“Este caso me desorientó…”
Martinez Silvina A., Montilla Flor, Álvarez Caicedo Diana, Costa Carla, Casco Alejandro, Feldman Santiago
Servicio de Neurocirugía, Hospital El Cruce.
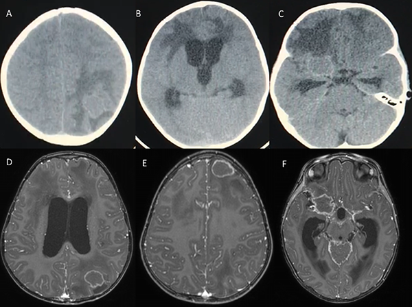
Paciente femenina de 2 años, sin antecedentes de relevancia, quien consultó en otro centro por cuadro de diarrea, vómitos y fiebre de 5 días de evolución, asociado a bradipsiquia y tendencia al sueño. A su ingreso se solicitó tomografía computada de cerebro (TC), evidenciando ventrículomegalia asociada a edema periependimario y múltiples imágenes isodensas (frontal basal derecha, frontal izquierda y parietal homolateral) con marcado edema perilesional. Se decidió realizar resonancia magnética (RMN) para caracterizar mejor las lesiones. (Figura 1)
Figura 1: A, B y C: TC de ingreso. D, E y F: RMN, secuencias T1 con contraste, se observan lesiones parietal izquierda, frontal homolateral y frontobasal derecha respectivamente. Las mismas de características cortico-subcorticales de entre 11 y 20 mm de diámetro promedio, asociadas a edema vasogénico perilesional, de bordes hiperintensos en T1 con hipodensidad central e hipointensas en T2 y Flair, con realce anular y periférico tras administración de contraste. Así mismo se observó marcado realce cisternal basal tras la administración de gadolinio.
Como diagnósticos diferenciales al inicio se consideraron lesiones de origen tumoral e infecciosas, obligando esta última sospecha a descartar causas de inmunosupresión y lesiones ocupantes de espacio cerebrales asociadas a ellas. Se solicitaron serologías para HIV, Hepatitis B, Hepatitis C, VDRL, Toxoplasmosis, Citomegalovirus, Virus Epstein-Barr y Chagas, todos con resultado negativo. Se constató calendario de vacunación completo y se realizó radiografía de tórax la cual no presentaba imágenes patológicas agregadas. Se inició tratamiento antibiótico empírico de amplio espectro cubriendo gérmenes comunes (Ceftazidime + Vancomicina + Metronidazol).
Posteriormente, la paciente evolucionó con anisocoria a expensas de midriasis derecha, sin mayor alteración del nivel de la conciencia. Realizamos una nueva TC de cerebro que no presentó cambios respecto a la de ingreso ni signos de compresión estructural del III par.
A pesar de no presentar cambios tomográficos, se decidió adoptar conducta quirúrgica: colocación de ventriculostomía izquierda para tratamiento de la hidrocefalia y evacuación del absceso frontal homolateral con toma de muestra para diagnóstico etiológico y así poder realizar tratamiento antibiótico dirigido.
En la intervención quirúrgica se realizó la exerésis total de la lesión frontal izquierda en una pieza, la cual presentaba consistencia sólida y duro elástica. Esto último nos orientó hacia la sospecha de un tuberculoma, por lo que se envió parte de la muestra a cultivo de micobacterias y a anatomía patológica. Tomando en cuenta el hallazgo quirúrgico, se reinterpretó el cuadro de midriasis derecha secundario a aracnoiditis basal. Se instauró tratamiento empírico para tuberculosis (TBC) meníngea (sumado al esquema previo) y se solicitó prueba de tuberculina (PPD) y aspirado traqueal.
El informe de anatomía patológica arrojó “Granuloma de tipo tuberculoide” y en la tinción de Ziehl-Neelsen se observaron bacilos ácido-alcohol resistentes; sin embargo, los cultivos de líquido cefalorraquídeo (LCR) y aspirado traqueal no aislaron el bacilo de Mycobacterium Tuberculosis.
Por persistencia de hidrocefalia se realizó derivación ventrículo peritoneal.
Actualmente, la paciente cumple un año de tratamiento antituberculoso, observándose franca disminución del tamaño de las lesiones (Figura 2). Al examen físico, la paciente no presenta déficit neurológico, con recuperación completa del III par craneal.

Figura 2: Se observan RMN con contraste de ingreso (A, B y C) y al año de la cirugía y tratamiento antibiótico (D, E y F).
La TBC es una enfermedad infecciosa que, a pesar de tener un tratamiento eficaz, continúa siendo un importante problema en la salud pública en nuestro país. El 20-30% desarrollan formas extrapulmonares, siendo la afectación del sistema nervioso central (SNC) una de las formas con peor pronóstico.1,2
Es de destacar que la vacuna BCG ha demostrado una eficacia de entre 64 – 100% para prevenir las formas meníngea y diseminada. Dicha eficacia es mayor en neonatos y desciende con el paso de los años.3,4 A su vez, se ha observado un mayor riesgo de desarrollar formas graves en niños con coinfección por HIV, desnutrición o cualquier condición que pudiera deprimir la inmunidad, incluyendo pacientes vacunados.4
La forma de presentación clínica suele ser como un cuadro de meningitis febril subaguda (> de 1 semana), rigidez de nuca, cefalea y vómitos. Otros síntomas que deben orientar hacia esta etiología son cambios en el nivel de conciencia, de la personalidad y parálisis de los pares craneales (principalmente II, III y VI). Esta afectación de los pares craneales puede deberse a aracnoiditis basal, efecto de masa de un tuberculoma o absceso, infarto en el tronco encefálico o como producto de hipertensión intracraneal por hidrocefalia. Después del tratamiento, el 97% suele recuperar el déficit sin secuelas permanentes.2
El análisis del LCR suele presentar baja concentración de glucosa, con proteínas elevadas y pleocitosis linfocitaria. En fases precoces puede mostrar predominio de polimorfo nucleares. La baciloscopía en LCR puede ser positiva, pero tiene una sensibilidad muy baja, siendo el cultivo el Gold standard para el diagnóstico (sensibilidad 25-70%).5,6
Entre el 30-50% de los pacientes con meningitis tuberculosa presenta TBC pulmonar activa en la radiografía de tórax.5
La RMN es el estudio por imágenes de elección por su mayor sensibilidad y siempre debe realizarse con contraste. Los hallazgos típicos de la meningitis tuberculosa son: engrosamiento leptomeníngeo o aracnoiditis, realce meníngeo basal, infartos de ganglios basales bilaterales, hidrocefalia comunicante, abscesos o tuberculomas.
El tratamiento consta de dos etapas: la fase intensiva (2 meses) con Isoniazida, Rifampicina, Pirazinamida y Etambutol y la fase de continuación (10 meses) con Isoniazida y Rifampicina. En el caso de presencia de tuberculomas, debe alargarse hasta los 18 meses. Se recomienda el uso de glucocorticoides adyuvante en todos los casos de meningitis tuberculosa (confirmada o sospechada).6
CONCLUSIÓN
En nuestro caso, el antecedente de vacunación BCG, la ausencia de síntomas respiratorios previos o contacto estrecho con caso sospechoso, el análisis cito- fisicoquímico del LCR dentro de parámetros normales, los resultados serológicos negativos, la radiografía de tórax normal, aspirado traqueal y cultivos negativos para Mycobacterium Tuberculosis, fueron factores confundidores para el diagnóstico. Consideramos importante incluir TBC entre los diagnósticos diferenciales de abscesos cerebrales bacterianos en nuestro medio y, por lo tanto, sospechar dicha etiología ante trastornos transitorios de pares craneanos y deterioro neurológico. Es fundamental instaurar el tratamiento en forma temprana, aún sin confirmación diagnóstica, ya que dejado a su libre evolución puede resultar en secuelas severas e inclusive la muerte del paciente.
BIBLIOGRAFÍA