Tratamiento Clínico y No Clínico de la Epilepsia Temporal Estructural: Un Análisis Breve
Manuel de Jesús Encarnación Ramírez1, Boris Oleynikov1, Maria Andreevna Kolcheva1, Alexander Levov1, Gennady Chmutin1, Andreina Rosario Rosario2
1Departamento de Neurocirugía, Universidad de la Amistad del Pueblo Ruso, Moscú, Rusia
2Facultad de Medicina, Universidad Autónoma de Santo Domingo, Santo Domingo, República Dominicana
Recibido: Marzo 2024. Aceptado: Abril 2024.
Andreina Rosario Rosario
andreinarosario07r@gmail.com
DOI: 10.59156/revista.v38i02.641
ORCID:
Manuel De Jesus Encarnación Ramirez: 0000-0003-3541-0635
Boris Oleynikov: 0000-0001-5954-5505
Maria Andreevna Kolcheva: 0000-0001-64-60-5234
Alexander Levov: 0000-0003-3035-9375
Gennady Chmutin: 0000-0002-3323-508X
Andreina Rosario Rosario: 0009-0002-7611-6539
RESUMEN
Introducción. A pesar del desarrollo de nuevos medicamentos y terapias, aproximadamente el 30% de los pacientes con epilepsia en la población general presentan formas de la enfermedad resistentes a los fármacos.
Objetivos. Evaluar la efectividad de varios procedimientos quirúrgicos utilizados para tratar a niños con epilepsia del lóbulo temporal resistente a fármacos.
Materiales y métodos. Para el análisis actual, seleccionamos 26 pacientes pediátricos entre las edades de 4 y 17 años, con 4.5 años en promedio de evolución de la enfermedad, de los cuales 18 se sometieron a cirugía quirúrgica, recibieron terapia anticonvulsiva con dos o más medicamentos durante al menos tres meses sin ningún resultado. El tiempo de seguimiento fue de 1.5 años después de la cirugía. Previo, los pacientes se sometieron a evaluaciones de acuerdo con el protocolo de epilepsia seguido que incluyó pruebas de semiología de las convulsiones, resonancias magnéticas de encéfalo de 1.5 a 3T, pruebas cognitivas y pruebas neurológicas.
Resultados. Se utilizó la escala de Engel para evaluar los resultados de la operación. En general, este estudio encontró que el 87% de los pacientes con formas de epilepsia resistentes a los fármacos experimentaron resultados postoperatorios favorables para los tres tipos de procedimientos.
Conclusión. En el caso de la epilepsia refractaria, se debe considerar el tratamiento quirúrgico como opción terapéutica lo que debería involucrar una evaluación preoperatoria precisa, exhaustiva y, en ocasiones, invasiva del paciente.
Palabras clave. Epilepsia. Fármacos Anti-Epilépticos. Lobectomía temporal. Monitoreo EEG estereotáxico.
Clinical and Non-Clinical Treatment of Temporal Structural Epilepsy: A Brief Analysis
ABSTRACT
Background. Despite the development of new medications and therapies, approximately 30% of patients with epilepsy in the general population have drug-resistant forms of the disease.
Objectives. To evaluate the effectiveness of various surgical procedures used to treat children with drug-resistant temporal lobe epilepsy.
Methods. For the current analysis, we selected 26 pediatric patients between the ages of 4 and 17 years with an average of 4.5 years of disease progression. 18 of the 26 patients who underwent operative surgery received anticonvulsant therapy with (two or more) medications for at least three months without any results. The follow-up time was 1.5 years after surgery. Before surgery, patients underwent evaluations according to the epilepsy protocol followed, which included seizure semiology testing, brain MRI from 1.5 to 3T, cognitive testing, and neurological testing.
Results. The Engel scale was used to evaluate the results of the operation. Overall, this study found that 87% of patients with drug-resistant forms of epilepsy experienced favorable postoperative outcomes for all three types of procedures.
Conclusion. In the case of refractory epilepsy, surgical treatment should be considered as a therapeutic option, and this should involve an accurate, thorough, and sometimes invasive preoperative evaluation of the patient.
Keywords. Anti-Epileptic Drugs. Epilepsy. Stereotaxic EEG monitoring. Temporal lobectomy.
INTRODUCCIÓN
La epilepsia es un trastorno neurológico caracterizado por convulsiones recurrentes que son causadas por una actividad eléctrica anormal en el cerebro. La epilepsia del lóbulo temporal (ELT) es una de las formas más comunes de epilepsia, representando aproximadamente el 60% de todos los casos.1 La ELT se caracteriza por convulsiones que se originan en el lóbulo temporal. La epilepsia temporal estructural (ETS) es un tipo de ELT que es causada por una anomalía estructural identificable en el lóbulo temporal, como un tumor, malformación del desarrollo cortical o cicatrización debido a una lesión o inflamación previa. La ETS a menudo se asocia con una forma más grave de epilepsia, ya que la anomalía estructural puede llevar a convulsiones más frecuentes y difíciles de controlar.2 El manejo de la ETS puede ser desafiante, ya que requiere un enfoque multidisciplinario que involucra intervenciones clínicas y no clínicas. El manejo clínico implica el uso de medicamentos y cirugía, mientras que el manejo no clínico implica cambios en el estilo de vida, como dieta y ejercicio, así como intervenciones psicológicas, como la terapia cognitivo-conductual.
El objetivo del manejo clínico es controlar las convulsiones y mejorar la calidad de vida de las personas con ETS.1 La primera línea de tratamiento es típicamente la medicación antiepiléptica que se utiliza para prevenir las convulsiones. Hay muchos tipos diferentes de medicamentos antiepilépticos disponibles y su elección depende del tipo de convulsiones y del historial médico del individuo.2,3
Si la medicación no es efectiva en el control de las convulsiones se puede considerar la cirugía. La cirugía para ETS generalmente implica la eliminación de la parte del lóbulo temporal que está causando las convulsiones. Este procedimiento se conoce como lobectomía temporal y, generalmente, se considera un tratamiento seguro y efectivo para la ETS. Sin embargo, es importante considerar cuidadosamente los riesgos y beneficios de la cirugía, ya que puede tener efectos significativos a largo plazo en la función cognitiva y la calidad de vida. Además del manejo clínico, el manejo no clínico también es importante para las personas con ETS.4 La medicación antiepiléptica es típicamente la primera línea de tratamiento, pero se puede considerar la cirugía si la medicación no es efectiva.2,3,4
OBJETIVOS
Evaluar la efectividad de varios procedimientos quirúrgicos utilizados para tratar a niños con epilepsia del lóbulo temporal resistente a fármacos.
MATERIALES Y MÉTODOS
Es un estudio prospectivo y unicéntrico que incluyó a 26 pacientes, con edades comprendidas entre los 4 y 17 años. El seguimiento postoperatorio fue, en promedio, de 1.5 años. La condición estuvo presente en promedio durante 4.5 años. Solo 18 de los 26 pacientes mostraron resistencia a la medicación antes de la decisión de someterse a cirugía. Durante al menos tres meses recibieron terapia anticonvulsiva con dos o más medicamentos, pero no tuvo un efecto notable. Algunos padres dejaron uno de los medicamentos por cuenta propia y buscaron una consulta directa con el departamento de neurocirugía, o fueron transferidos desde el departamento de neurología en los primeros 3 a 8 meses después de comenzar la terapia con medicamentos, debido a la incapacidad de obtener control de las convulsiones, a la disminución en la calidad de vida y a trastornos psiconeurológicos. La epilepsia infantil puede tener muchas causas, siendo la más frecuente los problemas de desarrollo cerebral que podrían estar asociados con displasia cortical focal, complejo de esclerosis tuberosa, polimicrogiria, tumores glioneuronales de bajo grado (gangliogliomas, quistes aracnoides, oligodendrogliomas, xantoastrocitoma) y malformaciones vasculares (angiomas cavernosos, malformaciones arteriovenosas).5,6,7 Aunque es secundaria y más frecuentemente vinculada a enfermedades extra-hipocampales, la esclerosis hipocampal también puede observarse en un subconjunto de individuos juveniles.
La displasia cortical focal (DCF) es una malformación del desarrollo cortical, que es la causa más común de epilepsia médicamente intratable en la población pediátrica y la segunda/tercera etiología más común de convulsiones médicamente intratables en adultos. La DCF resulta más frecuentemente en EDF en la infancia (Tabla 1).8-9 Esta enfermedad puede dividirse en 2 categorías según Palmini y col. (Tabla 2).9 El tipo IA e IB suele ser negativo en resonancia magnética (RM). Desde la falta de epilepsia hasta el inicio de EED y el grave deterioro cognitivo el cuadro clínico puede variar. Por regla general, el Tipo IIA/IIB no responde bien al tratamiento conservador y suele ser bien visible con imágenes de RM. El pronóstico es sustancialmente peor para el paciente porque las convulsiones motoras focalizadas empeoran con el tiempo y eventualmente se convierten en catastróficas si la enfermedad no se controla eficazmente. El inicio temprano de las convulsiones se asocia con malos resultados del tratamiento, una mayor frecuencia de discapacidades neurológicas en curso y un grave retraso mental. Una de las marcas pronósticas más cruciales y útiles es una resección quirúrgica completa.10,11
Table 1: Current FCD classification by ILAE
| FCD Type I (isolated) | Focal cortical dysplasia with abnormal layers of brain white and gray matter (type la) | Focal cortical dysplasia abnormal tangential cortical layer (Type Ib) | Focal cortical dysplasia with abnormal radial and tangential cortical layer (type Ic) | |
| FCD Type II (isolated) | Focal cortical dysplasia with dysmorphic neurons (type Iia) | Focal cortical dysplasia with dysmorphic neurons and balloon cells (type IIb) | ||
| Type III FCD (associated with major affect) | Anomalies of the cortical structure in the temporal lobe associated with hippocampal sclerosis (type Illa) | Cortical disorders adjacent to glial or glioneuronal tumor (type Illb) | Cortical anomalies disorders adjacent to vascular malformation (type IIIc) | Cortical disorders with friction, adjacent to any other lesion acquired at an early age, such as injury, ischemic damage, encephalitis (type IIld) |
Table 2: Type of surgeries and Epileptoform Removal
| Type of surgery | Complete elimination of seizures |
| Amygdalohippocampectomy with anterior temporal lobectomy | 65-90% |
| Selective Amygdalohippocampectomy | 65-90% |
| Resection of the epileptoma | 40-60% |
El estudio se enfoca en pacientes pediátricos que no han respondido a terapias anticonvulsivas con dos o más medicamentos durante al menos tres meses. A través de un seguimiento promedio de 1.5 años postquirúrgico y la aplicación de la escala de Engel para evaluar los resultados, se halló que el 87% de los pacientes experimentaron resultados postoperatorios favorables. Este estudio destaca la importancia de una evaluación preoperatoria detallada, incluyendo monitoreo estereotáctico EEG invasivo, para optimizar los resultados quirúrgicos en esta población.
Tratamiento preoperatorio
Un examen prequirúrgico preciso y exhaustivo es esencial para el éxito de la cirugía de epilepsia. Se requirieron las siguientes investigaciones para el candidato quirúrgico: 1. Monitoreo de EEG con video. 2. Resonancia magnética (RM) de encéfalo. 3. Evaluación por neuropsicología. 4. Un examen neurológico completo. 5. Evaluación de los síntomas de las convulsiones.
El foco de las convulsiones epilépticas generalmente se localiza primero usando EEG; además, el monitoreo de EEG con video se utiliza activamente para determinar el tipo y características precisas de la convulsión. Estas pruebas son especialmente útiles para diferenciar e identificar el origen del evento, por ejemplo, entre inicios mesiales o neocorticales. A diferencia de los pacientes con epilepsia temporal neocortical y peritemporal, aquellos con epilepsia temporal mesial a menudo tienen una mayor probabilidad de un resultado exitoso, lo que significa la cesación completa de las convulsiones después de la cirugía, especialmente en aquellos que tienen una única lesión en la RM.
Para pacientes con epilepsia resistente a medicamentos los objetivos del estudio de RM son: 1. Identificación de problemas estructurales y funcionales en el área epiléptica sospechada. 2. El pronóstico, en caso de que se identifique una patología estructural. 3. Investigación de otras lesiones lejos del área epiléptica sospechada. 4. Determinar la relación entre regiones importantes del cerebro, como los centros de habla, memoria, sensoriomotor y otros dentro de la zona epiléptica.
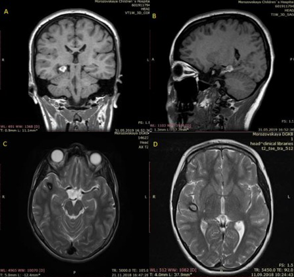
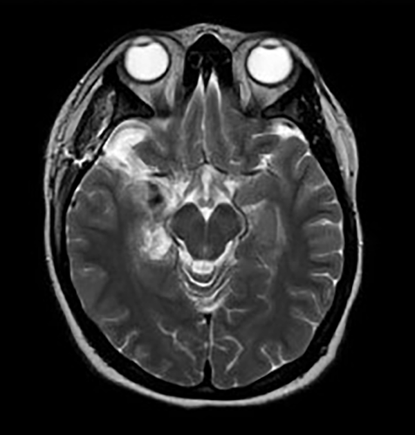
La RM puede identificar lesiones del lóbulo temporal y otras anomalías con una sensibilidad y especificidad de alrededor del 90%. Una amplificación anormal relativa de la señal en la materia gris/blanca del lóbulo temporal, atrofia del fórnix ipsilateral, dilatación del cuerno temporal del ventrículo lateral y desdibujamiento de los límites entre la materia gris y blanca del neocórtex temporal son todos criterios diagnósticos significativos de RM a tener en cuenta. La esclerosis hipocampal del lado derecho se muestra en las Figuras 1A y 1B, y una malformación cavernosa del lóbulo temporal se ve en las Figuras 1C y 1D. Se utilizaron los siguientes procedimientos no invasivos en esta muestra para evaluar a los pacientes antes de la cirugía: RM de 1.5 y 3T, monitoreo de EEG nocturno con video, examen físico neurológico y evaluación semiología. Una vez localizada el área epiléptica, la extensión de la resección quirúrgica fue determinada por electrocorticografía intraoperatoria (ECoG). Además, preoperatoriamente, los pacientes pediátricos se sometieron a evaluaciones neuropsicológicas que incluyeron pruebas estandarizadas adecuadas para la edad para evaluar la cognición, el lenguaje, la memoria, la atención, la resolución de problemas, el análisis visual, espacial, perceptual, habilidades académicas, funciones motoras y sensoriales, comportamiento, personalidad, estado emocional y funcionamiento adaptativo. Se presume el área de disfunción preexistente basada en los datos recopilados, se establece la lateralización de la zona del habla y se evalúan los riesgos y beneficios de la cirugía.4

Figura 1. Esclerosis hipocampal derecha mostrada en las Figuras A y B; y malformación cavernosa del lóbulo temporal en las Figuras 1C y 1D.
La colocación de electrodos EEG profundos es una de las técnicas adicionales utilizadas para el diagnóstico de epilepsia temporal, especialmente en situaciones donde el córtex funcional contiene la zona de resección prevista. La región definida por los electrodos profundos colocados en el cerebro es la salida del EEG desde la materia gris profunda, que es inaccesible para los electrodos superficiales. Los electrodos fueron instalados debido a uno o varios de los siguientes factores: incapacidad para localizar con precisión el sitio de inicio del ataque usando un EEG superficial, sospecha de inicio de epilepsia multifocal e inconsistencia entre los datos de RM y monitoreo de EEG con video.12,13 Las complicaciones con la colocación de electrodos profundos, como la hemorragia intracerebral, ocurren en el 1-4% de los casos y raramente son fatales.14 Además, tuvimos dificultades para identificar la etiología de la epilepsia en 5 individuos porque no se encontraron anormalidades patológicas cerebrales en la RM que pudieran explicar indirectamente la epilepsia (foco RM-negativo).15 Además, el monitoreo de EEG con video fue ineficaz en estos casos.16 Estos pacientes recibieron la instalación de electrodos profundos para localizar el centro epiléptico debido a los desafíos diagnósticos mencionados anteriormente, lo que hizo imposible realizar un tratamiento quirúrgico adecuado (Figura 2, 3 y 4).17,18

Figura 2. Ejemplo de patrón continuo de EEG obtenido durante el monitoreo con electrodos profundos.

Figura 3. Ocurrencia de un ataque epiléptico en el EEG durante el monitoreo a través de electrodos profundos.

Figura 4. Ejemplo de los electrodos profundos instalados en una RM en cortes axiales (A), coronales (B) y sagitales (C).
Etapa de quirúrgica
Los niños requieren diferentes procedimientos quirúrgicos para tratar la epilepsia en comparación con los adultos debido a varias razones.19 Los niños son más propensos a experimentar convulsiones que los adultos y los ataques recurrentes en bebés y niños pequeños menores de dos años están vinculados a un retraso o regresión en el desarrollo mental. La epilepsia focal tiene una mayor ocurrencia en niños y generalmente está asociada con la epilepsia infantil.20 Debido a la rápida evolución electro-clínica en niños, la epilepsia asociada con una localización inoperable a menudo es heterogénea, lo que requiere una planificación quirúrgica cuidadosa. La neuroplasticidad y la reorganización funcional están frecuentemente vinculadas al desarrollo cerebral en niños.21
Los tres modelos estándar de cirugía utilizados para la epilepsia resistente a medicamentos (ERM) en la región temporal son la amigdalohipocampectomía con lobectomía temporal anterior, la amigdalohipocampectomía selectiva y la resección de tejidos patológicamente denominados dentro de un área funcionalmente significativa.22,23,24
La amigdalohipocampectomía implica la eliminación del hipocampo, amígdala, uncus, giro parahipocampal y otras estructuras. No hay un método estandarizado para operar, pero las opciones incluyen lobectomía temporal anterior, amigdalohipocampectomía selectiva y amigdalohipocampectomía a través del giro temporal medio. Una craniotomía frontotemporal estándar comienza con una incisión en forma de signo de interrogación. Después de la apertura de la duramadre, se visualizan la cisura de Silvio, el giro temporal superior (T1) y el surco central. El primer paso en la amigdalohipocampectomía es penetrar al cuerno temporal del ventrículo lateral y eliminar el abultamiento del hipocampo en su superficie interna. El surco ventricular lateral es la entrada al giro parahipocampal, donde se realiza una resección subpial como primer paso quirúrgico (Figura 8). Luego, el hipocampo se puede mover lateralmente al espacio creado por la eliminación del giro parahipocampal para aspirar la fimbria de la piamadre subyacente. El hipocampo se elimina en un solo bloque. La resección anterior para lograr una amigdalohipocampectomía incluye la resección completa del uncus (Figura 5-7).23,24,25

Figura 5. Dos ejemplos de amigdalohipocampectomía postoperatoria con lobectomías temporales anteriores. A corresponde a un lado izquierdo y B a un lado derecho, una de las técnicas de tratamiento quirúrgico de la Epilepsia Refractaria a los Medicamentos.

Figura 6. Ejemplos de escaneos de RM postoperatorios después de la extracción de tumores, los cuales fueron la causa de convulsiones epilépticas resistentes a los medicamentos. A: corresponde a una cavidad quirúrgica del giro temporal medio derecho y B: a una cavidad temporal posterior izquierda.

Figura 7. Ejemplo de una amigdalohipocampectomía selectiva postoperatoria en un paciente con convulsiones persistentes. A y B muestran una vista sagital del enfoque, mientras que C y D desde la base.

Figura 8. Amigdalohipocampectomía con lobectomía temporal anterior. Obra original de Manuel De Jesús Encarnación Ramírez.
En comparación con los enfoques quirúrgicos convencionales, la cirugía de acceso mínimo puede ofrecer mejores resultados terapéuticos y una recuperación más rápida para los pacientes.(26) El método de acceso mínimo es particularmente adecuado para el tratamiento quirúrgico de la epilepsia temporal, ya que implica solo una pequeña incisión en el cráneo y un pequeño agujero de trépano para eliminar las estructuras temporales mesiales. Este método reduce las lesiones del cuero cabelludo y del hueso en comparación con incisiones del cuero cabelludo más extensas y craneotomías amplias para realizar la amigdalohipocampectomía. Es preferible para candidatos con epilepsia del lóbulo temporal significativa, donde el control visual directo es insuficiente debido al espacio limitado para maniobrar y se necesita imagen intraoperatoria. Se realiza una incisión curva en la piel de la cabeza comenzando en el hueso cigomático, seguido de la disección y apertura del músculo temporal usando ganchos o un retractor. Se lleva a cabo una craneotomía sobre la incisión cortical anticipada y la ventana ósea resultante es solo un poco más grande que una moneda de cinco rublos (2-4 cm). Se recomienda ECoG intraoperatorio para estimar la cantidad de resección durante la cirugía. Para lesiones que afectan la corteza del habla, la estrategia de resección depende de la ubicación del foco patogénico. La resección del área afectada de la corteza motora se lleva a cabo utilizando mapeo del surco central, utilizando potenciales evocados somatosensoriales (PESS), estimulación cortical o craneotomía despierto. La craneotomía despierta con mapeo del lenguaje dirige el curso de resección para lesiones del centro del habla.
En la muestra, la resección de tumores representó el 73.07 por ciento (19 casos), la amigdalohipocampectomía selectiva el 50% (13 casos), y la amigdalohipocampectomía con lobectomía temporal anterior el 11.5 por ciento (3 casos). La edad promedio de los pacientes era de 11.5 años, y 12 casos estaban en el área temporal derecha y 12 casos en la izquierda. Tres casos quirúrgicos involucraron resecciones de displasia cortical focal (DCF). Dos individuos de la población general tenían esclerosis hipocampal, lo que causaba convulsiones epilépticas frecuentes y complicadas. Después de la terapia quirúrgica, el 87 por ciento de los pacientes pudo manejar sus convulsiones.
RESULTADOS
En este estudio evaluamos los resultados de la cirugía de epilepsia en 26 pacientes pediátricos con epilepsia médicamente refractaria. Los pacientes tenían edades comprendidas entre los 4 y 17 años, con una edad promedio de 11.5 años. La condición estuvo presente durante un promedio de 4.5 años, y solo 18 de los 26 pacientes mostraron resistencia a la medicación antes de la decisión de someterse a cirugía. El seguimiento postoperatorio fue, en promedio, de 1.5 años. Las causas más comunes de epilepsia en esta población de pacientes fueron problemas de desarrollo cerebral, incluyendo displasia cortical focal, complejo de esclerosis tuberosa, polimicrogiria, tumores glioneuronales de bajo grado y malformaciones vasculares.
La displasia cortical focal (DCF) fue la causa más común de epilepsia médicamente refractaria, representando el 50% de los casos en nuestro estudio. Todos los pacientes se sometieron a exámenes prequirúrgicos, incluyendo monitoreo de EEG por video, RM de encéfalo, evaluación por neuropsicología, un examen neurológico completo y evaluación de los síntomas de las convulsiones. El foco de las convulsiones epilépticas generalmente se localizó primero usando EEG y el monitoreo de EEG por video se usó activamente para determinar el tipo y características precisas de la convulsión. A diferencia de los pacientes con epilepsia temporal neocortical y peri-temporal, aquellos con epilepsia temporal mesial frecuentemente tienen una mayor probabilidad de un resultado exitoso, es decir, la cesación completa de las convulsiones después de la cirugía, particularmente en aquellos que tienen una sola lesión en la RM.
La evaluación preoperatoria identificó la zona epileptógena en los 26 pacientes. Se realizó la colocación de electrodos de EEG profundos en 16 pacientes. Todos los pacientes se sometieron a resección quirúrgica de la zona epileptógena, determinando la extensión de la resección mediante ECoG intraoperatorio. De los 26 pacientes que se sometieron a cirugía de epilepsia, 19 (73.1%) lograron la libertad de convulsiones y 5 (19.2%) tuvieron una reducción significativa en la frecuencia de las convulsiones. Solo 2 pacientes (7.7%) no mostraron una mejora significativa después de la cirugía. Los resultados fueron similares para pacientes con diferentes etiologías de epilepsia. Los pacientes con DCF tuvieron la tasa más alta de libertad de convulsiones, con un 80%, logrando la cesación completa de las convulsiones. Los pacientes con complejo de esclerosis tuberosa y tumores glioneuronales de bajo grado tuvieron la tasa más baja de libertad de convulsiones, con solo el 50%, logrando el control completo de las convulsiones. El tiempo entre el inicio de la epilepsia y la cirugía no pareció impactar significativamente en los resultados. Los pacientes que se sometieron a cirugía dentro de los 2 años posteriores al inicio de la epilepsia tuvieron resultados similares a aquellos que se sometieron a cirugía más de 2 años después del inicio de la epilepsia.
Las evaluaciones neuropsicológicas realizadas antes de la cirugía identificaron déficits cognitivos y funcionales preexistentes en todos los pacientes, con la severidad de estos déficits variando según la etiología de la epilepsia. Después de la cirugía, los pacientes mostraron una mejora significativa en las habilidades cognitivas y funcionales, con algunos pacientes mostrando una resolución completa de los déficits preexistentes. Las complicaciones de la cirugía de epilepsia fueron raras en este estudio, con solo 1 paciente experimentando una infección postoperatoria menor que se trató con éxito con antibióticos. No hubo casos de déficits neurológicos significativos o mortalidad asociada con la cirugía.
DISCUSIÓN
El presente estudio investigó el manejo de la Epilepsia Temporal Estructural (ETE) en una cohorte pediátrica, involucrando medidas clínicas y no clínicas. El objetivo era discernir las estrategias más efectivas para el manejo de la epilepsia, con un énfasis particular en las intervenciones quirúrgicas, en niños diagnosticados con epilepsia médicamente refractaria.
Preoperatoriamente, nuestro estudio enfatizó la necesidad de una evaluación comprensiva, incluyendo monitoreo de EEG por video, RM de encéfalo, evaluación neuropsicológica y un examen neurológico completo. Este enfoque multifacético es integral para identificar con precisión la zona epileptógena, determinar el tipo de convulsiones y evaluar cualquier déficit cognitivo o neurológico existente. Estudios previos también han subrayado el rol de estas medidas en la planificación de intervenciones quirúrgicas.15,18 En nuestra muestra, la Displasia Cortical Focal fue la causa más frecuente de epilepsia refractaria, un hallazgo que coincide con la literatura existente.21-24 Dada su alta prevalencia y la pobre respuesta al tratamiento conservador, a menudo se justifica la intervención quirúrgica con el pronóstico significativamente mejorado con la resección quirúrgica completa.20,21 Esto enfatiza el rol de la cirugía en el manejo de la epilepsia asociada a la DCF. La RM fue instrumental para distinguir entre los inicios mesiales y neocorticales, con pacientes que tienen epilepsia temporal mesial demostrando tasas de éxito quirúrgico más altas.
La colocación de electrodos de EEG profundos fue necesaria en ciertos casos donde el EEG superficial no pudo localizar precisamente el inicio de la convulsión, una técnica que ha sido respaldada por estudios existentes.18,20 Sin embargo, nuestro estudio reitera los posibles riesgos, como la hemorragia intracerebral, subrayando la necesidad de una consideración cuidadosa al optar por esta técnica.
Nuestro enfoque quirúrgico fue personalizado basado en la edad, etiología de las convulsiones y localización. La neuroplasticidad y la reorganización funcional en niños requieren un plan quirúrgico personalizado.20-22 El enfoque varió desde la amigdalohipocampectomía con lobectomía temporal anterior hasta la resección de tejidos patológicos. También se corroboró el rol beneficioso de las cirugías mínimamente invasivas en la reducción del tiempo de recuperación y la mejora de los resultados terapéuticos.
Postoperatoriamente, un 73.1% de los pacientes logró la libertad de convulsiones, mientras que el 19.2% mostró una reducción significativa en la frecuencia de las convulsiones. Esta alta tasa de éxito sugiere que las intervenciones quirúrgicas bien planificadas y ejecutadas pueden mejorar significativamente la calidad de vida de los niños con epilepsia médicamente refractaria. Nuestros resultados son consistentes con estudios previos que informan tasas similares de control postoperatorio de las convulsiones.23-26
Este estudio tiene varias limitaciones que se deben considerar al interpretar los resultados; el tamaño de la muestra es relativamente pequeño, lo cual puede limitar la generalización de los hallazgos. El período de seguimiento fue solo de 1.5 años en promedio, lo cual puede no ser suficiente para evaluar la efectividad a largo plazo del tratamiento quirúrgico. El estudio solo se centró en pacientes pediátricos, y los resultados pueden no ser aplicables a adultos con epilepsia temporal estructural.
CONCLUSIÓN
La epilepsia temporal estructural es una condición que puede impactar severamente en la calidad de vida de un paciente y la terapia médica tradicional puede no ser siempre efectiva. En el caso de la epilepsia refractaria, se debe considerar el tratamiento quirúrgico, y esto debería involucrar una evaluación preoperatoria precisa y exhaustiva del paciente. En este estudio, demostramos que un estudio prospectivo, monocéntrico, de pacientes pediátricos con edades entre 4 y 17 años con epilepsia temporal estructural, puede beneficiarse del tratamiento quirúrgico. Descubrimos que la displasia cortical focal es la causa más común de epilepsia médicamente refractaria en la población pediátrica y la segunda/tercera etiología más común de convulsiones médicamente intratables en adultos. Nuestro estudio demostró que una resección quirúrgica completa es un marcador pronóstico crucial para pacientes con displasia cortical focal Tipo IIA/IIB. También encontramos que un examen preoperatorio preciso y exhaustivo es esencial para el éxito de la cirugía de epilepsia. En general, nuestro estudio demostró que la cirugía de la epilepsia es segura. La etiología de la epilepsia no impactó significativamente en los resultados, y el tiempo entre el inicio de la epilepsia y la cirugía no pareció ser un factor significativo en el éxito de la cirugía.
Los estudios futuros deberían abordar las limitaciones de esta investigación, explorar los resultados a largo plazo de las intervenciones quirúrgicas para la epilepsia temporal estructural, comparar técnicas quirúrgicas tradicionales y novedosas como la ablación con láser o la estimulación cerebral profunda, e identificar nuevos tratamientos farmacológicos, incluyendo terapias dirigidas y agentes inmunomoduladores para mejorar los resultados postquirúrgicos.
Los autores no declaran conflicto de interés
Los autores no declaran financiamiento.
Este es un artículo de acceso abierto bajo la licencia CC BY-NC https://creativecommons.org/licenses/by-nc/4.0/
BIBLIOGRAFÍA