CASO REPORTADO
Schwannoma intraparenquimatoso en pediatría
Gonzalo Colombo 1 , Luciano Grisotto1, Eugenia Altamirano2, Verónica Diaz3, Marcelo Osvaldo D´Agustini1
1 Servicio de Neurocirugía HIAEP “Sor María Ludovica” – La Plata, Buenos Aires, Argentina
2 Servicio de Patología HIAEP “Sor María Ludovica” – La Plata, Buenos Aires, Argentina
3 Sala de Oncología HIAEP “Sor María Ludovica” – La Plata, Buenos Aires, Argentina
Gonzalo Colombo
colombogonzalo27@gmail.com
RESUMEN
Los Schwannomas son tumores benignos, siendo los no asociados a nervios craneales extremadamente raros. Se describe el caso clínico de una paciente femenina de 4 años de edad que presentó convulsiones. En neuroimágenes se observó una lesión subcortical parieto-occipital izquierda, la cual fue abordada quirúrgicamente logrando una exéresis completa. El diagnóstico histopatológico fue Schwanoma. Luego de 3 años de seguimiento no se observó recidiva de la enfermedad.
Los schwannomas intracerebrales, no asociados a nervios craneales, son tumores de localización atípica. No presentan signos patognomónicos en los estudios por imágenes que orienten a su sospecha. La resección total de estos tumores es curativa.
Palabras Clave:
Schwannoma intraparenquimatoso, tumor pediátrico, convulsión, pediatría
ABSTRACT
Schwannomas are bening tumors, those not associated with cranial nerves are extremely rare. The clinical case of a 4-year-old female patient with a seizure is described. Neuroimaging shows a left parieto-occipital subcortical lesion, which was surgically approached, achieving a complete excision. The histopathological diagnosis was Schwannoma. After 3 years of follow-up, no recurrence of the disease was observed.
Intracerebral schwannomas, not associated with cranial nerves, are tumors of atypical location and without pathognomonic signs on imaging studies that guide their suspicion, which makes their preoperative diagnostic consideration unlikely. Total resection of these tumors is curative, which establishes the importance of keeping this pathology in mind among differential diagnoses.
Key words:
Intraparenchymal schwannoma, pediatric Tumor, Seizure, Pediatrics
INTRODUCCIÓN
Los Schwannomas son tumores benignos que se originan de las células de Schwann de la vaina perineural. Presentan una baja incidencia y representan el 8% de los tumores primarios del SNC. Los Schwannomas intracraneales o ectópicos son extremadamente raros y representan menos del 1%. Desde su primera descripción en 1966 hasta la actualidad solo se han reportado en la bibliografía alrededor de 70 casos.1-3
Presentamos una paciente pediátrica con un Schwannoma intraparenquimatoso resuelto quirúrgicamente.
CASO CLÍNICO
Paciente femenina de 4 años de edad sin antecedentes patológicos que ingresó a nuestra institución por presentar una convulsión tónico-clónica focal secundariamente generalizada.
Al examen físico se encontraba vigil, reactiva, sin signos de foco. Presentaba una mácula hipercrómica tipo “café con leche” en fosa ilíaca izquierda, de 1 x 2 cm aproximadamente. Resto del examen físico sin particularidades.
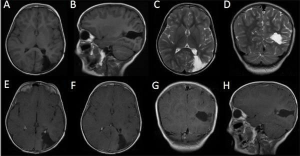
La tomografía computada (TC) de encéfalo sin contrate reveló una lesión isodensa respecto al parénquima cerebral, subcortical parieto-occipital izquierda, asociada a edema perilesional. La resonancia magnética nuclear (RMN) de encéfalo, con y sin contraste, evidenció una lesión sólida, parieto-occipital izquierda isointensa con la sustancia gris en T1 y de intensidad heterogénea en T2 con un gran edema asociado que, tras la administración de contraste, presenta un marcado realce homogéneo, sin restricción en la difusión (Figura 1).
Figura 1: RMN. Lesión sólida parietooccipital izquierda isointensa en T1 y heterointensa con gran edema perilesional en T2. Marcado refuerzo post contraste, sin difusión.
Para la cirugía se realizó una craneotomía centrada en el Eurion, se localizó el surco intraparietal y se progresó en profundidad a través de un abordaje transurcal, hasta visualizar una tumoración grisácea, duro-elástica, con un límite bien definido que permitió una resección macroscópicamente total de la lesión, con indemnidad de estructuras vasculares, viscerales y nerviosas.
El informe histopatológico fue compatible con Schwannoma (Figura 2).

Figura 2: Cortes histológicos de la pieza. Se observan células bipolares ausadas con bajo índice de mitosis. Alternan areas de gran densidad neuronal (Antoni tipo A) con otras de baja (Antoni Tipo B).
Los análisis genéticos para síndromes asociados a Schwannoma y otros tumores del SNC fueron negativos. Este estudio incluyó la determinación de un panel de 10 genes asociados a Schwannoma (SMARCB1, LZTR1, NF2, NF1, PRKAR1A, SMARCE1, SUFU, SWNTS1, SWNTS2 y SPRED1) no habiendo encontrado deleciones ni duplicaciones.
Tras 3 años de seguimiento, la paciente se encuentra sin déficit neurológico, libre de crisis y sin requerimiento de medicación antiepiléptica. El estudio control actual de RMN no evidencia residuo tumoral (Figura 3).

Figura 3: Control posoperatorio: exéresis completa.
DISCUSIÓN
Los schwannomas no asociados a nervios craneales son tumores infrecuentes que suelen presentarse en la edad pediátrica o en adultos jóvenes, sin predominio de sexo.1,2,4-8 El 70% de estos tumores tienen una localización supratentorial a nivel cortico-subcortical o periventricular.2 Desde el punto de vista clínico, la presentación más frecuente son las convulsiones y, en segundo término, la cefalea.2
El origen permanece incierto habiendo en la bibliografía diversas teorías que pueden ser agrupadas en dos corrientes: asociadas y no asociadas al desarrollo.1,3,5,7-13 En relación a la primera, Feing et al. en el año 1971 propone el origen metaplásico a partir de células piales mesenquimáticas con capacidad pluripotencial.9,13,14 Gambarelli et al. en 1982 sugiere el crecimiento a partir de focos de secuestro de células de la cresta neural durante la embriogénesis.13,15 Por otro lado, la corriente no asociada al desarrollo, postulada por Ross 1986 sugiere el origen del tumor a partir del plexo perivascular presente en las arterias cerebrales perforantes.13,16
Actualmente es posible conocer el linaje de las células de Schwann lo que permitirá a futuro conocer el origen de estos tumores.13
En los estudios por imágenes no existen signos patognomónicos.2,12 En TC sin contraste se presentan como lesiones heterogéneas, hipodensas, isodensas o hiperdensas en relación al parénquima cerebral. Tras la administración de contraste, se observa un realce homogéneo o heterogéneo.2,4,13 En los estudios por RMN se presentan como un tumor heterogéneo hipointenso en T1 e hiperintenso en T2, que capta contraste tras su administración.1,2,12,13 Los hallazgos que se asocian con mayor frecuencia son la degeneración quística, el edema perilesional y las calcificaciones.1,2,4,7,8,12,13
Debido a su baja incidencia, su extraña localización y la ausencia de signos radiológicos patognomónicos, los schwannomas no asociados a nervios craneales no suelen ser considerados dentro de los diagnósticos diferenciales primarios ante una lesión intraparenquimatosa con dichas características, confundiéndose fácilmente con meningiomas y gliomas en primer término.2,7,9
El diagnóstico definitivo se realiza por anatomía patológica. Microscópicamente se identifican células bipolares ahusadas, con un bajo índice de mitosis. Presentan áreas de alta densidad celular (Antoni tipo A) alternadas con áreas de poca densidad (Antoni tipo B). En las zonas Antoni A es posible hallar células en empalizada con abundante citoplasma (cuerpos de Verocay).7,8,12,13 En base a las técnicas inmunohistoquímicas, los Schwannomas son positivos para la proteína S-100 y la vimentina.7,13 Menos del 5% de los casos son positivos para proteína ácida glio-fibrilar (GFAP). En contraposición, son negativos a la sinaptofisina, al antígeno de membrana epitelial (EMA), y a la proteína HMB-45.1,17
El tratamiento de elección para estos tumores es la resección microquirúrgica, la cual es curativa y presenta un pronóstico excelente.1,2,7,9,13 Luo et al. presenta una serie de 18 casos tratados únicamente de forma quirúrgica, sin reportar en ninguno recidiva ni malignización.1
CONCLUSIÓN
Los schwannomas intracerebrales, no asociados a nervios craneales, son tumores benignos extremadamente raros. Su localización atípica, y la falta de signos patognomónicos en los estudios por imágenes, hacen poco probable su consideración diagnóstica preoperatoria. La resección total de estas lesiones es curativa, no habiéndose reportado recidivas de estos tumores.
BIBLIOGRAFÍA
COMENTARIO
El Schwannoma es un tumor benigno de la vaina del nervio periférico, constituido exclusivamente por células de Schwann. 1 Histológicamente se caracteriza por un doble patrón morfológico que consta en las denominadas áreas Antoni A y áreas Antoni B. Las áreas Antoni A representan el componente celular de la lesión constituido por células fusiformes cuyos núcleos se disponen en empalizada o filas paralelas separadas por los respectivos procesos celulares alineados, originando los característicos cuerpos de Verocay, tal como lo muestra la Figura 2A del presente trabajo. Por su parte, las áreas Antoni B poseen menor densidad celular y predomina un estroma laxo, mixoide, con presencia de vasos sanguíneos prominentes. El estudio Inmunohistoquímico complementa los hallazgos histológicos y evidencia expresión difusa con proteína S100 en citoplasma y núcleos, con un patrón más reforzado en las áreas Antoni A, como lo demuestra la figura 2C. Asimismo la expresión negativa con EMA ayuda a descartar otros diagnósticos diferenciales para la topografía como el meningioma.
De lo anteriormente expresado se desprende que el algoritmo histopatológico efectuado en la pieza quirúrgica es correcto y los hallazgos característicos mencionados permiten arribar al diagnóstico efectivo de Schwannoma.
Dra. Sandra Colli
Servicio de Anatomía Patológica
Hospital de Niños Ricardo Gutiérrez, CABA
COMENTARIO
Los autores presentan un caso de un tumor de localización extremadamente infrecuente a nivel supratentorial. El artículo, además de la correcta resolución del caso, nos remarca la importancia de emplearnos a fondo en la exéresis completa de las lesiones tumorales ya que, como se señala en el texto, se puede lograr la curación del paciente. Y también nos dejan la llamada de atención para incorporar a los Schwanomas entre los diagnósticos posibles aunque excepcionales al planificar nuestra cirugía.
Dr. Victor Muñoz
Hospital de la Santísima Trinidad
Córdoba