SERIE DE CASOS
Tumores cerebrales en pacientes menores de 3 años: 10 años de experiencia
Alejandro Saravia Toledo, A. Emanuel Ortiz Vica, Pablo E. Espil, Alejandro G. Musso, Mario S. Jaikin
Servicio de Neurocirugía, Hospital de Niños Ricardo Gutiérrez, Ciudad Autónoma de Buenos Aires, Argentina.
Alejandro Saravia Toledo
alejandrosaravia5@gmail.com
Los autores declaran no tener ningún conflicto de interés.
RESUMEN
Introducción: Los primeros 3 años de vida son cruciales en el desarrollo del sistema nervioso central (SNC). Un tumor en dicha localización, en este período, está asociado a un severo deterioro de la calidad de vida y alta mortalidad. El objetivo del trabajo es realizar un análisis de la evolución y tratamiento en estos pacientes.
Material y métodos: Análisis retrospectivo de las historias clínicas y el archivo de imágenes de pacientes menores de 36 meses de edad con diagnóstico de tumor en SNC tratado quirúrgicamente en el Hospital de Niños Ricardo Gutiérrez, CABA, Argentina. Periodo: 01/03/2009-01/01/2020. Se dividieron en 3 grupos según edad: 1 (0-12 meses), 2 (13-24 meses) y 3 (25-35 meses).
Resultados: Se incluyeron 71 pacientes, 36 varones y 35 mujeres. El síndrome de hipertensión endocraneana se presentó al debut en 42 pacientes (59%) luego alteraciones de la motricidad en 13 (18%). 46 (65%) presentaron hidrocefalia, de los cuales 20 presentaron post-resección tumoral. Se observó predominio de localización supratentorial en los grupos 1 (69 %) y 2 (58%), e infratentorial en el grupo 3 (86%). Se realizó resección completa en 18 pacientes (25%), subtotal en 6 (11%), parcial en 38 (54%), y biopsia en 7 (10%). 27 (38 %) pacientes requirieron reoperaciones, de los cuales 19 (70%) pertenecieron al grupo 1. Los diagnósticos anatomopatológicos más frecuentes fueron astrocitomas (20), meduloblastomas (12), papilomas de plexos coroideos (9), ependimomas anaplásicos (8), tumores teratoides rabdoides atípicos (8) y otros (14). En el estudio de calidad de vida, 15 pacientes (21%) presentaron un severo retraso psicomotor, y 23 pacientes (32%) presentaron desarrollo normal. La mortalidad a los 5 años fue 38% y a los 10 años 50%.
Conclusión: Los tumores de SNC en menores de 3 años son de difícil manejo, con pronóstico reservado. Debido a que la radioterapia está contraindicada, la cirugía tiene una importancia fundamental en el tratamiento junto a la quimioterapia.
Palabras clave: Tumores Cerebrales; Pediatría; Oncología; Supervivencia; Hidrocefalia
ABSTRACT
Introduction: The first three years of life are critical for the central nervous system (CNS) development. A tumor in this location at this stage will be associated with severe impairment of the quality of life and high mortality. The objective of the paper is to analyze the evolution and treatment of these patients.
Material and methods: The records of all the patients under 3 years of age who were operated for intracranial brain tumors at our institution from March 2009 to January 2020 were retrospectively reviewed. Patients were divided into three groups depending on their age at onset: under 1 year of age (group 1), between 13-24 months (group 2), and between 25-35 months (group 3).
Results: We included 71 patients (36 male and 35 female). 42 patients (59%) presented with an increase of intracranial pressure at the onset, followed by gait disturbance in 13 (18%). 46 patients (65%) suffered hydrocephalus, of whom 20 were post-resection. The predominance of supratentorial localization was observed in group 1 (69%) and 2 (58%), and infratentorial localization in group 3 (86%). Total resection of the tumor was accomplished in 18 patients (25%), subtotal in 6 (11%), partial in 38 (54%), and biopsy in 7 (10%). 27 patients (38%) required re-intervention. Of these, 19 (70%) corresponded to group 1. The principal histological diagnoses were astrocytoma (20), medulloblastoma (12), choroid plexus papilloma (9), anaplastic ependymoma (8), atypical teratoid rhabdoid tumor (8), and others (14). The quality of life analysis showed 23 patients (32%) with normal development and 15 (21%) with severe psychomotor retardation. 5-years mortality was 38% and 10-years mortality was 50%.
Conclusion: CNS tumors in children younger than 3 years are difficult to handle and have a guarded prognosis. Surgery, along with chemotherapy, is very important to treat these patients.
Key Words: Brain Tumors; Pediatrics; Oncology; Survival; Hydrocephalus
INTRODUCCIÓN
Los periodos neonatal, lactante y primera infancia son cruciales para el neurodesarrollo, por lo que cualquier noxa que se presente en estas fases o prenatalmente, puede llevar a un severo deterioro funcional. Los tumores del sistema nervioso central (SNC) en esta etapa presentan peor supervivencia comparados a los de mayor edad.1,2 Esto se debe a varios motivos: dificultades técnico-quirúrgicas, mayor frecuencia de histología maligna y a que la radioterapia es muy nociva en el cerebro en desarrollo, por lo que no se utiliza rutinariamente,3,4 eliminando un eslabón importante del tratamiento oncológico, de esta manera la quimioterapia constituye un recurso clave en su tratamiento.5
La incidencia en Argentina es de 2,39 cada 100.000 para tumores de SNC de 0 a 15 años y de 0,93 cada 100.000 en los primeros 4 años de vida. Del total de los tumores de SNC en la edad pediátrica, un 38 % ocurre en los primeros 4 años de vida. Si solamente tomamos los que se presentan en el primer año de vida, incluye un 7% del total.6
El objetivo de nuestro trabajo es realizar un análisis de la evolución y tratamiento en pacientes menores de 3 años con tumores en SNC.
MATERIAL Y MÉTODOS
Realizamos un análisis retrospectivo de datos que incluyó: revisión de historias clínicas, partes quirúrgicos, estudios de neuroimágenes e informes anatomopatológicos de pacientes asistidos en el Hospital de Niños Ricardo Gutiérrez, Buenos Aires, durante el periodo comprendido entre 01/03/2009 y 01/01/2020.
Las cirugías fueron realizadas por diferentes neurocirujanos senior de nuestro servicio. Dividimos los pacientes en tres grupos dependiendo de la edad al diagnóstico: grupo 1 (menores o iguales a 12 meses), grupo 2 (13 a 24 meses) y grupo 3 (25 a 35 meses). Se clasificaron los tipos de resección quirúrgica en: completa (sin residuo tumoral corroborado por imagen postquirúrgica de RM o TC con contraste EV), subtotal (exéresis de 90 a 99 %), parcial (exéresis de 50 a 89%) y biopsia (exéresis <50 %). Se consignaron edad, sexo, examen físico, síntomas de presentación que llevaron a la consulta, presentación de hidrocefalia y su manejo, tratamiento quirúrgico-oncológico, grados de resección, resultados funcionales y de calidad de vida. En todos los pacientes se realizaron estudios por imágenes, siendo la tomografía computarizada (TC) y la imagen por resonancia magnética (IRM) con contraste endovenoso (EV) el “gold standard” prequirúrgico.
RESULTADOS
Se incluyeron 71 pacientes. En cuanto a las variables demográficas analizadas no se evidenció predilección por sexo: 36 varones y 35 mujeres, la edad promedio fue de 18 meses, el rango se ubicó de 1 mes a 35 meses, la moda fue 11 meses (Tabla 1).
TABLA 1: GRUPOS POR EDAD |
||||
Nombre |
Grupo 1 |
Grupo 2 |
Grupo 3 |
Total |
Edad |
<=12 meses |
13-24 meses |
25-35 meses |
|
No. de pacientes |
26 |
24 |
21 |
71 |
Porcentaje |
37 % |
34 % |
30 % |
|
Sexo (♀︎:♂︎) |
10:16 |
12:12 |
13:8 |
35:36 |
Promedio edad |
8 meses |
19 meses |
29 meses |
18 meses |
Moda edad |
11 meses |
17 meses |
30 meses |
11 meses |
Síntomas de presentación
El período de evolución de los síntomas promedio fue de 5 semanas. Fue menor de una semana en 13 pacientes, de 1 a 3 semanas en 26, entre 4 y 8 semanas en 25 y en más de 9 semanas en 7 casos. El cuadro clínico inicial en 42 pacientes fue el síndrome de hipertensión endocraneana (SHE) manifestándose con irritabilidad, macrocefalia, vómitos, somnolencia y/o edema de papila. En las lesiones supratentoriales fueron frecuentes las convulsiones (Tabla 2).
TABLA 2: SÍNTOMAS DE PRESENTACIÓN |
||||
Síntomas |
Grupo 1 |
Grupo 2 |
Grupo 3 |
Total |
SHE* |
17 (65 %) |
10 (42 %) |
15 (71 %) |
42 (59 %) |
Alteraciones de la motricidad |
1 (4 %) |
7 (29 %) |
5 (24 %) |
13 (18 %) |
Convulsiones |
4 (15 %) |
2 (8 %) |
0 (0 %) |
6 (8 %) |
Alteraciones de los pares craneanos |
3 (12 %) |
2 (8 %) |
1 (5 %) |
6 (8 %) |
Síndrome Diencefálico |
1 (4 %) |
3 (13 %) |
0 (0 %) |
4 (6 %) |
*Sindrome de hipertension endocraneana |
||||
Hidrocefalia
Cuarenta y seis pacientes (65%) presentaron hidrocefalia: 30 casos (65%) con lesiones infratentoriales y 16 (35%) con lesiones supratentoriales (Tabla 3). Para el tratamiento se utilizaron tres técnicas quirúrgicas: la implantación del sistema de derivación ventrículo-peritoneal (DVP), colocación de drenaje ventricular al exterior (DVE) y la tercer ventriculostomía endoscópica (TVE). En 26 pacientes se trató la hidrocefalia antes de la cirugía de exéresis tumoral debido al estado clínico del paciente y la severidad de la hidrocefalia en los estudios por imágenes, con el objetivo de tener un cerebro relajado para la cirugía de resección. Se colocó DVP en 22 pacientes, DVE en 2 y se realizó TVE en 2.
Del total de los 46 casos de hidrocefalia, 20 (28%) se presentaron luego de la cirugía de resección tumoral. Se colocó DVP en 18 y se realizó TVE en 2 casos. Este grupo presentó predominio por el sexo masculino 13:7, con una edad promedio de 18 meses. Hubo un leve predominio de localización supratentorial de 11 casos sobre 9 infratentoriales. Once pacientes (55%) habían sido sometidos a exéresis parciales. La reoperación (61%) y la pioventriculitis (63%) se asociaron frecuentemente a la presentación de hidrocefalia post-resección.
TABLA 3: PRESENTACIÓN DE HIDROCEFALIA |
||||
|
Grupo 1 |
Grupo 2 |
Grupo 3 |
Total |
No. de pacientes |
16 (62 %) |
13 (54 %) |
17 (81 %) |
46 (65 %) |
Lesiones supratentoriales |
9 (57 %) |
6 (46 %) |
1 (6 %) |
16 (35 %) |
Lesiones infratentoriales |
7 (43 %) |
7 (54 %) |
16 (94 %) |
30 (65 %) |
Hidrocefalia post resección |
7 (27 %) |
8 (33 %) |
5 (24 %) |
20 (28 %) |
Localización
En el total no hubo predilección entre localización supratentorial e infratentorial. Se hallaron 35 lesiones supratentoriales, de las cuales 14 fueron intraventriculares, 12 centroencefálicas y 9 hemisféricas; 36 lesiones fueron infratentoriales: 13 en relación al IV ventrículo, 8 en hemisferios cerebelosos, 8 en vermis cerebeloso, 4 en tronco del encéfalo, 2 de región pineal y una lesión de IV ventrículo con extensión al compartimiento supratentorial a través del acueducto mesencefálico. Se observó en el grupo 1 un 69% de lesiones supratentoriales, porcentaje que descendió a 14% en el grupo 3. Mientras que las lesiones infratentoriales representaron un 31% en el grupo 1 y un 86 % en el grupo 3 (Tabla 4). En pacientes menores de 6 meses se evidenció que de los 9 pacientes incluidos, 8 (88%) presentaron lesiones supratentoriales, 4 intraventriculares, 2 centro encefálicas y 2 hemisféricas.
TABLA 4: LOCALIZACIÓN |
||||
|
Grupo 1 |
Grupo 2 |
Grupo 3 |
Total |
No. de pacientes |
26 |
24 |
21 |
71 |
Supratentorial |
18 (69%) |
14 (58%) |
3 (14%) |
35 (49%) |
Intraventricular |
9 (35 %) |
4 (17 %) |
1 (5 %) |
14 (20 %) |
Centro-encefálica |
4 (15 %) |
7 (29 %) |
1 (5 %) |
12 (17 %) |
Hemisferio cerebral |
5 (19 %) |
3 (12 %) |
1 (5 %) |
9 (13 %) |
Infratentorial |
8 (31 %) |
10 (42 %) |
18 (86 %) |
36 (51 %) |
Tratamiento quirúrgico
Se realizaron 4 tipos de resecciones quirúrgicas: completa, subtotal, parcial y biopsia en 18 (25%), 8 (11%), 38 (54%) y 7 pacientes (10%), respectivamente. Veintisiete pacientes (38%) requirieron reoperación, de los cuales 19 pacientes (70%) habían sido sometidos a resección parcial. Dentro del grupo 1 se reoperaron 14 pacientes (54%), siendo este el grupo con mayor cantidad de reoperaciones (Tabla 5).
TABLA 5: TIPO DE RESECCIÓN Y RE-OPERACIÓN |
||||
|
Grupo 1 |
Grupo 2 |
Grupo 3 |
Total |
Biopsia |
2 (8 %) |
5 (21 %) |
0 (0 %) |
7 (10 %) |
Parcial |
16 (62 %) |
13 (54 %) |
9 (43 %) |
38 (54 %) |
Subtotal |
4 (15 %) |
2 (8 %) |
2 (10 %) |
8 (11 %) |
Completa |
4 (15 %) |
4 (17 %) |
10 (48 %) |
18 (25 %) |
Re-operación |
14 (54 %) |
6 (25 %) |
7 (33 %) |
27 (38 %) |
Se realizó resección completa en 10 lesiones infratentoriales (7 cerebelosas y 3 del IV ventrículo) y 8 lesiones supratentoriales: 5 intraventriculares y 3 hemisféricas. La mayor cantidad de resecciones completas se observaron en el grupo 3 (10 casos).
Se realizó resección subtotal en 6 lesiones infratentoriales, que corresponden a 3 meduloblastomas, 2 ependimomas anaplásicos y 1 tumor teratoide rabdoide atípico (ATRT); 2 supratentoriales; 1 craneofaringioma, y 1 astrocitoma.
La resección parcial predominó en los grupos 1 (16 casos) y 2 (13 casos). De los 38 pacientes en los que se realizaron resecciones parciales 22 fueron lesiones supratentoriales, entre los cuales se encontraron 8 lesiones centro encefálicas (5 astrocitomas pilocíticos y pilomixoides, 1 craneofaringioma, 1 tumor embrionario indiferenciado y 1 hamartoma hipotalámico), 7 tumores de plexos coroideos (6 papilomas y 1 carcinoma de plexos coroideos) y 7 tumores hemisféricos. Por otro lado, 16 fueron lesiones infratentoriales (6 meduloblastomas, 3 teratoides rabdoides atípicos, 2 ependimomas anaplásicos, 3 astrocitomas pilocíticos, 1 pineoblastoma y 1 carcinoma de plexos coroideos). En la Figura 1 se muestran dos casos de abordajes a estos tumores.
Se realizó biopsia en 3 lesiones de tronco cerebral, 1 lesión pineal abordada endoscópicamente, 1 lesión hipotalámico-quiasmática, 1 lesión frontal subcortical y 1 lesión centroencefálica extensa. En los dos últimos casos se efectuó sólo biopsia por el intenso sangrado que obligó a suspender el procedimiento. El diagnóstico histológico fue tumor embrionario en ambos, por lo que se trataron con quimioterapia (Figura 5-B).
Figura 1: Imágenes intra quirúrgicas de abordajes a tumores en SNC. A) Lesión sólido-quística cerebelosa hemisférica derecha, anatomía patológica: astrocitoma pilocítico. B) Lesión supratentorial intraventricular izquierda, anatomía patológica: papiloma de plexos coroideos.
Secuelas postquirúrgicas
40 pacientes (56%) presentaron secuelas postquirúrgicas, de las cuales 12 (30%) fueron incapacitantes: 8 mutismos cerebelosos y 4 focos motores severos. 3 pacientes se recuperaron del mutismo, sin embargo, uno de ellos quedó con hemiplejía facio braquio crural. Veinte pacientes (50%) presentaron focos neurológicos leves, de los cuales 12 recuperaron el déficit: hemiparesia facio braquio crural (6 casos), tercer par craneano (3 casos) y ataxia (3 casos) (Tabla 6).
TABLA 6: SECUELAS POSTQUIRÚRGICAS |
|
||
Nuevo déficit |
Transitorio |
Definitivo |
Total |
III par craneano |
3 |
0 |
3 |
IX, X, XII y XII pares craneanos |
0 |
6 |
6 |
Hemiparesia facio braquio crural |
6 |
9 |
15 |
Ataxia |
3 |
0 |
3 |
Mutismo |
3 |
5 |
8 |
Endocrinológico |
0 |
5 |
5 |
Anatomía patológica
Los diagnósticos histológicos incluyeron: astrocitoma (20), meduloblastoma (12), papiloma de plexos coroideos (9), ependimoma anaplásico (8), ATRT (8), tumor embrionario (4), carcinoma de plexos coroideos (2), gangliocitoma (2), craneofaringioma (2), pineoblastoma (2), hamartoma hipotalámico (1) (Tabla 7). El grupo de los tumores de origen embrionario incluyó 2 tumores embrionarios indiferenciados, 1 teratoma inmaduro y 1 PNET. En un caso no se reportó la anatomía patológica. A partir de los 13 meses se observó un aumento progresivo de los astrocitomas junto a meduloblastomas y ependimomas con una caída de los papilomas de plexos coroideos, que fue el diagnóstico más frecuente en el grupo 1.
TABLA 7: ANATOMÍA PATOLÓGICA |
||||
Diagnósticos |
Grupo 1 |
Grupo 2 |
Grupo 3 |
Total |
Astrocitoma y gliomas |
3 (12 %) |
10 (42 %) |
7 (33 %) |
20 (28 %) |
Meduloblastoma |
3 (12 %) |
1 (4 %) |
8 (38 %) |
12 (17 %) |
Papiloma de plexos coroideos |
7* (27 %) |
2 (8 %) |
0 (0 %) |
9 (13 %) |
Ependimoma |
2 (8 %) |
2 (8 %) |
4 (19 %) |
8 (11 %) |
ATRT† |
2 (8 %) |
5 (22 %) |
1 (5 %) |
8 (11 %) |
Embrionarios |
3‡ (13 %) |
1§ (4 %) |
0 (0 %) |
4 (6 %) |
Carcinoma de plexos coroideos |
0 (0 %) |
1 (4 %) |
1 (5 %) |
2 (3 %) |
Craneofaringioma |
0 (0 %) |
2 (8 %) |
0 (0 %) |
2 (3 %) |
Pineoblastoma |
2 (8 %) |
0 (0 %) |
0 (0 %) |
2 (3 %) |
Ganglioglioma |
2 (8 %) |
0 (0 %) |
0 (0 %) |
2 (3 %) |
Hamartoma hipotalámico |
1 (2 %) |
0 (0 %) |
0 (0 %) |
1 (1 %) |
No reportada |
1 (2 %) |
0 (0 %) |
0 (0 %) |
1 (1 %) |
*incluye 2 papilomas atípicos de plexos coroideos |
||||
Quimioterapia y radioterapia
Veintiocho pacientes (39%) realizaron quimioterapia y solamente en 2 pacientes (3 %) se utilizó radioterapia, donde la indicación fue la recidiva. Los esquemas quimioterápicos utilizados fueron: Vincristina, Etopósido, Ciclofosfamida y Cisplatino de 3 a 7 ciclos en 15 casos y Vinblastina por 52 semanas en 7 casos. En los casos restantes se utilizó una combinación de los anteriores, utilizando además Doxorrubicina y Temozolamida. En 4 pacientes que recibieron quimioterapia por meduloblastomas con remisión completa se realizó trasplante autólogo de médula ósea para consolidación. 15 pacientes (21%) presentaron recaída, en promedio a los 3 meses de la cirugía. Los diagnósticos histológicos correspondieron a ependimomas anaplásicos en 6 casos, ATRT en 4, meduloblastomas en 2, carcinomas de plexos coroideos en 2 y astrocitoma difuso en 1.
Calidad de vida y pronóstico
23 pacientes (32%) tuvieron un desarrollo motriz y cognitivo normal, mientras que 13 pacientes (18 %) evolucionaron con severo déficit. 2 pacientes que no lograron ser extubados fallecieron en el postoperatorio inmediato. Los 33 casos restantes (47%) presentaron secuelas leves que le permitieron un desarrollo acorde a su edad, incluyendo paresias e hipoestesias leves, alteraciones endocrinológicas y alteraciones de los pares craneanos como parálisis facial, entre otros.
El promedio de seguimiento de los pacientes fue de 41 meses con un rango entre 6 meses y 10 años. La mortalidad global fue del 42% (30 pacientes) y la causa más frecuente fue progresión de enfermedad de base. La mortalidad a los 10 años fue del 50% (12 pacientes) y a los 5 años fue del 38% (18 pacientes) (Tabla 8).
TABLA 8: PRONÓSTICO |
|||
|
5-10 años seguimiento |
<5 años de seguimiento |
Total |
No. de pacientes |
24 |
47 |
71 |
Óbitos |
12 (50%) |
18 (38%) |
30 (42%) |
Anatomía patológica |
ATRT (3) |
ATRT (4) |
ATRT (7) |
|
Ependimoma anaplásico (3) |
Meduloblastoma (4) |
Meduloblastoma (6) |
|
Meduloblastoma (2) |
Ependimoma anaplásico (3) |
Ependimoma anaplásico (6) |
|
Papiloma atípico de plexos coroideos (2) |
Carcinoma de plexos coroideos (2) |
Papiloma y carcinoma de plexos coroideos (2) |
|
Astrocitoma difuso (2) |
Tumores embrionarios* (3) |
Tumores embrionarios* (3) |
|
|
Pineoblastoma (2) |
Pineoblastoma (2) |
|
|
|
Astrocitoma (2) |
*Tumores embrionarios: 2 tumores embrionarios indiferenciados, 1 PNET. |
|||
DISCUSIÓN
Los pacientes con tumores intracraneales en el período de vida analizado, habitualmente presentan una clínica insidiosa: vómitos, irritabilidad, entre otros que motivan repetidas consultas a consultorios de pediatría o servicios de emergencia. Estas lesiones no suelen hacerse evidentes hasta llegar a una dimensión considerable debido a la elasticidad del cráneo y su capacidad para compensar la hipertensión endocraneana.7-10 En nuestra serie el SHE fue la forma de presentación más frecuente, siendo los vómitos, macrocefalia e irritabilidad los síntomas que se asociaron al mismo, en concordancia con la literatura publicada.4 Menos frecuentes fueron las formas de presentación aguda, como crisis convulsivas, las cuales se observaron en los pacientes con lesiones corticales cerebrales, coincidente con Mehrotra et al.11 Hubo otras afecciones neurológicas más avanzadas, como nistagmus y focos neurológicos focales, datos concordantes a otros resultados.12,13
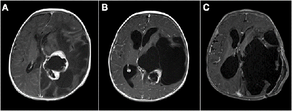
Un tema controvertido es definir cuando un tumor de SNC es congénito. Solitare et al. 14 los divide en: "definitivamente congénitos" que son aquellos que producen síntomas al nacer, "cercanamente congénitos" que son los que producen síntomas dentro de la primera semana de vida, y "probablemente congénito" que son los que se manifiestan dentro del primer mes de vida. La inclusión de pacientes de hasta 2 meses de edad fue propuesta por Arnstein et al. 1 siendo este el límite más aceptado para definir el origen congénito. Sin embargo, hay otros autores como Jellinger y Manoranjan16,17 que extienden esta definición al primer año de vida. Con base en las definiciones de los últimos dos investigadores, nuestra serie presentó 26 casos menores de un año, de los cuales solo 3 fueron menores de 2 meses de vida, todos ellos tumores embrionarios (2 indiferenciados y 1 teratoma inmaduro) (Figuras 2 y 5 B).

Figura 2: A) Paciente de 3 meses de vida, sexo masculino, consultó por macrocefalia e irritabilidad, IRM de cerebro con contraste EV donde se evidenció lesión intraventricular izquierda con extenso edema cerebral ipsilateral. Se realizó cirugía con exéresis parcial debido a labilidad hemodinámica. Anatomía patológica informó papiloma de plexos coroideos. B) IRM de cerebro 1 mes postquirúrgica. Se decidió diferir la re-exploración. C) Se realizó nueva cirugía luego de 6 meses. IRM de cerebro 1 mes post quirúrgica donde se constató la exéresis completa. Paciente evolucionó favorablemente, recuperó pautas madurativas pérdidas.

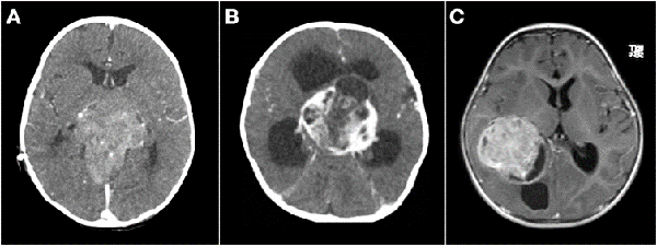
Figura 5: Tumores agresivos. A) Paciente de 8 meses de vida, sexo masculino, presentó irritabilidad, macrocefalia y somnolencia. TC de cerebro con contraste EV donde se observó imagen en región pineal que se extiende al tercer ventrículo. Se realizó cirugía de exploración, exéresis parcial, anatomía patológica informó pineoblastoma, paciente falleció a los 5 meses por progresión de la enfermedad. B) Paciente de 2 meses de vida, sexo masculino, consultó por deterioro progresivo del sensorio. TC de cerebro con contraste EV que evidenció lesión centroencefálica e hidrocefalia obstructiva. Se realizó cirugía de exploración de lesión, con colocación intraquirúrgica de drenaje ventricular al exterior. Anatomía patológica informó tumor embrionario indiferenciado. Paciente falleció a los 14 días por progresión de enfermedad. C) Paciente de 19 meses de vida, sexo femenino, consultó por vómitos a repetición. IRM de cerebro con contraste EV que mostró tumor supratentorial intraventricular con realce homogéneo con el contraste EV. Se realizó cirugía de exploración, con exéresis parcial por el intenso sangrado. Anatomía patológica informó carcinoma de plexos coroideos. Paciente fallece a los 3 meses.

El síndrome diencefálico se define como el cuadro clínico caracterizado por dificultad para ganar peso en pacientes pediátricos y se origina por lesiones neoplásicas ubicadas en la región diencefálica. El paciente se presenta con una profunda emaciación, a pesar de recibir el aporte calórico adecuado. Otros síntomas pueden ser la hiperactividad, euforia, nistagmus, alteraciones visuales, entre otros.18 Nosotros tuvimos 4 pacientes que se ajustaron a este cuadro diencefálico, y todos los casos, a pesar del bajo grado histológico de la lesión, se caracteriza por dificultad en el tratamiento y una evolución tórpida.
En cuanto a la ubicación tumoral en nuestra cohorte encontramos correlación con la edad. Hasta los 12 meses predomina la localización supratentorial (69%) y a partir de los 13 meses aumentan progresivamente los tumores infratentoriales, siendo los 24 meses el punto de inflexión donde se dispara la incidencia y representan el 86% del total. Varios artículos coinciden con nuestros resultados.3-5,19 Toescu et al.13 encontró tumores supratentoriales en el 64% de los casos menores de 1 año, muy cercano al 69 % de nuestra serie. Furuta et al.20 incluyó pacientes de hasta 2 años de edad, y evidenció un predominio general de localización supratentorial, lo que coincide con nuestros resultados de los grupos 1 y 2.
Nuestra serie presentó una tasa de hidrocefalia del 65%. A pesar de que con la exéresis tumoral se debería resolver la misma, un 18-40% requieren una derivación permanente de LCR según la bibliografía en los trabajos publicados.21-23 En nuestra serie la hidrocefalia fue resuelta con la exéresis tumoral en 6 casos (13%), sin embargo, en 23 pacientes (50%) se colocó DVP previo a esta, ya que el control de la HTE con un cerebro relajado permite un máximo provecho de la cirugía de exéresis tumoral. En nuestro trabajo la hidrocefalia post-resección se presentó en un 28%, similar a lo descripto en los trabajos previamente citados. La cirugía de colocación de DVP fue primordial en el tratamiento de la hidrocefalia. La TVE se utilizó únicamente en 4 pacientes, debido a la corta edad de los mismos, que determina menor posibilidad de éxito en el procedimiento de acuerdo a las tablas de predicción utilizadas,24,25 ya que según estudios, la probabilidad de que funcione la TVE ronda entre un 40 % en los menores de 12 meses y un 60% en los mayores, comparado con pacientes con tumores de fosa posterior y de edad mayor a 10 años que tendrían una tasa de éxito de 80%. Una de las teorías es que la capacidad de reabsorción de LCR del espacio subaracnoideo no es suficiente para controlar la hidrocefalia en este grupo etario.19,26,27,29,30
Enfatizamos la importancia de la conducta quirúrgica para el tratamiento de los tumores intracraneales en menores de 36 meses. Abordarlos requiere un examen del estado clínico, de los datos imagenológicos, la planificación del corredor quirúrgico apropiado, instrumental acorde y un equipo de anestesia capacitado para este tipo de pacientes. En muchas ocasiones el objetivo prequirúrgico de una exéresis completa no se logra. Esto se debe principalmente a características del tumor halladas intra quirúrgicamente y a la respuesta hemodinámica del paciente durante el procedimiento. Un varón promedio de 12 meses de vida pesa 10 kg, lo que corresponde a una volemia de 750-800 ml, casi 6 veces menos que la volemia normal de un adulto de 70 kg. Esto condiciona en el paciente lactante la exéresis tumoral a las pérdidas hemáticas en el momento del abordaje quirúrgico, la disección y resección tumoral. El tratamiento adyuvante en pacientes menores de 3 años representa un desafío para el oncólogo. El cerebro inmaduro es más susceptible a la toxicidad inducida por radioterapia, lo que lleva a deterioro neurocognitivo. Uno de los objetivos de los distintos tratamientos con quimioterapia es evitar o retrasar el uso de la radioterapia.31-34
En nuestro trabajo evidenciamos una mortalidad a los 5 años del 38% y a los 10 años del 50%. Varias publicaciones hablan de bajas tasas de supervivencia con una mortalidad a los 5 años que varía entre 50% y 80%.35-38 La tasa de mortalidad global que presentó el grupo 1 fue del 48%, similar a lo reportado por Zuccaro et al.39 en 1986 con una mortalidad del 48% en pacientes menores de 1 año. En nuestra institución en un reporte de 2008 por Jaikin et al. 40 se constataron resultados similares.
Analizando por separado los resultados de anatomías patológicas vemos que los ATRT, meduloblastomas y ependimomas tuvieron una supervivencia del 32% a los 5 años (Figuras 3 y 4) y los pacientes con tumores embrionarios, PNET, carcinomas y papilomas atípicos de plexos coroideos y pineoblastomas presentaron una mortalidad del 100% a los 5 años (Figuras 5 y 6). Por otro lado, los papilomas de plexos coroideos, lesiones más frecuentes en el grupo 1, tuvieron un 100% de supervivencia a los 10 años, al igual que los astrocitomas y gliomas de bajo grado (Figuras 7 y 8).

Figura 3: A) Paciente de 11 meses de vida, sexo masculino, que presentó macrocefalia, irritabilidad y vómitos, IRM de cerebro que mostró extensa lesión cerebelosa de aspecto nodular con intenso realce con el contraste endovenoso. B) IRM corte sagital de dicha lesión. C) IRM de cerebro postquirúrgica luego de dos cirugías de exploración y exéresis, diagnóstico de meduloblastoma desmoplásico nodular. Realizó quimioterapia y actualmente presenta un leve retraso neuromadurativo.

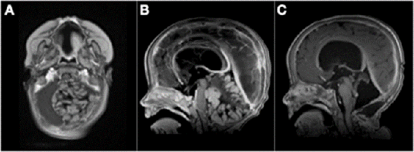
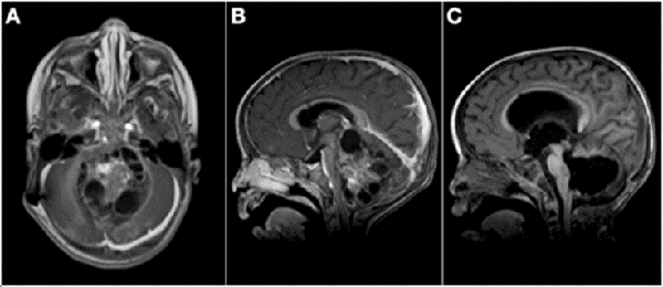
Figura 4: A) Paciente de 21 meses de vida, sexo masculino, que consultó por SHE y deterioro del sensorio. IRM de cerebro corte axial que evidenció lesión heterogénea en IV ventrículo y vermis con compromiso de tronco del encéfalo. B) IRM de cerebro corte sagital: ocupación de la totalidad del IV ventrículo. C) IRM de cerebro post quirúrgica, se evidenció exéresis tumoral completa, diagnóstico de ATRT de fosa posterior. Paciente falleció por progresion de enfermedad a los 6 meses.

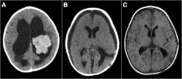
Figura 7: A) Paciente de 13 meses, sexo masculino, consultó por alteraciones en la motricidad. TC de cerebro con contraste EV que evidenció lesión intraventricular que realza homogéneamente e hidrocefalia, se colocó DVE previo a cirugía de exéresis tumoral. B) TC de cerebro luego de cirugía, diagnóstico de papiloma de plexos coroideos, se retiró el DVE a las 48 hs. TC de cerebro de control al año con colecciones subdurales crónicas. Se decidió conducta expectante de las mismas. C) IRM de cerebro control a los 3 años, sistema ventricular de tamaño normal, corticotomía cerrada. Paciente sin secuelas neurológicas.

Figura 8: A y B) Paciente de 21 meses de vida, sexo femenino, que presentó hemiparesia faciobraquiocrural derecha, vómitos y deterioro del sensorio, TC de cerebro con contraste EV, lesión supra e infratentorial, con gran efecto de masa con compresión del tronco del encéfalo. Se realizó cirugía de exploración y exéresis parcial. Anatomía patológica informó papiloma de plexos coroideos. C y D) IRM de cerebro con contraste EV que evidenció resto tumoral intraventricular y en relación a cisternas peri mesencefálicas. Se realizó re exploración del tumor. E y F) Imagen por TC de cerebro con contraste EV postquirúrgica inmediata que evidenció exéresis total.
CONCLUSIÓN
A pesar de los avances en los últimos años, los tumores de SNC en menores de 3 años continúan siendo de difícil manejo y presentan pronóstico reservado. Ya que la radioterapia está contraindicada, la cirugía cobra una importancia fundamental en el tratamiento junto a la quimioterapia, debiendo adecuarse a cada caso particular tomando en consideración la calidad de vida del niño.
Bibliografía
COMENTARIO
Siempre resulta interesante la revisión de los tumores en la primera infancia. Se trata de una serie de 71 pacientes con seguimiento de máximo 10 años en una sola institución. A pesar de los avances en las técnicas quirúrgicas, estos tumores habitualmente de gran tamaño, siguen siendo un desafío.
Como se señala en el presente artículo, el diagnóstico tardío es muy frecuente y colabora en las dificultades en el tratamiento.
Llama la atención en la serie publicada, la persistencia como “secuela postquirúrgica definitiva” (7/8 pacientes) del mutismo cerebeloso postoperatorio, siendo esta complicación muchas veces reversible. En general se recuperan totalmente o con disartria secuelar.
Si bien la mortalidad global está dentro de la usual de ver en la literatura, los dos pacientes con carcinoma de plexos coroideos y los dos con papilomas atípicos fallecieron. Con esta anatomía patológica en particular y aún con algunas otras, la resección completa puede lograrse con mejor pronóstico, con cirugías escalonadas y quimioterapia interpuesta que logra disminuir la vascularización e incluso el tamaño tumoral.
Sería interesante que los autores vuelvan sobre esta publicación dentro de unos años con mayor seguimiento de este grupo de pacientes y sumaran las series de Jaikin M y col. (2008) y de Zuccaro G y col. (1986).
Roberto Jaimovich
Departamento de Neurocirugía, Hospital de Pediatría “Prof. Dr. J.P. Garrahan”. Ciudad Autónoma de Buenos Aires, Argentina.
COMENTARIO
El presente trabajo observacional y retrospectivo en un periodo de 10 años nos muestra en forma clara cuál es la incidencia de los distintos tipos de tumores que se presentan en este grupo de niños menores destacando cuáles son los síntomas que predominan a esta edad en el periodo de mayor neuro desarrollo de las personas .
Queda manifiesto que el pronóstico de vida queda supeditado a la histología del tumor.
También queda muy claro que el tratamiento de la hidrocefalia con TVE es satisfactorio a medida que el niño tiene más edad.
Cabe destacar que los casos clínicos reportados son muy elocuentes .
Conclusión : La cirugía cura los pacientes con histología benigna , la quimioterapia ayuda a la sobrevida quedando a la espera a nuevas terapéuticas que cambien estos resultados.
Alfredo Houssay
Jefe Neurocirugía, Hospital Pedro de Elizalde. Ciudad Autónoma de Buenos Aires, Argentina.