“Este caso me desorientó”

Delfina C. Mazza Elizalde; Maximiliano Di Fabio; Guido Taquini; Douglas Ruiz; Juan Manuel Eiroa; Horacio Sole.

Servicio de Neurocirugía; Hospital General de Agudos “Dr. I. Pirovano”


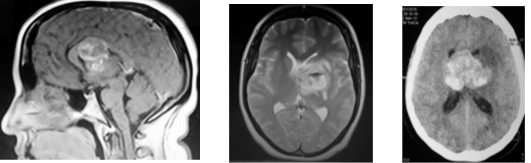
Paciente de sexo femenino de 37 años sin antecedentes referidos, derivada de otro nosocomio con diagnóstico de lesión ocupante de espacio. Refirió cuadro de cefalea de 1 año de evolución con náuseas, vómitos e inestabilidad de la marcha de 1 semana de duración. Al examen físico se encontraba vigil, GCS 15/15, pupilas intermedias reactivas, bradipsíquica, leve hemiparesia braquiocrural derecha, con hiperreflexia braquial derecha y Hoffman positivo ipsilateral. La tomografía computada y resonancia magnética de encéfalo revelaron una lesión ocupante de espacio a nivel de ganglios de la base. El proceso tumoral se encontraba a nivel talámico e invadía III ventrículo, ventrículo lateral izquierdo (con ausencia de hemoventrículo), cuerpo calloso y cápsula interna. El mismo se evidenciaba como una masa lobulada y heterogénea (Figura 1).

Basándonos en el relato de la paciente, la clínica y las imágenes se consideró como diagnóstico posible una lesión primaria encefálica. El aparente compromiso del cuerpo calloso, el tamaño de la lesión y la heterogeneidad de la misma nos orientaron hacia dicho diagnóstico presuntivo. Por otro lado, la ubicación en los ganglios de la base, el tamaño alcanzado y la ausencia de hemoventrículo (para una lesión que ocupaba el tercer ventrículo) fueron factores que, a nuestra consideración, iban en detrimento del diagnóstico diferencial de una lesión de etiología vascular. Se planteó como propuesta quirúrgica un abordaje que pudiese ser utilizado tanto para una biopsia ampliada de la lesión con análisis patológico intraoperatorio, como para la exéresis total en caso de sospechar a través de los hallazgos intraquirúrgicos la plausibilidad de su recesión completa.

La cirugía consistió en un abordaje interhemisférico transcalloso anterior. Inmediatamente después de la callosotomía se observó a nivel intraventricular un abundante coágulo sanguíneo con presencia de áreas sólidas. Luego de evacuado el hematoma se visualizó una cápsula de color verdoso, la cual fue también resecada completamente (Figura 2). No se realizó biopsia por congelación; en su lugar se llevó a cabo una exéresis macroscópica completa de la lesión y se enviaron fragmentos del hematoma evacuado y de la cápsula resecada para análisis anatomopatológico por diferido.

La paciente cursó un postoperatorio favorable y fue dada de alta al mes luego de la intervención quirúrgica. Al momento del alta la paciente estaba lúcida, sin déficit motor evidenciable. Retornó a su país de origen dos meses después de la intervención.

El informe de anatomía patológica caracterizó la lesión como cavernoma.

 


Figura 1. A: RMN secuencia T1 corte sagital donde se observó una lesión lobulada heterogénea con áreas hiperintensas comprometiendo cuerpo calloso y tercer ventrículo. B: RMN secuencia T2 corte axial donde se evidencia compromiso de ganglios de la base, cápsula interna y sistema ventricular. C: TAC encéfalo sin contraste corte axial donde se evidenció lesión de voluminoso tamaño mayoritariamente hiperdensa, con compromiso de morfología ventricular y ausencia de hemoventrículo.

(Nota de autor: No se cuenta con secuencia SWAN porque la paciente concurrió a nuestro nosocomio con una RMN realizada en resonador de bajo campo en su país de origen y sin esa secuencia realizada , no se repitieron estudios previos a la cirugía.)

 


Figura 2: Imágenes intraoperatorias de la exéresis de la lesión. A: callosotomía luego de la cual se evidenció el coágulo sanguíneo. B: Exéresis del cavernoma de a porciones desde el interior de la lesión C: Se evacuó el hematoma en su totalidad y posteriormente se observó la cápsula verdosa la cual también fue resecada. Ant: anterior, Lat: lateral, Post: posterior, CC: cuerpo calloso, HC: hoz del cerebro, H: hematoma, Cap: cápsula.

 

Se realizó una tomografía computada postoperatoria inmediata (Figura 3) que mostró la resección total de la lesión, además se observó una restauración casi completa de la morfología del sistema ventricular.

 


Figura 3: Tomografía axial computada de encéfalo postoperatoria.

Discusión

Los cavernomas son lesiones benignas que consisten en dilataciones sinusoidales que carecen de revestimiento de células musculares lisas en su pared y que no contienen parénquima cerebral interpuesto3,5. Representan la segunda lesión vascular más frecuente del encéfalo, aunque la localización talámica es atípica2. La frecuencia de los cavernomas encefálicos es de 0.4-0.8% en la población general y de estas lesiones solo entre el 9% y el 35% se localizan en ganglios de la base y tálamo3. El diagnóstico de los cavernomas generalmente ocurre luego de un episodio de sangrado (el 20% se diagnostican de manera incidental debido a síntomas no relacionados)3.

En los cavernomas talámicos debido a su localización, pequeños focos hemorrágicos suelen generar síntomas tales como paresia, parestesias, cefalea, trastornos del lenguaje y, algunas veces, síntomas asociados a hidrocefalia (cefalea y vómitos)2.

El aumento de tamaño de la lesión y el sangrado extralesional son los responsables de la clínica que presentan los pacientes1. En el caso de nuestra paciente nos encontramos con una lesión que posiblemente sangró en múltiples ocasiones (lo inferimos por el tamaño)3 y que le generó síntomas de lenta progresión tales como deterioro de su estatus funcional cognitivo (bradipsiquia), trastornos motores y de la marcha, y síntomas de hipertensión endocraneana: cefalea, vómitos y náuseas. Esto condice con la clínica descrita para estas lesiones en la literatura y con la opinión de algunos autores de que el tálamo es capaz de acomodar el aumento de tamaño de una lesión con más éxito que otras zonas tales como el tronco encefálico.1

En la literatura, el diagnóstico imagenológico está descrito con la resonancia magnética donde pueden observarse dilataciones sinusoidales y, en ocasiones, hematoma en diferentes estadios de organización. Esto es ponderado en secuencia T2, mientras que la hemosiderina es mejor observada en secuencia gradiente eco (GRE) o en secuencia de susceptibilidad magnética (SWAN)6. En nuestro caso, la paciente no contaba con secuencia GRE ni SWAN, su estudio de resonancia había sido realizado en su país de origen en un resonador de bajo campo y no fue repetido preoperatoriamente.

A la hora de decidir qué conducta tomar se sopesan los riesgos de la intervención quirúrgica en una zona de elocuencia versus la libre evolución de la enfermedad5. Respecto a esto último, muchos autores coinciden que la tasa de resangrado es mayor para los cavernomas en zonas profundas del cerebro (anualmente 2% para lesiones incidentales y 7% para sintomáticas) que para aquellos corticales2. El resangrado y posterior crecimiento de la lesión en zonas profundas tales como el tálamo podrían implicar un importante deterioro para el paciente6,7.

Es difícil consensuar cuál es la evolución natural de la enfermedad, en qué pacientes se ofrece cirugía y cuál es la opción quirúrgica ideal. En líneas generales, se les ofrece tratamiento quirúrgico a pacientes que por lo menos cuenten con un episodio de sangrado y se apunta a su resección total que es curativa6.

En nuestra paciente la conducta quirúrgica se encontraba justificada tanto por la necesidad de un diagnóstico histológico como por la clínica de hipertensión endocraneana. Tomando en cuenta que, en primera instancia, la sospecha diagnóstica era de lesión primaria del sistema nervioso central, el objetivo quirúrgico era la biopsia ampliada. El descubrimiento intraquirúrgico de un hematoma y la cápsula del mismo dirigió al neurocirujano hacia la resección completa de la lesión.

La vía de abordaje fue aquella recomendada para lesiones talámicas antero-laterales: interhemisférica transcallosa anterior para luego realizar una descompresión interna de la lesión y, por último, la resección de la cápsula del cavernoma 4.

La disminución de tamaño del hematoma sin llegar a desaparecer la cápsula del mismo y la ausencia de relevante cicatriz gliótica permitió encontrar un plano de separación entre el parénquima y la lesión que facilitó su exéresis. Este hallazgo nos orientó a considerar el cavernoma como diagnóstico.

El resultado final fue la exéresis completa macroscópica del cavernoma talámico. La paciente fue dada de alta sin déficit cognitivo ni motor, no concurrió a más controles por lo que no se cuenta con resonancia magnética postoperatoria.

Conclusiones

La sospecha diagnóstica inicial propuesta de lesión primaria de sistema nervioso central se basó en el análisis conjunto de la clínica e imágenes. El desenlace de este caso con su diagnóstico de cavernoma es un evento inesperado que cambia drásticamente el pronóstico de la paciente. Fue inusual la ubicación del cavernoma en zona talámica y, a su vez, el importante tamaño que alcanzó la lesión. Los cavernomas talámicos continúan siendo lesiones vasculares de resolución quirúrgica desafiante.


Referencias

1. 

Pozzati E. Thalamic cavernous malformations. Surg Neurol. 2000; 53(1):30–9; discussion 39-40.

2. 

Li D, Zhang J, Hao S, Tang J, Xiao X, Wu Z, et al. Surgical treatment and long-term outcomes of thalamic cavernous malformations. World Neurosurg. 2013;79(5–6):704–13.

3. 

Kearns KN, Chen C-J, Tvrdik P, Park MS, Kalani MYS. Outcomes of basal ganglia and thalamic cavernous malformation surgery: A meta-analysis. J Clin Neurosci. 2020;73:209–14.

4. 

Rangel-Castilla L, Spetzler RF. The 6 thalamic regions: surgical approaches to thalamic cavernous malformations, operative results, and clinical outcomes. J Neurosurg . 2015 ;123(3):676–85.

5. 

Chang EF, Gabriel RA, Potts MB, Berger MS, Lawton MT. Supratentorial cavernous malformations in eloquent and deep locations: surgical approaches and outcomes. Clinical article: Clinical article. J Neurosurg. 2011;114(3):814–27.

6. 

Pandey P, Westbroek EM, Gooderham PA, Steinberg GK. Cavernous malformation of brainstem, thalamus, and basal ganglia: a series of 176 patients: A series of 176 patients. Neurosurgery. 2013; 72(4):573–89; discussion 588-9.

7. 

Porter PJ, Willinsky RA, Harper W, Wallace MC. Cerebral cavernous malformations: natural history and prognosis after clinical deterioration with or without hemorrhage. J Neurosurg. 1997 ;87(2):190–7.