Mieloma múltiple simulando meningioma del surco olfatorio: presentación de caso y revisión de la literatura
Dilia Mosquera, Leandro Carballo, Matías Baldoncini, Mickaela Echavarría
Servicio de Neurocirugía, Hospital Petrona V. de Cordero, San Fernando, Buenos Aires, Argentina


Recibido: 06/02/25 Aceptado: 11/05/25
Dilia Mosquera
dradiliamosquera@gmail.com
DOI: 10.59156/revista.v39i02.734


ORCID
Dilia Mosquera: 0000-0002-2738-9103
Leandro Carballo: 0000-0002-1691-0725
Matías Baldoncini: 0000-0001-9323-8306
Mickaela Echavarría: 0000-0001-5922-4736


EMAILS
Leandro Carballo: carballoleandro@hotmail.com
Matías Baldoncini: drbaldoncinimatias@gmail.com
Mickaela Echavarría: mickaelaechavarria@hotmail.com


Los autores no declaran conflicto de interés
Los autores no declaran financiamiento.


Este es un artículo de acceso abierto bajo la licencia CC BY-NC https://creativecommons.org/licenses/by-nc/4.0/


RESUMEN
Introducción: el compromiso del sistema nervioso central por mieloma múltiple es sumamente raro y se diagnostica en menos del 1% de los casos. El diagnóstico diferencial debe realizarse con linfomas, metástasis, sarcomas, osteocondromas, hemangiopericitomas, meningitis infecciosa o meningiomas.
Objetivo: reportar un caso inusual de una lesión ocupante de espacio cerebral gigante que simulaba un meningioma del surco olfatorio.
Descripción del caso: paciente de sexo femenino, de 46 años, con antecedentes de mieloma múltiple en aparente remisión posterior a trasplante autólogo de medula ósea, consulta por masa palpable en región frontal asociada a cefalea holocraneana de intensidad 7/10 y disminución de la agudeza visual de dos meses de evolución con estudios de imagen compatibles con meningioma del surco olfatorio.
Intervención: craneotomía y resección total de lesión por abordaje bicoronal. Los cortes histológicos mostraron una proliferación neoplásica constituida por células de núcleo esférico y citoplasma eosinófilo lateralizado. CD 138 +++ a nivel de membrana. Lesión compatible con compromiso del sistema nervioso central por mieloma múltiple.
Conclusión: el hallazgo inusual de esta patología ofrece retos en el diagnóstico imagenológico preoperatorio por las grandes similitudes con otras neoplasias, principalmente los meningiomas, por lo que es importante considerarlo como diagnóstico diferencial.

Palabras clave: Abordaje bicoronal. Meningioma del surco olfatorio. Mieloma múltiple. Resección total

Multiple myeloma simulating olfactory sulcus meningioma: case report and review of the literature

ABSTRACT
Introduction: central nervous system involvement by multiple myeloma is extremely rare and is diagnosed in less than 1% of cases. Differential diagnosis should be made with lymphomas, metastases, sarcomas, osteochondromas, hemangiopericytomas, infectious meningitis or meningiomas.
Objective: to report an unusual case of a giant brain space occupying lesion simulating a meningioma of the olfactory sulcus.
Case description: 46-year-old female patient with a history of multiple myeloma in apparent remission after autologous bone marrow transplantation, who consulted for a palpable mass in the frontal region associated with holocranial headache of intensity 7/10 and decreased visual acuity of two months of evolution with imaging studies compatible with olfactory sulcus meningioma.
Intervention: craniotomy and total resection of the lesion by bicoronal approach. Histological sections showed a neoplastic proliferation consisting of cells with a spherical nucleus and lateralized eosinophilic cytoplasm. CD 138 +++ at membrane level. Lesion compatible with involvement of the central nervous system by multiple myeloma.
Conclusion: the unusual finding of this pathology offers challenges in the preoperative imaging diagnosis due to the great similarities with other neoplasms, mainly meningiomas, so it is important to consider it as a differential diagnosis.

Keywords: Bicoronal approach. Olfactory sulcus meningioma. Multiple mieloma. Total resection


INTRODUCCIÓN
El mieloma múltiple (MM) es una neoplasia hematológica caracterizada por la proliferación clonal de células plasmáticas cuya evolución clínica se distingue por patrones variables de recaídas y remisiones.1,2 La afectación del sistema nervioso central (SNC) en pacientes con MM es sumamente infrecuente, y se diagnostica en menos del 1%, asociada, generalmente, con un pronóstico desfavorable.3,4 El diagnóstico de esta complicación se establece mediante la detección de células plasmáticas malignas en el líquido cefalorraquídeo o mediante hallazgos histopatológicos compatibles con lesiones de realce leptomeníngeo observadas en estudios de neuroimagen.1,5,6
En pacientes con MM, la afectación del SNC puede manifestarse a través de un espectro amplio de síntomas neurológicos inespecíficos, lo que requiere un alto índice de sospecha clínica para evitar retrasos en el diagnóstico y prevenir su atribución errónea a otras etiologías.5,7,8 El diagnóstico diferencial debe contemplar otras entidades como linfomas, metástasis, sarcomas, osteocondromas, hemangiopericitomas, meningitis infecciosa y meningiomas.9

Objetivos
El objetivo del presente trabajo es reportar un caso inusual de una paciente con antecedentes de mieloma múltiple en aparente remisión, quien presentó una lesión ocupante de espacio (LOE) cerebral de gran tamaño que simulaba un meningioma del surco olfatorio.

DESCRIPCIÓN DEL CASO
Paciente de sexo femenino, de 46 años, con antecedentes de mieloma múltiple IgA diagnosticado en marzo del 2018, quien había recibido tratamiento médico de inducción con 6 ciclos de protocolo CYBORD (ciclofosfamida, bortezomib y dexametasona) seguido de lenalidomida por 3 meses, logrando remisión completa y posterior consolidación con altas dosis de quimioterapia y trasplante autólogo de células progenitoras hematopoyéticas en septiembre de 2019. Continuó terapia de mantenimiento con lenalidomida hasta septiembre de 2024. Interconsultó con nuestro servicio derivada de hematólogo tratante por masa palpable en región frontal asociada con cefalea holocraneana de intensidad 7/10 y disminución de la agudeza visual de dos meses de evolución (Figura 1).

Figura 1. A, B, C) TC contrastada y angioTC preoperatoria. A) Lesión extraaxial, circunscripta, en topografía del surco olfatorio, con realce homogéneo a la administración de contraste y edema vasogénico perilesional. B) Desplazamiento de arterias pericallosas y rodilla del cuerpo calloso hacia posterior (flecha amarilla). C) En corte coronal se evidencia base de implantación frontobasal y desplazamiento de polos frontales hacia lateral. D, E, F) TC con reconstrucción 3D. D) Componente exofítico transcraneano bifrontal. E) Compromiso extra e intracraneal de lesión (cruces blancas). F) Lesión voluminosa e hipervascularizada, se evidencian arterias pericallosas desplazadas hacia posterior (flecha amarilla).

Al examen físico de ingreso la paciente está abúlica, vigil, pupilas isocóricas intermedias reactivas, amaurosis derecha y visión de bultos izquierda, orientada en persona, comprendía y obedecía parcialmente órdenes simples, movilizaba cuatro extremidades sin déficit neurológico aparente. Presentaba marcha inestable. Con gran masa palpable indolora de consistencia sólida a nivel de región frontal medial, MMSE 9/30 Karnofsky 80 puntos.
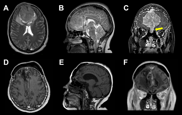
En el estudio de resonancia magnética (RM) de encéfalo se observó lesión extraaxial expansiva bifrontal con compromiso del seno frontal y tercio anterior de seno sagital superior de aspecto sólido e hipervascularizada, de aproximadamente 5.2 x 5.8 x 7.7 cm. Lesión isointensa en secuencia T1 e hipo-hiper intensa en secuencia T2, que realzaba de manera homogénea a la administración de contraste paramagnético con engrosamiento leptomeníngeo asociado. En secuencia FLAIR, se evidenció edema perilesional con colapso de las astas ventriculares frontales. En AngioRM se advirtió un gran aporte vascular de ambas arterias cerebrales anteriores, y en ventana ósea, múltiples lesiones osteolíticas en calota craneana (Figura 2). 

Figura 2. A, B, C) RM preoperatoria. A) Corte axial en secuencia T2, lesión isointensa con marcado edema perilesional. B) Corte sagital en secuencia T2, arterias pericallosas desplazadas. C) Corte coronal en secuencia T1, lesión extraaxial con realce homogéneo a la administración de contraste. Invasión de los senos etmoidales (flecha amarilla). D, E, F) RM postoperatoria, en corte axial sagital y coronal se evidencia lodge de resección de LOE bifrontal sin remanente lesional y huella de craneoplastia.

INTERVENCIÓN
La paciente fue posicionada en decúbito dorsal con cabeza neutra fija en cabezal de Mayfield. Se efectuó incisión bicoronal y disección subperióstica, se rebatió colgajo hacia frontal protegiendo flap de periostio. Se evidenció componente exofítico tumoral a través de la calota craneana y seno frontal, de aspecto fibroso e hipervascularizado. Se realizó craniectomía bifrontal, desvascularización y resección de la porción exofítica. Coagulación extradural. Posteriormente se hizo durotomía bifrontal con ligadura de seno sagital superior en su porción anterior. Se evidenció duramadre patológica de aspecto engrosado, la cual se resecó y envió a anatomía patológica.
A nivel intradural e interhemisférico se comprobó lesión extraaxial de gran volumen con desplazamiento de ambos lóbulos frontales hacia lateral y posterior. Se efectuó desvascularización de la superficie tumoral con coagulación bipolar y debulking central con aspirador ultrasónico y disección microquirúrgica subpial de manera circunferencial hasta el límite anteroinferior representado por las arterias pericallosas, las que se disecaron y protegieron. Se realizó resección completa con coagulación de aparente base de implantación, hemostasia de lodge quirúrgica, duroplastia con periostio, cranealización de senos frontales y craneoplastia bifrontal con cemento óseo (Figuras 3 y 4).

Figura 3. Lesiones osteolíticas con componente exofítico transcraneano. A) TC con reconstrucción 3D de ventana ósea donde se evidencia calota erosionada por lesiones en sacabocado, características del mieloma múltiple. B) Correlación intraquirúrgica de lesión osteolítica y exofitica (estrella amarilla). Presencia de múltiples lesiones en sacabocado a nivel de la calota craneana (flechas blancas).

Figura 4. Hallazgos intraquirúrgicos. A) Lesión exofítica transcraneana bifrontal. B) Superficie tumoral tras coagulación bipolar. Se observa ligadura de seno sagital superior en su porción anterior (flecha amarilla). C) Lodge quirúrgica libre de lesión.

La paciente toleró procedimiento adecuadamente y permaneció en Unidad de Terapia Intensiva durante 48 horas.
En el postoperatorio inmediato se realizó TC de encéfalo de control donde se evidenció huella de craniectomía bifrontal con material de craneoplastia. Subyacente a esta, en línea media frontal, se observó imagen heterogénea correspondiente a lodge quirúrgica con discreto edema vasogénico y neumoencéfalo asociado. Fue trasladada al servicio derivante de hematología donde inició protocolo de tratamiento con daratumumab, carfilzomib y dexametasona.
A los 2 meses de la intervención quirúrgica, se realizó RM de encéfalo, donde se observó huella de craniectomía bifrontal con presencia de material de craneoplastia, subyacente a la misma colección extraaxial de aproximadamente 9 mm de espesor. Presentó área secuelar corticosubcortical en el parénquima frontal adyacente a la línea media con restos hemáticos en degradación que se extendía en profundidad hasta el margen ventricular con compromiso de la sustancia gris y blanca. Sin evidencia de remanente lesional.
Los cortes histológicos mostraron una proliferación neoplásica constituida por células de núcleo esférico y citoplasma eosinófilo lateralizado. La disposición es compacta, difusa y monótona con extensas hemorragias. Se realizó inmunomarcación para CD 138 con patrón de marcación tumoral: CD 138 +++ a nivel de membrana. Lesión histopatológica compatible con compromiso del sistema nervioso central por mieloma múltiple.

DISCUSIÓN
De acuerdo con la información analizada, los hallazgos imagenológicos y anatomopatológicos del caso presentado coinciden con lo reportado en la literatura acerca del compromiso del SNC en MM. Esta entidad, poco frecuente, se presenta en una media de edad entre los 53 y 55 años de acuerdo con diferentes series de casos; en contraposición con la edad promedio de inicio del MM que es entre los 65-70 años. Esto sugiere que los pacientes más jóvenes, como la del presente caso, son más propensos a desarrollar lesiones en SNC.4,10
Además, algunos autores sugieren que el compromiso extramedular se incrementa luego del uso de los nuevos agentes terapéuticos en el tratamiento del MM y con el trasplante autólogo de medula ósea. Las hipótesis son varias: que una mejora en la supervivencia le permitiría más tiempo a la enfermedad para desarrollarse; que los cambios en el microambiente de la medula ósea facilitarían la migración de células plasmáticas por fuera de esta; o que la pobre penetrancia de los agentes modernos a través de la barrera hematoencefálica permitirían el crecimiento descontrolado de células en el sistema nervioso central.2,10,11 Sin embargo, faltan estudios que soporten estas hipótesis.
Se han descripto dos patrones de extensión, la diseminación hematógena de células plasmáticas y la diseminación continua directa desde lesiones líticas erosionadas del cráneo.1,12 En cuanto al diagnóstico diferencial, destacan las similitudes imagenológicas con los meningiomas, tumores que surgen de las células aracnoideas de la duramadre y constituyen una de las neoplasias intracraneales más comunes. En RM suelen verse como una masa extraaxial redondeada de bordes suaves y circunscrita con base ancha en la superficie dural, presentan hipointensidad en secuencia T1 e hiperintensidad en secuencia T2 con realce homogéneo a la administración de contraste y el signo de “cola dural” que no es patognomónico de esta entidad y puede advertirse en otras lesiones como hemangiopericitoma, metástasis o linfomas; esto hace casi indistinguible la diferenciación preoperatoria en casos como este (ver Figuras 1 y 2). 
Con respecto al tratamiento, la resección quirúrgica es la opción terapéutica de elección, sin embargo, no existe un protocolo estandarizado de tratamiento adyuvante. Los esquemas terapéuticos incluyen quimioterapia sistémica, intratecal, radioterapia y combinaciones de estas.5,13 A pesar de la introducción de nuevos agentes, el pronóstico sigue siendo sombrío y la mediana de supervivencia es de alrededor de 4 a 6 meses.7,11,14,15 Es importante destacar que un factor predictor de mal pronóstico es un nivel elevado de B2 microglobulina, hallazgo que coincide con nuestro caso.1

CONCLUSIÓN
El compromiso del mieloma múltiple en el SNC es un hallazgo inusual que ofrece retos en el diagnóstico imagenológico preoperatorio por las grandes similitudes con otras neoplasias, principalmente los meningiomas. Por esto, es importante tener un alto índice de sospecha. Del mismo modo, el tratamiento representa un desafío ya que, a pesar del desarrollo de nuevas estrategias terapéuticas, el pronóstico de estos pacientes continúa siendo ominoso.

Contribuciones de autoría
Conceptualización, Investigación y Redacción - borrador original: Dilia Mosquera. Curación de datos, Análisis formal y Administración del proyecto: Mickaela Echavarría. Metodología: Dilia Mosquera, Mickaela Echavarría. Supervisión: Leandro Carballo. Validación y Visualización: Matías Baldoncini. Redacción - revisión y edición: Mickaela Echavarría, Leandro Carballo. Adquisición de fondos, Recursos y Software: no fueron requeridos para el presente trabajo.


BIBLIOGRAFÍA

  1. Abdallah A-ola, Atrash S, Shahid Z, Jameel M, Grazziutti M, Apewokin S, et al. Patterns of central nervous system involvement in relapsed and refractory multiple myeloma. Clin Lymphoma Myeloma Leuk, 2014; 14(3): 211-4.
  2. Rajkumar SV, Dimopoulos MA, Palumbo A, Blade J, Merlini G, Mateos MV, et al. International Myeloma Working Group updated criteria for the diagnosis of multiple myeloma. Lancet Oncol, 2014; 15(12): e538-48.
  3. Bergantim R, Bastos J, Soares MJ, Carvalho B, Soares P, Marques C, et al. Aggressive central nervous system relapse after autologous stem cell transplant in multiple myeloma: case reports and literature review. Case Rep Hematol, 2020; 2020: 8563098.
  4. Jurczyszyn A, Grzasko N, Gozzetti A, Czepiel J, Cerase A, Hungria V, et al. Central nervous system involvement by multiple myeloma: A multi‐institutional retrospective study of 172 patients in daily clinical practice. Am J Hematol, 2016; 91(6): 575-80.
  5. Sammartano V, Cerase A, Venanzi V, Mazzei MA, Vangone BE, Gentili F, et al. Central nervous system myeloma and unusual extramedullary localizations: real life practical guidance. Front Oncol, 2022; 12: 934240.
  6. Chen CI, Masih‐Khan E, Jiang H, Rabea A, Cserti‐Gazdewich C, Jimenez‐Zepeda VH, et al. Central nervous system involvement with multiple myeloma: long term survival can be achieved with radiation, intrathecal chemotherapy, and immunomodulatory agents. Br J Haematol, 2013; 162(4): 483-8.
  7. Cerase A, Tarantino A, Gozzetti A, Muccio CF, Gennari P, Monti L, et al. Intracranial involvement in plasmacytomas and multiple myeloma: a pictorial essay. Neuroradiology, 2008; 50(8): 665-74.
  8. Dias ALMS, Higashi F, Peres ALM, Cury P, Crusoé EDQ, Hungria VTDM. Multiple myeloma and central nervous system involvement: experience of a Brazilian center. Hematol Transfus Cell Ther, 2018; 40(1): 30-6.
  9. Sahin F, Saydam G, Ertan Y, Calli C, Dönmez A, Tombuloglu M. Dural plasmacytoma mimicking meningioma in a patient with multiple myeloma. J Clin Neurosci, 2006; 13(2): 259-61.
  10. Paludo J, Painuly U, Kumar S, Gonsalves WI, Rajkumar V, Buadi F, et al. Myelomatous involvement of the central nervous system. Clin Lymphoma Myeloma Leuk, 2016; 16(11): 644-54.
  11. Bladé J, Beksac M, Caers J, Jurczyszyn A, Von Lilienfeld-Toal M, Moreau P, et al. Extramedullary disease in multiple myeloma: a systematic literature review. Blood Cancer J, 2022; 12(3): 45.
  12. Bhutani M, Foureau DM, Atrash S, Voorhees PM, Usmani SZ. Extramedullary multiple myeloma. Leukemia, 2020; 34(1): 1-20.
  13. Na’ara S, Amit M, Gil Z, Billan S. Plasmacytoma of the skull base: a meta-analysis. J Neurol Surg B Skull Base, 2015; 77(01): 61-5.
  14. Gozzetti A, Candi V, Papini G, Bocchia M. Therapeutic advancements in multiple myeloma. Front Oncol, 2014; 4(4): 241.
  15. Katodritou E, Terpos E, Kastritis E, Delimpasis S, Symeonidis AS, Repousis P, et al. Lack of survival improvement with novel anti-myeloma agents for patients with multiple myeloma and central nervous system involvement: the Greek Myeloma Study Group experience. Ann Hematol, 2015; 94(12): 2033-42.

COMENTARIO
Si bien el meningioma del surco olfatorio es una entidad frecuente, su similitud imagenológica con plasmocitomas durales, u otras manifestaciones del mieloma múltiple puede llevar a subestimar esta última posibilidad, dado que la afectación del sistema nervioso central ocurre en menos del 1% de los casos. La presencia de lesiones osteolíticas en la calota craneana, sumada a una historia clínica compatible, debe alertar al neurocirujano e incluirse en el diagnóstico diferencial.
Desde el punto de vista formativo del joven lector, este trabajo resalta la importancia del análisis crítico de los antecedentes del paciente, las neuroimágenes, el valor diagnóstico de la inmunohistoquímica (CD138) y el rol central de la cirugía como herramienta diagnóstica y terapéutica. Asimismo, subraya la necesidad de una articulación temprana con hematología para la planificación de un abordaje integral.
La literatura reciente indica que la afectación del sistema nervioso central en mieloma múltiple, aunque rara, puede incrementarse con el uso de terapias modernas y trasplantes autólogos, lo que exige mayor vigilancia clínica e interdisciplinaria por parte del equipo tratante.1
Reportar estas presentaciones atípicas contribuyen al conocimiento de la especialidad, por lo que su publicación y lectura es de absoluta recomendación.

P. Tomás Funes
Director Asociado
Sanatorio Anchorena, Ciudad de Buenos Aires, Argentina


Bibliografía

  1. Jurczyszyn A, et al. Central nervous system involvement by multiple myeloma: A multi‐institutional retrospective study. Am J Hematol, 2016; 91(6): 575-80.