Manejo quirúrgico de ependimomas en médula cervical: A propósito de un caso clínico
Juan Moreira Holguín, María José Ponce-Piloso, Crisaida Pérez-Almeida, Sandra Guerron-Sandoval
Pontificia Universidad Javeriana, Unidad de Neurocirugía, Hospital Universitario San Ignacio,
Semillero de Neurología y Neurocirugía, Bogotá, Colombia.
RESUMEN
Introducción: los ependimomas son tumores cerebrales que surgen de células ependimarias, células de soporte en el cerebro y la médula espinal. Representan entre el 2 y el 3% de todos los tumores cerebrales primarios. Son el cuarto tumor cerebral más común en los niños, donde el 90% de los mismos se localizan en la fosa posterior. En adultos, el 60% de estos tumores se encuentran en la médula espinal pudiendo presentarse a cualquier nivel de ésta; el caso a continuación reporta un ependimoma cervical.
Objetivo: reportar un caso de ependimoma medular de ubicación poco frecuente, con resección total, sin recidiva porterior a 2 años de seguimiento.
Descripción del caso: se reporta el caso de un paciente adulto, 44 años, masculino, con un síndrome medular cervical completo, progresivo, provocado por un ependimoma cervical.
Intervención: se realizó laminectomía de dos espacios [C7 a T1], apertura dural, mielotomía posterior logrando exéresis total de la lesión con durorrafia a sello de agua y posterior cierre por planos sin complicaciones, con seguimiento de 2 años de sobrevida.
Conclusiones: la resección total macroscópica de este tipo de tumores es muy importante para poder evitar residiva. El ependimoma cervical puede recidivar, sobre todo cuando existen residuales de la lesión. El manejo oportuno depende de gran manera de que los pacientes acudan tempranamente a valoración especializada; la resección guiada con monitorización neurofisiológica transoperatoria provee mayor oportunidad a los pacientes a no presentar secuelas permanentes y permite asimismo, mejores resultados de la rehabilitación neurológica postoperatoria.
Palabras claves: tumores raquídeos intradurales intramedulares, ependimoma, cirugía de columna, síndrome medular cervical completo, tumor espinal.
Surgical management of ependymomas in the cervical cord: Report a clinical case.
RESUME
Introduction: ependymomas are brain tumors that arise from ependymal cells, supporting cells in the brain and spinal cord. They represent between 2 and 3% of all primary brain tumors. They are the fourth most common brain tumor in children, where 90% of them are located in the posterior fossa. In adults, 60% of these tumors are found in the spinal cord and can occur at any level of the spinal cord; the case below reports a cervical ependymoma.
Objective: to report a case of medullary ependymoma of rare location, with total resection, without recurrence after 2 years of follow-up.
Case description: a 44-year-old male adult patient with a progressive, complete cervical spinal cord syndrome, caused by a cervical ependymoma, is reported.
Intervention: two-space laminectomy [C7 to T1], dural opening and posterior myelotomy were performed, achieving total excision of the lesion with water-seal durorrhaphy and subsequent closure by planes without complications, with a 2-year survival follow-up.
Conclusions: macroscopic total resection of this type of tumor is very important to avoid residual. Cervical ependymoma can recur, especially when there is residual lesion. Timely management depends to a great extent on the patients attending early for a specialized evaluation; guided resection with intraoperative neurophysiological monitoring provides a greater opportunity for patients to not present permanent sequelae and also allows better results of postoperative neurological rehabilitation.
Key words: intramedullary intradural spinal tumors, ependymoma, spine surgery, complete cervical spinal cord syndrome, spinal tumor.
INTRODUCCIÓN
Los ependimomas son tumores neuroepiteliales de apariencia morfológica variable, que se desarrollan en todos los compartimentos del sistema nervioso central. El 46% se encuentran en la médula espinal, el 35% en la fosa posterior del cráneo y el 19% son supratentoriales. La edad de presentación más recurrente es en menores de 4 años de edad y entre los 55 a 59 años de edad (Hübner JM, 2018).
En los adultos, los ependimomas son los tumores espinales intramedulares más comunes. Ferrante, et al., en su estudio ependimomas intramedulares en 45 casos, reporta que casi dos tercios de los ependimomas de la médula espinal comprenden niveles cervicales (Ferrante L., 1992). Se reporta que el sitio más común de ocurrencia es en el segmento torácico de la médula espinal; el síntoma más común es el dolor y puede acompañarse de trastornos motores, sensitivos y alteración de los esfínteres; el tipo de presentación es de forma gradual (Oral S, 2018).
La resonancia magnética [RM] es el mejor método de elección para el diagnóstico imagenológico de las lesiones intramedulares. La exéresis quirúrgica completa es posible debido al buen plano de clivaje que puede existir en estas neoplasias, teniendo en cuenta que se trata de lesiones encapsuladas, bien vascularizadas, pero poco adheridas al cordón espinal, raíces o cubiertas meníngeas (Alkhani A, 2008).
CASO CLÍNICO
Se trata de un paciente masculino de 44 años de edad, sin antecedentes de importancia para la patología de base, con déficit motor de 2 años de evolución, que inicia a nivel de miembros inferiores y posteriormente afecta también a los superiores hasta provocar dificultad para la marcha. Acude a consulta especializada en silla de ruedas y asistido por familiar con esta historia clínica; se encontró cuadriparesia con paraparesia densa, de predomino derecho, con hiperreflexia generalizada y signo de Babinsky generalizado. Se encontró nivel sensitivo a nivel T5. Se inicia protocolo de estudios de forma inmediata, encontrándose en la RM de médula cérvico-dorsal lesión intraxial a nivel de C7-T1, compatible con probable ependimoma cervical [figura 1]. Se clasifica preoperatoriamente con una Escala de McCormick Modificada, grado 4.
Fig. 1: RM en secuencia ponderada en T2, donde se observa lesión intrarraquídea ocupante de espacio en la porción cervical baja C7- T1, con siringomielia acompañante, supra e infralesional.
Posterior a cumplir protocolo preoperatorio, el paciente es llevado a cirugía programada para exéresis de la lesión por acceso posterior con laminectomía C7-T1, con ayuda de microscopio quirúrgico, guiado con fluoroscopía con intensificador de imágenes y bajo monitorización neurofisiológica transoperatoria. Se realizó durotomía posteriormente, mielotomía posterior; se logró identificar la lesión intraaxial, y se inició la resección, a través del plano de clivaje observado, el cual fue óptimo para lograr la resección macrooscópica completa de la lesión [figura 2]. Una vez realizada la hemostasia respectiva en lecho quirúrgico, se realizó el cierre por planos.
El informe histopatológico de la lesión resecada reportó un ependimoma grado II de la OMS [figura 3].
Fig. 2: Fotos intraoperatorias que muestran médula cervical en su cara posterior en nivel C7-T1, en la que se pueden observar vasos espinales y engrosamiento del diámetro medular (a), lecho quirurúgico posterior a resección completa de lesión intraxial(b), durrorrafia hermética “a sello de agua” (c) y registro neurofisiológico intraoperatorio (d).
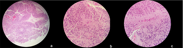
Fig 3: Fotos histopatológicas (Hematoxilina & Eosina, 40x), en donde se obserba neoplasia glial moderadamente celular compuesta por células de disposición radial, alrededor de vasos sanguíneos, hialinizados, con zonas anucleares (procesos fibrilares), dando lugar a la formación de pseudorrosetas (a), las cuales se encuentran compuestas por células con núcleos de redondeados a ovales con distribución de la cromatina en “sal y pimienta” y eventuales nucléolos, procesos fibrilares anucleares -material eosinófilo- (b y c).
En su control posquirúrgico tardío, presentó fístula de líquido cefalorraquídeo a través de defecto dural, por lo que se realizó reparación de la fistula de LCR con plastia muscular y posterior cierre por planos sin complicación. Desde el punto de vista funcional, el paciente inició consultas con fisiatrías y seguimiento con neurocirugía y el servicio de oncología. Se realizó seguimiento del caso por 2 años sin presentar recidiva tumoral, con una escala de Rankin modificada de 3/6.
DISCUSIÓN
Los ependimomas constituyen cerca del 60% de los tumores espinales intramedulares. Estos tumores derivan de las células ependimarias, localizadas en el canal central del cordón espinal. La incidencia es mayor en la edad adulta y con predilección por el sexo femenino (Kim SY, 2006).
La Organización Mundial de la Salud [OMS] en su actualización de 2016 clasificó a los tumores ependimarios en subependimoma [grado I], ependimoma mixopapilar [grado I], ependimoma [grado II], ependimoma RELA fusión positiva [así denominado por la OMS, para los ependimomas supratentoriales de comportamiento agresivo] y ependimoma anaplásico [grado III], sin embargo, esta clasificación es difícil de aplicar y de utilidad clínica dudosa (Louis DN, 2016).
Para evaluar el resultado a largo plazo y la recuperación funcional de un ependimoma cervical, Da Li y col., revisaron las historias clínicas de 38 casos tratados quirúrgicamente, de los cuales se logró resección completa en el 86,8% de los pacientes. Catorce pacientes empeoraron después de la operación; siete mejoraron durante los siguientes tres meses. Tres pacientes tuvieron recurrencia. Las tasas de supervivencia sin progresión/recidiva a 12 años y supervivencia global fueron del 92,0% y el 93,7%, respectivamente. El objetivo de la cirugía es estabilizar la función neurológica preoperatoria y lograr un resultado favorable en pacientes con buenos estados preoperatorios y límites tumorales bien definidos. La cirugía debe realizarse lo antes posible después de los diagnósticos y antes de que se deterioren las funciones neurológicas (Li D, 2013).
Kaner y col., reportaron en su análisis clínico 21 pacientes, con ependimomas a nivel de médula dorsal [19%], lumbar [34%], cervical [19%], cervico-dorsal [14%] y cono medular [14%], reportan recidiva del 5% posterior a resección completa, en un seguimiento de 2 años, estableciendo que la resección completa y una buena condición clínica neurológica antes de la cirugía son factores determinantes a los buenos resultados clínicos de los pacientes (Kaner, 2010).
Es así que el papel de la cirugía en el manejo de los tumores intramedulares ha evolucionado significativamente debido al desarrollo tecnológico en los últimos años.
El enfoque de abordaje quirúrgico posterior es principalmente preferido debido a la menor morbilidad. La laminectomía es un método ampliamente utilizado en las lesiones de neoplasia espinal. La carga en la región cervical se lleva en la parte anterior de la columna a una tasa del 36% mientras que el 64% está en la columna posterior en las facetas. Así, el daño de los ligamentos posteriores [ligamentos interespinosos, ligamentos supraespinosos y ligamento amarillo] afecta la estabilidad negativamente (Pal GP, 1996).
La mayor complicación de la laminectomía es la formación de tejido cicatrizal. La laminectomía multinivel -debido a resección de ependimomas que requieren un abordaje más extenso- y la instrumentación ulterior se asocian con una morbilidad mínima, asimismo, proporciona una excelente descompresión de la médula espinal, produce una estabilidad inmediata de la columna cervical, previene la deformidad cifótica e impide el desarrollo adicional de espondilosis de niveles fusionados (Houten JK, 2003); en el caso reportado, no se consideró la instrumentación posterior por tratarse de 2 niveles de laminectomía solamente, y por ser un paciente adulto. Se han observado complicaciones de deformidad cifótica en laminectomía como técnica de exéresis de ependimoma cervical en niveles bajos, en los grupos pediátricos.
Boström y col., revisaron 70 casos de adultos con tumores medulares, en los cuales se mencionaba a 39 casos de ependimoma. La resección quirúrgica de estos casos se realizó con monitorización neurofisiológica transoperatoria. Ninguno de los pacientes presentó un deterioro posoperatorio significativo, esto implica una gran importancia al grado de deterioro neurológico preoperatorio, y a su conservación, no sólo con una técnica quirúrgica apropiada, sino con ayuda de herramientas tecnológicas actuales como el registro neurofisiológico transoperatorio (Boström A, 2014).
Los ependimomas medulares afectan predominantemente a adolescentes y adultos jóvenes. La resección total macroscópica comparada con resección subtotal es beneficiosa para presentar una supervivencia libre de progresión [87% frente al 57%, respectivamente] (Jung TY, 2018).
Wostrack (2018), en su estudio retrospectivo multicéntrico de 158 pacientes adultos con ependimomas espinales, señaló que la resección total se logró en el 80% de los casos. Los déficits neurológicos más comunes se presentaron en pacientes con ependimomas localizados cervicalmente (p = 0.004) y en pacientes mayores (p = 0.002). Los déficits permanentes se predijeron independientemente sólo por la edad avanzada (p = 0,026). La tasa de supervivencia libre de progresión a 5 años fue del 80% (Wostrack M, 2018).
CONCLUSIÓN
El ependimoma medular es una patología que denota un desafío neuroquirúrgico, sobre todo en una localización medular alta, como a nivel cervical; realizar un diagnóstico temprano, junto con una resección quirúrgica completa con apoyo de registro neurofisiológico transoperatorio, determina un buen control tumoral.
BIBLIOGRAFÍA
COMENTARIO
El autor reporta un caso de ependimoma medular a nivel cérvico-dorsal y realiza una reseña bibliográfica del tema. Son de destacar algunos aspectos importantes para el lector joven. La disección del ependimoma medular debe ser aguda, con la asociación de un cavitador ultrasónico a muy baja y controlada intensidad. El uso del bipolar para coagular o disecar debe ser mínimo o nulo, evitando el efecto deletéreo del calor liberado por este instrumento en el campo operatorio. La resección total debe ser el objetivo quirúrgico, debido a que resecciones subtotales tienen garantizada (según la edad) la recaída sintomática. La razón para usar el monitoreo neurofisiológico intraoperatorio es mantener el objetivo de maximizar la resección del tumor y minimizar la morbilidad neurológica. Se utiliza siempre el método multimodal dado que existe la posibilidad de lesionar de forma selectiva las vías somatosensorial o motora. En los últimos años, se está aplicando la técnica de pulso único Onda D que es un solo estímulo eléctrico transcraneal para provocar una onda D que se registra mediante dos electrodos epidurales o subdurales: uno en el borde rostral y el otro en el borde caudal de la laminectomía. El electrodo rostral (proximal) es el electrodo de control para los cambios no inducidos quirúrgicamente en la onda D, mientras que el caudal (distal) monitorea los cambios inducidos por la resección tumoral; la permanencia de la onda D al finalizar la cirugía indicaría indemnidad en la vía corticoespinal. Por temas de costos, su utilización sigue siendo restringida en países en vías de desarrollo. Por último, deben realizarse controles estrechos a los abordajes posteriores realizados principalmente a la altura de las charnelas, debido a la alta asociación a inestabilidad futura.
Tomás Funes
Sanatorio Anchorena. Ciudad Autónoma de Buenos Aires
COMENTARIO
Los autores nos presentan un reporte de caso sobre Manejo quirúrgico de Ependimomas en médula cervical y una revisión no sistemática de la literatura de forma sucinta.
En vínculo a su contenido, coincidimos en la realización de un abordaje limitado en extensión cefalocaudal a la fracción sólida de la lesión, incluyendo los márgenes de los quistes polares - habituales acompañantes de este tipo tumoral - a través de una laminectomía o laminotomía con respeto de las articulaciones facetarias para disminuir el riesgo de inestabilidad espinal.
Como aportes prácticos a esta entrega, recomendamos - luego de realizada la durotomía y la apertura aracnoidea - una minuciosa lectura de la superficie medular en búsqueda de expresiones piales de la lesión y una correcta evaluación de la anatomía vascular. Si bien el emplazamiento de estos tumores es de preferencia central, la utilización de potenciales evocados somatosensoriales selectivos puede ser de utilidad para la identificación de la línea media en casos de crecimiento excéntrico o con distorsión de la cara medular dorsal, propiciando el ingreso por el surco medio posterior.
Asimismo consideramos conveniente la realización de puntos de fijación transpiales para mantener un acceso intramedular amplio, disminuyendo así la manipulación del parénquima neural. Como es bien conocido, estas neoplasias exhiben un aspecto macroscópico característico, de color pardo rosado, consistencia blanda aunque firme y con buen plano de clivaje, hechos que facilitan su exéresis. No obstante, el uso de potenciales evocados motores y electromiografía es - en nuestro criterio - de sustancial valor en la disección lateral y profunda del tumor, en vecindad de las astas y cordones medulares anteriores, implicando su uso una menor morbilidad neurológica. Con el mismo fin, es de buen criterio evitar el uso de coagulación bipolar sobre el lecho tumoral, siendo de beneficio la colocación de hemostáticos del tipo de celulosa regenerada reabsorbible que evitan potenciales artefactos en IRM ulteriores.
En lesiones de gran volumen es aconsejable el uso de aspirador ultrasónico.
El conocimiento anatómico, la pulcritud técnica y la apoyatura en las tecnologías mencionadas favorecen la resección quirúrgica total de estas lesiones, objetivo primario en el tratamiento de los tumores intramedulares de bajo grado.
Hubiere sido pertinente la publicación de imágenes de IRM postoperatorias.
Agradecemos a los autores la presente comunicación.
Claudio Centurión.
Sanatorio Aconcagua.
Clínica Vélez Sársfield.
Córdoba.