Mapeo cognitivo cerebral como alternativa para la resección segura de metástasis abscedada secundaria a neoplasia neuroendocrina
Florencia Luana Canzio, Alexia Bolko, Martín Pinto, Leandro Carballo, Mickaela Echavarria Demichelis
Servicio de Neurocirugía, Hospital Interzonal General de Agudos “Petrona V. de Cordero”, San Fernando, Buenos Aires, Argentina
Recibido: 30/04/2025 Aceptado: 08/07/2025
Autor para correspondencia: Florencia Luana Canzio
Correo electrónico: draflorenciacanzio@gmail.com
Los autores no declaran conflicto de interés
Los autores no declaran financiamiento.
Este es un artículo de acceso abierto bajo la licencia CC BY-NC https://creativecommons.org/licenses/by-nc/4.0/
RESUMEN
Introducción: las metástasis cerebrales abscedadas son una manifestación extremadamente infrecuente de las patologías oncológicas, particularmente en pacientes con tumores neuroendocrinos. Su presentación clínica y radiológica puede simular abscesos piógenos o gliomas de alto grado, lo que condiciona el diagnóstico diferencial y opciones terapéuticas. La elección de la técnica quirúrgica con paciente despierto y mapeo cognitivo multimodal intraoperatorio, tradicionalmente reservada para gliomas de bajo grado, permitió, en el caso bajo análisis, la resección oncológicamente segura sin generar déficits neurológicos permanentes.
Objetivos: describir un caso abordado mediante técnica quirúrgica alternativa con mapeo cognitivo multimodal, en el que se logró resección completa sin déficit neurológico nuevo.
Descripción del caso: paciente femenina de 66 años quien consultó principalmente por episodios de desorientación. La resonancia magnética evidenció una lesión temporomesial con áreas centrales de aspecto quístico con edema perilesional y realce heterogéneo. Se sospechó lesión de origen glial de alto grado.
Intervención: se realizó craneotomía con paciente despierta, utilizando técnicas de mapeo cortical intraoperatorio mediante estimulación directa y tareas cognitivas. Se identificaron áreas funcionales críticas y se logró una resección completa. La histopatología confirmó metástasis con cambios inflamatorios y necrosis sugestivos de abscedación. Como hallazgo positivo de una videoendoscopia digestiva alta, se detectaron células sugestivas de cáncer neuroendocrino.
Conclusión: la cirugía con paciente despierto y mapeo cognitivo permite un abordaje seguro de lesiones metastásicas en regiones elocuentes, incluso en casos complejos con deterioro cognitivo previo. Este enfoque representa una herramienta valiosa para optimizar el balance entre control oncológico y preservación funcional.
Palabras clave: Mapeo cognitivo. Metástasis abscedada. Neoplasia neuroendocrina. Resección segura
Cerebral cognitive mapping as an alternative for the safe resection of abscessed metastasis secondary to neuroendocrine neoplasm
ABSTRACT
Background: abscessed brain metastases are an extremely rare manifestation of oncological pathologies, particularly in patients with neuroendocrine tumors. Their clinical and radiological presentation can mimic pyogenic abscesses or high-grade gliomas, which affects the differential diagnosis and therapeutic options. The choice of an awake surgical technique with intraoperative multimodal cognitive mapping, traditionally reserved for low-grade gliomas, allowed for oncologically safe resection without generating permanent neurological deficits.
Objectives: to describe a case approached using an alternative surgical technique with multimodal cognitive mapping, achieving complete resection without new neurological deficits.
Case description: a 66-year-old female patient presented primarily with episodes of disorientation. Magnetic resonance imaging revealed a mesial temporal lesion with central cystic-like areas with perilesional edema and heterogeneous enhancement. A high-grade glial lesion was suspected.
Surgery: an awake craniotomy was performed using intraoperative cortical mapping techniques using direct stimulation and cognitive tasks. Critical functional areas were identified, and a complete resection was achieved. Histopathology confirmed metastasis with inflammatory changes and necrosis suggestive of abscessation. A positive finding on upper gastrointestinal video endoscopy revealed cells suggestive of neuroendocrine cancer.
Conclusion: awake surgery with cognitive mapping allows for a safe approach to metastatic lesions in eloquent regions, even in complex cases with prior cognitive impairment. This approach represents a valuable tool for optimizing the balance between oncological control and functional preservation.
Keywords: Abscessed metastasis. Cognitive mapping. Neuroendocrine neoplasia. Safe resection
INTRODUCCIÓN
Las metástasis cerebrales constituyen la forma más frecuente de neoplasia intracraneal en adultos, con una incidencia estimada entre el 10 y el 30% en pacientes con cáncer sistémico.(1,2)
Aunque, en términos generales, son frecuentes, la presentación de metástasis cerebrales con características abscedadas es extremadamente rara y escasamente documentada en la literatura. Estas lesiones suelen simular radiológicamente gliomas de alto grado o abscesos cerebrales debido a la presencia de necrosis central, realce en anillo y edema perilesional.(3,4) En algunos casos excepcionales, se ha documentado la exteriorización de contenido purulento durante la resección quirúrgica, hecho que puede generar confusión diagnóstica intraoperatoria.
Aún más inusual es la aparición de metástasis cerebrales secundarias a neoplasias neuroendocrinas (NNE). Estas neoplasias, que derivan de células del sistema neuroendocrino difuso, presentan una incidencia creciente a nivel mundial (6.98 casos por 100000 habitantes/año), pero solo una minoría (menos del 5%) metastatiza al cerebro.(5-7) En general, cuando se produce la diseminación al sistema nervioso central, suele tratarse de tumores neuroendocrinos de alto grado y mal diferenciados, asociados a una evolución clínica agresiva y mal pronóstico.(8)
Históricamente, la cirugía con paciente despierto ha sido reservada para el tratamiento de gliomas de bajo grado en áreas elocuentes, pero, con el correr de los años, su aplicación se ha extendido a lesiones de alto grado, metástasis cerebrales y otros procesos no gliales localizados en regiones funcionales críticas. Diversos estudios han demostrado que hasta el 25-30% de las craneotomías despiertas realizadas en centros de referencia, actualmente se aplican a lesiones distintas de los gliomas de bajo grado, incluidas metástasis, cavernomas, displasias corticales, y tumores de alto grado.(9,10) Esta estrategia ha demostrado reducir significativamente la incidencia de déficits neurológicos permanentes postoperatorios, aun en tumores con comportamiento biológico más agresivo.(11) La creciente evidencia avala su uso como herramienta segura y efectiva para maximizar la resección tumoral sin comprometer la función en casos complejos como el presentado.
OBJETIVO
Describir un hallazgo patológico inusual resuelto por una vía alternativa utilizando mapeo cognitivo multimodal como guía segura para la resección total y preservación funcional.
DESCRIPCIÓN DEL CASO
Paciente femenina de 66 años, con antecedentes de hipertensión arterial, diverticulosis y displasia congénita de cadera, quien consultó al servicio de Neurocirugía por cuadro clínico de 5 meses de evolución caracterizado por cefalea moderada, bradilalia y episodios de desorientación.
Al examen neurológico se obtuvo como único hallazgo positivo afasia mixta. Índice de Karnofsky 90% y Minimental test 15/30.
La resonancia magnética (RM) de encéfalo con gadolinio evidenció una lesión expansiva heterogénea, con áreas centrales de aspecto quístico y degeneración necrótica, localizada en la topografía temporomesial izquierda de aproximadamente 28 × 27 mm en plano axial y 29 × 26 mm en plano coronal, con realce heterogéneo tras la administración de contraste endovenoso. En secuencia de susceptibilidad magnética presentaba signos de restos de hemosiderina y/o microcalcificaciones. En el asta occipital y el atrio ipsilateral del ventrículo lateral, se evidenciaron formaciones quísticas con refuerzo periférico. La lesión descripta presentaba edema perilesional que comprometía el lóbulo temporal izquierdo y la región parietoccipital ipsilateral. Además, se observó dilatación del tercer ventrículo y ventrículo lateral homolateral. Las cisternas perimesencefálicas se encontraban libres, y las estructuras de la línea media, centradas. Las imágenes obtenidas eran sugestivas de una lesión de origen glial de alto grado (Figura 1). Se complementó con tractografía en la que se observó una disminución de la fracción de anisotropía a nivel del septum sagital con disrupción de las fibras de los tractos arcuato, frontooccipital inferior y longitudinal inferior izquierdo (Figura 2).
Figura 1. RM preoperatoria con contraste endovenoso. A y B) RM de encéfalo, cortes axial y sagital, respectivamente, en secuencia T1 contrastada, que evidencia lesión expansiva con realce heterogéneo localizada en topografía temporomesial izquierda. C) Corte axial en secuencia T2, se muestra heterogeneidad de la lesión con áreas centrales de aspecto quístico y degeneración necrótica. D) Corte axial en secuencia FLAIR que evidencia edema perilesional que compromete lóbulo temporal izquierdo y región parietooccipital ipsilateral.

Figura 2. Tractografía con reconstrucción 3D de los fascículos asociados. Disminución de la fracción de anisotropía a nivel del septum sagital con disrupción de las fibras de los tractos A) Arcuato izquierdo. B) Frontooccipital inferior izquierdo. C) Longitudinal inferior izquierdo.
Se optó por un abordaje transtemporal con mapeo cerebral cognitivo multimodal en paciente despierto bajo neuromonitoreo fisiológico. Considerando la característica anatomofuncional de la lesión, se seleccionaron las siguientes pruebas cognitivas: Escala de Inteligencia de Wechsler, Ed. IV (WAIS IV); Trail Making Test A y B (TMT A y B); Stroop; Fluencia fonológica (FAS) y semántica; Prueba de aprendizaje auditivo verbal de Rey (RAVLT); Memoria lógica de Signoret; Figura compleja de Rey; Osterrieth (FCR); Vocabulario (Boston); Escala hospitalaria de ansiedad depresión (HADS). Estas fueron realizadas con una semana de anticipación a la fecha quirúrgica.
Los resultados de las pruebas evidenciaron alteración en diferentes aspectos del lenguaje. En la conversación se comprobó anomia con presencia de circunloquios con leve compromiso de la comprensión del lenguaje, alteración en la denominación, la lectura y la escritura con conservación de la repetición y las secuencias automáticas. Dadas las limitaciones mencionadas, se adaptaron las pruebas a la capacidad cognitiva de la paciente. Teniendo en cuenta la estrecha relación del tumor con el fascículo longitudinal inferior, frontooccipital inferior y arcuato se optó por realizar multitarea combinando pruebas de nominación de Boston, secuencia de conteo, repetición de palabras y test de asociación semántica (Test de pirámides y palmeras –PPTT–). En la Tabla 1 se registra la relación de cada fascículo con evidencia imagenológica de disrupción de sus fibras, la alteración funcional asociada y las tareas utilizadas para su evaluación.
TABLA 1. FASCÍCULOS, ALTERACIONES Y TESTEO
| Fascículo | Alteración | Test |
|---|---|---|
| Arcuato | Parafasia fonológica, afasia de conducción | Nominación, conteo y repetición |
| Frontooccipital inferior | Parafasia semántica, perseveración, anomia | Nominación, lectura, repetición y PPTT |
| Longitudinal inferior | Anomia (anterior) y alexia (posterior) | Nominación, lectura, repetición y PPTT |
INTERVENCIÓN
Neuroanestesia
Se utilizó la técnica “Full Awake” (sedado-despierto-sedado) con dexmedetomidina 0.4 µg/kg/hora y remifentanilo 0.05-0.1 µg/kg/minuto. El monitoreo durante la cirugía incluyó medición del índice biespectral (BIS r) para medir la profundidad de la sedación.(12)
Posicionamiento e infiltración
La paciente fue colocada en decúbito supino. Se infiltraron los sitios de colocación de los pines con lidocaína 0.5% con epinefrina y bupivacaína 0.25-0.125% y bajo técnica estéril se colocó cabezal de Mayfield con pin único a nivel frontal y los dos pines en región parietooccipital. Posteriormente se infiltró circunferencialmente el colgajo con la misma dilución anestésica. La cabeza se elevó 30° con respecto al nivel del tórax y se lateralizó hacia la derecha. El hemicuerpo contralateral permaneció libre de accesos periféricos.(12)
Craneotomía y durotomía
La incisión se centró en el punto temporal posterior (Figura 3), realizándose una herradura frontotemporooccipital izquierda y una cuidadosa hemostasia del colgajo. Craneotomía frontotemporal izquierda. La duramadre fue infiltrada con lidocaína al 1%. Posterior a ello se efectuó una durotomía arciforme con pedículo hacia basal exponiendo el giro temporal superior y medio. Con la paciente despierta se hizo ecografía intraoperatoria para delimitación de los márgenes tumorales, los cuales se identificaron con “tags” (Figura 4).

Figura 3.Punto temporal posterior, posicionamiento. A) Posicionamiento de la cabeza del paciente en cabezal de Mayfield Marcación de incisión centrada en punto temporal posterior (estrella amarilla). B) Se toma como referencia anatómica el conducto auditivo externo (CAE) para medición de punto temporal posterior. C) El punto temporal posterior corresponde topográficamente con el atrio del ventrículo lateral.
Figura 4. Ecografía intraoperatoria y mapeo cortical. A) Utilización de guía ecográfica intraoperatoria para identificar tumor y delimitar sus márgenes (A: Anterior; L: Lateral; M: Medial, P: Posterior). B) Marcación de los límites del tumor con tags de letras (A: Anterior; B: Medial; C: Posterior; D: Inferior) y de las áreas de mapeo positivo con presentación de anomia con dos tags de boca en región posterior de T2. Se expusieron también los giros temporales superior (T1), medio (T2) e inferior (T3) y se optó por corticotomía trans-T2.
Estimulación eléctrica intraoperatoria y resección tumoral
Con la paciente despierta, se realizó estimulación cortical utilizando multitarea con flexión y extensión de miembro superior derecho combinando prueba de secuencias automáticas, test de nominación (Boston) y asociación semántica (PPTT). Para ello, se utilizó estimulación bipolar con pulso de onda cuadrada bifásica, de 1 ms de duración y frecuencia de 60 Hz. Se identificó el umbral de estimulación en 3.0 mA tras inducirse anomia en la región posterior de la circunvolución temporal media (T2).(13) Se identificaron áreas de mapeo positivo con los respectivos tags, delimitándose el acceso seguro a través de la porción media del giro temporal medio (ver Figura 4 B).
Se efectuó corticotomía trans-T2 y disección microquirúrgica hasta exponer una lesión intraaxial de aspecto hipervascularizada y duroelástica. Durante la disección circunferencial con preservación del plano pial la paciente realizó multitareas y se estimuló continuamente la zona subcortical para definir los límites funcionales: a nivel anterior parafasia fonológica (fascículo arcuato) y a nivel posterior alexia (fascículo longitudinal inferior). Durante la resección se observó la exteriorización espontánea de material purulento contenido en el tumor (Figura 5 A). Se logró una resección completa corroborándose el atrio ventricular como límite medial (Figura 5 B, C y D). Se procuró una hemostasia minuciosa del lecho quirúrgico y una vez finalizada se hizo un control ecográfico sin evidencia de remanente tumoral. La paciente toleró adecuadamente el procedimiento quirúrgico e ingresó despierta a la unidad de cuidados intensivos.
Figura 5. Visión microscópica. A) Visión microscópica de exteriorización espontánea de material purulento contenido en el tumor. B) Visión microscópica de la lesión siendo retirada del lecho quirúrgico. C) Lecho quirúrgico tapizado con material hemostático. D) Resección completa del tumor.
Seguimiento postoperatorio
La paciente permaneció en la Unidad de Terapia Intensiva sin déficit neurológico postquirúrgico. Durante su estadía se realizó evaluación neurocognitiva, en la que se evidenció conservación de la escala de puntuación con respecto a la evaluación prequirúrgica. A las 24 horas postquirúrgicas se hizo una tomografía simple de encéfalo en la cual no se observó remanente tumoral ni complicaciones agudas, con persistencia de edema vasogénico temporooccipital. A las 72 horas postquirúrgicas se otorgó el alta hospitalaria.
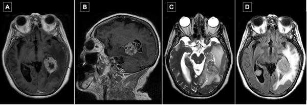
Transcurrido un mes de la cirugía, se realizó resonancia magnética de encéfalo con gadolinio en la que se observó en la región temporomesial izquierda un área de señal líquida con signos de gliosis periférica y sutiles restos de hemosiderina, sin evidencia de lesión tumoral residual. Persistía el edema vasogénico con efecto de masa sobre el sistema ventricular ipsilateral (Figura 6).
Figura 6. Comparación de resonancias magnéticas pre y postquirúrgicas. A y B) RM prequirúrgica de encéfalo, cortes axial y sagital, respectivamente, en secuencia T1 contrastada, se evidencia lesión expansiva con realce heterogéneo localizada en topografía temporomesial izquierda. C y D) RM de encéfalo con gadolinio realizada aproximadamente un mes luego de la intervención quirúrgica. Cortes axial y sagital, respectivamente, en secuencia T1 contrastada en la que se evidencia en región temporomesial izquierda un área de señal líquida con signos de gliosis periférica, sin evidencia de lesión tumoral residual.
Resultados histopatológicos
Los cortes histológicos mostraron una proliferación neoplásica metastásica constituida por un adenocarcinoma bien diferenciado, con células de núcleo vesiculoso y amplio citoplasma eosinofílico, con tendencia a la formación de luces glandulares. Se observaron también extensas áreas de necrosis. Se realizó inmunomarcación para CK, GATA3, CDX2 y TTF1; se evidenció el siguiente patrón de marcación tumoral: CK +++, GATA3 (-), CDX2 (-) y TTF1 (-). Los hallazgos histopatológicos fueron compatibles con metástasis de adenocarcinoma bien diferenciado. Con estos resultados, se indicaron estudios complementarios en búsqueda de lesión primaria. Como hallazgo positivo de una videoendoscopia digestiva alta, se detectaron células atípicas en cardias, sugestivas de cáncer neuroendocrino.
DISCUSIÓN
El presente caso representa una manifestación infrecuente y clínicamente desafiante: una metástasis cerebral secundaria a una neoplasia neuroendocrina, con características por imágenes y quirúrgicas similares a un glioma de alto grado con componente abscedado. Este tipo de presentación, escasamente reportado en la literatura, refuerza la necesidad de considerar diagnósticos diferenciales amplios en lesiones con realce heterogéneo, necrosis central y edema significativo en regiones elocuentes del cerebro.
Históricamente, las metástasis cerebrales han sido tratadas mediante técnicas convencionales de resección o radioterapia, reservando la cirugía con paciente despierto para gliomas de bajo grado. Sin embargo, estudios recientes han ampliado esta indicación a lesiones no gliales en áreas funcionales, demostrando que el abordaje con mapeo cerebral en vigilia permite una resección más precisa y segura.(9,10) Este enfoque ha mostrado reducir el riesgo de déficits neurológicos permanentes, incluso en lesiones con comportamiento agresivo, sin comprometer el control oncológico.(11)
En el presente caso, la localización temporomesial izquierda y la afectación de fascículos críticos como el arcuato, el longitudinal inferior y el frontooccipital inferior motivaron una estrategia quirúrgica guiada por estimulación eléctrica cortical y subcortical intraoperatoria. El uso de multitareas lingüísticas adaptadas a la paciente permitió identificar márgenes funcionales y realizar una resección completa sin déficit postoperatorio, demostrando que el mapeo cognitivo puede ser una herramienta eficaz incluso en pacientes con compromiso lingüístico previo.
Otro hallazgo relevante fue la exteriorización espontánea de contenido purulento durante la resección, lo que podría haber llevado a una interpretación inicial de absceso cerebral primario. No obstante, el estudio histopatológico reveló una metástasis de adenocarcinoma bien diferenciado con características compatibles con origen neuroendocrino. Si bien las NNE tienen una baja tasa de metástasis cerebral (menos del 5%), su aparición debe ser considerada en el diagnóstico diferencial, especialmente en contextos de tumores con patrón glandular y necrosis extensa.(14,15)
Este caso resalta también la importancia del trabajo multidisciplinario, integrando neurocirugía, neuropsicología, anestesia funcional, radiología avanzada y anatomía patológica para lograr un diagnóstico certero y una resección funcionalmente segura. Además, refuerza el valor de la neuropsicología pre y postoperatoria como herramienta de cuantificación objetiva del impacto funcional de la cirugía.
CONCLUSIÓN
La resección de metástasis cerebrales que simulan lesiones gliales de alto grado representa un desafío diagnóstico y terapéutico significativo, especialmente cuando adoptan características abscedadas y comprometen áreas funcionales del cerebro. Este caso resalta la importancia del mapeo cognitivo cerebral intraoperatorio en pacientes despiertos como una herramienta esencial para garantizar equilibrio oncológico y funcional. La integración de técnicas avanzadas de neuroimagen, evaluación neurocognitiva preoperatoria y monitoreo funcional en tiempo real permite individualizar la estrategia quirúrgica incluso en contextos complejos como el de metástasis cerebrales derivadas de neoplasias neuroendocrinas, cuya presentación intracraneal es infrecuente y de difícil diagnóstico.
Contribuciones de autoría
Conceptualización e Investigación: Florencia Canzio. Curación de datos y Redacción - borrador original: Florencia Canzio, Alexia Bolko. Análisis formal y Metodología: Mickaela Echavarría Demichelis, Alexia Bolko. Administración del proyecto: Mickaela Echavarría Demichelis. Supervisión: Leandro Carballo. Validación y Visualización: Martín Pinto. Redacción - revisión y edición: Martin Pinto, Mickaela Echavarría Demichelis, Leandro Carballo. Adquisición de fondos, Recursos y Software: no se requirieron para el presente trabajo.
BIBLIOGRAFÍA
COMENTARIO
Las metástasis cerebrales de origen neuroendocrino constituyen una entidad excepcional y clínicamente desafiante, en especial cuando presentan características que simulan gliomas de alto grado o procesos infecciosos. En tales escenarios, la amplitud del diagnóstico diferencial y la integración de distintas disciplinas resultan esenciales para un abordaje seguro. La cirugía en paciente despierto con mapeo cognitivo multimodal, inicialmente reservada a gliomas de bajo grado, ha mostrado en los últimos años un campo de aplicación más amplio. Reportes recientes describen su uso en lesiones no gliales ubicadas en áreas elocuentes, con resultados alentadores en términos de preservación funcional y control local.(1,2)
El caso presentado se suma a esa experiencia y refuerza la importancia de la planificación individualizada, en la que una buena praxia microquirúrgica y las imágenes confluyen para optimizar el balance entre resección oncológica y preservación funcional en contextos complejos.
P. Tomás Funes
Sanatorio Anchorena Recoleta y Sanatorio Otamendi y Miroli.
Ciudad de Buenos Aires, Argentina
BIBLIOGRAFÍA
COMENTARIO
El trabajo de los autores Canzio y col. describe una estrategia quirúrgica controversial dentro del contexto de una lesión mesial temporal. En la práctica, para una lesión de esta localización, el giro temporal superior (T1) y la corteza motora primaria generalmente se encuentran a una distancia segura del plano de disección quirúrgica, dado que el acceso se realiza típicamente a través del giro temporal medio (T2) o inferior (T3), o mediante abordajes transulcales.(1) En el presente trabajo, el abordaje fue trans-T2, lo que abre un debate sobre el foco del mapeo. Si T1 y la corteza motora primaria se preservan anatómicamente como estándar en este abordaje, no queda claro cuál es el beneficio crítico de realizar un mapeo cortical para funciones motoras y del lenguaje, en comparación con un monitoreo subcortical enfocado exclusivamente en los fascículos de la sustancia blanca comprometidos (arcuato, longitudinal inferior), que son la verdadera amenaza funcional en esta topografía.(2)
Si bien el mapeo cortical es un pilar de la técnica, la principal amenaza funcional en esta topografía es subcortical, debido a la disección adyacente a los fascículos de la sustancia blanca (arcuato, frontooccipital inferior y longitudinal inferior). El valor crítico de la técnica, como demuestran los propios autores al identificar parafasia fonológica y alexia durante la estimulación subcortical, reside en la delimitación de estos tractos profundos. Por lo tanto, cabría preguntarse si el beneficio principal en estos casos no radica en un monitoreo subcortical continuo y exhaustivo más que en un mapeo cortical extenso.
Por otro lado, en lo que respecta a la evaluación del lenguaje, sería de gran interés conocer el resultado detallado de las pruebas seleccionadas para la valoración pre y postoperatoria.(3) Los autores mencionan que en el postoperatorio inmediato se evidenció una “conservación de la escala de puntuación con respecto a la evaluación prequirúrgica”, pero la presentación de los resultados específicos de cada test permitiría una comprensión más precisa del impacto funcional de la cirugía, especialmente en una paciente con afasia mixta preexistente.
Finalmente, contar con evaluaciones neurocognitivas a mediano o largo plazo enriquecería la comprensión del resultado funcional. No obstante, es comprensible que, dado el mal pronóstico frecuentemente asociado a este tipo de lesiones metastásicas, el seguimiento a largo plazo de funciones tan específicas no siempre sea factible.(4) Este factor suma a la controversia del uso de esta técnica.
Rafael Torino
Agustina Roldan
BIBLIOGRAFÍA