Meningioma Petroclival Persistente. Resección por Abordaje Combinado: Petrosectomía Anterior e Infratemporal
Carlos Martín Rica1*; Juliana Belvel Fernandes Lastória1; Jorge Domingo Oviedo1*.
1.Facultad de Medicina, Universidad de Buenos Aires (*Departamento de Cirugía, Orientación Neurocirugía).
RESUMEN
Los autores describen la realización de un abordaje combinado a la base de cráneo como estrategia quirúrgica para intentar la resección de un meningioma petroclival con múltiples intentos previos de remoción por la vía de abordaje habitual y con posterior tratamiento radiante. Se combinaron los abordajes infratemporal y petrosectomía anterior para alcanzar una lesión alojada en la región petroclival de la fosa posterior.
Objetivo. Presentar una poco habitual pero efectiva posibilidad de abordar una patología compleja de la base de cráneo.
Introducción. La petrosectomía anterior y el abordaje infratemporal han sido descriptos por los Dres. Kawase y Hakuba, respectivamente, para alcanzar lesiones que se alojan en la base de cráneo de la región posterior y media. En el caso que se presenta, se decidió practicar esta combinación como una opción muy poco habitual para el tratamiento de una patología persistente luego de reiterados intentos de resecciones quirúrgicas asociados a tratamiento radiante.
Discusión. Los abordajes descriptos por los Dres. Kawase y Hakuba han sido ampliamente difundidos desde su popularización como unas posibilidades ciertas de alcanzar la base de cráneo en sus regiones posterior y media, en el intento de remover algunas de las patologías que allí se asientan.
Conclusión. Los abordajes a la base de cráneo aquí mencionados son herramientas indispensables que el neurocirujano deber tener incorporadas en sus conocimientos para poder ser utilizadas en ciertas ocasiones. Si bien es sabido que ninguno de estos dos abordajes son de utilización frecuente en nuestra práctica, el correcto conocimiento, indicación y utilización de los mismos nos facilitará en gran forma la resección de ciertas patologías.
Palabras Claves. Petrosectomía anterior; Kawase; abordaje infratemporal; Hakuba; meningioma petroclival.
ABSTRACT
Combined skull base approaches are a challenging way to resect a persistent petroclival meningioma, which had several failed surgical attempts. The anterior petrosectomy and infratemporal approaches were combined to attempt the removal of this skull base lesion.
Objective. To present a less frequent but useful possibility to approach a complex pathology placed in the posterior skull base zone.
Introduction. The anterior petrosectomy and the infratemporal approach have been described by Kawase and Hakuba, respectively, to reach lesions that are localized in the medial and posterior skull base. In the particular case of our patient, the authors decided to carry out a combination of these two approaches as an unusual way to treat this kind of tumor which is reluctant to surgeries, and so treated with a full conventional dose of radiotherapy.
Discussion. The approaches described by Kawase and Hakuba have been widely spread all over the world since they were introduced as certain possibilities to handle pathologies occupying the medial and posterior skull base region.
Conclusion. The skull base approaches here described are indispensable tools that the neurosurgeons should incorporate in their knowledge in order to be used in some specific occasions. As it is well known, neither of these approaches are frequently indicated in our daily surgery work, but to know them well, to indicate them in the right way, and to perform them correctly will only redound in benefit to the patient by decreasing the complexity during the treatment of a difficult skull base pathology.
Key Words. Anterior petrosectomy; Kawase; infratemporal approach; Hakuba; petroclival meningioma.
INTRODUCCIÓN
La petrosectomía anterior y el abordaje infratemporal han sido descriptos por los Dres. Kawase1 y Hakuba2, respectivamente, para alcanzar las lesiones que se alojan en la base de cráneo de la región posterior y media. Por décadas la región petrosa del hueso temporal ha sido considerada prácticamente prohibitiva para un acceso neuroquirúrgico seguro; ello se debe a la gran cantidad de estructuras nobles que la misma posee, como por ejemplo, el tallo cerebral e importantes situaciones anatómicas neurovasculares, confiriéndole a este territorio la reputación de “tierra de nadie” (del inglés “no man´s land”) por su difícil acceso3.
Las lesiones que se emplazan en la región paraselar, el tercio medio del ala menor del esfenoides, la fosa interpeduncular, la unión petroclival y las que comprometen el tope de la arteria basilar pueden beneficiarse si son abordadas de forma tal que el tejido cerebral sea retraído lo menos posible, evitando así lesiones asociadas al acto quirúrgico. Esto último podría lograrse con la correcta indicación y realización de un abordaje órbito-cigomático infratemporal 1 y/o una petrosectomía anterior.
CASO CLÍNICO
Se presenta en consulta, acompañado por su familia, un paciente masculino de 54 años de edad, deambulando por sus propios medios. Como antecedentes presenta 4 intentos de resecciones quirúrgicas de un meningioma petroclival izquierdo de aproximadamente 4 centímetros de diámetro. Los procedimientos fueron realizados en un período de 7 años por dos equipos diferentes y en dos instituciones distintas. En todos los casos se optó por la vía suboccipital lateral izquierda retrosigmoidea y en la última ocasión se le realizó una extensión temporal posterior. Los controles por imágenes post operatorios demostraron la persistencia de la lesión con prácticamente su volumen inicial (Figura 1). La Anatomía Patológica de la lesión arrojó como resultado un meningioma transicional (grado I de la WHO). Luego del último intento de resección, se le indicó tratamiento radiante, recibiendo dosis completa de 6000 rads de acelerador lineal en conformación hipofraccionada. Concurre a la consulta 20 meses después del último procedimiento quirúrgico y 17 meses después de finalizar el tratamiento radiante. No recibió tratamiento quimioterápico. Como secuela de los múltiples tratamientos previos, el paciente presentaba pérdida completa de la audición del lado izquierdo, demostrado por métodos electrofisiológicos, una paresia facial izquierda moderada (Grado III de House-Brackmann), compromiso leve de la deglución que no requería conductas activas. Debido a los múltiples intentos de abordar a esta lesión por la vía retrosigmoidea clásica4 (uno de los mismos presentó una extensión subtemporal5), y la posterior irradiación de la zona, los autores se plantearon la disyuntiva entre abordar a esta patología por la vía presigmoidea, utilizando alguna de sus variantes conservadoras y/o reconstructivas6,7, o intentar una resección tumoral buscando una entrada quirúrgica libre de las secuelas propias que dejan los procedimientos previamente realizados. Se optó por esta última posibilidad.

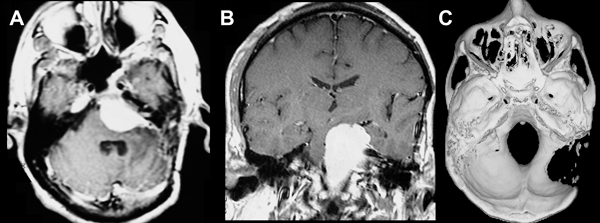
Figura 1. A) RMN, ponderación T1, con gadolinio, corte axial. Se observa la persistencia del meningioma petroclival izquierdo y las huellas de los procedimientos quirúrgicos previos. B) RMN, ponderación T1, con gadolinio, corte coronal. Se observa la persistencia del meningioma petroclival izquierdo después de los procedimientos quirúrgicos previos. C) Tomografía computada, corte axial, ventana ósea, reconstrucción 3D. Se observa la craniectomía suboccipital lateral izquierda, retrosigmoidea con extensión temporal, utilizada en las 4 ocasiones quirúrgicas previas.

Figura 2. A) Delineado que muestra la extensión del abordaje órbito-cigomático temporal del lado izquierdo. B) Delineado que muestra la extensión del abordaje combinado infratemporal y petrosectomía anterior del lado izquierdo. C) Abordaje órbito-cigomático temporal izquierdo en dos piezas. D) Se observa la extensión y el gran espacio de trabajo que ofrece la combinación de los abordajes combinados petrosectomía anterior e infratemporal (lado izquierdo).
PROCEDIMIENTO QUIRÚRGICO
Antes de llevar a cabo el procedimiento en el paciente, se practicó el mismo en el laboratorio, a fin de familiarizarse con la región anatómica a abordar (Figura 2). Se posiciona al paciente en decúbito dorsal, con la cabeza rotada hacia la derecha 80°, así logramos despejar el lado izquierdo que será el sitio abordado. Se utiliza un cabezal de fijación esquelética de grafito (Figura 3A). Posterior a realizarse las técnicas habituales de asepsia/antisepsia e infiltración local con lidocaína al 2% con epinefrina, se procede a realizar una incisión cutánea témporo-occípito-cervical con transección del conducto auditivo externo, una variante similar al abordaje descripto por Fisch 8. Se procede a disecar tejido blando, exponiendo así los músculos de la región lateral del cuello que presentan, en su mayoría, inserción en la zona de la apófisis mastoidea (esternocleidomastoideo, complexo menor, vientre posterior del digástrico). Una vez seccionado el conducto auditivo externo (posteriormente obturado, y tratado adecuada y definitivamente) (Figura 3B) se diseca al nervio facial hasta su bifurcación en la región de la glándula parótida (Figura 3C). Seguidamente se procede a completar al abordaje temporal izquierdo, ya realizado en otra cirugía por la vía posterior, realizando un flap óseo frontotemporal y a la resección del complejo órbito-cigomático en un solo bloque (Figura 3D). Se utiliza una sierra eléctrica oscilante para las osteotomías del cigoma y de la órbita. Una vez finalizado este tiempo del procedimiento, se prosigue el abordaje con la ayuda del microscopio quirúrgico; mediante la utilización de un drill eléctrico de alta velocidad provisto de una fresa comedora se comienza a desgastar la base de cráneo de la fosa media en forma extradural.
Figura 3. A) Se posiciona al paciente en decúbito dorsal, cabeza rotada a derecha sostenida mediante fijación esquelética. Se observa cicatriz de procedimientos quirúrgicos previos. La utilización de un lazo cervical para la sujeción del tubo endotraqueal, si bien no hubiese sido necesario, se adoptó sólo por requerimiento del anestesiólogo; no interfería de forma alguna con el acto quirúrgico. B) Flap cutáneo con transección del conducto auditivo externo. Se marca al conducto con una pinza de disección. C) Identificación y disección del nervio facial hasta su bifurcación y posterior ingreso a la glándula parótida. D) Flap óseo temporal izquierdo que completa el abordaje previo realizado por la vía posterior. Se observa el complejo órbito-cigomático en un solo bloque.
El drilado se extiende medialmente hasta exponer y movilizar a la rama maxilar inferior del trigémino liberándola del agujero oval (Figura 4B). Se coagula y secciona la arteria meníngea media en su salida del agujero espinoso. Este último reparo anatómico mencionado también debe ser desbastado. Al avanzar hacia el aspecto anterior de la pirámide petrosa, tendremos como reparo anatómico al nervio petroso superficial mayor. Esta estructura nerviosa es una importante referencia anatómica, ya que nos indica el trayecto de la porción petrosa de la arteria carótida para así comenzar con el fresado del peñasco (Figura 4A, Figura 4C). En este momento de la cirugía se cambia la fresa comedora por una diamantada. Es inevitable que al realizar un drilado extenso de la pared anterior del conducto carotídeo en el hueso petroso, con la intención de llevar a cabo una transposición de la arteria carótida en esta región, se tenga que sacrificar a la trompa de Eustaquio lo que podría derivar en algunas alteraciones otológicas de manejo por los especialistas en el tema. Una vez expuesta la arteria carótida de su conducto óseo, la cual se va a presentar rodeada de un tejido conectivo denso (Figura 4D), se procede a movilizarla del sentido rostral al caudal. De esta manera, nos queda un campo quirúrgico libre para continuar con el fresado.

Figura 4. A) Imagen donde se observa la estrecha relación satélite que presenta el nervio petroso superficial mayor y la carótida intrapetrosa. También se demarca los límites del abordaje de Kawase. B) Rama maxilar inferior del nervio trigémino izquierdo liberada del foramen oval. C) Nervio petroso superficial mayor izquierdo. Referencia anatómica satélite de la arteria carótida intrapetrosa. D) Finalizado el fresado del aspecto anterior del peñasco, obtenemos la exposición de la carótida intrapetrosa cubierta por tejido conectivo denso.
La remoción de hueso mediante el drill se extiende hasta los siguientes límites: hacia lateral, la cóclea; hacia caudal-lateral, el emplazamiento del golfo de la yugular -en nuestro caso manifestaba una presentación alta, situación que torna más difícil el fresado de esta zona; estas variantes anatómicas se deben estudiar antes del procedimiento quirúrgico mediante tomografías de alta resolución y reconstrucciones 3D-; hacia craneal, la tienda del cerebelo con el seno petroso superior; y hacia medial, la porción inferior del nervio trigémino y se podría extender hasta la unión petroclival. Finalizado el tiempo óseo se procede a realizar la apertura dural desde la región subtemporal, dirigiéndose posteriormente. Se debe ligar y seccionar al seno petroso superior y alcanzar la hendidura tentorial prestando atención en lo lesionar a los nervios que por allí transcurren. Al llegar a la duramadre de la región posterior del peñasco, observamos que la misma se encuentra engrosada y vascularizada, eso representa al implante del meningioma. Mediante la utilización de coagulación bipolar se procede a desvascularizar a la lesión. Logrado este tiempo de la cirugía, abrimos la duramadre del ímplate tumoral y nos encontramos con el meningioma. Utilizamos un cavitador ultrasónico para realizar un extenso vaciamiento intratumoral. Cabe comentar que la lesión ya no presenta, prácticamente, sangrado alguno. Vaciado el meningioma desde su interior, tomamos una pinza de tumor y realizamos pequeños movimientos de tracción con el remanente. Para sorpresa del equipo quirúrgico la lesión restante se desprendió rápida y fácilmente de la aracnoides que la recubría, dejando a esta estructura visiblemente engrosada y sin su traslucidez habitual debido a los tratamientos realizados previamente. Se observa a través de la aracnoides del lecho quirúrgico la libre y natural transmisión del latido normal de las estructuras intradurales. Se realiza una exhaustiva hemostasia de la región abordada para posteriormente realizar un cierre dural hermético, utilizando suturas adecuadas y cola de fibrina. Se coloca tejido adiposo libre en la cavidad quirúrgica remanente. Se reposicionan los flaps óseos mediante microplacas y tornillos de titanio. Se procede al cierre de partes blandas en forma tradicional. El conducto auditivo externo fue tratado debidamente durante la apertura como ya ha sido mencionado. Se decidió colocar preventivamente un drenaje lumbar continuo por el lapso de 5 días, para minimizar el riesgo de fístula de LCR post operatoria. En los estudios complementarios por imágenes post operatorias inmediatas, se constató la exéresis tumoral, las huellas quirúrgicas, restos de sangre y materiales hemostáticos; y se visualizó el alcance logrado con la remoción ósea (Figuras 5A, 5B, 5C, 5D). El paciente fue dado de alta después de cursar un post operatorio sin complicaciones. No se le agregaron secuelas asociadas a este último acto quirúrgico y permaneció con las ya existentes. La Anatomía Patológica coincidió con los resultados previos.
Lamentablemente, una vez otorgada el alta hospitalaria, el paciente retornó a su país de origen perdiendo todo contacto con sus médicos tratantes y así la posibilidad de un control evolutivo y seguimiento a largo plazo.

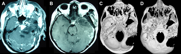
Figura 5. A) y B) RMN con gadolinio, T1, axial, realizada en el post operatorio inmediato. Se observa la exéresis tumoral, huellas quirúrgicas, restos de sangre y materiales hemostáticos. C) Tomografía axial con reconstrucción 3D. Vista de endocráneo. D) Tomografía axial con reconstrucción 3D. Vista de exocráneo. En ambas figuras se aprecia la extensión de la remoción ósea de las cirugías previas y del procedimiento combinado actual: abordajes infratemporal – petrosectomía anterior.
DISCUSIÓN
Durante mucho tiempo la definición del territorio del “meningioma petroclival” se mantuvo incierta, poco clara y variaba considerablemente de autor a autor, hasta que Couldwell et al. sugirieron una definición estricta del mismo en 19969.
Durante décadas estas lesiones fueron de muy difícil resolución quirúrgica por lo complejo de su ubicación y por la relación estrecha con áreas encefálicas vitales, como lo sentenció Olivecrona en su publicación “Meningiomas de la Región Posterior del Hueso Petroso” de 1967, donde declaraba a estas lesiones como “inoperables”10.
No fue hasta los años 1970s que, con la introducción del microscopio quirúrgico y las técnicas microquirúrgicas, realmente sobrevino un cambio crítico en el resultado de las cirugías de estos tumores.
El microscopio le permitió al neurocirujano identificar el plano aracnoidal que habitualmente separa al meningioma de las estructuras vitales. Con el advenimiento de estas nuevas técnicas microquirúrgicas existieron al menos dos reportes en esa época (Yaşargil et al y Hakuba et al) que demostraron una tasa de mortalidad quirúrgica menor al 20% en la resección de los meningiomas petroclivales11.
La mortalidad para estas cirugías previo a los años 1970s superaba ampliamente la tasa del 50%11.
Hakuba publica la primera serie de seis pacientes operados exitosamente, publicación que produjo resultados alentadores para seguir desarrollando estas cirugías. Así fue como sugirió que para los meningiomas del tercio superior del clivus con extensión al tubérculo selar, el abordaje recomendado sería el subfrontal/subtemporal; para las lesiones del clivus medio y mediosuperior, el abordaje transpetroso-transtentorial; y para los tumores del clivus bajo, sugirió la vía suboccipital lateral extendida.
Al-Mefty, Samii, Nishimura y Couldwell publicaron detalladamente varias adaptaciones de la vía combinada supra/infratentorial transpetrosa que minimiza la necesidad de retracción, variando el ángulo visual del microscopio quirúrgico12,13,14.
Sekhar et al. promovió los abordajes retromastoideo, subtemporal anterior, infratemporal, o una combinación de los dos últimos; ellos posteriormente agregaron una vía combinada subtemporal posterior y presigmoidea-transpetrosa, popularizada por Al-Mefty y Samii, modificada con una laberintectomía parcial para preservar la audición15.
En 1986 Hakuba describe un abordaje órbito-cigomático infratemporal para abordar lesiones de la fosa interpeduncular, paraselares, petroclivales, patología vascular de la arteria basilar. Esta vía de entrada a las diferentes patologías de la región tiene como fin el proveer excelente exposición de las mismas como así también reducir al mínimo la retracción de estructuras vitales1.
En 1991 Kawase publica una serie de diez pacientes que presentaban meningiomas esfenopetroclivales y a quienes los abordó por una vía por él descripta, la petrosectomía anterior transtentorial. Esta vía da una excelente vista de los meningiomas desde el clivus medio hasta el seno cavernoso y permite un control directo de la implantación dural del tumor2.
CONCLUSIÓN
Los meningiomas petroclivales son, por lo general, pasibles de ser abordados por vías clásicas posteriores; en ocasiones en forma de una sola vía, en otras oportunidades son necesarias las combinaciones de las mismas. En el caso que se presenta en esta publicación, los autores se vieron en la disyuntiva de tener que optar por reoperar al paciente por la vía que ya había sido utilizada en otras ocasiones sin lograr la remoción del tumor, o buscar un acceso nuevo y libre de las cicatrices que presentaba el abordaje posterior después de los intentos quirúrgicos previos y el posterior tratamiento radiante. Se decidió no insistir por la vía ya utilizada previamente y, en cambio, se realizó la exéresis tumoral combinando el abordaje órbito-cigomático infratemporal con la petrosectomía anterior transtentorial.
Es de importancia fundamental remarcar que para la realización de estos procedimientos quirúrgicos de alta complejidad es imprescindible el conocimiento detallado de la anatomía práctica, como así también el entrenamiento en el laboratorio y, sin lugar a dudas, lograr la curva de aprendizaje que da la experiencia.
REFERENCIAS
COMENTARIO
Los autores presentan un paciente portador de un meningioma petroclival cuya resección por la vía retrosigmoidea habitual no había sido posible luego de cuatro intentos. Para lograr dicho objetivo se valieron de la combinación de dos abordajes de base de cráneo. Afortunadamente la resección fue ahora completa y no se acompañó de complicaciones.
Los abordajes como los utilizados por los autores fueron mayormente descriptos en los ‘80 y ‘90, años dorados para este tipo de cirugía. Sin embargo, y más allá de la magnificencia de las exposiciones quirúrgicas logradas, poco a poco fue resultando evidente que dichas técnicas distaban de ser tan inocuas como fueron inicialmente promocionadas. Cambios posteriores en el paradigma de manejo (léase: resecciones menos ambiciosas combinadas o no con otras modalidades terapéuticas) y el desarrollo de técnicas de menor invasión como la endoscopía, relegaron muchos de aquellos abordajes a la condición de alternativa terapéutica para casos muy seleccionados, como el que presentan los autores. Sin lugar a dudas son cirugías muy demandantes desde todo punto de vista, tanto durante como también después de la cirugía, situación que conviene tener en mente ante la aparición de un potencial beneficiario de las mismas. Como reconocen los autores y a riesgo de caer en repeticiones, la realización de este tipo de cirugías requiere de equipos entrenados y centros de alta complejidad.
Un aspecto observable del trabajo lo constituye el seguimiento postoperatorio extremadamente breve, teniendo en cuenta la magnitud del procedimiento. Dado el esfuerzo que conllevan estos pacientes, un seguimiento clínico-imagenológico más prolongado hubiera permitido ponderar mejor las ventajas que continúan ofreciendo estas técnicas.
Nelson Picard
Clínica La Pequeña Familia
Junín, Buenos Aires.