Lesionectomía guiada por estereotaxia con criterio oncológico en paciente con crisis epilépticas (videoartículo)
Federico E. Minghinelli,1,3 Mauro Biancardi,1,3 José Ignacio Gómez-Escalante,2 Oscar Martínez,1 Rodolfo Recalde,1,3 Federico Sánchez González1
1. División Neurocirugía, Hospital de Clínicas “José de San Martín”, Facultad de Medicina, Universidad de Buenos Aires, Ciudad de Buenos Aires, Argentina
2. Instituto de Oncología “Ángel H. Roffo”, Facultad de Medicina, Universidad de Buenos Aires, Ciudad de Buenos Aires, Argentina
3. Laboratorio de Neuroanatomía Microquirúrgica, Hospital de Clínicas “José de San Martín”, Facultad de Medicina, Universidad de Buenos Aires, Ciudad de Buenos Aires, Argentina


Recibido: 02/02/25 Aceptado: 14/05/25
Federico E. Minghinelli
minghinelli.f@gmail.com
DOI: 10.59156/revista.v39i02.759


ORCID
Federico E. Minghinelli: 0000-0002-7448-5456
Mauro Biancardi: 0009-0003-5400-6176
José Ignacio Gómez-Escalante: 0000-0002-0153-6355
Oscar Martínez: 0000-0001-5604-975X
Rodolfo Recalde: 0000-0002-4049-2711
Federico Sánchez González: 0000-0001-8165-3334


EMAILS
Mauro Biancardi: biancardimauro97@gmail.com  
José Ignacio Gómez-Escalante: jgomezescalante@yahoo.com.ar
Oscar Martínez: droscaradolfomartinez@gmail.com
Rodolfo Recalde: rodorecalde@gmail.com
Federico Sánchez González: federicosanchezg@gmail.com


Los autores no declaran conflicto de interés
Los autores no declaran financiamiento.


Este es un artículo de acceso abierto bajo la licencia CC BY-NC https://creativecommons.org/licenses/by-nc/4.0/


RESUMEN
Introducción: en pacientes con crisis epilépticas y sospecha de una lesión glial, ya sea de bajo o alto grado, el enfoque quirúrgico se define principalmente por criterios oncológicos. En el caso de los gliomas de bajo grado, la resección completa se asocia con una mejora significativa en la sobrevida global. Sin embargo, algunas de estas lesiones pueden ser pequeñas y localizarse en regiones profundas del encéfalo, lo que representa un desafío técnico. En estos casos, el empleo de herramientas como la neuronavegación o la estereotaxia permiten una localización precisa y segura de la lesión, optimizando así la planificación quirúrgica y reduciendo el riesgo de secuelas neurológicas.
Objetivos: describir un caso de lesionectomía guiada por estereotaxia con criterio oncológico en una paciente con crisis epilépticas.
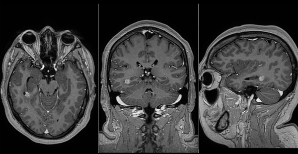
Descripción del caso: paciente femenina de 28 años, sin antecedentes médicos de relevancia, que consulta por crisis de ausencia, cefalea holocraneana, náuseas y vómitos con tres años de evolución. La resonancia magnética con espectroscopia reveló una lesión en el lóbulo temporal derecho, caracterizada por un aumento del pico de colina y una disminución del N-acetilaspartato, hallazgos compatibles preliminarmente como lesión tumoral primaria. El electroencefalograma mostró lentificación de la actividad de fondo en la región centrotemporal derecha. Ante este conjunto de hallazgos clínicos, radiológicos y electrofisiológicos, se decidió realizar una cirugía con criterio oncológico, priorizando este abordaje por sobre el enfoque exclusivamente epileptégeno.
Intervención: se realizó una lesionectomía guiada por estereotaxia mediante un abordaje temporal derecho, empleando una incisión en herradura con base caudal. Se efectuó una craneotomía centrada sobre el trayecto de la aguja de estereotaxia, seguida de una apertura dural en “C” con base inferior y una corticotomía mínima siguiendo dicho trayecto hasta localizar la lesión. Se logró su exéresis completa. La paciente presentó una evolución postoperatoria favorable, y se le otorgó el alta hospitalaria al sexto día. El estudio anatomopatológico confirmó el diagnóstico de ganglioglioma grado I según la clasificación de la OMS.
Conclusiones: cuando un paciente con crisis epilépticas presenta una sospecha de lesión glial, el criterio quirúrgico es el oncológico, cuyo objetivo es una resección máxima y segura. El uso de la estereotaxia es efectivo para localizar lesiones pequeñas y profundas. En caso de que el paciente persista con crisis epilépticas, se plantea un enfoque orientado a la cirugía de epilepsia.

Palabras clave: Crisis epilépticas. Ganglioglioma. Gliomas. Guía estereotáxica

Stereotaxy-guided lesionectomy with oncological criteria in a patient with epileptic seizures

ABSTRACT
Background: in patients with epileptic seizures and suspected glial lesions, whether low- or high-grade, the surgical approach is primarily defined by oncological criteria. In the case of low-grade gliomas, complete resection is associated with a significant improvement in overall survival. However, some of these lesions may be small and located in deep regions of the brain, which represents a technical challenge. In these cases, the use of tools such as neuronavigation or stereotaxy allows for precise and safe localization of the lesion, thus optimizing surgical planning and reducing the risk of neurological sequelae.
Objectives: to describe a case of stereotaxy-guided lesionectomy with oncological criteria in a patient with epileptic seizures.
Case description: a 28-year-old female patient with no significant medical history presented with absence seizures, holocranial headache, nausea, and vomiting of three years' duration. Magnetic resonance imaging with spectroscopy revealed a lesion in the right temporal lobe characterized by an increased choline peak and a decreased N-acetyl aspartate level, findings preliminarily consistent with a primary tumor. The electroencephalogram showed slow background activity in the right centrotemporal region. Given this combination of clinical, radiological, and electrophysiological findings, it was decided to perform oncological surgery, prioritizing this approach over a purely epileptogenic approach.
Surgery: a stereotactic-guided lesionectomy was performed via a right temporal approach, using a caudal-based horseshoe incision. A craniotomy was performed centered over the path of the stereotactic needle, followed by an inferior-based "C" dural opening and a minimal corticotomy following this path until the lesion was located. Complete resection was achieved. The patient had a favorable postoperative course and was discharged from the hospital on the sixth day. The pathological study confirmed the diagnosis of ganglioglioma, grade I according to the WHO classification.
Conclusions: when a patient with epileptic seizures presents with a suspected glial lesion, the surgical approach is oncological, aiming for maximal and safe resection. The use of stereotaxy is effective in locating small and deep lesions. If the patient persists with epileptic seizures, an approach focused on epilepsy surgery is proposed.

Keywords: Epileptic seizures. Ganglioglioma. Gliomas. Stereotactic guidance


Contribuciones de autoría
Conceptualización: Federico E. Minghinelli, Rodolfo Recalde. Curación de datos: Mauro Biancardi, José Ignacio Gómez-Escalante, Oscar Martínez. Análisis formal y Supervisión: Federico Sánchez González. Adquisición de fondos, Software y Validación: Federico E. Minghinelli. Investigación: Federico E. Minghinelli, Rodolfo Recalde, Federico Sánchez González. Metodología y Administración del proyecto: Federico E. Minghinelli, Mauro Biancardi. Recursos: Federico E. Minghinelli, Mauro Biancardi, Rodolfo Recalde, Federico Sánchez González. Visualización: Federico E. Minghinelli, Mauro Biancardi, José Ignacio Gómez-Escalante, Oscar Martínez. Redacción - borrador original y Redacción - revisión y edición: Federico E. Minghinelli, José Ignacio Gómez-Escalante, Federico Sánchez González.


BIBLIOGRAFÍA

  1. Chang EF, Potts MB, Keles GE, Lamborn KR, Chang SM, Barbaro NM, Berger MS.. Seizure characteristics and control following resection in 332 patients with low-grade gliomas. J Neurosurg, 2008; 108(2): 227-35. Doi: 10.3171/JNS/2008/108/2/0227
  2. Englot DJ, Berger MS, Barbaro NM, Chang EF. Predictors of seizure freedom after resection of supratentorial low-grade gliomas. A review. J Neurosurg, 2011; 115(2): 240-4. https://doi.org/10.3171/2011.3.JNS1153
  3. Englot DJ, Berger MS, Chang EF, Garcia PA. Characteristics and treatment of seizures in patients with high-grade glioma: a review. Neurosurg Clin N Am, 2012; 23(2): 227-35. viii. https://doi.org/10.1016/j.nec.2012.01.009
  4. Gildenberg PL, Woo SY. Multimodality program involving stereotactic surgery in brain tumor management. Stereotact Funct Neurosurg, 2000; 75(2-3): 147-52. Doi:10.1159/000048397.
  5. Rheims S, Ducray F, Ryvlin P. Choosing the tumoral epilepsy surgery candidate. Epilepsia, 2013; 54 Suppl 9: 91-6. Doi:10.1111/epi.12451.
  6. Uribe-Cardenas R, Giantini-Larsen AM, Garton A, Juthani RG, Schwartz TH. Innovations in the diagnosis and surgical management of low-grade gliomas. World Neurosurg, 2022; 166: 321-7. Doi:10.1016/j.wneu.2022.06.070

COMENTARIO
Los autores presentan el caso de una paciente con una lesión temporal derecha evidenciada en resonancia magnética y posteriormente confirmada como lesión glial mediante estudio anatomopatológico, cuya manifestación clínica inicial fueron crisis epilépticas.
El abordaje terapéutico consistió en la resección microquirúrgica de la lesión tumoral, guiada por estereotaxia para acceder de manera precisa a un tumor pequeño y profundo. Coincido en que, cuando las crisis epilépticas tienen origen en una patología tumoral, debe priorizarse el tratamiento de la lesión sobre el control aislado de las crisis. En este caso, el foco epileptógeno (documentado en EEG) coincidía con la localización de la lesión, lo que simplificó la estrategia quirúrgica. La resección máxima y segura constituye no solo el principal factor pronóstico de sobrevida, sino también el determinante más relevante para lograr el control de las crisis.
El video presentado es claro, con excelente calidad de imagen, y expone de manera ordenada la relación de la lesión con estructuras superficiales y profundas, seguido de los detalles técnicos de la resección. Se observa, sin embargo, una discrepancia: durante el video se menciona un posible remanente tumoral, mientras que la resonancia posquirúrgica sugiere resección completa. En estos casos, resulta aconsejable realizar neuroimágenes de seguimiento a menor intervalo para confirmar la resección total y descartar la necesidad de terapias complementarias, considerando que se trataba de una lesión grado I según la OMS.
En síntesis, este caso ilustra la utilidad de la estereotaxia como herramienta para guiar resecciones en lesiones pequeñas y profundas, ofreciendo una alternativa eficaz a la neuronavegación y, combinada con un conocimiento anatómico preciso, permitiendo resultados quirúrgicos óptimos.

Mariana Condomí Alcorta
Fundación para la Lucha contra las Enfermedades Neurológicas de la Infancia (FLENI), Ciudad de Buenos Aires, Argentina