Hidatidosis cerebral múltiple
Christian Genolet, Maximiliano Giménez, Giuliano Piatti, Gabriel Rivamar, Marcos Schiro, Juan Pablo Couto
Servicio de Neurocirugía, Nuevo Hospital San Roque, Córdoba, Argentina
Recibido: 05/02/25 Aceptado: 15/05/25
Christian Genolet
drgenolet@gmail.com
DOI: 10.59156/revista.v39i02.707
ORCID
Christian Genolet: 0009-0003-2691-5380
Maximiliano Giménez: 0009-0007-5275-7960
Giuliano Piatti: 0009-0009-2363-6339
Gabriel Rivamar: 0009-0002-1795-3126
Marcos Schiro: 0009-0009-0749-4238
Juan Pablo Couto: 0009-0007-4108-0552
EMAILS
Maximiliano Giménez: gimenezmaximiliano.mg@gmail.com
Giuliano Piatti: giuliano310@gmail.com
Gabriel Rivamar: grivamar@gmail.com
Marcos Schiro: marcosschiro17@gmail.com
Juan Pablo Couto: jpsantos.neuro@gmail.com
Los autores no declaran conflicto de interés
Los autores no declaran financiamiento.
Este es un artículo de acceso abierto bajo la licencia CC BY-NC https://creativecommons.org/licenses/by-nc/4.0/
RESUMEN
Introducción: la hidatidosis es una zoonosis causada por el parásito Echinococcus granulosus, con una prevalencia elevada en diversas regiones del mundo. Los principales órganos afectados son el hígado y los pulmones, mientras que es infrecuente la localización cerebral, en solo el 2% de los casos.
Objetivos: describir un caso con hidatidosis cerebral múltiple y analizar la literatura publicada.
Descripción del caso: presentamos el caso de un paciente masculino de 16 años, procedente de una zona rural, con cefalea, hemiparesia y dificultad para la marcha de 3 meses de evolución. Los estudios de imágenes revelaron múltiples quistes cerebrales bilaterales, además de quistes cardíacos, renales, pancreáticos y musculares. El diagnóstico de hidatidosis se basó en estudios por imágenes, pruebas serológicas y anatomía patológica.
Intervención: se extirparon quirúrgicamente seis quistes cerebrales mediante la técnica de Dowling. El paciente se recuperó sin complicaciones y el tratamiento con albendazol continuó postoperatoriamente.
Conclusión: la hidatidosis cerebral múltiple, sin compromiso hepático ni pulmonar, es una presentación extremadamente rara. El diagnóstico temprano y el enfoque multidisciplinario, que incluye tratamiento médico y quirúrgico, son fundamentales para el manejo exitoso de esta patología.
Palabras clave: Albendazol. Echinococcus granulosus. Hidatidosis cerebral. Técnica de Dowling
Multiple cerebral hydatidosis
ABSTRACT
Background: hydatidosis is a zoonosis caused by the parasite Echinococcus granulosus, with a high prevalence in various regions of the world. The main organs affected are the liver and lungs, with cerebral localization being rare, representing only 2% of cases.
Objectives: to describe a case of multiple cerebral hydatidosis and analyze the published literature.
Case description: we present the case of a 16-year-old male patient from a rural area with headache, hemiparesis, and difficulty walking for 3 months. Imaging studies revealed multiple bilateral cerebral cysts, as well as cardiac, renal, pancreatic, and muscle cysts. The diagnosis of hydatidosis was based on imaging studies, serological tests, and pathological anatomy.
Surgery: six cerebral cysts were surgically removed using the Dowling technique. The patient recovered without complications, and albendazole treatment continued postoperatively.
Conclusion: multiple cerebral hydatidosis without liver or lung involvement is an extremely rare presentation. Early diagnosis and a multidisciplinary approach, including medical and surgical treatment, are essential for the successful management of this condition.
Keywords: Albendazole. Cerebral hydatidosis. Dowling technique. Echinococcus granulosus
INTRODUCCIÓN
La hidatidosis es una zoonosis causada por la infección por Echinococcus granulosus que es ampliamente prevalente en los países del Mediterráneo, América del Sur, Oriente Medio, Asia Central, África Oriental y en Australia.1
El cerebro suele estar implicado de forma secundaria a la infección en otros órganos, comúnmente el hígado y el pulmón. Las lesiones múltiples pueden manifestarse tras la rotura de un quiste en el cerebro o por diseminación sistémica desde otra fuente primaria de infección. La incidencia notificada de equinococosis encefálica primaria es del 2%.1,2
La hidatidosis cerebral es una enfermedad benigna. El crecimiento de los quistes hidatídicos es lento y, por lo general, no suelen detectarse hasta que estos son lo suficientemente grandes como para producir síntomas. La clínica dependerá de la región del cerebro afectada y pueden cursar con cefalea, foco neurológico, náuseas, vómitos o síndrome de hipertensión endocraneana, entre otros.
La rareza del caso descripto a continuación radica en la inusual presentación de la enfermedad con múltiples quistes cerebrales bilaterales, cardíacos, renales y en partes blandas, sin la característica afectación hepática o pulmonar, lo que representa un desafío neuroquirúrgico.
Objetivos
Describir un caso con hidatidosis cerebral múltiple y analizar la literatura publicada.
DESCRIPCIÓN DEL CASO
Paciente de sexo masculino de 16 años que consultó por debilidad en hemicuerpo derecho, cefalea y dificultad para deambular con 3 meses de evolución. Al examen físico, presentó marcha en segador, bradipsiquia, lenguaje hipofluente, hemiparesia braquiocrural derecha 3/5, hiperreflexia, clonus y Babinski bilateral positivos; signo de Romberg positivo y resto del examen neurológico conservado.
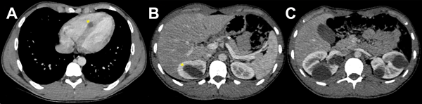
Se realizó tomografía computada de cuerpo completo que puso en evidencia múltiples lesiones quísticas cerebrales bilaterales, algunas de ellas en fosa posterior. Además, se hallaron lesiones cardíacas, dos de estas en el tabique interventricular, la mayor de 10 mm de diámetro. Otras dos se observaron en el ventrículo derecho y una más en el izquierdo. También se evidenció un quiste de 10 mm en el cuerpo del páncreas y múltiples lesiones renales bilaterales con diámetros de hasta 5 cm, de paredes gruesas y leve realce a la administración de contraste endovenoso. A nivel muscular se observaron imágenes similares en región cervical, lumbar, en ambos flancos y en el muslo izquierdo (Figura 1).

Figura 1. A) Corte axial de TC mediastinal con quiste en septum ventricular (asterisco amarillo). B) Misma secuencia a nivel abdominal donde se observan quiste pancreático (asterisco blanco) y renal (asterisco amarillo). C) Quistes renales bilaterales.
Ante la sospecha clínica de hidatidosis, se realizaron test rápido (hemoaglutinación indirecta) y test ELISA, ambos positivos,3,4 por lo que el paciente fue remitido a nuestro servicio tras iniciar tratamiento con albendazol 400 mg cada 12 horas.
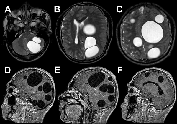
Para mejor valoración de las lesiones cerebrales, se solicitó resonancia magnética cerebral con contraste que informó: a nivel supratentorial, en secuencia T2 y FLAIR, múltiples imágenes quísticas de gran tamaño, la mayor de ellas a nivel frontoparietal izquierdo de aproximadamente 100 ml con discreta desviación de línea media, gran efecto de masa y colapso ventricular. Posterior a esta última se observaron otras dos lesiones de voluminoso tamaño; a nivel infratentorial se evidenciaron dos lesiones de similares características con importante efecto de masa (Figura 2).

Figura 2. A-C) RM T2 axial preoperatoria, se evidencian múltiples quistes hiperintensos en hemisferio cerebeloso izquierdo y ambos hemisferios cerebrales. D-F) RM T1 con contraste sagital preoperatorias, se observan las mismas lesiones que en secuencia anterior sin realce de contraste.
INTERVENCIÓN
El paciente fue intervenido mediante una incisión tipo Penfield izquierda seguida de una craneotomía frontoparietotemporal de 10 cm de diámetro aproximadamente, en cuyo centro estaba implantado, a nivel exocraneal, un quiste de 2 cm. Por medio de la técnica de Dowling, o técnica del parto hidráulico del quiste, se irrigó solución salina hipertónica en la periferia para permitir la disección de planos y ayudar a su evacuación, al mismo tiempo que cumple una función escolicida ante la probable rotura del quiste (Figura 3).5,6 Mediante la intervención se logró la adecuada exéresis de seis quistes, quedó un remanente de siete quistes que por limitaciones del abordaje no pudieron ser resecados en un solo tiempo, por lo que se difirió la cirugía a un segundo tiempo.

Figura 3. A) Posicionamiento quirúrgico del paciente con incisión tipo Penfield izquierda. B) Vista intraoperatoria de quiste hidatídico. C) Abordaje transurcal y lodge quirúrgica.
La anatomía patológica confirmó la presencia de un escólex con su clásica configuración en doble corona radiada en algunos quistes (Figura 4).7

Figura 4. Observación directa del parásito por microscopía óptica.
El paciente cursó el postoperatorio de manera satisfactoria sin complicaciones, por lo que se otorgó el alta hospitalaria con tratamiento antiparasitario hasta completar el esquema, logrando, mediante rehabilitación, la recuperación parcial del foco motor sin empeoramiento de los demás síntomas neurológicos.
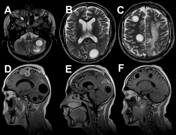
En el control postoperatorio a los 6 meses, todavía en tratamiento antiparasitario, el paciente no presentó deterioro clínico y la resonancia magnética de control mostró la disminución del tamaño de una de las lesiones preexistentes en fosa posterior sin modificaciones en las restantes (Figura 5). Ante estos hallazgos, se propuso la reintervención de las lesiones remanentes, pero el paciente rechazó el procedimiento.

Figura 5. A) RM T2 axial postoperatoria (6 meses). Se evidencia disminución del tamaño quístico en hemisferio cerebeloso. B-C) RM T2 axial. Se muestran cambios postoperatorios y quistes remanentes de igual tamaño. D-F) RM T1 con contraste sagital postoperatorias (6 meses). Se visualiza realce con contraste en lodge quirúrgica y remanentes quísticos de similares características.
DISCUSIÓN
La hidatidosis es causada por el estadio larval de parásitos de la especie Echinococcus que ingresan al ser humano (hospedador intermedio) a través de la ingesta de huevos provenientes del tracto intestinal del perro (hospedador definitivo), en donde se encuentra el parásito en estadio adulto (transmisión fecal-oral).8,9
Dada la infrecuencia de la patología en general y la dificultad de este caso en particular, realizamos una investigación bibliográfica sobre casos similares, y encontramos que el tratamiento definitivo es conjunto: médico-quirúrgico,10 con multiplicidad de técnicas.11 La elegida en este caso fue la técnica de Dowling descripta en 1928 por el neurocirujano argentino Ernesto P. Dowling.12,13 Esta consiste en un corte lineal en la corteza cerebral radial a la lesión que, seguido de irrigación de solución salina hipertónica, logra la expulsión del quiste intacto por diferencias de presión. Este método ha demostrado seguridad en la remoción del quiste, evitando complicaciones tales como su rotura, derramamiento de su contenido, shock anafiláctico y riesgo de muerte.
El tratamiento conjunto con albendazol tiene la finalidad de reducir el riesgo de anafilaxia, esterilización del quiste y reducción de la tasa de recurrencia.10,14,15
Luego de decidir la técnica quirúrgica, el desafío consistió en la elección de las lesiones a tratar: se optó por evacuar en un primer tiempo las lesiones supratentoriales del hemisferio izquierdo, responsables en mayor medida de los síntomas del paciente y, en un segundo tiempo, las lesiones de fosa posterior. Se obtuvieron buenos resultados tras la primera intervención, sin embargo, el paciente rechazó el segundo tiempo quirúrgico.
CONCLUSIÓN
El cerebro constituye raramente un órgano blanco del Echinococcus granulosus. La forma de presentación más habitual es el quiste cerebral único acompañado de afectación hepática y/o pulmonar. La presencia de quistes cerebrales múltiples y bilaterales en ausencia de compromiso hepático o pulmonar es extremadamente infrecuente. El diagnóstico debe apoyarse en pruebas serológicas e imagenológicas. A partir del análisis de la literatura, consideramos que el abordaje debe ser multidisciplinario y el tratamiento, médico-quirúrgico.
Contribuciones de autoría
Conceptualización, Software y Redacción - borrador original: Gabriel Rivamar. Curación de datos, Supervisión y Redacción - revisión y edición: Giuliano Piatti. Análisis formal y Administración del proyecto: Juan Pablo Couto. Adquisición de fondos y Recursos: Christian Genolet. Investigación y Validación: Marcos Schiro. Metodología y Visualización: Maximiliano Giménez.
BIBLIOGRAFÍA
Comentario
Los autores describen el reporte de caso de un paciente con hidatidosis cerebral múltiple que fue resuelto por vía quirúrgica mediante la técnica de Dowling. La hidatidosis o equinococosis quística continúa siendo un relevante problema de salud en América del Sur con más de 45000 casos reportados entre el 2009-2018.1
En nuestra revista se ha descripto un reporte de caso clínico quirúrgico, sin embargo, poseía compromiso cerebral y hepático sin impacto a nivel pulmonar ni cardíaco.2 El presente caso manifiesta quistes múltiples con afectación supra e infratentorial y no posee la clásica presentación (encefálico asociado a compromiso hepático y/o pulmonar). Debemos destacar la relevancia en el abordaje multidisciplinario así como la estratégica técnica quirúrgica de Dowling y perfeccionada por Carrea en búsqueda de reducir la diseminación y la morbimortalidad asociada.3
Felicito a los autores por el trabajo presentado y por compartir su valiosa experiencia. Destacamos la necesidad de continuar con políticas de salud pública enfocadas en la prevención primaria de dicha enfermedad.
Joaquín Pérez Zabala
Hospital “Prof. Dr. Juan P. Garrahan”, Ciudad de Buenos Aires, Argentina
BIBLIOGRAFÍA