“Coeficiente selar” y factores de riesgo asociados a fístula de LCR en cirugía endoscópica endonasal de tumores pituitarios neuroendocrinos
Martín Andrés Monsalve, Mauro Emiliano Ruella, Lucila Domecq Laplace, Jazmín Azul Fraire, Guido Caffaratti, Andrés Cervio
Departamento de Neurocirugía, Fundación para la Lucha contra las Enfermedades Neurológicas de la Infancia (FLENI), Ciudad Autónoma de Buenos Aires, Argentina
Recibido: 10/06/2024. Aceptado: 20/08/2024
Martín Andrés Monsalve
martinmonsalvejones@gmail.com
DOI: 10.59156/revista.v38i03.662
ORCID
Martín Andrés Monsalve: 0000-0003-2778-6026
Mauro Emiliano Ruella: 0000-0003-2198-6801
Lucila Domecq Laplace: 0000-0002-7882-9236
Jazmín Azul Fraire: 0009-0006-0665-3848
Guido Caffaratti: 0000-0002-1544-1859
Andrés Cervio: 0000-0001-7617-1605
EMAILS
Mauro Emiliano Ruella: mruella.ext@fleni.org.ar
Lucila Domecq Laplace ldomecq@fleni.com.ar
Jazmín Azul Fraire jfraire@fleni.org.ar
Guido Caffaratti gcaffaratti@fleni.org.ar
Andrés Cervio acervio@fleni.org.ar
Los autores no declaran conflicto de interés
Los autores no declaran financiamiento.
RESUMEN
Introducción: los tumores pituitarios neuroendocrinos (PitNET) corresponden aproximadamente al 15% de las neoplasias primarias intracraneales. El abordaje endoscópico endonasal (AEE) es actualmente el más utilizado para tratar esta patología. Una de las complicaciones inherentes a este procedimiento es la fístula de LCR.
Objetivos: describir los factores de riesgo que contribuyen al desarrollo de fístula de LCR en el AEE en los PitNET.
Material y métodos: se realizó un análisis retrospectivo de pacientes operados mediante un AEE por un mismo cirujano entre el 2019 y el 2023 con diagnóstico de PitNET. Se analizaron variables clínicas, radiológicas, quirúrgicas y anatomopatológicas vinculadas al advenimiento de una fístula intra (FiOP) y postoperatoria (FpOP). Se postula una herramienta novedosa para colaborar con el diagnóstico de esta complicación: el “coeficiente selar”.
Resultados: la incidencia de FiOP fue del 41.3%. El análisis univariado identificó varios factores de riesgo significativos para esta complicación. En el análisis multivariado, cuatro factores mostraron asociación independiente: apoplejía hipofisaria, extensión tumoral suprayacente al plano tuberculum selar-dorso selar, grado de resección tumoral subtotal, barrera selar débil, y el coeficiente selar. Respecto a la FpOP, esta presentó una incidencia del 3.3%. El grado de FiOP fue el principal factor determinante. Además, se observó que la FpOP presentó mayor incidencia de complicaciones tales como meningitis y vasoespasmo.
Conclusión: las fístulas de LCR en los AEE para PitNET afectan el tiempo quirúrgico, la estadía de internación y aumentan el riesgo de complicaciones. Esto resalta la importancia de una evaluación preoperatoria integral y una planificación quirúrgica precisa. La introducción del “coeficiente selar”, una métrica radiológica sencilla y reproducible, podría contribuir a prever el riesgo de fístula de LCR.
Palabras clave: Adenomas hipofisarios. Coeficiente selar. Fístula de LCR. Neurocirugía endoscópica.
"Selar coefficient" and risk factors associated with cerebrospinal fluid leakage in endoscopic endonasal surgery for neuroendocrine pituitary tumors
ABSTRACT
Background: neuroendocrine pituitary tumors (PitNET) account for approximately 15% of primary intracranial neoplasms. The endoscopic endonasal approach (EEA) is currently the most common surgical technique to treat this pathology. One of the main complications of this procedure is the CSF leakage.
Objectives: to describe the risk factors contributing to the development of CSF leakage in EEA for PitNET.
Methods: a retrospective analysis was conducted on patients operated by the same surgeon between 2019 and 2023 with a diagnosis of PitNET using EEA. Clinical, radiological, surgical, and oncological variables associated with intraoperative CSF leakage (FiOP) and postoperative CSF leakage (FpOP) were analyzed. A novel tool is proposed to aid in diagnosing this complication: the “sellar coefficient.”
Results: the incidence of FiOP was 41.3%. Univariate analysis identified several significant risk factors for this complication. In multivariate analysis, four factors showed independent association: pituitary apoplexy, suprasellar tumor extension above tuberculum sellae - dorsum sellae (TS-DS) plane, subtotal tumor resection, weak sellar barrier, and sellar coefficient. Regarding FpOP, its incidence was 3.3%. The grade of FiOP was the main determinant factor. Additionally, FpOP was associated with an increased risk of complications such as meningitis and vasospasm.
Conclusion: CSF leaks in EEA for PitNET have an impact on surgical time, hospital stay and increase the risk of complications. This emphasizes the importance of comprehensive preoperative evaluation and precise surgical planning. The introduction of the "sellar coefficient”, a simple and reproducible radiological metric, could contribute to predicting the risk of CSF leakage.
Keywords: CSF leakage. Endoscopic neurosurgery. Pituitary adenomas. Selar coefficient.
INTRODUCCIÓN
Los tumores pituitarios neuroendocrinos (PitNET) corresponden al 10-15% de los tumores primarios intracraneales, son superados en frecuencia únicamente por los meningiomas y los gliomas.1,2 Los objetivos de la cirugía de este tipo de lesiones se basan en remover la lesión tumoral, corregir el fenómeno de hiperproducción hormonal, conservar las funciones propias de la unidad tallo-hipofisaria y, a su vez, evitar el daño compresivo tumoral en la vía óptica.2 Actualmente, el abordaje endoscópico endonasal (AEE) es considerado la mejor opción para el tratamiento de esta patología, ya que en manos expertas presenta un índice de morbi-mortalidad considerablemente bajo, y además evita la necesidad de la retracción cerebral, presenta menor tiempo de internación y brinda mejor confort postoperatorio a los pacientes. Sin embargo, este procedimiento no está exento de complicaciones relevantes: infecciones, lesiones de elementos neurovasculares y la fístula de líquido cefalorraquídeo (LCR). Esta última presenta una incidencia aproximadamente del 5% y es considerado el principal inconveniente relacionado al abordaje endoscópico endonasal (AEE) en el tratamiento quirúrgico de los PitNET, así como, en mayor medida, de otras patologías de base de cráneo (tales como meningiomas del tuberculum selar, o bien cordomas de clivus, donde el índice de fístula de LCR es aún mayor).3-6 Si esta complicación no es abordada correctamente puede desarrollar intercurrencias como cefalea, neumoencéfalo postoperatorio, meningitis e incluso el óbito del paciente.
El objetivo de este trabajo es describir los factores de riesgo que contribuyen al desarrollo de la fístula de LCR en el abordaje endoscópico endonasal (AEE) de los PitNET. Además, se busca desarrollar una herramienta de imágenes preoperatorias original, sencilla y reproducible que pueda contribuir a la evaluación del riesgo de esta complicación: el “coeficiente selar”.
MATERIALES Y MÉTODOS
Diseño de estudio
Se realizó un estudio observacional retrospectivo analítico de una cohorte inicial de 382 pacientes con diagnóstico de tumor selar operados por un mismo neurocirujano en un centro de tercer nivel de la Ciudad Autónoma de Buenos Aires, durante el período comprendido entre 2019 a 2023. De esta muestra inicial, se excluyeron 44 pacientes por haber sido intervenidos mediante un abordaje transcraneal, 92 pacientes con diagnóstico histopatológico no compatible con PitNET, 69 casos con ausencia de imágenes preoperatorias en la base de datos de nuestro centro, y 56 pacientes por no contar con un seguimiento dentro de la institución mayor a 3 meses. El total de pacientes excluidos fue de 261, obteniendo así el número final de la muestra de 121 pacientes (Figura 1). Se analizaron características demográficas, clínicas, imagenológicas, quirúrgicas e histopatológicas, y las influencias de estas en el riesgo de fístula intraoperatoria y postoperatoria. Las Tablas 1 y 2 resumen las variables incluidas. Se revisó la literatura sobre esta complicación a fin de comparar otras series y resultados. La obtención y el análisis de datos se concretó de manera anónima, y en simultáneo a la evolución de cada paciente (previamente a la realización de la intervención, en el acto intraoperatorio y en el postoperatorio). No se involucró ningún tipo de información personal relacionada con los pacientes. El estudio fue aprobado por el Comité de Ética de nuestra institución.
En resumen, los criterios de inclusión fueron:

Figura 1. Esquema del proceso de selección de la muestra final.
TABLA 1. RESUMEN DE VARIABLES ANALIZADAS
B1. Variables clínicas |
1. Edad del paciente |
B2. Variables radiológicas |
1. Clasificación del tamaño de la lesión selar |
B3. Variables quirúrgicas |
1. Técnica quirúrgica utilizada |
B4. Variables anatomopatológicas |
1. Resultado de anatomía patológica |
TABLA 2. CARACTERÍSTICAS DEMOGRÁFICAS, CLÍNICAS Y RADIOLÓGICAS DE LA POBLACIÓN
Variable |
N = 1211 |
Edad |
50 (40 - 60) |
Antecedentes de cirugía selar previa |
31 (26%) |
Género |
|
Masculino |
60 (49%) |
Femenino |
61 (51%) |
Índice de masa corporal (IMC) |
26.0 (23.0 – 29.0) |
IMC ≥30 |
24 (20%) |
Tabaquismo |
37 (31%) |
Forma de presentación |
|
Asintomático |
3 (2.5%) |
Cefalea |
54 (45%) |
Déficit visual |
67 (55%) |
Oftalmoparesia |
3 (2.5%) |
Alteraciones endocrinológicas |
61 (50%) |
Tipo de alteración hormonal |
|
Ninguna |
60 (49%) |
Hipopituitarismo parcial |
14 (12%) |
Panhipopituitarismo |
1 (0.8%) |
Acromegalia |
22 (18%) |
Enfermedad de Cushing |
18 (15%) |
Hiperprolactinemia |
4 (3.3%) |
Hipertiroidismo |
2 (1.7%) |
Función hormonal analítica |
|
Sí |
46 (38%) |
No |
75 (62%) |
Tamaño de lesión selar |
|
RM negativa |
4 (3.3%) |
Microadenoma |
18 (15%) |
Macroadenoma |
88 (73%) |
Adenoma gigante |
11 (9.1%) |
Volumen tumoral (cm3) |
4.3 (2 – 9) |
Compromiso paraselar (clasificación de Knospm) |
|
0 |
26 (21%) |
1 |
42 (35%) |
2 |
26 (21%) |
3A |
7 (5.8%) |
3B |
3 (2.5%) |
4 |
17 (14%) |
Compromiso óseo del piso selar (clasificación de Hardy-Vezina) |
|
0 |
5 (4.1%) |
1 |
21 (17%) |
2 |
80 (66%) |
3 |
11 (9.1%) |
4 |
4 (3.3%) |
Compromiso supraselar (clasificación de Hardy-Wilson) |
|
1 |
34 (28%) |
2 |
64 (53%) |
3 |
10 (8.3%) |
4 |
7 (5.8%) |
5 |
6 (5.0%) |
Clasificación TRANSSPHER |
|
0 |
86 (71%) |
1 |
13 (11%) |
2 |
17 (14%) |
3 |
5 84.1%) |
Diagnóstico radiológico de hidrocefalia preoperatoria |
1 (0.8%) |
Extensión tumoral suprayacente al plano TS-DS |
9 (0 – 15) |
Categorías de extensión tumoral suprayacente al plano TS-DS |
|
Extensión intraselar exclusiva |
35 (29%) |
1-5 mm |
8 (7%) |
6-10 mm |
21 (17%) |
11-15 mm |
27 (22%) |
>15 mm |
30 (25%) |
Extensión tumoral subyacente al plano TS-DS |
8.0 (0.0 – 12.0) |
Coeficiente selar |
0.80 (0.0 – 1.60) |
Diagnóstico imagenológico de apoplejía hipofisaria |
9 (7.4%) |
Características imagenológicas del adenoma hipofisario en secuencia T2 |
|
Lesión hipointensa |
91 (75%) |
Lesión hiperintensa |
30 (25%) |
Tipo de barrera selar |
|
Fuerte |
83 (69%) |
Débil |
32 (26%) |
Mixta |
6 (5%) |
1: Mediana (IQR); n (%).
Análisis estadístico
Para el análisis estadístico se empleó el programa R 4.1.2. Se asumió la distribución normal de los datos según el teorema del límite central. Las variables categóricas son presentadas como frecuencias absolutas y relativas, las variables continuas como mediana y rango intercuartil. Para el análisis de la relación entre las diferentes variables independientes y la variable de resultado (fístula intraoperatoria y postoperatoria) se realizó inicialmente un estudio univariado. Se utilizaron la prueba exacta de Fisher para variables dicotómicas cualitativas, la prueba de suma de rangos de Wilcoxon para variables continuas y la de Chi-cuadrado de Pearson para el análisis de la bondad de ajuste. Se eligieron las variables dependientes que demostraron una correlación individual significativa con base en las pruebas, las cuales fueron incluidas en un modelo de análisis multivariado de regresión logística para demostrar la importancia general y determinar el OR. Los supuestos se verificaron previo al análisis. Los resultados estadísticamente significativos se definieron como aquellos con una p <0.05.
Protocolos y definiciones
Técnica quirúrgica
El abordaje endoscópico endonasal para la cirugía de adenomas hipofisarios es una técnica mínimamente invasiva que permite el acceso a la base del cráneo y especialmente a la región selar a través de las fosas nasales. Actualmente, esta técnica es considerada la estándar debido a sus ventajas sobre los abordajes tradicionales, con una menor morbilidad, recuperación más rápida y menor riesgo de complicaciones.6 A continuación se describe de forma breve la técnica quirúrgica endoscópica.6-9
Evaluación preoperatoria
Procedimiento quirúrgico. Anestesia y posicionamiento
Preparación y acceso endoscópico
Acceso a fosas nasales y a la región esfenovomeriana
Exposición de la silla turca
Apertura de la silla turca
Resección tumoral
Cierre y reconstrucción selar
Definición de variables
En la Tabla 1 se enumeran todas las variables utilizadas en la realización del trabajo.
Variables clínicas
Se analizaron datos clínicos relevantes a la investigación tales como la edad del paciente (en años); el antecedente de una cirugía selar previa; el sexo biológico del mismo (femenino o masculino); el índice de masa corporal; y el antecedente de tabaquismo activo al momento de llevar a cabo la intervención quirúrgica. Se definió la forma de presentación clínica que llevó al diagnóstico de la lesión selar tomando como valores la presentación asintomática en el contexto de un hallazgo incidental; el compromiso de la agudeza visual y/o campo visual computarizado; el desarrollo de oftalmoparesia por compromiso de pares craneales y/o por alteraciones endocrinológicas valoradas en un panel hormonal (por la presencia de un fenómeno de hiposecreción o de hipersecreción hormonal) acompañado, o no, de estigmas hormonales. Dentro de esta variable, se definió como valor nulo a aquellos pacientes en quienes no se constató alguna alteración analítica en el panel hormonal ni caracteres clínicos, el valor de hipopituitarismo parcial se catalogó como los casos donde se evidenció el descenso menor o igual de 2 valores hormonales, el panhipopituitarismo se definió como la alteración analítica de 3 o más valores en el panel hormonal por debajo del límite normal de cada hormona. Se discriminaron las lesiones funcionantes de aquellas no funcionantes. La variable “acromegalia” se definió por el aumento de la hormona de crecimiento (GH) y/o el factor de crecimiento similar a la insulina (IGF-1) con la presencia, o no, de caracteres clínicos relacionados a la acromegalia. La variable “enfermedad de Cushing” se limitó al aumento del valor de cortisol libre urinario, una prueba de inhibición de dexametasona alterada, valor alterado de ACTH, cateterismo de senos petrosos que certifique hipersecreción de origen hipofisario, asociado, o no, a la presencia de estigmas hormonales. La variable de “hiperprolactinemia” se especificó sobre la base del aumento patológico del valor de prolactina sérica descartando causas secundarias, con la presencia de caracteres clínicos, o sin estos. La variable “hipertiroidismo” se definió por el aumento anormal de TSH/ T4L/ T4/ T3 sin patología tiroidea evidenciada, asociado, o no, a estigmas hormonales.
Variables radiológicas
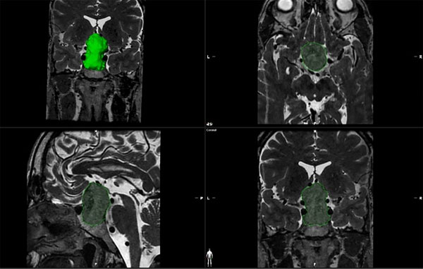
Se clasificaron las lesiones selares según el tamaño tumoral que presentaban en la RM prequirúrgica en la secuencia T1 con gadolinio y en la secuencia T2 FIESTA, ambas con más de 120 cortes. Se categorizó como “RM negativa” a la ausencia de lesión selar en el contexto de un paciente con una alteración analítica en el panel hormonal (asociado a otro estudio, como en el caso de un cateterismo de senos petrosos en la enfermedad de Cushing); el término “microadenoma” se designó para aquellas lesiones que presentaron un diámetro menor o igual a 10 mm en los 3 ejes (cefalocaudal, anteroposterior, y axial); “macroadenoma” para aquellas con un valor mayor a 10 mm en cualquier de los 3 ejes; y “adenoma gigante” para aquellas lesiones mayores a 4 cm en alguno de sus ejes.2 La variable “volumen tumoral” fue calculada por un mismo operador mediante la herramienta “smart brushing” del software de la compañía “BrainLab Elements”. Las áreas de interés correspondientes al tumor fueron manualmente delimitadas en las secuencias T1 volumétrico con gadolinio y T2 volumétrica de la RM prequirúrgica (Figura 2).

Figura 2. Método de obtención del volumen tumoral mediante la herramienta smart brushing. Este valor se obtiene al delimitar la lesión tumoral en sus tres ejes (axial, coronal y sagital).
El análisis volumétrico fue llevado a cabo pre y postoperatoriamente para la determinación del grado de resección. Para definir la variable de “compromiso paraselar” se utilizó la clasificación de Knosp modificada (Knospm) (Figura 3).10 Se definió el valor de “0” para aquellas lesiones donde el adenoma hipofisario no sobrepasaba el plano tangencial medial. El valor “1” se catalogó para las lesiones tumorales que se disponían entre la línea intercarotidea y la tangente medial. El valor “2” para las lesiones que sobrepasaban en sentido lateral a la línea intercarotidea. Los términos “3A” hacen referencia a los adenomas que se extienden por fuera del plano tangencial lateral con compromiso del compartimento superior del seno cavernoso y de la arteria carótida interna intracavernosa. El valor “3B” corresponde a las lesiones que excedían el plano tangencial lateral con mayor compromiso del compartimento inferior del seno cavernoso. Las lesiones tumorales clasificadas con el valor “4” fueron aquellas que engloban de forma concéntrica la arteria carótida interna intracavernosa.

Figura 3. Esquema que representa la clasificación de Knospm. K: Knosp. II: nervio óptico. III: nervio oculomotor. IV: nervio troclear. VI: nervio abducens. V1: ramo oftálmico del nervio trigémino. V2: ramo maxilar del nervio trigémino. ACI: arteria carótida interna.
Se analizaron las tomografías computarizadas prequirúrgicas en la ventana ósea de más de 250 cortes, se observó la variable de “compromiso óseo del piso selar” (con el fin de cuantificar el compromiso caudal tumoral) mediante la escala de Hardy-Vezina10 utilizando como valores el término “0” para aquellos adenomas donde no se evidenciaba alteración de los límites selares. El término “1” hace alusión a las lesiones que presentaban límites normales o focalmente distorsionados de la silla turca con un tumor menor de 10 mm. El valor “2” para los tumores mayores a 10 mm en los casos en los que el adenoma presentaba alteración franca de los diámetros de la silla turca, manteniendo la integridad del piso selar. El valor “3” para aquellas lesiones que presentaban compromiso parcial de la integridad del piso selar, y el término “4” para los adenomas que desintegraron completamente el piso selar.
Con el fin de objetivar la extensión tumoral supraselar se utilizó la escala de Hardy-Wilson.10 Se estableció el valor “1” para aquellas lesiones catalogadas como adenomas intraselares (sin presentar extensión fuera de la silla turca). El valor “2” se utilizó para los adenomas con extensión supraselar con compromiso de la vía óptica. El valor “3” para aquellas lesiones que contactan el piso del tercer ventrículo. El término “4” se aplicó a los adenomas con extensión supraselar por encima del techo del seno cavernoso. El valor “5” se limitó a aquellas lesiones que presentan extensión supraselar asociadas a un compromiso paraselar con un grado Knospm ≥3. Se utilizó la escala “TRANSSPHER”,11 en aquellas lesiones que presentaban un diámetro mayor a 40 mm, y/o una extensión paraselar de grado ≥3 de Knospm, y/o con extensión nodular supraselar, otorgando un punto a la presencia de cada valor. Para definir el diagnóstico radiológico de hidrocefalia se utilizó el índice Evans tomando como margen el valor superior a 0.34.
Se estableció un parámetro radiológico para valorar la extensión supraselar e infraselar, trazando una línea en el plano sagital desde el tuberculum selar al dorso selar (plano TS-DS), replicando la extensión del diafragma selar. A partir de este plano imaginario se traza una línea con una angulación de 90° tomando como punto de referencia el cenit tumoral. De esta forma, se cuantifica el máximo grado de extensión cefálica tumoral. Asimismo, se ideó una clasificación para subdividir en grupos según la distancia de extensión tumoral cefálica, estos son los grupos A (extensión 1-5 mm en sentido cefálico desde el plano TS-DS), el B (extensión de 6-10 mm), el C (extensión de 11-15 mm), y el subgrupo D (para aquellas lesiones que presentan una extensión superior a los 15 mm). A partir del plano TS-DS, además, se planteó trazar un plano con la misma angulación en sentido caudal al “nadir” tumoral, y así se cuantifica el máximo grado de extensión caudal. De estas medidas se obtiene el “coeficiente selar" (valor obtenido de la relación entre la extensión tumoral supra y subyacente al plano “tuberculum selar - dorso selar“ TS-DS) (Figura 4). Gracias a estos valores se logró obtener una medición cuantitativa y objetiva de la extensión tumoral en un plano cefalocaudal de forma simultánea, y así poder establecer un valor que determina si una lesión presenta mayor extensión supra o infraselar, con el fin de determinar el compromiso del diafragma selar y estimar el riesgo de desarrollo de fístula de LCR.

Figura 4. Resonancia magnética de encéfalo ponderada en una secuencia T1 con contraste (gadolinio) en un plano sagital. A) Imagen tumoral selar. B) Se han graficado, para la interpretación: el plano tuberculum selar – dorsal selar (TS-DS) y las variables de extensión tumoral suprayacente al plano TS-DS (A = 29.07 mm) y la extensión tumoral subyacente al plano TS-DS (B= 13.34 mm). Con la medición de estas variables se obtiene el “coeficiente selar” (CS= A/B).
Como otra variable radiológica, se llevó a cabo el análisis detallado de aquellas lesiones que presentan características compatibles con el diagnóstico de “apoplejía hipofisaria” (mediante el uso de tomografía computarizada y/o resonancia magnética de encéfalo bajo la asistencia del servicio de Neuroradiología de nuestra Institución). También, se valoraron las características de las imágenes en la secuencia T2 propias de cada adenoma, con el fin de poder valorar si la propiedad radiológica en dicha secuencia es compatible con la consistencia física del adenoma en el acto quirúrgico.
Por último, se utilizó el concepto de “barrera selar” introducido por los Dres. Campero y Villalonga, con el objetivo de replicar la evidencia presentada por dicho equipo.12-16 Se empleó la definición de “barrera selar fuerte” a aquellas que presentaban más de 1 mm de espesor en toda su dimensión valorada en la RM preoperatoria en la secuencia volumétrica T2 FIESTA. El término “barrera selar débil” se utilizó en los casos que presentaban menor de 1 mm de espesor, y la variable “barrera selar mixta” se estableció para aquellas lesiones con segmentos mayores de 1 mm y menores de 1 mm en la misma superficie.
Variables quirúrgicas
Se llevó a cabo un análisis detallado de la técnica quirúrgica utilizada en el abordaje endoscópico para la resección de PitNET. Se observó una variable binaria mediante el uso de la técnica “rescue flap” y, en los casos que se consideró necesario, la disección y utilización del “flap nasoseptal”. Posteriormente, se analizó la consistencia tumoral intraoperatoria con el fin de poder correlacionar con los hallazgos obtenidos en la secuencia T2 de la RM preoperatoria. De esta forma, se generaron tres posibles variables bajo los términos de consistencia tumoral “blanda” (adenomas pasibles de la resección mediante la exclusiva utilización de la aspiración quirúrgica), “intermedia” (aquellos adenomas que presentaban la necesidad de la utilización de curetas para su resección), y por último, aquellas lesiones de consistencia “dura” (catalogando como tal a las lesiones en las cuales se llevó a cabo la resección mediante la disección extracapsular del tumor). Además, se recabaron los datos acerca de la técnica de cierre del defecto selar, categorizándolos en tres variables: la primera “sin necesidad de utilización de injertos” para los casos en los que solamente se ocluyó el espacio muerto selar con material hemostático y/o sustituto dural; la “utilización de tejido adiposo autólogo” (obtenida de la región paraumbilical derecha) y, en los casos de mayor complejidad, se cuantificó la “colocación de tejido adiposo autólogo con fascia muscular (recto anterior o tensor de la fascia lata)” en el defecto postquirúrgico selar-esfenoidal. Además, se cuantificó en minutos la duración del procedimiento quirúrgico.
Se recabaron los datos obtenidos del análisis videográfico de la intervención mediante la asistencia de dos neurocirujanos ajenos al procedimiento quirúrgico, en relación a la existencia de fístula intraoperatoria utilizando como estándar la clasificación de Esposito-Kelly. Se adjudicó el valor “grado 0” a aquellos casos en los que no se objetivó la lesión del diafragma selar, ni tampoco la visualización de salida de LCR intraoperatorio confirmada mediante la realización de maniobras de Valsalva. El valor “grado 1” se utilizó en los casos donde se logró evidenciar el goteo de LCR mediante maniobras de Valsalva asociados a un defecto diafragmático mínimo. La categoría “grado 2” se referenció con aquellos procedimientos que presentaron un defecto diafragmático modesto, con una pérdida franca de LCR a través de este. Por último, el término “grado 3” se reservó para los casos con un defecto diafragmático grosero, con notoria pérdida de LCR.
Se analizaron los síntomas postoperatorios (tomando como punto de referencia la sintomatología prequirúrgica, en relación al examen físico objetivado al momento de la última valoración del paciente). Se establecieron tres valores posibles: “sin cambios” (no hubo modificaciones respecto al prequirúrgico), “mejoría” (aquellos pacientes en los cuales se constató de forma objetiva, una recuperación, parcial o total, del síntoma analizado), y por último, el valor asignado a “peoría” para los pacientes en los cuales se objetivó un agravamiento de su sintomatología prequirúrgica.
En relación a la variable “complicaciones postoperatorias”, se analizaron en un período comprendido desde la fecha del procedimiento quirúrgico hasta el momento de la última valoración del paciente. Se detallaron todas las presentadas por los pacientes, obteniendo así siete variables: fístula postoperatoria (pérdida de LCR posterior a la intervención quirúrgica), déficit visual postoperatorio (deterioro de agudeza visual y/o campo visual computarizado), oftalmoparesia (alteración de motilidad ocular pupilar extrínseca como intrínseca), desarrollo de meningitis aséptica/irritativa (sintomatología compatible con meningitis, asociado a parámetros fisicoquímicos alterados en la valoración analítica del LCR, sin rescate microbiológico en 2 muestras de LCR), los casos con meningitis infecciosa (sintomatología compatible con meningitis, asociado a parámetros fisicoquímicos alterados en la valoración analítica del LCR, con rescate de microorganismos obtenidos en muestras de LCR), el desarrollo de hemorragia postoperatoria (intra lecho quirúrgico o bien, epistaxis postprocedural) y, por último, el desarrollo de vasoespasmo (fenómeno vascular objetivado mediante Eco-Doppler transcraneal o por Angio-TC/ angiografía digital).
Asimismo, también se analizaron las alteraciones del medio interno en el período postoperatorio (comprendido desde la fecha del procedimiento quirúrgico hasta el momento de la última valoración del paciente), definiendo las variables como “sin alteraciones del medio interno” en los casos donde no se evidenciaron alteraciones del medio interno en las analíticas postoperatorias. El valor de “síndrome de secreción inadecuada de la hormona antidiurética” se definió sobre la base del aumento de la osmolaridad urinaria (>100 mOsm/kg), y densidad urinaria (>1015), en contexto de una osmolaridad sérica ≤275 mOsm/kg, con el desarrollo de hiponatremia sérica (<135 mEq/L) en un contexto de normo/hipervolemia, descartando etiologías secundarias. El valor de “diabetes insípida” se estableció como un ritmo diurético >40-50 ml/kg de peso/ día en adultos, asociado a una osmolaridad urinaria <100 mOsm/kg y/o una densidad urinaria específica <1.005, con desarrollo de hiperosmolaridad plasmática, o sin este, e hipernatremia (>145 mEq/L).
El término “síndrome cerebral perdedor de sal” se restringió a aquellos pacientes que desarrollaron una hipovolemia, asociado al aumento del sodio urinario (>20 mEq/L), hiponatremia sérica (<135 mEq/L) y al aumento de la osmolaridad urinaria (>100 mOsm/kg).17 El término “complicaciones clínicas” se asignó a aquellos pacientes que presentaron intercurrencias ajenas al procedimiento quirúrgico principal (trombosis venosa profunda, bacteriemias por infección de accesos venosos, etc.), y se otorgó como valor el óbito del paciente (valorado en el transcurso del período de internación). También, se establece como variable la “necesidad de realizar una segunda intervención quirúrgica” confinada a aquellos pacientes que presentaron la necesidad de llevar a cabo un nuevo procedimiento quirúrgico en el período comprendido entre la fecha quirúrgica inicial y los tres meses postoperatorios.
En relación al manejo de la fístula de LCR postoperatoria, se categorizaron las variables como “reposo postoperatorio y medidas dietéticas-higiénicas” a los casos donde no se llevó a cabo ningún procedimiento quirúrgico posterior. El valor de “cierre endoscópico” se delimitó a los casos en los que fue necesario llevar a cabo una revisión postoperatoria y sellar la fístula de LCR. En los casos en los que se adicionó la utilización de un drenaje lumbar externo asociado al cierre endoscópico se catalogó como la tercera variable de esta categoría.
Se cuantificaron los días de internación en relación al procedimiento quirúrgico (dividiendo días de internación en sala general, y los de terapia intensiva). En relación al “grado de resección tumoral” se objetivó tomando como punto de referencia el volumen tumoral preoperatorio, la visualización de la exéresis intraoperatoria, adicionando el control por imágenes mediante una resonancia magnética de encéfalo volumétrica (valorando la imagen postoperatoria en secuencias T1 con gadolinio y T2 volumétrico) bajo la asistencia del servicio de Neuroradiología de nuestra Institución. De esta forma, se clasificaron los resultados postquirúrgicos como resección macroscópica total (“Gross total resection” – GTR) cuando en la visualización intraoperatoria y en el control radiológico a los 3 meses se objetiva una resección del 90-100% del volumen tumoral preoperatorio; resección subtotal (“subtotal resection” – STR) en los casos donde se evidenció un mínimo remanente tumoral en el acto intraoperatorio que se correlaciona con la imagen de control postoperatoria (valor de resección comprendido entre el 70-89% del volumen tumoral preoperatorio); y por último, el valor de resección parcial (“partial resection” – PR) en aquellos casos donde se llevó a cabo una biopsia, y el grado de resección tumoral evidenciado en el control postoperatorio de los 3 meses es menor al 70%.
Se estableció el período de seguimiento de los pacientes basándose en la fecha de la intervención quirúrgica y el último control registrado en nuestra institución por parte de profesionales médicos integrantes del departamento de Neurocirugía de adultos, Oftalmología y Endocrinología.
Variables anatomopatológicas
Se recabaron los datos de informes anatomopatológicos de los 121 pacientes seleccionados y, según la quinta edición de la “Clasificación de Tumores del Sistema Nervioso Central de la Organización Mundial de la Salud (CNS 5) del año 2021” y la quinta edición de la “Clasificación de Tumores Endocrinos y Neuroendocrinos de la Organización Mundial de la Salud (ENDO 5) del año 2022” se agruparon en catorce variables.1,18
RESULTADOS
Resultados demográficos y clínicos
En la Tabla 2 se resumen los resultados clínico-demográficos obtenidos en el estudio. Del total de la muestra de pacientes analizados (N = 121), se constató que la distribución de sexos fue similar en ambos grupos (60 hombres, 61 mujeres) 49% y 51%, respectivamente. En relación a la edad de los pacientes, se halló una edad media de 50 años (rango etario de 22 a 84 años). De los 121 pacientes, el 26% (31) presentó como antecedente un abordaje selar previo. El índice de masa corporal medio correspondió a 26 (rango 16-51). El 20% del total de la muestra, presentó un IMC mayor o igual a 30, considerado compatible con el diagnóstico de obesidad. El 31% de la muestra, (37 pacientes), fueron considerados como tabaquistas activos al momento de la realización de la cirugía.
En cuanto a la presentación clínica, el síntoma que presentó mayor frecuencia correspondió a las alteraciones visuales (55%), seguido de alteraciones endocrinológicas (50%), cefaleas (45%), oftalmoparesia (2,5%) y diagnóstico incidental (2,5%). El 49% de la muestra no presentó alteraciones hormonales en la valoración prequirúrgica. Dentro del grupo de aquellos que tuvieron disbalances hormonales, la acromegalia, la enfermedad de Cushing y el hipopituitarismo parcial fueron las alteraciones analíticas más frecuentes (18%, 15% y 12%, respectivamente). El 38% de los PitNET presentó una hiperfunción hormonal objetivada en el panel endocrinológico.
Resultados radiológicos
En relación a las variables radiológicas prequirúrgicas, los macroadenomas corresponden al valor de mayor frecuencia, este es el 73% de la muestra total. El volumen tumoral promedio correspondió a 5.90 cm3 en pacientes con diagnóstico por imágenes de un tumor selar. En los casos donde no se evidenció imagen tumoral (RM negativa) se estableció el valor de “0”. El compromiso paraselar más frecuente se limitó a un grado I de la clasificación de Knospm (35%), seguido en orden de frecuencia por aquellos pacientes con un grado II (21%), grado 0 (21%) y grado IV (14%). El 66% de los tumores corresponden a macroadenomas limitados a la silla turca (Hardy-Vezina 2). En cuanto al compromiso supraselar, 64 pacientes (53%) presentaron una relación íntima con el quiasma óptico (Hardy-Wilson 2). En relación a la graduación TRANSSPHER, el 71% de los pacientes no manifestó criterios positivos dentro de esta clasificación. Solamente 5 pacientes (4.1%) presentaron los tres criterios categóricos de esta graduación.
Del total de pacientes, solo 1 (valor correspondiente al 0.8%) tuvo valores radiológicos compatibles con hidrocefalia. Este mismo paciente requirió una derivación ventriculoperitoneal en un período de tiempo fuera del margen contemplado. El valor promedio de la distancia calculada en relación a la extensión tumoral suprayacente al plano entre el tuberculum selar y el dorso selar es de 10.01 mm. El valor máximo de esta extensión es de 36.89 mm. El valor de 0 mm se les otorgó a aquellas lesiones que no sobrepasaron dicho plano. Sobre la base de la extensión tumoral suprayacente, se clasificó dicha variable en cuatro categorías en relación a la distancia calculada desde el punto 0 (plano TS-DS) al cenit tumoral. Dentro de estos, las lesiones intraselares fueron el 29%, seguidas en orden de frecuencia por aquellas que se extendieron por encima de 15 mm (25%). La media de la distancia calculada entre el plano TS-DS y el piso selar correspondió a 7.87 mm subyacentes a dicho límite. El nadir de mayor distancia que se obtuvo fue de 24.42 mm. La media obtenida para el valor del coeficiente selar es de 1.02. Este dato hace referencia a que la mayoría de las lesiones presentaron mayor extensión suprayacente al límite TS-DS, valor que coincide con los obtenidos al relacionar los resultados del compromiso óseo del piso selar y la clasificación de Hardy-Wilson. Se obtuvo que el 7.4% de los pacientes presentó el diagnóstico por imágenes de apoplejía hipofisaria. En el 75% de la muestra se evidenciaron lesiones hipointensas en la secuencia T2 de resonancia magnética, valor que se relaciona con el 62% de las lesiones de consistencia tumoral intermedia-dura. En las mediciones de la barrera selar, el valor fuerte se obtuvo en el 69%, débil en el 26% y un 5% en aquellas con desarrollo mixto.
Resultados quirúrgicos y evolución postoperatoria
En la Tabla 3 se resumen los resultados quirúrgicos y oncológicos obtenidos en el estudio. Se llevó a cabo el análisis detallado del tipo de técnica quirúrgica utilizada en el abordaje endoscópico endonasal de PitNET.
De la muestra total (N = 121 pacientes), se realizaron 46 abordajes mediante la técnica de “rescue flap” (38%). En 75 pacientes (62%) se consideró necesario la utilización del flap pediculado nasoseptal al momento del cierre quirúrgico. Un 47% de los adenomas hipofisarios presentaron una consistencia intermedia, el 38% blanda y en menor frecuencia (15%) se destacó una solidez franca de la lesión. En 89 pacientes no fue necesaria la utilización de ningún tipo de injerto para cerrar el espacio muerto selar-esfenoidal (solamente se usó material hemostático biodegradable). En 24% (28/121) se colocó tejido adiposo para compensar el espacio muerto postquirúrgico, y en el 3% fue preciso la colocación de tejido adiposo autólogo asociado a fascia muscular. En la gran mayoría de los pacientes (95% de los casos) se utilizaron parches durales sintéticos.
En la valoración del desarrollo de fístula intraoperatoria mediante la escala de Esposito-Kelly, se obtuvieron los siguientes resultados: el 59% de los casos no presentaron pérdida objetiva de LCR en el intraoperatorio; el restante 41% de la muestra presentó algún grado de FiOP. El 15% desarrolló una sutil pérdida de LCR intraoperatoria. El 16% (20/121) presentó una FiOP grado 2, y 12 pacientes (10%) un grado 3. En relación al tiempo quirúrgico, de los 121 procedimientos quirúrgicos, se obtuvo una media de 106 minutos por procedimiento. Estos valores son notoriamente más elevados que los reportados por Cappabianca y cols.19,20
TABLA 3. RESUMEN DE HALLAZGOS INTRAOPERATORIOS Y EVOLUCIÓN POSTOPERATORIA
Variable |
N = 1211 |
Técnica quirúrgica en el AEE |
|
Rescue flap |
46 (38%) |
Nasoseptal |
75 (62%) |
Tipo de consistencia tumoral intraoperatoria |
|
Blanda |
46 (38%) |
Intermedia |
57 (47%) |
Dura |
18 (15%) |
Tipo de injerto utilizado en el cierre del defecto selar |
|
Sin necesidad del uso de injertos |
89 (73%) |
Colocación de tejido adiposo autólogo |
28 (24%) |
Colocación de tejido adiposo autólogo con fascia muscular |
4 (3%) |
Utilización de sustitutos durales |
115 (95%) |
Valoración de la fístula intraoperatoria (clasificación de Esposito-Kelly) |
|
Grado 0 |
71 (59%) |
Grado 1 |
18 (15%) |
Grado 2 |
20 (16%) |
Grado 3 |
12 (10%) |
Tiempo de duración del procedimiento quirúrgico |
100 (95 - 110) |
Síntomas postoperatorios (Visión) |
|
Sin cambios |
79 (65%) |
Mejoría |
37 (31%) |
Peoría |
5 (4.1%) |
Síntomas postoperatorios (Oftalmoplejía) |
|
Sin cambios |
114 (94%) |
Mejoría |
2 (1.7%) |
Peoría |
5 (4.1%) |
Síntomas postoperatorios (Hipopituitarismo) |
|
Sin cambios |
92 (76%) |
Mejoría |
14 (12%) |
Peoría |
15 (12%) |
Complicaciones postoperatorias |
|
Oftalmoparesia |
5 (4.1%) |
Meningitis infecciosa |
4 (3.3%) |
Fístula postoperatoria |
4 (3.3%) |
Hemorragia |
3 (2.5%) |
Déficit visual postoperatorio |
3 (2.5%) |
Meningitis irritativa |
3 (2.5%) |
Vasoespasmo |
1 (0.8%) |
Alteraciones del medio interno en el período postoperatorio |
|
Sin alteraciones del medio interno |
89 (74%) |
Diabetes insípida |
21 (17%) |
Síndrome de secreción inadecuada de la hormona antidiurética |
11 (9.1%) |
Síndrome cerebral perdedor de sal |
0 (0%) |
Complicaciones clínicas |
11 (9.1%) |
Óbito |
2 (1.7%) |
Necesidad de realizar una segunda intervención quirúrgica |
4 (3.3%) |
Manejo de fístula postoperatoria |
|
Reposo postoperatorio y medidas dietéticas-higiénicas |
2 (50%) |
Cierre endoscópico |
2 (50%) |
Colocación de drenaje lumbar externo |
0 (0%) |
Días de internación |
5.00 (4.00 – 7.00) |
Grado de resección tumoral |
|
Resección macroscópica total (90-100%) |
92 (76%) |
Resección subtotal (70-89%) |
29 (24%) |
Resección parcial (<70%) |
0 (0%) |
Tiempo de seguimiento (meses) |
26 (4 – 62) |
Anatomía patológica |
|
Gonadotropinoma |
43 (35%) |
Corticotropinoma escasamente granulado |
15 (12.5%) |
Null cell tumor |
13 (11%) |
Somatotropinoma escasamente granulado |
11 (9.1%) |
Prolactinoma densamente granulado |
9 (7.4%) |
Corticotropinoma densamente granulado |
8 (6.7%) |
Tumor mixto somatotropo y lactotropo |
7 (5.8%) |
Prolactinoma escasamente granulado |
5 (4.2%) |
Tumor plurihormonal |
5 (4.2%) |
Corticotropinoma con cambios hialinos de Crooke |
2 (1.7%) |
Somato-Lactotropinoma |
1 (0.8%) |
Tirotropinoma |
1 (0.8%) |
Tumor de células madre acidófilo |
1 (0.8%) |
Somatotropinoma densamente granulado |
0 (0%) |
1: Mediana (IQR); N (%).
En la valoración de la evolución clínico-neurológica, se objetivó que el 65% de los pacientes no presentó mejoría de la agudeza visual y/o el campo visual computarizado, un 37% tuvo una evolución favorable, y el 4.1% empeoramiento de su sintomatología visual. En la valoración de la oftalmoplejía, 114 pacientes (94%) no evidenciaron cambios al examen físico en cuanto a la motilidad ocular (extrínseca e intrínseca). Solamente 2 pacientes tuvieron mejoría de su déficit oculomotor preoperatorio, y 5 casos (4.1%) desarrollaron deterioro de su motilidad oculopupilar prequirúrgica (2/5 de ellos presentaron un hematoma selar postoperatorio con paresia del III par craneal de forma parcial; 1 presentó el diagnóstico de un tumor mixto somatotropo y lactotropo (PitNET metastásico) que evolucionó con afectación completa del III par craneal por progresión de enfermedad; 1/5 hematoma selar postoperatorio que requirió evacuación, el cual evolucionó con compromiso del IV par craneal; y 1/5 un remanente tumoral próximo al seno cavernoso, el cual desarrolló un crecimiento lesional con compromiso del III par craneal). En relación al desarrollo de hipopituitarismo postprocedimiento, el 12% deterioró su función hipofisaria hormonal prequirúrgica con valores similares a los obtenidos por Hofstetter y cols.,4 el 12% mejoró su alteración preoperatoria, mientras que el 76% de la muestra no tuvo cambios en relación a la valoración previa a la intervención.
El 19% de los casos presentó en el período postoperatorio alguna complicación. Desglosando este número, se obtuvo que la oftalmoparesia postoperatoria fue la intercurrencia más frecuente (4.1%) sin objetivar una recuperación “ad integrum” del déficit a los 6 meses del control postquirúrgico. Posteriormente, el 3.3% de las complicaciones fueron la meningitis infecciosa y la fístula postoperatoria, seguidas de la hemorragia postoperatoria (2.5%), el déficit visual (agudeza y/o campo visual, 2.5%), meningitis irritativa (2.5%) y en último orden de frecuencia, el vasoespasmo (0.8%). En relación a las alteraciones del medio interno en el período postoperatorio, se obtuvo que el 74% de los casos no presentó alteración alguna. El 17% (n = 21/121) desarrolló diabetes insípida, el 9.1% el síndrome de secreción inadecuada de hormona antidiurética. Favorablemente, no se evidenció la presencia del síndrome cerebral perdedor de sal. El 9.1% de los pacientes desarrolló alguna intercurrencia clínica no relacionada directamente con el procedimiento quirúrgico. Del total de la muestra, en 2 casos se constató el óbito (dentro de la misma internación). En el 3.3% (n = 4/121) de los casos fue necesario efectuar una segunda intervención quirúrgica. Este porcentaje está constituido por la evacuación de un hematoma selar (n = 1/4), el desarrollo de un déficit visual compresivo postquirúrgico (n = 1/4) y el cierre endoscópico de una fístula de LCR postoperatoria (n = 2/4). En los resultados del manejo de la fístula postoperatoria (n = 4/121), el 50% de los casos solo realizó reposo absoluto asociado a medidas dietéticas e higiénicas, y para el restante fue necesario llevar a cabo un cierre endoscópico debido al considerable débito de LCR. En ningún caso de la muestra analizada fue necesaria una intervención quirúrgica asociada al uso de un drenaje lumbar externo.
El número total de días de internación promedio correspondió aproximadamente a 6 días. De estos, el 45% correspondió al período de internación en unidad cerrada, y el 55% restante en la sala general.
Se constató un grado de resección macroscópica total (gross total resection) en el 76% de la muestra, y una resección subtotal del 24%. Vale destacar que factores tales como la disposición tumoral irregular o polilobulada son factores predictores de STR.4,21 Estos valores son similares a los publicados por el equipo de Cappabianca y cols. y Komotar y cols.(en adenomas “gigantes”).19,20 No se constataron resecciones menores al 70% del volumen tumoral a los tres meses en el control postoperatorio con RM.
En relación al seguimiento, se delimitó desde la fecha de la intervención quirúrgica hasta la última valoración de cada paciente por parte del servicio de Neurocirugía, el servicio de Oftalmología, y el servicio de Endocrinología de nuestra institución. El período promedio de seguimiento fue de 26 meses (rango de 3 a 62 meses).
Resultados anatomopatológicos
De las 121 biopsias tumorales analizadas, se constató que los gonadotropinomas fueron la lesión tumoral que presentó mayor incidencia (35%). Luego, en el orden de frecuencia, se destacaron los corticotropinomas escasamente granulados (12.5%), null cell tumors (11%) y somatotropinomas escasamente granulados (9.1%). Es interesante destacar que dentro de la categoría de corticotropinomas, el 40% de estos (n = 10/25 corticotropinomas) corresponden a la categoría “corticotropinomas silentes”. Estos resultados presentan un valor oncológico destacable, ya que los corticotropinomas con cambios hialinos de Crooke, los silentes y los null cell tumours son parte de los PitNET con alta probabilidad de recurrencia.18
DISCUSIÓN
En el presente trabajo analizamos los factores de riesgo que predisponen al desarrollo de fístula de LCR en el abordaje endoscópico endonasal en la cirugía de PitNET, llevando a cabo un análisis minucioso de variables clínico-demográficas, de imágenes, quirúrgicas y anatomopatológicas. Asimismo, introducimos el concepto de “coeficiente selar” con el fin de poder contribuir a la valoración integral de los pacientes con PitNET, y de esta forma reducir el margen de incidencia de una de las intercurrencias de mayor morbi-mortalidad en la neurocirugía como lo son las fístulas de LCR.
Datos demográficos tales como la edad del paciente, el sexo, el IMC y el hábito tabáquico no presentaron un valor estadísticamente significativo en relación a la probabilidad de desarrollar FiOP. Estos resultados coinciden con los obtenidos por el equipo Li y cols.5 Consideramos relevante destacar la evidencia presentada por Fraser y cols. quienes reportan que un IMC mayor a 25 presenta un riesgo de desarrollar FpOP un 1.75 veces mayor,22 de forma similar a otras series.23,24
La presencia de déficit visual preoperatorio presentó un valor remarcable (p 0.002) en relación a la FiOP. Consideramos que es razonable interpretar que aquellas lesiones que presenten un crecimiento en dirección cefálica tendrán mayor compromiso de la vía visual por una mera disposición anatómica, así como del diafragma selar. Simultáneamente, el volumen tumoral presenta de forma lógica una relación directa con el desarrollo de FiOP (p 0.015); valor discordante en relación al “tamaño tumoral”, ya que simplemente refleja una delimitación de diámetro en alguno de sus ejes, siendo el volumen de la lesión un valor más representativo. Además, numerosas publicaciones sustentan el hecho de que los PitNET no funcionantes presentan mayor riesgo de FiOP por el hecho de que su crecimiento no es advertido hasta el punto de que compromete la vía óptica y/o los elementos neurovasculares del seno cavernoso.25 Esto coincide con el valor obtenido en nuestro trabajo (p: 0.001) que evidencia que los adenomas no funcionantes presentaron mayor riesgo de FiOP que los funcionantes (72% vs. 28% grado 1, 95% vs. 5% grado 2, y 67% vs. 33% grado 3).
Según el valor estadístico obtenido en la clasificación de TRANSSPHER (sistema de clasificación en el que se establece una relación entre el compromiso paraselar severo y el tamaño tumoral “gigante”) se obtuvo un valor esperable (p: 0.013), ya que este representa un grado de dificultad técnica elevada para llevar a cabo la exéresis quirúrgica completa de la lesión, asociado a un mayor grado de compromiso del diafragma selar, por lo que la probabilidad de desarrollar FiOP es directamente proporcional al mayor grado del sistema de clasificación de TRANSSPHER.26 Nishioka y cols. establecieron que la presencia de aracnoidocele selar / síndrome de la silla turca vacía puede predisponer al desarrollo de FiOP.26 Otro dato que aporta valor a la utilidad de la escala TRANSSPHER en relación al riesgo de FiOP, es que irregularidades en el contorno tumoral significa un mayor riesgo de desarrollar FiOP.25
Fue posible evidenciar que el grado de extensión tumoral suprayacente al plano TS-DS es categóricamente estadístico en relación al desarrollo de FiOP (p <0.001), acompañado de su clasificación en categorías (p: 0.02). Este resultado es reproducible al valor obtenido en la variable de volumen tumoral y clasificación de TRANSSPHER, ya que refleja el grado de extensión cefálica tumoral. El compromiso óseo del piso selar, no fue concluyente en nuestro trabajo en relación al desarrollo de FiOP, pese a estar descripto como un factor agravante de esta variable,5 pero es importante destacar que, de forma paralela, la variable de “extensión tumoral subyacente al plano TS-DS” obtuvo un valor estadísticamente significativo (p: 0.004).
Creemos que esto representa un impedimento por parte del límite superior de la región selar al crecimiento tumoral en sentido cefálico, motivo que obliga a la lesión a expandirse en dirección caudal al límite más resistente de la región, el piso selar. Este dato es relevante ya que probablemente el crecimiento en sentido superior se ve restringido en su totalidad por parte del diafragma selar (con gran alteración de este), y por ende esto tendría relación con la probabilidad de desarrollar FiOP, ya que los límites anatómicos de la región selar se distorsionan y debilitan en relación directa con el volumen tumoral.5,14,16
Además, la variable imágenes del “coeficiente selar” (relación entre la extensión tumoral suprasubyacente al plano TS-DS) (ver Figura 4) resultó tener un valor estadísticamente significativo (p <0.001) al momento de establecer una tendencia predictiva en relación al desarrollo de FiOP. Con este valor se puede dilucidar que aquellas lesiones que tengan una extensión tumoral suprayacente al plano TS-DS mayor en relación a la extensión subyacente, tendrán un valor ≥ a 1, lo que logra establecer una relación directamente proporcional: cuanto mayor sea el valor del coeficiente selar, mayor daño de estructuras suprayacentes al límite superior del compartimento y, por consiguiente, del diafragma selar.
Nos resulta relevante la presentación de esta nueva variable, al ser una evaluación sencilla y costo-efectiva, la cual puede sumarse a otras escalas destacables como la barrera selar, el uso de la clasificación de TRANSSPHER, y el volumen tumoral al momento de realizar el análisis preoperatorio del paciente y así poder establecer la técnica quirúrgica y cuidados postoperatorios acordes a cada uno.
La apoplejía hipofisaria se presentó aproximadamente en el 7.4% de los PitNET, de estos, la mayoría correspondió a adenomas no funcionantes (88%). En nuestro trabajo, este fenómeno vascular se asocia de manera estadísticamente significativa con el desarrollo de FiOP (p = 0.036). Este resultado podría manifestar que el fenómeno hemorrágico/isquémico asociado a esta contingencia representa una noxa (ya sea por edema postisquémico, o bien, por expansión abrupta del volumen tumoral a costa de una hemorragia intralesional) que da como resultado una alteración franca de los límites de la región selar, y en especial en aquellos con menor resistencia, como el techo y los bordes laterales.1,2 Esto habría de alterar la resistencia del diafragma selar, volviéndolo más propenso a ser lesionado por el mismo tumor, o por el mínimo contacto en el acto quirúrgico.
Tal como fue mencionado previamente, el concepto de “barrera selar” vuelve a evidenciarse como un factor pronóstico destacable en el riesgo de FiOP (p <0.001). Este concepto tiene un valor estadísticamente representativo, ya que coincide con publicaciones presentadas por el equipo Campero, Villalonga y cols.12,15,16 De forma adicional, Centeno y cols. han publicado que en pacientes añosos con barrera selar débil, el riesgo de desarrollar FiOP se ve aumentado notablemente en comparación con aquellos pacientes del mismo grupo etario con barrera selar fuerte (52.94% y 3.70%, respectivamente).13
Se logró evidenciar que la utilización del flap nasoseptal e injerto autólogo del paciente es consistente con la lógica, y se correlacionó con la magnitud de fístula intraoperatoria de forma estadísticamente significativa (p <0.001). La utilización del flap nasoseptal ha disminuido la incidencia de FpOP de >20% a <5%.27,28 El 95% de “rescues flaps” fue realizado en pacientes sin fístulas intraoperatorias y 5% en aquellos con fístulas leves. Actualmente, salvo en circunstancias de pacientes con adenomas gigantes, o abordajes extendidos a otras patologías optamos por realizar de inicio un flap de rescate y confeccionar el flap nasoseptal en caso de apertura de la cisterna supraselar de forma concordante a lo propuesto por Kuan y cols.7 Contrariamente, la utilización de sustitutos durales no evidenció un valor estadísticamente significativo debido a que actualmente lo empleamos de forma universal en nuestros procedimientos como un “standard of care”.
Es interesante destacar que el grado de FiOP presenta repercusión en la duración del procedimiento quirúrgico, como es lógico de pensar, pero así también en la cantidad de días de internación. El tiempo medio quirúrgico en pacientes con un grado 3 de FiOP fue de 135 minutos contra 100 minutos en aquellos en los que no se evidenció débito de LCR (p <0.001). El tiempo promedio de internación fue de 7 días en los pacientes que presentaron una fístula intraoperatoria severa, en comparación con los 4 días en aquellos que no (p: 0.008). Es necesario destacar que esta variable en numerosas oportunidades se encuentra condicionada por otros factores clínicos y endocrinológicos. En relación a las complicaciones postquirúrgicas, el riesgo de fístula postoperatoria fue mayor en aquellos con fístula intraoperatorias grados 2 o 3 (p = 0.009). En el 75% de los pacientes que desarrollaron fístula postoperatoria se objetivó una FiOP grado 3 de la clasificación de Esposito-Kelly.
El riesgo de oftalmoparesia postoperatoria fue mayor en pacientes con FiOP de mayor grado (p: 0.04). Es evidente que la extensión paraselar e invasión del seno cavernoso constituye un riesgo mayor para el advenimiento de esta complicación.10 En la intención de lograr una resección total, en la mayoría de los casos, los adenomas invasores presentan además un volumen superior, por ende un notorio compromiso del diafragma selar, que se traduce consecuentemente en un incremento en la probabilidad de desarrollo de fístula intraoperatoria.15,24
En nuestro análisis no se logró objetivar que el riesgo de meningitis, hemorragia y vasoespasmo tengan correlación con el grado de fístula intraoperatoria. Sin embargo, no es un dato menor el hecho de que el 67% de los pacientes que desarrollaron meningitis bacteriana, y el único paciente que desarrolló vasoespasmo postoperatorio, presentaron un grado 3 de FiOP.
En cuanto al grado de resección, se ha identificado que el 58% de los pacientes con fístula intraoperatoria tipo 3 ha presentado una resección subtotal. No creemos que la magnitud de fístula intraoperatoria sea una condicionante del grado de reacción sino que, en forma inversa, aquellos tumores invasores, de gran volumen, o con mayor adherencia a estructuras adyacentes tienen una mayor dificultad para la resección total y consecuentemente también un mayor riesgo de apertura de la cisterna supraselar.6 El grado de consistencia tumoral no presentó un valor estadísticamente significativo, hecho que contrasta con la evidencia publicada por el equipo de Zhou y cols. donde se destaca que la consistencia firme del adenoma se asocia con el desarrollo de fístula de LCR (ORs de 2.13 -- 4.81).6
De la muestra total, solo 4 pacientes (3.3%) desarrollaron fístula postoperatoria (FpOP). En numerosas series de casos, el principal determinante del desarrollo de FpOP es el grado de fístula intraoperatoria (FiOP),5,6,25,27 este valor se reflejó en nuestro análisis (p = 0.009). Además, el equipo de Seiler y cols. consolidó este concepto al demostrar que los pacientes con FiOP tienen una incidencia seis veces mayor de desarrollar FpOP.
También es importante señalar que las complicaciones postoperatorias mostraron una relación significativa con la aparición de FpOP, especialmente la meningitis infecciosa y el vasoespasmo (p = 0.03). Por último, cabe destacar que la necesidad de una segunda intervención quirúrgica debido a complicaciones fue mayor en pacientes con FpOP (p= 0.005). De los 4 pacientes que requirieron una segunda intervención, dos fueron operados por FpOP, uno por un hematoma y otro por déficit visual compresivo.
Todos estos datos se encuentran plasmados en las Tablas Nº 4, 5 y 6 respectivamente.
TABLA 4. ANÁLISIS UNIVARIADO DE FACTORES ASOCIADOS A RIESGO DE FÍSTULA INTRAOPERATORIA (FIOP)
Variable |
Grado 0 |
Grado 1 |
Grado 2 |
Grado 3 |
Valor p2 |
Edad |
47 (39, 57) |
56 (47, 62) |
53 (44, 61) |
54 (48, 59) |
0.083 |
IMC |
26.0 (23.5, 28.0) |
26.0 (25.2, 28.8) |
26.5 (22.0, 29.0) |
27.5 (21.8, 31.8) |
0.6 |
Tabaquismo |
|
|
|
|
0.7 |
No |
47 (66%) |
13 (72%) |
16 (80%) |
8 (67%) |
|
Sí |
24 (34%) |
5 (28%) |
4 (20%) |
4 (33%) |
|
Déficit visual preoperatorio |
|
|
|
|
0.002 |
No |
42 (59%) |
5 (28%) |
5 (25%) |
2 (17%) |
|
Sí |
29 (41%) |
13 (72%) |
15 (75%) |
10 (83%) |
|
Función hormonal analítica |
|
|
|
|
0.001 |
No funcionante |
36 (51%) |
13 (72%) |
19 (95%) |
8 (67%) |
|
Funcionante |
35 (49%) |
5 (28%) |
1 (5.0%) |
4 (33%) |
|
Tamaño de lesión tumoral |
|
|
|
|
0.13 |
RM negativa |
3 (4.2%) |
1 (5.6%) |
0 (0%) |
0 (0%) |
|
Microadenoma |
16 (23%) |
1 (5.6%) |
0 (0%) |
1 (8.3%) |
|
Macroadenoma |
48 (68%) |
14 (78%) |
17 (85%) |
9 (75%) |
|
Adenoma gigante |
4 (5.6%) |
2 (11%) |
3 (15%) |
2 (17%) |
|
Volumen tumoral |
3 (1, 8) |
5 (3, 7) |
9 (5, 14) |
6 (4, 9) |
0.015 |
Compromiso óseo del piso selar |
|
|
|
|
0.064 |
0 |
4 (5.6%) |
1 (5.6%) |
0 (0%) |
0 (0%) |
|
1 |
19 (27%) |
1 (5.6%) |
0 (0%) |
1 (8.3%) |
|
2 |
41 (58%) |
15 (83%) |
15 (75%) |
9 (75%) |
|
3 |
5 (7.0%) |
1 (5.6%) |
3 (15%) |
2 (17%) |
|
4 |
2 (2.8%) |
0 (0%) |
2 (10%) |
0 (0%) |
|
Clasificación TRANSSPHER. |
|
|
|
|
0.013 |
0 |
58 (82%) |
13 (72%) |
8 (40%) |
7 (58%) |
|
1 |
4 (5.6%) |
3 (17%) |
4 (20%) |
2 (17%) |
|
2 |
7 (9.9%) |
1 (5.6%) |
6 (30%) |
3 (25%) |
|
3 |
2 (2.8%) |
1 (5.6%) |
2 (10%) |
0 (0%) |
|
Extensión tumoral suprayacente al plano TS-DS |
5 (0, 11) |
14 (7, 17) |
14 (9, 19) |
15 (10, 21) |
<0.001 |
Categorías de extensión tumoral suprayacente al plano TS-DS |
|
|
|
|
0.02 |
Intraselar |
30 (42%) |
3 (17%) |
2 (10%) |
0 (0%) |
|
1-5 mm |
6 (8.5%) |
0 (0%) |
1 (5.0%) |
1 (8.3%) |
|
6-10 mm |
13 (18%) |
2 (11%) |
3 (15%) |
3 (25%) |
|
11-15 mm |
11 (15%) |
8 (44%) |
6 (30%) |
2 (17%) |
|
>15 mm |
11 (15%) |
5 (28%) |
8 (40%) |
6 (50%) |
|
Extensión tumoral subyacente al plano TS-DS |
6.7 (0.0, 10.2) |
8.7 (5.6, 14.5) |
9.8 (6.9, 13.7) |
10.7 (8.1, 14.3) |
0.004 |
Coeficiente selar |
0.54 (0.00, 1.29) |
1.27 (0.66, 1.67) |
1.34 (1.00, 1.65) |
1.55 (0.74, 2.53) |
<0.001 |
Apoplejía hipofisaria |
|
|
|
|
0.036 |
Barrera selar |
|
|
|
|
<0.001 |
Fuerte |
62 (88.5%) |
9 (50%) |
6 (30%) |
6 (46%) |
|
Débil |
6 (8.5%) |
8 (44%) |
13 (65%) |
5 (38%) |
|
Mixta |
2 (2.8%) |
1 (5.6%) |
1 (5.0%) |
2 (15.4%) |
|
Consistencia tumoral |
|
|
|
|
0.3 |
Utilización de flap nasoseptal |
|
|
|
|
<0.001 |
Tipo de injerto utilización en el cierre del defecto selar |
|
|
|
|
<0.001 |
Sin necesidad del uso de injertos |
71 (100%) |
18 (100%) |
0 (0%) |
0 (0%) |
|
Colocación de tejido adiposo autólogo |
0 (0%) |
0 (0%) |
20 (100%) |
8 (66%) |
|
Colocación de tejido adiposo autólogo con fascia muscular |
0 (0%) |
0 (0%) |
0 (0%) |
4(33%) |
|
Valoración de fístula intraoperatoria |
|
|
|
|
0.009 |
No |
70 (99%) |
18 (100%) |
20 (100%) |
9 (75%) |
|
Sí |
0 (0%) |
0 (0%) |
1 (1.4%) |
3 (25%) |
|
Tiempo de duración del procedimiento quirúrgico |
100 (90, 110) |
110 (100, 110) |
110 (108, 120) |
135 (110, 150) |
<0.001 |
Meningitis |
|
|
|
|
0.3 |
Hemorragia |
|
|
|
|
0.2 |
Vasoespasmo |
|
|
|
|
0.10 |
Alteraciones medio interno |
|
|
|
|
0.3 |
Días de internación |
4.00 (4.00, 6.00) |
4.50 (4.00, 5.00) |
5.00 (4.00, 7.00) |
7.00 (6.00, 7.50) |
0.008 |
Grado de resección tumoral |
|
|
|
|
0.002 |
Total (90-100%) |
55 (77%) |
15 (83%) |
17 (85%) |
5 (42%) |
|
Subtotal (70-89%) |
16 (23%) |
3 (17%) |
3 (15%) |
7 (58%) |
|
Parcial (<70%) |
0 (0%) |
0 (0%) |
0 (0%) |
0 (0%) |
|
1: Mediana (IQR); n (%). 2: Kruskal-Wallis rank sum test; Fisher's exact test; Pearson's Chi-squared test.
TABLA 5. ANÁLISIS MULTIVARIADO DE FACTORES ASOCIADOS A RIESGO DE FÍSTULA INTRAOPERATORIA (FIOP)
Fístula intraoperatoria (regresión logística R2 ajustado 0.76) |
|||
Variable |
OR |
IC |
Valor p |
Apoplejía hipofisaria |
1.73 |
0.56;5 |
0.05 |
Extensión tumoral suprayacente al plano TS-DS |
4.5 |
0.48;7.2 |
0.04 |
Resección tumoral subtotal |
1.5 |
0.15;1.2 |
0.05 |
Barrera selar débil |
2.1 |
1.7;3.9 |
0.002 |
Coeficiente selar |
1.67 |
1.4;1.8 |
0.02 |
TABLA 6. ANÁLISIS UNIVARIADO DE FACTORES ASOCIADOS A FÍSTULA POSTOPERATORIA (FPOP)
| Variable | No, N = 1171 |
Sí, N = 41 |
Valor p2 |
Edad |
50 (40, 60) |
50 (46, 54) |
>0.9 |
Género |
|
|
>0.9 |
Femenino |
59 (50%) |
2 (50%) |
|
Masculino |
58 (50%) |
2 (50%) |
|
IMC (peso/altura2) |
26.0 (23.0, 28.0) |
28.5 (25.5, 33.5) |
0.4 |
Tabaquismo |
|
|
0.3 |
Déficit visual |
|
|
0.13 |
No |
54 (46%) |
0 (0%) |
|
Sí |
63 (54%) |
4 (100%) |
|
Función hormonal analítica |
|
|
0.6 |
Tamaño de lesión |
|
|
0.5 |
RM negativa |
4 (3.4%) |
0 (0%) |
|
Microadenoma |
18 (15%) |
0 (0%) |
|
Macroadenoma |
85 (73%) |
3 (75%) |
|
Adenoma gigante |
10 (8.5%) |
1 (25%) |
|
Volumen tumoral |
5 (2, 9) |
5 (2, 8) |
>0.9 |
Compromiso paraselar (Knospm) |
|
|
0.6 |
Compromiso óseo del piso selar (Hardy-Vezina) |
|
|
0.8 |
Compromiso supraselar (Hardy-Wilson) |
|
|
0.2 |
Clasificación TRANSSPHER |
|
|
0.8 |
Extensión tumoral suprayacente al plano TS-DS |
9 (0, 15) |
14 (7, 23) |
0.4 |
Categorías de extensión tumoral suprayacente al plano TS-DS |
|
|
0.7 |
Extensión tumoral subyacente al plano TS-DS |
8.0 (0.0, 12.0) |
7.8 (5.1, 9.9) |
0.9 |
Coeficiente selar |
0.80 (0.00, 1.59) |
1.77 (0.53, 3.13) |
0.4 |
Apoplejía hipofisaria |
|
|
>0.9 |
Barrera selar |
|
|
0.2 |
Técnica quirúrgica en el AEE |
|
|
>0.9 |
Rescue flap |
44 (38%) |
1 (25%) |
|
Flap nasoseptal |
72 (62%) |
3 (75%) |
|
Clasificación de Esposito Kelly: Fístula intraoperatoria |
|
|
0.009 |
Grado 0 |
70 (60%) |
1 (25%) |
|
Grado 1 |
18 (15%) |
0 (0%) |
|
Grado 2 |
20 (17%) |
0 (0%) |
|
Grado 3 |
9 (7.7%) |
3 (75%) |
|
Tiempo de duración del procedimiento quirúrgico |
100 (95, 110) |
125 (99, 158) |
0.3 |
Complicaciones postoperatorias |
|
|
0.037 |
No |
67 (57%) |
0 (0%) |
|
Sí |
50 (43%) |
4 (100%) |
|
Meningitis |
|
|
0.03 |
Vasoespasmo |
|
|
0.033 |
Necesidad de realizar una segunda intervención quirúrgica |
|
|
0.005 |
Días de internación |
5.00 (4.00, 6.00) |
6.50 (5.50, 7.50) |
0.3 |
Grado de resección |
|
|
>0.9 |
1: Mediana (IQR); n (%). 2: Wilcoxon rank sum test; Fisher's exact test.
CONCLUSIÓN
Las fístulas de LCR en la cirugía endoscópica endonasal en PitNET afectan el tiempo quirúrgico, la estadía de internación y aumentan el riesgo de complicaciones. Los resultados obtenidos en este trabajo destacan la importancia de una evaluación preoperatoria integral y una planificación quirúrgica precisa para mitigar los riesgos inherentes al procedimiento y específicos de cada caso.
En nuestro análisis hemos identificado variables clínicas, radiológicas, quirúrgicas y anatomopatológicas que se correlacionan con un mayor riesgo de FiOP y FpOP. La introducción de nuevas métricas como el “coeficiente selar" constituye una herramienta radiológica simple y reproducible que podría ayudar a predecir el riesgo de fístula de LCR en esta clase de procedimientos. Sin embargo, aún resta determinar el impacto de ciertos factores relacionados a dicha complicación, los cuales podrían ser objeto de futuras investigaciones.
Estos hallazgos buscan ofrecer una modesta contribución al campo de la neurocirugía endoscópica, centrándose en estrategias para mejorar de manera consistente los resultados a largo plazo en los pacientes intervenidos.
LIMITACIONES
Reconocemos la existencia de limitaciones. En primer término, la naturaleza retrospectiva del estudio limita la interpretación de los datos obtenidos y lo condiciona al sesgo de selección, entre otros. En segundo lugar, todos los procedimientos quirúrgicos fueron realizados por un neurocirujano especializado en cirugía de base de cráneo, con más de 300 procedimientos endoscópicos realizados, en un centro de tercer nivel, por lo que la replicación de los resultados mediante diferentes operadores e instituciones podría verse sesgada. Por otro lado, este mismo hecho reduce la variabilidad interoperador volviendo la muestra más homogénea y los datos más fehacientes.
Este es un artículo de acceso abierto bajo la licencia CC BY-NC https://creativecommons.org/licenses/by-nc/4.0/
BIBLIOGRAFÍA