Mucocele frontal invasivo: La agresividad de una lesión benigna
García-Oriola G.,1 Quilis-Quesada V.,1 Vega-Torres E., 1 Irles-Vidal C., 1 González-Darder JM2
Hospital Clínico Universitario de Valencia. València. España.
1- Servicio de Neurocirugía.
2- Jefe de Servicio de Neurocirugía.
Agustin Ignacio Diaz
agustin_diaz20@hotmail.com
Los autores declaran no tener conflictos de interés.
Recibido: julio de 2021. Aceptado: julio de 2021.
RESUMEN
Los osteomas de los senos paranasales son tumores benignos de crecimiento lento, habitualmente asintomáticos, que son diagnosticados en la mayoría de las ocasiones de manera incidental. La obstrucción en los orificios de drenaje sinusal asociada a la presencia de osteomas frontales sinusales en esa misma localización, parece clave en la obliteración del drenaje sinusal y la consecuente formación de los mucoceles. Los mucoceles generalmente tienen un crecimiento local intrasinusal, pero si se produce la invasión intracraneal por rotura de la pared interna del seno frontal, pueden aparecer síntomas y complicaciones neurológicas secundarias. El diagnóstico y tratamiento precoz marca la evolución en estos casos y determina la morbimortalidad asociada. Describimos el manejo quirúrgico del caso de un paciente de 61 años de edad, con un osteoma intrasinusal frontal con mucocele e invasión intracraneal secundaria que debutó con crisis tónico-clónica generalizada.
Palabras clave: Absceso cerebral, mucocele intracraneal, neurocirugía, osteoma frontal, seno frontal.
ABSTRACT
Paranasal sinus osteomas are slow growing, benign tumors usually paucisymptomatic and incidentally diagnosed. Existence of obstruction in the sinus drainage holes associated with frontal sinus osteomas, seems to be the key in the obliteration of sinus drainage and the posterior formation of mucoceles. They usually have a local growth, but if intracranial invasion occurs due to rupture of the internal wall of the frontal sinus, secondary neurological symptoms and complications may appear. Early diagnosis and treatment determine the evolution in these cases, and determines the associated morbimortality. We present and describe the surgical management step by step of the case of a 61 year old patient with a frontal intrasinusal osteoma with mucocele and secondary intracranial invasion that presented the onset of generalized tonic-clonic seizures.
Key Words: Brain abscess, intracranial mucocele, frontal osteoma, frontal sinus, neurosurgery.
INTRODUCCIÓN
Los osteomas y mucoceles de los senos frontoetmoidales son lesiones con un comportamiento clínico, radiológico e histológico generalmente benigno. Si bien, presentan una baja incidencia1, con el uso más frecuente de las técnicas de imagen su incidencia como hallazgo casual, probablemente sea mayor. Su asociación con mucoceles intracraneales y complicaciones neurológicas es muy poco frecuente1-3, y se asocia con el carácter inflamatorio y erosivo que presentan estas lesiones, localizadas inmediatamente adyacentes al parénquima cerebral.
La etiopatogenia de los osteomas intrasinusales, incierta según la literatura, se ha relacionado con sinusitis crónicas, poliposis, deformidades en la configuración del tabique nasal, traumatismos, cirugías previas o la presencia de tumores en región paranasal4. Independientemente del mecanismo por el que se originen se pueden desarrollar mucoceles cuya causa principal se ha relacionado con la obliteración de los ostium de drenaje de los propios senos5.
Encontramos en la literatura veintisiete casos de mucoceles con invasión intracraneal e intraparenquimatosa 6, incluyendo el que describimos. Presentamos la secuencia diagnóstica-terapéutica de nuestro caso, haciendo hincapié en el manejo quirúrgico y en aquellos aspectos que resulta fundamental conocer y que, de forma clara, van a determinar la evolución clínica de estos pacientes.
CASO CLÍNICO
Presentamos el caso de un varón de 61 años de edad, con antecedentes personales de hipertensión arterial y dislipemia, remitido a nuestro centro tras sufrir una crisis generalizada tónico-clónica en presencia de un familiar. Cuarenta y ocho horas antes del episodio había sido atendido en urgencias por un supuesto cuadro de astenia generalizada de una semana de evolución. Tras la valoración en el servicio de urgencias médicas y la realización de pruebas complementarias (hemograma, bioquímica, sedimento y cultivo urinario) fue diagnosticado de infección del tracto urinario bajo sin complicaciones añadidas y se procedió al alta domiciliaria con tratamiento antibiótico oral (fosfomicina 3 gramos en 1 sola dosis).
Durante el examen clínico inicial en nuestro centro se objetivó un cuadro de desorientación temporo-espacial sin otras manifestaciones en la esfera neurológica. El estudio básico de laboratorio (hemograma y bioquímica general) mostró una neutrofilia de 7,76 x 10 ^9 / L, con valores de proteína C reactiva elevados (27mg/L). Resto de parámetros dentro de la normalidad. La tomografía cráneo-cerebral realizada de urgencia mostró una lesión hiperdensa intraparenquimatosa en región frontobasal izquierda y un osteoma intrasinusal frontal izquierdo con signos de solución de continuidad a nivel de la pared posterior del seno. Tras la administración de contraste yodado, la lesión presentó un realce periférico alrededor de la lesión hiperdensa intracerebral.
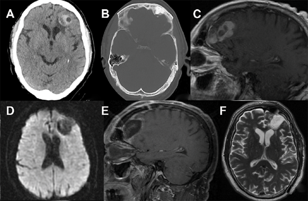
Se completó el estudio con una resonancia magnética (RM) cerebral con contraste y secuencias de difusión y mapa de coeficiente de difusión aparente (ADC) ante el diagnóstico diferencial planteado de absceso cerebral versus tumoración intracraneal. Se determinó una lesión exofítica en el seno frontal izquierdo de intensidad de señal compatible con tumoración ósea, así como la disrupción de la tabla interna en solución de continuidad con una masa de 30 X 28 X 32 mm, de bordes definidos, sin restricciones a la difusión ni inversión en secuencias de ADC y captación heterogénea de contraste. Dichos hallazgos plantearon el diagnóstico de osteoma frontal complicado con mucocele intracerebral. No se pudo descartar la presencia de proceso inflamatorio/infeccioso subyacente dado el artefacto de señal por presencia de calcio, colecciones hemáticas y su proximidad a la base del cráneo. Se consideró la posibilidad de un glioma de alto grado (Fig 1 A-D).

Fig 1. Estudio radiológico. A) TC cráneo-cerebral.Ventana de parénquima cerebral donde se observa lesión frontal hiperdensa heterogénea frontal izquierda B) TC cráneo-cerebral. Ventana de hueso: Osteoma frontal con discontinuidad en la pared posterior del seno frontal. C) RMN cerebral (T1) con contraste: captación heterogénea de la lesión en íntima relación con el seno frontal D) RMN cerebral (DWI): No se identifica restricción de difusión a nivel frontal. E) RMN cerebral de control postquirúrgica. Sagital (T1) con contraste: resección completa de lesión frontal. No se identifica captaciones anómalas. F) RMN cerebral de control postquirúrgica. Axial (T2).
PROCEDIMIENTO QUIRÚRGICO
Ante la alta sospecha de absceso cerebral secundario a patología del seno frontal izquierdo y dado los hallazgos clínico-radiológicos, el paciente fue operado en las primeras veinticuatro horas desde su ingreso. Se realizó una incisión para abordaje pterional modificado, disección de colgajo pediculado de galea y periostio frontal y craneotomía frontal izquierda ajustada a reborde orbitario superior y línea media, con exposición del seno frontal ipsilateral.
Tras realizar la craneotomía frontal, se objetivó la integridad de la duramadre de la convexidad frontal y se identificó una lesión de características óseas en el interior del seno frontal compatible con osteoma. La apertura dural permitió reconocer una voluminosa lesión de bordes bien definidos, encapsulada, en aparente continuidad con la pared interna del seno frontal izquierdo. Dicha lesión, compatible con mucocele intracerebral, presentaba una ruptura en su vertiente posteromedial (Fig 2.) Del interior de la lesión encapsulada se obtuvo material mucoide/proteináceo que fue remitido para estudio microbiológico y anátomo-patológico. La colección fue resecada conservando la cápsula y posteriormente remitida para cultivo. Una vez aislada la lesión del parénquima cerebral, se procedió a su exéresis en bloque confirmando su continuidad con el interior del seno frontal izquierdo a través de un defecto dural frontobasal y óseo de la pared posterior del mismo (Fig 3).
Completada la exéresis de la lesión intracraneal, se procedió a la resección del osteoma intrasinusal frontal y preparado del seno para su sellado y reconstrucción. La consistencia del osteoma sinusal permitió su fresado con motor quirúrgico de alta velocidad y su exéresis hasta identificar el ostium a nivel mediobasal. La mucosa remanente en el interior del seno, de predominio posterior, fue resecada exhaustivamente hasta visualizar las superficies óseas intrasinusales de la pared externa del seno frontal y resto de pared interna. Finalizado el vaciado del seno frontal, se puso de manifiesto el defecto de la pared interna del mismo y la solución de continuidad de la duramadre frontobasal.
La reconstrucción y sellado del seno frontal se llevó a cabo con cemento artificial (Mimix-Walter Lorenz Surgical, Jacksonville, FL, USA). Una vez solidificado se procedió a cubrir el seno con un colgajo pediculado de galea y periostio frontal. Aisladas las cavidades paranasales, se completó el lavado del compartimento intracraneal y se procedió al cierre hermético de la duramadre frontal, reposición ósea y cierre por planos (Fig 3).

Fig 2. Imágenes intraoperatorias. A) Incisión pterional modificada con abordaje frontotemporal izquierdo. B-C) Disección microquirúrgica con exposición de lesión frontal basal (mucocele intracraneal) y osteoma frontal intrasinusal D) Colección abscesificada posteromedial al mucocele intracraneal.

Fig 3. Imágenes intraoperatorias. A) Osteoma frontal. El disector indica el punto de ruptura de la pared del seno y entrada del mucocele a la cavidad intracraneal. B) Fresado y vaciado del seno frontal izquierdo. El disector muestra la solución de continuidad C) Comunicación entre el seno frontal y el lecho del mucocele. D) El disector indica el defecto óseo de la pared posterior del seno frontal y el defecto dural frontobasal. E) Retracción fronto-basal y exposición del techo de la órbita. F) Sellado del seno frontal tras vaciado y exéresis de los restos de mucosa.
EVOLUCIÓN POSTOPERATORIA
El paciente fue extubado en quirófano y remitido a Unidad de Reanimación según protocolo neuroquirúrgico para vigilancia durante las primeras veinticuatro horas. Tras evolucionar favorablemente en dicha unidad, pasó a sala de hospitalización donde se ajustó la pauta de antibioterapia (amoxicilina-clavulánico 875 mg/125 mg cada 8 horas) y se objetivó la normalización de las pruebas analíticas realizadas y la resolución del cuadro de desorientación témporo-espacial. El examen neurológico realizado tras 24-48h de la cirugía no puso de manifiesto alteraciones ni déficits en relación con el procedimiento quirúrgico.
Previo al alta se realizó tomografía cráneo-cerebral de control observando la exéresis completa de la lesión y el sellado del seno frontal izquierdo, sin complicaciones secundarias asociadas.
El paciente fue dado de alta a las noventa y seis horas de su ingreso con cobertura antibiótica (amoxicilina-clavulánico 875-125mg/8h hasta completar los diez días de tratamiento) a pesar de la negatividad de los cultivos tomados intraoperatoriamente. En la actualidad, seis meses más tarde, el paciente se mantiene asintomático, sin secuelas neurológicas y en seguimiento clínico-radiológico por nuestra especialidad. Presentamos el primer control de resonancia magnética realizado un mes y medio tras la intervención en el que se aprecia resolución completa de la lesión (Fig 1 E-F).
ANATOMÍA PATOLÓGICA
El examen histológico mostró fragmentos de tejido óseo compacto, parcialmente trabeculado, de características maduras y sin criterios de malignidad compatible con lesión de tipo osteoma. Presentaba revestimiento de epitelio ciliado de tipo respiratorio, acompañado de estroma edematizado con cambios inflamatorios crónicos y áreas de fibrosis. Por último, se apreciaban grandes áreas quísticas con contenido mucoide y cristales de colesterol revestidos de epitelio monocapa cilíndrico ciliado, compatible con mucocele invasivo.
DISCUSIÓN
Los osteomas de los senos paranasales son lesiones que cursan de manera asintomática, o con síntomas leves, como consecuencia del inadecuado drenaje de los mismos. Presentan un crecimiento lento, predominando el seno frontal como la localización más frecuente1,5. En la literatura, tan sólo se han reportado 27 casos en los que se describa la presencia de un mucocele paranasal con invasión intracraneal presentando únicamente tres de ellos, incluyendo el presente caso, su transformación a un absceso secundariamente6. El caso que presentamos muestra un mucocele evolucionado a absceso, sin hallazgos concluyentes en las secuencias ADC y difusión de los estudios de resonancia magnética nuclear. Cabe destacar que los resultados en las secuencias T1 y T2 son muy variables en función del contenido proteináceo y de la viscosidad de la lesión, por lo que su identificación resulta a veces compleja.
Si bien el síntoma inicial más común es la cefalea7-8 el diagnóstico viene condicionado gran parte de las veces por complicaciones intracraneales derivadas. Entre las complicaciones clínicas secundarias a los mucoceles con invasión intracraneal destacan las crisis comiciales, las fístulas de líquido cefalorraquídeo o el neumoencéfalo (como consecuencia de un mecanismo valvular de entrada de aire desde las cavidades nasales)9.
El crecimiento del mucocele en los senos paranasales parece relacionarse tanto con el efecto inflamatorio generado por los mismos, como por su mecanismo de protección frente a la formación de osteomas gigantes. En determinados casos en los que no son suficientes estos mecanismos de defensa, resultan en una invasión intracraneal9-10.
La combinación de una lesión calcificada en el seno frontal y otra cercana de bordes bien definidos debería incluir diagnósticos diferenciales como los tumores gliales de alto grado, las infecciones parasitarias (cisticercosis, esquistosomiasis), los tumores epidermoides o los meningiomas, entre otros. A nivel histológico el diagnóstico diferencial debería incluir los quistes endodérmicos, ependimarios, coloides, dermoides nasales invasivos o epidermoides intracerebrales11-12.
En pacientes sintomáticos, o en aquellos con invasión intracraneal, está indicado el tratamiento. Existen dos posibles abordajes: endoscópico transnasal y microquirúrgico transcraneal. Esta segunda opción permite la escisión completa de la lesión sin rotura capsular, disminuyendo el índice de recurrencias comparado con la técnica endoscópica que puede presentar hasta una mayor tasa de recurrencias en resecciones parciales10. El tratamiento endoscópico está adquiriendo cada vez mayor peso, ya que consigue unos mejores resultados estéticos y permite mantener la funcionalidad del seno. No obstante, el tratamiento microquirúrgico transcraneal todavía se postula como el de elección para la resolución completa de la enfermedad con menor tasa de comorbilidades asociadas10-11. La reconstrucción de los orificios de drenaje es todavía controvertida13.
Las recomendaciones actuales sugieren un seguimiento mediante pruebas de imagen cada dos años, al menos durante cuatro o cinco años tras la intervención, prestando especial atención a aquellos pacientes con procesos inflamatorios o infecciosos de los senos paranasales14.
CONCLUSIÓN
Los mucoceles del seno frontoetmoidal son una patología relativamente frecuente con poca significación clínica. Su evolución a la complicación por el contrario no lo es, y puede ser grave, especialmente a nivel del sistema nervioso central. Su conocimiento, diagnóstico y tratamiento precoz resultan imperativos para minimizar las consecuencias devastadoras de una lesión benigna que se pueden derivar de una mala interpretación y un mal manejo. Se describen y clarifican con esa intención cada uno de los pasos para su correcto tratamiento.
ACLARACIONES
BIBLIOGRAFÍA
COMENTARIO
Los autores describen un paciente con un mucocele secundario a un osteoma del seno frontal con invasión del parénquima frontal izquierdo. Respecto al manejo de los senos neumatizados abiertos es importante referirles a los lectores jóvenes que existen varias opciones para su sellado y tratamiento. Se puede usar músculo o grasa en caso de tener reparada la pierna o el abdomen para la toma del material autólogo, aunque muchos cirujanos lo desaconsejan porque se asocia a cacosmia por la descomposición de dichos tejidos dentro de la vía rino-sinusal. Otra opción es rellenar el seno con esponja de gelatina reabsorbible sumergida en iodopovidona para luego suturar a la duramadre un fragmento de periostio pediculado y así cubrir el defecto a tratar. Se desaconseja (si bien algunos autores lo emplean) el uso de cera de hueso o cemento acrílico óseo por ser materiales porosos que facilitan la formación de “biofilms”, siendo el seno una cavidad naturalmente no estéril (teniendo mayor peso esta recomendación en el particular escenario de absceso asociado). Se empiezan a intentar tratamientos reconstructivos del hueso comprometido -en caso de ser necesario- con titanio (incluso existen prótesis con revestimiento de partículas de plata con efectos bacteriostáticos y bactericidas), cuya trama y superficie se relaciona menos a colonización y adherencia del “slime” bacteriano, y las primeras experiencias sugieren menos riesgos y chances de perpetuar infecciones.
Tomás Funes
Sanatorio Anchorena. Buenos Aires. Argentina
COMENTARIO
Los autores presentan un caso de un mucocele frontal con extensión intracraneana. En dicho artículo se presenta de forma detallada los signos y síntomas, los estudios imagenológicos, el tratamiento y, finalmente, el control post-operatorio.
Si bien los osteomas frontales son los tumores benignos más frecuentes de los senos paranasales, de crecimiento lento y generalmente asintomáticos, sólo en el 5% de los casos se presenta como un mucocele debido a la obstrucción del seno, como fue el caso presentado.1-6 Sumado a ello, es aún más rara la invasión de la bóveda craneana con sólo 27 casos descriptos en la literatura consultada, convirtiendo este artículo en algo tan singular.7
El tratamiento de esta patología puede variar desde el control imagenológico, la resección por vía transcraneana, como fue en el caso descripto debido al tamaño y la extensión intracraneana, la endoscópica, o la combinada.6 Finalmente, las fotos intraoperatorias presentadas por los autores permiten al lector entender claramente la estrategia quirúrgica utilizada.
Felicito a los autores por el trabajo realizado.
Ezequiel Yasuda
Hospital de Clínicas “José de San Martín”
BIBLIOGRAFÍA