REPORTE DE CASO
Paraplejía compresiva de un año de evolución. ¿Es posible la recuperación mediante tratamiento quirúrgico?
Amparo Sáenz 1 Juan Pablo Mengide 1 Javier González Ramos 1 Romina Argañaraz 1
Beatriz Mantese 1
1 Servicio de Neurocirugía, Hospital de Pediatría “Prof. Dr. Juan P. Garrahan”
Hospital de Pediatría “Prof. Dr. Juan P. Garrahan”. Ciudad Autónoma de Buenos Aires,
Argentina.
Amparo Sáenz
amparo_saenz@hotmail.com
Financiación: Ninguna
Conflicto de intereses: Ninguno
Patrocinador: Ninguno
RESUMEN
Introducción: La recuperación de la función motora luego de una lesión medular depende de varios factores como el nivel de la lesión, la extensión del daño, el tiempo de evolución y la edad del paciente. Mayormente la literatura hace referencia a la población adulta y poco existe publicado en pediatría.
Objetivo:Reportar y enfatizar la utilidad de la cirugía en una paciente de 7 años con paraplejia por compresión tumoral de larga evolución con posterior recuperación neurológica.
Presentación del caso:Paciente femenina de 7 años con paraplejía de larga evolución secundaria a una lesión neoplásica extradural torácica que presentó recuperación neurológica completa en el postoperatorio.
Conclusión: Se reporta un caso clínico de una paciente con historia clínica de un año de paraplejia por compresión medular tumoral y recuperación completa luego de la remoción quirúrgica.
Palabras clave: Crónico; Lesión Medular; Pediatría; Tumor
Compressive paraplegia of one year of evolution. Is recovery possible through surgical treatment?
Introduction:The recovery of motor function after a spinal cord injury depends on several factors such as the level of the injury, the extent of the damage, the time of evolution and the age of the patient. Most of the literature refers to the adult population and there is little published in pediatrics.
Objective: To report and emphasize the utility of surgery in a 7-year-old patient with long-standing tumor compression paraplegia with subsequent neurological recovery.
Case presentation:7-year-old female patient with long-standing paraplegia secondary to a thoracic extradural neoplastic lesion who presented complete neurological recovery in the postoperative period.
Conclusion: A clinical case of a patient with a one-year medical history of paraplegia due to tumor spinal cord compression and complete recovery after surgical excision is reported.
Key word: Chronic; Medular Lesion; Pediatrics; Spinal Cord Lesion; Tumor
INTRODUCCIÓN
La recuperación de la función motora luego de una lesión medular depende de varios factores como el nivel de la lesión, la extensión del daño, el tiempo de evolución y la edad del paciente.1 Los factores pronósticos de la lesión medular en el contexto del trauma son conocidos, sin embargo, no sucede lo mismo en la compresión medular de causa tumoral.2 Mayormente la bibliografía hace referencia a la población adulta y hay muy pocos casos reportados con respecto a la población pediátrica.
En este artículo se presenta una paciente de siete años con una paraplejía de larga evolución secundaria a una lesión neoplásica torácica que presentó recuperación completa de la función motora en el postoperatorio. El objetivo de este trabajo es enfatizar que la cronicidad en la compresión medular neoplásica en la población pediátrica no debe ser siempre considerada un criterio para desaconsejar la cirugía.
CASO CLÍNICO
Paciente femenina de 7 años que un año previo a la consulta había comenzado con debilidad progresiva de miembros inferiores. Inicialmente deambulaba, luego de cuatro meses pierde la capacidad de bipedestación progresando finalmente a la paraplejía.
Al momento de la consulta hospitalaria el examen físico demostró además desviación del velo de paladar hacia la izquierda con voz bitonal, ronquidos, fuerza conservada en los miembros superiores, paraplejía espástica (con retracción tendinosa bilateral, hiperreflexia patelar, aquilea, signo de Babinsky positivo y clonus bilateral) y reflejos cutáneo-abdominales abolidos de forma bilateral. La sensibilidad profunda, superficial y discriminativa estaba conservada. Por último, la paciente presentaba debilidad de los músculos abdominales con cifosis dorsal, utilización de músculos intercostales para la inspiración profunda con función esfinteriana conservada.
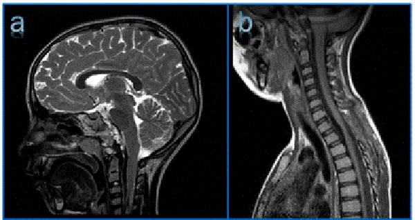
Se realiza una resonancia magnética de cerebro y columna donde se observan dos lesiones: una retroclival de gran tamaño, que comprime y desplaza el tronco encefálico, isointensa en T1, hiperintensa en T2 que realza homogéneamente con contraste; y una segunda lesión espinal, extradural, localizada entre T1-T3 que comprime y desplaza la médula hacia dorsal con las mismas características que la descripta previamente (Figura 1).
Figura 1: Resonancia magnética de cerebro y columna prequirúrgica donde se observan dos lesiones, una retroclival y otra dorsal anterior (T1-T3). a) Corte sagital en T1, lesiones isointensas con respecto al parénquima cerebral. b) Corte sagital en T2, lesiones hiperintensas. c) Corte sagital en T1 con contraste, realce homogéneo de ambas lesiones.
Se decide operar ambas lesiones. Primero se realiza la remoción parcial de la lesión retroclival a través de un abordaje endoscópico endonasal y cuatro días después la remoción total de la lesión espinal por laminectomía de T1-T2. La anatomía patológica de ambas lesiones fue cordoma (Figura 2).

Figura 2: Resonancia magnética de cerebro y columna postoperatoria donde se observa la exéresis parcial de la lesión retroclival y la exéresis completa de la lesión T1-T3 a) Corte sagital en T1. B) Corte sagital en T2.
En el postoperatorio inmediato no se observó cambios. A los cinco días de la cirugía presentó, en el miembro inferior derecho, fuerza motora grado III/V proximal y II/V distal; el miembro inferior izquierdo continuaba sin cambios con respecto al examen pre quirúrgico. A los ocho días se observó fuerza motora grado III/V en ambos miembros inferiores a predominio derecho y mejora en los signos de liberación piramidal con disminución del clonus bilateral. El décimo día postoperatorio logra la bipedestación con cierta espasticidad en miembros inferiores, pero con fuerza motora grado IV/V bilateral. Recuperó la fuerza de los músculos abdominales y reapareció el reflejo músculo cutáneo bilateral. Asimismo, mejoró la voz bitonal y los ronquidos. Alta hospitalaria a los 15 días de la cirugía para comenzar la recuperación kinesiológica. Actualmente se encuentra deambulando sin asistencia.
DISCUSIÓN
Las lesiones medulares se clasifican según la Asociación Americana de Lesión Espinal (American Spine Injury Association) en dos tipos, ASIA-A hace referencia a la lesión medular completa con pérdida de la función motora y sensitiva; ASIA-B corresponde a la lesión medular incompleta con pérdida de la función motora, pero conservación de la sensitiva.3 En las compresiones traumáticas se encuentra descripto que la preservación de la sensibilidad, sobre todo la habilidad discriminativa para diferenciar pincha/toca, es un signo de buen pronóstico.4-6 En el trabajo realizado por Poynton et al.,7 donde analiza 593 pacientes con lesiones medulares agudas, concluye que el 85% de los pacientes con lesiones ASIA-B recuperaron la fuerza de los miembros inferiores, mientras que solo el 1,3% de los pacientes con lesiones ASIA-A recuperaron la movilidad. Estos hallazgos sugieren que la preservación de la sensibilidad, a pesar de una pérdida completa de la función motora, es un factor de buen pronóstico. Si bien esta disociación se encuentra descripta en la compresión medular traumática aguda, no sucede lo mismo en cuanto a la descripción bibliográfica en los casos de compresión tumoral, en especial de larga evolución y muchos menos aún en la población pediátrica.
En el caso de compresión medular tumoral, la bibliografía sugiere que la capacidad para caminar después del tratamiento está directamente asociada con la capacidad de caminar en el momento del diagnóstico.1,8 Una vez que se pierde esta capacidad es improbable la recuperación de la movilidad. La cirugía descompresiva tendría utilidad si se realiza antes de las 48h del inicio de los síntomas. Si bien esto es cierto para algunos casos, no siempre es una verdad absoluta. En los niños y en los adolescentes, la recuperación neurológica tiende a ser mejor que en los adultos2 y existen casos reportados de pacientes con compresión tumoral de larga evolución con recuperación favorable. Friedman et al.9 presenta un caso de un paciente pediátrico con dos meses de paraparesia e incontinencia urinaria debido a un glioblastoma espinal de T2-T9, que presentó recuperación neurológica completa en el postoperatorio. Giacomini et al.10 presenta tres pacientes adultos con compresión tumoral de más de 48 horas de evolución y sensibilidad conservada, con recuperación completa de la función motora en el postoperatorio. Uno de los casos presentaba un año de evolución de los síntomas. Brohi et al.11 presenta un paciente adulto con paraplejía de 12 años de evolución por un quiste epidermoide que luego de la cirugía recuperó la fuerza en ambos miembros inferiores hasta lograr la bipedestación.
En este artículo se describe un caso de compresión medular neoplásica de un paciente pediátrico en el que se observa una mejoría significativa de la función motora, luego de un severo compromiso de ambos miembros inferiores de larga evolución. Lo que sugiere que, al igual que en otras patologías, no se puede trasladar las conductas de los adultos a la población pediátrica ya que la capacidad de recuperación es distinta. Por otro lado, este caso demuestra que la paraplejía de varios días de evolución no siempre es una condición irreversible en pediatría y no debe ser considerada una contraindicación para la cirugía.
CONCLUSIÓN
Se reporta un caso clínico de una paciente con historia clínica de un año de paraplejia por compresión medular tumoral y recuperación completa luego de la remoción quirúrgica.
Bibliografía
1. Kim RY, Spencer SA, Meredith RF, Weppelmann B, Lee JY, Smith JW, et al. Extradural spinal cord compression: analysis of factors determining functional prognosis--prospective study. Radiology. 1990 Jul;176(1):279–82.
2. Wang MY, Hoh DJ, Leary SP, Griffith P, McComb JG. High rates of neurological improvement following severe traumatic pediatric spinal cord injury. Spine. 2004 Jul 1;29(13):1493–7–discussionE266.
3. Marino RJ, Barros T, Biering-Sorensen F, Burns SP, Donovan WH, Graves DE, et al. International Standards for Neurological Classification Of Spinal Cord Injury. The Journal of Spinal Cord Medicine. 2016 Oct 4;26(sup1):S50–6.
4. Harrop JS, Naroji S, Maltenfort MG, Ratliff JK, Tjoumakaris SI, Frank B, et al. Neurologic Improvement After Thoracic, Thoracolumbar, and Lumbar Spinal Cord (Conus Medullaris) Injuries. Spine. 2011 Jan;36(1):21–5.
5. Katoh S, Masry El WS. Motor recovery of patients presenting with motor paralysis and sensory sparing following cervical spinal cord injuries. Spinal Cord. 1995 Sep 1;33(9):506–9.
6. Bedbrook GM, Prince HG. A study of the influence of posterior column sensory sparing on initial presentation of cervical injuries on the ultimate prognosis. Spinal Cord. 1987 Dec 1;25(6):441–5.
7. Poynton AR, O'Farrell DA, Shannon F, Murray P, McManus F, Walsh MG. Sparing of sensation to pin prick predicts recovery of a motor segment after injury to the spinal cord. J Bone Joint Surg Br. 1997 Nov;79(6):952–4.
8. Levack P, Graham J, Collie D, Grant R, Kidd J, Kunkler I, et al. Don't Wait for a Sensory Level–Listen to the Symptoms: a Prospective Audit of the Delays in Diagnosis of Malignant Cord Compression. Clinical Oncology. 2002 Dec;14(6):472–80.
9. Friedman GN, Grannan BL, Yanamadala V, Shankar GM, Dewitt JC, Puthenpura V, et al. Rapid Neurological Recovery Following Partial Surgical Resection of Spinal Glioblastoma Multiforme in a Pediatric Patient Presenting with Complete Paraplegia. J Pediatr Hematol Oncol. 2016 Nov;38(8):e286–90.
10. Giacomini L, Mathias RN, Joaquim AF, Fabbro MD, Ghizoni E, Tedeschi H. Is there a right time for surgery in paraplegic patients secondary to non-traumatic spinal cord compression? Einstein (Sao Paulo). 2012 Oct;10(4):508–11.
11. Brohi SR, Qureshi SM, Rajput SS, Bhatti NK. Thoracic intramedullary epidermoid with paraplegia for 12 years. J Coll Physicians Surg Pak. 2010 Feb;20(2):135–6.
COMENTARIO
En este trabajo, los autores describen el caso de una paciente de 7 años con paraplejía de larga evolución. Había iniciado un año antes de la consulta, con debilidad progresiva de miembros inferiores y síntomas de compromiso cerebral. Mediante estudios por imágenes (IRM cerebro y columna) arribaron al diagnóstico de Tumor Torácico (T1-T3) y otro de localización retroclival. Ambas lesiones fueron abordadas quirúrgicamente, con exéresis completa de la espinal y parcial de la localizada en base de cráneo.
Aún cuando la literatura sugiere que las lesiones que comprometen la médula (traumáticas, tumorales, etc.) deben abordarse de urgencia, porque caso contrario no se obtendrán mejoras signo-sintomatológicas desde el punto de vista neurológico, los autores decidieron asumir el riesgo y optaron por la resección total de la lesión extramedular. En el postoperatorio mediato (8 días) comenzaron a evidenciar “el premio” a su “osada” decisión, con mejoría en la fuerza muscular y disminución de los signos de liberación, con posterior retorno a la deambulación.
Ellos logran demostrar que la paraplejía por compresión medular tumoral no siempre es una situación en la que se debe desahuciar al paciente, descartando una conducta quirúrgica.
La mayoría de los artículos sobre el tema, se relacionan con pacientes adultos; en tanto, la literatura referida a la población pediátrica es escasa o nula. Siendo en este último grupo etario, mayoritariamente redactados por patología espinal aguda.
Como neurocirujanos modernos, debemos pensar que muchas de nuestras decisiones están basadas en “antiguas creencias arraigadas” y con los avances de la ciencia, está en nosotros poder desmitificarlas.
Claudia Moreno
Clínica Roca / Hospital Francisco López Lima. Gral. Roca, Rio Negro, Argentina.
BIBLIOGRAFÍA
COMENTARIO
Se reporta el caso de un paciente que ingresa con una paraplejia espástica de casi un año de evolución progresiva. Al examen físico, revela otros síntomas que acompañan a la paraplejia como la voz bitonal, los ronquidos y la desviación del velo del paladar. Es de resaltar que la sensibilidad superficial y profunda están conservadas en miembros inferiores.
De este excelente examen físico que se describe, quizás deriva el pedido de IRM de Cerebro y Columna, que es positiva en región retroclival y columna dorsal (T1-T4).
Más allá del excelente resultado de la cirugía de las dos lesiones como se observan en las imágenes que se adjuntan, lo que hace realmente interesante al artículo es la evolución postquirúrgica del paciente, el cual contrariamente a lo que se lee habitualmente, comenzó a recuperar el tono y fuerza en MMII. dejando de esta manera casi sin argumentos a aquello que dice que la paraplejia por compresión medular debe ser abordada de urgencia para no perder la oportunidad quirúrgica. En este caso puntual que es tumoral, no traumática, por lo tanto, no es de instalación aguda y presenta la sensibilidad conservada. Como lo cita el trabajo de Poynton et. al. (citado por los autores de este artículo) es de buen pronóstico y como vemos: es aconsejable realizar la descompresión y exéresis independientemente del tiempo de evolución. Más aún en la población pediátrica cuya capacidad de recuperación es distinta a la de los pacientes adultos.
Pablo Giraudo
Jefe de Neurocirugía CePsi Eva Perón. Santiago del Estero, Argentina.