Cavernomas Hemisféricos Incidentales en mi Consultorio

Dr. Ezequiel Fürst


La prevalencia relativamente alta del CC (Cavernoma cerebral/cerebeloso) es de 0,4 % y, sumado al uso creciente de Neuroimágenes de Alta Sensibilidad y especificidad, hacen frecuente el diagnóstico de cavernoma asintomático en la consulta diaria.

Este diagnóstico, sumado al fácil acceso a información no filtrada a través de Internet, genera en el paciente una importante carga de ansiedad respecto al pronóstico y a la conducta que debe seguirse.

Dado que la situación de CC incidental no representa urgencia alguna mi proceder es “poner paños fríos” para calmar la angustia del paciente que podría precipitar decisiones apresuradas.


En estos casos la consulta comienza por la revisión de las imágenes que son motivo de la visita.

A posteriori completo el examen con un interrogatorio y examen neurológico dirigidos a pesquisar algunos síntomas y signos que pudieran haber pasado inadvertidos o no haber sido relacionados con la imagen hallada.

Así, al momento de decidir la conducta a aconsejar podemos diferenciar tres factores a tener en cuenta:


1- Factores de la imagen misma.

2- Factores del paciente.

3- Factores de situación ajenos al paciente y su imagen.


1- Entre los Factores de la imagen, haciendo hincapié en la RMN como estudio principal, tomamos en cuenta desde la calidad de la imagen hasta las características propias de la lesión.

Debe acotarse que una RMN de pobre calidad (baja potencia del equipo, déficit en las secuencias usadas) puede pasar por alto otras lesiones más pequeñas, lo cual podría modificar el diagnóstico y la conducta a seguir.

Por ejemplo, si los CC son múltiples y no pasibles de resolución total por cirugía, mal podríamos elegir el cavernoma sintomático para actuar, dejando a los otros sin tratamiento.

Dentro de las características propias de la lesión prestamos atención a:

a) Localización: Aunque hoy en día no existen áreas inaccesibles a la cirugía, claramente se es más proclive a indicarla en aquellos CC de acceso más sencillo y alejados de áreas de mayor elocuencia (en hemisferio cerebral: áreas del lenguaje, franja sensitivo-motora, área visual primaria, Ganglios Basales, Cápsula Interna, Tálamo, Tractos subcorticales relevantes. En hemisferio cerebeloso: Núcleo Dentado y Núcleo Interpósito).

Una situación particular la constituyen los CC paraventriculares que muestran mayor predisposición al sangrado con el consecuente Hemoventrículo (Ver Caso Ejemplo 2)

b) Tamaño: Si bien no existe un tamaño crítico para indicación de cirugía, tomamos en cuenta que un mayor volumen sugiere mayor tasa de crecimiento y mayores posibilidades de eventos trombóticos/hemorrágicos. Así las dimensiones de la lesión juegan también un rol en la decisión a tomar.

Debemos recalcar que para obtener una idea Anatómica y Volumétrica más ajustada a la realidad, usamos las secuencias de RMN ponderadas en T1 para evitar la magnificación por efecto paramagnético de la hemosiderina en otras secuencias.

En ocasiones puede ser útil la Tractografía por RMN al considerar una posible Vía de Abordaje.

c) Señales de complicaciones no advertidas clínicamente: Para ello, tomamos en cuenta los signos de sangrado agudo-subagudo-crónico y su ubicación intra o extracapsular (ver tabla de Zabramski) (Ver caso Ejemplo 1). La presencia de una Anomalía del Desarrollo Venoso (ADV) asociada a Cavernoma no es una complicación en sí misma pero sí debe considerarse al tomar una decisión quirúrgica. Si fuese necesario, realizamos Angiografía por Sustracción Digital.

2- Entre los Factores propios del paciente consideramos esencialmente dos:

a) Edad: Soy particularmente conservador en los pacientes mayores por dos motivos:

1- El riesgo quirúrgico es claramente mayor.

2- El riesgo de sangrado o de hacerse sintomático es menor por su menor expectativa de vida.


b) Presencia de comorbilidades significativas: Se es más conservador en presencia de las mismas, tal como en todas las patologías incidentales.


3- Entre los Factores ajenos al paciente consideramos:

a) Condiciones propias del Equipo Quirúrgico:

Aunque la técnica de resección del CC no es particularmente compleja, sí lo puede ser la vía de abordaje al mismo. Para evitar o minimizar un daño funcional importante, el equipo debe conocer detalladamente la anatomía de superficie y profundidad del área a abordar. Esto permitirá elegir el abordaje más conveniente, que puede no ser el más directo, corto, o sencillo.

b) Condiciones del Medio: Existen CC cuyo abordaje requiere de una infraestructura mayor y no siempre disponible (Navegación-Monitoreo neurofisiológico, etc.).



Para concluir, comentaremos el seguimiento que aconsejamos a los pacientes a quienes NO recomendamos cirugía.

Se les explica cuidadosamente el motivo por el cual no se les aconseja la misma, se les programa un seguimiento periódico por Clínica e Imágenes y se les aclaran cuáles son los síntomas de alarma que debieran anticipar una consulta.

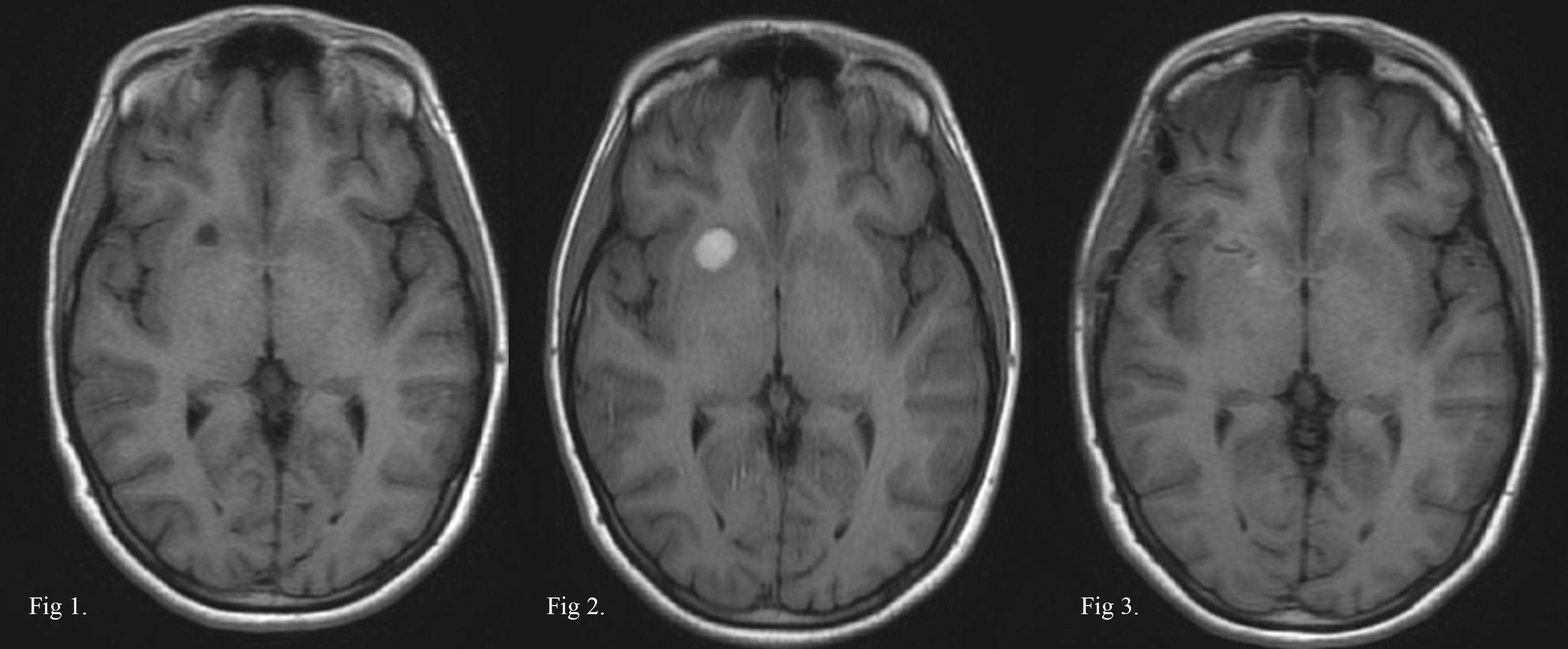
CASO EJEMPLO 1: CAVERNOMA INCIDENTAL LENTICULAR ANTERIOR DERECHO.

 

Fig 1: 2020: Mujer, 33 años, cavernoma incidental no complicado.

Fig 2: 2021: Persiste asintomática con hematoma intracapsular en RMN control.

Fig 3: 2021: RMN postop. de exéresis por vía transilviana trans-surco circular anterior de la ínsula.

 

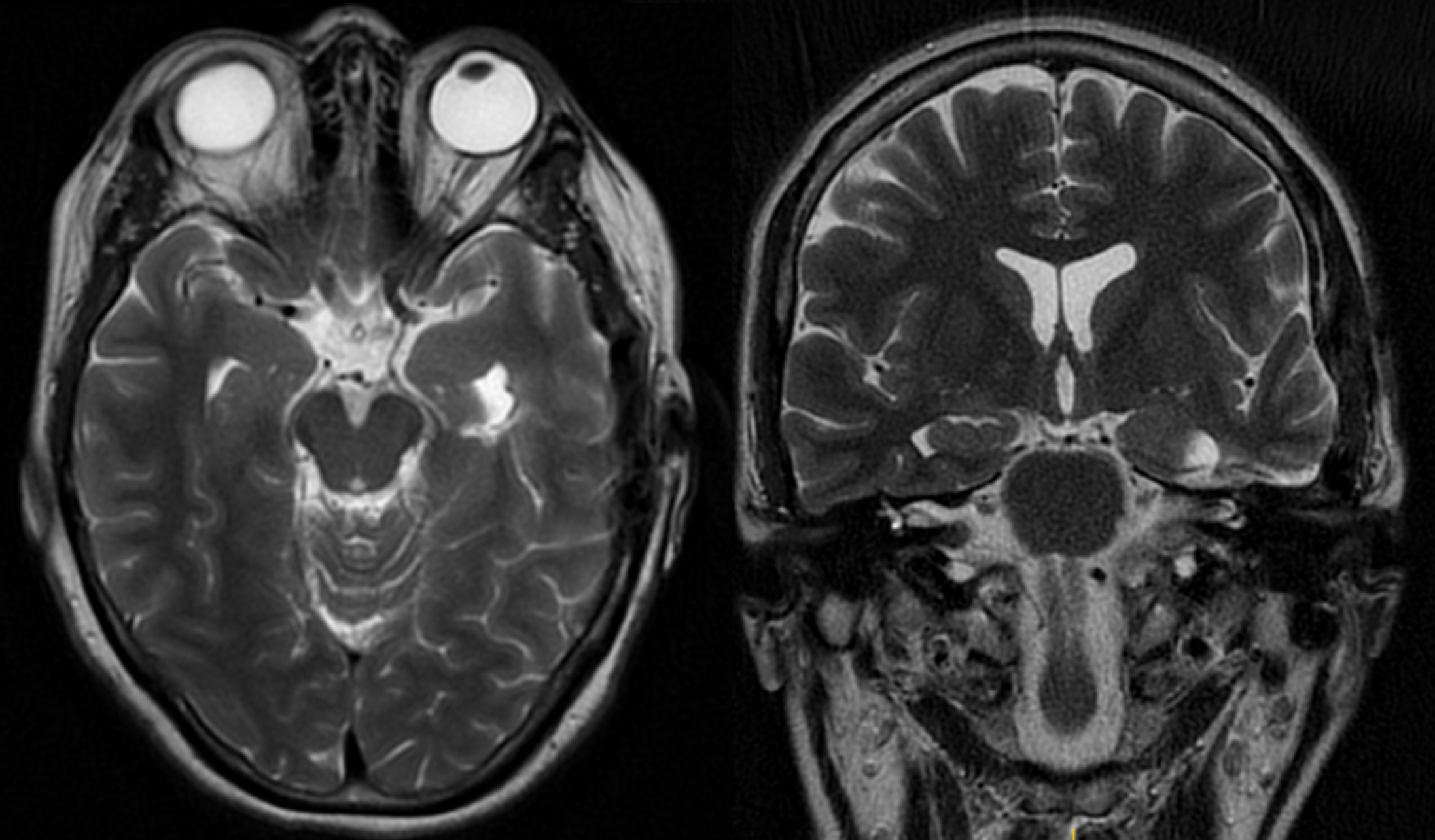
CASO EJEMPLO2: CAVERNOMA INTRA-PARAVENTRICULAR TEMPORAL IZQUIERDO


Fig 1 y 2: Mujer, 48 años, cavernoma incidental.


Fig 3 y 4: Exéresis a través del surco colateral, utilizando un abordaje subtemporal.