Lepra de presentación focal en un paciente con mononeuropatía cubital en Uruguay
Santiago Giménez,1 Fernando Martínez,2 Malena Penela,3 Abayubá Perna,4 Dardo Centurión,5
1. Instituto de neurología, Hospital de Clínicas Dr. Manuel Quintela, Montevideo, Uruguay
2. Cátedra de Neurocirugía, Hospital de Clínicas Dr. Manuel Quintela, Montevideo, Uruguay
3. COMEPA Servicio de Neurofisiología, Paysandú, Uruguay
4. Instituto de Neurología, Hospital de Clínicas Dr. Manuel Quintela, Montevideo, Uruguay
5. ASSE, Young, Río Negro, Uruguay
Santiago Giménez
gimsel51@gmail.com
Recibido: febrero de 2023. Aceptado: febrero de 2023.
ORCID
Santiago Giménez: https://orcid.org/0009-0001-7433-2900
Fernando Martínez: https://orcid.org/0000-0002-6916-4738
Malena Penela: https://orcid.org/0009-0001-2291-7405
Abayubá Perna: https://orcid.org/0000-0001-7062-1310
Dardo Centurión: 0000-0002-2343-3816
RESUMEN
La lepra, o enfermedad de Hansen (EH), es una enfermedad infectocontagiosa crónica de evolución lenta, causada por el bacilo Mycobacterium Leprae. Resulta un problema de salud importante en áreas endémicas con un gran impacto en la calidad de vida de los pacientes.
Actualmente, se presenta como una causa infrecuente de neuropatía en nuestra región, pero su sospecha diagnóstica y su tratamiento precoz repercute a nivel pronóstico y funcional. Nuestro objetivo es analizar un caso único de Enfermedad de Hansen en nuestro país, haciendo enfoque en la presentación clínica y el abordaje médico-quirúrgico.
Se presenta un paciente con un cuadro de debilidad progresiva de mano izquierda y una lesión de piel cronificada a nivel de codo, cuyos hallazgos clínicos, neurofisiológicos e imagenológicos fueron concordantes con una lesión del nervio cubital por atrapamiento en el conducto epitrócleo-olecraneano. La anatomía patológica mostró un proceso granulomatoso crónico y la baciloscopia fue positiva para bacilos ácido-alcohol resistentes con coloración de Hansel positiva, haciéndose diagnóstico de mononeuropatía cubital secundaria a infección por M. Leprae. Dada la severidad del compromiso nervioso, se realiza cirugía de nervio periférico con epineurotomía y descompresión nerviosa.
En el caso de nuestro paciente con neuropatía cubital secundaria a enfermedad de Hansen, la cirugía descompresiva fue exitosa en el alivio del dolor, mostrándose como una opción terapéutica de relevancia en este tipo de pacientes.
Palabras clave: Lepra, Enfermedad de Hansen, Neuropatía cubital, Cirugía de nervio periférico
Focal presentation leprosy in a patient with ulnar mononeuropathy in Uruguay
ABSTRACT
Leprosy, or Hansen disease, is a cronic infectious-contagious illness of slow progression that is caused by the bacillus Mycobacterium Leprae. It continues to be a major health problem in endemic areas and has a great impact on the quality of life of patients who suffer from it. It is currently presented as an infrequent cause of neuropathy in our region, but its diagnostic suspicion and therefore its early treatment have repercussions at the prognostic and functional level. Our goal is to analyze a unique case of Hansen's disease in our country, focusing on the clinical presentation and the medical-surgical approach. We present a patient with progressive weakness of the left hand and a chronic skin lesion at the level of the elbow, whose clinical, neurophysiological and imaging findings were consistent with an ulnar nerve injury due to entrapment in the epitrochlear-olecranon canal. The pathology showed a chronic granulomatous process; then bacilloscopy was performed, which was positive for acid-fast bacilli with positive Hansel staining, making a diagnosis of ulnar mononeuropathy secondary to infection by M. Leprae. Given the severity of the nerve involvement, peripheral nerve surgery with epineurotomy and nerve decompression was performed.
In the case of our patient with ulnar neuropathy secondary to Hansen's disease, decompressive surgery was successful in relieving pain, proving to be a relevant therapeutic option in this type of patient.
Key words: Leprosy, Hansen disease, ulnar neuropathy, peripheral nerve surgery
INTRODUCCIÓN
La lepra, o enfermedad de Hansen (EH), es una enfermedad infectocontagiosa crónica de evolución lenta1 causada por el bacilo del complejo M. Leprae, que incluye a Mycobacterium Leprae y Mycobacterium Lepromatosis.2 Resulta un problema de salud importante en áreas endémicas con un gran impacto en la calidad de vida de los pacientes que la padecen.
Según la Organización Panamericana de la Salud (OPS) y la Comisión Honoraria para la Lucha Antituberculosa y Enfermedades Prevalentes (CHLAEP), Uruguay tiene una muy baja tasa de prevalencia de enfermedad de Hansen (EH). Se presentan en nuestro país unos 10 casos por año, siendo las regiones del noroeste del país las más afectadas: Artigas, Paysandú, Rio Negro, Salto y Rivera.1
M. Leprae y M. Lepromatosis son bacilos ácido-alcohol resistentes de crecimiento lento, intracelulares obligatorios, que muestran predilección por la infección de macrófagos, células endoteliales y células de Schwann.1
La trasmisión es de persona a persona y se da entre una persona que cursa la enfermedad, sin tratamiento, y un huésped susceptible al permanecer en contacto íntimo prolongado, a través de las gotas de flugge que se generan en las vías respiratorias al hablar, estornudar o toser.1
La enfermedad tiene múltiples presentaciones, siendo la más frecuente el compromiso dermatológico, pero también pudiendo afectar el nervio periférico y el ojo, entre otros.
Dentro de las presentaciones neurológicas es característica la mononeuritis o mononeuritis múltiple, estando las manifestaciones clínico-patológicas sujetas a la respuesta inmune del huésped a la infección. La forma de inicio más frecuente es la afectación sensitiva con predominio de afectación de la fibra fina.3
En 1960, Ridley y Jopling proponen una clasificación basada en criterios clínicos, histológicos e inmunológicos. Este sistema clasifica a la EH como Lepra Tuberculoide (TT) en un extremo del espectro y Lepra Lepromatosa (LL) en el otro extremo, existiendo formas intermedias como la borderline Tuberculoide (BT), Borderline Borderline (BB) y Borderline Lepromatoso (BL).4
Si bien el tratamiento sigue basándose en la politerapia con Rifampicina, Clofazimina y Dapsona, en aquellos pacientes que presentan formas tuberculoides con neuropatías severas, se puede obtener beneficio de la cirugía de nervio periférico, la cual se basa en la epineurotomía, liberación de áreas de atrapamiento, identificación de abscesos y evacuación de los mismos.5
A continuación, analizaremos el caso de un paciente de 71 años que se presenta con una mononeuropatía del nervio cubital con atrapamiento en el canal epitrócleo-olecraneano, secundaria a enfermedad de Hansen, compatible con una forma Tuberculoide.
CASO CLÍNICO
Se reporta el caso de un paciente de 71 años, masculino, jubilado de la construcción, procedente de Río Negro, del medio rural, en Uruguay. Presentaba como antecedentes personales médicos diagnóstico de Diabetes Mellitus tipo II, en tratamiento con hipoglicemiantes orales con buen control.
Refería historia previa de consumo de tabaco, estando al momento de la consulta en abstinencia. Negaba antecedentes de exposición a otros tóxicos o fármacos. Negaba síntomas sugestivos de otras enfermedades autoinmune-sistémicas ni historia vinculada a enfermedades neoplásicas. No refería viajes recientes al extranjero.
Es valorado por cuadro de un año de evolución de debilidad progresiva de mano izquierda con compromiso predominante de cuarto y quinto dedo, afectándose la oposición con el pulgar y generando dificultad en la realización de tareas. Negaba afectación sensitivo-motora en otras regiones, ni elementos de disfunción autonómica. No presentaba trauma previo.
Posteriormente, agrega signos fluxivos extensos en MSI que inician en pliegue de codo y se extienden a antebrazo, sin fiebre, recibiendo tratamiento antibiótico para microorganismos de piel, sin mejoría, manteniéndose en la evolución una lesión de piel hipopigmentada crónica.
Junto con el inicio del cuadro motor, el paciente presentó dolor fulgurante, tipo corriente eléctrica, intenso, a nivel de cara antero-interna de antebrazo, eminencia hipotenar y tres últimos dedos de mano ipsilateral, incapacitante, lo que motivó su consulta y que, en su evolución, se comportó como refractario a diferentes opciones terapéuticas.
Los hallazgos del examen físico se limitaban a su miembro superior izquierdo, donde se observaba en mano hipotrofia predominante de eminencia hipotenar y postura característica en extensión de articulaciones metacarpofalángicas y flexión de articulaciones interfalángicas distales (garra cubital) (Figura 1). Se constata paresia de musculatura intrínseca de la mano siendo la misma de severa entidad en la abducción del quinto dedo e interóseos. Se encuentra además alodinia e hipoestesia en territorio cubital de la mano, con hiporreflexia del cubito pronador.

Figura 1: A la izquierda y a la derecha arriba se observa la postura en hiperextensión de articulaciones metacarpofalángicas y flexión de falanges distales, característico de lesiones del nervio cubital (garra cubital). A la derecha abajo se observa la atrofia de musculatura intrínseca de la mano, que predomina en eminencia hipotenar.
A su vez, en el examen extra-neurológico se observa eczema en región posterior y medial de codo, con extensión a cara antero-interna de antebrazo (Figura 2). El proceso fluxivo a dicho nivel impedía aproximarse a saber si había un nervio palpable.

Figura 2: Lesión de piel tipo eczema local a nivel de pliegue de codo con extensión a cara antero-interna de antebrazo.
Estudios paraclínicos
Neurofisiología
Con planteo de mononeuropatía de nervio cubital izquierdo se realiza Electromiograma y Estudio de Neuro-conducción donde se observan signos de denervación total en territorio de inervación de nervio cubital (NC) izquierdo compatibles con una severa neuropatía del NC, de probable topografía en el codo (Figura 3 a y b).

Figura 3 a y b: Estudio de neuro-conducción de MSI donde se observan signos de denervación total en territorio de inervación de nervio cubital (NC) izquierdo. La conducción motora de NC izquierdo presentaba latencia prolongada en el puño, con amplitud muy disminuida, no obteniéndose respuesta en codo. La conducción sensitiva del NC izquierdo no se obtiene. A su vez, el paciente asociaba hallazgos compatibles con una neuropatía del nervio mediano izquierdo sensitivo-motora, con características evocadoras de un atrapamiento en el pasaje por el túnel carpiano, de mediana a severa entidad, sin relación al caso actual. Estos hallazgos fueron compatibles con una severa neuropatía del NC izquierdo, de probable topografía en el codo.
Rutinas
Las rutinas sanguíneas con hemograma, función renal, ionograma y PCR fueron normales. Destacaba velocidad de eitrosedimentación (VES) de 46 mm/h, elevada. Las serologías para sífilis y VIH fueron negativas.
Imagenología
Se realiza Resonancia Magnética de MSI con cortes ponderados en T1 y secuencias STIR, que evidenció un proceso patológico a nivel de codo, en íntima relación con nervio cubital en su trayecto en el conducto epitrócleo-olecraneano, con características quísticas secundarias a proceso inflamatorio/infeccioso cronificado (Figura 4).

Figura 4: Resonancia Magnética de MSI con cortes axiales ponderados en secuencia STIR, donde se observa un proceso patológico con características quísticas a nivel del conducto epitrócleo-olecraneano. En la flecha se logra visualizar el engrosamiento del nervio mediano.
Anatomía patológica
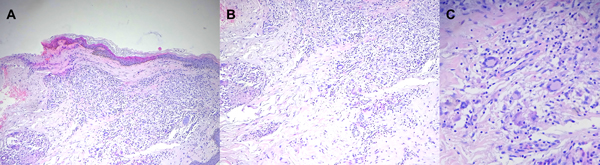
La biopsia de piel mostró a nivel de la dermis granulomas con presencia de una empalizada periférica con macrófagos, células epiteliales y células gigantes multinucleadas, en relación con un proceso crónico granuloatoso (Figura 5).

Figura 5: Anatomía patológica de lesión: En la imagen A se aprecia al topográfico la reacción granulomatosa a nivel de la dermis papilar. (HE 10 x), en la imagen B se confirma la naturaleza inflamatoria granulomatosa, tuberculoide con algunas células gigantes con núcleos en corona o de tipo Langhans. (HE 25x). En la imagen C se puede apreciar las células gigantes tipo Langhans a mayor aumento (40 x).
Microbiología
La baciloscopia con fluorescencia fue positiva para bacilos ácido-alcohol resistentes, realizándose coloración de Hansen la cual fue positiva. El genexpert no detectó ácidos nucleicos del complejo Mycobacterium tuberculosis.
Abordaje terapéutico/cirugía de nervio
Se realiza diagnóstico de Enfermedad de Hansen, iniciándose tratamiento por 6 meses con rifampicina, dapsona y clofazimina, el cual tuvo que ser discontinuado por intolerancia digestiva e insuficiencia renal.
Dada la severidad del cuadro clínico y la forma de presentación compatible con lepra tuberculoide se decide programar exploración quirúrgica del nervio cubital para realizar epineurotomía y descompresión del nervio (Figura 6).
La evolución del paciente luego del procedimiento quirúrgico fue la mejoría del dolor, manteniéndose tratamiento con gabapentina, persistiendo la secuela motora.

Figura 6: Se realizó incisión por detrás del canal epitrócleo-olecraneano, se resecó la piel en el sitio en donde estaba la fístula cutánea y posteriormente se abrió la arcada de Osborne.
Al tener el nervio expuesto, se vio que este estaba engrosado y se constató la salida de líquido caseoso del nervio. Se realizó epineurotomía amplia en el trayecto expuesto y hasta encontrar nervio con aspecto normal. Posteriormente se realizó el cierre de planos de cubierta.
DISCUSIÓN
Algo interesante sobre la Enfermedad de Hansen es su variabilidad de presentaciones clínicas debido a la compleja interacción entre M. Leprae y el huésped, y los diferentes mecanismos de daño del nervio periférico.
En el caso presentado, la lesión local de piel y la presencia de un dolor intolerable para el paciente fue la pista diagnóstica que guió el estudio.
Creemos que nuestro caso presenta características que podrían clasificarlo dentro de una forma Tuberculoide, dado que presentó una lesión única de piel característica (placa hipopigmentada con bordes definidos, anestésica),6 con compromiso severo de nervio cubital, con engrosamiento del mismo, siendo éste el nervio periférico más frecuentemente afectado en estas formas.3
Además de los síntomas deficitarios causados por la lesión nerviosa, los pacientes con la forma tuberculoide sufren dolor neuropático incapacitante, sobre todo si el nervio sufre engrosamiento en algún sitio de potencial atrapamiento, como sucede con el nervio cubital en su pasaje por el canal epitrócleo-olecraniano.
Aunque la base del tratamiento de la EH es médico en base a politerapia, los pacientes con la forma tuberculoide se pueden beneficiar con cirugía.5 La misma consta de la epineurotomía, liberación de áreas de atrapamiento, identificación y evacuación de abscesos. Esto logra una descompresión de las fibras sensitivas con mejoría franca del dolor, como sucedió con nuestro paciente.
El tratamiento quirúrgico debe recomendarse ante el fallo del tratamiento médico, la recaída del dolor neuropático al reducir corticoides, neuritis plantar con úlceras en planta de pie, en pacientes con forma tuberculoide y ante peoría de la evaluación dermato-neurológica.5
En un estudio llevado a cabo en Brasil que involucró 90 descompresiones nerviosas, se vio una mejoría no sólo del dolor sino del score motor valorado según la escala del Medical Research Council.5
CONCLUSIONES
La Enfermedad de Hansen tiene baja incidencia en nuestro país, requiriéndose una alta sospecha clínica para el diagnóstico.
La presentación con neuropatía suele acompañarse de lesiones de piel características que pueden guiar el camino diagnóstico, aunque existe en la literatura descripción de formas neuríticas puras.
El tratamiento continúa siendo la politerapia con Dapsona, Clofazimina y Rifampizina, sin embargo, en pacientes que se presentan con mononeuropatías dolorosas con difícil manejo, la cirugía de descompresión nerviosa se muestra como una opción terapéutica con buenos resultados. El pronóstico dependerá de la precocidad del inicio del tratamiento y el déficit alcanzado previo al inicio de éste.
Los autores declaran no tener conflictos de interés.
Los autores no recibieron ningún apoyo financiero para la investigación, la autoría y/o la publicación de este artículo.
Este es un artículo de acceso abierto bajo la licencia CC BY-NC https://creativecommons.org/licenses/by-nc/4.0/
BIBLIOGRAFÍA
COMENTARIO
Los autores describen la presentación inusual del compromiso de la lepra en un nervio periférico, donde podemos apreciar su resolución quirúrgica y la importancia del manejo multidisciplinario para lograr el control local de la enfermedad.
Destacamos el valor del artículo por su baja frecuencia, ya que permite alertar al neurocirujano para su conocimiento y adecuado manejo de la misma.
Pablo Landaburu
Hospital Luisa C de Gandulfo, Buenos Aires, Argentina