Ependimoma extraaxial supratentorial: a propósito de un caso y revisión de la literatura
Jonathan Gabriel Salazar Analuisa,1,2 Leandro Carballo,1 Mickaela Echavarría Demichelis1,3
1. Servicio de Neurocirugía, Hospital Petrona V. de Cordero, San Fernando, Provincia de Buenos Aires, Argentina
2. Universidad Central de Ecuador, Quito, Ecuador
3. Universidad Nacional de Córdoba, Córdoba, Argentina
Recibido: 04/05/2025 Aceptado: 10/08/2025
Jonathan Gabriel Salazar Analuisa
Correo electrónico: md.gabosalazar@gmail.com
Los autores no declaran conflicto de interés
Los autores no declaran financiamiento.
Este es un artículo de acceso abierto bajo la licencia CC BY-NC https://creativecommons.org/licenses/by-nc/4.0/
RESUMEN
Introducción: los ependimomas son tumores del sistema nervioso central que se presentan con mayor frecuencia en la población pediátrica, habitualmente con localización infratentorial. Dentro de los ependimomas supratentoriales, la ubicación más común es la ventricular, mientras que los extraventriculares son poco frecuentes y suelen encontrarse en proximidad a los ventrículos. Aún más inusuales son los ependimomas extraventriculares sin relación con el epéndimo ventricular, de los cuales solo se han documentado un número muy limitado de casos en la literatura médica.
Objetivos: reportar un caso de ependimoma supratentorial extraaxial en edad adulta, como una entidad infrecuente y con escasos reportes en la literatura.
Descripción del caso: se presentó el caso de una paciente femenina de 32 años con antecedentes de crisis comiciales. En RM de encéfalo se evidenció una lesión extraaxial de gran tamaño a nivel frontal izquierdo con efecto de masa, por lo que se programó su resección quirúrgica.
Intervención: se logró una resección total de lesión mediante un abordaje amplio tipo Penfield frontotemporoparietal izquierdo. Los cortes histológicos mostraron una proliferación neoplásica de estirpe glial constituida por células de núcleo esférico y citoplasma fibrilar. Además, un componente de células claras, a predominio de estructuras tipo pseudorosetas ependimarias y, en algunos focos, la transformación papilar. La inmunomarcación para EMA fue francamente positiva a nivel de “puntos paranucleares”. GFAP marcó una intensa positividad en la totalidad de los elementos tumorales.
Conclusiones: los ependimomas supratentoriales extraaxiales son entidades sumamente infrecuentes. La resección quirúrgica sigue siendo el tratamiento de primera línea para confirmar el diagnóstico y, de esta forma, desarrollar el tratamiento oncológico posterior.
Palabras clave: Ependimoma extraaxial. Ependimoma supratentorial. Ependimoma extraventricular. Resección quirúrgica
Supratentorial extra-axial ependymoma: a case report and review of the literature
ABSTRACT
Background: ependymomas are central nervous system tumors that occur most frequently in the pediatric population, typically in an infratentorial location. Among supratentorial ependymomas, the most common site is the ventricular ependyma. Extraventricular ependymomas are rare and usually located near the ventricles. Even rarer are extraventricular ependymomas that arise independently of the ventricular ependyma, with only a handful of cases reported in medical literature.
Objective: to describe a case of extra-axial supratentorial ependymoma in an adult, a rare entity with very limited documentation in literature.
Case description: we report the case of a 32-year-old woman with a history of seizures. Brain MRI revealed a large extra-axial lesion in the left frontal region producing a mass effect, for which surgical resection was scheduled.
Surgery: total resection of the lesion was performed through a wide left fronto-temporo-parietal Penfield approach. Histopathology revealed a glial-lineage neoplastic proliferation composed of cells with spherical nuclei and fibrillar cytoplasm. A clear cell component was observed, along with predominant ependymal pseudorosette-like structures and focal papillary transformation. EMA immunostaining showed strong paranuclear dot-like positivity, while GFAP demonstrated diffuse intense positivity in all tumor elements.
Conclusions: extra-axial supratentorial ependymomas are exceedingly rare. Surgical resection remains the first-line treatment to confirm the diagnosis and thus develop subsequent oncologic treatment.
Keywords: Extra-axial ependymoma. Extraventricular ependymoma. Surgical resection. Supratentorial ependymoma
INTRODUCCIÓN
Los ependimomas son neoplasias primarias del sistema nervioso central (SNC) que representan alrededor del 3-5% de todos los gliomas intracraneales en adultos.(1,2)Pueden afectar cualquiera de los tres compartimentos del SNC: supratentorial, fosa posterior y médula espinal, y a todos los grupos de edad.(3) Generalmente son infratentoriales y nada más que un tercio son supratentoriales.(4) De estos, los tumores extraventriculares representan el 50%; la mayoría de ellos se encuentran en la vecindad de los ventrículos y tienen alguna conexión con los márgenes ventriculares. Los ependimomas puramente extraventriculares, sin relación con los ventrículos, son extremadamente raros.(5-7) Se han identificado varios parámetros pronósticos negativos, como la edad temprana, la resección incompleta del tumor, la anaplasia histológica y la localización supratentorial.(5,8,9)
OBJETIVOS
Describir y analizar un caso clínico de un paciente adulto con ependimoma supratentorial extraaxial, destacando su rareza como entidad patológica, la presentación clínica atípica, el abordaje diagnóstico y terapéutico y su relevancia en la literatura médica actual debido a la escasa cantidad de reportes documentados hasta la fecha.
DESCRIPCIÓN DEL CASO
Paciente femenina de 32 años sin antecedentes de jerarquía, que consultó a nuestro servicio por episodios convulsivos de 2 meses de evolución. Mediante estudios de imágenes, se evidenció una lesión ocupante de espacio de gran tamaño en la región frontal izquierda atribuible a sus síntomas, por lo cual se programó su intervención.
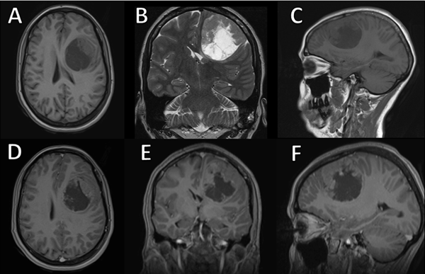
Al examen físico de ingreso se encontraba lúcida sin foco motor ni sensitivo. Como únicos datos positivos, se evidenciaron afasia de expresión, agrafia y alexia. En el estudio de resonancia magnética (RM) cerebral se observó una lesión extraaxial frontal izquierda, de características heterogéneas a predominio hipointenso en secuencia T1 e hiperintensa en T2, sin restricción a la difusión con tenue realce periférico a la administración de contraste endovenoso. Sus mediciones aproximadas eran 5.44 x 4.65 x 5.43 cm. Dicha lesión no producía edema, sin embargo, colapsaba parcialmente el asta frontal del ventrículo ipsilateral y desviaba discretamente las estructuras de línea media hacia el lado contralateral (Figura 1).

Figura 1. Resonancia magnética cerebral prequirúrgica. A) Secuencia axial T1. B) Coronal T2. C) Sagital T1. D-F) Se observa una lesión frontal izquierda redondeada de componente sólido-quístico de aproximadamente 54 mm x 46 mm x 54 mm, de localización extraaxial, que colapsa el ventrículo lateral ipsilateral, con tenue realce a la administración de contraste endovenoso.
En la RM de columna cérvico-dorsolumbosacra no se observaron lesiones focales. En el análisis espectroscópico sobre la lesión se reconoció reducción del pico de NAA (marcador neuronal) así como presencia de picos de lípidos (necrosis) que resuena en 0.9 y 1.3 ppm y pico de mioinositol que resuena en 3.5 ppm (Figura 2).

Figura 2. Espectroscopia. Se evidencia reducción del pico de NAA (marcador neuronal) así como presencia de picos de lípidos, colina y mioinositol.
INTERVENCIÓN
La paciente fue posicionada en decúbito supino con la cabeza ligeramente lateralizada hacia la derecha y fijada con cabezal de Mayfield. Incisión tipo Penfield frontoparietotemporal izquierda en monoplano, rebatiendo el colgajo hacia frontal. Se identificaron reparos óseos: sutura coronal y sagital. Craneotomía frontoparietotemporal izquierda. Durotomía arciforme con base hacia medial. No se evidenció compromiso óseo, ni dural.
En la etapa microquirúrgica se observó una lesión extraaxial con expresión cortical a nivel frontal de aspecto violáceo y friable (Figura 3A). Se realizó desvascularización de la superficie tumoral con coagulación bipolar, cavitación central y vaciamiento tumoral con aspirador ultrasónico. Se manifestó exteriorización del contenido quístico de aspecto citrino, se tomó muestra de este y de la parte sólida. Se hizo una resección completa de la lesión sin evidencia de remanente tumoral (Figura 3B). Hemostasia de lecho quirúrgico. Fijación de plaqueta ósea. Se efectuaron puntos de Poppen. Cierre de músculo, galea y piel. Toleró el procedimiento adecuadamente, permaneció en Unidad de Terapia Intensiva durante 24 horas.

Figura 3. Imágenes intraquirúrgicas. A) Lesión de localización extraaxial, de aspecto violáceo, vascularizada y con marcado plano de clivaje. B) Lecho quirúrgico sin evidencia de remanente tumoral con presencia de material hemostático en la profundidad.
En el posoperatorio inmediato se realizó tomografía computada (TC) cerebral de control donde se observó huella de craneotomía frontoparietotemporal izquierda; subyacente a la misma, imagen heterogénea a predominio hipodenso correspondiente a lecho quirúrgico con discreto neumoencéfalo laminar y menor colapso de asta frontal de ventrículo ipsilateral. Cisternas basales libres. Estructuras de línea media conservadas.
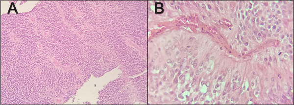
Los cortes histológicos enviados a anatomía patológica mostraron una proliferación neoplásica de estirpe glial constituida por células de núcleo esférico y citoplasma fibrilar. Disposición difusa, con densidad celular moderada. Existe un componente de células claras, predominan las estructuras de tipo pseudorosetas ependimarias y, en algunos focos, transformación papilar. La inmunomarcación para EMA es francamente positiva a nivel de “puntos paranucleares”. GFAP marca una intensa positividad en la totalidad de los elementos tumorales. Llama la atención la presencia de un foco de necrosis (Figura 4). El diagnóstico histopatológico fue ependimoma grado II, según clasificación de la OMS.

Figura 4. Histopatología. A) Muestras de la lesión teñidas en hematoxilina-eosina donde se evidencia proliferación neoplásica glial constituida por células de núcleo esférico y citoplasma fibrilar. B) Estructuras tipo pseudorosetas ependimarias y en algunos focos, la transformación papilar.
Seguimiento postquirúrgico
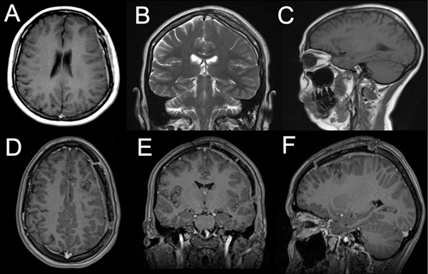
Se efectuó control a los seis meses postquirúrgicos sin evidencia de remanente tumoral ni progresión de la enfermedad (Figura 5). No requirió tratamiento oncológico adyuvante y, al no presentar crisis convulsivas posterior a la intervención, se optó por descender paulatinamente las dosis de anticomiciales hasta su suspensión.

Figura 5. Resonancia magnética cerebral postquirúrgica. A-C) Seis meses posteriores a la intervención, se evidencia la restitución completa del ventrículo lateral izquierdo y del parénquima cerebral circundante, sin evidencia de remanencia tumoral. D-F) No se observan realces patológicos a la administración de contraste endovenoso.
DISCUSIÓN
Los ependimomas son una entidad distinta dentro de los tumores gliales. Se ubican generalmente en la fosa posterior, con menos frecuencia en los hemisferios cerebrales, y suelen aparecer como masas grandes, quísticas y calcificadas.(10,11) Se originan de las células que recubren el sistema ventricular y el canal central de la médula espinal.(12)
Como se mencionó anteriormente, una minoría de casos surgen del parénquima supratentorial y no muestran continuidad con el sistema ventricular. Estas variantes se denominan ectópicos, corticales, lobulares o extraventriculares.(13)
Los ependimomas supratentoriales representan un subgrupo con un mejor pronóstico en comparación con los infratentoriales. Esto puede estar relacionado por el hecho de que la resección total se consigue con más frecuencia en los tumores supratentoriales. La supervivencia a cinco años es más favorable en adultos y en niños de mayor edad. En cambio, los pacientes entre 2 y 5 años presentan un pronóstico significativamente peor, con tasas del 22-40%, frente al 60-75% observado en los mayores. El pronóstico en los niños mayores de cinco años es el mismo que el de los adultos. El resultado se puede correlacionar mejor cuando se considera la edad al momento del diagnóstico junto con la extensión de la resección quirúrgica.(14)
Los ependimomas intracraneales extraaxiales son verdaderamente excepcionales. Hasta la fecha, solo se han documentado en la literatura un total de 30 casos, de los cuales la mayoría, concretamente, 24, son localizados en la región supratentorial. Esta rareza resalta la importancia de su reconocimiento y estudio en el campo de la neurocirugía.(15-18)
Las masas supratentoriales extraaxiales suelen diagnosticarse erróneamente como meningiomas. Estos ependimomas pueden parecerse mucho a los meningiomas en las imágenes. Este caso subraya la importancia de mantener un amplio diagnóstico diferencial para las masas extraaxiales y destaca el papel de ciertas características radiológicas que pueden ayudar a un diagnóstico preciso, o al menos levantar la sospecha de mimetismo con meningiomas.(18)
En el 2021, la Organización Mundial de la Salud (OMS) revisó la clasificación del ependimoma de acuerdo a su ubicación anatómica, histología y sus características moleculares: ependimoma supratentorial, ependimoma de la fosa posterior, ependimoma espinal y subependimoma.(19)
La resección quirúrgica sigue siendo el tratamiento de referencia para estos tumores. Una revisión sistemática sobre la opción de tratamiento óptima para los ependimomas supratentoriales en adultos concluyó que todos aquellos de grado III de la OMS requieren radioterapia adyuvante. En cambio, la resección total sin radioterapia puede tratar todos los ependimomas de grado II de la OMS.(20) Esto sucede con la variante anaplásica que es altamente invasiva, en la cual, incluso después de la extirpación total del tumor, es obligatoria la radioterapia adyuvante y un estrecho seguimiento del sistema nervioso central mediante resonancia magnética.(2)
En nuestro caso, la resección fue completa y la anatomía patológica no demostró una variante anaplásica, por esta razón, la paciente no requirió reintervención ni tratamiento oncológico adyuvante.
CONCLUSIÓN
Los ependimomas extraaxiales cerebrales son tumores raros que se originan fuera del parénquima cerebral, a diferencia de los ependimomas típicos que suelen ser intraventriculares o intramedulares. Su localización inusual puede dificultar el diagnóstico, ya que clínica y radiológicamente pueden simular otros tumores más comunes como meningiomas. El tratamiento principal es la resección quirúrgica completa, y el pronóstico depende del grado histológico y de la posibilidad de una extirpación total. Su rareza subraya la importancia de un enfoque diagnóstico y terapéutico multidisciplinario.
Contribución de autoría
Conceptualización, Investigación y Redacción - borrador original: Jonathan Gabriel Salazar Analuisa. Curación de datos y Metodología: Jonathan Gabriel Salazar Analuisa, Mickaela Echavarría Demichelis. Análisis formal y Redacción - revisión y edición: Mickaela Echavarría Demichelis, Leandro Carballo. Administración del proyecto, Visualización y Validación: Mickaela Echavarría Demichelis. Supervisión: Leandro Carballo. Recursos, Software y Adquisición de fondos: no aplican.
BIBLIOGRAFÍA
COMENTARIO
El ependimoma extraaxial supratentorial, como el presentado por Salazar y col., es una entidad excepcionalmente rara que desafía el diagnóstico preoperatorio. Este caso ilustra bien el mimetismo radiológico con el meningioma, destacando la necesidad de un alto índice de sospecha en adultos.(1,2) La confirmación diagnóstica, como se detalla en la intervención y patología del caso, se basa en hallazgos clásicos como la positividad de GFAP y los distintivos “puntos paranucleares” de EMA.(3) El logro de la resección quirúrgica total en este paciente es el factor pronóstico más relevante para los ependimomas Grado II,(4) lo que demuestra que la extirpación completa es la mejor estrategia oncológica. Felicito a los autores por la presentación del manejo de un tumor extraaxial atípico.
Santiago Driollet Laspiur.
Servicio Neurocirugía Funcional, Hospital Nacional “Prof. Alejandro Posadas”,
Provincia de Buenos Aires, Argentina
BIBLOGRAFÍA