Complicaciones inusuales de las derivaciones ventrículoperitoneales. A propósito de 2 casos pediátricos
Miguel Grijalba, Sebastián Jaimovich, Agustín Ruiz Johnson Beatriz Mantese
Servicio de neurocirugía pediátrica, Hospital de Pediatría S.A.M.I.C. “Prof. Dr. Juan P. Garrahan”. Buenos Aires, Argentina.
RESUMEN
Introducción: Durante el seguimiento de los pacientes con derivación ventrículoperitoneal (DVP) para el tratamiento de la hidrocefalia se pueden presentar complicaciones habituales relacionadas a la derivación, tales como infecciones u obstrucción/ruptura del sistema derivativo. Sin embargo, raramente se pueden observar complicaciones más raras y graves que pueden afectan a órganos como el corazón y el pulmón.
Pacientes y métodos: Presentamos 2 pacientes con raras complicaciones relacionadas a la DVP. El primero, un paciente de 10 años, que después de 7 años de la implantación de una DVP presentó episodios de neumonía recurrente secundaria a la migración intrapulmonar del catéter distal. El segundo caso, un paciente de 3 años, que 5 meses posteriores a la colocación de una DVP presentó síntomas de hipertensión endocraneana secundarios a migración intracardíaca del catéter distal.
Conclusión: La migración intrapulmonar e intracardíaca del catéter distal son complicaciones extremadamente raras, pero que pueden producir morbilidad importante. Los pacientes con derivación ventrículoperitoneal deben ser controlados de forma rutinaria de por vida, con la finalidad de evitar comorbilidades asociadas a sus complicaciones.
Palabras clave: Derivación Ventrículoperitoneal; Complicación; Hidrocefalia; Migración Intratorácica; Migración Intracardíaca; PubMed
ABSTRACT
Introduction: during the follow-up of patients with ventriculoperitoneal (VP) shunts
for the treatment of hydrocephalus, common complications may occur, such as
infections or obstruction/rupture of the shunt system. However, more rare and serious
complications that affect organs such as the heart and lungs can be observed.
Patients and methods: we present 2 patients with rare complications related to VP
shunts. The first, a 10-year-old patient, who 7 years after implantation of a VP shunt,
presented episodes of recurrent pneumonia secondary to intrapulmonary migration of
the distal catheter. The second case, a 3-year-old patient, who 5 months after the
placement of a VP shunt, presented with symptoms of intracranial hypertension
secondary to intracardiac migration of the distal catheter.
Conclusion: intrapulmonary and intracardiac migration of the distal catheter are
extremely rare complications, but they can cause significant morbidity. Patients with
ventriculoperitoneal shunts should be routinely monitored for life by neurosurgeons, in
order to avoid comorbidities associated with potential complications.
Keywords: Ventriculoperitoneal Shunt; Complication; Hydrocephalus; Intrathoracic Migration; Intracardiac Migration
INTRODUCCIÓN
La colocación de una derivación ventrículoperitoneal es uno de los procedimientos más habituales para el tratamiento de la hidrocefalia. Existen múltiples complicaciones relacionadas reportadas en la literatura, tales como la infección, disfunción por obstrucción, desconexión, ruptura o exposición del sistema y complicaciones abdominales, que se pueden presentar durante el seguimiento de estos pacientes.1 Sin embargo, ocasionalmente pueden ocurrir otras complicaciones extremadamente infrecuentes.
Presentamos dos casos de migración inusual del catéter distal, el primero intrapulmonar con destrucción extensa del parénquima pulmonar y el segundo con migración intravascular e intracardiaca, con el extremo del catéter alojado en la vena supra hepática.
DESCRIPCIÓN DE CASOS
Fueron evaluadas las historias clínicas, imágenes y partes quirúrgicos de dos pacientes con complicaciones extremadamente raras relacionadas a la DVP, observadas durante el seguimiento en nuestro Hospital.
Se realizó una búsqueda bibliográfica en PUBMED buscando complicaciones poco frecuentes de las DVP (palabras clave: “ventriculoperitoneal shunt” AND “rare complication”, “thoracic complications”, “lung migration”, “lung destruction”, “intracardiac migration”, “heart migration”, “cardiac migration”).
Los casos reportados en la literatura de migración intracardiaca del catéter distal fueron solo 25.1-8 Si bien hay varios reportes de casos de migración intratorácica transdiafragmática del catéter distal, no hemos encontrado reportes de destrucción pulmonar por migración intrapulmonar.
Caso 1
Paciente de 10 años, con diagnóstico de hidrocefalia secundaria a mielomeningocele, que requirió DVP en otra Institución, 15 días después del cierre del disrafismo espinal. Presentaba antecedentes de neumonías recurrentes, que requirieron hospitalización a los 4 y 6 años. Su seguimiento neuroquirúrgico fue deficiente, sin control en los últimos 3 años.
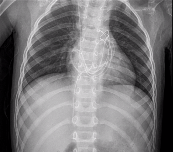
Ingresó a nuestra Institución, sin clínica neurológica progresiva, a través de la consulta ambulatoria con el Servicio de Neumonología. Se realizó una radiografía de tórax de rutina (Figura 1) y se completó estudios con Tomografía de tórax (Figura 2), en la que se evidenciaba migración intratorácica transdifragmatica del catéter distal de la DVP e infiltrado pulmonar derecho, asociado a fibrosis y retracción mediastínica. Se realizó Tomografía cerebral, evidenciando mayor dilatación ventricular en comparación al estudio previo. El paciente ingresó a quirófano para revisión del sistema valvular y recolocación de catéter distal en cavidad peritoneal. Evolucionó favorablemente y fue dado de alta con controles ambulatorios. Cinco meses después, el Servicio de Cirugía General realizó una neumonectomía estándar derecha, a través de toracotomía posterolateral, debido a la extensa destrucción pulmonar. A la inspección quirúrgica, no se observó lesión diafragmática. El informe histopatológico de la muestra evidenció fibrosis, bronquiectasias e infiltrado inflamatorio crónico con evidencia de sobreinfección aguda (Figura 3).
Figura 1: Radiografías de tórax y abdominal del Caso 1, que muestran un catéter distal migrado hacia el tórax (flecha roja) con un infiltrado pulmonar derecho y desplazamiento de la silueta cardíaca y las vías respiratorias (flecha negra).

Figura 2: Tomografía computarizada del tórax del Caso 1, que muestra el catéter distal migrado dentro del parénquima pulmonar derecho. Nótese la hiperdensidad patológica del tejido pulmonar (flecha roja) con el catéter distal migrado (flecha amarilla) y la retracción y desplazamiento del mediastino (flecha blanca).

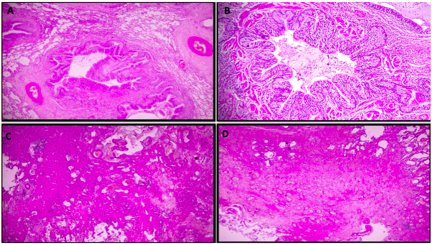
Figura 3: Examen histológico de la resección pulmonar del Caso 1, que muestra dilatación anormal permanente y destrucción de los bronquios. Evidencia de infección crónica y fibrosis (A y C). Deterioro de la secreción bronquial (B) y derrame pleural (D).
Caso 2
Paciente de 3 años, con antecedente de tumor de fosa posterior (TFP) e hidrocefalia, que debutó con síntomas de hipertensión endocraneana y ataxia de 3 semanas de evolución. Consultó a otra Institución, donde se colocó una DVP y se derivó a nuestro Hospital. Se realizó de forma programada resección del TFP sin complicaciones y con buena evolución. A los 5 meses de la colocación de la válvula, consultó por cefalea, náuseas y vómitos. Se estudió con Tomografía cerebral, que evidenció dilatación ventricular, y radiografías del sistema (Figura 4) que mostraron la ubicación intracardiaca del catéter distal. Se completaron los estudios con una tomografía de tórax (Figura 5) que informó la posición anómala del catéter distal, que se introducía en las cavidades cardiacas derechas, posteriormente en la arteria pulmonar, volviendo a las cavidades derechas e introduciéndose en la vena cava inferior con localización de la punta del catéter a nivel de la vena suprahepática derecha. No se observaron trombos relacionados con el catéter. Junto a los Servicios de Intervencionismo y Cirugía Cardiovascular se realizó la revisión valvular bajo monitoreo cardiológico continuo y radioscopia. A través de una incisión paralela a la válvula se retiró el catéter distal y se lo recolocó a la cavidad peritoneal. El paciente evolucionó favorablemente y fue dado de alta.

Figura 4: Radiografía de Tórax y abdominal del Caso 2, que evidencian la migración intra cardiaca del catéter distal de la derivación ventrículoperitoneal.

Figura 5: A) Tomografía computarizada de tórax del Caso 2. Se señala la posición anormal del catéter distal, que ingresa en las cavidades derechas a través de la vena yugular interna (flecha roja), alcanzando posteriormente la arteria pulmonar, para después volver a las dextro cavidades e introducirse en la vena cava inferior con localización de su extremo distal a nivel de la vena suprahepática derecha (flecha amarilla). B) Reconstrucción 3D del catéter distal ingresando al atrio derecho.
DISCUSIÓN
Aunque hay diferentes formas de tratar la hidrocefalia, la derivación ventrículoperitoneal es la modalidad de tratamiento más utilizada, ya que es una técnica simple y eficiente. Sin embargo, algunas series informan que la tasa de complicaciones puede ser hasta del 70%, por lo que no se trata de un procedimiento inocuo.9
Las complicaciones torácicas de las DVP son raras, pero han sido informadas en la literatura, ya sea por traumatismo torácico directo durante el procedimiento o por migración del catéter distal por vía trans o supradiafragmática.10 El mecanismo de migración supradiafragmática consiste en la incorrecta tunelización del catéter distal con perforación pleural, generalmente a nivel de la fosa supraclavicular.11 Progresivamente, la presión inspiratoria negativa atrae al catéter distal hacia la cavidad torácica.10 En la migración transdiafragmática, el catéter se coloca correctamente en la cavidad peritoneal y luego puede migrar hacia el tórax a través de hiatos preexistentes en el diafragma (Bochdalek, postero lateralmente, y Morgagni, antero medialmente) o perforaciones generadas por el mismo catéter, en especial cuando existen reacciones inflamatorias locales alrededor de la punta del mismo.12,13
Para el caso de migración intracardiaca, han sido propuestos dos posibles mecanismos fisiopatológicos en la literatura. Una posible causa es la canulación inadvertida del sistema venoso a nivel cervical durante el procedimiento de tunelización distal, causando una perforación iatrogénica de la vena yugular externa o interna.1-8 El segundo mecanismo posible, podría ser una erosión gradual en una vena adyacente al catéter debido a su rigidez, lo cual puede ocurrir en meses13 o incluso años.3 En ambos casos, la presión venosa negativa en inspiración moviliza el catéter hacia la vena cava y la aurícula derecha.1-5
Fewel y Garton14 concluyeron que la migración intratorácica de los catéteres de derivación es inusual, pero podría conducir a complicaciones potencialmente mortales como embolia pulmonar, dificultad respiratoria, perforación bronquial, neumonía, derrame pleural, hidrotórax a tensión, neumotórax, arritmias5 e insuficiencia cardíaca.
Sospechamos que para el caso número 1, el mecanismo subyacente fue la migración transdiafragmática del catéter a través de un defecto focal en el hemidiafragma derecho, con la subsecuente perforación pleural y daño al parénquima pulmonar. El mecanismo fisiopatológico que explique el daño al parénquima aún se desconoce, sin embargo, se sugiere que podría estar relacionado con las infecciones pulmonares recurrentes secundarias al ingreso de LCR al parénquima pulmonar y a las vías respiratorias, así como una reacción crónica de cuerpo extraño a la silicona o a la película de Bario que recubre al catéter.
En el caso número 2, creemos que existió una perforación iatrogénica inadvertida de la vena yugular interna durante la tunelización del catéter distal y con el tiempo la presión negativa de inspiración atrajo el catéter al sistema vascular. Esto explicaría cómo el catéter distal ingresó a cavidades derechas a través de la vena yugular, para alcanzar posteriormente la vena cava inferior y la vena hepática derecha.
Para ambos casos, además de la correcta palpación durante la tunelización subcutánea, principalmente a nivel de la parrilla costal y la clavícula, se ha sugerido que el uso de catéteres distales más cortos o de material más blando, podría disminuir la incidencia de estas graves complicaciones.15 Por otro lado, para disminuir la probabilidad de lesionar estructuras vasculares se recomienda evitar una penetración demasiado profunda y medial (cerca de la horquilla esternal) del tunelizador a nivel de los tejidos del cuello.2
En la mayoría de los casos reportados de migración intratorácica del catéter distal, los autores recomiendan la realización de una revisión quirúrgica urgente de la derivación, con la extracción controlada del catéter ectópico y su reposicionamiento en el espacio peritoneal.10 En el caso de migración intracardiaca del catéter se debe ser más cauteloso, debido a que los giros complejos del catéter sobre su propio eje puede provocar nudos durante el intento de extracción.1-8 En estos casos particulares, se sugiere el retiro bajo radioscopia continua y la presencia expectante de los Servicios de Cirugía Cardiovascular e Intervencionismo, ya que probablemente un abordaje estándar de revisión valvular sea riesgoso, debido a las potenciales complicaciones como arritmias, embolia pulmonar, septicemia, trombosis, bacteriemia y sepsis, causadas por la manipulación del catéter.
CONCLUSIÓN
A pesar de que la cirugía de derivación ventrículo peritoneal es un procedimiento seguro, no está exento de complicaciones en el corto, mediano y largo plazo. Por lo que consideramos que el seguimiento de los pacientes tratados con estos sistemas derivativos debe ser rutinario y de por vida.
La migración ectópica del catéter distal de un sistema derivativo es una complicación infrecuente pero que puede producir morbilidad neurológica y/o sistémica importante, por lo que su tratamiento debe ser evaluado de forma multidisciplinaria.
Aunque extremadamente rara, la migración intratorácica intrapulmonar o intracardíaca del catéter de derivación puede causar secuelas graves, como destrucción pulmonar, arritmias y fallo cardiaco. Por lo tanto, siempre debe ser considerada en pacientes con DVP y síntomas respiratorios o cardiológicos.
BIBLIOGRAFÍA
1. Frahm-Jensen G, Newton PR, Drummond KJ, Wagner TP, Mees BM. Intracardiac migration and knotting of a ventriculoperitoneal Shunt. Journal of Clinical Neuroscience. 2015; 22: 771-3.
2. Rizk E, Dias M, Verbrugge J, Boop F. Intracardiac migration of a distal shunt catheter: an unusual complication of ventricular shunts report of 2 cases. J Neurosurg Pediatrics. 2009; 3: 525-8.
3. Nguyen HS, Turner M, Butty SD, Cohen-Gadol AA. Migration of a distal shunt catheter into the heart and pulmonary artery: report of a case and review of the literatura. Childs Nerv Syst. 2010; 26:1113–16.
4. Ruggiero C, Spennato P, De Paulis D, Aliberti F, Cinalli G. Intracardiac migration of the distal catheter of ventriculoperitoneal shunt: a case report. Childs Nerv Syst. 2010; 26:957–62.
5. Pérez Bovet J, Garcia Armengol R, Torta MC, Ferrer SM. Intracardiac migration of a ventriculoperitoneal shunt. Can J Neurol Sci. 2013; 40(5):734-5.
6. Manix M, Sin A, Nanda A. Distal ventriculoperitoneal shunt catheter migration to the right ventricle of the heart--a case report. J La State Med Soc. 2014; 166(1):21-5.
7. Chong JY, Kim JM, Cho DC, Kim CH. Upward migration of distal ventriculoperitoneal shunt catheter into the heart: case report. J Korean Neurosurg Soc. 2008; 44(3):170-3.
8. Kang JK, Jeun SS, Chung DS, Lee IW, Sung WH. Unusual proximal migration of ventriculoperitoneal shunt into the heart. Childs Nerv Syst. 1996;12(3):176-9.
9. inchon M, Fichten A, Delestret I, Dhellemmes P. Shunt revision for asymptomatic failure: surgical and clinical results. Neurosurgery (2003); 52: 347–53.
10. Taub E, Lavyne M. Thoracic complications of ventrículo peritoneal shunts: case report and review of the literature. Neurosurgery. 1994; 34:181–3.
11. Doh JW, Bae HG, Lee KS, Yun IG, Byun BJ. Hydrothorax from intrathoracic migration of a ventriculoperitoneal shunt catheter. Surg Neurol. 1995; 43: 340-3.
12. Hadzikaric N, Nasser M, Mashani A, Ammar A. CSF hydrothorax - VP shunt complication without displacement of a peritoneal catheter. Child’s Nerv Syst. 2002; 18: 179–82.
13. Muramatsu H, Koike K. Pleural effusions appearing in the rehabilitation ward after ventriculoperitoneal shunts: a report of two adult cases and a review of the literature. Brain Injury. 2004; 18: 835-44.
14. Fewel ME, Garton HJL. Migration of distal ventriculoperitoneal shunt catheter into the heart. Case report and review of the literature. J Neurosurg. 2004;100(2 Suppl Pediatrics):206-11.
15. Anegawa S, Yoshida M, Kuramoto S, Ohmori Y. Migration of ventriculoperitoneal shunt into the chest. Neurol Med Chir (Tokyo) 1986. 26:256- 61.
Bibliografía (dirección URL)
COMENTARIO
Siendo la cirugía de derivación ventrículo peritoneal un procedimiento presente en prácticamente todos los servicios de neurocirugía, en ocasiones, tenemos la impresión de conocer todas las complicaciones que rodean el mismo y como prevenirlas. Sin embargo, este excelente articulo nos sorprende y cuando creíamos que ya conocíamos todo, aún tenemos mucho más por aprender. Al igual que los autores, remarco la insistencia del seguimiento a largo plazo en los pacientes con DVP. Agradezco a los autores el esfuerzo por compartir con nosotros su experiencia a través de esta publicación.
Víctor Muñoz
Jefe de Servicio de Neurocirugía, Hospital de Niños de la Santísima Trinidad. Córdoba, Argentina.
COMENTARIO
Los autores presentan dos casos de complicaciones extremadamente infrecuentes de las Derivaciones Ventrículo Peritoneales. La Hidrocefalia, es una patología prevalente en el campo de la Neurocirugía Pediátrica y una de sus alternativas terapéuticas, la DVP, también es conocida por las complicaciones ya sean, infecciosas o mecánicas con las que el especialista debe y aprende a lidiar. Se describen dos casos muy bien documentados, de migraciones del catéter peritoneal, profundizando en la fisiopatología de dichos eventos y la resolución quirúrgica para cada caso. En mi experiencia personal, he visto con mayor frecuencia migraciones hacia el propio trayecto del catéter distal, “en caño de escopeta”, o perforaciones del tracto digestivo bajo, con exposición del catéter a través del ano, pero nunca migraciones como la que describen los autores.
Realizan además una amplia Revisión Bibliográfica donde se puede apreciar los escasos casos documentados en este tipo de complicaciones por lo que el artículo reviste especial interés para nuestra comunidad.
Marcelo D´Agustini
Jefe Neurocirugía, Hospital Sor Ludovica. La Plata, Buenos Aires, Argentina.