Tratamiento quirúrgico de los cavernomas del tronco encefálico

Federico C. Viñas, Vickie Gordon y Fernando G. Díaz.
Departamento de Neurocirugía, Wayne State University. Detroit, Michigan, U.S.A.


RESUMEN
Los cavernomas ubicados en el tronco encefálico pueden provocar hemorrgias a repetición con secuelas neurológicas significativas. Si bien el tratamiento es dicutido, actualmente los autores recomiendan la resección quirúrgica de las lesiones abordables, cuando hayan presentado hemorragia o déficit progresivo debido al incremento del tamaño. El papel de la radiocirugía no está aún claro y hay autores que la contraindican.

Palabras clave:
angioma cavernoso, cavernorna, cirugía, malformación angiográfica oculta, tronco cerebral.

ABSTRACT
Brain stem cavernomas can bleed repeatedly causing significative neurological sequelae in spite that their treatment is controversial, most authors recommend surgery when cavernomas bleed, have a progressive defieit and/ or are easy to approach. The role of radiosurgery is not clear and some authors think that is contraindicated.

Key words:
angiographic occult malformation, brain stem, cavernoma, cavernous angioma, surgery.


INTRODUCCIÓN
El término malformaciones vasculares cerebrales crípticas o malformaciones ocultas describe a aquellas malformaciones vasculares que no son visualizadas mediante angiografía cerebra180.67,70.85,86,90. Rusell y Rubinstein han clasificado a las malformaciones vasculares en cuatro clases que incluyen: malformaciones arteriovenosas, telangiectasias, angioma venoso y malformaciones cavernosas o cavernomas73. Las malformaciones cavernosas o cavernomas representan del 5% al 13% de todas las malformaciones vasculares80. Cuando estas lesiones están ubicadas en el tronco cerebral, existe riesgo significativo de producir secuelas neurológicas severas. Tradicionalmente, estas lesiones fueron tratadas conservadoramente y la mayoría de los neurocirujanos evitaba el tratamiento quirúrgico80. Sin embargo,en los últimos años se han logrado resultados quirúrgicos alentadores y se ha recomendado el tratamiento quirúrgico de lesiones sintomáticas18,61,80,82. El presente artículo provee una revisión detallada de los aspectos clínicos, radiológicos, biológicos y quirúrgicos de los cavernomas, con énfasis especial en las lesiones ubicadas en el tronco encefálico.

EPIDEMIOLOGÍA DE LAS MALFORMACIONES CAVERNOSAS
Aunque tradicionalmente se pensaba que estas lesiones eran extremadamente raras, estudios relativamente recientes han demostrado que los cavernomas son más comunes de lo que se creía. En un estudio retrospectivo de 6.686 autopsias, Berry reportó una prevalencia del 0,02%17. En un estudio similar prospectivo de 4.069 autopsias, McCormic & Boulter63 encontraron una prevalencia mayor, del 0,4%. Otten65 revisó 24.535 autopsias reportando una prevalencia del 0,53%.
La introducción de las imágenes por resonan­cia magnética (IRM) ha facilitado el diagnóstico de este tipo de lesiones, ya que las series publicadas sucesivamente no se basaron únicamente en hallazgos de autopsia. En un análisis retrospectivo de 14.035 estudios, Robinson et al71 encontraron 76 lesiones con el aspecto característico de los cavernomas, y reportaron una incidencia del 0,47%. En otro trabajo similar sobre 8.131 estudios de resonancia magnética (IRM), Del Curling36 calculó una prevalencia del 0,39%. Esta información se correlaciona adecuadamente con las estadísticas reportadas en estudios de autopsia.
La existencia de un síndrome de cavernomatosis familiar transmitida de un modo autosómico dominante se ha sospechado desde los arios '2019'20-55'67. Numerosos estudios genéticos y de diagnóstico por imágenes han confirmado que este síndrome familiar posee una prevalencia de cavernomas mayor que en la población generai39,49,50,55,70. Recientemente, un defecto genético en el cromosoma 7 ha sido relacionado con el síndrome de cavernomatosis familiar40,51,52. Los cavernomas se presentan con una frecuencia similar en ambos sexos, pero aparentemente son más frecuentes en descendientes de raza hispana52.62 y se presentan con una frecuencia menor en personas de origen anglosajón y asiático.

LOCALIZACIÓN
Se han descripto cavernomas en el sistema nervioso central, pares craneales y nervios periféricos4,15,37,68,74. La mayoría de los cavernomas ocurre en el espacio supratentorial (64 a 84%)61, sin embargo, las lesiones ubicadas en el espacio infratentorial producen síntomas neurológicos mucho más severos e incapacitantes43.4.
Estas lesiones vasculares del tronco cerebral frecuentemente producen hemorragias recurrentes (hasta un 79%) con morbilidad asociada2,60,71,72. Se ha estimado que del 10% al 30% de los cavernomas intracraneales están ubicados en la fosa posterior. La protuberancia anular es el sitio afectado más frecuentemente,seguido en frecuencia decreciente por el cerebelo, los pedúnculos cerebrales y el bulbo raquídeo55.60,69,71
Los cavernomas pueden presentarse en forma solitaria o múltiple. En el síndrome de cavernomatosis familiar se han encontrado múltiples lesiones en un 50% al 73% de los casos (Fig. 1) comparados con los casos esporá dicos que presentan lesiones múltiples en menos de un 33%20,39,41,47,55,60,64.


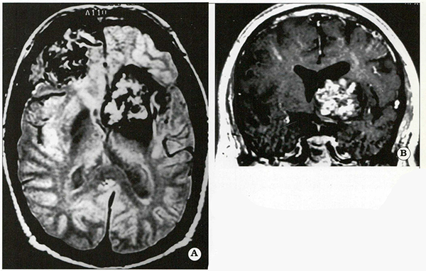
Fig. 1.
Paciente con cavernomatosis familiar múltiple. Las imágenes axial (A) y coronal (B) por resonancia magnética permiten apreciar las lesiones de densidad heterogénea características típicas de estas malfor­maciones.

Se ha descripto la coexistencia de cavernomas en asociación con otro tipo de malformaciones vasculares incluyendo telangiectasias, malformaciones venosas o malformaciones arteriovenosas14,29'46.54,11. Se ha estimado que entre un 8% y 36% existe una combinación de cavernomas con un angioma venoso; en estos casos los síntomas clínicos o hemorragias son producidos por el cavernoma acompañante14,69

HISTOPATOLOGÍA
Los cavernomas son lesiones circunscriptas, bien delimitadas, de color rojizo a púrpura, lobuladas, con un aspecto similar a una fresa o mora. No poseen vasos aferentes o venas arterializadas de drenaje, típicas de las malformaciones arteriovenosas verdaderas.
Microscópicamente, los cavernomas están formados por una serie de canales sinusoidales recubiertos por endotelio simple, separados por estroma de tejido colágeno que no posee fibras elásticas, músculo liso, ni otros elementos vasculares típicos. Característicamente no existe tejido nervioso entre los canales vasculares63.71.73.90El tejido cerebral circundante típicamente de­muestra evidencia de microhemorragias previas con decoloración producida por hemosiderina, gliosis y macrófagos repletos de hemosiderina.

PRESENTACIÓN CLÍNICA
Aunque la mayoría de los casos son asintomá­ticos, cuando producen síntomas se presentan en personas jóvenes, entre la segunda y cuarta década de vida. A diferencia de los cavernomas supratentoriales que generalmente se presentan con convulsiones23.26 o cefaleas debidas a hemorragia infra o perilesional localizada, los cavernomas de fosa posterior producen síntomas neurológicos progresivos y hemorragias en la fosa posterior. Los síntomas neurológicos progresivos pueden ser focales, como por ejemplo déficit de los nervios craneales, o pueden ser inespecíficos, incluyendo vértigo, inestabilidad al caminar o vómitos frecuentes71,82,84.92. Los pacientes que sufren hemorragia, frecuentemente presentan secuelas neurológicas severas debido a la pre­sencia de estructuras vitales y la posibilidad de obstrucción de la circulación del líquido cefalorraquídeo produciendo hidrocefalia aguda. Los pacientes con hemorragias cerebelosas presentan cefaleas, náuseas y vómitos, ataxia, vértigo y nistagmo. Los pacientes con hemorragias en el tronco encefálico típicamente presentan diplopía, hemiparesia o pérdida hemisensorial y alteraciones del nivel de conciencia10,13.16. En general la primera hemorragia es relativamente limitada y la mayor parte de los pacientes se recuperan clínicamente; en cambio, los pacientes que presentan hemorragias recurrentes sufren un deterioro neurológico progresivo y secuelas severas61. Muchos pacientes con hemorragias en el tronco encefálico presentan períodos de exacerbación y remisión, simulando el cuadro clínico de las enfermedades desmielinizantes61.
Muchos estudios han demostrado que la hemorragia inicial aumenta significantemente el riesgo de hemorragias subsiguientes2.50.63.83,87,89,93.

MÉTODOS DE DIAGNÓSTICO POR IMÁGENES
La imposibilidad de detectar angiográficamente cavernomas, telangiectasias y malformaciones arteriovenosas pequeñas trombosadas, ha determi­nado que estas lesiones se agrupen bajo el término malformaciones vasculares ocultas. Los estudios angiográficos son normales en la gran mayoría de los pacientes con este tipo de malformaciones12,50,53,67.85,86.89. Ocasionalmente la angiografia cerebral demuestra una masa avascular o anorma­lidades vasculares mínimas tales como una peque­ña vena de drenaje precoz o tardía, tinción capilar, o evidencia de neovascularización38,643.67.70.
La tomografia computada (TAC) muestra una lesión nodular, circunscripta, de densidad unifor­me o heterogénea que refleja la interposición de calcificaciones, hemorragia y componente quístico que constituye estas lesiones33. La adición de contraste endovenoso no es de mucha utilidad. Aunque la TAC es muy sensible para la detección de cavernomas supratentoriales, es poco específicas. Aunque topográficamente es posible visualizar áreas de calcificación o hemorragia, la TAC no permite diagnosticar el tipo de lesión. En la evaluación del tronco cerebral, los artefactos causados por el cráneo oscurecen el campo de observación.
La IRM constituye el método de estudio más sensible para la detección de los cavernomas ya que permite la identificación, análisis y seguimiento de las lesiones incidentales y da una idea del comportamiento biológico de la lesión, como por ejemplo expansión, hemorragia y trombosis5,21-23. El aspecto típico de los cavernomas consiste en una lesión lobulada bien definida, con una zona central de intensidad mixta, bordeada por un anillo de baja densidad. La zona central representa una combinación de los canales vasculares con áreas de hemorragia aguda, subagu­da, diferentes estados de organización del trombo y calcificaciones21. Las microhemorragias perilesionales recurrentes son responsables del depósi­to circunferencia) típico de hemosiderina que caracteriza a estas lesiones. El diagnóstico diferencial incluye malformaciones arteriovenosas trombosadas, lesiones vasculares mixtas, procesos neoplásicos, infecciosos e inflamatorios23,24.

EVOLUCIÓN NATURAL
Recientemente se ha demostrado que los ca­vernomas son lesiones dinámicas. Numerosas series clínicas han demostrado que estas lesiones cambian en tamaño e intensidad en las IRM y la emergencia de nuevos cavernomas7. Se han descripto áreas de hemorragia intralesional, trombosis de los canales vasculares, calcificación, degeneración quística e involución de las cavernas. La trombosis espontánea de los canales capilares produce estasis sanguínea, con expansión y au­mento leve de presión dentro de las cavernas provocando hemorragia en el interior del caverno­ma (hemorragia intralesional). La hemorragia intralesional produce expansión del cavernoma que puede traducirse en hemorragia perilesional de diversa magnitud.
Numerosos investigadores han reportado que los cavernomas manifiestan un comportamiento agresivo durante el embarazo. En una serie de pacientes cuya presentación clínica fue hemorra­gia, el 84% eran mujeres y un tercio estaban en el primer trimestre del embarazo2,61.64. Otro estudio de 2.000 IRM corroboró que el 75% de los pacientes que presentaron déficits neurológicos agudos eran de sexo femenino, dos tercios de las cuales estaban embarazadas".

RIESGO DE HEMORRAGIA
El riesgo de hemorragia de estas lesiones no se conoce con precisión. Numerosas autopsias, evaluación de especímenes quirúrgicos y métodos de diagnóstico por imágenes han documentado la ocurrencia de hemorragias subclínicas intralesionales en el interior de los cavernomas. Casi todos los casos presentan evidencia de microhemorragias previa. Las hemorragias cerebrales tienen menor frecuencia, pero poseen un significado clínico más importante. Estudios clínicos han estimado una incidencia de hemorragia entre el 8% y el 37% en pacientes con cavernomas. Existe evidencia de que los cavernomas en pacientes pediátricos presentan un mayor riesgo de hemorragia, con una incidencia estimada entre el 36% y el 60%. En general, considerando todas las edades, los cavernomas presentan un riesgo anual de hemorragia entre el 0,7% y el 1,1% por año35,71,93. La mayoría de las hemorragias intraparenquimatosas ocurren en el tejido circundante al cavernoma. Con menor frecuencia, los cavernomas pueden presentarse con hemorragia subaracnoidea o hemorragia intraventricular. En pacientes que poseen la combinación de cavernomas con angiomas venosos, invariablemente la hemorragia es causada por el cavernoma y no por el angioma venoso14.
Los cavernomas que han producido hemorragia poseen un riesgo de hemorragia aún mayor. Se ha reportado una incidencia de hemorragia recidivante que varía entre 20% y el 80%28,45,56,56,60,76,86. En una serie de pacientes tratados conservadoramente luego de una primera hemorragia, en un año se observó una segunda hemorragia en un tercio de los pacientes. En otro estudio de cavernomas de la fosa posterior tratados conservadoramente, el 75% de los pacientes presentó una segunda hemorragia en un período de 26 meses76. Basados en la evidencia existente en la literatura los autores recomiendan que los cavenomas que han causado hemorragia sean tratados quirúrgicamente.

TRATAMIENTO DE LOS CAVERNOMAS DEL TRONCO CEREBRAL
Los pacientes sintomáticos que presentan lesiones incidentales, ya sean únicas o múltiples, presentan un riesgo anual mínimo de producir una primera hemorragia61. La información existente en la literatura no favorece el tratamiento quirúrgico agresivo en estas lesiones puramente incidentales, esporádicas o familiares. En estos casos incidentales, el seguimiento clínico de los pacientes con IRM seriadas parece ser razonable. En cambio, cuando los pacientes presentan hemorragia en el tronco cerebral o déficits neurológicos progresivos, se requiere la resección quirúrgica de la lesión66,82.
En la Universidad Wayne State, en los últimos 5 años se ha efectuado la resección quirúrgica de 8 cavemomas ubicados en el tronco cerebral que presentaron hemorragia o déficits neurológicos progresivos. La Tabla 1 muestra las características demográficas, presentación, vía de abordaje y resultados.
En pacientes con cavernomas múltiples se recomienda un seguimiento clínico y con resonancia por imágenes y la resección quirúrgica de las lesiones que crecen, producen síntomas neurológicos o hemorragia.

Tabla 1. Características de pacientes con cavernomas del tronco encefálico operados en la Universidad Wayne State  

Edad sexo

Localización

Presentación clínica

Hem

Abordaje

Complicación

30F

Pedún culos

Cefaleas, hemiparesia

Subtemporal

No

48M

Pedúnculos

Cefaleas, paresia m. inf.

Subtemporal transitorio

NC déficit

46 F

Protub erancia

h erniparesia , estupor

Transpetroso

Infección

56M

Protub erancia

estupor, herniparesia

Transpetroso

Infarto de miocardio

45 F

Protub erancia

herniparesia

Transpetroso

No

27M

Protub erancia

estupor, herniparesia

Retro labe ríntico, presigmoideo

NC déficit transitorio

29 F

Bulbo

Disartria

Abordaje lateral extremo

NC déficit transitorio

41 F

Bulbo

Cefaleas, a taxia

Abordaje suboccipital

NC déficit transitorio

F = femenino; M = mascu lino; Hem = hemorragia; NC = nervio/s craneales

RADIOCIRUGÍA Y MALFORMACIONES CAVERNOSAS
La radiocirugía es un método aceptado para eltratamiento no quirúrgico de algunas malformaciones arteriovenosas8,9,90. Sin embargo, los cavernomas no responden clínicamente al tratamiento con radiocirugía y presentan una alta incidencia de complicaciones (191), En una serie de 16 pacientes (3 de ellos con una combinación de cavernomas con angioma venoso), no se demostró mejoría radiológica en el 80% de los pacientes, 37,4% desarrolló lesiones inducidas por radiación, un paciente presentó hemorragia recurrente y el 12% de los pacientes desarrolló déficits neurológicos progresivos79, Coffey y Lunsford reportaron una serie de 26 pacientes con cavernomas del tronco cerebral tratados con la unidad Gamma, con un seguimiento de más de 2 años en 24 pacientes" Solamente 3 pacientes mejoraron, 17 siguieron estables, 3 pacientes empeoraron temporariamente, 2 pacientes empeoraron permanentemente y un paciente falleció. Dos pacientes presentaron hemorragia a los 18 meses del tratamiento,
Algunos grupos han sugerido el uso de partículas pesadas (protones o iones de Helium) para el tratamiento de los cavernomas. En una serie de 57 pacientes con malformaciones vasculares ocultas tratados con radiocirugía empleando iones de Helium30, el 32% de los pacientes tratados con radiocirugía desarrolló hemorragia, con un porcentaje anual de hemorragia del 9,4%30, En una serie de 10 pacientes tratados con radiocirugía y posteriormente resecados quirúrgicamente, todos los pacientes presentaron trombosis incompleta48.
Finalmente, el porcentaje de complicaciones luego del tratamiento con radiocirugía es clínicamente significativo, Chang et al30 reportaron que un 7% de los pacientes, desarrollaron edema cerebral sintomático inducido por radiación y un 2% necrosis por radiación. Amin-Hanhani et al reportaron una incidencia de 16% de déficit neurológico permanente con una mortalidad del 3% atribuible a necrosis inducida por radiación11, Kondziolka58 documentó un porcentaje de complicaciones del 26% en pacientes con cavernomas tratados con la unidad gamma.
En conclusión, el valor del tratamiento con radiocirugía para los pacientes con cavernomas no está definido. Se necesitan estudios multicéntricos, randomizados, con seguimiento clínico y radiológico a largo plazo para determinar la utilidad de la radiocirugía en estos pacientes.

CONSIDERACIONES QUIRÚRGICAS RELATIVAS A LOS CAVERNOMAS DEL TRONCO ENCEFÁLICO
En base a una serie de 8 pacientes, Fahlbush ha recomendado que los cavernomas del tronco cerebral que han producido hemorragias recurrentes con déficits neurológicos progresivos deben ser resecados quirúrgicamente", En la literatura existen series que han mostrado buenos resultados clínicos luego de la resección de cavernomas del tronco encefálico ubicados en la superficie pial o ventricular35,43,77. El riesgo quirúrgico depende de la accesibilidad de la lesión61.
Zimmerman, en base a una serie de 24 pacien­tes (16 operados) ha recomendado que pacientes neurológicamente estables con cavernomas del tronco que no contactan la superficie pial sean observados. Si la lesión producía hemorragias a repetición o déficits neurológicos progresivos y estaba cerca de la superficie pial, el abordaje quirúrgico estaba recomendado95.
En una serie de pacientes con cavernomas del tronco cerebral que se presentaron con alteracio­nes neurológicas y fueron tratados conservadoramente, Simrad et al reportaron síntomas progresivos o fatalidades en el 70% de los casos". En general, la literatura reporta un riesgo general de mortalidad entre el O y el 20% para los cavernomas del tronco cerebral, con empeoramiento neurológico transitorio en 20% al 40% de los pacientes y alteraciones neurológicas permanentes en menos del 20%43,59,76,82. Aunque algunos autores recomiendan utilizar monitoreo electrofisiológico y mapeo de los núcleos de los nervios craneales durante la resección de cavernomas del tronco encefálico27,31,32,42, existe cierta controversia y gran variabilidad sobre la metodología a utilizar, ya que el monitoreo electrofisiológico no ha demostrado que mejora los resultados quirúrgicos.
La elección del abordaje quirúrgico depende de la localización de la lesión, Es importante efectuar cuidadosamente un plan quirúrgico que permita un abordaje apropiado con mínima morbilidad. Las lesiones de la superficie anterolateral de los pedúnculos cerebrales (Fig, 2) y región de la cisterna interpeduncular pueden ser abordadas a través de un abordaje pterional transilviano o subtemporal, En contraposición, lesiones más inferiores ubicadas en la superficie anterolateral de la protuberancia anular son difíciles de abordar por la vía subtemporal clásica (Fig. 3), El uso de abordajes de base de cráneo, como por ejemplo el abordaje subtemporal transpetroso posterior, presigmoideoretrolaberíntico, transigmoideo, o sus combinaciones, permite una exposición más apropiada a esta región anatómica. Estos abordajes se efectúan con el paciente en posición supina, con un rollo por debajo del hombro y la cabeza rotada hacia el lado opuesto a la lesión, La elección y agresividad de estos abordajes debe basarse en el tamaño y características particulares de cada caso. Las lesiones ubicadas en la región pineal, superficie dorsal de los pedúnculos cerebrales, velo medular superior y pedúnculos cerebelosos superiores pueden ser resecadas por vía infratentorial supracerebelosa. Este abordaje puede ser efectuado en posición prono, semisentado, o posición 3/4 prono.


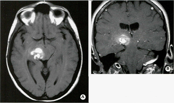
Fig. 2
. Paciente femenina de 30 años que presentó cefaleas intensas y hemiparesia progresiva izquierda. Vistas axial (A) y coronales (13) demuestran una lesión del pedúnculo cerebral derecho, La lesión fue abordada por vía subtemporal derecha con resección completa de la lesión. La paciente mejoró clínicamente en el período postoperatorio inmediato.

Finalmente, las lesiones ubicadas en el vermis o hemisferios cerebelosos, piso del cuarto ventrículo y superficie dorsal del bulbo raquídeo y protuberancia pueden ser adecuadamente abordadas a través de una craneotomía suboccipital. Los autores efectúan este abordaje en posición prono, abriendo el foramen occipital, La retracción de las amígdalas cerebelosas permite exponer el vermis delcerebelo, Para la resección de las lesiones ubicadas en la superficie anterolateral del bulbo raquídeo se utiliza el abordaje suboccipital lateral extremo (Fig, 4), El grado de agresividad con este abordaje puede variar desde la simple exposición y/o esqueletonización del seno sigmoideo y bulbo yugular a la resección parcial del cóndilo occipital con movilización de la arteria vertebral. Estas medidas no siempre son necesarias; en general, un abordaje más limitado permite la resección total en la mayoría de los casos.
Durante el abordaje al tronco cerebral, la mayoría de los cavernomas son visibles en la superficie pial, ya que presentan una región de decoloración en la superficie, causada por residuos de hemosiderina, como resultado de hemorragias previas. En estos casos en que las lesiones son superficiales o visibles desde la superficie, el cavernoma puede ser resecado directamente. En cambio, en pacientes con lesiones profundas no visibles en la superficie del tronco cerebral, los autores recomiendan emplear cirugía guiada por imágenes, para facilitar la localización de lesiones pequeñas con mínimo daño neurológico. Cuando no se cuente con la posibilidad de efectuar un abordaje guiado por imágenes, un análisis cuidadoso de las IRM permite identificar un corredor quirúrgico apropiado basado en las estructuras neuroanatómicas, por ejemplo el punto de entrada de nervios craneales, que pueden ser utilizados como punto de referencia durante el abordaje, Una vez que se ha localizado la lesión, se efectúa una disección de tipo circunferencial, utilizando el plano de gnosis que rodea al cavernoma. Esta maniobra se realiza bajo el microscopio combinada con el uso de un coagulador bipolar fino, utilizando bajo voltaje para limitar la propagación a los tejidos circundantes. Esta maniobra permite la desvascularización de la lesión, Las lesiones pequeñas pueden ser resecadas en bloque en una pieza, mientras que en lesiones de mayor tamaño es conveniente la resección en fragmentos, Es importante que se efectúe una resección completa de la lesión ya que si quedan residuos luego de una resección parcial, el cavernoma crecerá nuevamente, con el riesgo de hemorragias a repetición y déficits neurológicos1"°,


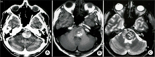
Fig. 3.
Paciente masculino de 27 años que presentó una hemorragia subaguda, estupor, deterioro progresivo del nivel de conciencia y marcada hemiparesia derecha progresiva. La tomografía computada (A) y las imágenes por resonancia (B, C) demuestran un hematoma en la protuberancia anular con compresión del parénquima. Esta lesiónfue abordada mediante un abordaje retrolaberíntico, presigmoideo. En el período postoperatorio inmediato el nivel de conciencia y la hemiparesia mejoraron, Este paciente presentó una paresia facial marcada que mejoró en 6 semanas.


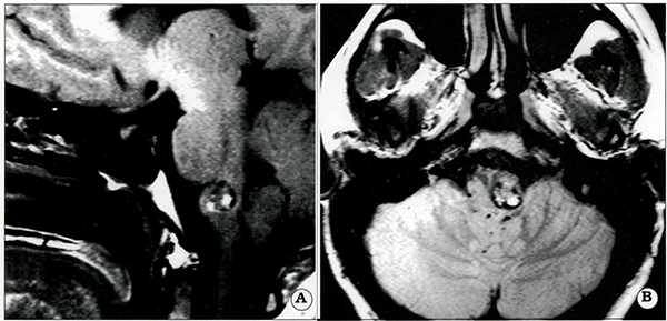
Fig. 4.
Pacientefemenina de 29 años que presentó disartría progresiva A) Imagen T-1 sagital, B) Imagen axial. Esta lesiónfue resecadapor vía lateralposterior extrema. Este paciente tuvo un déficittemporario de los nervios craneales bajos (IX, X. XI).

CONCLUSIONES
Los cavernomas ubicados en el tronco encefálico pueden provocar hemorragias a repetición con secuelas neurológicas significativas. Aunque el tratamiento quirúrgico presenta un alto riesgo de complicaciones serias, los autores recomiendan la resección quirúrgica de las lesiones que han presentado hemorragia o déficit progresivo debido al incremento en tamaño. El abordaje quirúrgico apropiado debe basarse en la localización de la lesión, Son necesarios nuevos estudios para determinar el papel de la radiocirugía en el tratamiento de estas lesiones.


BIBLIOGRAFÍA

  1. Abdulrauf SI, Kaaynar MY, Awad IA et al: A comparison of the clinical profile of cavernous mal­formations with and without associated venous malformations. Neurosurgery 44: 41-46, 1999.
  2. Abe H: Clinical presentation of vascular malforma­tions in the brainstem: Comparison of angiografica­lly positive and negative types. J Neurol Neurosurg Psych 52: 167-175, 1989.
  3. Abe M, Ogawa A, Yoshida Y et al: Surgical removal of cavernous angioma in the medulla oblongata. A case report. Neurosurg 20: 128-131, 1997.
  4. Acciarri N, Padovani R, Giulioni N et al: Intracranial and orbital cavernous angiomas: a review of 74 surgical cases. Br J Neurosurg 7: 529-539, 1993.
  5. Agnoli AL: Neuroradiologic study using modem imaging procedures (CT: NMR) in venous, cerebral vascular malformations. Neurochirurgia (Stuttg). 29: 225-229, 1986.
  6. Ahmadi J, Miller CA, Segall AD et al: CT patterns in histopathologically complex cavernous hemangio­mas. AJNR 6: 389-393, 1985.
  7. Aiba T, Tanaka R, Koike T et al: Natural history of intracranial cavernous malformations. J Neuro­surg 83: 56-59, 1995.
  8. Alexander E, LoeffierJS: Radiosurgery for intracranial vascularmalformations: Techniques, results, and complications. Clin Neurosurg 39: 273-291, 1992.
  9. Alexander E, Loeffer JS: Radiosurgery using a modi­fied linear accelerator. Neurosurg Clin N Am 3: 167-190, 1992.
  10. Alvarez-Sabin J, Montalván J, Tintore Metal:  Pure sensory stroke due to midbrain haemorrhage. J Neurol Neurosurg Psychiatry 54: 843, 1991.
  11. Amin-Hanjani S, Ojilvy CS, Canadia G, et al: Stereo­tactic radiosurgery for cavernous malformations: Kjellberg's experience with proton bean therapy in 98 cases at the Harvard cyclotron. Neurosurgery 1229-1237, 1998.
  12. Arutiunov Al, Korninko VN: Catheterization cere­bral angiography in the diagnosis of vascular lesions of the brain. Vopr Neirokhir 33: 11-16, 1969.
  13. Awad IA, Robinson JR et al: Comparison of the clinical presentation of symptomatic arteriovenous malformations and occult vascular malformations. Neurosurgery 32: 876-878, 1993.
  14. Awad IA, Robinson JR, Mohanty S et al: Mixed vascular malformations of the brain: clinical and pathogenetic considerations. Neurosurgery 33: 179-188, 1993.
  15. Basauri L, Rocamora RJ: Cavernomas. Report of two cases. Neurocirugía 23: 77-78, 1965.
  16. Bentley CR, Bronstein AM, Paldon N et al: Fast eye movement initiation of ocular torsion in mesodien­cephalic lesions. Ann Neurol 43: 729-737, 1998.
  17. Berry R, Alpers B, White J: The site, structure, and frequency of intracranial aneurysms, angiomas, and arteriovenous abnormalities. En: Milikan C (ed): Research Publications: Association for Resear­ch in Nervous and Mental Disease. Baltimore: Willia­ms & Willdns, pp. 4-72, 1966.
  18. Bertalanffy H, Gilsbach JM, Eggert HR et al: Microsur­gery of deep-seated cavernous angiomas: report of 26 cases. Acta Neurochir (Wien.) 108: 91-99, 1991.
  19. Bicknell JM, Carlow TJ, Kornfeld M et al: Familial cavemous angiomas. Arch Neurol 35: 746-749, 1978.
  20. Bicknell JM: Familia' cavernous angioma of the brain stem dominantly inherited in Hispanics. Neu­rosurgery 24: 102-105, 1989.
  21. Bien S, Friedburg H, Harders A et al: Intracerebral cavernous angiomas in magnetic resonance imaging, Acta Radiol Suppl 369: 79-81, 1986
  22. Biondi A, Scialfa G: Morphologkal and blood flow MR findings in cerebral vascular malformations, J Neuroradiol 15: 253-265, 1988,
  23. Bourgouin PM, Tampieri D, Melancom D et al: Multiple occult vascular malformations of the brain and spinal cord: MRI diagnosis, Neuroradiology 34: 110-111, 1992,
  24. Carcao M: MRI findings in macrocephaly-cutis mar­morata telangiectatica congenita, Am J Med Genet 76: 165-167, 1998,
  25. Casazza M, Broggi G, Franzini A et al: Supratento­rial cavernous angiomas and epileptic seizures: preoperative course and postoperative outcome, Neu­rosurgery 39: 26-32, 1996,
  26. Casey AT, Thomas DG, Harkness WF et al: Stereo­tactically-guided craniotomy for cavernous angio­mas presenting with epilepsy, Acta Neurochir (Wien,) 137: 34-37, 1995.
  27. Cedzich C, Pechstein U, Zentner J et al: Minimally invasive stereotactically-guided extirpation of brain stem cavernoma with the aid of electrophysiological methods, Minim Invasive Neurosurg 42: 41-43, 1999,
  28. Chabert E, Morandi X, Carney MP et al: Intramedu­llary cavernous malformations, J Neuroradiol 26: 262-268, 1999,
  29. Chaix Y, Grouteau E, Sevely A et al: Association of venous angioma and cavernoma of the posterior fossa, Arch Pediatr 3: 685-688, 1996.
  30. Chang SD, Levi RP, Adler JR, et al: Stereotactic radiosurgery of angiographically occults vascular malformations: fourteen years experience, Neuro­surgery 43: 213-221, 1998,
  31. Chang SD, López JR, Steimberg GK: The usefulness of electrophysiological monitoring during resection of central nervous system vascular malformations, J Stroke Cerebrovasc Dis 8: 412-422, 1999,
  32. Chang SD, López JR, Steinberg GK et al: Intraopera­tive electrical stimulation for identification of cranial nerve nuclei, Muscle Nerve 22: 1538-1543, 1999,
  33. Chin D, Harper C: Angiographically occult cerebral vascular malformations with abnormal computed tomography. Surg Neurol 20: 138-142, 1983,
  34. Coffey RJ, Lunsford LD: Radiosurgery of cavernous malformations and other angiografically occult vas­cular malformations, in Awad IA, Barrow DL (eds): Cavernous Malformations, Park Ridge, IL: AANS, pp 187-200, 1993,
  35. Del Curling O, Kelly DL, Elster AD, et al: An analysis of the natural history of cavernous hemangiomas, J Neurosurg 75: 702-708, 1991.
  36. Del Curling O, Kelly DL, Elster AD, et al: An analysis of the natural history of cavemous angiomas. J Neuro­surg 75: 702-708, 1991.
  37. Di Rocco C, Ianelli A, Tamburrini G: Cavernomas of the central nervous system in children, A report of 22 cases. Acta Neurochlr 138: 1267-1274, 1996,
  38. Diamond C, Torvik A, Amundsen P: Angiographic diagnosis of teleangiectases with cavernous angio­ma of the posterior fossa, Report of two cases, Acta Radio! Diagn (Stockh) 17: 281-288, 1976,
  39. Dobyns WB, Micheles VV, Groover RV et al: Familial cavernous malformations of the central nervous system and retina, Ann Neurol 21: 578-583, 1987,
  40. DubovskyJ, ZabramskiJM, KwthJ: Agene responsible for cavernous malformations of the brain maps to chromosome 7q, Hum Mol Genet 4: 453-458, 1995,
  41. Duong H, del Carpio R, Pike B et al: Multiple intracerebral cavernous angiomas, Can Assoc Ra­diol J 42: 329-334, 1991,
  42. Eisner W, Schmid UD, Revlen HJ et al: The mapping and continuous monitoring of the intrinsic motor nuclei during brain stem surgery. Neurosurgery 37: 255-265, 1995,
  43. Fahlbusch R, Strauss C, Huk W: Pontine-mesence­phalic cavernomas: indications for surgery and operative resulta Acta Neurochir 53:37-41, 1991,
  44. Fahlbusch R, Strauss C, Huk W: Pontine-mesence­phalic cavernomas: indications for surgery and operative results, Acta Neurochlr 53:37-41, 1991,
  45. Farmer JP, Cosgrove GR, Villemure JG et al: Intra­cerebral cavernous angiomas, Neurology 38: 1699­1704, 1988,
  46. Fukui M, Matsushima T, Ikezaki K et al: Surgery of angiomas in the brainstem with a stress on the presence of telangiectasia, Neurol Med Chir (Tokyo) 38 Suppl: 250-254, 1998,
  47. Gangemi M, Maiuri F, Donati P, et al: Familial cerebral cavemous angioma. Neurol Res 12: 131­136, 1990,
  48. Gewirtz RJ, Steinberg GK, Crowley R et al: Patho­logical changes in surgically resected angiographi­cally occult vascular malformations after radiation, Neurosurgery 42: 738-742, 1998,
  49. Gil-Nagel A, Wilcox KJ, Stewart JM et al: Familial cerebral cavernous angioma: clinical analysis of a family and phenotypic classiflcation, Epilepsy Res 21: 27-36, 1995,
  50. Giombini S, Morello G: Cavernous angiomas of the brain. Account of 14 personal cases and review of the literature, Acta Neurochir 40: 61-82, 1978,
  51. Gunel M, Awad IA, Anson Jet al: Mapping of a gene causingfamiliarcavernous malformationto 7q11,2q.21. Proc Natl Acad Sci USA 96: 6,620-6,624, 2000,
  52. Gunel M, Awad LA, Finberg K et al: A founder mutation as a cause of cerebral cavernous malfor­mation in Hispanic Americans, N Engl J Med 334: 946-951, 1996,
  53. Hallam DK, Russell EJ: Imaging of angiographically occult cerebral vascular malformations, Neuroima­ging Clin N Am 8: 323-347, 1998,
  54. Hirsh LF: Combined cavernous-arteriovenous mal­formation, Surg Neurol 16: 135-139, 1981,
  55. Hsu F, Rigamonti D, Huhn SL: Epidemiology of cavernous malformations, En Awad IA, Barrow DL (eds): Epidemiology of cavernous malformations, Park Ridge, IL: AANS, pp 13-23, 1993.
  56. Hubert P, Choux M, Houtteville JP: Cerebral caver­nomas in infants and children. Neurochirurgie 35: 104-105, 1989,
  57. Kidd H, Cummings J: Cerebral angiomata in an Iceland family, Lancet 1: 747-748, 1947,
  58. Kondziolka D, Lunsford LD, Flickinger JC et al: Reduction of hemorrhage risk after stereotactic radiosurgery for cavemous malformations, J Neu­rosurg 83: 825-831, 1995,
  59. Le Doux MS, Aronin PA, Odrezin GT et al: Surgirally treated cavemous angiomas of the brain stem: report of two cases and review of the literature, Surg Neurol 35: 395-399, 1991,
  60. Lobato RD, Pérez C, Rivas JJ et al: Clinical, radiolo­gical, and pathological spectrum of angiographically occult intracranial vascular malformations, Analysis of 21 cases and review of the literature. J Neurosurg 68: 518-531, 1988.
  61. Maraire JN, Awad IA: Intracranial cavernous mal­formations: lesion behavior and management stra­tegies, Neurosurgery 37: 591-605, 1996,
  62. Mason I, Aase JM, Orison WW et al: Familiar cavernous angiomas of the brain in an Hispanic family, Neurology 38: 324-326, 1966.
  63. McCormickWF, Boulter TR: Vascular malformatio­ns ("angiomas") of the dura mater. J Neurosurg 25: 309-311, 1966,
  64. Mori K, Handa H, Gi H et al: Cavernomas in the middle fossa. Surg Neurol 14: 21-31, 1980,
  65. Otten P, Pizzolato GP, Rilliet B et al: 131 cases of cavernous angioma (cavernomas) of the CNS, disco­vered by retrospective analysis of 24,535 autopsies, Neurochirurgle 35: 82-31, 1989,
  66. Porter RW, Detwiler PW, Spetzler RF et al: Caver­nous malformations of the brainstem: experience with 100 patients. J Neurosurg 90: 50-58, 1999.
  67. Rapacki TF, Brantley MJ, Furlow TW Jr et al: Heterogeneity of cerebral cavemous hemangiomas diagnosed by MR imaging, J Comput Assist Tomo­gr 14: 18-25, 1990,
  68. Raveau V, Marsot-Dupuch K, Levy C: Symptornalic trigeminal neuralgia caused by venous angioma of the posterior fossa, Ann Radiol (Paris) 35: 85-88, 1992.
  69. Requena I, Arias M, Lopez-Ibor L et al: Cavernomas of the central nervous system: clinical and neuro­imaging manifestations in 47 patients, J Neurol Neurosurg Psychiatry 54: 590-594, 1991.
  70. Rigamonti D, Drayer BP, Johnson PC, et al: Cerebral Cavemous Malfonnations. N Engl J Med 319: 343­347, 1988,
  71. Robinson JR, Awad IA, Little JR: Natural history of the cavernous angiomas, J Neurosurg 75: 709­714, 1991.
  72. Robinson JRJr, Awad IA, Magdinec Metal:  Factors predisposing to clinical disability in patients with cavernous malformations of the brain. Neurosur­gery 32: 730-735, 1993.
  73. Russel D RL: Tumors and hamartomas of the blood vessels, En: Russel D, Rubinstein L (eds): The Pathology of Tumors of the Nervous System, ed 4. London: Edward Arnold, pp 126-145, 1977,
  74. Ryvlin P, Mauguiere F, Sindou M et al: Interictal cerebral metabolism and epilepsy in cavernous an­giomas, Brain 118: 677-687, 1995,
  75. Sage MR, Brophy BP, Sweeney C et al: Cavernous hemangioma (angiomas) of the brain: clinically signi­ficant lesions. Australas Radiol 37: 147-155, 2000,
  76. Sakai N, Yamada H, Tanigawara T et al: Surgical treatment of cavernous angioma involving the bra­instem and review of the literature, Acta Neurochir (Wien,) 113: 138-143, 1991.
  77. Scott RM, Barnes P, Kupsky W et al: Cavemous angiomas of the central nervous system in children, J Neurosurg 38-46, 1992,
  78. Simrad JM, García BF, Ballinger WE Jr et al: Caver­nous angioma: A review of 126 collected and 12 new clinical cases. Neurosurgery 18: 162-172, 1986,
  79. Steiner L, Lindquist L, Foster D et al: Radiosurgery: Baseline and trends, New York: 1991,
  80. Steinberg GK, Gewirtz RJ, López JR: Microsurgical resection of brainstem, thalamic, and basal ganglia angiographically occult vascular malformations. Neurosurgery 46: 260271, 2000.
  81. StenoJ, Bizik I, Lampert M: Concurrent cavernous and venous cerebral angiomas, Bratisl Lek Listy 100: 317-320, 1999,
  82. Symon L, Jackowski A, Bills D: Surgical treatment of pontomedullary cavernomas. Br J Neurosurg 5: 339-347, 1991.
  83. Tagle P, Torrealba G: Transorbital projectile simu­lating a carotid-cavemous fistula, Rey Chil Pediatr 56: 259-261, 1965,
  84. Takahashi A, Kamiyama H, Abe H et al: Cavemous angioma ofthe cerebellum and embalar atrophy, Case report. Neurol Med Chir (Tokyo) 32: 762-764, 1992.
  85. Tomlinson FH, Houser OW, Scheithauer BW et al: Angiographically occult vascular malformations: a correlative study of features on magnetic resonance imaging and histological examination, Neurosur­gery 34: 792-799, 1994,
  86. Voigt K, Yasargil MG: Cerebral cavernous haeman­giomas or cavernomas, Incidence, pathology, loca­lization, diagnosis, clinical features and treatment, Review of the literature and report of an unusual case. Neurochirurgia (Stuttg) 19: 59-68, 1976,
  87. Wakai S, Ueda Y, Inoh S et al: Angiographically occult angiomas: a report of thirteen cases with analysis of the cases documented in the literature, Neurosurgery 17: 549-556, 1965,
  88. Watanabe A, Hirano K, Ishii R Dural carotidocaver­nous fistula with both ophthalmic arteries arising from middle meningeal arteries, Neuroradiology 38: 806-808, 1996,
  89. Weil SM, TewJM Jr: Surgical management of brain stem vascular malformations, Acta Neurochir (Wien,) 105: 14-23, 1990,
  90. Wilkins RH: Natural history of intracranial vascular malformations: a review, Neurosurgery 16: 421­430, 1965,
  91. Yamasaki T, Handa H, Yamashita J et al: Intracra­nial and orbital cavernous angiomas: a review of 30 cases. J Neurosurg 64: 197-208, 1986,
  92. Yoshimoto T, Suzuki J: Radical surgery on caver­nous angioma of the brainstem, Surg Neurol 26: 72-78, 1986.
  93. ZambramsklJM, Wascher TM, Spetzler RF et al: The natural history of familiar cavernous malformatio­ns: results of an ongoing study, J Neurosurg 80: 422-432, 1994.
  94. Zauberman H, Feinsod M: Orbital hemangioma growth during pregnancy, Acta Ophtalmol (Co­penh) 48: 422-432, 1970
  95. Zimmerman RS, Spetzler, RF, Lee KS et al: Caver­nous malformations of the brain stem. J Neurosurg 75: 32-39, 1991