Neurocirugía ablativa multitarget para tratamiento de trastorno neuroagresivo recidivante
Jose Ignacio Ujhelly,3 Luis García Muñoz,1 Jesus Q. Beltrán,1 Maria Lucia Fazzito,2 Fiacro Jiménez-Ponce,1
1. Unidad de Neurocirugía Funcional y Estereotaxia, Hospital General de México "Dr. Eduardo Liceaaga", Ciudad de México, México
2. Servicio de Psiquiatría, Fundación FLENI, CABA, Buenos Aires, Argentina
3. Servicio de Neurocirugía, Fundación FLENI, CABA, Buenos Aires, Argentina
RESUMEN
El trastorno neuroagresivo (TNA) es una de las principales solicitudes de neurocirugía psiquiátrica ya que es frecuente observar refractariedad al tratamiento médico.
Se han propuesto dos tipos de cirugías ablativas. Una de ellas, más extensa, que implica realizar de forma bilateral tres lesiones extendidas dentro del brazo anterior de la cápsula interna y dos lesiones en la corteza del cíngulo supracalloso. Otra, menos amplia, que consiste en realizar unilateralmente lesiones del núcleo lateral y central de la amígdala y del hipotálamo posteromedial
En este artículo se presentan dos casos de pacientes con TNA refractario, que previamente habían sido intervenidos quirúrgicamente y que ameritaron una nueva neurocirugía psiquiátrica para lograr control o reducción de la agresividad exhibida.
Palabras claves: Psicocirugía, Neurocirugía psiquiátrica, Trastorno neuroagresivo, Estereotaxia, Cirugía límbica
ABSTRACT
Neuroaggressive disorder (NAD) is one of the main requests for psychiatric neurosurgery since it is common to observe treatment resistance.
Two types of ablative surgeries have been proposed. One of them is more extensive, which involves performing three extended lesions bilaterally within the anterior arm of the internal capsule and two lesions in the supracallosal cingulate cortex. Another less extensive one, which consists of unilaterally lesion of the lateral and central nucleus of the amygdala and the posteromedial hypothalamus.
This article presents two cases of patients with refractory NAD who had previously undergone surgery and required a new psychiatric neurosurgery to achieve control or reduction of the aggressiveness exhibited.
Key words: Psychosurgery, Psychiatric neurosurgery, Neuroaggressive disorder, Stereotaxis, Limbic surgery
INTRODUCCIÓN
El trastorno neuroagresivo (TNA) propuesto por Yudofski en 1986 es una de las principales solicitudes de neurocirugía psiquiátrica.1-2 Este trastorno suele ser manejado con diversos fármacos incluyendo: antipsicóticos típicos y atípicos, inhibidores de la captura de serotonina, benzodiacepinas, antiepilépticos, beta-bloqueantes y agonistas adrenérgicos alfa2; también se han utilizado técnicas de neuromodulación (terapia electroconvulsiva) y manejo restrictivo. Sin embargo, a pesar de estas estrategias farmacológicas, es frecuente observar la poca respuesta al tratamiento médico (refractariedad), además de las dificultades en la adherencia al mismo y a los efectos adversos frecuentes como la sedación extrema, aumento de peso, diabetes mellitus, síndrome metabólico asociado, síndrome extrapiramidal, trombocitopenia y otras complicaciones tardías. Así mismo, es muy frecuente observar que los pacientes con TNA, por su refractariedad farmacológica, requieren de hospitalización constante. La fisiopatología de este desorden es compleja, pero fisiopatológicamente está basada en una pérdida del balance entre las estructuras anatómicas y fisiológicas, encargadas de producir una respuesta agresiva “funcional”. El TNA puede presentarse en distintos contextos y las patologías de base pueden ser desde una lesión cortical frontal, un trastorno del espectro autista, hasta la esquizofrenia. Por tanto, la agresividad no “funcional” o patológica se considera un síntoma asociado a la enfermedad psiquiátrica.
Antes de la aparición de la clorpromazina en 1952, el TNA sólo tenía la opción neuroquirúrgica la cual se apoyaba en los conceptos anatómicos y funcionales de la época (los cuales siguen siendo válidos). Sin embargo, a pesar del desarrollo farmacológico en la terapéutica psiquiátrica hasta la actualidad, el tratamiento neuroquirúrgico como alternativa terapéutica en los casos refractarios más graves sigue siendo válida, con la diferencia de que ahora contamos con mejores métodos de localización cerebral (estereotaxia), neuroimagen (Resonancia magnética de 3T) y nuevas formas de lesión cerebral controladas (Termocoagulación por Radiofrecuencia), además de otros métodos reversibles como la estimulación eléctrica cerebral profunda. Actualmente, existen dianas o blancos (targets) límbicos para reducir o controlar la conducta agresiva patológica, los cuales en la década de los 50’s del siglo pasado fueron lesionados por medios químicos como la aplicación local de cera o alcohol, o por medios físicos en la década de los 70’s con criogenia con nitrógeno líquido y por termocoagulación por radiofrecuencia,1-8 siendo este último método el que mayor seguridad ha dado. Desde las propuestas de Sano y Narabayashi para hipotalamotomía posteromedial y amigdalotomía respectivamente3,5, han aparecido otras opciones terapéuticas como la cingulotomía, capsulotomía anterior6, tractotomía subcaudada o la combinación de estos procedimientos.
Más recientemente se han propuesto dos tipos de cirugías ablativas. Una de ellas más extensa que implica realizar de forma bilateral tres lesiones extendidas dentro del brazo anterior de la cápsula interna y dos lesiones en la corteza del cíngulo supracalloso.8 Otra menos amplia, que consiste en realizar unilateralmente lesiones del núcleo lateral y central de la amígdala y del hipotálamo posteromedial.9 Los resultados reportados durante seguimientos por 20 años han mostrado que existe la recidiva del TNA en algunos casos con cualquiera de los dos procedimientos mencionados. El análisis de los datos sugiere que la recaída se relaciona con lesiones de menor tamaño al planeado (menor tiempo y/o temperatura) y fallas en la precisión de locación del target, por imagen inadecuada o debido al fenómeno de “Brain Shift”. Una explicación, aunque teórica pero que tiene lugar cuando no se puede explicar con las justificaciones anteriores, es la reactivación funcional por fenómenos de plasticidad cerebral de los circuitos asociados a los sitios lesionados.
Relativamente de forma reciente, se han hecho ensayos clínicos con estimulación eléctrica cerebral profunda en el hipotálamo posteromedial para el control del TNA y la neuralgia de Horton (Franzini). Los resultados de este nuevo método aún están en estudio y no son concluyentes.12-13 Tampoco existen al día de hoy ensayos clínicos humanos con estimulación eléctrica en la amígdala.
En este artículo se presentan dos casos de pacientes con TNA patológico refractario que previamente habían sido intervenidos quirúrgicamente y que ameritaron una nueva neurocirugía psiquiátrica para lograr control o reducción de la agresividad exhibida contra otras personas, contra ellos mismos y para objetos y animales.
Protocolo de Estudio
Ambos pacientes fueron referidos al Servicio de Neurocirugía Funcional del Hospital General de México por un médico psiquiatra (tratante) con los diagnósticos de retraso mental y agresividad incoercible, los cuales están en el catálogo CIE-10 como F 781, el cual se refiere como otros tipos de retraso mental, deterioro del comportamiento significativo que requiere atención o tratamiento y los establecidos en el DSM V.
El resumen clínico y el paciente fueron evaluados por el grupo de psiquiatras de nuestra institución, quienes revisaron la petición de tratamiento del psiquiatra externo para confirmar la indicación quirúrgica. Una vez aceptados, ambos casos se presentaron ante el Comité de Bioética para su autorización. Se les realizó resonancia magnética (RMN) cerebral para descartar la presencia de patología estructural.
Se cuantificaron los niveles de agresividad mediante la Escala Global de Agresividad de Yudofsky (OAS= Overt Aggression Scale), tanto por el personal médico como por los familiares directos del paciente. También se utilizó para seguimiento y toma de decisiones terapéuticas.
Como protocolo prequirúrgico se solicitaron, además de la RMN de cerebro sin contraste, un EEG, exámenes de laboratorio con ionograma y estudio hormonal de testosterona, que en ambos casos presentaron parámetros normales.
Procedimiento Prequirúrgico
Los pacientes bajo protocolo especial por contención continua fueron admitidos una hora antes del procedimiento quirúrgico. Se realizó premedicación anestésica para controlar conducta con dexmedetomidina intranasal (1.0 𝛍g/kg de peso), paciente con supervisión de anestesiología. Posteriormente, bajo anestesia general e intubación orotraqueal se colocó marco estereotáxico Zamorano-Dujovny (F.L. Fischer Leibinger GmbH, Freiburg, Alemania) y se realizó una tomografía axial de cráneo contrastada con fiducias para realizar la transformación estereotáctica dentro del software Praezis AG 3A plus (Heidelberg, Germany). Las imágenes de la tomografía se fusionaron con las imágenes de la resonancia magnética cerebral realizada previamente y dentro del software se determinó la línea intercomisural (AC-PC).
Coordenadas estereotáxicas
Para la hipotalamotomía posteromedial se utilizaron las siguientes coordenadas: X = 2.0 mm lateral a la pared del tercer ventrículo, Y = 0 mm respecto al punto medio comisural y Z = -4.0 mm de la línea intercomisural. Las coordenadas utilizadas para la localización del núcleo central de la amígdala fueron X = 24.0 mm lateral a la línea media; Y = 24.0 mm delante de la porción más rostral del cuerno temporal y Z = -15.0 mm de la línea intercomisural. Para la cingulotomía del giro supracalloso se establecieron las siguientes coordenadas X = 12.0 mm lateral a la corteza interhemisférica; Y= 20.0 mm posterior a la punta de cuerno frontal y Z = 40.0 mm sobre línea AC-PC. Dos blancos quirúrgicos fueron planeados, el ya referido y un segundo con Y=40.0 mm.
La capsulotomía anterior se planificó con las siguientes coordenadas bajo visualización directa X y Y dentro del tercio medio del brazo anterior de la cápsula interna y Z = 5.O mm por arriba del estriado ventral. En la capsulotomía anterior se planean tres blancos quirúrgicos, el antes referido, un segundo 5.0 mm bajo el previo y un tercero 5.0 mm arriba del primero.
En todos los casos y previo a la introducción del electrodo de radiofrecuencia, las trayectorias se ajustaron de acuerdo a las imágenes de tomografía contrastada para evitar la lesión de vasos o la entrada al ventrículo.(Figura 1)

Figura 1. Planeamiento quirúrgico mediante software Praezis AG 3A plus para identificar hipotálamo posteromedial usando el atlas de estereotaxia de Schaltenbrand y Wahren.10
Procedimiento quirúrgico
En ambos casos se colocó a los pacientes en decúbito supino neutro semisentados. En el primer caso se realizó un trépano precoronal entre 25-30 mm por fuera de línea media; para el segundo caso se utilizaron los trépanos previamente realizados.
Los pacientes fueron tratados con lesión controlada mediante termocoagulación por radiofrecuencia. Las lesiones se efectuaron con un equipo de radiofrecuencia N50 (F.L. Fischer Leibinger GmbH, Freiburg, Alemania) (Radionics, Salina, CA, USA). Para la ablación por radiofrecuencia del hipotálamo posteromedial se utilizó un electrodo bipolar de 0.5 mm de diámetro (Modelo TCB 412, Fischer-Leibinger, Freiburg, Germany). Antes de efectuar la lesión se realizó una estimulación eléctrica para confirmar la localización funcional. Se emplearon pulsos cuadrados de intensidad continua y progresiva de 0-10.0 V con incrementos de 1.0 V y frecuencia de estimulación de 100 Hz con un ancho de pulso de 1 ms.
En el primer caso no se obtuvieron respuestas por lo que se decidió realizar una lesión controlada de 80°C por 40 segundos. En el segundo caso se provocó una midriasis desde 2.0 mm hasta 7.0 mm bilateral asociada a taquicardia desde 50 hasta 80 latidos por minuto. En este caso se realizó una lesión a 80° C por 90 segundos.
Para el núcleo central de la amígdala se usó un electrodo bipolar de 1.5 mm de diámetro (Modelo TCB 413 Fischer-Leibinger, Freiburg, Germany). No se realizó estimulación eléctrica del núcleo previo a la lesión que se alcanzó con una temperatura de 80° C durante 90 segundos. Se efectuaron 2 lesiones, la primera en sitio del blanco previamente descrito para la amígdala central y la otra 5.0 mm por arriba del mismo.
Para las cingulotomías se utilizó el mismo electrodo bipolar Modelo TCB 413 y se realizó en cada blanco una lesión a 80° C por 90 segundos.
La lesión del brazo anterior de la cápsula interna se realizó con un electrodo bipolar Modelo TCB 413 en forma bilateral con 3 lesiones de cada lado con parámetros de lesión a 80° C por 120 segundos.
Seguimiento inmediato
En el postoperatorio inmediato se realizó una tomografía craneal simple para evaluar la presencia de sangrado o edema y para confirmar la ubicación de las ablaciones. Los pacientes fueron trasladados a su habitación y egresaron a las 24 horas después del procedimiento quirúrgico. El tratamiento farmacológico no se modificó y continuaron seguimiento psiquiátrico.
Caso 1.
Hombre de 21 años de edad con diagnóstico DSM V de discapacidad intelectual severa, sin desarrollo del lenguaje.
Presenta TNA desde los 13 años de edad caracterizado al inicio por autoagresión manifestada como puñetazos a la cabeza. A los 15 años comienza con heteroagresión con destrucción de objetos y agresión hacia animales. Inició tratamiento psiquiátrico con refractariedad al mismo. No realizó Terapia Electroconvulsiva. En 2018 cursó con una internación por exacerbación del TNA. Su escala OAS fue de 16 puntos. Estos datos aunados a 5 años de tratamiento convencional orientaron a una solicitud de tratamiento por neurocirugía psiquiátrica. Se presentó el caso al Comité Hospitalario de Bioética en 2018.
El primer procedimiento se efectuó en enero 2019 que consistió en efectuar dos lesiones por radiofrecuencia. Una hipotalamotomía posteromedial izquierda asociada a una amigdalotomía izquierda del núcleo central. Presentó una buena evolución posterior a la cirugía, con un OAS de 4 puntos que se mantuvo estable por dos años.
El paciente continuó seguimiento con el psiquiatra externo, quien modificó el tratamiento farmacológico. Desde marzo del 2021 los padres notaron un empeoramiento en la sintomatología, presentando nuevamente conductas auto y heteroagresivas manifestadas principalmente por golpearse contra las paredes por lo que hubo necesidad de colocarle un casco para evitar traumatismos cefálicos. Además reinició con la destrucción de objetos y ocasionalmente agresión física hacia sus padres. Se reinstauró el esquema farmacológico previo pero no se obtuvo el control previo. La calificación de OAS alcanzó 12 puntos por lo que se planteó una segunda cirugía.
En mayo de 2022 se llevó a cabo una segunda intervención. En esta ocasión se realizó una hipotalamotomía posteromedial derecha, una amigdalotomía derecha del núcleo central (2 lesiones) y una cingulotomía anterior derecha (2 lesiones). Se efectuaron en total 5 lesiones adicionales a las previas.
Presentó somnolencia en las primeras 48 horas postoperatorias. Adicionalmente mostró dos registros febriles que cedieron con antitérmicos. Los exámenes de laboratorio de control estuvieron dentro de parámetros normales y presentó poliuria sin necesidad de tratamiento médico por lo que se egresó a las 24 horas de la cirugía.
Al mes de la intervención, junio 2022, el paciente presentó una calificación OAS de 2 puntos y se ha mantenido con medicación psiquiátrica con supervisión por especialista.
Caso 2.
Hombre de 42 años de edad con antecedente de nacimiento pretérmino complicado con encefalopatía hipóxico-isquémica. A los 3 años se asoció una epilepsia secundaria con pérdida del lenguaje adquirido en la niñez y actualmente presenta diagnóstico según DSMV de discapacidad intelectual severa.
Se diagnosticó un TNA desde los 12 años de edad asociado a epilepsia controlada. En 2018 se presentó OAS de 16 puntos por lo que en dos ocasiones tuvo que ser internado en instituciones psiquiátricas para lograr su control. Presentó además conducta de masturbación compulsiva. El paciente fue refractario a tratamiento farmacológico, sin antecedentes de Terapia Electroconvulsiva.
En consenso dos psiquiatras solicitaron un tratamiento neuroquirúrgico para control del TNA. Se planteó realizar un procedimiento neuroquirúrgico al Comité Hospitalario de Bioética y tras la revisión del caso y aprobación del procedimiento se realizó la cirugía en marzo del 2019. Se efectuó una hipotalamotomía posteromedial izquierda adicionalmente una amigdalotomía izquierda (Núcleo central). Posterior a la cirugía presentó un buen control de la agresividad con una calificación OAS de 0-4 puntos.
Posteriormente inició una conducta de exploración oral compulsiva y con la ingesta de objetos del piso particularmente tricofagia, refractaria a medicación. Fue valorado por el servicio de Psiquiatría que nuevamente lo consideró candidato para cirugía del sistema límbico. En marzo de 2020 se lleva a cabo la segunda neurocirugía en la que se realizó una capsulotomía anterior bilateral y una tractotomía subcaudada bilateral con buena respuesta al cuadro de tricofagia.
Posteriormente, debido a la pandemia COVID 19 y una buena respuesta al segundo tratamiento quirúrgico cerebral discontinuó el seguimiento. Durante ese período por causas desconocidas se realizó un cambio en la medicación lo que llevó a una recaída del TNA. Por decisión de la familia se inició la administración de cannabis sin consejo médico. No hubo una mejoría y empeoró la sintomatología conductual por la abstinencia de CBD tras no poder continuar con el tratamiento.
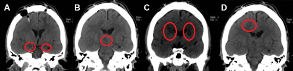
A finales de 2021 acuden nuevamente al Hospital General de México por un TNA refractario y tricofagia, la calificación OAS fue de 16 puntos. Dada la gravedad del cuadro requirió sujeción mecánica en domicilio por lo que se planteó la 3° cirugía límbica. En mayo de 2022 se realizó la tercera neurocirugía psiquiátrica y se efectuaron una hipotalamotomía posteromedial derecha, una amigdalotomía bilateral (2 lesiones de cada lado), una capsulotomía bilateral (3 lesiones de cada lado) y una cingulotomía anterior derecha (2 lesiones). No se efectuó una cingulotomía izquierda porque se presentó una resistencia cerebral al paso del electrodo en este último blanco quirúrgico, probablemente debido a una variación debida a “brain-shift”. En total se realizaron 13 lesiones ablativas por radiofrecuencia. (Figura 2) Las primeras horas de postoperatorio las cursó con buena evolución postoperatoria, presentó somnolencia de 4 horas aproximadamente. Se mantuvo afebril y sin déficit neurológico, los exámenes de laboratorio tuvieron parámetros normales y se registró un poliuria transitoria sin necesidad de tratamiento por lo que se egresó del hospital a las 24 horas. Al mes de la intervención, en junio de 2022, el paciente presenta puntaje en OAS de 0-2, sin tricofagia, con menor ingesta de alimentos por inapetencia. Se presentan datos demográficos en la Tabla 1.

Figura 2. TC de Cerebro postoperatorio en cortes coronales correspondiente al caso 2. Neurocirugía ablativa multitarget. A. Amigdalotomías bilaterales. B. Hipotalamotomía posteromedial derecha. C. Capsulotomías anteriores bilaterales. D. Cingulotomía anterior derecha.9
Tabla 1. Presentación de casos de agresividad refractaria, donde se resumen los mismos.
| Caso | Sexo | Edad | Diagnóstico (DSM-V) | Auto-hétero agresividad | Cirugía previa | Procedimiento | OAS pre | OAS post |
| 1 | Varón | 21 años | Discapacidad intelectual severa | ✓ | Amigdalotomía e hipotalamotomía pósteromedial izquierda | Amigdalotomía e hipotalamotomía pósteromedial derecha + Cingulotomía anterior derecha | 12 | 2 |
| 2 | Varón | 42 años | Discapacidad intelectual severa | ✓ | Amigdalotomía e hipotalamotomía pósteromedial izquierda (I) | Hipotalamotomía pósteromedial derecha + Amigdalotomías y capsulotomías anteriores bilaterales + Cingulotomía anterior derecha | 16 | |
| Capsulotomías anteriores + tracttotomías subcaudadas bilaterales (II) |
(OAS) Overt Agression Scale preoperatorio y postoperatorio.
(I) Primera intervención neuroquirúrgica, (II) segunda intervención neuroquirúrgica.
DISCUSIÓN
El TNA es una entidad caracterizada por la inminente intención y acción de daño verbal y físico contra los objetos, los animales, las personas y contra uno mismo. Este desorden se relaciona con un daño anatómico del encéfalo, particularmente de la corteza cerebral o a un trastorno bioquímico de los sistemas límbico o paralímbicos.
El TNA ha sido un síndrome que se puede confundir con otros trastornos o con otras alteraciones de la conducta humana. El TNA no es violencia en sí, no es un estado de agitación ni se presenta como consecuencia de la sola presencia de alucinaciones visuales, auditivas o mixtas. Tampoco es secundario al efecto de fármacos psicotrópicos o a un trastorno neurocognitivo.
Las estructuras involucradas en su desarrollo están dentro del tallo cerebral, del diencéfalo y de la corteza cerebral. Lischinsky y Linen 2020 realizaron una revisión de la literatura sobre los mecanismos neuronales de la agresividad, en el que describen la existencia de circuitos neuronales intrínsecos que interpretan los estímulos externos e internos y que permiten desarrollar una respuesta conductual agresiva sistémica en un contexto específico.14 Un aspecto relevante es que el constructo original de sistema límbico y paralímbico ha sido rebasado, en parte importante debido a la variedad de estructuras y su compleja conectividad.
En el esquema descrito por Lischinsky y Lin se sugiere que existe un Core Aggression Center donde confluyen las percepciones ambientales e internas que promueven o inhiben la conducta agresiva. Dos nodos importantes son mencionados dentro de esta conectividad: el hipotálamo posteromedial y el complejo amigdalino. Otras estructuras anatómicas como la corteza del cíngulo o el brazo anterior de la cápsula interna son propuestas como parte del circuito de la agresividad.1 El Modelo General de Agresividad propuesto por diferentes autores responde a la necesidad de dar un constructo más amplio de la conducta agresiva e incluso violenta dentro del contexto psicológico y social. Este modelo ayuda al entendimiento de la conducta agresiva y su condición multifactorial, pero no excluye el factor biológico aquí analizado. Las condiciones biológicas del ser humano nos obligan a considerar un aspecto totalmente organicista de la conducta agresiva. La naturaleza evolutiva del primate humano permite y obliga a considerar intervenciones neuroquirúrgicas en los pacientes que presentan un TNA que produce sufrimiento físico y moral a ellos, a su familia y a su sociedad. La indicación no meditada de estos procedimientos quirúrgicos ocasionó una mala apreciación de las ventajas médicas y éticas que la neurocirugía psiquiátrica ofrece a los pacientes con agresividad refractaria. Ya hemos planteado en publicaciones previas la necesidad de enmarcar la atención de estos pacientes en un modelo de clínica multidisciplinaria y colegiada que mantenga comunicación con un Comité de Ética Hospitalaria o en su caso con un Comité de Ética en Investigación.
No existe aún un consenso sobre el manejo del TNA. Las propuestas se ven limitadas a las presentaciones en series de casos, ensayos clínicos, modelos animales y sus aproximaciones fisiológicas y neurobioquímicas. La propuesta de estimulación cerebral profunda es importante, pero se ve limitada por dos aspectos fundamentales: la naturaleza del TNA es en sí misma carente de autocontrol sobre el cuidado del equipo y de las condiciones preoperatorias. En comunicaciones personales con diferentes autores se ha comentado el porcentaje de eventos adversos que se han asociado a la implantación de pacientes con este desorden neuropsiquiátrico. Por otro lado, el alto costo de los equipos y la escasa formación de grupos de profesionales especializados en el tratamiento por estimulación cerebral profunda hace nuevamente a este tema un asunto de justicia distributiva.
CONCLUSIÓN
- Los casos aquí reportados son relevantes por la presencia de TNA refractario al tratamiento farmacológico y quirúrgico.
- La lesiones aquí descritas, i. e., lesiones multitarget que incluyen al hipotálamo, a la amígdala, al brazo anterior de la cápsula interna y al cíngulo son una opción segura y eficaz que pueden considerarse como una posible alternativa en el armamentarium quirúrgico.
- La agresividad patológica continúa siendo un reto terapéutico en muchos casos y requiere una atención en un contexto integral y multidisciplinario.
BIBLIOGRAFÍA
COMENTARIO
Los autores traen a la luz un grupo de trastornos del comportamiento de alta refractariedad a los tratamientos farmacológicos y de diferentes psicoterapias con una marcada morbilidad sobre quienes la padecen y los convivientes, ya sean familiares o internos de un centro de atención psiquiátrica.
Suelen ser pacientes invisibilizados por mantenerse recluidos y aislados de la sociedad y muchas veces sufren lesiones físicas con las medidas de contención para evitar la autoagresión o la de terceros.
Pocos países, y menos los de raíz latina, poseen legislaciones de salud mental que contemplen el tratamiento protocolizado de estos pacientes para poder acceder sin obstáculos a los tratamientos descriptos por los autores y brindarle a los pacientes y familiares una mejor calidad de vida.
La técnica y los blancos referidos en el trabajo han sido descriptos hace años pero sin duda el adelanto en la definición de las imágenes y los softwares de planificación han hecho de estas prácticas procedimientos seguros.
Si bien en la Enfermedad de Parkinson y la Distonía se ha mutado a la utilización de técnicas de neuroestimulación cerebral profunda sobre las técnicas lesionales, en los trastornos neuro agresivos las técnicas lesionales ocupan el primer lugar por dos motivos, el alto costo de los neuroestimuladores y la difícil tolerancia de un paciente con auto y heteroagresividad a tener implantada una prótesis.
Felicito a los autores por traer a la luz este grupo de enfermedades que la sociedad oculta.
Jorge Mandolesi
FLENI. Fundación Favaloro
COMENTARIO
El tratamiento neuroquirúrgico de los trastornos del comportamiento continúa siendo un tema controversial y de permanente debate. Más aún cuando consideramos procedimientos ablativos como estrategia quirúrgica y el problema a abordar es un cuadro de agresividad pertinaz y refractaria al tratamiento optimizado con individuos incapaces de brindar un consentimiento para el mismo.
En este escenario se desarrolla este artículo, por lo que cobra no sólo una reconocida importancia en el aspecto científico, sino que además nos obliga a reflexionar sobre las circunstancias adicionales que exceden lo netamente médico.
En nuestro país, por ejemplo, numerosos grupos de médicos amparados en la ley nacional de Salud Mental Nº 26.657 critican e inclusive ejercen una acción persecutoria sobre los Centros que realizan este tipo de procedimientos, desconociendo el beneficio que se logra no sólo en el paciente, sino también en su familia.
Este artículo sin dudas adquiere un significativo valor y arroja luz sobre un tema tan sensible y polémico.
La minuciosa y detallada descripción de los casos comunicados por el equipo del Hospital General de México, con extensa y reconocida trayectoria en este tipo de cirugías, demuestra no sólo la utilidad de la combinación de blancos quirúrgicos en situaciones complejas (abordaje multitarget) sino también la eficacia y seguridad del procedimiento.
Es de vital importancia que este relevante aporte, junto a tantos otros procedentes de reconocidos Centros de Latinoamérica, confluyan en un trabajo cooperativo regional que ponga de manifiesto con evidencia el rol de la cirugía de los trastornos psiquiátricos.
Prof. Dr. Fabián César Piedimonte
Especialista Universitario en Neurocirugía
Médico Consultor de la División de Neurocirugía del Hospital de Clínicas José de San Martín
Presidente de la Fundación CENIT para la Investigación en Neurociencias