¿Cuál es la presión de drenaje óptima en hidrocefalias tumorales obstructivas? Análisis de factores subyacentes al sobredrenado valvular, revisión de casos y desarrollo de protocolo quirúrgico.
Lucila Domecq Laplace, Mauro Ruella, Facundo Villamil, Martin Monsalve, Jazmín Azul Fraire, Ruben Mormandi, Andrés Cervio.
Departamento de Neurocirugía, Fundación para la Lucha contra las Enfermedades Neurológicas de la Infancia (FLENI). Ciudad Autónoma de Buenos Aires. Argentina.
Lucila Domecq Laplace
ldomecq@fleni.org.ar / domecq.lucila@gmail.com
DOI: 10.59156/revista.v36i04.594
ORCID:
Lucila Domecq Laplace: 0000-0002-7882-9236
Mauro Ruella: 0000-0003-2198-6801
Facundo Villamil: 0000-0002-2248-9324
Martin Monsalve: 0000-0003-2778-6026
Jazmín Azul Fraire: 0009-0006-0665-3848
Ruben Mormandi: 0009-0000-4749-8705
Andrés Cervio: 0000-0001-7617-1605
RESUMEN
Introducción: La hidrocefalia es una complicación frecuente dentro de la patología tumoral del SNC. La colocación de válvulas de derivación ventrículo-peritoneal (VDVP) en estos casos es, al día de la fecha, la práctica estándar para tratar esta patología y prevenir las complicaciones y comorbilidades que esta conlleva. Al momento, no existe un protocolo ni una presión valvular inicial establecida para estos pacientes, en los cuales hemos observado una tendencia al sobredrenado de líquido cefalorraquídeo (LCR).
El objetivo de este trabajo es analizar nuestra experiencia en el tratamiento de hidrocefalias obstructivas secundarias a patología tumoral, determinar factores relacionados al advenimiento de sobredrenado, el manejo terapéutico del mismo y subsiguientemente protocolizar de manera sencilla y económica la colocación de este tipo de prótesis así como identificar una presión terapéutica que reduzca el riesgo de sobredrenado.
Materiales y métodos: Estudio monocéntrico, analítico, retrospectivo de una cohorte de pacientes operados en nuestra institución por hidrocefalia obstructiva secundaria a patología tumoral entre los años 2013-2022.
Se analizaron historias clínicas, imágenes y protocolos quirúrgicos. Se identificaron aquellos pacientes que desarrollaron sobredrenado. Subsiguientemente se analizaron mediante un modelo estadístico explicativo multivariado aquellas variables demográficas, clínicas y terapéuticas implicadas en el mismo.
En una segunda etapa se propone un protocolo rápido, sencillo y económico a fin de determinar la presión óptima dentro de cada caso en particular.
Resultados: Dentro de los 56 pacientes incluidos, 32 pacientes (57%) presentaron sobredrenado; 10 pacientes (18%) presentaron higromas en imágenes postoperatorias, y de estos, 3 pacientes (5.4%) requirieron intervenciones quirúrgicas. El 94% de los sobredrenados ocurrieron a presiones menores o igual a 160 mmH20. Así mismo, 8 de los 11 pacientes con VDVP de presión fija media (100-110 mmH20) no regulable presentaron sobredrenado.
En un 27% de los pacientes debió aumentarse la presión valvular como consecuencia de hallazgos clínicos o radiológicos de sobredrenado.
Conclusión: Las hidrocefalias secundarias a patología tumoral presentan un comportamiento distinto al de las normotensivas. La tasa de sobredrenado en estos pacientes es superior y por consiguiente debe ser tenida en cuenta como una posible complicación relevante. Dada la heterogeneidad de tumores, cada paciente presenta presiones de LCR distintas y por ende debe individualizarse el tratamiento. Proponemos el uso del protocolo de medición intraquirúrgica de presión a fin de colocar la VDVP a la presión óptima para cada paciente, y evitar de esta manera el sobredrenado de LCR.
Palabras clave. Hidrocefalia tumoral, presión valvular, sobredrenado, válvula ventrículo peritoneal.
What is the optimal drainage pressure in obstructive tumors hydrocephalus? Analysis of factors underlying valve overdrainage, case review and development of surgical protocol
ABSTRACT
Background: Hydrocephalus is a common complication in CNS tumors pathology. The placement of ventriculoperitoneal shunt in these cases is, to date, the standard practice to treat this pathology and prevent the complications and comorbidities that it entails. At present, there is no protocol or initial valve pressure established for these patients, in whom we have observed a tendency toward overdrainage of cerebrospinal fluid (CSF).
The objective of this work is to analyze our experience in the treatment of obstructive hydrocephalus secondary to tumor pathology, determine factors related to the occurrence of overdrainage, its therapeutic management and subsequently protocolize in a simple and economical way the placement of this type of prosthesis as well as identify a therapeutic pressure that reduces the risk of overdrainage.
Methods: Monocentric, analytical, retrospective study of a cohort of patients operated on at our institution for obstructive hydrocephalus secondary to tumors, between the years 2013-2022.
Medical records, images and surgical protocols were analyzed. Those patients who developed overdrainage were identified. Subsequently, the demographic, clinical and therapeutic variables involved in it were analyzed using a multivariate explanatory statistical model.
In a second stage, a quick, simple, and economical protocol is proposed to determine the optimal pressure within each case.
Results: Among the 56 patients included, 32 patients (57%) presented overdrainage; 10 patients (18%) presented hygromas on postoperative images, and of these, 3 patients (5.4%) required surgical interventions. 94% of overdrains occurred at pressures less than or equal to 160 mmH20. Likewise, 8 of the 11 patients with non-adjustable medium fixed pressure shunt (100-110 mmH20) presented overdrainage.
In 27% of patients, valve pressure had to be increased because of clinical or radiological findings of overdrainage.
Conclusion: Hydrocephalus secondary to tumors presents a different behavior than normotensive ones. The rate of overdrainage in these patients is higher and therefore must be considered as a possible relevant complication. Given the heterogeneity of tumors, each patient has different CSF pressures and therefore treatment must be individualized. We propose the use of the intrasurgical pressure measurement protocol to place the shunt at the optimal pressure for each patient, and thus avoid CSF overdrainage.
Keywords. Overdrainage, tumor hydrocephalus, valve pressure, ventricle-peritoneal valve.
INTRODUCCIÓN
La hidrocefalia es una complicación frecuente dentro de la patología tumoral del sistema nervioso central (SNC).1,2 La colocación de válvulas de derivación ventrículo-peritoneal (VDVP) en estos casos es, al día de la fecha, la práctica estándar para tratar esta patología y prevenir las complicaciones y comorbilidades que esta conlleva.1,3,4 Así mismo, una de las complicaciones más compleja y de difícil manejo una vez impuesta es el sobredrenado de líquido cefalorraquídeo (LCR).4-10
Existen diversos trabajos que evalúan tanto el funcionamiento de ciertos sistemas de VDVP 3,4, como el sobredrenado en hidrocefalias en general5,8-9 y normotensivas.6-7,9 Sin embargo, no contamos a la fecha con ningún estudio que evalúe la hidrocefalia obstructiva secundaria a tumores del SNC ni su comportamiento luego del tratamiento con VDVP. Así mismo, aun cuando el sobredrenado postoperatorio es una complicación conocida, no existe un protocolo que determine el manejo de estos pacientes ni la presión óptima para su tratamiento.
El objetivo de este trabajo es analizar nuestra experiencia en el tratamiento de hidrocefalias secundarias a patología tumoral, identificar factores relacionados al advenimiento de sobredrenado, el manejo terapéutico del mismo y subsiguientemente protocolizar de manera sencilla, rápida y económica la colocación de este tipo de prótesis así como identificar una presión terapéutica que reduzca el riesgo de sobredrenado.
MATERIALES Y MÉTODOS
Estudio monocéntrico, analítico, retrospectivo de una cohorte de pacientes adultos operados en nuestra institución por hidrocefalia obstructiva secundaria a patología tumoral entre los años 2013-2022.
El estudio se dividió en 2 etapas. Una primera etapa analítica y una segunda parte en la que se propone un sencillo protocolo quirúrgico a fin de determinar la presión óptima dentro de cada caso en particular.
Para la primera etapa del trabajo se analizó una cohorte de 296 pacientes adultos con hidrocefalia intervenidos quirúrgicamente mediante la colocación de un shunt entre 2013 y 2022, en nuestra institución. De estos 296 pacientes, 160 correspondieron a hidrocefalia normotensiva del adulto. De los 136 pacientes restantes, 80 fueron excluidos del análisis por presentar hidrocefalia no comunicante de origen no tumoral (ej. trauma, HSA, malformaciones congénitas entre otras), o por contar con seguimiento menor a 6 meses.
La muestra de pacientes incluidos para el análisis final fue de 56 pacientes adultos (mayores de 18 años). Se analizaron los datos demográficos, historias clínicas, imágenes y protocolos quirúrgicos. Se identificaron aquellos pacientes que desarrollaron sobredrenado y el manejo terapéutico del mismo. El sobredrenado fue categorizado como radiológico puro, clínico puro (síntomas de hipotensión de LCR sin signos específicos en las imágenes) y el síndrome de hipotensión de LCR (sintomatología asociada a cambios imagenológicos). Subsiguientemente se analizaron mediante un modelo estadístico explicativo multivariado aquellas variables demográficas, clínicas y terapéuticas implicadas en el mismo.
Todos los pacientes fueron estudiados con TC y/o RM de cerebro. Se utilizaron como parámetros de hidrocefalia por imágenes la ventriculomegalia asociada a abombamiento de astas frontales, un diámetro del tercer ventrículo >5mm, un Ventricular SRC Index (distancia entre ambas astas frontales/distancia bifrontal desde tabla interna ósea) >30% y astas temporales prominentes. En la mayoría de los casos se asoció a edema transependimario.11
Todos los pacientes fueron tratados con shunt que presentaban mecanismo “anti-siphon”. Las presiones fueron medidas en milímetros de agua (mmH20). Las válvulas de derivación utilizadas fueron tanto regulables externas como de presión fija media (100-110 mmH20).
Análisis estadístico
Para el análisis estadístico se empleó el programa R 4.1.2. Se asumió la distribución normal de los datos en base al Teorema del Límite Central. Las variables categóricas son presentadas como frecuencias absolutas y relativas, las variables continuas como media y desvío estándar.
Se empleó un modelo multivariado de regresión logística para dar explicación al advenimiento de sobredrenado secundario a hidrocefalia tumoral como la variable de resultado categórica. Los supuestos se verificaron previo al análisis; <0,05 p se utilizó como valor de corte para la significancia.
Para evaluar aquellos factores determinantes de la presión final de drenaje de los sistemas de derivación (variable de resultado numérica) se empleó un modelo explicativo multivariado de regresión lineal; <0,05 se utilizó como valor de corte para la significancia.
Protocolo quirúrgico
En la segunda parte del trabajo, basándonos en los resultados de nuestro estudio retrospectivo, desarrollamos un sencillo y económico protocolo intraquirúrgico a fin de evaluar la presión de LCR de cada paciente e individualizar la presión óptima del sistema valvular a implantar. Los materiales a utilizar son un catéter abbocath G20, una guía B-Pro 26 o similar, una regla estéril, un marcador estéril y el sistema regulador de la válvula a colocar (Fig. 1A).

Figura 1. Protocolo quirúrgico.
Fig. A. Elementos a utilizar para realizar el protocolo (catéter abbocath G20, guía B-Pro 26 o similar, regla estéril y marcador estéril). Fig. B y C. Punción ventricular y colocación del teflón del catéter abbocath 20G dentro del mismo. Posteriormente este se une con la guía B-Pro 26 y se eleva a fin de evaluar la presión obtenida (medida por la columna de LCR). Fig. D. Medición de la columna de agua marcada en la guía B-Pro 26 con la regla estéril. Fig. E. Finalmente, una vez concluido el procedimiento, se regula la válvula a la presión obtenida intra quirúrgicamente.
El protocolo consiste en 5 sencillos pasos, a realizar dentro del proceso de colocación de la válvula (Fig.1):12
RESULTADOS
Características de los pacientes
Las características demográficas de los pacientes incluidos en este estudio se detallan en la Tabla 1.
Tabla 1. Características clínicas y demográficas de la población.
Género |
|
Femenino |
24 (43%) |
Masculino |
32 (57%) |
Edad (media) |
46 (31, 61) |
Síntomas hidrocefalia |
52 (93%) |
Localización tumoral |
|
Cortical |
7 (12%) |
Profundo |
14 (25%) |
Fosa Posterior |
29 (52%) |
Selar/Clival |
6 (11%) |
TVE previa |
4 (7.1%) |
DVE previa |
8 (14%) |
Derivación pre-resección |
7 (12%) |
Anatomía patológica |
|
Glioma Alto Grado |
7 (12.5%) |
Glioma Bajo Grado |
5 (8.9%) |
Ependimoma |
5 (8.9%) |
Schwannoma |
10 (17.8%) |
Meningioma |
2 (3.6%) |
Craneofaringioma |
3 (5.4%) |
Linfoma |
4 (7.1%) |
Tumor Pineal |
5 (8.9%) |
Hemangioblastoma |
1 (1.8%) |
Meduloblastoma |
1 (1.8%) |
Quiste epidermoide |
1 (1.8%) |
Papiloma |
1 (1.8%) |
Metástasis |
1 (1.8%) |
Cordoma |
1 (1.8%) |
NA |
9 (16%) |
n (%); Media (IQR)
Se incluyeron un total de 56 pacientes, con leve predilección por el sexo masculino (57% hombres, 43% mujeres) y una edad promedio de 46 años (rango 18-76 años). La patología más frecuente correspondió a gliomas: 7 pacientes (12.5%) de alto grado, 5 pacientes (8.9%) de bajo grado), seguidos por schwannomas (10 pacientes, 17.8%); ocho pacientes (14%) requirieron la colocación de un drenaje ventricular externo (DVE) previo al procedimiento, mientras que a 4 (7.1%) se les realizó una tercer ventriculostomía endoscópica (TVE) previamente.
Colocación de VDVP y complicaciones
Las características de la terapéutica quirúrgica, complicaciones postoperatorias y manejo de las mismas se detallan en la Tabla 2.
La válvula de derivación más utilizada fue la Codman Hakim(R) en 28 casos (50%). En 80 pacientes se utilizaron sistemas de regulación externa de presión, mientras que en 11 pacientes (19.6%) se colocaron VDVP de presión fija media.
Tabla 2: Manejo terapéutico y outcome
Sobredrenado |
32 (57%) |
Sobredrenado radiológico puro |
21 (37.4%) |
Sobredrenado clínico puro |
1 (1.8%) |
Síndrome de hipotensión de LCR |
10 (17.8%) |
Higromas / HSD |
10 (17.8%) |
Cirugía por sobredrenado |
3 (5.4%) |
Tipo VDVP |
|
Codman Hakim ® |
28 (50%) |
Sophysa SM8 ® |
14 (25%) |
Medtronic Strata ® |
1 (1.8%) |
Codman Certas ® |
2 (3.6%) |
Codman ® presión fija media |
10 (17.8%) |
Medtronic ® presión fija media |
1 (1.8%) |
Presión inicial (mmH20) |
|
110 |
11 (19.6%) |
120 |
1 (1.8%) |
140 |
34 (60.7%) |
150 |
6 (10.7%) |
160 |
1 (1.8%) |
Presión final (mmH20) |
|
70 |
1 (1.8%) |
110 |
12 (21.4%) |
120 |
1 (1.8%) |
130 |
2 (3.6%) |
140 |
21 (37.5%) |
150 |
2 (3.6%) |
160 |
3 (5.4%) |
170 |
7 (12.5%) |
180 |
1 (1.8%) |
190 |
1 (1.8%) |
200 |
4 (7.15%) |
Aumento de presión de VDVP |
15 (26.7%) |
Descenso de presión de VDVP |
5 (8.9%) |
Presión final (mmH20) |
147 (125, 160) |
Otras complicaciones postoperatorias |
|
No |
49 (87.5%) |
Infección de sitio quirúrgico |
2 (3.6%) |
Meningitis |
2 (3.6%) |
Disfunción distal |
3 (5.4%) |
Follow up (meses) |
27 (7, 42) |
n (%); Media (IQR)
De la totalidad de la muestra, 32 pacientes (57%) presentaron sobredrenado (Fig. 2). El 37.4% se manifestó como sobredrenado radiológico puro, 1.8% como sobredrenado clínico puro y el 18% como síndrome de hipotensión de LCR constituido. Por otro lado, 10 pacientes (17.8%) presentaron higromas en imágenes postoperatorias, y de estos, 3 pacientes (5.4%) requirieron intervenciones quirúrgicas (dos ligaduras de VDVP y una evacuación de hematoma subdural). Otras complicaciones fueron la disfunción distal en un 5.4%, y meningitis e infección de sitio quirúrgico en un 3.6%. El follow-up medio fue de 27 meses (rango 6-90 meses).

Figura 2. Sobredrenado.
Del total de 56 pacientes, 32 pacientes (57%) presentaron sobredrenado. El 37.5% se manifestó como sobredrenado radiológico puro, 1.8% como sobredrenado clínico puro y el 18% como síndrome de hipotensión de LCR constituido (cambios imagenológicos asociados a clínica de hipotensión de líquido cefalorraquídeo).
Análisis del sobredrenado
El estudio de regresión logística multivariado para valorar las variables que determinaron un aumento del riesgo de sobredrenado demostró que la derivación previa a la resección tumoral aumentó 1.4 veces el riesgo de sobredrenado (OR 1.41 CI 0.85-3.5).
Si bien el tipo de válvula y la presión inicial utilizadas no arrojaron resultados estadísticamente significativos, se pudo observar que el 94% de los sobredrenados ocurrieron a presiones menores o igual a 160 mmH20. Así mismo, 8 de los 11 pacientes con VDVP de presión fija media (100-110 mmH20) no regulable presentaron sobredrenado.
En un 27% de los pacientes debió subirse la presión valvular como consecuencia de hallazgos clínicos o radiológicos de sobredrenado.
El modelo explicativo de regresión lineal multivariado (R2 0.85) se utilizó para valorar aquellas variables que determinaron un aumento estadísticamente significativo de la presión final. El mismo demostró resultados significativos en dos variables: Los pacientes con síntomas de hidrocefalia aguda al diagnóstico determinaron un aumento de 35 mmH20 en la presión final (p 0.03); y la presencia de sobredrenaje la cual determinó un aumento de 30 mmH20 en la presión final (p 0.02).
Casos ilustrativos
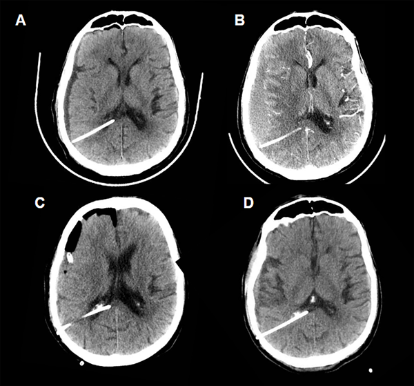
Caso 1 (Fig. 3)
Paciente masculino de 75 años de edad, que consulta por mareos, inestabilidad en la marcha e incontinencia urinaria. Se realizó RMN y TC donde se evidencia voluminoso meningioma petroclival izquierdo asociado a hidrocefalia obstructiva. Se decidió colocar una VDVP Codman Certas(R) a 150 mmH20. En la TC de cerebro control a las 48 hs postoperatorias se evidenciaba pequeño higroma derecho por lo que se aumenta la presión valvular a 170 mmH20 (Fig. 3A). Mantuvo controles periódicos, con crecimiento progresivo de dicha colección y aumento de la presión valvular hasta 200 mmH20. A los 2 meses postoperatorios, en contexto de crisis convulsiva, se realizó nueva imagen donde se constata el desarrollo de un voluminoso hematoma subdural (Fig. 3B). Se realizó la evacuación quirúrgica del mismo sin intercurrencias (Fig 3C). El paciente actualmente presenta estabilidad clínica e imagenológica, manteniendo la presión valvular en 200 mmH20, con un seguimiento sin nuevas intercurrencias de 19 meses (Fig. 3D).

Figura 3. Caso 1.
Fig A. Tomografía de cerebro control realizada a las 48 hs postoperatorias. Por evidencia de higroma se aumenta la presión valvular de 150 mmH20 a 170 mmH20, con posterior egreso sanatorial. Fig. B. TC de cerebro a los 2 meses postoperatorios, donde se evidencia hematoma subdural frontoparietal derecho subagudo (VDVP a 200 mmH20). Fig. C. Control realizado en el postoperatorio inmediato de la evacuación de dicho hematoma, se evidencia cavidad quirúrgica con drenaje subdural. Fig. D. Tomografía realizada al último control, sin signos de complicaciones.
Caso 2 (Fig. 4)
Paciente femenina de 37 años de edad a quien, en contexto de diplopía y cefaleas, se le diagnostica un tumor del III ventrículo con hidrocefalia asociada (Fig. 4A). En este contexto se realizó una tercer ventriculostomía endoscópica con posterior exéresis tumoral. La anatomía patológica informó tumor del parénquima pineal con diferenciación intermedia. A los 15 días postoperatorios, por aumento de la hidrocefalia se decide la colocación de una VDVP Codman Hakim(R) a 140 mmH20 (Fig. 4B). En control por consultorios a los 10 días postoperatorios se evidencia higroma en TC de cerebro por lo que, en subsiguientes controles, se aumenta progresivamente la presión valvular hasta estabilidad imagenológica con reversión del higroma a 200 mmH20 (Fig. 4C - 4D). La paciente se encuentra actualmente estable, sin signos ni síntomas de hidrocefalia ni sobredrenado, con un seguimiento de 75 meses (Fig. 2D).

Figura 4. Caso 2.
Fig A. Resonancia magnética diagnóstica donde se evidencia lesión en región pineal, con intenso realce tras la administración de contraste, que asocia hidrocefalia obstructiva. Fig. B. Tomografía de encéfalo control a las 48 hs postoperatorias de la colocación de la VDVP. Fig. C. TC de cerebro a los 10 días postoperatorios con evidencia de higroma y consecuente aumento de la presión valvular a 170 mmH20. Fig. D. Corte sagital T1 con contraste y axial T2 de RM realizada al mes postoperatorio. Se evidencian signos de hipotensión de LCR (Realce paquimeníngeo, ingurgitación venosa, aplanamiento protuberancial y persistencia de dicha colección subdural). En este contexto se aumenta la presión valvular a 200 mmH20. Fig. E. TC realizada en el último control (follow up 75 meses) sin signos de sobredrenado.
DISCUSIÓN
En el presente trabajo analizamos nuestra experiencia en el tratamiento de hidrocefalias secundarias a patología tumoral, evaluando en detalle la frecuencia de sobredrenado, sus posibles factores predisponentes y el manejo terapéutico del mismo. Por otra parte, buscamos en consecuencia proponer un protocolo rápido, sencillo y económico a fin de lograr disminuir el riesgo de esta frecuente complicación.
Desde la primera colocación de un sistema valvular para el tratamiento de la hidrocefalia en 1949, este ha constituido el tratamiento de elección ante dicha patología.5 Cuando la presión colocada sobrepasa la presión requerida por el paciente, una de las complicaciones más frecuentemente vistas y de difícil manejo una vez impuesta es el sobredrenado de LCR. 4-10 En las hidrocefalias secundarias, como es el caso de las obstructivas tumorales, el aumento secundario de la presión intracraneana constituye un riesgo mayor para el desarrollo de este suceso.2,5,8,13 Al momento, la mayor revisión del tema es la publicada por Kyoung-Hun y cols. en 20095 en la que además se introduce un protocolo a fin de determinar la presión correcta en la colocación de shunts en hidrocefalias. Sin embargo, los autores analizaron una población heterogénea de 70 pacientes con hidrocefalias de distintas etiologías (comunicantes/no comunicantes, normotensivas/hipertensivas, pediátricas/adultos) operados mediante la colocación de una VDVP programable. La tasa de sobredrenado fue del 24.3%. Un segundo trabajo de similares características fue realizado por Ros y cols.10, pero principalmente destinado a la población pediátrica y las válvulas sin mecanismo anti siphon. Khan y cols9 por otro lado, analizaron pacientes con hidrocefalia normotensiva del adulto, observando altas tasas de sobredrenado en pacientes con presiones intracraneanas mayores a 160 mmH20. Al momento, los estudios que analizan puntualmente el tratamiento de hidrocefalias secundarias a tumores y el advenimiento de sobredrenaje son escasos o nulos. Asimismo no existe un punto de corte a la hora de fijar la presión valvular en lo que respecta a este grupo de pacientes. Aun así, el sobredrenado es una complicación relativamente frecuente a las presiones habitualmente utilizadas.4-10,13-14 El mismo no solo aumenta la complejidad del postoperatorio sino que, en ciertas ocasiones, agrega requerimiento de segundos procedimientos quirúrgicos ya sea para ligadura de VDVP o evacuación de hematomas subdurales.5,13
Al analizar nuestra serie, de los 56 pacientes, 32 (57%) presentaron sobredrenado. En la mayoría (37.4%) se manifestó como sobredrenado radiológico puro (sin síntomas), mientras que en el 17.8% se presentó como síndrome de hipotensión de LCR. Así mismo, 10 pacientes (17.8%) presentaron higromas en imágenes postoperatorias. El hecho de que 37.4% de los pacientes presentaran ventrículos colapsados y/o higromas, aún sin presentar síntomas asociados, enfatiza la importancia de un seguimiento por imágenes estricto en el postoperatorio mediato.
En un 26.7% de los pacientes debió aumentarse la presión valvular como consecuencia de hallazgos clínicos o radiológicos de sobredrenado. En la mayoría de los pacientes, este aumento progresivo de la presión valvular logró resolver dicha complicación. Sin embargo, 3 pacientes (5.4%) requirieron intervenciones quirúrgicas (dos ligaduras de VDVP y una evacuación de hematoma subdural). La evacuación del hematoma se realizó en un paciente en el cual se había llegado a la presión valvular máxima permitida por la VDVP utilizada (200 mmH20). Ambas ligaduras fueron en pacientes con VDVP de presión media fija. Así mismo, 8 de los 11 pacientes con VDVP de presión fija media (100-110 mmH20) no regulable presentaron sobredrenado.
En relación a este último punto, no existe fuerte evidencia respecto al uso de un tipo de válvula por sobre otra.3,5,6,8,15 Tanto la particularidad que presentan los pacientes oncológicos en el hecho de requerir seguimiento imagenológico periódico mediante la utilización de RM, o el hecho de que es habitual la pérdida de seguimiento, ofrece un escenario amigable para el empleo de válvulas de presión fija. Sin embargo, en concordancia al mayor riesgo de sobredrenaje que estos pacientes presentan, sería factible considerar optar por válvulas de regulación externa, contemplando inclusive que existen actualmente modelos que no requieren su control posterior a RM. En caso de no ser esto posible, se podría evaluar la alternativa de utilizar válvulas de presión fija media-alta.
No obstante a la hipótesis planteada, no evidenciamos diferencias estadísticamente significativas en el advenimiento de sobredrenaje en base al tipo de válvula empleada. Creemos que el escaso número de pacientes incluidos en nuestro estudio con este tipo de válvulas constituye la principal limitante. Futuros trabajos prospectivos serían necesarios para profundizar el análisis de dicha disyuntiva.
En lo que respecta a la presión inicial empleada, no objetivamos que esta haya constituido una variable determinante en el advenimiento de sobredrenaje de manera estadísticamente significativa en el estudio multivariado. Sin embargo cabe remarcar que el 94% de los sobredrenados ocurrieron a presiones menores o iguales a 160 mmH20. Es en este escenario, que proponemos el uso del protocolo de medición intraquirúrgica de presión a fin de colocar la VDVP a la presión óptima e individualizada para cada paciente. En los casos en los que realizar el protocolo no es posible, en nuestra opinión y en base a los datos obtenidos, sugerimos iniciar a presiones más elevadas a las utilizadas en hidrocefalias no tumorales, con posterior ajuste gradual de la misma, a fin de reducir el riesgo de esta complicación.
Es menester remarcar ciertas eventualidades y limitaciones del protocolo. En primera instancia, este protocolo se encuentra principalmente destinado a válvulas de presión regulables externas. Así mismo, sugerimos, antes de iniciar el procedimiento quirúrgico, colocar la VDVP a la presión máxima que esta permite, a fin de evitar, aunque infrecuente, el sobredrenado intraquirúrgico. En el caso de contar únicamente con válvulas de presión fija, luego de medir la presión intracraneana de apertura, se podría colocar una VDVP acorde a la presión obtenida (presión baja, media o alta). Luego del procedimiento, en concordancia con lo descrito en la bibliografía y,5,10,14 en nuestra experiencia, se sugiere realizar una tomografía de encéfalo control a las 24-48 hs del mismo, para evaluar el volumen del sistema ventricular y posibles signos de sobredrenado, y posteriormente una nueva TC dentro de las 2 semanas postoperatorias, con el fin de evaluar posterior requerimiento de ajuste de presión. Luego de estos dos controles imagenológicos, se sugiere una nueva tomografía al mes del procedimiento, y luego controles seriados por consultorio, con indicación de imágenes solo si el paciente presenta síntomas que sugieran la necesidad de algún ajuste de presión de la VDVP.
Como fue mencionado previamente no existe actualmente un punto de corte de presión en estos pacientes. Contemplando la presión final de las VDVP, como puede observarse en la Tabla 2, la media fue de 147 con un rango de 70 a 200 mmH20. Es interesante destacar que aquellas variables que condicionaron un aumento de la presión de esta última de forma estadísticamente significativa fueron el advenimiento de sobredrenaje, como es de esperar (que determinó un aumento de 30 mmH20) y la presencias de síntomas de hidrocefalia aguda preoperatorias (aumento de 35 mmH20). Esta última contingencia no siempre está presente en casos de patología tumoral, ya sea por la complacencia cerebral, o porque sólo constituye un hallazgo imagenológico en los que la VDVP contribuye no sólo al tratamiento de la hidrocefalia sino en muchas ocasiones a mejorar el escenario quirúrgico de la patología de base. La presencia de síntomas de hidrocefalia aguda, podrían estar en concordancia con un aumento de la presión intracraneana secundaria a la misma, lo cual se traduciría en un mayor riesgo de sobredrenado y por consiguiente requerimiento de aumento de la presión final.
Un dato interesante obtenido del análisis fue, por otro lado, que la derivación previa a la resección tumoral aumentó 1.4 veces el riesgo de sobredrenado (OR 1.41 CI 0.85-3.5). A nuestro entender esto podría estar relacionado con el hecho que, en muchos casos, la resección tumoral resulta en una reducción de la presión intracraneana con consecuente decremento en el gradiente de presión de LCR y, así mismo, resultado indirectamente en el tratamiento de la causa subyacente a la hidrocefalia.
Por último destacar que, en base a los datos obtenidos y a la bibliografía, desarrollamos un protocolo quirúrgico con la finalidad de determinar la presión óptima dentro de cada caso en particular y así disminuir el riesgo de sobredrenado. Consideramos que este protocolo deberá ser evaluado en futuros estudios de manera prospectiva para confirmar su efectividad.
CONCLUSIÓN
Las hidrocefalias secundarias a la patología tumoral obstructiva presentan un comportamiento distinto al de las normotensivas, la tasa de sobredrenaje en estos pacientes es superior y por consiguiente debe ser tenida en cuenta. El sobredrenado valvular en hidrocefalias obstructivas tumorales es una seria complicación, de difícil manejo una vez instaurado. Cabe destacar que debido a la heterogeneidad de tumores, cada paciente presenta presiones de LCR distintas y por ende debe individualizarse el tratamiento.
En base a los resultados obtenidos proponemos el uso del protocolo de medición intraquirúrgica de presión a fin de colocar la VDVP a la presión óptima para cada paciente, o iniciar, en caso contrario, a presiones más elevadas con posterior ajuste gradual de las mismas, empleando de ser posible válvulas de regulación externa. El seguimiento por imágenes desde instancias tempranas es fundamental para la pesquisa de complicaciones.
Limitaciones
Los hallazgos de este estudio deben ser contemplados teniendo en cuenta ciertas limitaciones. El primero es el carácter retrospectivo de nuestro análisis, con todas las imperfecciones que dicha metodología presenta. Así mismo, un mínimo porcentaje de pacientes se perdió en el seguimiento (seguimiento menor a 6 meses), por lo que no pudieron ser considerados para el estudio. La media de seguimiento fueron 17 meses. Aun cuando el sobredrenado suele ocurrir dentro del postoperatorio mediato, resulta una limitante no contar con una media de seguimiento más prolongada.
Los autores no declaran conflicto de interés
Los autores no declaran financiamiento.
Este es un artículo de acceso abierto bajo la licencia CC BY-NC https://creativecommons.org/licenses/by-nc/4.0/
BIBLIOGRAFÍA