Aneurisma sacular trilobulado de arteria cerebral anterior tipo ácigos: reporte de caso
Wilmer Alfredo Peña Balza,1,2 Luis Edgardo Guerrero1
1. Servicio de Neurocirugía, Hospital de Los Seguros Sociales “Dr. Patrocinio Peñuela Ruiz”, Táchira, Venezuela
2. Laboratorio de Neurohistología, Departamento de Ciencias Morfológicas, Facultad de Medicina, Universidad de Los Andes, Mérida, Venezuela
Recibido: 01/11/2024. Aceptado: 10/02/2025
Wilmer Alfredo Peña Balza
wilmerapb@gmail.com
DOI: 10.59156/revista.v39i01.553
ORCID
Wilmer Alfredo Peña Balza: 0000-0002-7290-0898
Luis Edgardo Guerrero: 0009-0008-2075-9977
EMAILS
Luis Edgardo Guerrero: legneuro@gmail.com
Los autores no declaran conflicto de interés
Los autores no declaran financiamiento.
RESUMEN
Introducción: la arteria cerebral anterior tipo ácigos (ACAa) resulta de la fusión de ambos segmentos, A1 y A2. Su prevalencia es baja (0.2-4%), pero presenta una alta incidencia de aneurismas (13-71%).
Objetivos: reportar el primer caso en nuestro país de rotura de aneurisma sacular trilobulado de ACAa, resuelto mediante técnica microquirúrgica.
Descripción del caso: paciente masculino de 47 años, sin antecedentes de relevancia, que ingresa con crisis hipertensiva, somnolencia, lenguaje confuso, GCS 12/15, papiledema bilateral y paraparesia (Daniels 4/5). La AngioTC cerebral revela hemorragia subaracnoidea (Fisher 3), hematoma frontal bilateral, edema cerebral y aneurisma sacular trilobulado de ACAa.
Intervención: se realiza craneotomía bifrontal, abordaje interhemisférico, drenaje del hematoma y clipado definitivo. Ingresa a Unidad de Cuidados Intensivos intubado (WFNS I) y egresa sin déficit neurológico (GCS 15/15). Evaluaciones a los 15 días, 6 y 12 meses (GOS-E: 8) confirman exclusión aneurismática con normoposición del clip y permeabilidad vascular.
Conclusión: el desafío quirúrgico radica en preservar el flujo arterial tras la bifurcación de ACAa para evitar secuelas neurológicas. La técnica microquirúrgica con clipado permitió una resolución definitiva con excelente evolución clínica.
Palabras clave: Aneurisma. Arteria cerebral anterior. Clipado. Microcirugía.
Azygos type trilobed saccular aneurysm of anterior cerebral artery: case report
ABSTRACT
Background: the azygos-type anatomical variant of the anterior cerebral artery (ACAa) results from the confluence of both A1 and A2 segments. This anatomical variant is rare (0.2-4% prevalence) and is associated with a high incidence of aneurysms (13-71%).
Objective: to report the first case in our country of a ruptured trilobed saccular aneurysm of the ACAa successfully treated with microsurgical clipping.
Case description: a 47-year-old male with no relevant medical history presented with hypertensive crisis, drowsiness, slurred speech, Glasgow Coma Scale (GCS) score of 12/15, bilateral papilledema, and paraparesis (Daniels 4/5). Cerebral CT-angiography revealed a subarachnoid hemorrhage (Fisher grade 3), bilateral frontal hematoma, cerebral edema, and a trilobed saccular aneurysm of the ACAa.
Surgery: a bifrontal craniotomy with an interhemispheric approach was performed, including hematoma drainage and definitive aneurysm clipping. The patient was admitted to the intensive care unit intubated (WFNS grade I) and was discharged without neurological deficits (GCS 15/15). Follow-up at 15 days, 6 months, and 12 months (GOS-E: 8) confirmed complete aneurysm exclusion with proper clip positioning and preserved vascular patency.
Conclusion: the primary surgical challenge was preserving arterial flow after ACAa bifurcation to prevent neurological deficits. Microsurgical clipping provided definitive treatment with excellent clinical outcomes.
Keywords: Aneurysm. Anterior cerebral artery. Clipping. Microsurgery.
INTRODUCCIÓN
La variante anatómica tipo ácigos de la arteria cerebral anterior (ACAa) resulta de la confluencia de ambos segmentos, A1 y A2, constituye así una arteria cerebral anterior encargada de suplir los territorios vasculares correspondientes en cada hemisferio cerebral.1
Desde el punto de vista morfológico, según Rhoton, la arteria cerebral anterior se clasifica en cinco segmentos:2
Osborn clasifica la arteria cerebral anterior en tres segmentos: horizontal o precomunicante (A1), vertical o postcomunicante (A2) y distal/cortical (A3).3
La variante anatómica ACAa es infrecuente, con una prevalencia mundial del 0.2 al 4%. La presencia de arteria cerebral anterior tipo ácigos suele estar asociada a otras malformaciones de la línea media: agenesia del cuerpo calloso, holoprosencefalia, hidranencefalia, defectos del septum pellucidum y malformaciones arteriovenosas, aneurismas, defectos del bulbo y tracto olfatorio, así como enfermedad poliquística renal.4
La incidencia de formación de aneurismas en la arteria cerebral anterior tipo ácigos oscila entre el 13 al 71%, y es más frecuente su aparición en la región de la bifurcación callosomarginal, debutando con hemorragia subaracnoidea en el 0.38 al 1.9% de los casos, y teniendo en cuenta factores fisiopatogénicos como el estrés hemodinámico y la ectasia vascular, probablemente en relación a cambios vasculares intramurales degenerativos.4-6
Variantes anatómicas del segmento A2
Baptista y cols. proponen los tipos: I a V y Va.7,8 Gunnal, Wabale y Farooqui proponen las variantes: I (2.7%), II (1.8%), III (3.6%), IV (2.7%) y V (0.9%).9 Considerando actualmente la clasificación radiológica de Beyhan, Gökçe y Karakuş, la ACAa puede ser una variante A, B, C y D.10
Objetivo
Reportar el primer caso de rotura de aneurisma sacular mediano trilobulado de ACAa en nuestro país (Venezuela), así como su resolución microquirúrgica y clipado simple.
DESCRIPCIÓN DEL CASO
Paciente masculino de 47 años sin antecedentes patológicos de importancia, refiere inicio de enfermedad actual con cefalea súbita, severa, holocraneana, irradiada a región occipitocervical con vómitos en proyectil, desorientación, midriasis e incontinencia urinaria; es remitido a nuestra institución a los 16 días desde el inicio de los síntomas. Al ingreso se observa meningismo, trastornos en el nivel de conciencia e hipertensión arterial. En la tomografía de cerebro (TC) se observa una hemorragia subaracnoidea con un hematoma frontal bilateral. Se realiza angiotomografía cerebral donde se evidencia aneurisma sacular mediano trilobulado de ACAa (Figuras 1 y 2). Al examen físico de ingreso: bradipsíquico, bradilálico, somnoliento, desorientado, GCS 12/15 (respuesta ocular: 3, respuesta verbal: 3, respuesta motora: 6), pupilas isocóricas normorreactivas, sin focalidad de nervios craneales, vías largas: paraparesia 4/5 puntos (Daniels), rigidez de nuca leve y signo de Kernig. Se indica nimodipina 60 mg vía oral, medidas antiedema cerebral. Durante los días 2 y 24 de hospitalización se mantiene con clínica WFNS I, excepto el día 11 de hospitalización, donde se presenta deterioro neurológico por desorientación a WFNS II con evidencia de hiponatremia moderada (129 mEq/L). Se solicita tomografía cerebral simple control en la que se descarta resangrado e hidrocefalia, se indica corrección de sodio plasmático con mejoría evidente del estado neurológico a WFNS I. Se plantea intervención quirúrgica a las tres semanas del ingreso.

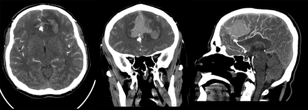
Figura 1. Angiotomografía cerebral. En cortes axial, coronal y sagital contrastados, se evidencia dilatación de aspecto sacular en fisura interhemisférica compatible con aneurisma de ACAa; hemorragia subaracnoidea en cisternas de la base y espacio subaracnoideo de la convexidad, hematoma intraparenquimatoso heterogéneo e irregular bifrontal.

Figura 2. Angiotomografía cerebral. En reconstrucción 3D se evidencia circuito anterior: confluencia de ambos segmentos A1 (sin presencia de complejo comunicante anterior) en un tronco arterial único A2, presenta un aneurisma sacular trilobulado mediano en su bifurcación con domos que se disponen hacia arriba y hacia adelante. Cuello: 6.16 mm, alto: 6.39 mm y ancho: 8.17 mm.
INTERVENCIÓN
Paciente en decúbito supino, con cabeza neutra fijada a cabezal de Sugita, craneotomía bifrontal, durotomía, abordaje anterior interhemisférico, corticotomía frontobasal bilateral, evacuación de hematoma intraparenquimatoso bifrontal, resección de giro recto izquierdo, clipado microquirúrgico simple definitivo, reforzamiento de pared vascular con músculo y fascia temporal, duroplastia autóloga con pericráneo, colocación de drenaje subcutáneo por el contrario-abertura y cierre.11,12
Posteriormente es trasladado a terapia intensiva intubado donde se mantiene bajo sedoanalgesia en infusión por 24 horas y, tras reversión, se evidencia Glasgow 11/15 (respuesta verbal: 4, respuesta motora: 6), sin déficit neurológico aparente. Se retira drenaje subcutáneo a las 48 horas postoperatorias. Se indica tomografía cerebral simple (Figura 3) con buen control de evacuación de las colecciones hemáticas, y la AngioTC con correcta exclusión del aneurisma (Figura 4). El paciente tiene una óptima evolución.

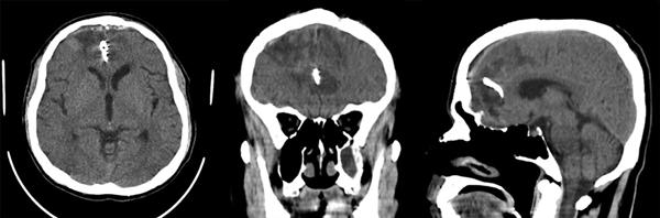
Figura 3. Tomografía cerebral simple. En cortes axial, coronal y sagital se muestra: cuerpo hiperdenso en fisura interhemisférica que genera discreto efecto Hounsfield correspondiente con clip simple de palas rectas normoposicionado. Áreas de encefalomalacia bifrontal. Cisternas de la base libres y permeables, sistema ventricular de topografía normal, preservación de los elementos de la línea media, presencia de surcos y circunvoluciones, adecuada diferenciación sustancia gris-blanca y corticosubcortical. Defecto de craneotomía.

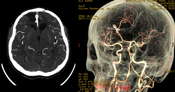
Figura 4. Angiotomografía cerebral. En corte contrastado axial se observa: cuerpo hiperdenso en fisura interhemisférica que genera discreto efecto Hounsfield correspondiente con clip simple de palas rectas normoposicionado, área de encefalomalacia orbitofrontal de predominio izquierdo. En reconstrucción 3D: exclusión de la circulación de aneurisma de ACAa, clip normoposicionado, preservación de ramos vasculares distales.
DISCUSIÓN
¿Son la microcirugía, el clipado y el reforzamiento de la pared vascular las alternativas más apropiadas para el presente caso? Tras un exhaustivo análisis consideramos que sí, dado que el acceso transcraneal con craneotomía amplia, drenaje de líquido cefalorraquídeo cisternal y drenaje del hematoma intraparenquimatoso permiten mejorar la “compliance” cerebral, garantizando así mejoría de la presión intracraneal, y un adecuado flujo sanguíneo cerebral, efectos que no serían posibles a través de técnicas endovasculares de forma directa o indirecta.
Es menester considerar que el efecto combinado del uso de nimodipina y la remoción paulatina de la hemorragia subaracnoidea reducen ampliamente la posibilidad de vasoespasmo. Finalmente, tras la exclusión del aneurisma de la circulación mediante clipado y reforzamiento de la pared vascular se elimina la posibilidad de resangrado.
CONCLUSIONES
El reto quirúrgico en este caso particular consiste en preservar el flujo sanguíneo arterial de los ramos segmentarios y terminales destinados a ambos hemisferios cerebrales luego de la bifurcación de ACAa, a fines de evitar secuelas neurológicas reversibles o irreversibles. En consecuencia, se recomienda: 1) la identificación de la variante anatómica, 2) la planificación y ejecución del acto quirúrgico en manos expertas, 3) el seguimiento y monitorización postoperatorio periódico.
La técnica microquirúrgica y el clipado de aneurisma de ACAa permiten la resolución definitiva de la patología y ofrecen excelentes resultados clínicos.
Contribuciones de autoría
Conceptualización: Wilmer Alfredo Peña Balza.
Curación de datos: Luis Edgardo Guerrero.
Análisis formal: Wilmer Alfredo Peña Balza.
Adquisición de fondos: Luis Edgardo Guerrero.
Investigación: Wilmer Alfredo Peña Balza.
Metodología: Luis Edgardo Guerrero.
Administración del proyecto: Wilmer Alfredo Peña Balza.
Recursos: Luis Edgardo Guerrero.
Software: Wilmer Alfredo Peña Balza.
Supervisión: Luis Edgardo Guerrero.
Validación: Wilmer Alfredo Peña Balza.
Visualización: Luis Edgardo Guerrero.
Redacción - borrador original: Wilmer Alfredo Peña Balza. Luis Edgardo Guerrero.
Redacción - revisión y edición: Wilmer Alfredo Peña Balza. Luis Edgardo Guerrero.
Este es un artículo de acceso abierto bajo la licencia CC BY-NC https://creativecommons.org/licenses/by-nc/4.0/
BIBLIOGRAFÍA
COMENTARIO
Los autores describen el reporte de caso de un paciente con aneurisma trilobulado de arteria cerebral anterior roto que fue resuelto por vía microquirúrgica en forma diferida.
La patología aneurismática tiene una prevalencia no despreciable del 3.2% en la población de mediana edad.1 Sin embargo, los aneurismas de la arteria cerebral anterior de la variante ácigos son infrecuentes.2 Se realizó una descripción detallada de la semiología neurológica, así como un preciso y resolutivo enfoque diagnóstico-terapéutico.
Felicito a los autores por el trabajo presentado y por compartir su experiencia. Sería interesante considerar el seguimiento a mediano y largo plazo del paciente para evaluar desde el punto de vista clínico el desarrollo neurocognitivo y mediante estudios por imágenes visualizar la preservación del flujo arterial.3
Joaquín Pérez Zabala
Hospital de Pediatría S.A.M.I.C. “Prof. Dr. Juan P. Garrahan”, CABA, Argentina
BIBLIOGRAFÍA