Hemangioma invasivo vertebral dorsal
Emilio Rodríguez, Edelweiss Martini, Federico Garavaglia, Raúl Jalil, Francisco Pueyrredón, Adrián Muñoz
Servicio de Neurocirugía, Hospital de Niños de la Santísima Trinidad de Córdoba, Ciudad de Córdoba, Argentina
Recibido: 15/01/2025 Aceptado: 30/04/2025
Emilio Rodríguez
emiliotomasrs@gmail.com
DOI:10.59156/revista.v0i0.692
ORCID
Emilio Rodríguez: 0009-0004-7203-8881
Edelweiss Martini: 0009-0005-5239-0869
Federico Garavaglia: 0000-0001-9666-1556
Raúl Jalil: 0009-0008-3648-359X
Francisco Pueyrredón: 0009-0002-9887-0516
Adrián Muñoz: 0000-0002-6639-1775
EMAILS
Edelweiss Martini: edel20_05@hotmail.com
Federico Garavaglia: federicogaravaglia.fg@gmail.com
Raúl Jalil: jalilraul@outlook.com
Francisco Pueyrredón: franpuey@hotmail.com
Adrián Muñoz: vamunoz@hotmail.com
Los autores no declaran conflicto de interés
Los autores no declaran financiamiento.
Este es un artículo de acceso abierto bajo la licencia CC BY-NC https://creativecommons.org/licenses/by-nc/4.0/
RESUMEN
Introducción: los hemangiomas vertebrales (HV) son los tumores óseos primarios más frecuentes de la columna vertebral y, aunque raramente son sintomáticos, pueden presentar desafíos significativos. Actualmente no hay un consenso sobre el tratamiento óptimo y existen varias opciones terapéuticas disponibles, tanto de forma aislada como combinada, incluidas las vertebroplastia, escleroterapia, cirugía, embolización y radioterapia.
Objetivos: presentar un caso de hemangioma vertebral invasivo con un enfoque de tratamiento multimodal.
Descripción del caso: paciente masculino de 11 años que ingresa por dorsalgia, paraparesia progresiva severa y retención urinaria. La tomografía computada (TC) y las imágenes de resonancia magnética (RM) revelaron una lesión a nivel D8 y D9. Debido a la progresión de los síntomas se indicó tratamiento quirúrgico.
Intervención: laminectomía D8 y D9 con exéresis del componente epidural. Presentó como complicación un hematoma extradural, por lo que fue reintervenido. La anatomía patológica fue compatible con hemangioma vertebral. Se realizó tratamiento complementario mediante embolización tumoral con n-butil-2-cianoacrilato. La RM de control, a los tres meses del tratamiento, no mostró progresión de la enfermedad. A los 9 meses de la cirugía, el paciente se encuentra asintomático y sin déficit neurológico.
Conclusión: en pacientes con HV Enneking III que se asocian a déficit neurológico por compresión del sistema nervioso, el tratamiento quirúrgico es la opción de elección. La embolización puede utilizarse de forma prequirúrgica o como tratamiento coadyuvante postquirúrgico, aunque sus resultados a largo plazo aún son variables, por lo que se debe controlar periódicamente al paciente.
Palabras clave: Cirugía. Embolización. Hemangioma. Radioterapia
Invasive dorsal vertebral hemangioma
ABSTRACT
Background: vertebral hemangiomas (VH) are the most common primary bone tumors of the spine and, although rarely symptomatic, can present significant challenges. Currently, there is no consensus on the optimal treatment, with several therapeutic options available both in isolation and in combination, including vertebroplasty, sclerotherapy, surgery, embolization and radiotherapy.
Objective: to present a case of invasive vertebral hemangioma with a multimodal treatment approach.
Case description: an 11-year-old male patient was admitted for back pain, severe progressive paraparesis and urinary retention. Computed tomography (CT) and magnetic resonance imaging (MRI) revealed a lesion at D8 and D9 levels. Due to the progression of symptoms, surgical treatment was indicated.
Surgery: D8 and D9 laminectomy with excision of the epidural component. He presented an extradural hematoma as a complication, for which he was reoperated. The pathology was compatible with vertebral hemangioma. Complementary treatment was performed by means of tumor embolization with n-butyl-2-cyanoacrylate. The follow-up MRI, performed three months after treatment, did not show progression of the disease. Nine months after surgery, the patient is asymptomatic and without neurological deficit.
Conclusion: in patients with Enneking III HV associated with a neurological deficit due to compression of the nervous system, surgical treatment is the option of choice. Embolization can be used preoperatively or as a postoperative adjuvant treatment, although its long-term results are still variable, so the patient should be monitored periodically.
Keywords: Embolization. Hemangioma. Radiotherapy. Surgery
INTRODUCCIÓN
Los hemangiomas vertebrales (HV) son los tumores óseos primarios más frecuentes de la columna vertebral y, aunque raramente son sintomáticos, pueden presentar desafíos significativos. Actualmente no hay un consenso sobre el tratamiento óptimo y existen varias opciones terapéuticas disponibles, tanto de forma aislada como combinada, incluidas las vertebroplastia, escleroterapia, cirugía, embolización y radioterapia.1-3
OBJETIVOS
Presentar la resolución de un caso de hemangioma vertebral invasivo (Enneking estadio III) mediante un enfoque de tratamiento multimodal.
DESCRIPCIÓN DEL CASO
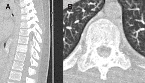
Paciente masculino de 11 años hospitalizado por dorsalgia, paraparesia progresiva severa y retención urinaria. La tomografía computada (TC) y las imágenes de resonancia magnética (RM) revelaron una lesión a nivel D8 y D9, (Figuras 1 y 2). Debido a la rápida progresión de los síntomas se indicó tratamiento quirúrgico al quinto día de internación.

Figura 1. TC prequirúrgica con contraste. A) Corte sagital. B) Corte axial.

Figura 2. RM prequirúrgica. A) Secuencia T1 sagital. B) Secuencia T1 sagital con gadolinio. C) Secuencia T1 axial con gadolinio.
Intervención
Durante el procedimiento se realizó laminectomía D8 y D9 con exéresis del componente epidural. Durante la cirugía, la lesión fue muy hemorrágica, lo que dificultó la hemostasia. La evolución inicial fue favorable con recuperación progresiva del déficit neurológico. En el cuarto día postoperatorio presentó nuevo deterioro motor. La RM (Figura 3) mostró un hematoma compresivo en el lecho quirúrgico. Se indicó nueva cirugía de evacuación. El paciente logró mejoría continua y progresiva de su déficit.

Figura 3. RM postquirúrgica inmediata. A) Secuencia T2 sagital. B) Secuencia T2 axial.
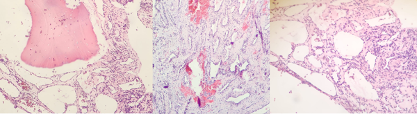
La anatomía patológica informó hemangioma (Figura 4). Se completó el estudio con una angiografía selectiva dorsal (ASD) que reveló una lesión hipervascular con emergencia de la arteria radicular magna de Adamkiewickz a nivel de D7 izquierdo. Se decidió tratamiento mediante embolización tumoral. A los dos meses se efectuó el procedimiento con n-butil-2-cianoacrilato superselectivo embolizando las arterias de los pedículos D8 y D9 bilateral logrando una desvascularización completa de la lesión (Figura 5). A los 4 meses de la cirugía, la RM no mostró progresión de la enfermedad (Figura 6), a los 9 meses, el paciente continúa asintomático, sin déficit motor, sensitivo ni compromiso de esfínteres.

Figura 4. Imágenes de anatomía patológica. Coloración hematoxilina-eosina. Magnificación 10x y 4x. Microscopía: tejido óseo trabecular maduro en cuyos espacios medulares se observa una proliferación vascular benigna, constituida por vasos de pequeño a mediano tamaño, algunos dilatados, revestidos por endotelio sin atipias, con hematíes endoluminales que asientan sobre estroma fibrovascular con hemorragia reciente.

Figura 5. Angiografía digital medular. A) Preembolización. B) Postembolización.

Figura 6. RM postcirugía. A) Secuencia T1 sagital con gadolinio. B) Secuencia T1 axial con gadolinio.
DISCUSIÓN
Los hemangiomas vertebrales (HV) pueden ser capilares o cavernosos y se clasifican según el sistema de Enneking en tres estadios.4 Según Nahom Teferi y Kyle Kato, los HV que producen dolor sin compromiso neurológico pueden ser tratados con procedimientos no quirúrgicos como embolización, vertebroplastia, radioterapia o inyección de etanol.1-5 Por el contrario, si presentan déficit neurológico significativo o progresivo con compresión de la médula espinal, se debe considerar el tratamiento quirúrgico.1,2,5
Las imágenes de resonancia magnética (RM) pueden anticipar las características del hemangioma a tratar. Habitualmente, los HV son hiperintensos tanto en T1 como en T2. Sin embargo, cuando son activos, agresivos o invasivos (Enneking III), suelen ser isointensos en T1 e hiperintensos en T2 (ver Figura 2). Según Daniel Eichberg, la embolización tumoral puede realizarse de forma prequirúrgica para facilitar la cirugía. Algunos autores informan que este procedimiento puede ser un tratamiento único con respuestas curativas, sin embargo, otros describen una respuesta meramente temporal o nula en HV grados III sin cirugía postembolización ni radioterapia.3 Finalmente, la radioterapia, como afirma Keaton Piper, puede usarse como monoterapia para el dolor o como complemento de la cirugía, demostrando una disminución de la recidiva a los 2 años en resecciones subtotales de un 7 a un 30%.5
En nuestro paciente, debido a la rápida progresión de la sintomatología, se propuso el tratamiento quirúrgico de urgencia. Los objetivos fueron descomprimir la médula espinal y realizar la toma de tejido para diagnóstico definitivo.
Luego de marcar con radioscopia el segmento patológico se efectuó un abordaje en la línea media desde D6 a D10. En primera instancia, se buscó identificar lámina sin lesión (D10) y a partir de allí continuar con la laminectomía hacia el tejido patológico. Luego de haberla completado y extraer el componente de lesión en el espacio epidural, se evidenció una expansión del saco medular. Durante la intervención el paciente presentó inestabilidad hemodinámica y requirió transfusión debido al sangrado constante. Posteriormente a la hemostasia, se colocó un drenaje epidural y se realizó el cierre habitual de la herida.
Creemos que la presencia del hematoma epidural al quinto día postquirúrgico se relaciona con las características hipervasculares de la lesión que dificultaron la hemostasia intraoperatoria. A pesar de la aparición de un nuevo déficit neurológico, su pronta evacuación permitió controlar rápidamente los síntomas. Si bien la corpectomía puede indicarse como tratamiento quirúrgico, en nuestro paciente, dada la emergencia neurológica y la falta de diagnóstico definitivo, fue descartada como tratamiento inicial. Además, la corpectomía tiene un mayor riesgo de pérdida de sangre intraoperatoria debido a la naturaleza hipervascular del tumor.2
Finalmente, no existen estudios a gran escala que comparen los resultados y las tasas de recurrencia tumoral de la laminectomía versus la corpectomía.2 A pesar de la invasión tumoral de las estructuras anteriores y posteriores a D9, la ausencia de fractura-luxación y/o deformidad progresiva permitieron tratar al paciente sin necesidad de una fusión vertebral para estabilización.
CONCLUSIÓN
En aquellos pacientes con HV Enneking grado III que se asocian a déficit neurológico por compresión del sistema nervioso, el tratamiento quirúrgico es la opción de elección. La embolización puede utilizarse de forma prequirúrgica, o como tratamiento coadyuvante postquirúrgico, aunque sus resultados a largo plazo aún son variables, por lo que se debe controlar periódicamente al paciente.
Contribuciones de autoría
Conceptualización y Redacción - revisión y edición: Emilio Rodríguez, Adrián Muñoz. Curación de datos: Emilio Rodríguez, Edelweiss Martini, Federico Garavaglia, Raúl Jalil. Análisis formal: Emilio Rodríguez, Francisco Pueyrredón, Adrián Muñoz. Adquisición de fondos, Metodología, Recursos y Software: Emilio Rodríguez. Investigación: Emilio Rodríguez, Edelweiss Martini, Federico Garavaglia. Administración del proyecto y Validación: Adrián Muñoz. Supervisión y Visualización: Francisco Pueyrredón, Adrián Muñoz. Redacción - borrador original: Emilio Rodríguez, Edelweiss Martini, Raúl Jalil, Federico Garavaglia, Francisco Pueyrredón.
BIBLIOGRAFÍA
COMENTARIO
En relación al caso presentado de un hemangioma vertebral a nivel de D8-9 en un paciente de 11 años, me llamó la atención que el abordaje inicial incluyera una laminectomía. Si bien esta podría estar justificada ante la posibilidad de una compresión medular subaguda, considerando que se trata de un estadio III de la escala de Enneking, a mi criterio, hubiera optado, luego de la RM y TC, por realizar una angiografía debido a los indicios de una lesión tumoral vascular. Probablemente este enfoque hubiera minimizado los riesgos del importante sangrado intraoperatorio reportado y la aparición del hematoma extradural que requirió una reintervención.
Mi opción hubiera sido la embolización, tratamiento inicial que los mismos autores señalan aunque “en igualdad” de preferencias entre distintos autores. En este caso, un enfoque más conservador mediante la embolización del hemangioma podría haber ofrecido también un resultado aceptable en cuanto a remisión de los síntomas y estabilidad del segmento espinal comprometido. Es importante agregar que la cementación vertebral habría sido un tratamiento complementario ideal tras la embolización, mejorando la estabilidad del segmento afectado. También cabe destacar que los síntomas pueden atribuirse más a trastornos hemodinámicos que a la compresión medular directa.
No obstante, debo resaltar la infrecuencia de esta patología en la edad pediátrica, lo que nos lleva a reconsiderar la oportunidad de una laminectomía descompresiva. Entiendo que la indicación de la laminectomía pudo haberse tomado por factores de presión sobre el equipo neuroquirúrgico. Finalmente, la evolución favorable hasta la fecha del paciente también debe ser tenida en cuenta.
La intención de este comentario no es confrontar con los colegas sino, desde mi experiencia, ampliar el razonamiento sobre los tratamientos posibles.
Alfredo Houssay
Hospital General de Niños “Pedro de Elizalde”, Ciudad de Buenos Aires, Argentina