Lesiones pineales incidentales en mi consultorio
Alexis Tovar, Miguel Mural, Eduardo Salas
Los pacientes con lesiones localizadas en la región pineal que asisten a nuestro consultorio pueden presentarse con un quiste incidental asintomático en un hallazgo radiológico solicitado por otra causa, como lo es un traumatismo de cráneo, o con una lesión ocupante de espacio que presenta síntomas banales o insidiosos como cefalea con respuesta parcial al tratamiento analgésico y con tendencia a la progresión. En los primeros, tendemos a la observación del paciente y seguimiento evolutivo neurológico y radiológico de manera ambulatoria por consultorio, que por lo general tienden a ser estables.
En los casos de pacientes con lesiones ocupantes de espacio en la región pineal, y que acuden a nuestro consultorio por primera vez presentando algún síntoma o signo que haga sospechar de alguna patología estructural en el sistema nervioso central, debemos siempre considerar que nos estamos enfrentando a una patología potencial e inmediatamente grave, por lo que nuestro accionar debe ser expeditivo.
Rara vez se presentan pacientes con signos evolutivos y amenazantes de hipertensión endocraneana por hidrocefalia aguda o compromiso del tronco encefálico por compresión mesencefálica, los cuales generalmente lo hacen en la guardia externa por lo que la consulta a un servicio de neurocirugía tiene ya otro contexto y premura, y también la resolución, que en primera instancia será la de la hipertensión endocraneana asociada a la hidrocefalia.
Por otro lado, y no menos importante, debemos tener en cuenta la epidemiología de estas lesiones que representan entre 3 al 8% de los tumores pediátricos y menos del 1% de los tumores en los adultos. Por lo tanto, en nuestro consultorio también se presentan pacientes en edad pediátrica con síntomas y signos similares, sumados también a la presencia de pubertad precoz en caso de tumores germinales -los más frecuentes en este grupo etario- secretores de hormonas. La situación y el marco de consulta es abismalmente diferente porque, a nuestro entender, no sólo enfrentamos a un niño con un tumor cerebral, sino también a la ansiedad más que entendible de los padres, la que muchas veces es difícil de manejar. Hay que ser claro y conciso, dar la información objetiva necesaria y responder a todas las dudas que puedan tener, con el objetivo de afianzar el rapport para la comunicación de futuras conductas y eventuales desenlaces asociadas a las mismas.
Por lo tanto, como neurocirujanos debemos saber que los pacientes que asisten por primera vez a nuestro consultorio con una lesión pineal generalmente presentan síntomas iniciales asociados a ventriculomegalia incipiente, no sin dejar de mencionar algunos casos extremos de pacientes que nunca consultan por la progresión sintomática y en los que la ventriculomegalia, ya hidrocefalia, hace que se presenten con signos y síntomas más floridos.
La cefalea generalmente holocraneana es el motivo de consulta más frecuente y puede estar acompañada de manera evolutiva por náuseas, vómitos y trastornos visuales. En algunos casos, hemos visto estos síntomas asociados a signos y síntomas de síndrome cerebeloso con presencia de ataxia y dismetría, y en casos excepcionales, a síndrome de Parinaud que refleja el compromiso colicular a nivel del tectum mesencefálico1,2,3,4. Pero, como bien dijimos, son casos excepcionales que en general suelen presentarse más en una guardia externa que en un consultorio.
Entonces, deberíamos considerar la dicotomía entre no-hidrocefalia e hidrocefalia como formas de presentación en el consultorio y, a su vez, como puntos de partida para la toma de decisiones, tanto diagnósticas como terapéuticas, y tanto programadas como de urgencia.
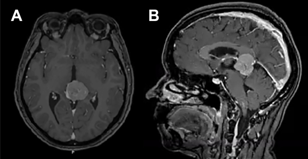
En ambos casos, pero con distinta premura, indicaremos la realización de una tomografía de encéfalo con y sin contraste y una resonancia magnética de encéfalo y columna con gadolinio (Fig.1), y angiorresonancia de vasos intracerebrales que incluya tiempo venoso para caracterizar lo más fidedignamente el tamaño, extensión y compromiso de estructuras elocuentes, presencia de calcio, componente sólido y quístico, y las características vasculares que representan el entorno del tumor o la lesión per sé, que condicionarán la estrategia de la resección quirúrgica. A pesar de los avances en el diagnóstico por imágenes debemos tener presente que ellas no nos aportan demasiado en lo que respecta a la estirpe tumoral, quizás una presunción de la misma.

Figura 1. A. Corte axial y B. Corte sagital de resonancia magnética con Gadolíneo que toma contraste, en región pineal.
Cabe aclarar que, para el caso del paciente con hidrocefalia evolutiva y sintomática, la indicación de internación de urgencia para la realización de estos estudios es mandatorio, ya que por necesidad será pasible de la realización de un shunt que resuelva la misma.
Dada la gran variedad de patología de la región pineal, como los tumores de células germinales, tumores de células pineales parenquimatosas, tumores gliales y un grupo misceláneo conformado por meningiomas, hemangioblastomas, tumores del plexo coroideo, linfomas, quistes aracnoideos, lesiones vasculares y metástasis, es imperioso descartar en primera instancia, y más al tratarse de pacientes en edad pediátrica, si la patología con la cual nos enfrentamos es un tumor de células germinales.
Por tal motivo, solicitamos marcadores tumorales séricos y en líquido cefalorraquídeo, en este último caso a los pacientes que tuvieran criterio de internación inmediata y no tuvieran contraindicación de punción lumbar, o por medio de una tercer ventriculostomía si estuviera indicada, ya que la detección es de mayor sensibilidad en muestras de LCR. Se debe recordar que la presencia de estos marcadores es patognomónico de tumores de células germinales malignas (Tabla 1)5 y que, por otro lado, son útiles en el monitoreo de la respuesta a la terapia adyuvante o como signo temprano de recurrencia. Además, por ser indicadores confiables de presencia de células germinales malignas nos permite decidir si la biopsia o cirugía son necesarias, y si el paciente deberá ser sometido a terapia radiante y quimioterapia como indicación. En esta instancia debemos informar lo más detalladamente posible a los padres el argumento médico-quirúrgico de las decisiones terapéuticas que determinarán el camino a seguir, ya que en general está la creencia que todos los tumores se operan, máxime si son malignos.
Tabla 1. Marcadores biológicos de los tumores germinales5.
TUMOR |
GCH-Sub beta |
Alfa-FP |
Células germinales Benignas |
- |
- |
Teratoma inmaduro |
¿? |
+/- |
Germinoma |
- |
- |
Germinoma con Sinciciotrofoblasto |
+ |
- |
Carcinoembrionario |
+/- |
+/- |
Coriocarcinoma |
++ |
- |
Del seno endodérmico |
- |
++ |
Consideramos importante resaltar que el manejo de la hidrocefalia de estos pacientes deberá ser la conducta inicial en las líneas de tratamiento quirúrgico a plantear, ya que en la mayoría de los casos se trata de una hidrocefalia obstructiva asociada al efecto de masa sobre el acueducto de Silvio. Como alternativa a la misma se puede realizar una tercer ventriculostomía endoscópica, la cual permitiría una reducción gradual de la presión intracraneana y resolución de los síntomas asociados antes de llevar a cabo la resección tumoral en un ulterior tiempo quirúrgico. Además permitiría la toma de muestra de líquido cefalorraquídeo y la posibilidad de toma de biopsia. Algunos pregonan esta indicación como de preferencia a la colocación de un sistema de derivación ventrículo peritoneal por la supuesta disminución de riesgo de infección, sobre drenaje y siembra peritoneal de células malignas6. En nuestro caso, creemos que la valoración individual basada en la serología, las imágenes y el estatus neurológico del paciente nos permitirán decidir la mejor indicación, pero generalmente creemos que la tercer ventriculostomía endoscópica es una buena opción.
La biopsia quirúrgica confirmará el diagnóstico histológico. La misma puede ser realizada por vía endoscópica ventricular o a cielo abierto. Ello lo decidiremos con la valoración del estado general del paciente, la presencia de tumor primario sistémico y la presencia de múltiples lesiones.
En pacientes sintomáticos, en quienes se plantea la resección quirúrgica del tumor una vez descartada la estirpe germinal del mismo, la hidrocefalia se puede manejar con la colocación de un drenaje ventricular externo durante el tiempo quirúrgico a través un agujero de trépano en los puntos de Dandy o Frazier, y la remoción o colocación de un sistema de derivación ventrículo peritoneal según la evolución durante el periodo posoperatorio.
Los abordajes quirúrgicos más utilizados para la resección de un tumor pineal requieren una exigente planificación preoperatoria para seleccionar la vía de acceso óptima y maximizar la resección reduciendo al mínimo la morbilidad. Las consideraciones incluyen la anatomía específica del paciente, la extensión y las características intrínsecas del tumor, y las técnicas que puedan ser empleadas durante la resección, ya sea microquirúrgica, endoscópica o ambas.

Figura 2. Abordaje suboccipital supracerebeloso infratentorial. A. Posición semisentada. B. Abordaje paramediano: marcación en piel. C. Exposición craneal. D. Craneotomía.
El abordaje supracerebeloso infratentorial (Fig.2) ofrece un canal de trabajo directo a los tumores pineales dejando al complejo venoso profundo rostral a la ruta de acceso. Éste se puede realizar por línea media a través de un acceso amplio para que permita la caída del cerebelo o por vía paramediana, la cual conlleva un mejor acceso a la región pineal, evitando el culmen, por un lado, y aprovechando la concavidad anatómica natural del lóbulo cuadrangular, por el otro. Últimamente, la vía paramediana suele ser nuestra vía de elección, utilizando la técnica endoscópica con la que obtenemos una excelente visualización y manejo de la lesión sin la necesidad de un abordaje amplio. Esta vía, a su vez, no nos impide usar la técnica microquirúrgica cuando es necesaria.
El abordaje suboccipital transtentorial permite abordar caudalmente lesiones que se extienden a través del tentorio a la fisura cerebelo-mesencefálica y rostralmente hacia la región temporo-mesial. Por otro lado, el abordaje transcalloso interhemisférico es descrito para tumores con extensión cefálica por arriba del tentorio, pero en nuestro caso no llegamos a utilizarlo.
Concluyendo, consideramos que los pacientes con lesiones pineales deben ser manejados con criterio suficientemente expeditivo para la resolución de la hidrocefalia, si la hubiera, teniendo como estrategia concomitante la realización de estudios radiológicos y los marcadores tumorales que permitirán definir la orientación de la conducta hacia el tratamiento médico-oncológico correspondiente, o bien, el tratamiento quirúrgico resectivo.
BIBLIOGRAFIA