Papiloma coroideo atípico en paciente de la tercera edad: Revisión bibliográfica a propósito de un caso
Nicolás Rodríguez Gacio, Martín Olivetti
Hospital Escuela Gral. José F. de San Martin. Corrientes, Provincia de Corrientes.
Los autores no presentan conflicto de intereses.
Nicolás Rodríguez Gacio
nicorodriguezgacio@gmail.com
Recibido: Abril de 2019. Aceptado: Julio de 2020.
Palabras clave: Geriátrico; 4to Ventriculo; Papiloma Atípico; Plexo Coroideo
ABSTRACT
Introduction: Choroid plexus tumors are rare. They account for 0.3 to 0.6% of all brain tumors in adults and 10 to 20% in infants; in whom 70% of these have been registered and of which at least 50% occur in children under two years of age.
Objectives: This publication consists of describing a case of the third age with atypical papilloma of the fourth ventricle, the selected form of resolution and reviewing the bibliography on the subject.
Case presentation: 71-year-old male who consulted for gait instability and intermittent holocranial headache. On examination, he was disoriented, with memory disorders, magnetic gait, and urinary incontinence. Contrast-enhanced CT and subsequent MRI of the brain with gadolinium were performed, showing a 10 cc hypo-isointense occupying space lesion. Approx. occupying the 4th ventricle, with intense enhancement to contrast administration and ventriculomegaly associated with transependymal edema.
Intervention: Exeresis is performed, achieving complete resection and clinical improvement.
Discussion: Atypical choroid plexus papilloma (Grade II) is an intermediate entity that is fundamentally distinguished from grade I papilloma by its mitotic activity; 2 or more mitoses in 10 fields.
Conclusion: This report addresses a surgically challenging pathology, potentially curable and classically infantile, but which can also occur in the geriatric population.
Key words: Geriatric; 4th Ventricle; Atypical Papilloma; Choroid Plexus
INTRODUCCIÓN
Los tumores del plexo coroideo son raros. Provienen de su epitelio y contabilizan del 0,3 a 0,6% de la totalidad de los tumores cerebrales en adultos y del 10 a 20% en infantes; en quienes se ha registrado el 70% de estos y de los cuales al menos un 50% suceden en menores de dos años de edad.5
Los papilomas de plexo coroideo han sido clasificados por la OMS (Organización Mundial de la Salud) como tumores de grado 1. Y por la naturaleza benigna de los mismos, la resección quirúrgica total se considera curativa.
Su forma maligna, el carcinoma de plexo coroideo está clasificado como de grado III y está caracterizado por anaplasia, mitosis, pleomorfismo nuclear, necrosis e invasión. El papiloma atípico de plexo coroideo (Grado II) es una entidad intermedia que se distingue fundamentalmente del papiloma de grado I por su actividad mitótica; 2 o más mitosis por 10 campos.5,6,9
Esta publicación consiste en la descripción de un paciente de la tercera edad con papiloma atípico del cuarto ventrículo, la forma de resolución seleccionada y revisión bibliográfica a propósito del mismo.
PRESENTACIÓN DE CASO
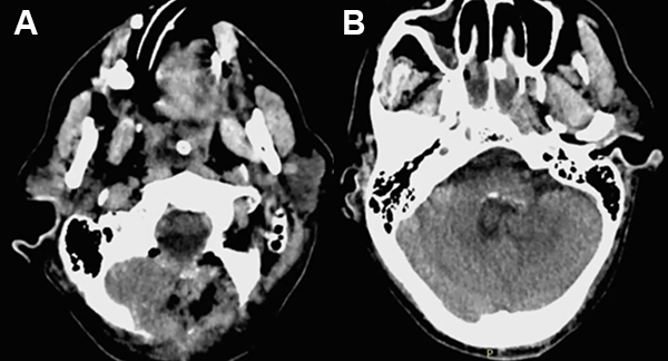
Paciente masculino de 71 años de edad, tabaquista de larga data. Consulta por inestabilidad en la marcha y cefalea holocraneana intermitente. Al examen se muestra vigil, desorientado, con alteración de la memoria a corto plazo, marcha magnética e incontinencia urinaria. Se realiza TC contrastada y posterior RM de cerebro con gadolinio objetivándose lesión espacio ocupante hipo-isointensa de 10 cc. aprox. ocupando el 4to ventrículo, con realce intenso a la administración de contraste y ventriculomegalia asociada (índice de Evans de 0,43) con edema transependimario (figs. 1 y 2).
Figura 1: TC axial con contraste evidenciando lesión hiperdensa con captación intensa y heterogénea.

Figura 2: RM T1 sin contraste, corte coronal, lesión del 4to ventrículo iso-ligeramente hiperintensa espontáneamente.
Se decide exéresis mediante craneotomía suboccipital medial observándose durante el acto quirúrgico lesión de carácter blanda, vegetante y vascularizada que ocluye ambos forámenes de Luschka (figs. 3 a 5).

Figura 3: Incisura cerebelosa posterior. Se observa rebatimiento dural hacia caudal y lateral. Hemisferios cerebelosos, lesión vegetante ocupando cisterna magna.

Figura 4: Disección con microtijera roma de arteria PICA izquierda. Lesión que obstruía ambos forámenes de Luschka.

Figura 5: Resección completa, piso del cuarto ventrículo.
Se realiza resección macroscópica completa (fig. 6). El paciente alcanza el alta hospitalaria con resolución de trastornos miccionales y deambulatorios. El informe anatomo-patológico revela papiloma atípico de plexo coroideo, diagnóstico confirmado mediante técnicas de inmunomarcación.

Figura 6: TC axial de control que evidencia resección completa.
DISCUSIÓN
Los papilomas de plexos coroideos son raras neoplasias que se originan en el epitelio coroideo, y constituyen aproximadamente el 0.3% de todos los tumores del sistema nervioso central en adultos, habiéndose reportado numerosos casos en adultos jóvenes, pero muy pocos en pacientes añosos.5,9
La clasificación de la OMS para los mismos se basa en el número de mitosis, grado de pleomorfismo nuclear, densidad celular y presencia o ausencia de necrosis.5,6,9
Los hallazgos microscópicos en los papilomas de plexo coroideo típicamente aparecen como una capa simple de células epiteliales cuboideas rodeadas de un tallo fibrovascular, dispuesto en una configuración similar a proyecciones digitales.
El papiloma coroideo atípico o anaplásico fue incorporado en la clasificación de la OMS de 2007, corresponde al grado de transición o malignidad intermedia, entre el tumor de bajo (PPC) y alto grado (CPC). Este muestra mayor pleomorfismo, celularidad y mitosis (2 o más mitosis en 10 campos seleccionados al azar) que el PPC típico; esta actividad mitótica incrementada es la base de la diferencia en tratamiento y pronostico con la forma típica.
Las características histológicas del carcinoma de plexo son signos de malignidad como alta tasa de mitosis, pleomorfismo nuclear, densidad celular elevada, oscuridad del patrón de crecimiento papilar y necrosis celular.
El grado histológico es importante como determinante del pronóstico, con 77% de supervivencia en los benignos y 35% en los carcinomas a 10 años.7
Desde el punto de vista genético consiste en mutación de la P53 y Hsfn5/IN/1. Mutaciones somáticas del cromosoma 22 fueron reportadas en el papiloma de plexo coroideo, el papiloma atípico y carcinoma de plexo coroideo en la misma familia.1,9
La hidrocefalia usualmente se encuentra relacionada. Las causas incluyen sobreproducción de LCR, inflamación y obstrucción de la vía de circulación de LCR. El crecimiento extraventricular de estas lesiones se observa en tres situaciones: extensión directa del tumor primario, siembra a partir del LCR y desarrollo de un tumor primario a partir de la pequeña porción de plexo que normalmente se proyecta por fuera del Foramen de Luschka.
Las características tomográficas son bien definidas; aparece como una masa lobulada, hiperdensa en relación al parénquima adyacente y realce homogéneo e intenso a la administración de contraste. En RM se muestran isointensos en T1 e iso-hipointensos en T2, con marcado realce a la administración de gadolinio. Puede poseer áreas de baja intensidad de señal que se corresponden a calcificaciones. Los signos angiográficos pueden incluir la presencia de múltiples arterias espiraladas como si se tratara de un meningioma; con realce en fase arterial temprana y persistencia en fase venosa, desplazamiento de vasos como la vena cerebral interna evidenciando dilatación ventricular.8
Macroscópicamente los papilomas de plexo coroideo son masas bien circunscriptas, con forma de coliflor que pueden adherirse a la pared ventricular. La infiltración parenquimatosa fue observada en 32,2% de una serie retrospectiva de 38 casos y esto se relacionó de forma estadísticamente significativa con el grado histológico.3
Estos tumores pueden metastatizar en cualquier lugar del neuroeje a través del LCR; subdividiéndose en metástasis leptomeningeas, intraparenquimatosas e intraventriculares.1 La diseminación al raquis es rara. Las metástasis son más comunes en tumores localizados en la fosa posterior y han sido asociados más a menudo con los CPC. Sin embargo, el estudio multicéntrico CPT-SIOP-200 reportó que el 19% de papilomas atípicos presentaron diseminación distal.2,10
La primera línea terapéutica es siempre la excisión quirúrgica, para todas las variantes de tumores coroideos. El pronóstico en los casos típicos es excelente, con tasas de supervivencia de 100% a 5 años de la resección. El pronóstico en pacientes con carcinomas del plexo coroideo es menos favorable, con tasas de supervivencia a 5 años entre 26 y 50%. El factor pronóstico negativo más ominoso continúa siendo el tejido tumoral residual. La extensión de la resección, la progresión del tumor y las metástasis leptomeningeas han tenido relación estadísticamente significativa con la sobrevida general.3
La recurrencia tumoral fue observada más frecuentemente en pacientes con infiltración cerebral evidente en el intraoperatorio y en los grados histológicos altos.6 Por su parte, Jeibmann y colaboradores reportaron que la tasa de recurrencia en papilomas atípicos fue de 6 en 21 casos, mayor que la reportada para papilomas de plexo donde hallaron 6 en 103 casos. También afirman que la actividad mitótica incrementada es el único factor predictivo de recurrencia.4
El primer ensayo clínico especifico para PPC, el CPT-SIOP – 2000 recomienda, tanto como para pacientes con PPC y PPC atípicos en los cuales la resección quirúrgica fue completa, “observar y esperar”; seguimiento con RM cráneo-espinal con contraste. Para pacientes con carcinoma, enfermedad metastásica o PPC en los cuales la resección fue incompleta se sugiere tratamiento complementario con 6 ciclos de quimioterapia y radioterapia craneoespinal.2,10
Sin embargo, a pesar de éstas recomendaciones, la necesidad de terapia adyuvante preventiva después de la resección total así como la radioterapia y quimioterapia para papilomas atípicos del plexo coroideo continua siendo controversial.
CONCLUSIÓN
Los papilomas atípicos de plexo coroideo en pacientes gerontes constituyen un cuadro extremadamente raro. Son producidos por alteraciones genéticas. Se trata de lesiones quirúrgicamente desafiantes y potencialmente curables mediante cirugía. Pueden dar metástasis por lo cual el control periódico con resonancia craneoespinal debe ser realizado en todos los casos. Las terapias coadyuvantes requieren mayor evidencia científica para justificar su uso en papilomas atípicos.
BIBLIOGRAFÍA
COMENTARIO
Muy completa la descripción clínica, de imágenes y quirúrgica de un caso inusual por la edad de presentación.
Desearía contar con fotos de microscopía para incluir diagnósticos diferenciales desde el punto de vista patológico en un tumor con la topografía y el rango etáreo descripto.
Felicito a los autores por el trabajo realizado.
Silvina Figurelli
Hospital Dr. Juan A. Fernández. C.A.B.A., Argentina.
BIBLIOGRAFÍA
COMENTARIO
Los autores presentan un caso muy poco frecuente, sobre papiloma coroideo atípico en un paciente de 71 años, que se presenta con un cuadro clínico de inestabilidad de la marcha y cefalea. Dicha lesión fue resuelta de manera satisfactoria y completa mediante una resección quirúrgica.
La técnica operatoria es expuesta de una manera gráfica de forma clara y concisa, que permite a aquellos neurocirujanos con experiencia en fosa posterior comprender el acto quirúrgico realizado.
El trabajo sirve como actualización sobre un tema que es poco encontrado en la práctica neuroquirúrgica debida a su baja incidencia, y nos recuerda que debemos considerarlo como un diagnóstico diferencial.
Jimmy Achi Arteaga
Hospital Clínica Kennedy. Guayaquil, Ecuador.
COMENTARIO
El autor describe un tumor de localización habitual en el adulto, pero en un rango etario de aparición infrecuente. El papiloma coroideo atípico OMS grado II fue introducido como entidad propia en la clasificación del año 2007. Se considera como criterio diagnóstico la aparición superior a 2 figuras de mitosis en 10 campos seleccionados al azar (a diferencia del papiloma de plexo coroideo que tiene menos de 2 figuras mitóticas y el carcinoma de plexo coroideo que tiene más de 5 figuras mitóticas en 10 campos seleccionados al azar), sumado a características histopatológicas intermedias como lo son al menos 2 de los siguientes criterios: celularidad aumentada, pleomorfismo nuclear, “desenfoque” de la arquitectura celular y necrosis (1 criterio OMS grado I; 2 criterios OMS grado II; 3 o más criterios OMS grado III – y limitando la necrosis al carcinoma). Si bien no ha sido descrita la mutación en TP53 en los grados I, los grados II y III la presentan en franco aumento y directamente proporcional al nivel de malignidad de la lesión. Otras vías de señalización molecular iniciadoras de cascadas apoptóticas han sido descriptas sin demasiado especificidad del grado ni importancia pronostica (al momento actual). Con líneas de investigación en desarrollo, no se introdujeron cambios en su denominación a la clasificación de la OMS 2016.
Tomás Funes
Sanatorio Anchorena. C.A.B.A., Argentina.
COMENTARIO
Los autores presentan un caso de papiloma atípico de plexo coroideo de cuarto ventrículo en un paciente septuagenario. Se describe la sintomatología de presentación, los estudios complementarios y el tratamiento quirúrgico realizado. Se ilustra con imágenes de RM y TC pre y postoperatorias y con fotos intraoperatorias que muestran la resección quirúrgica completa del tumor.
Como bien dicen los autores, se trata de un tumor muy infrecuente, de claro predominio en la población pediátrica, con características histopatológicas, resultados clínicos y pronóstico intermedio entre el papiloma y el carcinoma de plexo coroideo. El tratamiento de elección es la resección quirúrgica completa y es fundamental el seguimiento prolongado con RM craneoespinal. El tratamiento adyuvante con quimio y radioterapia solo estaría indicado en los casos de recaída y/o metástasis por diseminación por LCR.
Considero que se trata de un trabajo bien presentado, con buena calidad de imágenes, resuelto correctamente y con una adecuada revisión del tema.
Martín Guevara
Hospital Juan A. Fernández. C.A.B.A., Argentina.
COMENTARIO
El caso amerita una edad poco frecuente y debe ser soportado por el análisis epidemiológico comparado y el soporte de la presentación que sí corresponde a un papiloma y no es otra lesión neoplásica. Actualmente hay revisiones frecuentes de las neoplasias del SNC en c-IMPACT-NOW, con la actualización de los cambios moleculares, que tienen implicaciones de diagnóstico y pronóstico, además de los detalles de la técnica quirúrgica usada.
Fernando Velandia Hurtado
Universidad del Rosario. Bogotá, Colombia.