Xantoastrocitoma pleomórfico con rápida evolución a xantoastrocitoma pleomórfico anaplásico. Presentación de caso clínico y revisión de la literatura
Pablo Papalini,1 Emilio Mezzano,1 Santiago Passero,1,2 Ricardo Olocco,1 Francisco Papalini1
1. Servicio de Neurocirugía, Clínica Universitaria Reina Fabiola, Universidad Católica de Córdoba, Córdoba, Argentina
2. Servicio de Neurocirugía, Hospital Córdoba, Córdoba, Argentina
Recibido: 11/11/2024. Aceptado: 27/02/2025
Pablo Papalini
pablopapalini@curf.ucc.edu.ar
DOI: 10.59156/revista.v39i01.654
ORCID
Pablo Papalini: 0000-0001-8529-1289
Emilio Mezzano: 0009-0005-7329-9271
Santiago Passero: 0009-0006-8741-7117
Ricardo Olocco: 0009-0003-8116-0312
Francisco Papalini: 0009-0002-6840-8048
EMAILS
Emilio Mezzano: emiliomezzano@hotmail.com
Santiago Passero: passerosantiago@gmail.com
Ricardo Olocco: drolocco@gmail.com
Francisco Papalini: frpapalini@gmail.com
Los autores no declaran conflicto de interés
Los autores no declaran financiamiento.
RESUMEN
Introducción: el xantoastrocitoma pleomórfico (XAP) es un tumor raro del SNC, su variante anaplásica (XAP-A) es similar al XAP en términos de presentación clínica, pero es más agresivo y reviste un pronóstico mucho más pobre. Del 5 a 20% de los pacientes experimentan recurrencias con transformación maligna.
Objetivos: describir el caso de una paciente con un XAP de rápida evolución hacia un XAP-A.
Descripción del caso: paciente de 46 años con un XAP confirmado por histología, con rápida progresión y transformación maligna en XAP-A, con evolución desfavorable.
Intervención: cirugía con resección macroscópica subtotal, luego reintervención al momento de recidiva y progresión.
Conclusión: el XAP es un tumor raro cuyo grado histológico puede variar hacia la anaplasia (XAP-A) e incluso hacia una variedad de glioblastoma. Dada la escasa evidencia disponible, no existe un claro protocolo de tratamiento oncológico específico.
Palabras clave: Anaplásico. Astrocitoma. Pleomórfico. Xantoastrocitoma.
Pleomorphic xanthoastrocytoma with rapid evolution into anaplastic xanthoastrocytoma. Case report and literature review
ABSTRACT
Background: pleomorphic xanthoastrocytoma (PXA) is a rare tumor of the CNS, its anaplastic variant (PXA-A) is like PXA in terms of clinical presentation but is more aggressive and has a much poorer prognosis. Five to 20% of patients experience recurrences with malignant transformation.
Objectives: to describe a case of a patient with PXA with rapid progression to PXA-A.
Case description: a 46-year-old patient with histologically confirmed PXA, with rapid progression and malignant transformation to PXA-A, with unfavorable evolution.
Intervention: surgery with subtotal macroscopic resection, then reintervention at the time of recurrence and progression.
Conclusion: PXA is a rare tumor that can vary its histological grade toward anaplasia (PXA-A) and even toward a variety of glioblastoma. Given the limited evidence available, there is no clear protocol for specific oncological treatment.
Keywords: Anaplastic. Astrocytoma. Pleomorphic. Xanthoastrocytoma.
INTRODUCCIÓN
El xantoastrocitoma pleomórfico (XAP) es un tumor astrocítico que, se cree, se origina de astrocitos subpiales o sus precursores. Es un tumor raro y representa <1% de todos los astrocitomas y, según registros epidemiológicos de vigilancia en EE. UU., se han reportado solo 214 casos entre 1981 y 2007; esta cifra significa aproximadamente una décima parte de la incidencia de astrocitomas pilocíticos, otro tumor raro del sistema nervioso central (SNC).1,2
Descripto por primera vez en 1973, el término “xantoastrocitoma pleomórfico” fue acuñado por Kepes en 1979.3,4 En 1993 fue formalmente incorporado en el sistema de clasificación de la OMS como tumor del sistema nervioso central grado 2. Descripciones subsiguientes incluyen variantes anaplásicas grado 3. De todas maneras, actualmente se cree que a pesar de que el término “XAP” se refiere a una única entidad histológica, en realidad puede representar más de un tipo tumoral (o de tumores) definidos molecularmente. Las definiciones variables de la historia natural de esta enfermedad parecerían apoyar esta hipótesis.1
El xantoastrocitoma pleomórfico anaplásico (XAP-A) es similar al XAP en términos de presentación clínica, pero suele exhibir un comportamiento biológico más agresivo y reviste un pronóstico mucho más pobre.5,6 Se puede tratar de un XAP-A en una primera resección quirúrgica, con características de anaplasia, o bien desarrollar un XAP-A de un XAP, pero el pronóstico en ambos casos sigue siendo pobre.7-9 En cambio, el XAP que no ha cambiado su histología o comportamiento clínico tiene un pronóstico favorable, con una supervivencia global a los 10 años de aproximadamente el 70%.10-12 Sin embargo, del 5 al 20% de los pacientes con un XAP experimentan recurrencias con transformación maligna, y rara vez se transforma en un XAP-A o en un glioblastoma (GBM).13
El XAP se localiza en su mayoría en el compartimento supratentorial, principalmente en el lóbulo temporal, seguido en frecuencia por el lóbulo frontal y el parietal.14
En los estudios por imágenes, estos tumores demuestran nódulos sólidos con buena toma de contraste, a menudo acompañados de componentes quísticos excéntricos y periféricos, como también de edema perilesional.15 Desde el punto de vista histológico, estos tumores pleomórficos muestran diferentes características: células fusiformes, células gigantes multinucleadas fibrosas, cuerpos granulares eosinofílicos, células poligonales y astrocitos xantomatosos saturados con lípidos.4,14
Respecto al perfil genético e inmunohistoquímico, la frecuencia de mutación BRAF V600E es menor en los XAP-A que en los XAP y no es significantemente diferente en pacientes pediátricos o adultos, pero el significado pronóstico de la mutación no está claro.16,17 Una de las características genéticas decisivas de los XAP y los XAP-A es la deleción homocigota de la CDKN2A combinada con cambios en RAF.18 La adquisición de las características moleculares de los XAP y los XAP-A ayudan (o pueden ayudar) a revelar la evolución genética en estos tumores.
Objetivos
Describir el caso de una paciente con un XAP con rápida evolución hacia un XAP-A y hacer una revisión de la literatura disponible.
DESCRIPCIÓN DEL CASO
Paciente mujer de 46 años sin antecedentes patológicos relevantes que consultó por cefalea holocraneana atípica de 72 horas de evolución y dos episodios de vómitos. Cuando consulta por primera vez se interpreta clínicamente, y por estudios de laboratorio, como un caso de posible dengue y se otorga el alta institucional con signos de alarma.
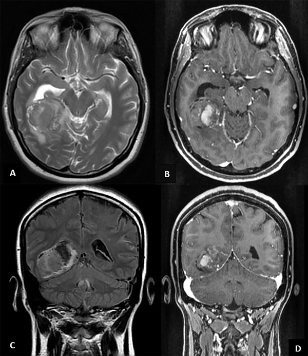
La paciente regresa por guardia 48 horas después de la primera consulta por persistencia de los síntomas. Se realiza inicialmente una tomografía computada (TC), donde se observa una lesión ocupante de espacio de tamaño moderado, con signos de probable hemorragia intralesional y restos de sangre en cuerno temporal derecho. Se da aviso al servicio de neurocirugía debido a los hallazgos por imágenes y se efectúa una resonancia magnética (RM) (Figura 1).

Figura 1. A) Corte axial en T2, se observa una masa temporal paraventricular derecha, irregular, con efecto de masa moderado. B) Corte axial en T1 con contraste. Obsérvese la captación heterogénea del gadolinio. C) Corte coronal en FLAIR. D) Corte coronal en T1 con gadolinio.
Al examen físico neurológico, la paciente no presentaba clínica focal, del lenguaje ni cognitiva. El estado de conciencia estaba conservado (solo refería cefalea y náuseas). Se decide programar cirugía con el objetivo de lograr una resección lo más amplia posible, también para obtener diagnóstico histopatológico.
Intervención
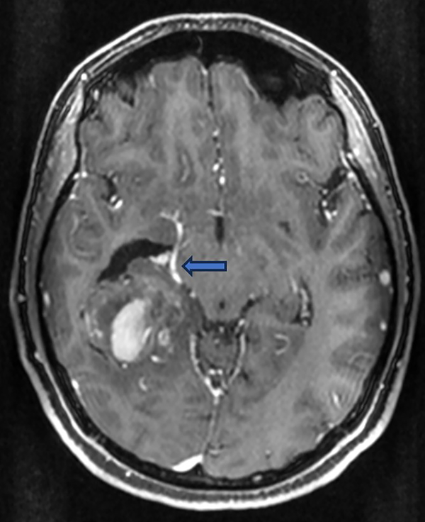
La paciente fue operada mediante un abordaje supraauricular derecho transtemporal en el que se logró una resección macroscópica satisfactoria (>90%). Desde el punto de vista intraoperatorio, se resecó toda la lesión de características visualmente sospechosas, ya que por momentos no tenía un plano anatómico diferenciable respecto al tejido sano, y se dejó un remanente hacia medial para respetar y no dañar el pasaje de la arteria cerebral posterior o alguna de sus ramas (Figura 2). Se decidió dejar un drenaje ventricular externo (DVE) que fue retirado a las 48 horas postoperatorias.

Figura 2. RM: corte axial en T1 con gadolinio, donde se observa una posible relación de la masa tumoral con la arteria cerebral posterior derecha (o alguna de sus ramas) hacia el borde medial de la lesión (flecha azul).
La paciente evolucionó favorablemente, pero con un déficit campimétrico homónimo contralateral (izquierdo) y algunos cambios sutiles en su estado de ánimo e iniciativa (abulia). Se va de alta al sexto día postquirúrgico.
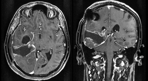
Se realizaron controles periódicos, con buena evolución de las funciones cognitivas, aunque el déficit visual persistió, presumiblemente por isquemia de un segmento del área visual primaria (dependiente de la cerebral posterior) o por daño a las radiaciones ópticas temporales. Se efectuó RM de control a los dos meses de la intervención, objetivándose una óptima resección tumoral (Figura 3).

Figura 3. RM con gadolinio en secuencia T1, corte axial a la izquierda, coronal a la derecha. Se observa una buena resección, con un posible remanente tumoral residual hacia la porción más medial.
En el informe definitivo de anatomía patológica se confirma que se trata de un glioma astrocítico circunscripto con reacción desmoplásica meníngea tipo xantoastrocitoma pleomórfico (grado 2 de la OMS). En la inmunohistoquímica se encuentra un Ki67 del 5%, AC GFAP positivo y AC EMA negativo. Se solicita valoración oncológica para iniciar posible tratamiento.
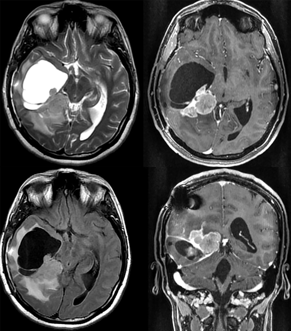
En sucesivos controles la paciente presenta un deterioro de su estatus previo, con signos clínicos de hipertensión endocraneana (cefalea y episodios aislados de náuseas y vómitos), por lo que se indica una nueva RM. La resonancia es realizada a los cinco meses de la intervención quirúrgica (Figura 4).

Figura 4. Se observa una importante recidiva de la masa tumoral con efecto de masa y secuestro ventricular temporal derecho.
Sobre la base de los hallazgos clínicos y de imágenes, se programa una reintervención quirúrgica. La paciente evoluciona de manera muy favorable, incluso con menor impacto en la clínica cognitiva/conductual en comparación con la intervención previa. Se logra una nueva resección satisfactoria, aunque por las características de las imágenes y el comportamiento clínico, se comienza a dudar del grado de la OMS dado previamente a la lesión. Se va de alta al cuarto día postoperatorio, sin déficits agregados.
La anatomía patológica de esta nueva resección informa proliferación neoplásica de estirpe astroglial de celularidad moderada a intensa, con figuras de mitosis atípicas y pequeños focos de necrosis, constituyendo ahora un XAP-A grado 3 de la OMS, con un índice de proliferación (Ki67) del 20%.
A las 3 semanas de esta segunda intervención, la paciente presenta un deterioro agudo de su estatus neurológico, junto a clínica de HTE. Se objetiva por imágenes hidrocefalia aguda, se decide colocar DVE en el contexto de la urgencia, luego se programa colocación de shunt ventriculoperitoneal de forma programada.
Se discute el caso con familiares y equipos tratantes, y se dispone realizar una tercera intervención con el objetivo de lograr una exéresis tumoral total. Se lleva a cabo la intervención, pero la paciente se complica con un síndrome convulsivo tipo estatus, luego isquemia de la arteria cerebral medial contralateral y fallece a los 16 días de esta última cirugía.
DISCUSIÓN
Los xantoastrocitomas pleomórficos son una entidad tumoral rara, con escasa casuística descripta en la literatura mundial.1,2,6,12,14 Por este motivo, no existen, como en otros tumores más frecuentes, directrices de tratamiento más aceptadas de forma homogénea o protocolizada.1,6 Sin embargo, dada la evidencia disponible, es razonable proponer como primera opción una resección tumoral macroscópica lo más amplia posible, intentando preservar áreas o funciones cerebrales elocuentes. En el caso presentado, este último fue el objetivo propuesto al tratarse de una paciente joven y sin déficit neurológico inicial.
Aunque se hicieron todos los esfuerzos técnicos quirúrgicos, la paciente sufrió un daño en territorio vascular de la arteria cerebral posterior (lo que incorporó un déficit visual concomitante), subrayando este evento la importancia de la preservación de la función, ante todo en pacientes que posiblemente requieran tratamiento oncológico luego de una cirugía. En este caso, además, se planteó la duda desde el punto de vista anatomopatológico respecto a la histología e inmunohistoquímica de la lesión, requiriendo una segunda opinión en otro servicio especializado (eventualmente se confirmó un XAP grado 2 en la primera resección).
Finalmente, la paciente evolucionó de forma desfavorable de manera rápida, objetivándose recidiva tumoral en pocos meses desde el inicio de los síntomas, y confirmando la transformación maligna de un XAP hacia un XAP-A. Aunque esta progresión ha sido descripta con anterioridad e incluso se han reportado transformaciones malignas hacia una variedad de GBM epitelioide,5,7,8,10,13,19 creemos que no es lo habitual una progresión tan rápida (4 meses) de un grado 2 a un grado 3 (anaplásico), y por ello consideramos interesante este caso en particular.
Por último, cabe señalar que hoy en día no existe clara evidencia respecto a marcadores inmunohistoquímicos o de mutaciones genéticas que puedan ayudar a predecir una posible progresión hacia malignidad desde un primer momento, lo cual hace aún más importante la resección macroscópica total o subtotal, con preservación estricta de áreas elocuentes.
CONCLUSIÓN
El XAP es una entidad tumoral rara que puede, en un tiempo relativamente corto, variar su grado histológico hacia la anaplasia (XAP-A) e incluso hacia una variedad de GBM. Es fundamental el trabajo neuroquirúrgico dirigido a la resección macroscópica total o subtotal para el tratamiento inicial de estos pacientes, siempre preservando áreas elocuentes. Dada la escasa literatura disponible hoy en día, no hay un claro protocolo de tratamiento neurooncológico específico.
Contribuciones de autoría
Conceptualización: Pablo Papalini, Emilio Mezzano
Curación de datos: Pablo Papalini, Emilio Mezzano
Análisis formal: Santiago Passero, Ricardo Olocco
Adquisición de fondos: Santiago Passero, Ricardo Olocco
Investigación: Francisco Papalini
Metodología: Pablo Papalini, Santiago Passero
Administración del proyecto: Pablo Papalini, Santiago Passero
Recursos: Emilio Mezzano, Ricardo Olocco
Software: Emilio Mezzano, Ricardo Olocco
Supervisión: Francisco Papalini
Validación: Francisco Papalini
Visualización: Pablo Papalini, Francisco Papalini
Redacción - borrador original: Pablo Papalini, Francisco Papalini
Redacción - revisión y edición: Pablo Papalini, Francisco Papalini
Este es un artículo de acceso abierto bajo la licencia CC BY-NC https://creativecommons.org/licenses/by-nc/4.0/
BIBLIOGRAFÍA
COMENTARIO
El equipo del Dr. Papalini presenta un caso de xantoastrocitoma pleomórfico (XAP) muy atípico por la bajísima frecuencia de la patología y por la rápida progresión a una forma biológica más agresiva. Estas características hacen que se conozcan poco la biología tumoral, marcadores, protocolos de diagnóstico y tratamiento.
La quinta edición de la Clasificación de los tumores del SNC (OMS) del año 2021 ubica al XAP dentro de los gliomas astrocíticos “circunscriptos”, donde tienen un patrón de crecimiento sólido y predominan en niños, adolescentes y jóvenes adultos. Junto al XAP encontramos al astrocitoma pilocítico, y astrocitomas de células gigantes subependimarias (SEGA, las siglas por su nombre en inglés), entre otros.1
Uno de los marcadores tumorales encontrados en el XAP es el BRAF y hoy en día ya se habla de XAP con BRAF mutado y BRAF wild-type, esto es importante ya que se abre un abanico de tratamientos con los inhibidores de BRAF.2
Existen especulaciones sobre la progresión oncológica del XAP (Grado 2) a xantoastrocitoma anaplásico (Grado 3) y al glioblastoma epitelioide (Grado 4), en este último tumor la expresión del marcador BRAF V600E está en más del 50% de los pacientes, siendo extremadamente raro que se exprese en un glioblastoma multiforme común.3 EL XAP aparece generalmente como una lesión intraparenquimatosa nodular sólido-quística en relación con las leptomeninges y los ventrículos, más frecuente en el lóbulo temporal y con potencial capacidad de diseminar por el LCR (visto más frecuente en las progresiones o recidivas).4
Basado en la poca información existente, la mejor opción terapéutica actual es la resección quirúrgica tipo GTR, y aquellos pacientes con resección GTR, menores de 20 años y tumores de bajo grado tienen el mejor pronóstico. Para las resecciones parciales o los Grado 3 se recomienda la radioterapia.5
Felicitamos a los autores por compartir este caso tan poco frecuente.
Ruben Mormandi
Fundación para la Lucha contra las Enfermedades Neurológicas de la Infancia (FLENI), Buenos Aires, Argentina
BIBLIOGRAFÍA