs, symptoms and biochemical screening. Eur J Endocrinol. 2015;173(4):M33-8.
  7. Hardy J. Transsphenoidal microsurgery of the normal and pathological pituitary. Clin Neurosurg 1969; 16:185–217.
  8. Jho HD, Carrau RL Endoscopic endonasal transsphenoidal surgery: experience with 50 patients. J Neurosurg. 1997; 87:44–51.
  9. Ciric I, Zhao JC, Du H, Findling JW, Molitch ME, Weiss RE, Refetoff S, Kerr WD, Meyer J. Transsphenoidal surgery for Cushing disease: experience with 136 patients. Neurosurgery. 2012;70(1):70-80; discussion 80-1.
  10. Esposito F, Dusick JR, Cohan P, Moftakhar P, McArthur D, Wang C, Swerdloff RS, Kelly DF. Early morning cortisol levels as a predictor of remission after transsphenoidal surgery for Cushing’s disease. J Clin Endocrinol Metab. 2006;91:7–13.
  11. Jagannathan J, Smith R, DeVroom HL, Vortmeyer AO, Stratakis CA, Nieman LK, Oldfield EH Outcome of using the histological pseudocapsule as a surgical capsule in Cushing disease. J Neurosurgery. 2009;111:531–539.
  12. Hammer GD, Tyrrell JB, Lamborn KR, Applebury CB, Hannegan ET, Bell S, Rahl R, Lu A, Wilson CB. Transsphenoidal microsurgery for Cushing’s disease: initial outcome and long-term results. J Clin Endocrinol Metab. 2004;89:6348–6357.
  13. Rees D, Hanna F, Davies J, Mills R, Vafidis J, Scanlon M. Long-term follow-up results of transsphenoidal surgery for Cushing’s disease in a single centre using strict criteria for remission. Clin Endocrinol (Oxf). 2002;56:541–551.
  14. Chee GH, Mathias DB, James RA, Kendall-Taylor P. Transsphenoidal pituitary surgery in Cushing’s disease: can we predict outcome? Clin Endocrinol (Oxf) 2001;54:617–626.
  15. Ammini AC, Bhattacharya S, Sahoo JP, Philip J, Tandon N, Goswami R, Jyotsna VJ, Khadgawat R, Chumber S, Seth A, Karak AK, Sharma BS, Chandra PS, Suri A, Sharma MS, Kale SS, Singh M. Cushing’s disease: results of treatment and factors afecting outcome. Horm Athens Greece. 2011;10:222–229.
  16. Pendharkar AV, Sussman ES, Ho AL, Hayden Gephart MG, Katznelson L.Cushing’s disease: predicting long-term remission after surgical treatment. Neurosurg Focus. 2015;38(2):E13.
  17. Nieman LK, Biller BM, Findling JW, Murad MH, Newell-Price J, Savage MO, Tabarin A. Treatment of Cushing's syndrome: an Endocrine Society clinical practice guideline. J Clin Endocrinol Metab. 2015;100(8):2807–31.
  18. Findling JW, Raff H. Screening and diagnosis of Cushing's syndrome. Endocrinol Metab Clin North Am. 2005;34:385–402.
  19. Arnaldi G, Angeli A, Atkinson AB, Bertagna X, Cavagnini F, Chrousos GP, Fava GA, Findling JW, Gaillard RC, Grossman AB, Kola B, Lacroix A, Mancini T, Mantero F, Newell-Price J, Nieman LK, Sonino N, Vance ML, Giustina A, Boscaro M. Diagnosis and complications of Cushing's syndrome: a consensus statement. J Clin Endocrinol Metab. 2003;88:5593–5602.
  20. Carroll T, Raff H, Findling JW: Late-night salivary cortisol for the diagnosis of Cushing syndrome: a meta-analysis. Endocr Pract 2009, 15:335–342.
  21. Yaneva M, Mosnier-Pudar H, Dugue MA, Grabar S, Fulla Y, Bertagna X: Midnight salivary cortisol for the initial diagnosis of Cushing's syndrome of various causes. J Clin Endocrinol Metab. 2004;89:3345–3351.
  22. Hall WA, Luciano MG, Doppman JL, Patronas NJ, Oldfield EH. Pituitary magnetic resonance imaging in normal human volunteers: occult adenomas in the general population. Ann Intern Med. 1994;120:817–820.
  23. Oldfield EH, Doppman JL, Nieman LK, Chrousos GP, Miller DL, Katz DA, Cutler GB Jr, Loriaux DL. Petrosal sinus sampling with and without corticotropin-releasing hormone for the differential diagnosis of Cushing's syndrome. N Engl J Med.1991;325:897–905
  24. Kaskarelis IS, Tsatalou EG, Benakis SV, Malagari K, Komninos I, Vassiliadi D, Tsagarakis S, Thalassinos N. Bilateral inferior petrosal sinuses sampling in the routine investigation of Cushing's syndrome: a comparison with MRI. AJR Am J Roentgenol. 2006;187:562–570.
  25. Wind JJ, Lonser RR, Nieman LK, DeVroom HL, Chang R, Oldfield EH. The lateralization accuracy of inferior petrosal sinus sampling in 501 patients with Cushing’s disease. J Clin Endocrinol Metab . 2013;98:2285–2293.
  26. Knosp E, Steiner E, Kitz K, Matula C. Pituitary adenomas with invasion of the cavernous sinus space: a magnetic resonance imaging classification compared with surgical findings. Neurosurgery. 1993;33:610-617.
  27. Rivera-Serrano CM, Snyderman CH, Gardner P, Prevedello D, Wheless S, Kassam AB, Carrau RL, Germanwala A, Zanation A. Nasoseptal ‘‘Rescue’’ Flap: A Novel Modification of the Nasoseptal Flap Technique for Pituitary Surgery. Laryngoscope. 2011;121:990–993.
  28. Hadad G, Bassagasteguy L, Carrau RL, Matiza JC, Kassam A, Snyderman CH, Mintz A. A novel reconstructive technique after endoscopic expanded endonasal approaches: vascular pedicle nasoseptal flap. Laryngoscope. 2006;116:1882-6.
  29. Lindsay JR, Oldfield EH, Stratakis CA, Nieman LK. The postoperative basal cortisol and CRH tests for prediction of long-term remission from Cushing's disease after transsphenoidal surgery. J Clin Endocrinol Metab. 2011;96(7):2057-64.
  30. Wang F, Catalino MP, Bi WL, Dunn IF, Smith TR, Guo Y, Hordejuk D, Kaiser UB, Laws ER, Min L. Postoperative Day 1 Morning Cortisol Value as a Biomarker to Predict Long-term Remission of Cushing Disease. J Clin Endocrinol Metab. 2021;106(1):e94-e102.
  31. Petersenn S, Beckers A, Ferone D, van der Lely A, Bollerslev J, Boscaro M, Brue T, Bruzzi P, Casanueva FF, Chanson P, Colao A, Reincke M, Stalla G, Tsagarakis S. Therapy of endocrine disease: outcomes in patients with Cushing's disease undergoing transsphenoidal surgery: systematic review assessing criteria used to define remission and recurrence. Eur J Endocrinol. 2015;172(6):R227–39.
  32. McCance DR, Besser M, Atkinson AB. Assessment of cure after transsphenoidal surgery for Cushing's disease. Clin Endocrinol. 1996;44:1–06.
  33. Trainer PJ, Lawrie HS, Verhelst J, Howlett TA, Lowe DG, Grossman AB, Savage MO, Afshar F, Besser GM. Transsphenoidal resection in Cushing's disease: undetectable serum cortisol as the definition of successfuI treatment. Clin Endocrinol. 1993;38:73-8.
  34. Pecori Giraldi F, Moro M & Cavagnini F. Gender-related differences in the presentation and course of Cushing’s disease. Journal of Clinical Endocrinology and Metabolism. 2003;88:1554– 1558.
  35. Ross EJ & Linch DC. Cushing’s syndrome-killing disease: discriminatory value of signs and symptoms aiding early diagnosis. Lancet.1982;2:646–649.
  36. Castinetti F. Cushing's disease: role of preoperative and primary medical therapy. Pituitary. 2022; Jul 2. Epub ahead of print.
  37. Pivonello R, Pivonello C, Simeoli C, De Martino MC, Colao A. The dopaminergic control of Cushing's syndrome. J Endocrinol Invest. 2022;45(7):1297-1315.
  38. Gicquel C, Le Bouc Y, Luton JP, Girard F, Bertagna X. Monoclonality of corticotroph macroadenomas in Cushing's disease. J Clin Endocrinol Metab. 1992;75:472–475.
  39. Invitti C, Pecori Giraldi F, de Martin M, Cavagnini F. Diagnosis and management of Cushing's syndrome: results of an Italian multicentre study. Study Group of the Italian Society of Endocrinology on the Pathophysiology of the Hypothalamic-Pituitary-Adrenal Axis. J Clin Endocrinol Metab. 1999;84(2):440-8.
  40. Vitale G, Tortora F, Baldelli R, Cocchiara F, Paragliola RM, Sbardella E, Simeoli C, Caranci F, Pivonello R, Colao A. Pituitary magnetic resonance imaging in Cushing's disease. Endocrine. 2017;55(3):691-696
  41. Valassi E, Santos A, Yaneva M, Tóth M, Strasburger CJ, Chanson P, Wass JA, Chabre O, Pfeifer M, Feelders RA, Tsagarakis S, Trainer PJ, Franz H, Zopf K, Zacharieva S, Lamberts SW, Tabarin A, Webb SM; ERCUSYN Study Group. The European Registry on Cushing's syndrome: 2-year experience. Baseline demographic and clinical characteristics. Eur J Endocrinol. 2011;165(3):383-92.
  42. Patil CG, Prevedello DM, Lad SP, Vance ML, Thorner MO, Katznelson L, Laws ER Jr. Late recurrences of Cushing's disease after initial successful transsphenoidal surgery. J Clin Endocrinol Metab. 2008;93(2):358-62.
  43. Dallapiazza RF, Oldfield EH, Jane JA Jr. Surgical management of Cushing's disease. Pituitary. 2015;18(2):211-6.
  44. Broersen LHA, Biermasz NR, van Furth WR, de Vries F, Verstegen MJT, Dekkers OM, Pereira AM. Endoscopic vs. microscopic transsphenoidal surgery for Cushing’s disease: a systematic review and meta-analysis. Pituitary. 2018;21:524–534.
  45. Qiao N. Outcome of endoscopic vs microsurgical transsphenoidal resection for Cushing's disease. Endocr Connect. 2018;7(1):R26-R37.
  46. Hofstetter, CP, Shin, BJ, Mubita, L, Huang C, Anand, VK, Boockvar, JA, Schwartz, TH. Endoscopic endonasal transsphenoidal surgery for functional pituitary adenomas. Neurosurgical Focus. 2011; 30(4): E10.
  47. Brady Z, Garrahy A, Carthy C, O'Reilly MW, Thompson CJ, Sherlock M, Agha A, Javadpour
  48. M. Outcomes of endoscopic transsphenoidal surgery for Cushing's disease. BMC Endocr Disord. 2021 Mar 3;21(1):36. doi: 10.1186/s12902-021-00679-9. PMID: 33658018; PMCID: PMC7931517.
  49. Sarkar S, Rajaratnam S, Chacko G, Mani S, Hesargatta AS, Chacko AG. Pure endoscopic transsphenoidal surgery for functional pituitary adenomas: outcomes with Cushing's disease. Acta Neurochir. 2016;158(1):77-86.
  50. Cebula H, Baussart B, Villa C, Assié G, Boulin A, Foubert L, Aldea S, Dennis S, Bernier M, Proust F, Gaillard S. Efficacy of endoscopic endonasal transsphenoidal surgery for Cushing's disease in 230 patients with positive and negative MRI. Acta Neurochir. 2017;159(7):1227-1236.
  51. Todeschini AB, Santos ARLD, Dolci RLL, Lima Junior JV, Scalissi NM, Lazarini PR. Long Term Follow-up after Endoscopic Endonasal Approach for the Treatment of Cushing's Disease. J Neurol Surg B Skull Base. 2019;80(3):306-309.
  52. Chandler WF, Barkan AL, Hollon T, Sakharova A, Sack J, Brahma B, Schteingart DE. Outcome of transsphenoidal surgery for Cushing disease: a single-center experience over 32 years. Neurosurgery. 2016;78:216–223.
  53. Hofmann BM, Hlavac M, Martinez R, Buchfelder M, Muller OA, Fahlbusch R. Long-term results after microsurgery for Cushing disease: experience with 426 primary operations over 35 years. J Neurosurg. 2008;108:9–18.
  54. Enseñat J, Ortega A, Topcewski T, Vilalta J, Obiols G, Mesa J, Sahuquillo J. Valor predictivo de la clasificación de Knosp en el grado de resección quirúrgica de los macroadenomas invasivos. Estudio prospectivo de una serie de 23 casos. Neurocirugía. 2006; 17(6):519-526.Ajlan A, Achrol AS, Albakr A, Feroze A, Westbrook E, Huang P, Harsh G. Cavernous Sinus Involvement by Pituitary Adenomas: Clinical Implications and Outcomes of Endoscopic Endonasal Resection. J Neurol Surg B Skull Base. 2017; 78(3):273-282.
  55. Atkinson AB, Kennedy A, Wiggam MI, McCance DR, Sheridan B. Long-term remission rates after pituitary surgery for Cushing’s disease: the need for long-term surveillance. Clin Endocrinol. 2005;63:549–559.
  56. Guaraldi F, Zoli M, Asioli S, Corona G, Gori D, Friso F, Pasquini E, Bacci A, Sforza A, Mazzatenta D. Results and predictors of outcome of endoscopic endonasal surgery in Cushing's disease: 20-year experience of an Italian referral Pituitary Center. J Endocrinol Invest. 2020;43(10):1463-1471.
  57. Dutta A, Gupta N, Walia R, Bhansali A, Dutta P, Bhadada SK, Pivonello R, Ahuja CK, Dhandapani S, Hajela A, Simeoli C, Sachdeva N, Saikia UN. Remission in Cushing's disease is predicted by cortisol burden and its withdrawal following pituitary surgery. J Endocrinol Invest. 2021;44(9):1869-1878.
  58. Yamada S, Fukuhara N, Nishioka H, Takeshita A, Inoshita N, Ito J, Takeuchi Y. Surgical management and outcomes in patients with Cushing disease with negative pituitary magnetic resonance imaging. World Neurosurg. 2012;77(3-4):525-32.
  59. Doglietto F, Maira G. Cushing disease and negative magnetic resonance imaging finding: a diagnostic and therapeutic challenge. World Neurosurg. 2012;77(3-4):445-7.
  60. Sun Y, Sun Q, Fan C, Shen J, Zhao W, Guo Y, Su T, Wang W, Ning G, Bian L. Diagnosis and therapy for Cushing's disease with negative dynamic MRI finding: a single-centre experience. Clin Endocrinol (Oxf). 2012;76(6):868-76.
  61. Dai C, Feng M, Sun B, Bao X, Yao Y, Deng K, Ren Z, Zhao B, Lu L, Wang R, Kang J. Surgical outcome of transsphenoidal surgery in Cushing's disease: a case series of 1106 patients from a single center over 30 years. Endocrine. 2022;75(1):219-227.
  62. Ioachimescu AG. Prognostic Factors of Long-Term Remission After Surgical Treatment of Cushing's Disease. Endocrinol Metab Clin North Am. 2018;47(2):335-347.
  63. Petry C, Poli JHZ, de Azevedo Dossin I, Rech CGSL, Pereira Lima JFS, Ferreira NP, da Costa Oliveira M. Evaluation of the potential of the Ki67 index to predict tumor evolution in patients with pituitary adenoma. Int J Clin Exp Pathol. 2019;12(1):320-326.
  64. Giraldi EA, Neill SG, Mendoza P, Saindane A, Oyesiku NM, Ioachimescu AG. Functioning Crooke Cell Adenomas: Case Series and Literature Review. World Neurosurg. 2021;18:S1878-8750(21)01751-4.
  65. Osamura RY, Lopes MBS, Grossman A, Matsuno A, Korbonits M, Trouillas J, Kovacs K. Pituitary adenoma. In: Lloyd RV, Osamura RY, Klöppel G, Rosai J (eds). WHO classification of tumours of endocrine organs, 4th edn. IARC, Lyon. 2017; pp14-18.
  66. Catalino MP, Meredith DM, De Girolami U, Tavakol S, Min L, Laws ER. Corticotroph hyperplasia and Cushing disease: diagnostic features and surgical management. J Neurosurg. 2020;4:1-12.
  67. Barzaghi LR, Medone M, Losa M, et al. Prognostic factors of visual field improvement after trans-sphenoidal approach for pituitary macroadenomas: review of the literature and analysis by quantitative method. Neurosurg Rev. 2012;35(3):369–78.
  68. Dehdashti AR, Ganna A, Karabatsou K, Gentili F. Pure endoscopic endonasal approach for pituitary adenomas: early surgical results in 200 patients and comparison with previous microsurgical series. Neurosurgery. 2008; 62(5):1006-15.
  69. Karamouzis I, Caputo M, Mele C, Nuzzo A, Zavattaro M, Panzarasa G, Prodam F, Marzullo P, Aimaretti G. Transsphenoidal surgery for pituitary adenomas: early results from a single center. Hormones. 2018;17(4):551-556.
  70. Aiyer RG, Upreti G. Endoscopic Endonasal Trans-Sphenoidal Approach for Pituitary Adenomas: A Prospective Study. Indian J Otolaryngol Head Neck Surg. 2020; 72(1):36-43.
  71. Ho RW, Huang HM, Ho JT. The influence of pituitary adenoma size on vision and visual outcomes after transsphenoidal adenectomy: a report of 78 cases. J Korean Neurosurg Soc. 2015; 57(1):23-31.
  72. Flitsch J, Ludecke DK, Knappe UJ, Saeger W. Correlates of long-term hypocortisolism after t ranssphenoidal microsurgery for Cushing' s disease. Exp Clin Endocrinol Diabetes. 1999;107:183–189.
  73. Berr CM, Di Dalmazi G, Osswald A, Ritzel K, Bidlingmaier M, Geyer LL, Treitl M, Hallfeldt K, Rachinger W, Reisch N, Blaser R, Schopohl J, Beuschlein F, Reincke M. Time to recovery of adrenal function after curative surgery for Cushing's syndrome depends on etiology. J Clin Endocrinol Metab. 2015;100(4):1300-8.
  74. Smith TR, Hulou MM, Huang KT, Nery B, de Moura SM, Cote DJ, Laws ER. Complications after transsphenoidal surgery for patients with Cushing's disease and silent corticotroph adenomas. Neurosurg Focus. 2015;38(2):E12.
  75. Cappabianca P, Cavallo LM, Colao A, de Divitiis E. Surgical complications associated with the endoscopic endonasal transsphenoidal approach for pituitary adenomas. J Neurosurg. 2002;97(2):293-298.
  76. Fraser S, Gardner PA, Koutourousiou M, Kubik M, Fernandez-Miranda JC, Snyderman CH, Wang EW. Risk factors associated with postoperative cerebrospinal fluid leak after endoscopic endonasal skull base surgery. J Neurosurg. 2018; 128:1066-1071.
  77. Strickland BA, Lucas J, Harris B, Kulubya E, Bakhsheshian J, Liu C, Wrobel B, Carmichael JD, Weiss M, Zada G. Identification and repair of intraoperative cerebrospinal fluid leaks in endonasal transsphenoidal pituitary surgery: surgical experience in a series of 1002 patients. J Neurosurg. 2018; 129:425-429.
  78. Zhou Q, Yang Z, Wang X, Wang Z, Zhao C, Zhang S, Li P, Li S, Liu P. Risk factors and management of intraoperative cerebrospinal fluid leaks in endoscopic treatment of pituitary adenoma: analysis of 492 patients. World Neurosurg. 2017; 101:390-395.
  79. Ammirati M, Wei L, Ciric I. Short-term outcome of endoscopic versus microscopic pituitary adenoma surgery: a systematic review and meta-analysis. J Neurol Neurosurg Psychiatry. 2013;84(8):843–9.
  80. Nemergut EC, Zuo Z, Jane JA Jr, Laws ER Jr. Predictors of diabetes insipidus after transsphenoidal surgery: a review of 881 patients. J Neurosurg 2005; 103: 448–454.
  81. Pivonello R, De Leo M, Cozzolino A, Colao A. The treatment of Cushing’s disease. Endocr Rev. 2015;36:385–486.
  82. Ciric I, Ragin A, Baumgartner C, Pierce D. Complications of transsphenoidal surgery: results of a national survey, review of the literature, and personal experience. Neurosurg. 1997;40:225– 236.
  83. Loh JA and Verbalis JG. Diabetes insipidus as a complication after pituitary surgery. Nat Clin Pract Endocrinol Metab. 2007; 3: 489–494.
  84. Hensen J, Henig A, Fahlbusch R, Meyer M, Boehnert M, Buchfelder M. Prevalence, predictors and patterns of postoperative polyuria and hyponatraemia in the immediate course after transsphenoidal surgery for pituitary adenomas. Clin Endocrinol (Oxf). 1999; 50: 431–439.
  85. Honegger J, Schmalisch K, Beuschlein F, Kaufmann S, Schnauder G, Naegele T, Psaras T. Contemporary microsurgical concept for the treatment of Cushing’s disease: endocrine outcome in 83 consecutive patients. Clin Endocrinol (Oxf). 2012;76:560–567.
  86. Semple PL, Laws ER Jr. Complications in a contemporary series of patients who underwent transsphenoidal surgery for Cushing’s disease. J Neurosurg. 1999;91:175–179.
  87. Berker M, Hazer DB, Yücel T, Gürlek A, Cila A, Aldur M, Onerci M: Complications of endoscopic surgery of the pituitary adenomas: analysis of 570 patients and review of the literature. Pituitary. 2012; 15:288–300.
  88. Gondim JA, Almeida JPC, Albuquerque LAF, Schops M, Gomes E, Ferraz T, Kretzmann MT. Endoscopic endonasal approach for pituitary adenoma: surgical complications in 301 patients. Pituitary. 2010; 14(2), 174–183.
  89. Cheng Y, Xue F, Wang TY, Ji JF, Chen W, Wang ZY, Xu L, Hang CH, Liu, XF. Analyses and treatments of postoperative nasal complications after endonasal transsphenoidal resection of pituitary neoplasms. Medicine (Baltimore). 2017; 96(15): e 6614.
  90. Capatina C, Hinojosa-Amaya JM, Poiana C, Fleseriu M. Management of patients with persistent or recurrent Cushing's disease after initial pituitary surgery. Expert Rev Endocrinol Metab. 2020;15(5):321-339.
  91. Albani A, Theodoropoulou M. Persistent Cushing's Disease after Transsphenoidal Surgery: Challenges and Solutions. Exp Clin Endocrinol Diabetes. 2021;129(3):208-215.
  92. Smith PW, Turza KC, Carter CO, Vance ML, Laws ER, Hanks JB: Bilateral adrenalectomy for refractory Cushing disease: a safe and definitive therapy. J Am Coll Surg. 2009;208:1059–1064.
  93. Wagenmakers MA, Netea-Maier RT, van Lindert EJ, Timmers HJ, Grotenhuis JA, Hermus AR. Repeated transsphenoidal pituitary surgery via the endoscopic technique: a good therapeutic option for recurrent or persistent Cushing's disease. Clin Endocrinol (Oxf). 2009;70:274–280.
  94. Locatelli M, Vance ML, Laws ER: Clinical review: the strategy of immediate reoperation for transsphenoidal surgery for Cushing's disease. J Clin Endocrinol Metab. 2005;90:5478–5482.
  95. Valderrábano P, Aller J, García-Valdecasas L, García-Uría J, Martín L, Palacios N, Estrada J. Results of repeated transsphenoidal surgery in Cushing's disease. Long-term follow-up. Endocrinol Nutr. 2014;61(4):176-83.
  96. Valassi E, Biller BM, Swearingen B, Pecori Giraldi F, Losa M, Mortini P, Hayden D, Cavagnini F, Klibanski A: Delayed remission after transsphenoidal surgery in patients with Cushing's disease. J Clin Endocrinol Metab 2010, 95:601–610.
  97. Monteith SJ, Starke RM, Jane JA Jr, Oldfield EH. Use of the histological pseudocapsule in surgery for Cushing disease: rapid postoperative cortisol decline predicting complete tumor resection. J Neurosurg. 2012;116(4):721-7.
  98. Witek P, Zieliński G, Szamotulska K, Maksymowicz M, Kamiński G. Clinicopathological predictive factors in the early remission of corticotroph pituitary macroadenomas in a tertiary referral centre. Eur J Endocrinol. 2016;174(4):539-49.
  99. Carr SB, Kleinschmidt-DeMasters BK, Kerr JM, Kiseljak-Vassiliades K, Wierman ME, Lillehei KO. Negative surgical exploration in patients with Cushing's disease: benefit of two-thirds gland resection on remission rate and a review of the literature. J Neurosurg. 2018;129(5):1260-1267.
  100. Estrada J, Boronat M, Mielgo M, Magallón R, Millan I, Díez S, Lucas T, Barceló B. The long- term outcome of pituitary irradiation after unsuccessful transsphenoidal surgery in Cushing’s disease. N Engl J Med. 1997;336(3):172–177.
  101. Sheehan JP, Xu Z, Salvetti DJ, Schmitt PJ, Vance ML. Results of gamma knife surgery for Cushing’s disease. J Neurosurg. 2013; 119(6):1486–1492.
  102. Mehta GU, Ding D, Patibandla MR, Kano H, Sisterson N, Su YH, Krsek M, Nabeel AM, El- Shehaby A, Kareem KA, Martinez-Moreno N, Mathieu D, McShane B, Blas K, Kondziolka D, Grills I, Lee JY, Martinez-Alvarez R, Reda WA, Liscak R, Lee CC, Lunsford LD, Vance ML, Sheehan JP. Stereotactic Radiosurgery for Cushing Disease: Results of an International, Multicenter Study. J Clin Endocrinol Metab. 2017;102(11):4284-4291.
  103. Jang JH, Kim KH, Lee YM, Kim JS, Kim YZ. Surgical Results of Pure Endoscopic Endonasal Transsphenoidal Surgery for 331 Pituitary Adenomas: A 15-Year Experience from a Single Institution. World Neurosurg. 2016; 96:545-555.
  104. Kim JH, Lee JH, Lee JH, Hong AR, Kim YJ, Kim YH. Endoscopic transsphenoidal surgery outcomes in 331 nonfunctioning pituitary adenoma cases after a single surgeon learning curve. World Neurosurg. 2018; 109:409–416.
  105. Leach P, Abou-Zeid AH, Kearney T, Davis J, Trainer PJ, Gnanalingham KK. Endoscopic Transsphenoidal Pituitary Surgery: Evidence of an Operative Learning Curve. Neurosurgery. 2010; 67:1205-1212.