Meningiomas de fosa posterior: nomenclatura con orientación anatomo-quirúrgica y presentación de casos ilustrativos.
Juan F. Villalonga1,2, José I. Pailler1, Tomás Funes1, Matías Baldoncini1, Diego Mendéz-Rosito3, Pablo Ajler4, Álvaro Campero1,2.
1 LINT, Facultad de Medicina, Universidad Nacional de Tucumán, Tucumán, Argentina.
2 Servicio de Neurocirugía, Hospital Padilla, Tucumán, Argentina.
3 Departamento de Neurocirugía, Centro Médico Nacional, ISSSTE, México DF, México.
4 Servicio de Neurocirugía, Hospital Italiano de Buenos Aires, C.A.B.A., Argentina.
Juan F. Villalonga -
jfvillalonga@gmail.com
Financiador o Sponsorship: No.
Conflictos de interés: No.
Abreviaturas: APC: ángulo pontocerebeloso; AV: arteria vertebral; CAI: conducto auditivo interno; FM: foramen magno; MFP: meningiomas de la fosa posterior; NC: nervio craneal; SC: seno cavernoso.
RESUMEN
Introducción:
Los meningiomas de la fosa posterior representan el 20% de todos los meningiomas intracraneales. Cada subtipo tiene una base de implantación, abordaje quirúrgico y morbimortalidad postoperatoria muchas veces diferente. Advertimos que en reuniones científicas y publicaciones no se sigue una forma de clasificar uniforme, sencilla y clara con orientación netamente quirúrgica. Esto genera que el neurocirujano en formación no cuente con herramientas suficientes para la toma de decisiones.
Objetivos:
Proponer una clasificación sencilla de los meningiomas de la fosa posterior con un fundamento anatomo-quirúrgico y presentar casos ilustrativos de cada subtipo.
Materiales y métodos:
Se estableció una nomenclatura considerando reportes previos, el criterio anatómico y la experiencia quirúrgica de los autores. Se presentaron casos revisando las historias clínicas y los archivos de imágenes correspondientes a cada subtipo de la clasificación.
Resultados: Representamos a la fosa posterior como un compartimento con 3 anillos: el superior se divide en medial, lateral-anterior y lateral-posterior; el medio se divide en 6 variantes: clivales puros, esfeno-petro-clivales, petrosos anteriores, petrosos posteriores y de la convexidad suboccipital medial y lateral; el inferior se divide en anterior, lateral derecho, lateral izquierdo y posterior.
Conclusión:
Los meningiomas del anillo superior pueden resolverse mediante una vía suboccipital medial o lateral; los del anillo medio tienen un espectro de opciones más diverso; los del anillo inferior -siguiendo el esquema de división en cuadrantes de un reloj- pueden resolverse por medio de un abordaje suboccipital medial o extremolateral.
Palabras clave: fosa posterior, meningioma, foramen magno, incisura tentorial, hueso temporal
Posterior fossa meningiomas: nomenclature with anatomic and surgical orientation and presentation of illustrative cases.
ABSTRACT
Introduction: Posterior fossa meningiomas represent 20% of all meningiomas, being each location associated with a specific approach, morbidity and mortality. The actual classifications are focus on the dural attachment, without associating the anatomical with the surgical aspects, useful to the young neurosurgeons for decision making.
Objectives:
To propose a classification of the posterior fossa meningiomas with an anatomical-surgical view including the presentation of cases.
Materials and Methods:
A nomenclature was established concerning previous reports, the anatomical criteria and the surgical experience of the authors. Cases were presented by reviewing the medical records corresponding to each subtype of the proposed classification.
Results:
We represent the posterior fossa as a 3 rings compartment: the upper one is divided into medial, anterior-lateral and posterior-lateral; the middle ring is divided into 6 variants: pure clival, spheno-petro-clival, anterior petrosal, posterior petrosal, and medial and lateral suboccipital convexity; the lower ring is divided into anterior, right lateral, left lateral, and posterior.
Conclusion:
Superior ring meningiomas can be resolved by a medial or lateral suboccipital approach; middle ring meningiomas have a more diverse spectrum of options; while meningiomas of the inferior ring - following the scheme of division into quadrants of a clock - can be resolved by means of a medial or extreme-lateral suboccipital approach.
Key words: posterior fossa, meningioma, foramen magnum, tentorial notch, temporal bone
INTRODUCCIÓN
Los meningiomas de la fosa posterior (MFP) representan el 20% de todos los meningiomas intracraneales. Cada subtipo tiene una base de implantación, abordaje quirúrgico y morbimortalidad postoperatoria muchas veces diferente. Advertimos que en reuniones científicas y publicaciones no se sigue una forma de clasificar uniforme, sencilla y clara con orientación netamente quirúrgica. Esto genera que el neurocirujano en formación no cuente con herramientas suficientes para la toma de decisiones. Así, el mismo no puede discernir con claridad la complejidad que reviste el proceso operatorio de un determinado paciente.
El objetivo de este artículo es proponer una clasificación sencilla de los MFP con un fundamento anatomo-quirúrgico y presentar casos ilustrativos de cada subtipo.
MATERIALES Y MÉTODOS
Para establecer la nomenclatura de cada subtipo de MFP se utilizó la superficie endocraneana de una base de cráneo humana. Se establecieron nombres considerando reportes previos en la literatura, criterio anatómico y experiencia del equipo quirúrgico. Para la presentación de casos ilustrativos de cada subtipo se utilizó el archivo digital de cada uno de los equipos participantes. En cada caso se registró edad, sexo, RM preoperatoria, abordaje utilizado, hallazgos intraoperatorios, estudio anatomo-patológico, RM postoperatoria y evolución funcional neurológica de los pacientes operados en el Servicio de Neurocirugía del Hospital Padilla entre enero de 2015 y diciembre de 2020.
RESULTADOS
Clasificación
La fosa posterior puede ser observada como un embudo con 3 anillos: superior, medio e inferior.
El anillo superior o “tentorial” se divide en los subtipos mediales y laterales.
El anillo medio u “occipito-petro-clival” puede dividirse en 6 variantes: clivales puros, esfeno-petro-clivales, petrosos anteriores, petrosos posteriores, de la convexidad occipital lateral y medial.
El anillo inferior o “del foramen magno” puede dividirse dibujando un reloj en la RM axial con centro en el bulbo raquídeo y una X superpuesta tomando como puntos las horas 10.30, 1.30, 4.30 y 7.30. Quedan delimitadas así 4 regiones: anterior (de 10.30 a 1.30), lateral izquierda (de 1.30 a 4.30), posterior (de 4.30 a 7.30), lateral derecha (de 7.30 a 10.30).
La tabla 1 resume la clasificación descripta y relaciona cada subtipo de meningioma con la/s posible/s vía/s de abordaje (Tabla 1).
TABLA 1. CLASIFICACIÓN DE LOS MENINGIOMAS DE FOSA POSTERIOR Y SUS POSIBLES VÍAS DE ABORDAJE.
ANILLO |
SINONIMIA |
SUBTIPO |
ABORDAJE |
FIGURA |
SUPERIOR |
Tentorial |
Medial |
Suboccipital medial supracerebeloso |
1 |
Lateral |
Suboccipital lateral supracerebeloso |
2 |
||
MEDIO |
Occipito-Petro-Clival |
Clival |
Petrosectomía total |
3 |
Petro-clival |
Petrosectomía posterior |
4 |
||
Petroso anterior |
Petrosectomía anterior |
5 |
||
Petroso posterior |
Retrosigmoideo |
6 |
||
De la convexidad lateral |
Suboccipital lateral |
7 |
||
De la convexidad medial |
Suboccipital medial |
8 |
||
INFERIOR |
Del Foramen Magno |
Anterior |
Extremo lateral transcondilar |
9 |
Lateral |
Extremo lateral retrocondilar |
10 |
||
Posterior |
Suboccipital medial inferior |
11 |
Casos Ilustrativos
Las figuras 1 a 11 muestran una serie de casos ilustrativos representativos de la presente clasificación (Figuras 1-11).
La figura 12 es un dibujo esquemático que sintetiza la presente clasificación (Figura 12).
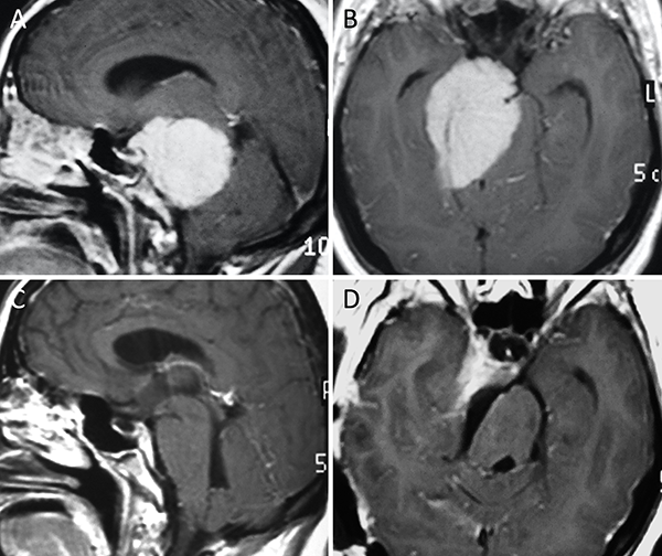
Figura 1. Meningioma tentorial medial. A-B: RM preoperatoria; C-D: RM postoperatoria.

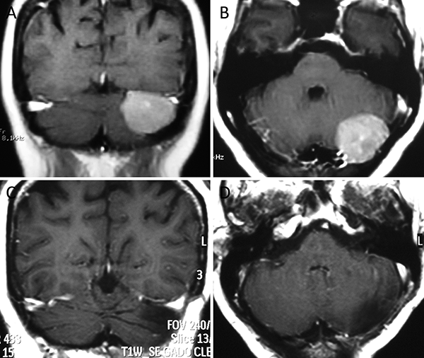
Figura 2. Meningioma tentorial lateral. A-B: RM preoperatoria; C-D: RM postoperatoria.

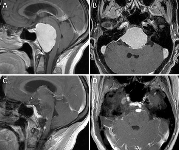
Figura 3. Meningioma clival. A-B: RM preoperatoria; C-D: RM postoperatoria.

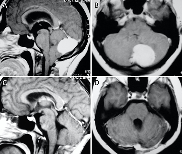
Figura 4. Meningioma petro-clival. A-B: RM preoperatoria; C-D: RM postoperatoria.

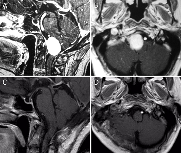
Figura 5. Meningioma petroso anterior. A-B: RM preoperatoria; C-D: RM postoperatoria.

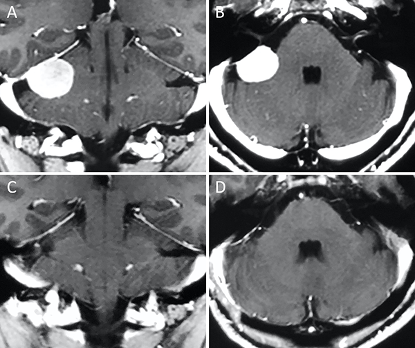
Figura 6. Meningioma petroso posterior. A-B: RM preoperatoria; C-D: RM postoperatoria.

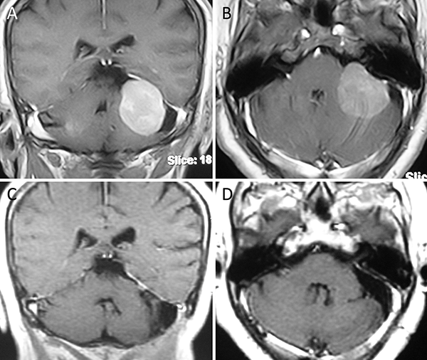
Figura 7. Meningioma de la convexidad lateral. A-B: RM preoperatoria; C-D: RM postoperatoria.

Figura 8. Meningioma de la convexidad medial. A-B: RM preoperatoria; C-D: RM postoperatoria.

Figura 9. Meningioma del foramen magno anterior. A-B: RM preoperatoria; C-D: RM postoperatoria.

Figura 10. Meningioma del foramen magno lateral. A-B: RM preoperatoria; C-D: RM postoperatoria.

Figura 11. Meningioma del foramen magno posterior. A-B: RM preoperatoria; C-D: RM postoperatoria.

Figura 12. Dibujo esquemático de la clasificación de los meningiomas de fosa posterior. 1: Meningioma tentorial medial; 2: Meningioma tentorial lateral; 3: Meningioma clival; 4: Meningioma petro-clival; 5: Meningioma petroso anterior; 6: Meningioma petroso posterior; 7: Meningioma de la convexidad lateral; 8: Meningioma de la convexidad medial; 9: Meningioma del foramen magno anterior; 10: Meningioma del foramen magno lateral; 11: Meningioma del foramen magno posterior.
DISCUSIÓN
La sistematización de los MFP se logró en base a la observación anatómico-cadavérica, la experiencia quirúrgica y la revisión de las clasificaciones previas. El análisis de las publicaciones de los expertos en cirugía de base de cráneo fueron fundamentales para entender la patología y resultaron ser los pilares de una propuesta de clasificación que aspira a organizar la patología y hacerla accesible al cirujano que se inicia en la especialidad.
Yasargil y cols. (1996) clasificaron a los MFP según el sitio de implantación en: clivales, petroclivales, esfenopetroclivales, del ángulo ponto-cerebeloso (APC), del foramen magno (FM) y de la convexidad cerebelosa.13 Por su inusual aparición los meningiomas del 4º ventrículo son mencionados aunque no incluidos en la descripción.
Sekhar y cols. (1996) clasificaron a los MFP en cinco grupos de acuerdo a su localización:11
Desgeorges y Sterkers, en una serie de 140 casos publicada en 1994, clasificaron a los MFP mediante una subdivisión en cuatro zonas y separando los meningiomas petrosos en función de su relación con el CAI.4 La zona clival: que comprende el clivus mismo y la parte del ápex petroso medial a la impresión del trigémino. La superficie posterior del hueso petroso se subdivide en tres zonas: una zona anterior (zona A) situada entre la impresión trigeminal y el borde anterior (labio anterior) del CAI, una zona media (zona M) desde el borde anterior del CAI hasta una línea inmediatamente posterior al laberinto y una zona posterior (zona P) que se extiende desde esta línea hasta el seno sigmoideo.
Schaller y cols. publicaron en 1999 una serie de 31 pacientes con meningiomas del APC y clasificaron a los meningiomas de manera más simple en premeatales y retromeatales según su relación con el CAI, destacando que los tumores premeatales son más pequeños y más propensos a presentar déficits de los NC VII y VIII, mientras que los tumores retromeatales se presentan con mayor tamaño y signos cerebelosos.10
Kawase y cols. describieron en 1996 una serie de 36 pacientes con meningiomas petroclivales y clasificaron a los tumores petroclivales según el sitio de inserción principal del tumor y el desplazamiento del NC V de la siguiente manera:6
Ichimura y cols. publicaron en 2008 una serie de 91 pacientes con meningiomas petroclivales y clasificaron a los meningiomas petroclivales en cuatro subtipos de acuerdo a su origen, sitio de inserción principal sospechado y dirección del desplazamiento del NC V, en base a imágenes de RM preoperatorias y hallazgos intraoperatorios.5
Sasunn y cols, en una serie de 51 pacientes con meningiomas petroclivales publicada en 2016, proponen clasificar a los meningiomas petroclivales en base a los diferentes tipos de crecimiento en cuatro grupos:9
Zhao y cols. publicaron en 2020 una serie de 168 pacientes con meningiomas petroclivales y clasificaron a los meningiomas petroclivales a partir de métodos imagenológicos y hallazgos intraoperatorios en base a los siguientes cambios en la anatomía patológica:14 (1) origen de la unión dural; (2) patrón de crecimiento; (3) la participación de estructuras adyacentes como el cavum de Meckel, el SC y el CAI. Se diferencian 4 tipos y 2 subtipos de la siguiente manera:
Los meningiomas tentoriales ocupan el 3-6% del total de la patología meníngea y por su localización resultan ser desafiantes en su resección. La clasificación clásica de Yasargil (1996) los divide en lesiones del anillo interno del borde libre de la tienda, aquellos que crecen del anillo externo en relación con el seno transverso y los meningiomas intermedios entre estas dos áreas anatómicas.13 La clasificación de Yasargil modificada amplía los conceptos iniciales y propone 5 tipos: los meningiomas del borde libre anterior y lateral del tentorio en estrecha relación con los NC y las arterias de la cisterna peri-mesencefálica, los meningiomas del borde libre posterior y medial en estrecha relación con las estructuras venosas profundas, los meningiomas paramedianos, los peritorculares y los meningiomas laterales tentoriales.1 En ocasiones su forma en reloj de arena y localización en la fosa posterior y supratentorial simultáneamente requiere abordajes combinados para su resección total.
Bruneau y George publicaron en 2010 una serie de 107 pacientes con meningiomas del FM y propusieron un sistema de clasificación para los meningiomas del FM basado en las características de la lesión observadas en las imágenes preoperatorias.2,3 Tiene los objetivos de definir preoperatoriamente el abordaje quirúrgico y ayudar a anticipar la posición de las estructuras neurovasculares, disminuyendo así la morbilidad quirúrgica. Se utilizan tres criterios principales: el compartimento de desarrollo, la inserción dural y la relación con la arteria vertebral (AV). Según el compartimiento de desarrollo, los meningiomas del FM se puede subdividir en: intradural; extradural; intra y extradural. Según la inserción en la duramadre, los meningiomas del FM se pueden clasificar en el plano anteroposterior como: anterior, si la inserción es en ambos lados de la línea media anterior; lateral, si la inserción es entre la línea media y el ligamento dentado; posterior, si la inserción es posterior al ligamento dentado. Finalmente, las estrategias quirúrgicas varían de acuerdo con la relación con la AV, los meningiomas del FM se pueden desarrollar por encima del AV; debajo del AV; a ambos lados de la AV.
Yamahata y cols. publicaron en 2015 una serie de 16 pacientes con meningiomas del FM y clasificaron a los meningiomas del FM según su ubicación en base a imágenes de RM axiales y sagitales.12 Los tumores se dividieron en 3 tipos: clival, foraminal y atloideos. El grueso de los tumores clivales se localizó en el tercio inferior del clivus. Los meningiomas foraminales estaban unidos al nivel del FM y típicamente contenían el canal hipogloso. Los tumores atloideos se ubicaron debajo del canal hipogloso con una porción importante en el canal espinal.
Li y cols. publicaron en 2017 una serie de 185 pacientes con meningiomas del FM, y propusieron la siguiente clasificación:8
CONCLUSIONES
Desde un punto de vista anatomo-quirúrgico es útil dividir a los MFP según 3 anillos: superior, medio e inferior.
Los meningiomas del anillo superior pueden ser resecados mediante un abordaje suboccipital medial o suboccipital lateral (i.e. retrosigmoideo).
Los meningiomas del anillo medio pueden abordarse por distintas vías. Contar con diversas opciones es clave para poder resecarlos de la manera más apropiada.
Los meningiomas del anillo inferior pueden clasificarse siguiendo el esquema del reloj y la X superpuesta. El abordaje suboccipital medial y el extremolateral en sus dos variantes permitirán resolverlos la mayoría de las veces.
El hecho de contar con un equipo de base de cráneo que sume al arsenal de opciones terapéuticas las técnicas endoscópicas permite valorar casos específicos y seleccionados que pueden beneficiarse con este enfoque híbrido y moderno.
REFERENCIAS
COMENTARIO
El artículo es muy interesante y, a su vez, incluye bibliografía actualizada. Apunta a encontrar una forma más práctica de entender los meningiomas de fosa posterior, patología que como todos sabemos representa un gran desafío al neurocirujano y más aún al que se encuentra en formación por la complejidad de las estructuras presentes en dicha región anatómica. Felicito que el artículo haga hincapié en la importancia de la anatomía ya que el conocimiento de la misma debe representar uno de los pilares en nuestra formación.
Pablo Rubino
Hospital del Cruce
COMENTARIO
Los autores proponen una nueva nomenclatura para los meningiomas de fosa posterior, teniendo en cuenta criterios anatómicos y la base de implantación tumoral, sugieren distintos tipos de abordajes quirúrgicos para cada uno de ellos, basándose en su experiencia personal y en la literatura más relevante publicada sobre el tema. Presentan un caso ilustrativo de cada subgrupo con Resonancia pre y postoperatoria.
Se trata de un artículo bien escrito y adecuadamente documentado que trata de agrupar simplificadamente los distintos subtipos de meningiomas de la fosa posterior con un enfoque anatomo-quirúrgico y una propuesta razonable de abordaje quirúrgico para cada uno de ellos. Cabe mencionar que son un grupo muy heterogéneo de lesiones con morbimortalidad muy diferente y algunas de ellas representan un verdadero desafío para el neurocirujano. Es fundamental contar con todas las herramientas posibles para elegir el mejor abordaje para cada caso particular.
Martín Guevara
Hospital J. A. Fernández
CEMIC