Factores de riesgo asociados a la persistencia de hidrocefalia posterior a la resección de tumores de fosa posterior
Cicutti Santiago Ezequiel,1 Cuello Javier Francisco,2 Gromadzyn Guido1
1. Servicio de Neurocirugía, Hospital “Juan P. Garrahan”, Ciudad Autónoma de Buenos Aires, Argentina
2. Servicio de Neurocirugía, Hospital “Petrona V. de Cordero”. Buenos Aires, Argentina.
Cicutti, Santiago Ezequiel
santiagocicutti@gmail.com
DOI: 10.59156/revista.v37i03.570
ORCID:
Cicutti, Santiago Ezequiel 0000-0002-5520-8402
Cuello, Javier Francisco 0000-0002-9299-4780
Gromadzyn, Guido 0000-0003-2272-2437
RESUMEN
Introducción: Las neoplasias de fosa posterior son los tumores de sistema nervioso central más frecuentes en la población pediátrica y una causa frecuente de hidrocefalia.
Objetivo: Analizar los factores de riesgo asociados a hidrocefalia luego de las cirugías de resección de tumores de fosa posterior en una población pediátrica.
Material y Métodos: Se realizó un estudio observacional retrospectivo de pacientes pediátricos operados de tumores de fosa posterior en un único hospital. Se analizaron potenciales factores de riesgo pre y post quirúrgicos. Se consideró como variable respuesta la necesidad de derivación definitiva para tratar la hidrocefalia a los 6 meses de la resección tumoral.
Resultados: En el análisis univariado se detectaron múltiples factores de riesgo significativos. Sin embargo, solamente 3 se mantuvieron en el modelo multivariado: grado de resección (Subtotal: OR 7.86; Parcial: OR 20.42), infección postoperatoria (OR 17.31) y ausencia de flujo de salida postoperatorio en IV ventrículo (OR 4.29). Éste modelo presentó una buena capacidad predictiva (AUC: 0.80, Sensibilidad 80.5%, Especificidad 76.3%).
Conclusión: La realización de tercer ventriculostomía endoscópica preoperatoria no redujo la incidencia de hidrocefalia postoperatoria. El grado de resección tumoral, la presencia de infección postoperatoria y la obstrucción de salida del IV ventrículo fueron los factores de riesgo más importantes para el requerimiento de sistema derivativo definitivo luego de la resección de un tumor de fosa posterior. Ésto podría influir en la toma de decisiones respecto al tratamiento en este grupo de pacientes pediátricos.
Palabras clave. Tumores de fosa posterior, Tercer ventriculostomía endoscópica, Derivación ventrículo peritoneal, Hidrocefalia.
Risk factors associated with hydrocephalus persistence after posterior fossa tumors resection.
ABSTRACT
Background: Posterior fossa tumors are the most frequent central nervous system neoplasms in the pediatric population and a frequent cause of hydrocephalus.
Objective: Analyze the risk factors associated with hydrocephalus after posterior fossa tumors resection in a pediatric population.
Methods: A retrospective observational study was conducted on pediatric patients who underwent posterior fossa tumor resection in a single hospital. Potential pre- and post-operative risk factors were analyzed. The need for definitive shunt placement to treat hydrocephalus at 6 months after tumor resection was considered as the outcome variable.
Results: Univariate analysis identified multiple significant risk factors. However, only 3 factors remained in the multivariate model: extent of resection (subtotal: OR 7.86; partial: OR 20.42), postoperative infection (OR 17.31), and absence of postoperative outflow of the fourth ventricle (OR 4.29). This model showed good predictive capacity (AUC: 0.80, Sensitivity 80.5%, Specificity 76.3%).
Conclusion: Preoperative endoscopic third ventriculostomy did not reduce the incidence of postoperative hydrocephalus. The extent of tumor resection, presence of postoperative infection, and obstruction of fourth ventricle outflow were the most important risk factors for the requirement of a definitive shunt system after posterior fossa tumor resection. This could influence treatment decisions in this group of pediatric patients.
Keywords: Posterior fossa tumors, Endoscopic third ventriculostomy, Ventriculoperitoneal shunt, Hydrocephalus
INTRODUCCIÓN
Las neoplasias de fosa posterior son los tumores sólidos más frecuentes en la población pediátrica.1–3 Estas lesiones a menudo ocurren cerca de la línea media, produciendo una alteración en la circulación del líquido cefalorraquídeo (LCR) y una hidrocefalia obstructiva con un patrón triventricular.4) Alternativamente, y con menos frecuencia, se ha propuesto un trastorno en la absorción del LCR como entidad causante de la hidrocefalia en estos pacientes.5
Independientemente de la etiología de la alteración de la circulación de LCR, la presentación clínica con hidrocefalia ocurre entre el 73 al 100% de los pacientes pediátricos con neoplasias de fosa posterior.6–9 Aunque la resección del tumor se asocia con la resolución de la hidrocefalia en la mayoría de los casos, entre 18 y 40% (media del 30%) de los pacientes requerirán un procedimiento quirúrgico posterior para derivar el LCR.7,9–11
Los avances en la investigación de biología molecular, las técnicas microquirúrgicas y la terapia adyuvante han llevado a mejorar significativamente la sobrevida de estos pacientes. Como consecuencia, las comorbilidades a largo plazo tienen un impacto cada vez mayor en la calidad de vida de los pacientes, siendo la hidrocefalia la más importante.2
Hasta la fecha no existe consenso sobre el manejo de la hidrocefalia en pacientes pediátricos con tumores de fosa posterior respecto a si debe tratarse antes, durante o después de la cirugía oncológica, en gran medida debido a que no existe certeza sobre quienes desarrollarán esta complicación a largo plazo.12
El objetivo del presente trabajo es evaluar los factores de riesgo pre y post quirúrgicos asociados a la persistencia de hidrocefalia luego de la exéresis de tumores de fosa posterior (TFP) en una población pediátrica.
MATERIALES Y MÉTODOS
Se realizó un estudio observacional retrospectivo donde se incluyeron las historias clínicas de pacientes de un hospital pediátrico que fueron intervenidos quirúrgicamente por TFP. Se evaluaron datos de los archivos de los últimos 9 años, entre diciembre de 2014 hasta enero de 2023.
Este estudio utilizó la información clínica de forma anónima, por lo tanto, no presentó ningún tipo de riesgo para los participantes ni para su confidencialidad. Toda información obtenida fue usada por los investigadores con la más estricta confidencialidad sólo a los fines del presente estudio.
Se recopilaron datos sobre sexo y edad al momento del diagnóstico, manifestaciones clínicas al momento de presentación y tiempo de evolución de las mismas, imágenes de resonancia magnética (RMI) y/o tomografías computadas (TC) realizadas pre y postoperatorias, manejo inicial de hidrocefalia (quirúrgico o expectante), tipo de cirugía realizada, complicaciones postoperatorias (hasta 30 días después de la cirugía), status neurológico posoperatorio, diagnóstico anatomopatológico, presencia de hidrocefalia a los 6 meses y su manejo, y tratamiento oncológico realizado.
Las variables imagenológicas registradas que requirieron mediciones (índice de Evans [IE], fronto-occipital horn ratio [FOHR], lateralidad de la lesión) fueron promediadas entre las mediciones de dos investigadores. Las variables categóricas imagenológicas (flujo acueductal, edema periependimario, flujo de salida del IV ventrículo, III ventrículo abalonado, abombamiento del piso del III ventrículo, invasión del tronco y predicción de anatomía patológica), fueron registradas por dos investigadores, y en caso de desacuerdo se utilizó el criterio de un tercer autor.
Criterios de inclusión
Criterios de exclusión
Definición de variables
Se consideró como variable respuesta la necesidad de derivación definitiva para tratar la hidrocefalia a los 6 meses de la resección tumoral.
Los criterios para definir la infección postoperatoria fueron: cultivo positivo de LCR obtenido por punción lumbar, de pseudomeningocele, o a través de un sistema de derivación ventricular externa, posterior a la cirugía resectiva. Asimismo, se definió como infección postoperatoria imágenes cerebrales de resonancia magnética sugestivas de procesos infecciosos (abscesos cerebrales o extradurales, empiemas subdurales).13
El grado de resección se categorizó como resección total (gross total resection, GTR), resección subtotal (sub-total resection, STR) y resección parcial (partial resection, PR), basado en la observación intraquirúrgica y de imágenes de RMI postoperatorias (hasta 72 horas posteriores a la cirugía). GRT correspondió a la ausencia de restos tumorales en RMI concordante con la apreciación intraquirúrgica de los neurocirujanos. STR correspondió a los casos en los que se observó un resto tumoral menor al 5% en RMI o intraoperatorios como en los casos de invasión del tronco encefálico. PR, cualquier grado de resección que no cumplió los criterios anteriores (Figura 1).

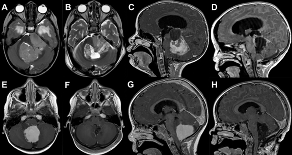
Figura 1: Análisis comparativo de imágenes de resonancia magnética (RM) prequirúrgicas y postoperatorias, destacando los distintos grados de resección tumoral.
A y B: imagen axial de RM ponderada en T2 en el que se observa una lesión correspondiente a Ependimoma Anaplásico de fosa posterior y su resección parcial (PR) debido a la adherencia de la misma a la cara lateral del tronco encefálico.
C y D: imagen sagital de RM ponderada en T1 con gadolinio en la que se evidencia una lesión sólido-quística en fosa posterior, compatible con Astrocitoma pilocítico y la resección subtotal (STR) con un resto en región de la cisterna cuadrigeminal que se encontraba adherido.
E, F, G y H: Imágenes axiales y sagitales de RM ponderadas en T1 con gadolinio, de un paciente con lesión en fosa posterior compatible con Astrocitoma de fosa posterior y su resección completa (GTR).
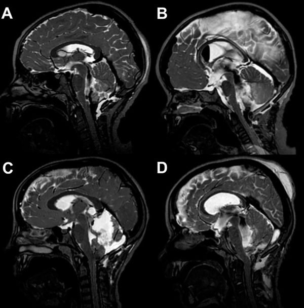
La obstrucción de salida del IV ventrículo se interpretó como la ausencia de comunicación de LCR (permeabilidad) en imágenes de RMI entre el IV ventrículo y la cisterna magna (Figura 2).

Figura 2: Imágenes de RM sagitales ponderadas en T2 drive, de cuatro postoperatorios de resección tumoral de fosa posterior. En A y B se evidencia vacío de flujo entre IV ventrículo y cisterna magna. En C y D se observa la ausencia de comunicación de LCR (permeabilidad) entre IV ventrículo y cisterna magna.
La extensión de la hidrocefalia se calculó en base a una relación estandarizada (IE), que se calcula dividiendo el diámetro máximo de las astas frontales de los ventrículos laterales con el diámetro máximo intracraneal en el mismo corte axial a la altura de los forámenes de Monro. La ventriculomegalia leve, moderada y severa se designó para proporciones de 0,27 a 0,33, 0,34 a 0,40 y >40, respectivamente. Se consideró una relación inferior a 0,27 como normal. También se calculó la proporción de astas frontales y occipitales (FOHR), según lo descrito por O'Hayon et al.,14 y un valor superior a 0,44 se consideró indicativo de hidrocefalia. Según los valores de FOHR, se designaron 3 grupos que indican hidrocefalia leve (0,44–0,46), moderada (0,47–0,49) y severa (> 0,49).
El flujo acueductal, se determinó por la presencia de imágenes sugestivas de “vacíos de flujo” en las imágenes sagitales ponderadas en T2 en la región del acueducto de Silvio.
El edema transependimario se registró y definió como hipodensidad periventricular en las tomografías computadas y/o aumento de la señal T2 periventricular en las imágenes FLAIR y T2 de MRI.
La presencia de arqueamiento lateral de las paredes laterales del III ventrículo y de arqueamiento inferior del piso del III ventrículo, en las imágenes sagitales y axiales ponderadas en T2 de RMI fue considerado como abalonamiento del III ventrículo y abombamiento del piso del III ventrículo respectivamente.
Se predijo la histología tumoral, basándose únicamente en las características radiológicas preoperatorias del tumor, registradas por dos investigadores, y en caso de desacuerdo se utilizó el criterio de un tercer autor.
Los tumores sólidos y quísticos se categorizaron como lesiones cuyo componente sólido o quístico correspondía a más del 75% de la lesión. Aquellos con componentes en porcentajes menores al 75% se consideraron mixtos.
Se midió la distancia entre el centro geométrico (intersección de los 2 diámetros más grandes) del tumor y la línea media, para determinar la lateralidad de la lesión.2
La invasión de tronco se evaluó mediante la observación intraquirúrgica y las imágenes de resonancia post operatoria dentro de las 72 horas posteriores a la cirugía oncológica.
La diseminación tumoral se consideró como la presencia de metástasis sólidas distantes al TFP o diseminación leptomeníngea en MRI y/o presencia de células tumorales en LCR en muestras tomadas por punción lumbar.15
Análisis estadístico
Las variables categóricas se describieron con la distribución de frecuencias absolutas (número de pacientes dentro de cada categoría de la variable), y frecuencias relativas
(distribución porcentual de las observaciones dentro de cada categoría). Se analizó la normalidad de la distribución de las variables continuas mediante tests de Shapiro-Wilk y diagramas cuantil-cuantil. Debido a que ninguna variable continua presentó una distribución normal, éstas se describieron mediante sus respectivas medianas e intervalos intercuartílicos (cuartil 1, cuartil 3). Se evaluaron las variables explicativas según el requerimiento o no de DVP a los 6 meses de la cirugía tumoral. Se analizó la asociación entre variables categóricas con la prueba de Chi cuadrado o el test exacto de Fisher según supuestos, y para las variables continuas mediante el test de Wilcoxon.
Se calculó el odds ratio (OR) crudo y su correspondiente intervalo de confianza del 95% (IC 95%) para cada variable explicativa a través de un modelo de regresión logística simple considerando al requerimiento de DVP a los 6 meses como variable respuesta. Se construyeron modelos logísticos múltiples incluyendo a las variables que resultaron estadísticamente significativas en el análisis previo. Mediante una selección de variables del tipo “backwards”, se fueron retirando de cada modelo las variables que resultaron no significativas, hasta obtener un modelo logístico con todas sus variables explicativas significativas y con el menor AIC (Akaike information criterion). Se evaluó también la asociación entre algunas variables explicativas, y se utilizó el factor de inflación de la varianza (Variance inflation factor, VIF) para descartar la presencia de multicolinealidad problemática. La bondad de ajuste del modelo fue evaluada mediante el test de Hosmer-Lemeshow. Se obtuvieron los OR ajustados e IC 95% para las variables del modelo logístico múltiple seleccionado.
Para la validación interna del modelo, se evaluó la capacidad de discriminación del mismo a través del área bajo la curva (AUC) Receiving Operating Characteristic (ROC). Se calculó el punto de corte óptimo para el modelo mediante el índice de Youden, y con el mismo se calculó la sensibilidad y especificidad. Para evitar sesgos en estos cálculos y evitar un optimismo excesivo en estas métricas, se utilizó un método de validación cruzada del tipo “Leave-one-out cross-validation”.
Se consideraron estadísticamente significativas las probabilidades menores al 5% (p<0.05).
La totalidad del análisis estadístico se realizó con el software R versión 4.3.0 (2023-04-21, R Foundation), mediante el entorno de desarrollo RStudio versión 2023.03.0+386.
RESULTADOS
Se incluyeron en el análisis 187 pacientes en total. Los resultados del análisis univariado se resumen en las tablas 1A (variables preoperatorias) y 1B (variables postoperatorias).
Dentro de los potenciales predictores prequirúrgicos de requerimiento de sistema derivativo, resultaron significativos en el análisis univariado la ausencia de flujo acueductal (p=0.004), la predicción de meduloblastoma o ependimoma mediante neuroimágenes (p=0.018), la presencia de tumor sólido (p=0.015) y la diseminación tumoral (p=0.011). Sus respectivos OR calculados mediante regresión logística simple se detallan en la tabla 2A. Cabe destacar que la realización de una tercer ventriculostomía endoscópica (TVE) preoperatoria no fue un factor protector significativo (p=0.621).
TABLA 1A: Variables preoperatorias según requerimiento de DVP a los 6 meses
|
Requerimiento de DVP a los 6 meses |
|
|
|
Variable explicativa preoperatoria |
No (N=135) |
Si (N=52) |
Total (N=187) |
p-valor |
Género |
|
|
|
0.4951 |
Femenino |
60 (44.4%) |
26 (50.0%) |
86 (46.0%) |
|
Masculino |
75 (55.6%) |
26 (50.0%) |
101 (54.0%) |
|
Edad al diagnóstico (años) |
|
|
|
0.2152 |
Mediana |
6.51 |
5.63 |
6.24 |
|
Q1Q3 |
4.22, 9.18 |
2.73, 8.90 |
3.56, 9.04 |
|
Duración de los síntomas (semanas) |
|
|
|
0.7762 |
Mediana |
4.00 |
4.00 |
4.00 |
|
Q1Q3 |
2.00, 9.00 |
2.75, 9.75 |
2.00, 9.00 |
|
Índice de Evans (EI) preoperatorio |
|
|
|
0.0542 |
Mediana |
0.32 |
0.35 |
0.34 |
|
Q1Q3 |
0.28, 0.38 |
0.30, 0.42 |
0.29, 0.40 |
|
Hidrocefalia severa preoperatoria según EI |
|
|
|
0.0871 |
No |
107 (79.3%) |
35 (67.3%) |
142 (75.9%) |
|
Sí |
28 (20.7%) |
17 (32.7%) |
45 (24.1%) |
|
Fronto-occipital horn ratio (FOHR) preoperatorio |
|
|
|
0.0592 |
Mediana |
0.46 |
0.49 |
0.47 |
|
Q1Q3 |
0.43, 0.50 |
0.44, 0.53 |
0.44, 0.52 |
|
Hidrocefalia severa preoperatoria según FOHR |
|
|
|
0.0861 |
No |
98 (72.6%) |
31 (59.6%) |
129 (69.0%) |
|
Sí |
37 (27.4%) |
21 (40.4%) |
58 (31.0%) |
|
Edema periependimario preoperatorio |
|
|
|
0.1761 |
No |
17 (12.6%) |
3 (5.8%) |
20 (10.7%) |
|
Si |
118 (87.4%) |
49 (94.2%) |
167 (89.3%) |
|
Abombamiento del piso del III ventrículo, preoperatorio |
|
|
|
0.7691 |
No |
31 (23.0%) |
13 (25.0%) |
44 (23.5%) |
|
Si |
104 (77.0%) |
39 (75.0%) |
143 (76.5%) |
|
Flujo acueductal preoperatorio |
|
|
|
0.0041 |
No |
31 (23.0%) |
23 (44.2%) |
54 (28.9%) |
|
Si |
104 (77.0%) |
29 (55.8%) |
133 (71.1%) |
|
Flujo de salida del IV ventrículo, preoperatorio |
|
|
|
0.1761 |
No |
118 (87.4%) |
49 (94.2%) |
167 (89.3%) |
|
Si |
17 (12.6%) |
3 (5.8%) |
20 (10.7%) |
|
Abalonamiento del III ventrículo, preoperatorio |
|
|
|
0.2831 |
No |
18 (13.3%) |
4 (7.7%) |
22 (11.8%) |
|
Si |
117 (86.7%) |
48 (92.3%) |
165 (88.2%) |
|
Predicción preoperatoria de la anatomía patológica |
|
|
|
0.0943 |
Astrocitoma pilocítico |
53 (39.3%) |
10 (19.2%) |
63 (33.7%) |
|
Ependimoma |
15 (11.1%) |
10 (19.2%) |
25 (13.4%) |
|
Hemangioblastoma |
2 (1.5%) |
0 (0.0%) |
2 (1.1%) |
|
Meduloblastoma |
58 (43.0%) |
28 (53.8%) |
86 (46.0%) |
|
Teratoide Rabdoide Atípico |
1 (0.7%) |
1 (1.9%) |
2 (1.1%) |
|
Tumor de plexo |
3 (2.2%) |
1 (1.9%) |
4 (2.1%) |
|
Otro |
3 (2.2%) |
2 (3.8%) |
5 (2.7%) |
|
Predicción preoperatoria de meduloblastoma o ependimoma |
|
|
|
0.0181 |
Meduloblastoma o Ependimoma |
73 (54.1%) |
38 (73.1%) |
111 (59.4%) |
|
Predicción de otro tumor |
62 (45.9%) |
14 (26.9%) |
76 (40.6%) |
|
Tumor sólido o no |
|
|
|
0.0151 |
Quístico o sólido-quístico |
45 (33.3%) |
8 (15.4%) |
53 (28.3%) |
|
Sólido |
90 (66.7%) |
44 (84.6%) |
134 (71.7%) |
|
Sangrado de lesión al diagnóstico |
|
|
|
0.7413 |
No |
127 (94.1%) |
48 (92.3%) |
175 (93.6%) |
|
Si |
8 (5.9%) |
4 (7.7%) |
12 (6.4%) |
|
Tumor medial / lateral (en mm de línea media) |
|
|
|
0.9872 |
Mediana |
0.00 |
0.00 |
0.00 |
|
Q1Q3 |
0.00, 12.85 |
0.00, 11.62 |
0.00, 12.30 |
|
Realce con contraste |
|
|
|
0.9511 |
No |
19 (14.1%) |
7 (13.7%) |
26 (14.0%) |
|
Si |
116 (85.9%) |
44 (86.3%) |
160 (86.0%) |
|
Restringe en la difusión |
|
|
|
0.1301 |
No |
61 (56.5%) |
17 (42.5%) |
78 (52.7%) |
|
Si |
47 (43.5%) |
23 (57.5%) |
70 (47.3%) |
|
Diseminación tumoral preoperatoria |
|
|
|
0.0111 |
No |
126 (93.3%) |
42 (80.8%) |
168 (89.8%) |
|
Si |
9 (6.7%) |
10 (19.2%) |
19 (10.2%) |
|
Tercer ventriculostomía (TVE) preoperatoria |
|
|
|
0.6211 |
No TVE |
91 (67.4%) |
37 (71.2%) |
128 (68.4%) |
|
TVE |
44 (32.6%) |
15 (28.8%) |
59 (31.6%) |
|
Q1Q3 = Cuartil 1, cuartil 3 |
||||
TABLA 1B: Variables postoperatorias según requerimiento de DVP a los 6 meses
|
Requerimiento de DVP a los 6 meses |
|
|
|
Variable explicativa postoperatoria |
No (N=109) |
Sí (N=32) |
Total (N=141) |
p-valor |
Grado de resección |
|
|
|
< 0.0011 |
GTR |
70 (64.2%) |
7 (21.9%) |
77 (54.6%) |
|
STR |
32 (29.4%) |
13 (40.6%) |
45 (31.9%) |
|
PR |
7 (6.4%) |
12 (37.5%) |
19 (13.5%) |
|
Duración de la cirugía (minutos) |
|
|
|
0.5702 |
Mediana |
330.00 |
365.00 |
330.00 |
|
Q1Q3 |
274.00, 400.00 |
292.50, 411.50 |
280.00, 403.00 |
|
Invasión del tronco |
|
|
|
< 0.0011 |
No invade ni desplaza el tronco |
31 (23.0%) |
3 (5.8%) |
34 (18.2%) |
|
Desplaza |
70 (51.9%) |
15 (28.8%) |
85 (45.5%) |
|
Infiltra |
34 (25.2%) |
34 (65.4%) |
68 (36.4%) |
|
Acueducto libre visto en cirugía |
|
|
|
0.4481 |
No |
29 (28.7%) |
7 (21.9%) |
36 (27.1%) |
|
Si |
72 (71.3%) |
25 (78.1%) |
97 (72.9%) |
|
Foco neurológico postoperatorio |
|
|
|
< 0.0011 |
No |
64 (58.7%) |
8 (25.0%) |
72 (51.1%) |
|
Si |
45 (41.3%) |
24 (75.0%) |
69 (48.9%) |
|
Fístula de LCR postoperatoria |
|
|
|
< 0.0013 |
No |
109 (100.0%) |
27 (84.4%) |
136 (96.5%) |
|
Si |
0 (0.0%) |
5 (15.6%) |
5 (3.5%) |
|
Hematoma subdural/epidural postoperatorio |
|
|
|
0.3183 |
No |
106 (97.2%) |
30 (93.8%) |
136 (96.5%) |
|
Si |
3 (2.8%) |
2 (6.2%) |
5 (3.5%) |
|
Hematoma cerebeloso postoperatorio |
|
|
|
0.0461 |
No |
97 (89.0%) |
24 (75.0%) |
121 (85.8%) |
|
Si |
12 (11.0%) |
8 (25.0%) |
20 (14.2%) |
|
Edema cerebeloso postoperatorio |
|
|
|
0.0611 |
No |
103 (94.5%) |
27 (84.4%) |
130 (92.2%) |
|
Si |
6 (5.5%) |
5 (15.6%) |
11 (7.8%) |
|
Isquemia cerebelo/tronco |
|
|
|
0.5113 |
Isquemia cerebelo en territorio vascular |
17 (15.6%) |
5 (15.6%) |
22 (15.6%) |
|
Isquemia cerebelo por abordaje |
33 (30.3%) |
12 (37.5%) |
45 (31.9%) |
|
Isquemia tronco |
1 (0.9%) |
1 (3.1%) |
2 (1.4%) |
|
No isquemia |
58 (53.2%) |
14 (43.8%) |
72 (51.1%) |
|
Pseudomeningocele |
|
|
|
0.0441 |
No |
87 (79.8%) |
20 (62.5%) |
107 (75.9%) |
|
Si |
22 (20.2%) |
12 (37.5%) |
34 (24.1%) |
|
Mutismo cerebeloso |
|
|
|
0.3281 |
No |
78 (71.6%) |
20 (62.5%) |
98 (69.5%) |
|
Si |
31 (28.4%) |
12 (37.5%) |
43 (30.5%) |
|
Hemorragia intraventricular en imagen postoperatoria |
|
|
|
0.2141 |
No |
51 (46.8%) |
11 (34.4%) |
62 (44.0%) |
|
Si |
58 (53.2%) |
21 (65.6%) |
79 (56.0%) |
|
Infección |
|
|
|
< 0.0011 |
No |
101 (92.7%) |
19 (59.4%) |
120 (85.1%) |
|
Si |
8 (7.3%) |
13 (40.6%) |
21 (14.9%) |
|
Requerimiento de punción lumbar postoperatoria |
|
|
|
0.1411 |
No |
67 (61.5%) |
15 (46.9%) |
82 (58.2%) |
|
Si |
42 (38.5%) |
17 (53.1%) |
59 (41.8%) |
|
Índice de Evans (EI) postoperatorio |
|
|
|
0.0422 |
Mediana |
0.30 |
0.34 |
0.31 |
|
Q1Q3 |
0.27, 0.35 |
0.29, 0.37 |
0.27, 0.35 |
|
Hidrocefalia postoperatoria según EI |
|
|
|
0.0911 |
Hidrocefalia |
84 (77.1%) |
29 (90.6%) |
113 (80.1%) |
|
Normal |
25 (22.9%) |
3 (9.4%) |
28 (19.9%) |
|
Fronto-occipital horn ratio (FOHR) postoperatorio |
|
|
|
0.0142 |
Mediana |
0.44 |
0.46 |
0.44 |
|
Q1Q3 |
0.40, 0.48 |
0.44, 0.49 |
0.41, 0.48 |
|
Hidrocefalia postoperatoria según FOHR |
|
|
|
0.0251 |
Hidrocefalia |
60 (55.0%) |
24 (77.4%) |
84 (60.0%) |
|
Normal |
49 (45.0%) |
7 (22.6%) |
56 (40.0%) |
|
Edema periependimario postoperatorio |
|
|
|
0.7561 |
No |
16 (14.7%) |
4 (12.5%) |
20 (14.2%) |
|
Si |
93 (85.3%) |
28 (87.5%) |
121 (85.8%) |
|
Abombamiento del piso del III ventrículo, postoperatorio |
|
|
|
0.2461 |
No |
67 (61.5%) |
16 (50.0%) |
83 (58.9%) |
|
Si |
42 (38.5%) |
16 (50.0%) |
58 (41.1%) |
|
Flujo acueductal postoperatorio |
|
|
|
0.0151 |
Si |
105 (96.3%) |
27 (84.4%) |
132 (93.6%) |
|
No |
4 (3.7%) |
5 (15.6%) |
9 (6.4%) |
|
Flujo de salida del IV ventrículo, postoperatorio |
|
|
|
< 0.0011 |
Si |
61 (56.0%) |
7 (21.9%) |
68 (48.2%) |
|
No |
48 (44.0%) |
25 (78.1%) |
73 (51.8%) |
|
Abalonamiento del III ventrículo, postoperatorio |
|
|
|
0.0981 |
Si |
80 (73.4%) |
28 (87.5%) |
108 (76.6%) |
|
No |
29 (26.6%) |
4 (12.5%) |
33 (23.4%) |
|
Anatomía patológica |
|
|
|
0.0643 |
Astrocitoma pilocítico |
46 (42.2%) |
5 (15.6%) |
51 (36.2%) |
|
Ependimoma |
11 (10.1%) |
5 (15.6%) |
16 (11.3%) |
|
Hemangioblastoma |
2 (1.8%) |
0 (0.0%) |
2 (1.4%) |
|
Meduloblastoma |
38 (34.9%) |
17 (53.1%) |
55 (39.0%) |
|
Teratoide Rabdoide Atípico |
4 (3.7%) |
2 (6.2%) |
6 (4.3%) |
|
Tumor de plexo |
3 (2.8%) |
0 (0.0%) |
3 (2.1%) |
|
Otro |
5 (4.6%) |
3 (9.4%) |
8 (5.7%) |
|
Meduloblastoma/ependimoma |
|
|
|
0.0071 |
Anatomía patológica de meduloblastoma o ependimoma |
49 (45.0%) |
23 (71.9%) |
72 (51.1%) |
|
Otra anatomía patológica |
60 (55.0%) |
9 (28.1%) |
69 (48.9%) |
|
Abordaje de la lesión |
|
|
|
0.0733 |
Telo-velo-medular |
24 (22.0%) |
7 (21.9%) |
31 (22.0%) |
|
Transcortical |
38 (34.9%) |
7 (21.9%) |
45 (31.9%) |
|
Transvermiano |
47 (43.1%) |
16 (50.0%) |
63 (44.7%) |
|
Otro |
0 (0.0%) |
2 (6.2%) |
2 (1.4%) |
|
Requirió nueva cirugía de exéresis tumoral |
|
|
|
0.0301 |
No |
98 (89.9%) |
24 (75.0%) |
122 (86.5%) |
|
Si |
11 (10.1%) |
8 (25.0%) |
19 (13.5%) |
|
Recibió quimioterapia |
|
|
|
< 0.0011 |
No |
61 (56.0%) |
7 (21.9%) |
68 (48.2%) |
|
Si |
48 (44.0%) |
25 (78.1%) |
73 (51.8%) |
|
Recibió radioterapia |
|
|
|
0.1411 |
No |
57 (52.3%) |
12 (37.5%) |
69 (48.9%) |
|
Si |
52 (47.7%) |
20 (62.5%) |
72 (51.1%) |
|
GTR: Resección macroscópicamente completa; STR: Resección subtotal; PR: Resección parcial; Q1Q3: Cuartil 1, cuartil 3. |
||||
TABLA 2A: Odds ratios crudos (según modelos logísticos simples) de variables preoperatorias significativas
Variable explicativa preoperatoria |
Odds Ratio |
IC 95% |
p-valor |
Flujo acueductal preoperatorio |
|
|
|
Sí |
- |
- |
|
No |
3.19 |
1.40 - 7.32 |
0.006 |
Predicción preoperatoria de anatomía patológica |
|
|
|
Predicción de meduloblastoma o ependimoma |
3.51 |
1.46 - 9.40 |
0.007 |
Otra predicción |
- |
- |
|
Tumor sólido o no |
|
|
|
Tumor quístico o sólido quístico |
- |
- |
|
Tumor sólido |
5.39 |
1.77 - 23.5 |
0.008 |
Diseminación tumoral preoperatoria |
|
|
|
No |
- |
- |
|
Sí |
4.08 |
1.29 - 13 |
0.015 |
IC 95%: Intervalo de confianza del 95% |
|||
TABLA 2B: Odds ratios crudos (según modelos logísticos simples) de variables postoperatorias significativas
Variable explicativa postoperatoria |
Odds Ratio |
IC 95% |
p-valor |
Grado de resección |
|
|
|
GTR |
- |
- |
|
STR |
4.06 |
1.52 - 11.7 |
0.006 |
PR |
17.1 |
5.33 - 61.8 |
<0.001 |
Invasión del tronco encefálico |
|
|
|
No invade ni desplaza |
- |
- |
|
Desplaza |
4.50 |
0.79 - 85.1 |
0.2 |
Infiltra |
24.6 |
4.74 - 457 |
0.002 |
Foco neurológico postoperatorio |
|
|
|
No |
- |
- |
|
Sí |
4.27 |
1.82 - 10.9 |
0.001 |
Infección |
|
|
|
No |
- |
- |
|
Sí |
8.64 |
3.22 - 24.6 |
<0.001 |
Hidrocefalia postoperatoria según FOHR |
|
|
|
No |
- |
- |
|
Sí |
2.80 |
1.16 - 7.53 |
0.029 |
Flujo acueductal postoperatorio |
|
|
|
No |
4.86 |
1.21 - 20.8 |
0.025 |
Sí |
- |
- |
|
Flujo de salida del IV ventrículo postoperatorio |
|
|
|
No |
4.54 |
1.89 - 12.2 |
0.001 |
Sí |
- |
- |
|
Anatomía patológica |
|
|
|
Meduloblastoma o ependimoma |
3.13 |
1.36 - 7.71 |
0.009 |
Otra anatomía patológica |
- |
- |
|
Requirió nueva cirugía de exéresis tumoral |
|
|
|
No |
- |
- |
|
Sí |
2.97 |
1.05 - 8.17 |
0.035 |
Recibió quimioterapia |
|
|
|
No |
- |
- |
|
Sí |
4.54 |
1.89 - 12.2 |
0.001 |
IC 95%: Intervalo de confianza del 95%; GTR: resección macroscópicamente completa; STR: resección subtotal; PR: resección parcial |
|||
En cuanto a los potenciales factores de riesgo postoperatorios, fueron significativos la resección subtotal o parcial (p<0.001) (Figura 3A), la invasión del tronco encefálico observada en la cirugía (p<0.001), la presencia de foco neurológico postoperatorio (p<0.001), la anatomía patológica de meduloblastoma o ependimoma (p=0.007), la infección postoperatoria (p<0.001) (Figura 3B), la ausencia de flujo de salida del IV ventrículo en la imagen postquirúrgica (p<0.001) (Figura 3C), la dilatación ventricular postoperatoria (p=0.025), el requerimiento de nueva cirugía de resección tumoral (p=0.030) y la quimioterapia (p<0.001). Sus OR crudos se muestran en la tabla 2B. La presencia de pseudomeningocele, fístula de LCR, edema o hematoma cerebeloso postoperatorios fueron significativas en el test de Chi-cuadrado o Fisher, pero no en la regresión logística simple, por lo que no se reportaron sus OR ni se incluyeron en la confección del modelo múltiple.
TABLA 3: Odds ratios ajustados de modelo logístico múltiple
Variable explicativa |
Odds Ratio ajustado |
IC 95% |
p-valor |
Grado de resección |
|
|
|
GTR |
- |
- |
|
STR |
7.86 |
2.67 - 29.14 |
<0.001 |
PR |
20.42 |
5.04 - 99.23 |
<0.001 |
Infección |
|
|
|
No |
- |
- |
|
Sí |
17.31 |
5.29 - 70.03 |
<0.001 |
Flujo de salida del IV ventrículo postoperatorio |
|
|
|
No |
4.29 |
1.66 - 12.48 |
0.004 |
Sí |
- |
- |
|
IC 95%: Intervalo de confianza del 95%; GTR: resección macroscópicamente completa; STR: resección subtotal; PR: resección parcial |
|||

Figura 3: A: Grados de resección: proporciones según requerimiento o no de sistema derivativo. B: Infección: proporciones según requerimiento o no de sistema derivativo. C: Flujo de salida por el IV ventrículo en imagen postoperatoria: proporciones según requerimiento o no de sistema derivativo.
Al realizar un modelo multivariado se seleccionó el que obtuvo menor AIC (108.56) con todas sus variables explicativas significativas. Las únicas variables que mantuvieron significación estadística fueron el grado de resección tumoral (Subtotal: OR 7.86, IC 95% 2.67 - 29.14, p<0.001; Parcial: OR 20.42; IC 95% 5.04 - 99.23; p<0.001), la infección postoperatoria (OR 17.31; IC 95% 5.29 - 70.03, p<0.001) y ausencia de flujo de salida postoperatorio en el IV ventrículo (OR 4.29; IC 95% 1.66 - 12.48; p=0.004). Se descartó la presencia de multicolinealidad preocupante observándose un VIF menor a 1.5 en las tres variables explicativas. Asimismo, se confirmó una buena bondad de ajuste del modelo (test de Hosmer Lemeshow, p=0.937) (Tabla 3) (Figura 4).

Figura 4: Odds ratios ajustados para las variables grado de resección, infección y flujo de salida del IV ventrículo (postop.), en orden de importancia.
El modelo predictivo con estas tres variables presentó una muy buena capacidad de discriminación, con un AUC de 0.80 (IC 95% 0.71 - 0.89) (Figura 5). El punto óptimo de corte para definir un caso positivo fue una probabilidad estimada de 0.34, obteniéndose una sensibilidad del 80.5%, una especificidad del 76.3%, un valor predictivo positivo del 50.8%, y un valor predictivo negativo del 92.8%. Las probabilidades estimadas por el modelo en cada combinación posible de las tres variables explicativas se detallan en la Tabla 4.
Tabla 4: Probabilidades predichas de requerimiento de derivación a los 6 meses según modelo multivariado. GTR: resección completa, STR: resección subtotal, PR: resección parcial.
|
Con flujo, Sin infección |
Sin flujo, Sin infección |
Con flujo, Con infección |
Sin flujo, Con infección |
GTR |
1.61% |
6.58% |
22.12% |
54.95% |
STR |
11.43% |
35.66% |
69.08% |
90.56% |
PR |
25.1% |
59% |
85.29% |
96.14% |

Figura 5: Curva ROC (Receiving operating Characteristics) para modelo predictivo de requerimiento de sistema derivativo a los 6 meses de la cirugía tumoral, de acuerdo a grado de resección, presencia de infección y flujo de salida del IV ventrículo postoperatorio. AUC = área bajo la curva ROC.
DISCUSIÓN
La hidrocefalia preoperatoria en pacientes pediátricos con TFP se atribuye en gran medida a la obstrucción del flujo de LCR en el acueducto de Silvio o en la salida del cuarto ventrículo. Menos frecuentemente, podría deberse a una absorción alterada de LCR a nivel de las granulaciones aracnoideas secundaria a diseminación subaracnoidea del tumor, hemorragia o inflamación crónica.5 Dado que estos tumores generalmente son oligosintomáticos cuando presentan un tamaño pequeño o que producen síntomas inespecíficos en etapas iniciales (por ejemplo, vómitos), es frecuente que se presenten con síntomas asociados a hidrocefalia. Es por esto que la prevalencia de dilatación ventricular es alta cuando se realiza un diagnóstico de TFP, la cual ha sido reportada entre 75 y 95% en la literatura.6–9 En nuestro análisis, la prevalencia de hidrocefalia al momento de presentación fue de 86.9%, concordante con lo reportado previamente.
Si bien la mayoría de los pacientes experimentará una resolución de esta hidrocefalia después de la resección del TFP, alrededor del 30 % tendrá hidrocefalia persistente que requerirá algún procedimiento quirúrgico para su tratamiento.7,9–11 En nuestra cohorte la proporción de pacientes que requirió una derivación de LCR fue similar (23.3%). Se desconoce fehacientemente qué pacientes requerirán una derivación permanente de LCR después de la resección de estos tumores. Es por ello que Riva-Cambrin et al. desarrollaron una escala clínica para predecir qué pacientes desarrollarán hidrocefalia postoperatoria (Canadian Preoperative Prediction Rule for Hydrocephalus, CPPRH), incluyendo como factores de riesgo asociados, la edad menor a 2 años, el grado de hidrocefalia, la presencia de metástasis, la presencia de edema transependimario y el diagnóstico de tumor estimado antes de la resección.2,16
En el presente trabajo, analizamos potenciales factores de riesgo pre y post quirúrgicos, así como variables propias de la cirugía oncológica.
Luego del análisis univariado, fueron factores de riesgo prequirúrgicos significativos la predicción preoperatoria de meduloblastoma o ependimoma (p=0.018) y la diseminación tumoral (p=0.011), en coincidencia con Riva-Cambrin.2,16 Sin embargo, no resultaron significativos la edad (p=0.215), el grado de dilatación ventricular (IE p=0.054, FOHR p=0.059) ni el edema periependimario (p=0.176). En nuestro grupo de pacientes, tanto la ausencia de flujo acueductal (p=0.004) como la presencia de tumor sólido (p=0.008) fueron asimismo factores de riesgo preoperatorios significativos, antes de realizar el ajuste multivariado (Tabla 2A).
Gopalakrishnan et al, en su serie de 84 pacientes, describieron como factores de riesgo para requerimiento de derivación postoperatoria algunas variables preoperatorias como el tiempo desde la aparición de los síntomas, el grado de hidrocefalia medido con EI o FOHR, y la presencia de tumores mediales.8 Ninguna de estas variables resultó significativa en nuestro análisis (p=0.776, p=0.054, p=0.059, p=0.987, respectivamente).
La tercer ventriculostomía endoscópica en el manejo de la hidrocefalia secundaria a tumores de fosa posterior fue propuesta por primera vez por Chumas et al. en 1995.17 Esto fue el punto de partida para varios grupos de estudio que argumentaron que la TVE previa a la resección reduciría la incidencia de hidrocefalia postoperatoria y la tasa de complicaciones, evitando asimismo el drenaje excesivo de LCR mediante una cirugía más rápida que la colocación de una derivación ventrículoperitoneal.5,17–20 Sainte-Rose et al. han defendido la TVE previa a la resección, ya que en su estudio retrospectivo, comparó 67 pacientes con hidrocefalia que se sometieron a TVE antes de la resección y 82 pacientes que no lo hicieron, con incidencias de hidrocefalia persistente del 6,3 y el 26,8 %, respectivamente. En base a estos datos, el grupo argumentó que todos los pacientes deberían someterse a TVE antes de la resección.17
En nuestra institución, donde evitamos la colocación pre o intraoperatoria de derivaciones ventriculares al exterior (DVE), la realización de TVE preoperatoria en TFP es muy común (31.6% de los pacientes), en general en casos en los que la resección debe posponerse algunos días por motivos de disponibilidad de quirófanos. Sin embargo, en nuestra cohorte de pacientes, la incidencia de hidrocefalia con requerimiento de sistema derivativo a los 6 meses de la cirugía oncológica no varió significativamente entre los pacientes que se realizaron TVE preoperatoria (24.1%) y los que no (22.9%, p=0.621). Según estos resultados, la TVE prequirúrgica no sería un factor protector para la subsiguiente persistencia de la hidrocefalia postoperatoria, a diferencia de lo afirmado por Sainte-Rose y otros investigadores.5,17–20
Si bien el modelo predictivo derivado del CPPRH es útil para asesorar al paciente y para definir una intensidad de monitorización clínica y radiológica postoperatoria para la hidrocefalia, no toma en cuenta ninguna variable luego de la cirugía de exéresis tumoral.2,16 Existe escasa literatura publicada acerca de potenciales factores de riesgo postoperatorios para hidrocefalia persistente luego de resecciones de TFP. Abraham et.al describen la hemorragia intraventricular postoperatoria (en conjunto con la edad menor a 6 años) como un factor de riesgo independiente para la hidrocefalia sintomática dentro de los 30 días postoperatorios.6 En nuestra serie, esta variable no resultó significativa (p=0.219).
Numerosos estudios han demostrado que la histología del tumor afecta de manera diferencial la tasa de hidrocefalia persistente.4,15,21–24 Específicamente, los meduloblastomas y los ependimomas tienden a tener tasas más altas de hidrocefalia persistente que los astrocitomas cerebelosos de bajo grado.25,26 Due-Tønnessen et. al informaron una tasa de resolución de la hidrocefalia del 87% con resección quirúrgica sola en niños con astrocitomas pilocíticos de la fosa posterior, y un porcentaje significativamente menor en pacientes con meduloblastomas y ependimomas (47 y 54%, respectivamente).25 Resulta interesante destacar que en nuestra serie el diagnóstico patológico de meduloblastoma o ependimoma resultó significativo en el análisis univariado (p=0.009) pero no en el multivariado, al igual que la invasión del tronco encefálico descrita en un párrafo previo. Sin embargo, los grados de resección subtotal (STR) y parcial (PR) se mantuvieron como factores de riesgo independientes al efectuar el análisis multivariado (Tabla 3) (Figura 4). Esto podría explicarse por la asociación entre meduloblastoma y STR (p=0.004), entre ependimoma y PR (p=0.013), y entre la invasión de tronco y STR y PR (p<0.001). Es decir, el factor determinante para la hidrocefalia persistente parecería ser el residuo tumoral, el cual puede ser considerado como una consecuencia, a veces inevitable, de la invasión del tronco observada con relativa frecuencia en ependimomas y meduloblastomas. Por ende, maximizar la resección tumoral podría no sólo mejorar el pronóstico oncológico de estos pacientes, sino también evitar la dependencia de un sistema derivativo y sus temidas complicaciones.
Gopalakrishnan et al.también destacan la infección postoperatoria como variable de riesgo postquirúrgica,8 en coincidencia con nuestra cohorte, en la que resultó un factor de riesgo independiente en el análisis multivariado (Tabla 3) (Figura 4). Dado que un paciente con infección postoperatoria tendría un odds de presentar hidrocefalia persistente de más de 17 veces el de un paciente sin infección, se deben tomar todas las medidas posibles tendientes a evitar ésta complicación. Sáenz et al han destacado como factores de riesgo para infecciones en este grupo de pacientes la colocación de DVE, la fístula de LCR y el tiempo operatorio prolongado.13
Asimismo, otra variable importante en nuestro análisis fue la ausencia de flujo de salida del IV ventrículo en las imágenes postoperatorias (Tabla 3) (Figura 4). Si bien se mantuvo como factor de riesgo independiente al controlar con el resto de las variables, se asoció también con STR (p=0.048) y con PR (p=0.032). Es decir, si bien una resección incompleta puede determinar esta ausencia de flujo, la observación de este signo en los controles imagenológicos postoperatorios, independientemente del grado de resección y la presencia o no de infección postoperatoria, debería alertar al equipo tratante sobre la probabilidad de una eventual hidrocefalia persistente.
La buena capacidad predictiva de éste modelo (Figura 5) obtenida con sólo 3 variables postoperatorias, permitiría en un futuro, y luego de su correcta validación externa, la potencial construcción de un score predictivo similar al CPPRH. La estratificación de los pacientes de acuerdo a su riesgo postoperatorio de hidrocefalia persistente, de acuerdo con el grado de resección, la presencia de infección y la permeabilidad de la salida del cuarto ventrículo, podría ser un complemento o una alternativa a otros modelos descriptos previamente en la literatura. Ésto, por ejemplo, podría definir diferencias de conducta en cuanto a estadía hospitalaria y controles imagenológicos entre pacientes de bajo o alto riesgo de hidrocefalia persistente.
En resumen, para evitar la dependencia de una derivación ventrículo peritoneal y sus complicaciones en pacientes pediátricos con tumores de fosa posterior, el neurocirujano debería, dentro de lo posible, maximizar la resección tumoral y evitar a toda costa la infección postoperatoria.
CONCLUSIÓN
Si bien fueron múltiples los factores asociados a hidrocefalia posterior a la resección de TFP en el análisis univariado, luego del análisis multivariado solo el grado de resección tumoral, la presencia de infección postoperatoria y la obstrucción de salida del IV ventrículo continuaron siendo factores de riesgo estadísticamente significativos.
Contrariamente a lo publicado en estudios previos, la realización de una tercer ventriculostomía endoscópica preoperatoria no redujo la incidencia de hidrocefalia postoperatoria.
Los resultados obtenidos tienen el potencial de influir significativamente en la toma de decisiones en cuanto al tratamiento de la hidrocefalia postoperatoria en pacientes pediátricos con TFP.
Particularmente, aquellos pacientes que presenten resecciones macroscópicamente incompletas, infecciones postoperatorias y/u obstrucción de la salida del IV ventrículo, podrían requerir un seguimiento clínico más riguroso ante el eventual requerimiento de una derivación ventricular en los 6 meses subsiguientes.
BIBLIOGRAFÍA
COMENTARIO
Este articulo científico analizo a 187 pacientes pediátricos para identificar factores de riesgo pre y postoperatorios de desarrollar hidrocefalia hasta 6 meses después de la resección de tumores en la fosa posterior.
En este análisis retrospectivo, los resultados multivariables mostraron que la infección postoperatoria, el grado de resección y la obstrucción del flujo en la salida del cuarto ventrículo fueron estadísticamente significativos para el desarrollo de hidrocefalia.
Sorprendentemente, la tercer ventriculostomia preoperatoria no actuó como factor protector , desafiando las presunciones habituales. Este hallazgo desafía las expectativas y puede tener implicancias importantes en la práctica clínica.
El estudio de estos factores pronósticos podría sentar las bases para el desarrollo de un modelo predictivo que evalué el riesgo de un paciente postoperatorio de necesitar tratamiento para la hidrocefalia.
Esta herramienta, en un futuro, podría ser un recurso valioso para anticipar y gestionar de manera más efectiva el riesgo de hidrocefalia postoperatoria en pacientes con tumores de fosa posterior, permitiendo una atención mas personalizada y preventiva.
Mis felicitaciones a los autores por su minucioso análisis estadístico.
Su dedicación permitió una comprensión mas profunda de la evolución de los tumores de fosa posterior y la hidrocefalia secundaria en pacientes pediátricos.
Su trabajo arroja luz sobre un área crucial de la medicina, allanando el camino hacia un mejor manejo quirúrgico y posiblemente el desarrollo de herramientas predictivas para mejorar el cuidado de estos pacientes.
Romina Argañaraz
Hospital Garrahan, Ciudad Autónoma de Buenos Aires, Argentina
COMENTARIO
Los autores han realizado un minucioso análisis de variables pre y postoperatorias de pacientes pediátricos con tumores de fosa posterior para determinar factores de riesgo asociados a hidrocefalia luego de su resección en una cohorte importante de pacientes tratados en un centro de referencia en nuestro país.
Destaco la rigurosidad estadística en el procesamiento de la información para llegar a conclusiones fiables y de valor clínico.
Considero de importancia la relativización del controversial manejo de la hidrocefalia preoperatoria en cuanto a la posibilidad de persistencia de la misma en diferido.
De validarse externamente los hallazgos de este estudio contaríamos con claras variables de riesgo a tener en cuenta para predecir con mayor certeza el riesgo de la necesidad de una nueva intervención para tratar la hidrocefalia.
Felicito a los autores por aportar valiosa información para el manejo de pacientes con patología de frecuente presentación en la práctica neuroquirúrgica habitual.
Martin Pinto
Hospital Petrona V. de Cordero , San Fernando Provincia de Buenos Aires. Argentina