Manejo quirúrgico de la fascitis craneal en lactantes: a propósito de un caso clínico
Moreira-Holguín JC.1, 3, Oliveros-Rivero J.1, Albán-Castro S.1, Velez-Ponce J.2, Mejía-Párraga Y3.
1 Servicio de Neurocirugía. Hospital de Niños “Dr. Roberto Gilbert Elizalde”. Guayaquil, Ecuador.
1 Servicio de Cirugía Pediátrica. Hospital de Niños “Dr. Roberto Gilbert Elizalde”. Guayaquil, Ecuador.
1Servicio de Patología. Hospital de Niños “Dr. Roberto Gilbert Elizalde”. Guayaquil, Ecuador.
2Servicio de Dermatología. Hospital del Día Marianita de Jesús. Guayaquil, Ecuador.
3Escuela de Medicina. Escuela de Medicina de la Universidad de Guayaquil.
Guayaquil, Ecuador.
Moreira Olguin
dr_moreiraholguin@hotmail.com
Recibido: mayo de 2020
Aceptado: julio de 2020
ABSTRACT
Cranial fasciitis is a benign lesion of smooth muscle tissue, connective tissue and some immune cells, in which can appear as a consequence of a traumatism in the skull. It is very uncommon and its predominance involves one-year-old babies, with a low risk of metastasis. Treatment of choice is complete tumor resection and lowest recurrence rate.
A case of a one-year-old girl with cranial fasciitis in frontal region is presented in this article. Histologically similar to fibrosarcoma, myxoid tumor and fibromatosis, a bibliographic review of the histological characteristics of each pathology to make a good differential diagnosis.
Key words: Cranial Fasciitis; Fibrosarcoma; Myofibroblastic Tumor.
INTRODUCCIÓN
La fascitis craneal es una patología clínica muy poco frecuente, presente en los niños que se caracteriza por una tumoración craneal1 de rapido crecimiento.
Puede ser ocasionada por alguna lesión craneoencefálica previa o al nacer por el fórceps. El sitio más común de localización es en la región temporal y frontal.2,3
La fascitis craneal es indolora, pero por su rápido crecimiento puede erosionar hacia la cara externa del cráneo y producir dolor por afectación del periostio.4,5 Su tamaño promedio oscila en los 2.5 cm, aunque puede alcanzar tamaños más grande de 15 cm.6 Histopatológicamente es un tumor benigno, compuesto por una proliferación de células fusiformes dispuestas en una matriz mixoide7,8 y patrón estoriforme.
En la revisión sistemática de los resultados de Alshareef et al.9 se destacó 80 casos totales revisados en la literatura con un predominio masculino, 1.75: 1 y con una edad promedio de 5.2 años, siendo la causa más común de esta lesión la idiopática (65%), traumatismo cerrado (14%) y radioterapia (7%).
La lesión se puede originar en el tejido subcutáneo, la galea aponeurótica o en el periostio.1,7 El diagnóstico en imágenes puede no ser del todo claro, pudiendo confundirse con alguna otra afección neoplásica o infección,1 por lo que es recomendable realizar una biopsia para su diagnóstico. El tratamiento oportuno es la resección completa del tumor con seguimiento de 6 meses a 1 año al paciente.3,9,10 En general, se estima una tasa de recurrencia del 1%.11
CASO CLÍNICO
Se trata de paciente femenino lactante de 1 año de edad, que es valorada en Hospital de Salud Pública, por presentar tumoración a nivel del cuero cabelludo, por lo que es llevada a la consulta de dermatología, en donde se valora que no hubo pérdida de folículo piloso -alopecia-, sin cambios de coloración de la piel, ni descamación. A la maniobra de pilotracción no hubo positividad para fragilidad pilosa. Se descarta forunculosis del cuero cabelludo. Con sospecha de probable quiste epidermoide, fue referido a neurocirugía pediátrica en Hospital de Niños “Dr. Roberto Gilbert” donde se completaron estudios imagenológicos (figura 1). La exploración neurológica fue normal. Se decide realizar exéresis de la lesión, la cual se logra de forma completa (figura 2).
Figura 1: RM de encéfalo en donde se puede apreciar en a) secuencia ponderada T2 coronal, lesión ocupante de espacio extra-intracraneal en región frontal izquierda, hiperintensa, homogónea, de bordes bien definidos, con un mayor componente intracraneal, b) secuencia ponderada T1 contrastada sagital y c) secuencia ponderada T1 contrastada axial, en donde se puede observar el efecto de masa sobre el cerebro subyacente.

Figura 2: Fotos transoperatorias en donde se puede apreciar en a) preparación del cuero cabelludo para cirugía, con tricotomía parcial sobre proyección de la incisión y lavado de la cabeza con antiséptico de povidona iodada, b y c) muestra levantamiento del cogajo cutáneo en donde se puede observa la porción pericranel de la lesión, d) muestra la exéresis completa de la lesión en conjunto la infiltración del tejido óseo, e y f) muestra le lesión desde la visión intracraneal.
El servicio de Patología, recibe lo que cataloga como rodete de tejido óseo de 6 x 4.8 x 0.4 cm, en cuyo centro se observa nódulo de tejido blanquesino, irregular, mal delimitado, que mide 2.5 x 2 x 0.8 cm., que se continua a través del hueso midiendo por debajo del mismo 4 x 4 x 2 cm (figura 2e y f). Al corte seriado es rosado-blanquecino, blando, homogéneo, de superficie ligeramente mucoide, con áreas amarillo-verdosas. Por separado, se analizó fragmento de tejido blando irregular que mide 2 x 1 cm., de similares características. Se analizaron 15 cortes, 3 cortes por encima del fragmento oseo, 2 cortes de hueso con tumor, 5 cortes de tumor por debajo fragmento óseo y 5 cortes del tumor por separado del fragmento óseo.
Los cortes muestran lesión constituída por fibroblastos elongados en moderada cantidad dispuestos en un patrón estoriforme observándose en algunas células colágeno intracitoplasmático, todas inmersas en una matríz mixoide; se identifica además elementos inflamatorios y focos de hemorragia. Estos hallazgos histopatológicos son compatibles con fascitis craneal de la infancia (figura 3).

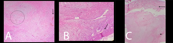
Figura 3: Fotos histopatológicas en donde se observan a) fibroblastos elongados de forma desorganizada, en una matriz mixoide, bien delimitado, pero no encapsulado (circulo negro), acompañadas con zonas de hemorragia e infiltraciones de células linfoides (flecha negra), b) afectación ósea y expansión de áreas de tejido fibroblástico comunicadas entre sí (flecha negra) y c) fibroblastos elongados de forma desorganizada, en una matriz mixoide (flecha corta) y afectación ósea (flecha larga).
Se realizó un seguimiento de 1 año a la paciente, presentando ausencia de recidiva, y sin déficit neurológicos postquirúrgicos.
DISCUSIÓN
Las lesiones del cráneo que se agrandan progresivamente tienen un diagnóstico diferencial amplio, por lo que es necesario una biopsia y revisión histológica para una adecuada valoración. La fascitis craneal fue descrita por primera vez por Lauer y Enzinger7 en 1980, como una variable de la fascitis nodular, distinguiéndose por su localización. Sus características histológicas típicas son la proliferación de fibroblastos en un mixoide con un patrón estoriforme, con zonas hemorrágicas (figura 3), pueden mostrar atipia nuclear mínima, pero con actividad mitótica presente pudiendo afectar al tejido óseo.3 El diagnostico puede ser confirmado por la presencia de inmunohistoquímicos marcadores HHF35, AML y Ki-67.12
La fascitis craneal en pacientes lactantes, tiene que ser diferenciada de otras lesiones, en su mayoría neoplásicas. Entre ellas tenemos al fibrosarcoma infantil, es un tumor maligno muy inusual de crecimiento lento y con una localización más frecuente en las extremidades y el tórax; histológicamente está compuesta por la proliferación de fibras de células fusiformes formando cordones o bandas;13 es frecuente encontrar zonas de hemorragias y necrosis, pudiendo invadir la pseudocápsula provocando daños a tejidos colindantes.14 El fibrosarcoma tiene una histología mas celular que la fascitis craneal de la infancia, siendo esta con células más atípicas y con un patrón hemangiopericitomatoide,13 diferente al de la fascitis craneal.
Con respecto a lesiones benignas, se debe de diferenciar, principalmente con el neurofibroma plexiforme, el cual es un tumor no encapsulado en pacientes con neurofibromatosis tipo 1, con una localización frecuente en el tórax, extremidades, cuero cabelludo y cara; macroscópicamente tiene bordes irregulares provocando una deformación del rostro en ocasiones, con una predominancia en adultos, pudiendo estar presente en el nacimiento, pero apreciándose en la adolescencia o adultez;15 histológicamente están compuestas por células de schwann neoplásicas, fibroblastos, mastocitos y células perineuronales,16 el tejido nervioso se agranda en la matriz del colágeno intersticial voluminoso.
Otro tumor con el que hay que diferenciar a la fascitis craneal, es con el histiocitoma fibroso benigno que se localiza en las extremidades, la cara y el cuello; se origina en los tejidos blandos que infiltra el tejido adiposo, muscular y nervioso.17 Histológicamente es un tumor muy celular que puede contener células xantomatosas, con áreas de necrosis y degeneración del estroma.18
El histiocitoma fibroso maligno, en cambio es un sarcoma que se puede localizar en las extremidades, cabeza y cuello, es de gran tamaño y es predominante en los adultos y ancianos;19 histológicamente está constituido de una proliferación de fibroblastos e histiocitos, con un patrón estoriforme, con la aparición de células gigantes pleomórficas con área de necrosis y hemorragias.20
La fascitis craneal, podría ser confundida además con fibromatosis, la cual es una patología benigna, infrecuente, que se caracteriza por una proliferación de tejido fibroso, de crecimiento lento, que aparece predominantemente en adultos.13 Histológicamente es un tumor poco celular con núcleos fusiformes, con un depósito de colágeno voluble y de un crecimiento más infiltrativo.13,21
Como vemos hay ciertas similitudes que pueden confundir o alterar el diagnóstico de la fascitis craneal, por eso es importante conocer a detalle las características histopatológicas de cada patología, para que el paciente no tenga un tratamiento erróneo. Como ya se ha mencionado, la resección completa del tumor es su principal tratamiento, pero se ha demostrado que el tratamiento con inyecciones intralesionales de corticosteroides para tumores pequeños con una reducción definitiva del tumor y con 4 meses de seguimiento sin recurrencia22 (tabla 1).
TABLA 1: DIAGNÓSTICO DIFERENCIAL DE LA FASCITIS CRANEAL DE LA INFANCIA
Tumor |
Características |
|
Clínicas |
Histopatologícas |
|
Fibrosarcoma infantil |
Inusual, de crecimiento lento, y se localiza más frecuentemente en las extremidades y tórax. |
Maligno. Proliferación de fibras de células fusiformes, formando cordones o bandas. Es frecuente encontrar zonas de hemorragia y necrosis, pudiendo invadir la pseudocápsula provocando daños a tejidos colindantes. |
Neurofibroma plexiforme |
Se localiza más frecuentemente en las extremidades, cuero cabelludo y cara. |
Benigno. Proliferación de células de schwann neoplásicas, fibroblastos, mastocitos y células perineuronales; el tejido nervioso se agranda en la matriz del colágeno intersticial voluminoso |
Histiocitoma fibroso benigno |
Se localiza en las extremidades, la cara y el cuello; se origina en los tejidos blandos que infiltra el tejido adiposo, muscular y nervioso |
Benigno. Proliferación de células xantomatosas, con áreas de necrosis y degeneración del estroma. |
Histiocitoma fibroso maligno |
Se puede localizar en las extremidades, cabeza y cuello, es de gran tamaño que es predominante en los adultos y ancianos |
Maligno. Proliferación de fibroblastos e histiocitos, con un patrón estoriforme, aparición de células gigantes pleomórficas con área de necrosis y hemorragias. |
Fibromatosis |
Infrecuente, con una proliferación de tejido fibroso, de crecimiento lento, predominantemente en adultos. |
Benigno. Poco celular, con núcleos fusiformes, depósito de colágeno voluble y de crecimiento más infiltrativo. |
CONCLUSIÓN
La fascitis craneal infantil es una patología benigna, pero peligrosa por su rápido crecimiento y su similitud con otras patologías que pueden desencadenar a tratamientos inoportunos para este tumor. Nuestro caso clínico se presentó con los síntomas y signos habituales de fascitis craneal, pudiendo confirmarse la etiología con el estudio histopatológico.
A pesar de que la fascitis craneal es una enfermedad rara, debe considerarse en el diagnostico diferencial de las tumoraciones craneales planteando su tratamiento quirúrgico inmediato para evitar la progresiva invasión de la calota craneal.
BIBLIOGRAFÍA
COMENTARIO
Los autores describen el caso de una lactante que fue sometida a una resección quirúrgica por presentar una tumoración craneal con diagnóstico de fascitis craneal. Plantean además una revisión bibliográfica y los diagnósticos diferenciales posibles. Cabe destacar que es una entidad muy poco frecuente, debiendo considerarse otros diagnósticos en un lactante que consulta por una tumoración en calota, sobre todo en los recién nacidos en quien el diagnóstico más frecuente es una colección hemática congénita en cuyo caso la conducta es conservadora. En caso de mostrar aumento progresivo del tamaño deberíamos pensar en este otro tipo de entidades no tan benignas y realizar una neuroimagen.
Es importante remarcar que en los casos de pacientes de escasa edad y en los que el defecto óseo post resección sea pequeño, debería intentarse a que la osificación sea espontánea evitando la utilización de prótesis.
Agradezco a los autores por compartir su experiencia y el caso tan bien ilustrado.
Romina Argañaraz
Hospital de Pediatría Juan P. Garrahan. Ciudad Autónoma de Buenos Aires, Argentina.
COMENTARIO
Los autores presentan un caso clínico de fascitis craneal en una niña de un año de edad.
Se trata de una patología muy infrecuente, que se presenta con mayor incidencia en el sexo masculino, con solo 80 casos reportados al 2019 en la literatura en el idioma ingles, en donde solo 4 casos eran en adultos.(1,2)
Por esto resulta una entidad importante para tomar en cuenta, cuando una masa craneal palpable, crece rápidamente en un paciente de edad pediátrica, un veloz aumento del volumen de un tumor siempre nos lleva a pensar en una patología maligna, sin embargo, en este caso la exéresis completa resulta en una bajísima tasa de recidiva.
Es un artículo bien documentado, que puede ayudarnos, al momento de enfrentarnos a un paciente con esta patología.
Pablo Ajler
Servicio de Neurocirugía, Hospital Italiano de Buenos Aires. Ciudad Autónoma de Buenos Aires, Argentina
BIBLIOGRAFÍA
1-Alshareef M KGAAea. Pediatric Cranial Fasciitis: Discussion of Cases and Systematic Review of the Literature. World Neurosurg. 2019 Mayo; 125: p. e829-e842.
2-Flouty O PAHMea. Infantile cranial fasciitis: case-based review and operative technique. Childs Nerv Syst. 2017 Abril.