Aneurismas intracraneanos
Nuestra experiencia en 53 casos operados en 3 años
Ignacio Mendiondo y Eulogio Mendiondo
Hospital Interzonal Oscar Alende. Servicio de Neurocirugía, Mar Del Plata. Clínica Colón Servicio De Neurocirugía, Clínica Colon, Mar Del Plata.
RESUMEN
Se realizó una revisión clínico-quirúrgica de 53 casos operados por aneurismas intracraneales entre enero de 1997 y diciembre de 1999.
Objetivos: analizar las relaciones entre la gradación de Hunt-Hess, la escala de Fisher tornográfica, la incidencia de vasoespasmo , la estrategia y la técnica quirúrgica como factores relevantes en la evolución.
Material y métodos: nuestros 53 pacientes se distribuyeron de la siguiente manera:
-
Score de Hunt-Hess : grado O: un paciente ; grado I : 17 pacientes ; grado II: 25 pacientes; grado III: 8 pacientes; grado IV ninguno, y grado V :un paciente.
- Escala de Fisher: grado I: 3 casos ; grado II: 28 casos, grado III : 11 casos y grado IV: 11 casos.
- Vasoespasmo clínico y / o angiográfico : en 17 pacientes.
-
Estrategia quirúrgica: cirugía precoz en 25 casos.
Resultados: la mortalidad en los casos con Hunt-Hess grados 1 y 2 fue del 2,7%, en 33 pacientes se constató una muy buena evolución y en 8 casos una buena evolución. La mortalidad fue del 50 % en los grados 3 a 5.
Conclusión: se observó evolución favorable en los pacientes intervenidos con HuntHess 1 y 2, en comparación con aquellos en grados 3 a 5. Se evidencia como elemento singular relevante en el pronóstico el nivel de conciencia prequirúrgico con respecto a las demás variables.
Palabras clave: hemorragia subaracnoidea - aneurisma intracraneal - estrategia quirúrgica.
ABSTRACT
A clinical surgical review of 53 cases of intracranial aneurysms operated on from January 1997 to December 1999 was performed.
Objetives: To analyze the relationship between the Hunt and Hess grading system, Fisher tomographic scale, vasospasm incidence, surgical strategy and technic as relevant factors in patient outcome.
Material and Methods: Our 53 patients showed the following distribution :
- Hunt and Hess grade 0: one patient; grade I: 17 patients; grade II: 25 patients; grade III: 8 patients; grade IV: none and grade V: 1 patient.
- Fisher scale. Grade I: 3 cases; grade II: 28 cases; grade III: 11 cases and grade IV: 11 cases. Clinical and/ or angiographic vasospasm: 17 patients.
- Surgical strategy: early surgery in 25 cases.
Results: Patients belonging to Hunt and Hess grades 1 and 2 had a 2.7% mortality rate with a very good outcome in 33 cases and good outcome in 8. Grades 3 to 5 had an overall mortality of 50%.
Conclusion: A good outcome was observed in patients included in Hunt and Hess grades 1 and 2 as compared to patients in grades 3 to 5. Furthermore, the patients presurgical consciousness level resulted in the single most important prognostic factor.
Key words: subarachnoid hemorrhage, intracranial aneurysm, surgical strategy.
INTRODUCCION
El tratamiento de los aneurismas cerebrales mediante cirugía intracraneal se inicia en 1931 cuando Norman Dott de Edinburgo, quien fuera discípulo de Cushing, realizó la envoltura con músculo de un saco aneurismático con resultado exitoso. El 3 de marzo de 1937, Walter Dandy aplicó por primera vez un clip de plata al cuello de un aneurisma, procedimiento que resultó curativo y que provocó una verdadera "revolución Copernicana" en el tratamiento de estas lesiones2.
Progresivamente se fueron desarrollando también los procedimientos diagnósticos fundamentales para estas afecciones, como la angiografia cerebral ya descripta por Egas Moniz en 1927 y posteriormente la gran difusión de este método que correspondió a la escuela escandinava a partir de la década del 40. En cuanto a la técnica quirúrgica otro hito fundamental fue la aplicación del microscopio, lo cual posibilitó avanzar en el tratamiento de lesiones anteriormente inaccesibles. A quien fuera un pionero en el perfeccionamiento y la difusión de esta técnica, Gazi Yasargil, le corresponde el más alto de los méritos en esta gesta quirúrgica21.
Actualmente con los métodos complementarios de diagnóstico tales como la TAC convencional y helicoidal, IRM y eco Doppler transcraneal, entre otros tantos recursos técnicos incorporados, así como la mayor cohesión y eficacia del equipo médico tratante, neurocirujanos, anestesiólogos e intensivistas, se ha logrado alcanzar un elevado grado de calidad asistencial para estos pacientes, la que se refleja en los resultados terapéuticos obtenidos.
OBJETIVOS
Presentamos un grupo de pacientes en quienes se evaluó la condición clínica inicial y su posterior evolución, los resultados de estudios neurorradiológicos y el tratamiento quirúrgico y su oportunidad, tratando de, al correlacionar estos hechos, extraer conclusiones que representen una contribución al permanente debate sobre la conducta a asumir en estos pacientes.
PACIENTES Y MÉTODOS
Hemos intervenido quirúrgicamente 53 pacientes con aneurismas intracraneanos en el periodo de 3 años comprendido entre enero de 1997 y diciembre de 1999, actividad esta que se desarrolló en el Hospital Interzonal Oscar Alende y la Clínica
Colón, instituciones ambas de la ciudad de Mar del Plata. La distribución de acuerdo al sexo correspondió a 29 mujeres y 24 varones, con una edad promedio de 47 años y edades extremas entre 17 y 78 años. Con antecedentes relevantes se presentaron: 13 pacientes con hipertensión arterial (24,5%), 8 pacientes fumadores (15%), 5 con dislipidemias (9,4%) 3 alcohólicos y 2 diabéticos.
En la presentación clínica los síntomas y signos más frecuentes fueron: cefalea en 52 casos (98%), rigidez de nuca en 48 (90,5%), náuseas y vómitos en 32 (60,3%), alteración de la conciencia en 19 (35,8%), déficit motor en 7 (13,2%), convulsiones en 4 (7,5%) y compromiso de pares craneanos en 2 (3,6%) (Tabla 1).
Registramos antecedentes de episodio de cefalea previa, con presunción de "minor leak", en 12 pacientes (22,6%). Recibimos derivados desde otros centros 15 pacientes.
El score de Hunt-Hess observado en los 53 pacientes se detalla en la tabla 2.
Tabla 1. Presentación clínica
| Síntomas y signos | Casos | % |
| Cefalea | 52 | 98 |
| Rigidez de nuca | 48 | 90,5 |
| Náuseas y vómitos | 32 | 60,3 |
| Alteración de la conciencia 19 | 35,8 | |
| Déficit motor | 7 | 13,2 |
| Convulsiones | 4 | 7,5 |
| Pares craneanos | 2 | 3,6 |
Tabla 2. Distribución de pacientes según el
Score de Hunt-Hess
| Grados | Casos | |
| 1 | 1,8 | |
| 17 | 32 | |
| II | 25 | 47 |
| III | 9 | 16,9 |
| IV | ||
| V | 1 | 1,8 |
Los pacientes fueron inicialmente estudiados mediante TAC encefálica detectándose hemorragia subaracnoidea en 50 pacientes (94,3%). En 2 pacientes fue necesario realizar punción lumbar para confirmar el diagnóstico de HSA sospechada clínicamente, la cual fue positiva en ambos casos. El otro paciente en el que la TAC fue negativa, presentaba un compromiso del III par craneal en forma aislada. Dentro del grupo estudiado (53 casos) los pacientes clasificafidos en la escala de Fisher6 se detallan en la tabla 3. Entre los pacientes grado IV, 5 presentaron hematomas intracerebrales (9,4%) 4 hemorragia intraventricular (7,4%) y 2 pacientes presentaron ambos fenómenos asociados.
Los estudios angiográficos demostraron la presencia de 51 casos con aneurismas ubicados en el circuito anterior (96,3%) y 2 casos en el circuito posterior (3,7%). Entre los primeros la topografía aneurismática correspondió a la ubicación que se detalla en la tabla 4.
Los aneurismas del circuito posterior correspondían a localizaciones en el ápex de la arteria basilar.
Estrategia y técnica quirúrgica
Fueron intervenidos en el período agudo (antes del 4° día) 29 casos (54,7%), de los cuales 28 correspondieron a Hunt-Hess grados I y II . El otro paciente operado en carácter de urgencia, se trató de un caso con Hunt-Hess grado 5 que presentaba, anisocoria, rigidez de descerebración y en la TAC se observaba un hematoma temporal e inundación ventricular.
Los 14 casos restantes, con Hunt-Hess grado I y II, no pudieron ser operados en el período que consideramos óptimo por diferentes circunstancias, predominando el hecho de haber sido derivados de otras localidades.
Utilizamos selectivamente la vía pterional que permitió el acceso tanto a los aneurismas del circuito anterior como a los del circuito posterior20,21. En los aneurismas del segmento oftálmico efectuamos la técnica de Dolenc en 2 casos y en el restante un abordaje frontoorbitocigomático8,23.
Tabla 3. Distribución de pacientes según Escala de Fisher
| Grados | Casos | |
| 1 | 3 | 5,6 |
| 2 | 28 | 52,8 |
| 3 | 11 | 20,7 |
| 4 | 11 | 20,7 |
Tabla 4. Topografía de los aneurismas
· Arteria carotida interna: 21 casos (39,6%) Segmento oftálmico 3 (5,6%)Segmento comunicante posterior 17 (32%) Segmento coroideo anterior 1 (1,8%) Bifurcación carotidea 1 (1,8%) |
| · Complejo comunicante anterior: 19 casos (35,8%) |
| · Arteria cerebral media: 10 casos (18,8%) |
| · Sistema vértebro-basilar: 2 casos (3,7%) |
En un caso de un aneurisma del ápex de la arteria basilar se utilizó un abordaje pretemporal según técnica de Evandro de Oliveira16.
Tras la apertura de la duramadre se constató hinchazón cerebral en 18 casos que fueron coincidentes con la cirugía en agudo y en otras circunstancias con la presencia en la angiografía diagnóstica de vasoespasmo precoz. Fue necesario realizar punción ventricular en 3 casos, para facilitar el acceso quirúrgico.
Consecutivamente se practicó en forma sistemática la amplia disección del valle silviano y demás cisternas basales, lo que permitió una clara exposición de los elementos vasculares y neurales, así como el control proximal y distal de la arteria que dio origen al aneurisma.
Fue posible realizar el clipado correcto del aneurisma en 51 casos (96,2%), y en 2 casos fue necesario efectuar el empaquetamiento por las características del aneurisma.
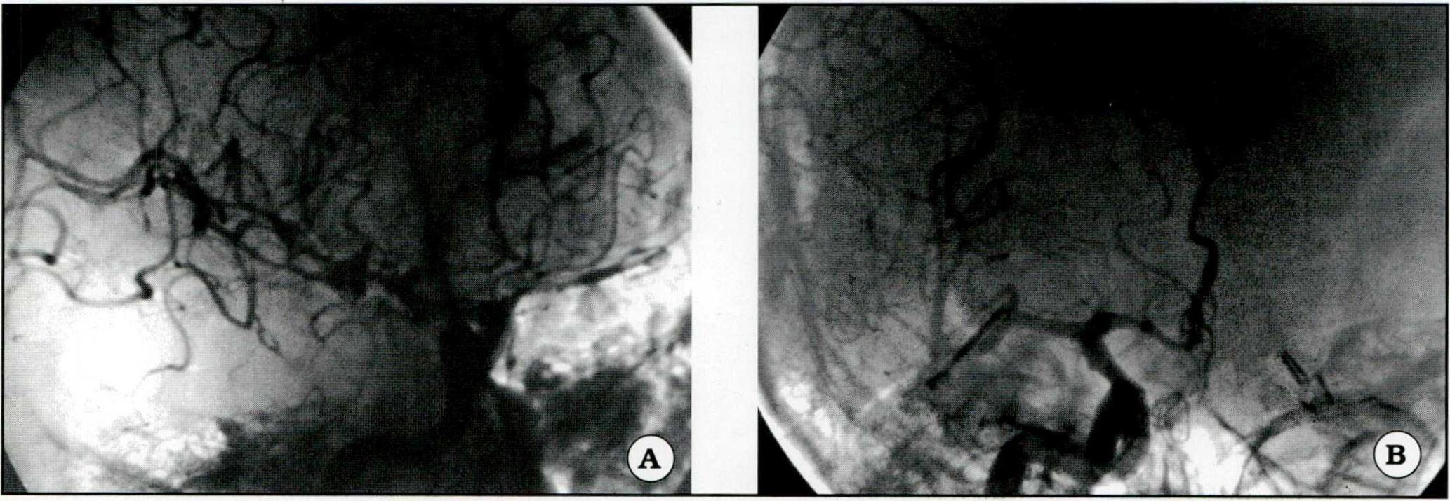
Se ejemplifican iconográficamente las siguientes situaciones:
Se realizó la punción del aneurisma en 29 casos (54,7%) y este procedimiento tendió a:

Fig. 1. A. Angiografía que muestra un aneurisma gigante del segmento comunicante posterior. B. Imagen intraoperatoria. Se observa el clipado del cuello aneurismá tico. C. Clipado del aneurisma. Se realizó punción del saco, maniobra cuyas ventajas se describen en el texto. D. Control angiográfico postoperatorio.

Fig 2. A. Angiografía en posición frontal de un aneurisma carotídeo. B. Se visualiza el clipado del aneurisma con importante vasoespamoo.

Fig. 3. A. Aneurismas múltiples. Se observa el aneurisma silviano derecho y un clip aplicado a un aneurisma carotídeo izquierdo. B. Clipado del aneurisma silviano.

Fig 4. A. Angiograma preoperatorio de un aneurisma del apex de la arteria basilar (proyección perfil). B. Angiorresonancia de control postoperatorio correspondiente al aneurisma basilar, con exclusión del mismo por clipado.
Todos nuestros pacientes fueron controlados durante el período postoperatorio con monitoreo de la presión intracraneal y de ser necesario los correspondientes estudios angiográficos y/o tomográficos.
Las complicación más frecuente fue el vasoespasmo (VE) clínico y/o angiográfico que se presentó en 17 casos (32%), correlacionado con los grados de Fisher tomográfico de la siguiente forma: para el grado I no hubo casos de espasmo; en el grado II con 28 casos 6 desarrollaron VE (21,4%); en el grado III, con 11 pacientes, 4 tuvieron VE (36,3%) y en el grado IV con 11 casos, 7 presentaron VE (63,3%) (Tabla 5).
Dos pacientes presentaron infección de la herida quirúrgica y 3 pacientes complicaciones neumónicas.
Tabla 5. Incidencia de vasoespasmo según
difusión de la HSA
| Fisher | Casos Vasoespasmo | ||
| %* | |||
| 1 | 3 | ||
| 2 | 28 | 6 | 21,4 |
| 3 | 11 | 4 | 36,5 |
| 4 | 11 | 7 | 63,3 |
| Expresado en relación a cada grado en particular | |||
RESULTADOS
Del análisis de la evolución de los pacientes (Tabla 6) surge una evidente relación entre su ubicación en el score de Hunt-Hess y en la escala de Fisher tomográfica, factores ambos relacionables con la frecuencia de vasoespasmo.
Tabla 6. Correlación grado de Hunt-Hess vs. Vasoespasmo y resultados.
Los porcentajes están expresados en relación a cada grado en particular
Con grado 0 de Hunt-Hess, tuvimos una paciente que consultó por compromiso del III par craneal cuya angiografia demostró un aneurisma grande del segmento oftálmico que se pudo clipar sin inconvenientes con evolución clínica posterior muy buena (sin déficit).
En el grado I se ubicaron 17 casos (32%), que se distribuyeron en la escala de Fisher de la siguiente manera: Fisher I, ningún caso; Fisher II, 12 casos Fisher III, 2 casos y Fisher W, 3 casos. Tres pacientes desarrollaron vasoespasmo en este grupo (17%). Registramos una muy buena evolución (sin déficit) en 14 pacientes (82%) y una buena evolución (déficit menor), en 3 pacientes, los síntomas fueron transitorios y debidos al desarrollo de vasoespasmo. No se produjeron casos de discapacidad grave ni de mortalidad.
Incluidos en el grado II, fueron tratados 25 pacientes, de ellos tuvimos 19 casos (76%) con muy buena evolución, 5 casos con déficit menor (20%) y un paciente falleció (mortalidad del 4%). Desarrollaron vasoespasmo 6 pacientes (24%).
En el grado III, con 9 pacientes, 7 presentaron vasoespasmo (77%) que coincidían con un Fisher tomográfico de 3 y 4. De este grupo 4 pacientes tuvieron una muy buena evolución (44,4%), un paciente presentó un déficit menor (11,1%) y 4 fallecieron (44,4%).
Dentro del grado IV no se presentó ningún paciente y con grado V tuvimos un caso que ingresó en coma profundo con anisocoria, rigidez de descerebración y en la TAC se observó un hematoma temporal. El enfermo fue intervenido de urgencia falleciendo al octavo día.
También se observó una diferencia significativa en la evolución de acuerdo a la edad de los pacientes En el grupo por debajo de los 50 años, de 29 pacientes falleció 1 y en el grupo de pacientes mayores de 50 años de 24 casos fallecieron 5.
DISCUSIÓN
La hemorragia subaracnoidea por rotura aneurismática representa tanto una amenaza vital como un riesgo de deterioro neurológico de variable profundidad y caracteres.
Habiendo surgido a principio de 1997 la idea de la realización de un trabajo de investigación clínica acerca de esta entidad, se planificó la metodología dirigida a tal finalidad, confeccionándose protocolos clínicos y quirúrgicos con el menor grado de dispersión y buscando la mayor sistematización y precisión en los mismos.
Del mismo modo y considerando, como lo estiman la mayoría de los autores, que los resultados de este tipo de cirugía continúan estando directamente relacionados con el factor cirujano actuante, se buscó dar la máxima cohesión y continuidad a la praxis operatoria como asimismo a la actuación de los demás componentes del equipo interviniente en el manejo infra y postoperatorio.
En la elección y limitación temporal de nuestro grupo de pacientes incide pues esta intención de lograr la máxima precisión, tanto en la recolección y documentación de los datos clínicos como de las constancias neurorradiológicas y de gráfica intraoperatoria y todo lo que mejor pudiera delinear la evolución de los pacientes y sus variables.
Una vez constatada la HSA por los métodos habituales, TAC o eventual punción lumbar, y evaluado el paciente en su rango clíniconeurológico, la correlación de estos elementos dictan la mayor o menor vigencia de la consecutiva anglografia y la oportunidad quirúrgica.
Los dos factores fundamentales de riesgo latente son: la ocurrencia de un resangrado y/o el desarrollo de una isquemia cerebral secundaria cuya causa prevalente es el vasoespasmo. Las decisiones deben tomarse teniendo en cuenta estas dos contingencias que se ciernen ominosamente.
El resangrado alcanza un 4% durante las primeras 24 hs, luego se mantiene en un 1,5 % diario hasta el día 13; el índice acumulativo a las 2 semanas alcanza el 19 % y a los 6 meses es del 50 al 60%11-13. Otras cifras más significativas son las referidas por Taneda 1° quien relató un 20% de resangrado en las primeras 24 hs y un 38% acumulativo en los 11 días siguientes a la HSA y por Hillman que observó un 9,6% de resangrado en las primeras 24 hs10.
Teóricamente, si el único factor a considerar fuera la posibilidad del resangrado, la conducta lógica consistiría en la exclusión aneurismática precoz, pero la concurrencia de otros importantes factores hacen necesaria su consideración para la toma de decisiones.
Como en toda agresión encefálica aguda el objetivo terapéutico es desarrollar una inmediata estrategia de protección cerebral para evitar el daño o evento secundario con deletéreas consecuencias.
Nuestra actitud en el tratamiento de los casos presentados trató de ajustarse a estas premisas tanto en la elección de las modalidades terapéuticas como en su oportunidad.
Estas medidas de protección cerebral pueden ser tanto de orden quirúrgico como de carácter médico.
Se ha preconizado la conducta quirúrgica precoz para excluir el aneurisma y cumplir con este principio de protección cerebral, tendiente a evitar el resangrado3-5.9. Otros factores que se invocan a favor de esta actitud son: el lavado cisternal con evacuación de coágulos vasoespasmogénicos, el hacer posible la instauración de un tratamiento más efectivo del vasoespasmo (triple H terapia con agentes fibrinolíticos, angioplastia transluminal) y el acortamiento de los períodos clínicos1,17,18.
Así como tiene sus defensores, esta conducta también concita opiniones adversas habiéndose invocado como factores negativos para su realización la existencia en el período agudo de un descenso en el flujo sanguíneo cerebral, una disautorregulación y los negativos efectos que sobre estas condiciones puedan ejercer la retracción cerebral o un clipado transitorio12.13,22.
La otra faceta del daño secundario está constituida por la isquemia cerebral retardada que, como se apuntó, tiene como principal causa el vasoespasmo. Este factor dominante suele manifestarse con un perfil evolutivo que se inicia alrededor del 4° día, alcanza su vértice entre los días 6° y 8° y comienza a atenuarse aproximadamente al 10° día. Descartadas otras causas de deterioro neurológico secundario, como edema cerebral, hidrocefalia convulsiones y trastornos metabólicos, y habiéndose confirmado como su causa la instalación de un angioespasmo, corresponde intensificar las medidas de protección cerebral tendientes a mejorar la reología y consecutiva perfusión encefálica.
Entre el conjunto de medidas tendientes a optimizar la hemodinamia sistémica y encefálica de acuerdo a la curva de Starling, se ha recurrido al uso de la triple H (hemodilución, hipervolemia e hipertensión arterial), en la que se hace necesario el control de la PIC, la presión en la arteria pulmonar con catéter de Swan-Ganz, inserción de una línea arterial y control de la expulsión
cardíaca1,7,9.14.15.24.
Otras modalidades terapéuticas aplicables para combatir el vasoespasmo ya instalado o en forma profiláctica consisten en el uso de agentes vasodilatadores y antagonistas cálcicos, así como en el uso de fármacos fibrinolíticos7.9,15,24.
Para los casos de vasoespasmo refractario a los tratamientos referidos, se ha desarrollado la técnica de la angioplastia transluminar que corroboró su eficacia tanto desde el punto de vista clínico como de evidencias angiográficas, tomográficas o mediante SPECT24.
CONCLUSIONES
El análisis realizado de nuestros casos pretende ser una contribución más dentro de la abierta discusión acerca del mejor criterio para el tratamiento de estos pacientes.
De los datos expuestos en el estudio de este grupo de pacientes y de acuerdo con los métodos descriptos, se infieren como corolarios:
BIBLIOGRAFÍA